About   Help   FAQ
Gene Expression Data
Assay Details
Assay
Reference: J:101679 Deltagen Inc, NIH initiative supporting placement of Deltagen, Inc. mice into public repositories. MGI Direct Data Submission. 2005;
Assay type: In situ reporter (knock in)
MGI Accession ID: MGI:3639257
Gene symbol: Lmbr1l
Gene name: limb region 1 like
Reporter: lacZ
Direct Detection
Results
Specimen Mouse 403372 - Image 99255774: postnatal day 52; Lmbr1ltm1Dgen/Lmbr1l+ (more )
Structure Level Pattern Image Note
TS28: telencephalon Strong 99255774 Expression is present in practically all cells of the cerebrum.

Specimen Mouse 403372 - Image 99255777: postnatal day 52; Lmbr1ltm1Dgen/Lmbr1l+ (more )
Structure Level Pattern Image Note
TS28: telencephalon Strong 99255777 Expression is present in practically all cells of the cerebrum.

Specimen Mouse 403372 - Image 99255782: postnatal day 52; Lmbr1ltm1Dgen/Lmbr1l+ (more )
Structure Level Pattern Image Note
TS28: hippocampus Strong 99255782 Expression is present in practically all cells of the hippocampus.

Specimen Mouse 403372 - Image 99255783: postnatal day 52; Lmbr1ltm1Dgen/Lmbr1l+ (more )
Structure Level Pattern Image Note
TS28: thalamus Strong 99255783 Expression is present in practically all cells of the thalamus.

Specimen Mouse 403372 - Image 99255785: postnatal day 52; Lmbr1ltm1Dgen/Lmbr1l+ (more )
Structure Level Pattern Image Note
TS28: telencephalon Moderate Regionally restricted 99255785 There is scattered expression in the choroid plexus of the cerebrum.
TS28: choroid plexus Moderate Regionally restricted 99255785 There is scattered expression in the choroid plexus of the cerebrum.

Specimen Mouse 403372 - Image 99255789: postnatal day 52; Lmbr1ltm1Dgen/Lmbr1l+ (more )
Structure Level Pattern Image Note
TS28: cerebral cortex Strong 99255789 Expression is present in practically all cells of the cortex.

Specimen Mouse 403372 - Image 99255791: postnatal day 52; Lmbr1ltm1Dgen/Lmbr1l+ (more )
Structure Level Pattern Image Note
TS28: amygdala Strong 99255791 Expression is present in practically all cells of the amygdala.

Specimen Mouse 403372 - Image 99255792: postnatal day 52; Lmbr1ltm1Dgen/Lmbr1l+ (more )
Structure Level Pattern Image Note
TS28: hypothalamus Strong 99255792 Expression is frequently seen in the hypothalamus.

Specimen Mouse 403372 - Image 99255796: postnatal day 52; Lmbr1ltm1Dgen/Lmbr1l+ (more )
Structure Level Pattern Image Note
TS28: caudate-putamen Strong 99255796 Expression is present in practically all cells of the caudate-putamen.

Specimen Mouse 403372 - Image 99255799: postnatal day 52; Lmbr1ltm1Dgen/Lmbr1l+ (more )
Structure Level Pattern Image Note
TS28: telencephalon Strong Regionally restricted 99255799 There is scattered expression in the cerebral meninges.
TS28: meninges Strong Regionally restricted 99255799 There is scattered expression in the cerebral meninges.

Specimen Mouse 403372 - Image 99255800: postnatal day 52; Lmbr1ltm1Dgen/Lmbr1l+ (more )
Structure Level Pattern Image Note
TS28: brain ventricle Strong Regionally restricted 99255800 Expression is frequently seen in a ventricle in the cerebrum.

Specimen Mouse 403372 - Image 99255801: postnatal day 52; Lmbr1ltm1Dgen/Lmbr1l+ (more )
Structure Level Pattern Image Note
TS28: cerebellum Strong 99255801 Expression is frequently seen in the cerebellum.

