About   Help   FAQ
Gene Expression Data
Assay Details
Assay
Reference: J:101679 Deltagen Inc, NIH initiative supporting placement of Deltagen, Inc. mice into public repositories. MGI Direct Data Submission. 2005;
Assay type: In situ reporter (knock in)
MGI Accession ID: MGI:3639252
Gene symbol: Sema5a
Gene name: sema domain, seven thrombospondin repeats (type 1 and type 1-like), transmembrane domain (TM) and short cytoplasmic domain, (semaphorin) 5A
Reporter: lacZ
Direct Detection
Results
Specimen Mouse 250178 - Image 99190040: postnatal day 52; Sema5atm1Dgen/Sema5a+ (more )
Structure Level Pattern Image Note
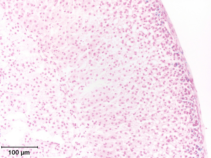
TS28: ovary Strong 99190040 There is scattered expression in the ovary, including in the stroma. In addition, expression is frequently seen in the blood vessels of the ovary.
TS28: blood vessel Strong Regionally restricted 99190040 Expression is frequently seen in the blood vessels of the ovary.
TS28: ovary follicle Strong 99190040 There is scattered expression in the follicle.

Specimen Mouse 250178 - Image 99190062: postnatal day 52; Sema5atm1Dgen/Sema5a+ (more )
Structure Level Pattern Image Note
TS28: uterus Strong 99190062 Expression is frequently seen in the uterus.
TS28: endometrium glandular epithelium Absent 99190062
TS28: endometrium stroma Strong 99190062 There is scattered expression in the endometrial stroma.
TS28: myometrium Strong 99190062 Expression is frequently seen in the myometrium.

Specimen Mouse 250178 - Image 99190068: postnatal day 52; Sema5atm1Dgen/Sema5a+ (more )
Structure Level Pattern Image Note
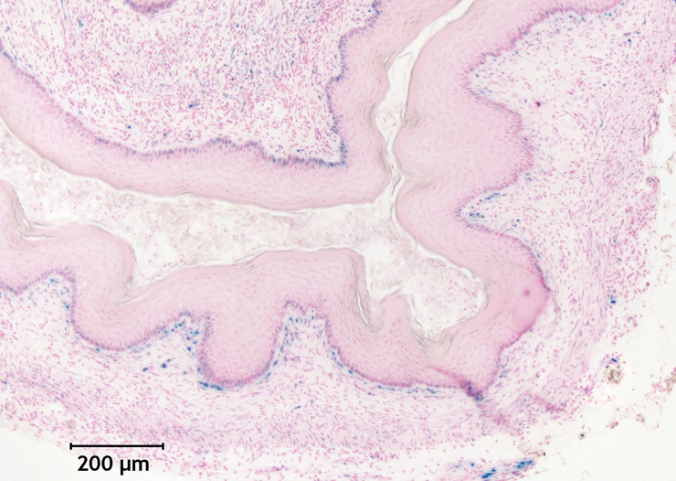
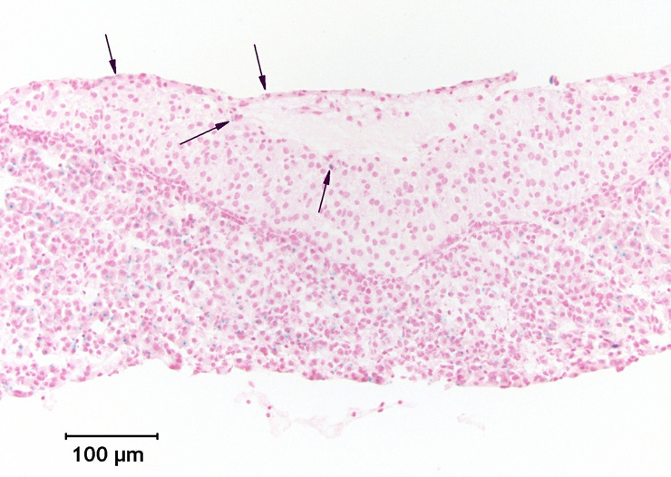
TS28: cervix uteri Strong 99190068 There is scattered expression in the cervix. Expression is frequently seen in the lamina propria and in the stroma.

