About   Help   FAQ
Gene Expression Data
Assay Details
Assay
Reference: J:101679 Deltagen Inc, NIH initiative supporting placement of Deltagen, Inc. mice into public repositories. MGI Direct Data Submission. 2005;
Assay type: In situ reporter (knock in)
MGI Accession ID: MGI:3639250
Gene symbol: Mtmr1
Gene name: myotubularin related protein 1
Reporter: lacZ
Direct Detection
Results
Specimen Mouse 398398 - Image 99257319: postnatal day 61; Mtmr1tm1Dgen/Mtmr1+ (more )
Structure Level Pattern Image Note
TS28: amygdala Weak 99257319 There is scattered expression in the amygdala.

Specimen Mouse 398398 - Image 99257320: postnatal day 61; Mtmr1tm1Dgen/Mtmr1+ (more )
Structure Level Pattern Image Note
TS28: caudate-putamen Weak 99257320 There is scattered expression in the caudate-putamen.

Specimen Mouse 398398 - Image 99257321: postnatal day 61; Mtmr1tm1Dgen/Mtmr1+ (more )
Structure Level Pattern Image Note
TS28: telencephalon Moderate Regionally restricted 99257321 There is scattered expression in the choroid plexus of the cerebrum.
TS28: choroid plexus Moderate Regionally restricted 99257321 There is scattered expression in the choroid plexus of the cerebrum.

Specimen Mouse 398398 - Image 99257322: postnatal day 61; Mtmr1tm1Dgen/Mtmr1+ (more )
Structure Level Pattern Image Note
TS28: cerebral cortex Weak 99257322 There is scattered expression in the cortex.

Specimen Mouse 398398 - Image 99257323: postnatal day 61; Mtmr1tm1Dgen/Mtmr1+ (more )
Structure Level Pattern Image Note
TS28: hippocampus Moderate 99257323 There is scattered expression in the hippocampus.

Specimen Mouse 398398 - Image 99257324: postnatal day 61; Mtmr1tm1Dgen/Mtmr1+ (more )
Structure Level Pattern Image Note
TS28: thalamus Weak 99257324 There is scattered expression in the thalamus.

Specimen Mouse 398398 - Image 99257325: postnatal day 61; Mtmr1tm1Dgen/Mtmr1+ (more )
Structure Level Pattern Image Note
TS28: brain ventricle Weak Regionally restricted 99257325 There is scattered expression in a ventricle in the cerebrum.

Specimen Mouse 398398 - Image 99257402: postnatal day 61; Mtmr1tm1Dgen/Mtmr1+ (more )
Structure Level Pattern Image Note
TS28: hypothalamus Trace 99257402 There is scattered expression in the hypothalamus.

Specimen Mouse 398398 - Image 99257408: postnatal day 61; Mtmr1tm1Dgen/Mtmr1+ (more )
Structure Level Pattern Image Note
TS28: cerebellum Purkinje cell layer Moderate 99257408 Expression is frequently seen in the Purkinje layer.

Specimen Mouse 398398 - Image 99257413: postnatal day 61; Mtmr1tm1Dgen/Mtmr1+ (more )
Structure Level Pattern Image Note
TS28: cerebellum white matter Trace 99257413 There is occasional staining in the white matter.

Specimen Mouse 398398 - Image 99257415: postnatal day 61; Mtmr1tm1Dgen/Mtmr1+ (more )
Structure Level Pattern Image Note
TS28: brainstem Weak 99257415 There is scattered expression in the brainstem.

Specimen Mouse 398398 - Image 99257421: postnatal day 61; Mtmr1tm1Dgen/Mtmr1+ (more )
Structure Level Pattern Image Note
TS28: spinal cord gray matter Weak 99257421 There is scattered expression in the grey matter.

Specimen Mouse 398398 - Image 99257433: postnatal day 61; Mtmr1tm1Dgen/Mtmr1+ (more )
Structure Level Pattern Image Note
TS28: spinal cord central canal Weak 99257433 There is scattered expression in the central canal.

Specimen Mouse 398398 - Image 99257436: postnatal day 61; Mtmr1tm1Dgen/Mtmr1+ (more )
Structure Level Pattern Image Note
TS28: adenohypophysis pars anterior Weak 99257436 Expression is frequently seen in the pars distalis.

Specimen Mouse 398398 - Image 99257437: postnatal day 61; Mtmr1tm1Dgen/Mtmr1+ (more )
Structure Level Pattern Image Note
TS28: adenohypophysis pars intermedia Trace 99257437 There is occasional staining in the pars intermedia.

Specimen Mouse 398398 - Image 99257438: postnatal day 61; Mtmr1tm1Dgen/Mtmr1+ (more )
Structure Level Pattern Image Note
TS28: neurohypophysis pars nervosa Moderate 99257438 There is occasional staining in the pars nervosa.