Specimen Mouse 403372 - Image 99255803: postnatal day 52; Lmbr1ltm1Dgen/Lmbr1l+ (more )
Structure Level Pattern Image Note
TS28: cerebellum molecular layer Strong 99255803 Expression is frequently seen in the molecular layer.

Specimen Mouse 403372 - Image 99255805: postnatal day 52; Lmbr1ltm1Dgen/Lmbr1l+ (more )
Structure Level Pattern Image Note
TS28: cerebellum granule cell layer Very strong 99255805 Expression is present in practically all cells of the granular layer.

Specimen Mouse 403372 - Image 99256359: postnatal day 52; Lmbr1ltm1Dgen/Lmbr1l+ (more )
Structure Level Pattern Image Note
TS28: skeletal muscle Strong 99256359 Expression is frequently seen in the skeletal muscle.

Specimen Mouse 403372 - Image 99256360: postnatal day 52; Lmbr1ltm1Dgen/Lmbr1l+ (more )
Structure Level Pattern Image Note
TS28: skeletal muscle Strong Regionally restricted 99256360 Expression is frequently seen in the blood vessels in the skeletal muscle.
TS28: blood vessel Strong Regionally restricted 99256360 Expression is frequently seen in the blood vessels in the skeletal muscle.

Specimen Mouse 403372 - Image 99256363: postnatal day 52; Lmbr1ltm1Dgen/Lmbr1l+ (more )
Structure Level Pattern Image Note
TS28: sciatic nerve Strong 99256363 Expression is frequently seen in the sciatic nerve.

Specimen Mouse 403372 - Image 99256367: postnatal day 52; Lmbr1ltm1Dgen/Lmbr1l+ (more )
Structure Level Pattern Image Note
TS28: dermis Strong 99256367 There is scattered expression in the dermis.

Specimen Mouse 403372 - Image 99256372: postnatal day 52; Lmbr1ltm1Dgen/Lmbr1l+ (more )
Structure Level Pattern Image Note
TS28: sebaceous gland Moderate 99256372 There is scattered expression in the sebaceous gland.

Specimen Mouse 403372 - Image 99256373: postnatal day 52; Lmbr1ltm1Dgen/Lmbr1l+ (more )
Structure Level Pattern Image Note
TS28: hair follicle Moderate 99256373 There is scattered expression in the hair follicles.

Specimen Mouse 403372 - Image 99256375: postnatal day 52; Lmbr1ltm1Dgen/Lmbr1l+ (more )
Structure Level Pattern Image Note
TS28: epidermis Strong 99256375 There is scattered expression in the epidermis.

Specimen Mouse 403372 - Image 99256384: postnatal day 52; Lmbr1ltm1Dgen/Lmbr1l+ (more )
Structure Level Pattern Image Note
TS28: trachea Strong 99256384 Expression is frequently seen in the trachea.

Specimen Mouse 403372 - Image 99256389: postnatal day 52; Lmbr1ltm1Dgen/Lmbr1l+ (more )
Structure Level Pattern Image Note
TS28: trachea cartilage Strong 99256389 Expression is present in practically all cells of the cartilage.

Specimen Mouse 403372 - Image 99256391: postnatal day 52; Lmbr1ltm1Dgen/Lmbr1l+ (more )
Structure Level Pattern Image Note
TS28: aorta Weak 99256391 There is scattered expression in the aorta.

Specimen Mouse 403372 - Image 99256392: postnatal day 52; Lmbr1ltm1Dgen/Lmbr1l+ (more )
Structure Level Pattern Image Note
TS28: aorta Strong Regionally restricted 99256392 There is scattered expression in the periaortic adipose tissue.
TS28: adipose tissue Strong Regionally restricted 99256392 There is scattered expression in the periaortic adipose tissue.