Specimen Mouse 250178 - Image 99191230: postnatal day 52; Sema5atm1Dgen/Sema5a+ (more )
Structure Level Pattern Image Note
TS28: brain Moderate 99191230 Expression is frequently seen in the brain.
TS28: telencephalon Moderate 99191230 Expression is frequently seen in the cerebrum.

Specimen Mouse 250178 - Image 99191231: postnatal day 52; Sema5atm1Dgen/Sema5a+ (more )
Structure Level Pattern Image Note
TS28: cerebellum Moderate 99191231 Expression is frequently seen in the cerebellum.

Specimen Mouse 250178 - Image 99191232: postnatal day 52; Sema5atm1Dgen/Sema5a+ (more )
Structure Level Pattern Image Note
TS28: brainstem Moderate 99191232 Expression is frequently seen in the brainstem.

Specimen Mouse 250178 - Image 99193236: postnatal day 52; Sema5atm1Dgen/Sema5a+ (more )
Structure Level Pattern Image Note
TS28: bladder Strong 99193236 There is scattered expression in the urinary bladder.
TS28: urothelium of bladder Strong Regionally restricted 99193236 There is scattered expression in the epithelium.
TS28: lamina propria of bladder Strong 99193236 Expression is frequently seen in the muscularis.

Specimen Mouse 250178 - Image 99193239: postnatal day 52; Sema5atm1Dgen/Sema5a+ (more )
Structure Level Pattern Image Note
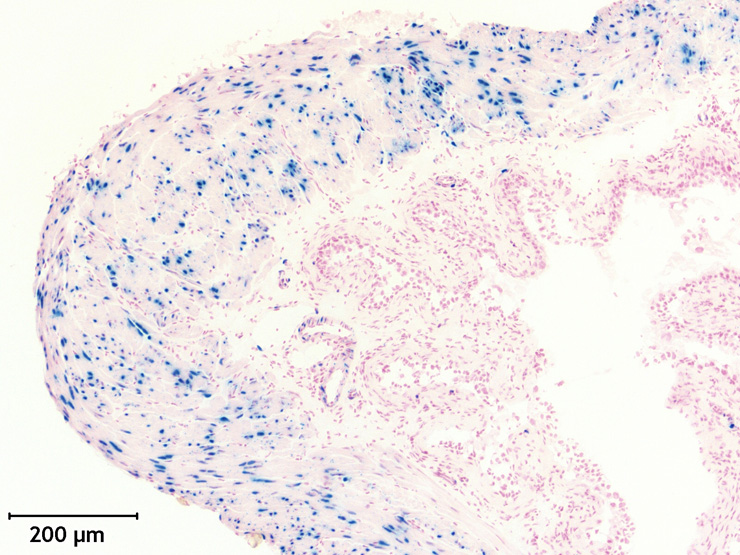
TS28: thymus Strong 99193239 There is scattered expression in the thymus.

Specimen Mouse 250178: postnatal day 52; Sema5atm1Dgen/Sema5a+ (more )
Structure Level Pattern Image Note
TS28: adenohypophysis pars anterior Moderate Expression is frequently seen in the pars distalis.
TS28: adenohypophysis pars intermedia Weak There is scattered expression in the pars intermedia.
TS28: neurohypophysis pars nervosa Moderate There is scattered expression in the pars nervosa.
TS28: bone marrow Absent
TS28: thymus cortex Strong There is occasional staining in the cortex.
TS28: thymus medullary core Strong There is scattered expression in the medulla.
TS28: spinal cord central canal Weak There is scattered expression in the central canal.
TS28: spinal cord gray matter Strong There is scattered expression in the grey matter.
TS28: spinal cord white matter Very strong Expression is frequently seen in the white matter.
TS28: extrinsic ocular muscle Moderate There is scattered expression in the extraocular muscles.
TS28: retina ganglion cell layer Moderate There is scattered expression in the ganglion cell layer.
TS28: retina inner nuclear layer Strong Expression is frequently seen in the inner nuclear layer.
TS28: lens Strong Expression is frequently seen in the lens.

