About   Help   FAQ
Gene Expression Data
Assay Details
Assay
Reference: J:101679 Deltagen Inc, NIH initiative supporting placement of Deltagen, Inc. mice into public repositories. MGI Direct Data Submission. 2005;
Assay type: In situ reporter (knock in)
MGI Accession ID: MGI:3639255
Gene symbol: Sema6c
Gene name: sema domain, transmembrane domain (TM), and cytoplasmic domain, (semaphorin) 6C
Reporter: lacZ
Direct Detection
Results
Specimen Mouse 291752 - Image 99206669: postnatal day 49; Sema6ctm1Dgen/Sema6c+ (more )
Structure Level Pattern Image Note
TS28: brain Very strong 99206669 Expression is present in practically all cells of the brain.

Specimen Mouse 291752 - Image 99206670: postnatal day 49; Sema6ctm1Dgen/Sema6c+ (more )
Structure Level Pattern Image Note
TS28: cerebellum Very strong 99206670 Expression is present in practically all cells of the cerebellum.

Specimen Mouse 291752 - Image 99206672: postnatal day 49; Sema6ctm1Dgen/Sema6c+ (more )
Structure Level Pattern Image Note
TS28: brainstem Very strong 99206672 Expression is present in practically all cells of the brainstem.

Specimen Mouse 291752 - Image 99236662: postnatal day 49; Sema6ctm1Dgen/Sema6c+ (more )
Structure Level Pattern Image Note
TS28: telencephalon Very strong 99236662 Expression is present in practically all cells of the cerebrum.

Specimen Mouse 291752 - Image 99237100: postnatal day 49; Sema6ctm1Dgen/Sema6c+ (more )
Structure Level Pattern Image Note
TS28: cervix uteri Weak Regionally restricted 99237100 There is scattered expression in the stroma.

Specimen Mouse 291752 - Image 99237102: postnatal day 49; Sema6ctm1Dgen/Sema6c+ (more )
Structure Level Pattern Image Note
TS28: cervix uteri Weak Regionally restricted 99237102 There is scattered expression in the smooth muscle layer.

Specimen Mouse 291752 - Image 99237104: postnatal day 49; Sema6ctm1Dgen/Sema6c+ (more )
Structure Level Pattern Image Note
TS28: myometrium Moderate 99237104 Expression is frequently seen in the myometrium.

Specimen Mouse 291752 - Image 99237105: postnatal day 49; Sema6ctm1Dgen/Sema6c+ (more )
Structure Level Pattern Image Note
TS28: uterus Strong Regionally restricted 99237105 Expression is frequently seen in the blood vessels of the uterus.
TS28: blood vessel Strong Regionally restricted 99237105 Expression is frequently seen in the blood vessels of the uterus.

Specimen Mouse 291752 - Image 99237107: postnatal day 49; Sema6ctm1Dgen/Sema6c+ (more )
Structure Level Pattern Image Note
TS28: endometrium stroma Weak 99237107 There is scattered expression in the endometrial stroma.

Specimen Mouse 291752 - Image 99237108: postnatal day 49; Sema6ctm1Dgen/Sema6c+ (more )
Structure Level Pattern Image Note
TS28: cervix uteri Weak Regionally restricted 99237108 There is scattered expression in the blood vessels of the cervix.
TS28: blood vessel Weak Regionally restricted 99237108 There is scattered expression in the blood vessels of the cervix.

Specimen Mouse 291752 - Image 99237113: postnatal day 49; Sema6ctm1Dgen/Sema6c+ (more )
Structure Level Pattern Image Note
TS28: ovary Trace Regionally restricted 99237113 There is scattered expression in the blood vessels of the ovary.
TS28: blood vessel Trace Regionally restricted 99237113 There is scattered expression in the blood vessels of the ovary.

Specimen Mouse 291752 - Image 99237118: postnatal day 49; Sema6ctm1Dgen/Sema6c+ (more )
Structure Level Pattern Image Note
TS28: ovary Trace Regionally restricted 99237118 There is occasional staining in the stroma.

Specimen Mouse 291752: postnatal day 49; Sema6ctm1Dgen/Sema6c+ (more )
Structure Level Pattern Image Note
TS28: bone marrow Absent

Specimen Mouse 296235 - Image 99232070: postnatal day 58; Sema6ctm1Dgen/Sema6c+ (more )
Structure Level Pattern Image Note
TS28: cerebral cortex Strong 99232070 Expression is frequently seen in the cortex.