Specimen Mouse 403372 - Image 99256393: postnatal day 52; Lmbr1ltm1Dgen/Lmbr1l+ (more )
Structure Level Pattern Image Note
TS28: thyroid gland Moderate 99256393 There is scattered expression in the thyroid gland.

Specimen Mouse 403372 - Image 99256394: postnatal day 52; Lmbr1ltm1Dgen/Lmbr1l+ (more )
Structure Level Pattern Image Note
TS28: thyroid gland Moderate Regionally restricted 99256394 There is scattered expression in the blood vessels of the thyroid gland.
TS28: blood vessel Moderate Regionally restricted 99256394 There is scattered expression in the blood vessels of the thyroid gland.

Specimen Mouse 403372 - Image 99256469: postnatal day 52; Lmbr1ltm1Dgen/Lmbr1l+ (more )
Structure Level Pattern Image Note
TS28: thymus medullary core Weak 99256469 There is scattered expression in the medulla.

Specimen Mouse 403372 - Image 99256471: postnatal day 52; Lmbr1ltm1Dgen/Lmbr1l+ (more )
Structure Level Pattern Image Note
TS28: optic nerve Weak 99256471 Expression is frequently seen in the optic nerve.

Specimen Mouse 403372 - Image 99256473: postnatal day 52; Lmbr1ltm1Dgen/Lmbr1l+ (more )
Structure Level Pattern Image Note
TS28: cornea Trace 99256473 There is occasional staining in the cornea.

Specimen Mouse 403372 - Image 99256474: postnatal day 52; Lmbr1ltm1Dgen/Lmbr1l+ (more )
Structure Level Pattern Image Note
TS28: ciliary body Strong 99256474 Expression is present in practically all cells of the ciliary body.

Specimen Mouse 403372 - Image 99256475: postnatal day 52; Lmbr1ltm1Dgen/Lmbr1l+ (more )
Structure Level Pattern Image Note
TS28: lens Moderate 99256475 Expression is frequently seen in the lens.

Specimen Mouse 403372 - Image 99256476: postnatal day 52; Lmbr1ltm1Dgen/Lmbr1l+ (more )
Structure Level Pattern Image Note
TS28: retina Very strong 99256476 Expression is frequently seen in the retina.

Specimen Mouse 403372 - Image 99256477: postnatal day 52; Lmbr1ltm1Dgen/Lmbr1l+ (more )
Structure Level Pattern Image Note
TS28: retina ganglion cell layer Very strong 99256477 Expression is present in practically all cells of the ganglion cell layer.

Specimen Mouse 403372 - Image 99256478: postnatal day 52; Lmbr1ltm1Dgen/Lmbr1l+ (more )
Structure Level Pattern Image Note
TS28: retina inner nuclear layer Very strong 99256478 Expression is frequently seen in the inner nuclear layer.

Specimen Mouse 403372 - Image 99256479: postnatal day 52; Lmbr1ltm1Dgen/Lmbr1l+ (more )
Structure Level Pattern Image Note
TS28: retina outer nuclear layer Very strong 99256479 Expression is present in practically all cells of the outer nuclear layer.

Specimen Mouse 403372 - Image 99256480: postnatal day 52; Lmbr1ltm1Dgen/Lmbr1l+ (more )
Structure Level Pattern Image Note
TS28: sclera Weak 99256480 There is scattered expression in the sclera.

Specimen Mouse 403372 - Image 99256481: postnatal day 52; Lmbr1ltm1Dgen/Lmbr1l+ (more )
Structure Level Pattern Image Note
TS28: pigmented retinal epithelium Strong 99256481 There is scattered expression in the pigment layer.

Specimen Mouse 403372 - Image 99256482: postnatal day 52; Lmbr1ltm1Dgen/Lmbr1l+ (more )
Structure Level Pattern Image Note
TS28: heart valve Strong 99256482 There is scattered expression in the valves.

Specimen Mouse 403372 - Image 99256483: postnatal day 52; Lmbr1ltm1Dgen/Lmbr1l+ (more )
Structure Level Pattern Image Note
TS28: heart atrium Weak 99256483 Expression is frequently seen in the atrium.