Specimen Mouse 254483 - Image 99189335: postnatal day 57; Sema5atm1Dgen/Sema5a+ (more )
Structure Level Pattern Image Note
TS28: corpus callosum Strong 99189335 Expression is frequently seen in the corpus callosum.
TS28: dentate gyrus Strong 99189335 Expression is present in practically all cells of the dentate gyrus.
TS28: hippocampus Strong 99189335 There is scattered expression in the hippocampus.

Specimen Mouse 254483 - Image 99189338: postnatal day 57; Sema5atm1Dgen/Sema5a+ (more )
Structure Level Pattern Image Note
TS28: cerebral cortex Strong 99189338 There is scattered expression in the cortex.

Specimen Mouse 254483 - Image 99189339: postnatal day 57; Sema5atm1Dgen/Sema5a+ (more )
Structure Level Pattern Image Note
TS28: telencephalon Strong Regionally restricted 99189339 There is scattered expression in the choroid plexus of the cerebrum.
TS28: choroid plexus Strong Regionally restricted 99189339 There is scattered expression in the choroid plexus of the cerebrum.
TS28: brain ventricle Strong Regionally restricted 99189339 There is scattered expression in a ventricle in the cerebrum.

Specimen Mouse 254483 - Image 99189340: postnatal day 57; Sema5atm1Dgen/Sema5a+ (more )
Structure Level Pattern Image Note
TS28: thalamus Strong 99189340 There is scattered expression in the thalamus.

Specimen Mouse 254483 - Image 99189754: postnatal day 57; Sema5atm1Dgen/Sema5a+ (more )
Structure Level Pattern Image Note
TS28: anterior commissure Strong 99189754 Expression is frequently seen in the anterior commissure.
TS28: caudate-putamen Strong 99189754 There is scattered expression in the caudate-putamen.
TS28: lateral septal complex Moderate Regionally restricted 99189754 Expression is frequently seen in the lateral septal nucleus.

Specimen Mouse 254483 - Image 99189755: postnatal day 57; Sema5atm1Dgen/Sema5a+ (more )
Structure Level Pattern Image Note
TS28: hypothalamus Strong 99189755 There is scattered expression in the hypothalamus.

Specimen Mouse 254483 - Image 99189756: postnatal day 57; Sema5atm1Dgen/Sema5a+ (more )
Structure Level Pattern Image Note
TS28: telencephalon Strong Regionally restricted 99189756 There is scattered expression in the cerebral meninges.
TS28: meninges Strong Regionally restricted 99189756 There is scattered expression in the cerebral meninges.

Specimen Mouse 254483 - Image 99189757: postnatal day 57; Sema5atm1Dgen/Sema5a+ (more )
Structure Level Pattern Image Note
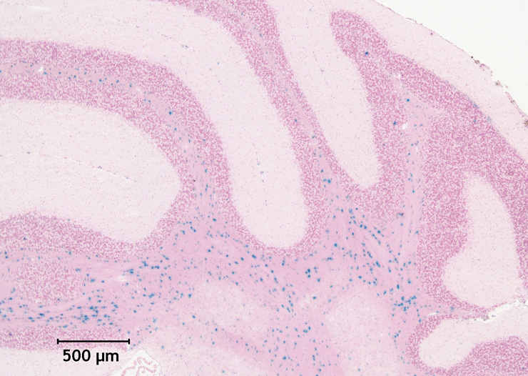
TS28: cerebellum Strong 99189757 There is scattered expression in the cerebellum.

Specimen Mouse 254483 - Image 99189758: postnatal day 57; Sema5atm1Dgen/Sema5a+ (more )
Structure Level Pattern Image Note
TS28: cerebellum Strong Regionally restricted 99189758 There is scattered expression in the blood vessels of the cerebellum.
TS28: blood vessel Strong Regionally restricted 99189758 There is scattered expression in the blood vessels of the cerebellum.
TS28: cerebellum granule cell layer Strong 99189758 There is occasional staining in the granule layer.
TS28: cerebellum molecular layer Strong 99189758 There is occasional staining in the molecular layer.
TS28: cerebellum Purkinje cell layer Weak 99189758 There is scattered expression in the Purkinje cell layer.
TS28: cerebellum white matter Strong 99189758 Expression is frequently seen in the white matter.

