About   Help   FAQ
Gene Expression Data
Assay Details
Assay
Reference: J:101679 Deltagen Inc, NIH initiative supporting placement of Deltagen, Inc. mice into public repositories. MGI Direct Data Submission. 2005;
Assay type: In situ reporter (knock in)
MGI Accession ID: MGI:3639249
Gene symbol: Mtmr2
Gene name: myotubularin related protein 2
Reporter: lacZ
Direct Detection
Results
Specimen Mouse 355617 - Image 99229294: postnatal day 51; Mtmr2tm1Dgen/Mtmr2+ (more )
Structure Level Pattern Image Note
TS28: amygdala Strong 99229294 Expression is frequently seen in the amygdala.

Specimen Mouse 355617 - Image 99229295: postnatal day 51; Mtmr2tm1Dgen/Mtmr2+ (more )
Structure Level Pattern Image Note
TS28: caudate-putamen Very strong 99229295 Expression is present in practically all cells of the caudate-putamen.

Specimen Mouse 355617 - Image 99229296: postnatal day 51; Mtmr2tm1Dgen/Mtmr2+ (more )
Structure Level Pattern Image Note
TS28: telencephalon Moderate Regionally restricted 99229296 There is scattered expression in the choroid plexus of the cerebrum.
TS28: choroid plexus Moderate Regionally restricted 99229296 There is scattered expression in the choroid plexus of the cerebrum.

Specimen Mouse 355617 - Image 99229297: postnatal day 51; Mtmr2tm1Dgen/Mtmr2+ (more )
Structure Level Pattern Image Note
TS28: cerebral cortex Very strong 99229297 Expression is present in practically all cells of the cortex.

Specimen Mouse 355617 - Image 99229298: postnatal day 51; Mtmr2tm1Dgen/Mtmr2+ (more )
Structure Level Pattern Image Note
TS28: hippocampus Very strong 99229298 Expression is present in practically all cells of the hippocampus.

Specimen Mouse 355617 - Image 99229299: postnatal day 51; Mtmr2tm1Dgen/Mtmr2+ (more )
Structure Level Pattern Image Note
TS28: hypothalamus Very strong 99229299 Expression is frequently seen in the hypothalamus.

Specimen Mouse 355617 - Image 99230046: postnatal day 51; Mtmr2tm1Dgen/Mtmr2+ (more )
Structure Level Pattern Image Note
TS28: thalamus Very strong 99230046 Expression is present in practically all cells of the thalamus.

Specimen Mouse 355617 - Image 99230047: postnatal day 51; Mtmr2tm1Dgen/Mtmr2+ (more )
Structure Level Pattern Image Note
TS28: brain ventricle Strong Regionally restricted 99230047 Expression is frequently seen in a ventricle in the cerebrum.

Specimen Mouse 355617 - Image 99230049: postnatal day 51; Mtmr2tm1Dgen/Mtmr2+ (more )
Structure Level Pattern Image Note
TS28: telencephalon Moderate Regionally restricted 99230049 There is scattered expression in the cerebral meninges.
TS28: meninges Moderate Regionally restricted 99230049 There is scattered expression in the cerebral meninges.

Specimen Mouse 355617 - Image 99230052: postnatal day 51; Mtmr2tm1Dgen/Mtmr2+ (more )
Structure Level Pattern Image Note
TS28: cerebellum granule cell layer Very strong 99230052 Expression is present in practically all cells of the granular layer.

Specimen Mouse 355617 - Image 99230053: postnatal day 51; Mtmr2tm1Dgen/Mtmr2+ (more )
Structure Level Pattern Image Note
TS28: cerebellum molecular layer Very strong 99230053 Expression is present in practically all cells of the molecular layer.

Specimen Mouse 355617 - Image 99230054: postnatal day 51; Mtmr2tm1Dgen/Mtmr2+ (more )
Structure Level Pattern Image Note
TS28: cerebellum Purkinje cell layer Very strong 99230054 Expression is present in practically all cells of the Purkinje layer.

Specimen Mouse 355617 - Image 99230055: postnatal day 51; Mtmr2tm1Dgen/Mtmr2+ (more )
Structure Level Pattern Image Note
TS28: cerebellum white matter Very strong 99230055 Expression is frequently seen in the white matter.