Specimen Mouse 403372 - Image 99256484: postnatal day 52; Lmbr1ltm1Dgen/Lmbr1l+ (more )
Structure Level Pattern Image Note
TS28: heart Strong Regionally restricted 99256484 Expression is frequently seen in the blood vessels of the heart.
TS28: blood vessel Strong Regionally restricted 99256484 Expression is frequently seen in the blood vessels of the heart.

Specimen Mouse 403372 - Image 99256485: postnatal day 52; Lmbr1ltm1Dgen/Lmbr1l+ (more )
Structure Level Pattern Image Note
TS28: heart ventricle Strong 99256485 There is scattered expression in the ventricles.

Specimen Mouse 403372 - Image 99256486: postnatal day 52; Lmbr1ltm1Dgen/Lmbr1l+ (more )
Structure Level Pattern Image Note
TS28: lung Weak Regionally restricted 99256486 Expression is frequently seen in the blood vessels of the lung.
TS28: blood vessel Weak Regionally restricted 99256486 Expression is frequently seen in the blood vessels of the lung.

Specimen Mouse 403372 - Image 99256487: postnatal day 52; Lmbr1ltm1Dgen/Lmbr1l+ (more )
Structure Level Pattern Image Note
TS28: liver Weak Regionally restricted 99256487 There is scattered expression in the blood vessels of the liver.
TS28: blood vessel Weak Regionally restricted 99256487 There is scattered expression in the blood vessels of the liver.

Specimen Mouse 403372 - Image 99256488: postnatal day 52; Lmbr1ltm1Dgen/Lmbr1l+ (more )
Structure Level Pattern Image Note
TS28: liver acinus Strong 99256488 There is occasional staining in the acinus.

Specimen Mouse 403372 - Image 99256489: postnatal day 52; Lmbr1ltm1Dgen/Lmbr1l+ (more )
Structure Level Pattern Image Note
TS28: lung alveolus Weak 99256489 There is scattered expression in the alveoli.

Specimen Mouse 403372 - Image 99256490: postnatal day 52; Lmbr1ltm1Dgen/Lmbr1l+ (more )
Structure Level Pattern Image Note
TS28: bronchiole Moderate Regionally restricted 99256490 There is scattered expression in the smooth muscle cells of the bronchioles.

Specimen Mouse 403372 - Image 99256491: postnatal day 52; Lmbr1ltm1Dgen/Lmbr1l+ (more )
Structure Level Pattern Image Note
TS28: bronchiole epithelium Moderate 99256491 There is scattered expression in the epithelial cells.

Specimen Mouse 403372 - Image 99256492: postnatal day 52; Lmbr1ltm1Dgen/Lmbr1l+ (more )
Structure Level Pattern Image Note
TS28: adrenal medulla Strong 99256492 Expression is frequently seen in the medulla.

Specimen Mouse 403372 - Image 99256493: postnatal day 52; Lmbr1ltm1Dgen/Lmbr1l+ (more )
Structure Level Pattern Image Note
TS28: adrenal cortex Trace 99256493 There is scattered expression in the cortex.

Specimen Mouse 403372 - Image 99256494: postnatal day 52; Lmbr1ltm1Dgen/Lmbr1l+ (more )
Structure Level Pattern Image Note
TS28: adrenal gland Moderate Regionally restricted 99256494 There is scattered expression in the capsule.

Specimen Mouse 403372 - Image 99256495: postnatal day 52; Lmbr1ltm1Dgen/Lmbr1l+ (more )
Structure Level Pattern Image Note
TS28: adrenal gland Weak Regionally restricted 99256495 There is scattered expression in the blood vessels of the adrenal gland.
TS28: blood vessel Weak Regionally restricted 99256495 There is scattered expression in the blood vessels of the adrenal gland.