Specimen Mouse 254483 - Image 99189759: postnatal day 57; Sema5atm1Dgen/Sema5a+ (more )
Structure Level Pattern Image Note
TS28: brainstem Strong 99189759 Expression is frequently seen in the brainstem.

Specimen Mouse 254483 - Image 99189761: postnatal day 57; Sema5atm1Dgen/Sema5a+ (more )
Structure Level Pattern Image Note
TS28: spinal cord central canal Weak 99189761 There is scattered expression in the central canal.
TS28: spinal cord gray matter Moderate 99189761 There is occasional staining in the grey matter.
TS28: spinal cord white matter Very strong 99189761 Expression is frequently seen in the white matter.

Specimen Mouse 254483 - Image 99189762: postnatal day 57; Sema5atm1Dgen/Sema5a+ (more )
Structure Level Pattern Image Note
TS28: adenohypophysis pars anterior Moderate 99189762 Expression is frequently seen in the pars distalis.

Specimen Mouse 254483 - Image 99189763: postnatal day 57; Sema5atm1Dgen/Sema5a+ (more )
Structure Level Pattern Image Note
TS28: adenohypophysis pars intermedia Weak 99189763 There is scattered expression in the pars intermedia.

Specimen Mouse 254483 - Image 99189764: postnatal day 57; Sema5atm1Dgen/Sema5a+ (more )
Structure Level Pattern Image Note
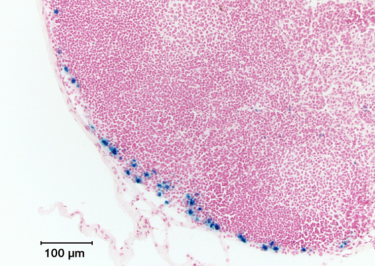
TS28: lymph node Strong 99189764 There is scattered expression in the lymph nodes.

Specimen Mouse 254483 - Image 99189765: postnatal day 57; Sema5atm1Dgen/Sema5a+ (more )
Structure Level Pattern Image Note
TS28: spleen Strong 99189765 There is scattered expression in the spleen. In addition, expression is frequently seen in the blood vessels of the spleen.
TS28: blood vessel Strong Regionally restricted 99189765 Expression is frequently seen in the blood vessels of the spleen.
TS28: spleen capsule Strong 99189765 Expression is frequently seen in the capsule.
TS28: spleen trabeculum Strong 99189765 Expression is frequently seen in the trabeculae.

Specimen Mouse 254483 - Image 99189766: postnatal day 57; Sema5atm1Dgen/Sema5a+ (more )
Structure Level Pattern Image Note
TS28: pancreas Strong 99189766 There is scattered expression in the pancreas.

Specimen Mouse 254483 - Image 99189783: postnatal day 57; Sema5atm1Dgen/Sema5a+ (more )
Structure Level Pattern Image Note
TS28: bladder Strong 99189783 There is scattered expression in the urinary bladder.
TS28: urothelium of bladder Strong Regionally restricted 99189783 There is occasional staining in the epithelium.
TS28: lamina propria of bladder Strong 99189783 Expression is frequently seen in the muscularis.

Specimen Mouse 254483 - Image 99189785: postnatal day 57; Sema5atm1Dgen/Sema5a+ (more )
Structure Level Pattern Image Note
TS28: prostate gland Strong 99189785 There is scattered expression in the prostate gland.

Specimen Mouse 254483 - Image 99189792: postnatal day 57; Sema5atm1Dgen/Sema5a+ (more )
Structure Level Pattern Image Note
TS28: testis Strong 99189792 There is scattered expression in the testis.