Specimen Mouse 355617 - Image 99230056: postnatal day 51; Mtmr2tm1Dgen/Mtmr2+ (more )
Structure Level Pattern Image Note
TS28: brainstem Very strong 99230056 Expression is present in practically all cells of the brainstem.

Specimen Mouse 355617 - Image 99230057: postnatal day 51; Mtmr2tm1Dgen/Mtmr2+ (more )
Structure Level Pattern Image Note
TS28: spinal cord central canal Strong 99230057 Expression is frequently seen in the central canal.

Specimen Mouse 355617 - Image 99230058: postnatal day 51; Mtmr2tm1Dgen/Mtmr2+ (more )
Structure Level Pattern Image Note
TS28: spinal cord gray matter Very strong 99230058 Expression is present in practically all cells of the grey matter.

Specimen Mouse 355617 - Image 99230059: postnatal day 51; Mtmr2tm1Dgen/Mtmr2+ (more )
Structure Level Pattern Image Note
TS28: spinal cord white matter Very strong 99230059 Expression is present in practically all cells of the white matter.

Specimen Mouse 355617 - Image 99230061: postnatal day 51; Mtmr2tm1Dgen/Mtmr2+ (more )
Structure Level Pattern Image Note
TS28: adenohypophysis pars anterior Strong 99230061 Expression is frequently seen in the pars distalis.

Specimen Mouse 355617 - Image 99230062: postnatal day 51; Mtmr2tm1Dgen/Mtmr2+ (more )
Structure Level Pattern Image Note
TS28: adenohypophysis pars intermedia Weak 99230062 There is scattered expression in the pars intermedia.

Specimen Mouse 355617 - Image 99230063: postnatal day 51; Mtmr2tm1Dgen/Mtmr2+ (more )
Structure Level Pattern Image Note
TS28: neurohypophysis pars nervosa Weak 99230063 There is scattered expression in the pars nervosa.

Specimen Mouse 355617 - Image 99230141: postnatal day 51; Mtmr2tm1Dgen/Mtmr2+ (more )
Structure Level Pattern Image Note
TS28: lymph node Weak 99230141 There is scattered expression in the lymph nodes.

Specimen Mouse 355617 - Image 99230142: postnatal day 51; Mtmr2tm1Dgen/Mtmr2+ (more )
Structure Level Pattern Image Note
TS28: pancreatic acinus Moderate 99230142 There is scattered expression in the acini.

Specimen Mouse 355617 - Image 99230143: postnatal day 51; Mtmr2tm1Dgen/Mtmr2+ (more )
Structure Level Pattern Image Note
TS28: islets of Langerhans Weak 99230143 There is scattered expression in the islets of Langerhans.

Specimen Mouse 355617 - Image 99230144: postnatal day 51; Mtmr2tm1Dgen/Mtmr2+ (more )
Structure Level Pattern Image Note
TS28: pancreas Strong Regionally restricted 99230144 Expression is frequently seen in the blood vessels of the pancreas.
TS28: blood vessel Strong Regionally restricted 99230144 Expression is frequently seen in the blood vessels of the pancreas.

Specimen Mouse 355617 - Image 99230145: postnatal day 51; Mtmr2tm1Dgen/Mtmr2+ (more )
Structure Level Pattern Image Note
TS28: spleen capsule Weak 99230145 There is scattered expression in the capsule.

Specimen Mouse 355617 - Image 99230146: postnatal day 51; Mtmr2tm1Dgen/Mtmr2+ (more )
Structure Level Pattern Image Note
TS28: spleen Strong Regionally restricted 99230146 Expression is frequently seen in the blood vessels of the spleen.
TS28: blood vessel Strong Regionally restricted 99230146 Expression is frequently seen in the blood vessels of the spleen.

Specimen Mouse 355617 - Image 99230147: postnatal day 51; Mtmr2tm1Dgen/Mtmr2+ (more )
Structure Level Pattern Image Note
TS28: spleen red pulp Weak 99230147 There is occasional staining in the red pulp.