Specimen Mouse 403372 - Image 99256496: postnatal day 52; Lmbr1ltm1Dgen/Lmbr1l+ (more )
Structure Level Pattern Image Note
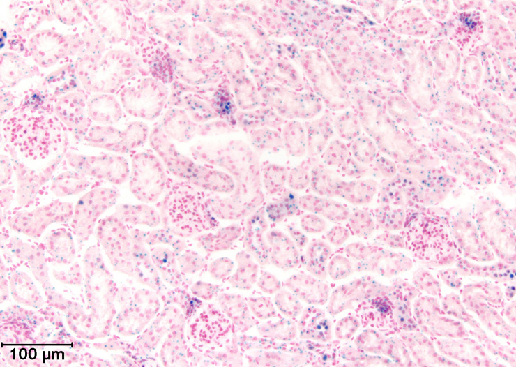
TS28: renal papilla Strong 99256496 Expression is frequently seen in the papilla.

Specimen Mouse 403372 - Image 99256497: postnatal day 52; Lmbr1ltm1Dgen/Lmbr1l+ (more )
Structure Level Pattern Image Note
TS28: renal pelvis Moderate 99256497 Expression is frequently seen in the kidney pelvis.

Specimen Mouse 403372 - Image 99256498: postnatal day 52; Lmbr1ltm1Dgen/Lmbr1l+ (more )
Structure Level Pattern Image Note
TS28: renal medulla Very strong 99256498 Expression is present in practically all cells of the medulla.

Specimen Mouse 403372 - Image 99256499: postnatal day 52; Lmbr1ltm1Dgen/Lmbr1l+ (more )
Structure Level Pattern Image Note
TS28: renal tubule Strong 99256499 Expression is frequently seen in the tubules.

Specimen Mouse 403372 - Image 99256500: postnatal day 52; Lmbr1ltm1Dgen/Lmbr1l+ (more )
Structure Level Pattern Image Note
TS28: glomerular tuft Strong 99256500 There is scattered expression in the glomeruli.

Specimen Mouse 403372 - Image 99256501: postnatal day 52; Lmbr1ltm1Dgen/Lmbr1l+ (more )
Structure Level Pattern Image Note
TS28: renal cortex Strong 99256501 Expression is frequently seen in the cortex.

Specimen Mouse 403372 - Image 99256502: postnatal day 52; Lmbr1ltm1Dgen/Lmbr1l+ (more )
Structure Level Pattern Image Note
TS28: metanephros Strong Regionally restricted 99256502 Expression is frequently seen in the blood vessels of the kidney.
TS28: blood vessel Strong Regionally restricted 99256502 Expression is frequently seen in the blood vessels of the kidney.

Specimen Mouse 403372 - Image 99256503: postnatal day 52; Lmbr1ltm1Dgen/Lmbr1l+ (more )
Structure Level Pattern Image Note
TS28: testis Strong Regionally restricted 99256503 There is scattered expression in the blood vessels of the testis.
TS28: blood vessel Strong Regionally restricted 99256503 There is scattered expression in the blood vessels of the testis.

Specimen Mouse 403372 - Image 99256504: postnatal day 52; Lmbr1ltm1Dgen/Lmbr1l+ (more )
Structure Level Pattern Image Note
TS28: seminiferous tubule Strong 99256504 There is scattered expression in the seminiferous tubules.

Specimen Mouse 403372 - Image 99256505: postnatal day 52; Lmbr1ltm1Dgen/Lmbr1l+ (more )
Structure Level Pattern Image Note
TS28: testis Trace Regionally restricted 99256505 There is scattered expression in the tunica albuginea.

Specimen Mouse 403372 - Image 99256506: postnatal day 52; Lmbr1ltm1Dgen/Lmbr1l+ (more )
Structure Level Pattern Image Note
TS28: prostate gland Very strong Regionally restricted 99256506 Expression is frequently seen in the ganglia.