Specimen Mouse 254483 - Image 99189798: postnatal day 57; Sema5atm1Dgen/Sema5a+ (more )
Structure Level Pattern Image Note
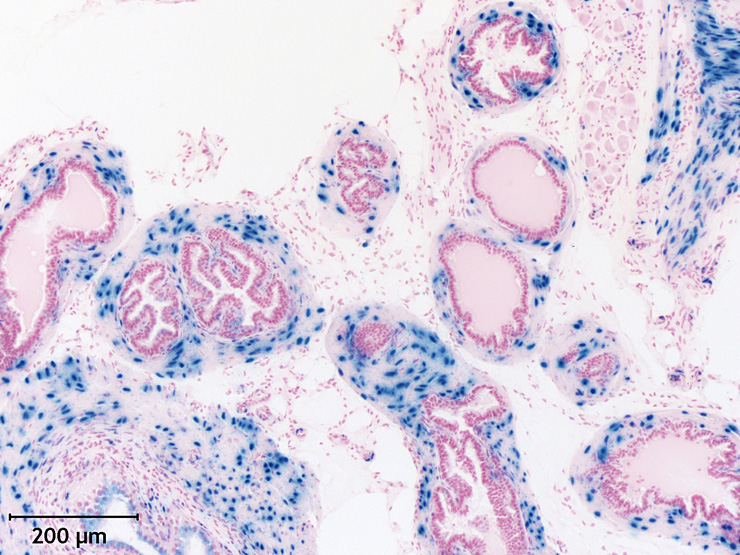
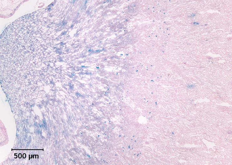
TS28: metanephros Strong 99189798 Expression is frequently seen in the kidney.

Specimen Mouse 254483 - Image 99189803: postnatal day 57; Sema5atm1Dgen/Sema5a+ (more )
Structure Level Pattern Image Note
TS28: adrenal gland Moderate Regionally restricted 99189803 There is scattered expression in the capsule.
TS28: adrenal medulla Weak 99189803 There is scattered expression in the medulla.

Specimen Mouse 254483 - Image 99189810: postnatal day 57; Sema5atm1Dgen/Sema5a+ (more )
Structure Level Pattern Image Note
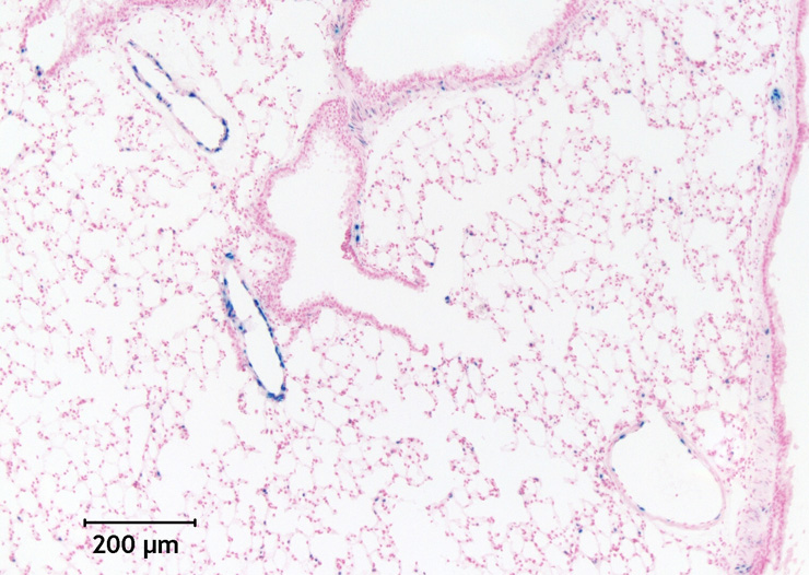
TS28: lung Strong 99189810 There is scattered expression in the lung. In addition, expression is frequently seen in the blood vessels of the lung.
TS28: lung alveolus Strong 99189810 There is scattered expression in the alveoli.
TS28: bronchiole Strong 99189810 There is scattered expression in the bronchioles.

Specimen Mouse 254483 - Image 99189814: postnatal day 57; Sema5atm1Dgen/Sema5a+ (more )
Structure Level Pattern Image Note
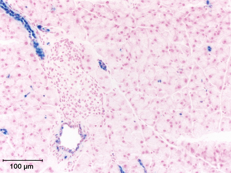
TS28: liver Strong 99189814 There is scattered expression in the liver.