Specimen Mouse 296235 - Image 99232071: postnatal day 58; Sema6ctm1Dgen/Sema6c+ (more )
Structure Level Pattern Image Note
TS28: amygdala Strong 99232071 There is scattered expression in the amygdala.

Specimen Mouse 296235 - Image 99232072: postnatal day 58; Sema6ctm1Dgen/Sema6c+ (more )
Structure Level Pattern Image Note
TS28: caudate-putamen Strong 99232072 There is scattered expression in the caudate-putamen.

Specimen Mouse 296235 - Image 99232076: postnatal day 58; Sema6ctm1Dgen/Sema6c+ (more )
Structure Level Pattern Image Note
TS28: hippocampus Very strong 99232076 Expression is frequently seen in the hippocampus.

Specimen Mouse 296235 - Image 99232077: postnatal day 58; Sema6ctm1Dgen/Sema6c+ (more )
Structure Level Pattern Image Note
TS28: thalamus Strong 99232077 Expression is frequently seen in the thalamus.

Specimen Mouse 296235 - Image 99232078: postnatal day 58; Sema6ctm1Dgen/Sema6c+ (more )
Structure Level Pattern Image Note
TS28: hypothalamus Strong 99232078 Expression is frequently seen in the hypothalamus.

Specimen Mouse 296235 - Image 99232345: postnatal day 58; Sema6ctm1Dgen/Sema6c+ (more )
Structure Level Pattern Image Note
TS28: testis Weak Regionally restricted 99232345 Expression is frequently seen in the tunica albuginea.

Specimen Mouse 296235 - Image 99232346: postnatal day 58; Sema6ctm1Dgen/Sema6c+ (more )
Structure Level Pattern Image Note
TS28: lamina propria of bladder Moderate 99232346 There is scattered expression in the muscularis.

Specimen Mouse 296235 - Image 99232347: postnatal day 58; Sema6ctm1Dgen/Sema6c+ (more )
Structure Level Pattern Image Note
TS28: bladder Weak Regionally restricted 99232347 Expression is frequently seen in the blood vessels of the urinary bladder.
TS28: blood vessel Weak Regionally restricted 99232347 Expression is frequently seen in the blood vessels of the urinary bladder.

Specimen Mouse 296235 - Image 99232348: postnatal day 58; Sema6ctm1Dgen/Sema6c+ (more )
Structure Level Pattern Image Note
TS28: glomerular tuft Moderate 99232348 There is occasional staining in the glomeruli.

Specimen Mouse 296235 - Image 99232349: postnatal day 58; Sema6ctm1Dgen/Sema6c+ (more )
Structure Level Pattern Image Note
TS28: renal medulla Trace 99232349 There is scattered expression in the medulla.

Specimen Mouse 296235 - Image 99232351: postnatal day 58; Sema6ctm1Dgen/Sema6c+ (more )
Structure Level Pattern Image Note
TS28: adrenal gland Weak Regionally restricted 99232351 Expression is frequently seen in the capsule.

Specimen Mouse 296235 - Image 99232353: postnatal day 58; Sema6ctm1Dgen/Sema6c+ (more )
Structure Level Pattern Image Note
TS28: renal papilla Weak 99232353 Expression is frequently seen in the papilla.

Specimen Mouse 296235 - Image 99232354: postnatal day 58; Sema6ctm1Dgen/Sema6c+ (more )
Structure Level Pattern Image Note
TS28: heart atrium Very strong 99232354 Expression is present in practically all cells of the atrium.

Specimen Mouse 296235 - Image 99232355: postnatal day 58; Sema6ctm1Dgen/Sema6c+ (more )
Structure Level Pattern Image Note
TS28: heart valve Weak 99232355 Expression is frequently seen in the valves.

Specimen Mouse 296235 - Image 99232356: postnatal day 58; Sema6ctm1Dgen/Sema6c+ (more )
Structure Level Pattern Image Note
TS28: heart ventricle Moderate 99232356 There is scattered expression in the ventricles.

Specimen Mouse 296235 - Image 99232357: postnatal day 58; Sema6ctm1Dgen/Sema6c+ (more )
Structure Level Pattern Image Note
TS28: heart Weak Regionally restricted 99232357 Expression is frequently seen in the blood vessels of the heart.
TS28: blood vessel Weak Regionally restricted 99232357 Expression is frequently seen in the blood vessels of the heart.