Specimen Mouse 403372 - Image 99256507: postnatal day 52; Lmbr1ltm1Dgen/Lmbr1l+ (more )
Structure Level Pattern Image Note
TS28: prostate epithelium Moderate 99256507 There is scattered expression in the epithelium.

Specimen Mouse 403372 - Image 99256508: postnatal day 52; Lmbr1ltm1Dgen/Lmbr1l+ (more )
Structure Level Pattern Image Note
TS28: prostate gland Moderate Regionally restricted 99256508 There is scattered expression in the stroma.

Specimen Mouse 403372 - Image 99256509: postnatal day 52; Lmbr1ltm1Dgen/Lmbr1l+ (more )
Structure Level Pattern Image Note
TS28: urothelium of bladder Weak Regionally restricted 99256509 There is scattered expression in the epithelium.

Specimen Mouse 403372 - Image 99256510: postnatal day 52; Lmbr1ltm1Dgen/Lmbr1l+ (more )
Structure Level Pattern Image Note
TS28: lamina propria of bladder Moderate 99256510 There is scattered expression in the lamina propria.

Specimen Mouse 403372 - Image 99256511: postnatal day 52; Lmbr1ltm1Dgen/Lmbr1l+ (more )
Structure Level Pattern Image Note
TS28: lamina propria of bladder Strong 99256511 There is scattered expression in the muscularis.

Specimen Mouse 403372 - Image 99256512: postnatal day 52; Lmbr1ltm1Dgen/Lmbr1l+ (more )
Structure Level Pattern Image Note
TS28: bladder Moderate Regionally restricted 99256512 There is scattered expression in the blood vessels of the urinary bladder.
TS28: blood vessel Moderate Regionally restricted 99256512 There is scattered expression in the blood vessels of the urinary bladder.

Specimen Mouse 403372 - Image 99256521: postnatal day 52; Lmbr1ltm1Dgen/Lmbr1l+ (more )
Structure Level Pattern Image Note
TS28: islets of Langerhans Weak 99256521 There is scattered expression in the islets of Langerhans.

Specimen Mouse 403372 - Image 99256525: postnatal day 52; Lmbr1ltm1Dgen/Lmbr1l+ (more )
Structure Level Pattern Image Note
TS28: pancreas Strong Regionally restricted 99256525 There is scattered expression in the blood vessels of the pancreas.
TS28: blood vessel Strong Regionally restricted 99256525 There is scattered expression in the blood vessels of the pancreas.

Specimen Mouse 403372 - Image 99256526: postnatal day 52; Lmbr1ltm1Dgen/Lmbr1l+ (more )
Structure Level Pattern Image Note
TS28: pancreatic acinus Weak 99256526 There is scattered expression in the acini.

Specimen Mouse 403372 - Image 99256528: postnatal day 52; Lmbr1ltm1Dgen/Lmbr1l+ (more )
Structure Level Pattern Image Note
TS28: spleen white pulp Moderate 99256528 There is occasional staining in the white pulp.

Specimen Mouse 403372 - Image 99256531: postnatal day 52; Lmbr1ltm1Dgen/Lmbr1l+ (more )
Structure Level Pattern Image Note
TS28: spleen trabeculum Trace 99256531 There is scattered expression in the trabeculae.

Specimen Mouse 403372 - Image 99256532: postnatal day 52; Lmbr1ltm1Dgen/Lmbr1l+ (more )
Structure Level Pattern Image Note
TS28: spleen Moderate Regionally restricted 99256532 There is scattered expression in the blood vessels of the spleen.
TS28: blood vessel Moderate Regionally restricted 99256532 There is scattered expression in the blood vessels of the spleen.

Specimen Mouse 403372 - Image 99256546: postnatal day 52; Lmbr1ltm1Dgen/Lmbr1l+ (more )
Structure Level Pattern Image Note
TS28: spinal cord dorsal horn Moderate 99256546 Expression is frequently seen in the dorsal horns.