Specimen Mouse 254483 - Image 99189820: postnatal day 57; Sema5atm1Dgen/Sema5a+ (more )
Structure Level Pattern Image Note
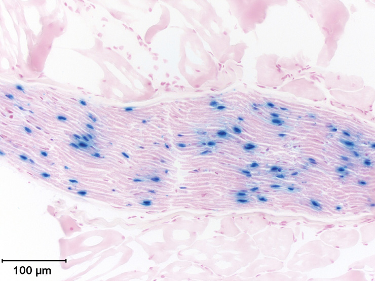
TS28: heart Strong Regionally restricted 99189820 Expression is frequently seen in the blood vessels of the heart.
TS28: blood vessel Strong Regionally restricted 99189820 Expression is frequently seen in the blood vessels of the heart.
TS28: cardiac muscle tissue Strong 99189820 There is scattered expression in the myocardium.

Specimen Mouse 254483 - Image 99189835: postnatal day 57; Sema5atm1Dgen/Sema5a+ (more )
Structure Level Pattern Image Note
TS28: lens Strong 99189835 Expression is frequently seen in the lens.

Specimen Mouse 254483 - Image 99189836: postnatal day 57; Sema5atm1Dgen/Sema5a+ (more )
Structure Level Pattern Image Note
TS28: optic nerve Strong 99189836 There is scattered expression in the optic nerve.

Specimen Mouse 254483 - Image 99189839: postnatal day 57; Sema5atm1Dgen/Sema5a+ (more )
Structure Level Pattern Image Note
TS28: thymus Strong Regionally restricted 99189839 There is scattered expression in the blood vessels of the thymus.
TS28: blood vessel Strong Regionally restricted 99189839 There is scattered expression in the blood vessels of the thymus.

Specimen Mouse 254483 - Image 99189841: postnatal day 57; Sema5atm1Dgen/Sema5a+ (more )
Structure Level Pattern Image Note
TS28: thyroid gland Strong 99189841 There is scattered expression in the thyroid gland. In addition, expression is frequently seen in the blood vessels of the thyroid gland.
TS28: blood vessel Strong Regionally restricted 99189841 Expression is frequently seen in the blood vessels of teh th.

Specimen Mouse 254483 - Image 99189844: postnatal day 57; Sema5atm1Dgen/Sema5a+ (more )
Structure Level Pattern Image Note
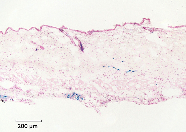
TS28: skin Strong 99189844 There is scattered expression in the skin. In addition, expression is frequently seen in the blood vessels of the skin.
TS28: blood vessel Strong Regionally restricted 99189844 Expression is frequently seen in the blood vessels of the skin.
TS28: hair follicle Strong 99189844 Expression is frequently seen in the hair follicles.

Specimen Mouse 254483 - Image 99189848: postnatal day 57; Sema5atm1Dgen/Sema5a+ (more )
Structure Level Pattern Image Note
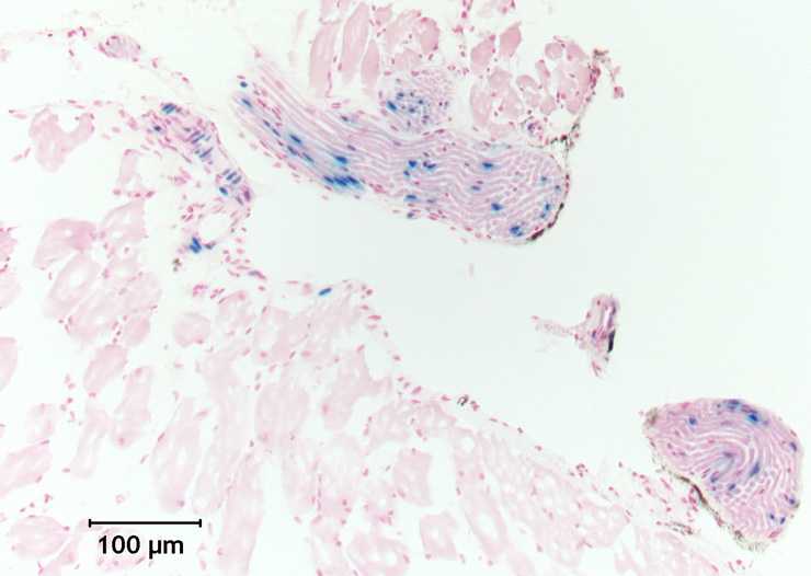
TS28: skeletal muscle Strong Regionally restricted 99189848 Expression is frequently seen in the blood vessels of the skeletal muscles.
TS28: blood vessel Strong Regionally restricted 99189848 Expression is frequently seen in the blood vessels of the skeletal muscles.