Specimen Mouse 296235 - Image 99232358: postnatal day 58; Sema6ctm1Dgen/Sema6c+ (more )
Structure Level Pattern Image Note
TS28: lung Very strong Regionally restricted 99232358 Expression is frequently seen in the blood vessels of the lung.
TS28: blood vessel Very strong Regionally restricted 99232358 Expression is frequently seen in the blood vessels of the lung.

Specimen Mouse 296235 - Image 99232359: postnatal day 58; Sema6ctm1Dgen/Sema6c+ (more )
Structure Level Pattern Image Note
TS28: bronchiole Strong Regionally restricted 99232359 There is scattered expression in the smooth muscle cells of the bronchioles.

Specimen Mouse 296235 - Image 99232360: postnatal day 58; Sema6ctm1Dgen/Sema6c+ (more )
Structure Level Pattern Image Note
TS28: bile duct Strong 99232360 There is scattered expression in the bile duct.

Specimen Mouse 296235 - Image 99232361: postnatal day 58; Sema6ctm1Dgen/Sema6c+ (more )
Structure Level Pattern Image Note
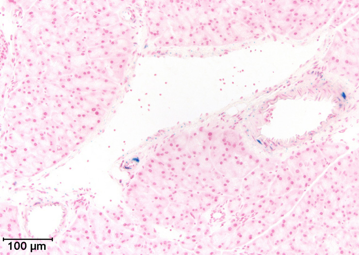
TS28: liver Strong Regionally restricted 99232361 There is scattered expression in the blood vessels of the liver.
TS28: blood vessel Strong Regionally restricted 99232361 There is scattered expression in the blood vessels of the liver.

Specimen Mouse 296235 - Image 99232364: postnatal day 58; Sema6ctm1Dgen/Sema6c+ (more )
Structure Level Pattern Image Note
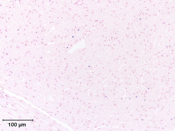
TS28: aorta Weak 99232364 Expression is frequently seen in the aorta.

Specimen Mouse 296235 - Image 99232370: postnatal day 58; Sema6ctm1Dgen/Sema6c+ (more )
Structure Level Pattern Image Note
TS28: retina Moderate 99232370 There is scattered expression in the retina.

Specimen Mouse 296235 - Image 99232371: postnatal day 58; Sema6ctm1Dgen/Sema6c+ (more )
Structure Level Pattern Image Note
TS28: sclera Moderate 99232371 Expression is frequently seen in the sclera.

Specimen Mouse 296235 - Image 99232372: postnatal day 58; Sema6ctm1Dgen/Sema6c+ (more )
Structure Level Pattern Image Note
TS28: sciatic nerve Very strong 99232372 Expression is present in practically all cells of the sciatic nerve.

Specimen Mouse 296235 - Image 99242410: postnatal day 58; Sema6ctm1Dgen/Sema6c+ (more )
Structure Level Pattern Image Note
TS28: skeletal muscle Strong 99242410 There is scattered expression in the skeletal muscle.

Specimen Mouse 296235 - Image 99242416: postnatal day 58; Sema6ctm1Dgen/Sema6c+ (more )
Structure Level Pattern Image Note
TS28: dermis Strong 99242416 There is scattered expression in the dermis.

Specimen Mouse 296235 - Image 99242418: postnatal day 58; Sema6ctm1Dgen/Sema6c+ (more )
Structure Level Pattern Image Note
TS28: thyroid gland Weak Regionally restricted 99242418 There is scattered expression in the blood vessels of the thyroid gland.
TS28: blood vessel Weak Regionally restricted 99242418 There is scattered expression in the blood vessels of the thyroid gland.

Specimen Mouse 296235 - Image 99242420: postnatal day 58; Sema6ctm1Dgen/Sema6c+ (more )
Structure Level Pattern Image Note
TS28: trachea cartilage Moderate 99242420 There is scattered expression in the chondrocytes.

Specimen Mouse 296235 - Image 99242424: postnatal day 58; Sema6ctm1Dgen/Sema6c+ (more )
Structure Level Pattern Image Note
TS28: trachea Strong 99242424 There is scattered expression in the trachea.

Specimen Mouse 296235 - Image 99242431: postnatal day 58; Sema6ctm1Dgen/Sema6c+ (more )
Structure Level Pattern Image Note
TS28: ciliary body Weak 99242431 There is scattered expression in the ciliary body.