Specimen Mouse 403372 - Image 99256548: postnatal day 52; Lmbr1ltm1Dgen/Lmbr1l+ (more )
Structure Level Pattern Image Note
TS28: spinal cord ventral horn Moderate 99256548 Expression is frequently seen in the ventral horns.

Specimen Mouse 403372 - Image 99256550: postnatal day 52; Lmbr1ltm1Dgen/Lmbr1l+ (more )
Structure Level Pattern Image Note
TS28: spinal cord central canal Moderate 99256550 There is scattered expression in the central canal.

Specimen Mouse 403372 - Image 99256552: postnatal day 52; Lmbr1ltm1Dgen/Lmbr1l+ (more )
Structure Level Pattern Image Note
TS28: spinal cord white matter Weak 99256552 There is scattered expression in the white matter.

Specimen Mouse 403372 - Image 99256553: postnatal day 52; Lmbr1ltm1Dgen/Lmbr1l+ (more )
Structure Level Pattern Image Note
TS28: spinal cord Moderate Regionally restricted 99256553 There is scattered expression in the blood vessels of the spinal cord.
TS28: blood vessel Moderate Regionally restricted 99256553 There is scattered expression in the blood vessels of the spinal cord.

Specimen Mouse 403372 - Image 99256554: postnatal day 52; Lmbr1ltm1Dgen/Lmbr1l+ (more )
Structure Level Pattern Image Note
TS28: cerebellum Purkinje cell layer Strong 99256554 Expression is present in practically all cells of the Purkinje layer.

Specimen Mouse 403372 - Image 99256555: postnatal day 52; Lmbr1ltm1Dgen/Lmbr1l+ (more )
Structure Level Pattern Image Note
TS28: cerebellum white matter Strong 99256555 There is scattered expression in the white matter.

Specimen Mouse 403372 - Image 99256556: postnatal day 52; Lmbr1ltm1Dgen/Lmbr1l+ (more )
Structure Level Pattern Image Note
TS28: brainstem Strong 99256556 Expression is frequently seen in the brainstem.

Specimen Mouse 403372: postnatal day 52; Lmbr1ltm1Dgen/Lmbr1l+ (more )
Structure Level Pattern Image Note
TS28: bone marrow Absent
TS28: lymph node Absent
TS28: telencephalon Moderate Regionally restricted There is scattered expression in the blood vessels of the cerebrum.
TS28: blood vessel Moderate Regionally restricted There is scattered expression in the blood vessels of the cerebrum.

Specimen Mouse 403373 - Image 99252757: postnatal day 75; Lmbr1ltm1Dgen/Lmbr1l+ (more )
Structure Level Pattern Image Note
TS28: brain Very strong 99252757 Expression is present in practically all cells of the brain.

Specimen Mouse 403373 - Image 99252758: postnatal day 75; Lmbr1ltm1Dgen/Lmbr1l+ (more )
Structure Level Pattern Image Note
TS28: telencephalon Very strong 99252758 Expression is present in practically all cells of the cerebrum.

Specimen Mouse 403373 - Image 99252759: postnatal day 75; Lmbr1ltm1Dgen/Lmbr1l+ (more )
Structure Level Pattern Image Note
TS28: cerebellum Very strong 99252759 Expression is present in practically all cells of the cerebellum.

Specimen Mouse 403373 - Image 99252760: postnatal day 75; Lmbr1ltm1Dgen/Lmbr1l+ (more )
Structure Level Pattern Image Note
TS28: brainstem Very strong 99252760 Expression is present in practically all cells of the brainstem.

Specimen Mouse 403373 - Image 99256347: postnatal day 75; Lmbr1ltm1Dgen/Lmbr1l+ (more )
Structure Level Pattern Image Note
TS28: ovary follicle Moderate Regionally restricted 99256347 Expression is frequently seen in the corpus luteum.

Specimen Mouse 403373 - Image 99256348: postnatal day 75; Lmbr1ltm1Dgen/Lmbr1l+ (more )
Structure Level Pattern Image Note
TS28: ovary Moderate Regionally restricted 99256348 Expression is frequently seen in the blood vessels of the ovary.
TS28: blood vessel Moderate Regionally restricted 99256348 Expression is frequently seen in the blood vessels of the ovary.