Specimen Mouse 254483 - Image 99193229: postnatal day 57; Sema5atm1Dgen/Sema5a+ (more )
Structure Level Pattern Image Note
TS28: lymph node capsule Very strong 99193229 Expression is frequently seen in the capsule.

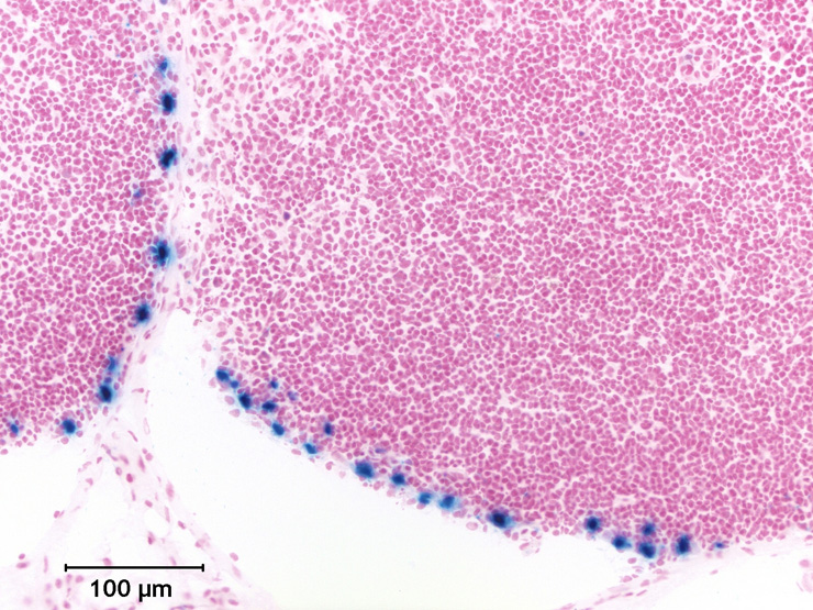
Specimen Mouse 254483 - Image 99193288: postnatal day 57; Sema5atm1Dgen/Sema5a+ (more )
Structure Level Pattern Image Note
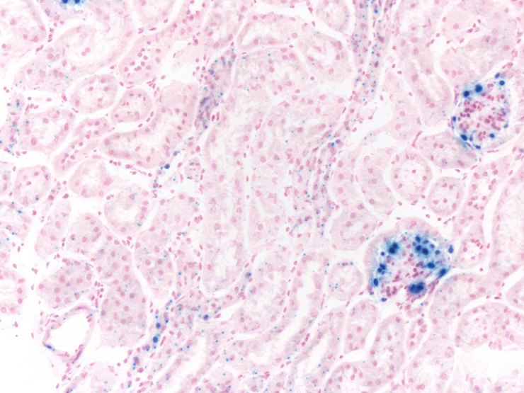
TS28: glomerular tuft Strong 99193288 Expression is frequently seen in the glomeruli.

Specimen Mouse 254483 - Image 99193294: postnatal day 57; Sema5atm1Dgen/Sema5a+ (more )
Structure Level Pattern Image Note
TS28: renal cortex Strong 99193294 There is scattered expression in the cortex.
TS28: renal medulla Strong 99193294 There is scattered expression in the medulla.
TS28: renal papilla Strong 99193294 Expression is present in practically all cells of the papilla.

Specimen Mouse 254483 - Image 99193301: postnatal day 57; Sema5atm1Dgen/Sema5a+ (more )
Structure Level Pattern Image Note
TS28: adrenal cortex Strong 99193301 There is scattered expression in the cortex.

Specimen Mouse 254483 - Image 99193308: postnatal day 57; Sema5atm1Dgen/Sema5a+ (more )
Structure Level Pattern Image Note
TS28: pancreas Strong Regionally restricted 99193308 Expression is frequently seen in the blood vessels of the pancreas.
TS28: blood vessel Strong Regionally restricted 99193308 Expression is frequently seen in the blood vessels of the pancreas.
TS28: pancreatic duct Strong 99193308 Expression is frequently seen in the duct.
TS28: islets of Langerhans Strong 99193308 There is occasional staining in the islets of Langerhans.