Specimen Mouse 296235 - Image 99242436: postnatal day 58; Sema6ctm1Dgen/Sema6c+ (more )
Structure Level Pattern Image Note
TS28: retina outer nuclear layer Weak 99242436 There is occasional staining in the outer nuclear layer.

Specimen Mouse 296235 - Image 99242441: postnatal day 58; Sema6ctm1Dgen/Sema6c+ (more )
Structure Level Pattern Image Note
TS28: retina inner nuclear layer Strong 99242441 There is scattered expression in the inner nuclear layer.

Specimen Mouse 296235 - Image 99242443: postnatal day 58; Sema6ctm1Dgen/Sema6c+ (more )
Structure Level Pattern Image Note
TS28: retina ganglion cell layer Strong 99242443 Expression is frequently seen in the ganglion cell layer.

Specimen Mouse 296235 - Image 99242651: postnatal day 58; Sema6ctm1Dgen/Sema6c+ (more )
Structure Level Pattern Image Note
TS28: metanephros Weak Regionally restricted 99242651 Expression is frequently seen in the blood vessels of the kidney.
TS28: blood vessel Weak Regionally restricted 99242651 Expression is frequently seen in the blood vessels of the kidney.

Specimen Mouse 296235 - Image 99242656: postnatal day 58; Sema6ctm1Dgen/Sema6c+ (more )
Structure Level Pattern Image Note
TS28: prostate gland Weak Regionally restricted 99242656 There is scattered expression in the stroma.

Specimen Mouse 296235 - Image 99242660: postnatal day 58; Sema6ctm1Dgen/Sema6c+ (more )
Structure Level Pattern Image Note
TS28: testis Moderate Regionally restricted 99242660 Expression is frequently seen in the blood vessels of the testis.
TS28: blood vessel Moderate Regionally restricted 99242660 Expression is frequently seen in the blood vessels of the testis.

Specimen Mouse 296235 - Image 99242662: postnatal day 58; Sema6ctm1Dgen/Sema6c+ (more )
Structure Level Pattern Image Note
TS28: seminiferous tubule Very strong 99242662 There is scattered expression in the seminiferous tubules.

Specimen Mouse 296235 - Image 99242663: postnatal day 58; Sema6ctm1Dgen/Sema6c+ (more )
Structure Level Pattern Image Note
TS28: pancreatic duct Weak 99242663 There is scattered expression in the duct.

Specimen Mouse 296235 - Image 99242664: postnatal day 58; Sema6ctm1Dgen/Sema6c+ (more )
Structure Level Pattern Image Note
TS28: pancreas Strong Regionally restricted 99242664 Expression is frequently seen in the blood vessels of the pancreas.
TS28: blood vessel Strong Regionally restricted 99242664 Expression is frequently seen in the blood vessels of the pancreas.

Specimen Mouse 296235 - Image 99242668: postnatal day 58; Sema6ctm1Dgen/Sema6c+ (more )
Structure Level Pattern Image Note
TS28: spleen trabeculum Trace 99242668 There is occasional staining in the trabeculae.

Specimen Mouse 296235 - Image 99242670: postnatal day 58; Sema6ctm1Dgen/Sema6c+ (more )
Structure Level Pattern Image Note
TS28: spleen capsule Weak 99242670 There is occasional staining in the capsule.

Specimen Mouse 296235 - Image 99242671: postnatal day 58; Sema6ctm1Dgen/Sema6c+ (more )
Structure Level Pattern Image Note
TS28: adenohypophysis pars intermedia Weak 99242671 Expression is frequently seen in the pars intermedia.

Specimen Mouse 296235 - Image 99242672: postnatal day 58; Sema6ctm1Dgen/Sema6c+ (more )
Structure Level Pattern Image Note
TS28: neurohypophysis pars nervosa Moderate 99242672 There is occasional staining in the pars nervosa.

Specimen Mouse 296235 - Image 99242673: postnatal day 58; Sema6ctm1Dgen/Sema6c+ (more )
Structure Level Pattern Image Note
TS28: adenohypophysis pars anterior Moderate 99242673 Expression is frequently seen in the pars distalis.

Specimen Mouse 296235 - Image 99242674: postnatal day 58; Sema6ctm1Dgen/Sema6c+ (more )
Structure Level Pattern Image Note
TS28: spinal cord white matter Moderate 99242674 There is occasional staining in the white matter.