Specimen Mouse 403373 - Image 99256349: postnatal day 75; Lmbr1ltm1Dgen/Lmbr1l+ (more )
Structure Level Pattern Image Note
TS28: ovary Moderate Regionally restricted 99256349 There is scattered expression in the stroma.

Specimen Mouse 403373 - Image 99256350: postnatal day 75; Lmbr1ltm1Dgen/Lmbr1l+ (more )
Structure Level Pattern Image Note
TS28: uterus Moderate Regionally restricted 99256350 There is scattered expression in the blood vessels of the uterus.
TS28: blood vessel Moderate Regionally restricted 99256350 There is scattered expression in the blood vessels of the uterus.

Specimen Mouse 403373 - Image 99256351: postnatal day 75; Lmbr1ltm1Dgen/Lmbr1l+ (more )
Structure Level Pattern Image Note
TS28: myometrium Moderate 99256351 There is scattered expression in the myometrium.

Specimen Mouse 403373 - Image 99256352: postnatal day 75; Lmbr1ltm1Dgen/Lmbr1l+ (more )
Structure Level Pattern Image Note
TS28: endometrium stroma Weak 99256352 There is scattered expression in the endometrial stroma.

Specimen Mouse 403373 - Image 99256353: postnatal day 75; Lmbr1ltm1Dgen/Lmbr1l+ (more )
Structure Level Pattern Image Note
TS28: cervix uteri Moderate Regionally restricted 99256353 There is scattered expression in the smooth muscle layer.

Specimen Mouse 403373 - Image 99256354: postnatal day 75; Lmbr1ltm1Dgen/Lmbr1l+ (more )
Structure Level Pattern Image Note
TS28: cervix uteri Weak Regionally restricted 99256354 There is scattered expression in the stroma.

Specimen Mouse 403373 - Image 99256355: postnatal day 75; Lmbr1ltm1Dgen/Lmbr1l+ (more )
Structure Level Pattern Image Note
TS28: cervix uteri Moderate Regionally restricted 99256355 There is scattered expression in the blood vessels of the cervix.
TS28: blood vessel Moderate Regionally restricted 99256355 There is scattered expression in the blood vessels of the cervix.

Specimen Mouse 403373 - Image 99256558: postnatal day 75; Lmbr1ltm1Dgen/Lmbr1l+ (more )
Structure Level Pattern Image Note
TS28: adenohypophysis pars anterior Strong 99256558 Expression is frequently seen in the pars distalis.

Specimen Mouse 403373 - Image 99256559: postnatal day 75; Lmbr1ltm1Dgen/Lmbr1l+ (more )
Structure Level Pattern Image Note
TS28: adenohypophysis pars intermedia Strong 99256559 There is scattered expression in the pars intermedia.

Specimen Mouse 403373 - Image 99256560: postnatal day 75; Lmbr1ltm1Dgen/Lmbr1l+ (more )
Structure Level Pattern Image Note
TS28: neurohypophysis pars nervosa Moderate 99256560 There is scattered expression in the pars nervosa.

Specimen Mouse 403373 - Image 99256905: postnatal day 75; Lmbr1ltm1Dgen/Lmbr1l+ (more )
Structure Level Pattern Image Note
TS28: epithelial layer of cervix uteri Strong 99256905 There is occasional staining in the epithelium.


Contributing Projects:
Mouse Genome Database (MGD), Gene Expression Database (GXD), Mouse Models of Human Cancer database (MMHCdb) (formerly Mouse Tumor Biology (MTB)), Gene Ontology (GO)
Citing These Resources
Funding Information
Warranty Disclaimer, Privacy Notice, Licensing, & Copyright
Send questions and comments to User Support.
last database update
03/24/2026
MGI 6.24
The Jackson Laboratory