Specimen Mouse 398398 - Image 99257442: postnatal day 61; Mtmr1tm1Dgen/Mtmr1+ (more )
Structure Level Pattern Image Note
TS28: pancreatic acinus Weak 99257442 There is scattered expression in the acini.

Specimen Mouse 398398 - Image 99257443: postnatal day 61; Mtmr1tm1Dgen/Mtmr1+ (more )
Structure Level Pattern Image Note
TS28: pancreas Moderate Regionally restricted 99257443 Expression is frequently seen in the blood vessels of the pancreas.
TS28: blood vessel Moderate Regionally restricted 99257443 Expression is frequently seen in the blood vessels of the pancreas.

Specimen Mouse 398398 - Image 99257454: postnatal day 61; Mtmr1tm1Dgen/Mtmr1+ (more )
Structure Level Pattern Image Note
TS28: lamina propria of bladder Very strong 99257454 Expression is frequently seen in the muscularis.

Specimen Mouse 398398 - Image 99257459: postnatal day 61; Mtmr1tm1Dgen/Mtmr1+ (more )
Structure Level Pattern Image Note
TS28: bladder Strong Regionally restricted 99257459 There is scattered expression in the blood vessels of the urinary bladder.
TS28: blood vessel Strong Regionally restricted 99257459 There is scattered expression in the blood vessels of the urinary bladder.

Specimen Mouse 398398 - Image 99257462: postnatal day 61; Mtmr1tm1Dgen/Mtmr1+ (more )
Structure Level Pattern Image Note
TS28: epithelial layer of cervix uteri Strong 99257462 Expression is frequently seen in the epithelium.

Specimen Mouse 398398 - Image 99257473: postnatal day 61; Mtmr1tm1Dgen/Mtmr1+ (more )
Structure Level Pattern Image Note
TS28: adrenal medulla Weak 99257473 There is scattered expression in the medulla.

Specimen Mouse 398398 - Image 99257478: postnatal day 61; Mtmr1tm1Dgen/Mtmr1+ (more )
Structure Level Pattern Image Note
TS28: metanephros Moderate 99257478 There is scattered expression in the kidney.

Specimen Mouse 398398 - Image 99257481: postnatal day 61; Mtmr1tm1Dgen/Mtmr1+ (more )
Structure Level Pattern Image Note
TS28: liver Weak 99257481 There is occasional staining in the liver.

Specimen Mouse 398398 - Image 99257482: postnatal day 61; Mtmr1tm1Dgen/Mtmr1+ (more )
Structure Level Pattern Image Note
TS28: retina Trace 99257482 There is occasional staining in the retina.

Specimen Mouse 398398 - Image 99257485: postnatal day 61; Mtmr1tm1Dgen/Mtmr1+ (more )
Structure Level Pattern Image Note
TS28: ciliary body Trace 99257485 There is scattered expression in the ciliary body.

Specimen Mouse 398398 - Image 99257486: postnatal day 61; Mtmr1tm1Dgen/Mtmr1+ (more )
Structure Level Pattern Image Note
TS28: cornea Trace 99257486 There is scattered expression in the cornea.

Specimen Mouse 398398 - Image 99257488: postnatal day 61; Mtmr1tm1Dgen/Mtmr1+ (more )
Structure Level Pattern Image Note
TS28: lens Trace 99257488 There is scattered expression in the lens.

Specimen Mouse 398398 - Image 99257500: postnatal day 61; Mtmr1tm1Dgen/Mtmr1+ (more )
Structure Level Pattern Image Note
TS28: parathyroid gland Strong 99257500 There is scattered expression in the parathyroid gland.

Specimen Mouse 398398 - Image 99257505: postnatal day 61; Mtmr1tm1Dgen/Mtmr1+ (more )
Structure Level Pattern Image Note
TS28: trachea cartilage Moderate 99257505 There is scattered expression in the cartilage.

Specimen Mouse 398398 - Image 99257518: postnatal day 61; Mtmr1tm1Dgen/Mtmr1+ (more )
Structure Level Pattern Image Note
TS28: trachea epithelium Weak 99257518 There is scattered expression in the mucosal epithelium.

Specimen Mouse 398398 - Image 99257527: postnatal day 61; Mtmr1tm1Dgen/Mtmr1+ (more )
Structure Level Pattern Image Note
TS28: skeletal muscle Weak 99257527 There is scattered expression in the skeletal muscle.

Specimen Mouse 398398 - Image 99257534: postnatal day 61; Mtmr1tm1Dgen/Mtmr1+ (more )
Structure Level Pattern Image Note
TS28: epidermis Strong 99257534 There is scattered expression in the epidermis.