Specimen Mouse 296235 - Image 99242676: postnatal day 58; Sema6ctm1Dgen/Sema6c+ (more )
Structure Level Pattern Image Note
TS28: spinal cord ventral horn Strong 99242676 Expression is frequently seen in the ventral horns.

Specimen Mouse 296235 - Image 99242677: postnatal day 58; Sema6ctm1Dgen/Sema6c+ (more )
Structure Level Pattern Image Note
TS28: spinal cord Very strong Regionally restricted 99242677 Expression is present in practically all the nerves of the spinal cord.
TS28: nerve Very strong Regionally restricted 99242677 Expression is present in practically all the nerves of the spinal cord.

Specimen Mouse 296235 - Image 99242679: postnatal day 58; Sema6ctm1Dgen/Sema6c+ (more )
Structure Level Pattern Image Note
TS28: spinal cord dorsal horn Strong 99242679 Expression is frequently seen in the dorsal horns.

Specimen Mouse 296235 - Image 99242681: postnatal day 58; Sema6ctm1Dgen/Sema6c+ (more )
Structure Level Pattern Image Note
TS28: brainstem Very strong 99242681 Expression is frequently seen in the brainstem.

Specimen Mouse 296235 - Image 99242682: postnatal day 58; Sema6ctm1Dgen/Sema6c+ (more )
Structure Level Pattern Image Note
TS28: cerebellum molecular layer Strong 99242682 Expression is present in practically all cells of the molecular layer.

Specimen Mouse 296235 - Image 99242683: postnatal day 58; Sema6ctm1Dgen/Sema6c+ (more )
Structure Level Pattern Image Note
TS28: cerebellum Weak Regionally restricted 99242683 There is scattered expression in the blood vessels of the cerebellum.
TS28: blood vessel Weak Regionally restricted 99242683 There is scattered expression in the blood vessels of the cerebellum.

Specimen Mouse 296235 - Image 99242684: postnatal day 58; Sema6ctm1Dgen/Sema6c+ (more )
Structure Level Pattern Image Note
TS28: cerebellum granule cell layer Strong 99242684 Expression is present in practically all cells of the granular layer.

Specimen Mouse 296235 - Image 99242685: postnatal day 58; Sema6ctm1Dgen/Sema6c+ (more )
Structure Level Pattern Image Note
TS28: cerebellum Purkinje cell layer Very strong 99242685 Expression is present in practically all cells of the Purkinje layer.

Specimen Mouse 296235 - Image 99242686: postnatal day 58; Sema6ctm1Dgen/Sema6c+ (more )
Structure Level Pattern Image Note
TS28: cerebellum white matter Strong 99242686 There is occasional staining in the white matter.

Specimen Mouse 296235 - Image 99242710: postnatal day 58; Sema6ctm1Dgen/Sema6c+ (more )
Structure Level Pattern Image Note
TS28: telencephalon Strong 99242710 There is scattered expression in the cerebrum.

Specimen Mouse 296235: postnatal day 58; Sema6ctm1Dgen/Sema6c+ (more )
Structure Level Pattern Image Note
TS28: adrenal gland Weak Regionally restricted There is scattered expression in the blood vessels of the adrenal gland.
TS28: blood vessel Present Regionally restricted In blood vessels moderate expression is frequently seen in the cerebrum; moderate, scattered expression in the spinal cord; weak, scattered expression in the adrenal and prostate glands; and weak, occasional staining in the spleen.
TS28: bone marrow Absent
TS28: spleen Weak Regionally restricted There is occasional staining in the blood vessels of the spleen.
TS28: lymph node Absent
TS28: thymus Absent
TS28: prostate gland Weak Regionally restricted There is scattered expression in the blood vessels of the prostate gland.
TS28: telencephalon Moderate Regionally restricted Expression is frequently seen in the blood vessels of the cerebrum.
TS28: spinal cord Moderate Regionally restricted There is scattered expression in the blood vessels of the spinal cord.


Contributing Projects:
Mouse Genome Database (MGD), Gene Expression Database (GXD), Mouse Models of Human Cancer database (MMHCdb) (formerly Mouse Tumor Biology (MTB)), Gene Ontology (GO)
Citing These Resources
Funding Information
Warranty Disclaimer, Privacy Notice, Licensing, & Copyright
Send questions and comments to User Support.
last database update
12/30/2025
MGI 6.24
The Jackson Laboratory