Specimen Mouse 254483 - Image 99193319: postnatal day 57; Sema5atm1Dgen/Sema5a+ (more )
Structure Level Pattern Image Note
TS28: liver Strong Regionally restricted 99193319 Expression is frequently seen in the blood vessels of the liver.
TS28: blood vessel Strong Regionally restricted 99193319 Expression is frequently seen in the blood vessels of the liver.
TS28: bile duct Strong 99193319 Expression is frequently seen in the bile duct.

Specimen Mouse 254483 - Image 99193337: postnatal day 57; Sema5atm1Dgen/Sema5a+ (more )
Structure Level Pattern Image Note
TS28: sciatic nerve Strong 99193337 Expression is frequently seen in the sciatic nerve.

Specimen Mouse 254483 - Image 99193354: postnatal day 57; Sema5atm1Dgen/Sema5a+ (more )
Structure Level Pattern Image Note
TS28: seminiferous tubule Strong 99193354 There is scattered expression in the seminiferous tubules.

Specimen Mouse 254483 - Image 99193362: postnatal day 57; Sema5atm1Dgen/Sema5a+ (more )
Structure Level Pattern Image Note
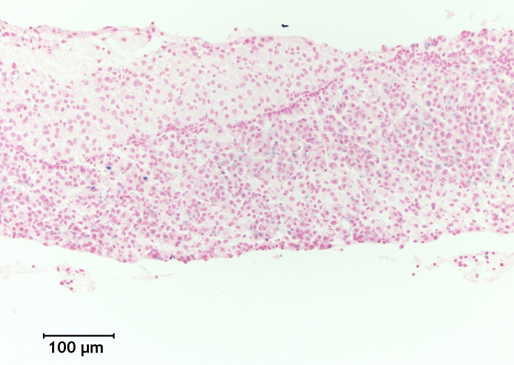
TS28: thymus Strong 99193362 There is scattered expression in the thymus.
TS28: thymus medullary core Strong 99193362 There is occasional staining in the medulla.

Specimen Mouse 254483 - Image 99193370: postnatal day 57; Sema5atm1Dgen/Sema5a+ (more )
Structure Level Pattern Image Note
TS28: retina ganglion cell layer Weak 99193370 There is scattered expression in the ganglion cell layer.
TS28: pigmented retinal epithelium Strong 99193370 Expression is frequently seen in the pigment layer.

Specimen Mouse 254483 - Image 99193372: postnatal day 57; Sema5atm1Dgen/Sema5a+ (more )
Structure Level Pattern Image Note
TS28: retina inner nuclear layer Strong 99193372 Expression is frequently seen in the inner nuclear layer.

Specimen Mouse 254483 - Image 99193375: postnatal day 57; Sema5atm1Dgen/Sema5a+ (more )
Structure Level Pattern Image Note
TS28: ampullary gland Strong 99193375 Expression is frequently seen in the ampullary glands.

Specimen Mouse 254483 - Image 99193380: postnatal day 57; Sema5atm1Dgen/Sema5a+ (more )
Structure Level Pattern Image Note
TS28: brain Strong 99193380 There is scattered expression in the brain.

Specimen Mouse 254483: postnatal day 57; Sema5atm1Dgen/Sema5a+ (more )
Structure Level Pattern Image Note
TS28: aorta Strong Expression is present in practically all cells of the aorta.
TS28: neurohypophysis pars nervosa Trace There is occasional staining in the pars nervosa.
TS28: bone marrow Absent
TS28: skeletal muscle Strong There is scattered expression in the skeletal muscle.


Contributing Projects:
Mouse Genome Database (MGD), Gene Expression Database (GXD), Mouse Models of Human Cancer database (MMHCdb) (formerly Mouse Tumor Biology (MTB)), Gene Ontology (GO)
Citing These Resources
Funding Information
Warranty Disclaimer, Privacy Notice, Licensing, & Copyright
Send questions and comments to User Support.
last database update
01/20/2026
MGI 6.24
The Jackson Laboratory