Specimen Mouse 398398 - Image 99257538: postnatal day 61; Mtmr1tm1Dgen/Mtmr1+ (more )
Structure Level Pattern Image Note
TS28: hair follicle Strong 99257538 There is occasional staining in the hair follicles.

Specimen Mouse 398398 - Image 99257539: postnatal day 61; Mtmr1tm1Dgen/Mtmr1+ (more )
Structure Level Pattern Image Note
TS28: dermis Moderate 99257539 There is occasional staining in the dermis.

Specimen Mouse 398398 - Image 99257714: postnatal day 61; Mtmr1tm1Dgen/Mtmr1+ (more )
Structure Level Pattern Image Note
TS28: aorta Weak Regionally restricted 99257714 There is scattered expression in the periaortic adipose tissue.
TS28: adipose tissue Weak Regionally restricted 99257714 There is scattered expression in the periaortic adipose tissue.

Specimen Mouse 398398 - Image 99257863: postnatal day 61; Mtmr1tm1Dgen/Mtmr1+ (more )
Structure Level Pattern Image Note
TS28: cervix uteri Weak Regionally restricted 99257863 There is scattered expression in the smooth muscle layer.

Specimen Mouse 398398: postnatal day 61; Mtmr1tm1Dgen/Mtmr1+ (more )
Structure Level Pattern Image Note
TS28: heart Absent
TS28: thyroid gland Absent
TS28: ovary Absent
TS28: uterus Absent
TS28: bone marrow Absent
TS28: spleen Absent
TS28: lymph node Absent
TS28: thymus Absent
TS28: sciatic nerve Absent
TS28: lung Absent

Specimen Mouse 398399 - Image 99250634: postnatal day 129; Mtmr1tm1Dgen/Mtmr1+ (more )
Structure Level Pattern Image Note
TS28: brain Strong 99250634 There is scattered expression in the brain.

Specimen Mouse 398399 - Image 99250635: postnatal day 129; Mtmr1tm1Dgen/Mtmr1+ (more )
Structure Level Pattern Image Note
TS28: telencephalon Strong 99250635 There is scattered expression in the cerebrum.

Specimen Mouse 398399 - Image 99250636: postnatal day 129; Mtmr1tm1Dgen/Mtmr1+ (more )
Structure Level Pattern Image Note
TS28: cerebellum Strong 99250636 There is scattered expression in the cerebellum.

Specimen Mouse 398399 - Image 99250637: postnatal day 129; Mtmr1tm1Dgen/Mtmr1+ (more )
Structure Level Pattern Image Note
TS28: brainstem Strong 99250637 There is scattered expression in the brainstem.

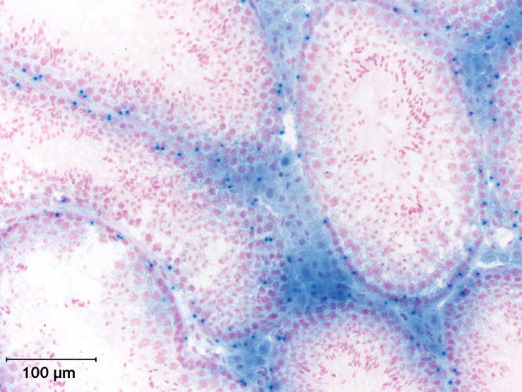
Specimen Mouse 421917 - Image 99257548: postnatal day 54; Mtmr1tm1Dgen/Y (more )
Structure Level Pattern Image Note
TS28: seminiferous tubule Very strong 99257548 There is scattered expression in the seminiferous tubules.

Specimen Mouse 421917 - Image 99257549: postnatal day 54; Mtmr1tm1Dgen/Y (more )
Structure Level Pattern Image Note
TS28: interstitium of the testis Strong 99257549 There is scattered expression in the interstitium.

Specimen Mouse 421917 - Image 99257550: postnatal day 54; Mtmr1tm1Dgen/Y (more )
Structure Level Pattern Image Note
TS28: prostate gland Moderate Regionally restricted 99257550 There is scattered expression in the stroma.

Specimen Mouse 421917 - Image 99257551: postnatal day 54; Mtmr1tm1Dgen/Y (more )
Structure Level Pattern Image Note
TS28: prostate epithelium Weak 99257551 There is scattered expression in the epithelium.


Contributing Projects:
Mouse Genome Database (MGD), Gene Expression Database (GXD), Mouse Models of Human Cancer database (MMHCdb) (formerly Mouse Tumor Biology (MTB)), Gene Ontology (GO)
Citing These Resources
Funding Information
Warranty Disclaimer, Privacy Notice, Licensing, & Copyright
Send questions and comments to User Support.
last database update
01/20/2026
MGI 6.24
The Jackson Laboratory