Specimen Mouse 355617 - Image 99230148: postnatal day 51; Mtmr2tm1Dgen/Mtmr2+ (more )
Structure Level Pattern Image Note
TS28: spleen white pulp Weak 99230148 There is scattered expression in the white pulp.

Specimen Mouse 355617 - Image 99230149: postnatal day 51; Mtmr2tm1Dgen/Mtmr2+ (more )
Structure Level Pattern Image Note
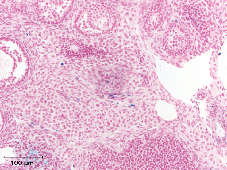
TS28: seminiferous tubule Strong 99230149 There is scattered expression in the seminiferous tubules.

Specimen Mouse 355617 - Image 99230150: postnatal day 51; Mtmr2tm1Dgen/Mtmr2+ (more )
Structure Level Pattern Image Note
TS28: interstitium of the testis Weak 99230150 There is scattered expression in the interstitium.

Specimen Mouse 355617 - Image 99230151: postnatal day 51; Mtmr2tm1Dgen/Mtmr2+ (more )
Structure Level Pattern Image Note
TS28: testis Weak Regionally restricted 99230151 Expression is frequently seen in the tunica albuginea.

Specimen Mouse 355617 - Image 99230152: postnatal day 51; Mtmr2tm1Dgen/Mtmr2+ (more )
Structure Level Pattern Image Note
TS28: testis Moderate Regionally restricted 99230152 Expression is frequently seen in the blood vessels of the testis.
TS28: blood vessel Moderate Regionally restricted 99230152 Expression is frequently seen in the blood vessels of the testis.

Specimen Mouse 355617 - Image 99230153: postnatal day 51; Mtmr2tm1Dgen/Mtmr2+ (more )
Structure Level Pattern Image Note
TS28: prostate gland Strong 99230153 There is scattered expression in the prostate gland.

Specimen Mouse 355617 - Image 99230154: postnatal day 51; Mtmr2tm1Dgen/Mtmr2+ (more )
Structure Level Pattern Image Note
TS28: lamina propria of bladder Strong 99230154 Expression is frequently seen in the muscularis.

Specimen Mouse 355617 - Image 99230155: postnatal day 51; Mtmr2tm1Dgen/Mtmr2+ (more )
Structure Level Pattern Image Note
TS28: urothelium of bladder Weak Regionally restricted 99230155 There is scattered expression in the epithelium.

Specimen Mouse 355617 - Image 99230156: postnatal day 51; Mtmr2tm1Dgen/Mtmr2+ (more )
Structure Level Pattern Image Note
TS28: bladder Weak Regionally restricted 99230156 There is scattered expression in the blood vessels of the urinary bladder.
TS28: blood vessel Weak Regionally restricted 99230156 There is scattered expression in the blood vessels of the urinary bladder.

Specimen Mouse 355617 - Image 99230309: postnatal day 51; Mtmr2tm1Dgen/Mtmr2+ (more )
Structure Level Pattern Image Note
TS28: adrenal gland Moderate Regionally restricted 99230309 Expression is frequently seen in the capsule.

Specimen Mouse 355617 - Image 99230310: postnatal day 51; Mtmr2tm1Dgen/Mtmr2+ (more )
Structure Level Pattern Image Note
TS28: adrenal medulla Strong 99230310 Expression is frequently seen in the medulla.

Specimen Mouse 355617 - Image 99230312: postnatal day 51; Mtmr2tm1Dgen/Mtmr2+ (more )
Structure Level Pattern Image Note
TS28: renal cortex Strong 99230312 There is scattered expression in the cortex.

Specimen Mouse 355617 - Image 99230313: postnatal day 51; Mtmr2tm1Dgen/Mtmr2+ (more )
Structure Level Pattern Image Note
TS28: glomerular tuft Strong 99230313 There is scattered expression in the glomeruli.

Specimen Mouse 355617 - Image 99230314: postnatal day 51; Mtmr2tm1Dgen/Mtmr2+ (more )
Structure Level Pattern Image Note
TS28: renal tubule Moderate 99230314 There is scattered expression in the tubules.

Specimen Mouse 355617 - Image 99230315: postnatal day 51; Mtmr2tm1Dgen/Mtmr2+ (more )
Structure Level Pattern Image Note
TS28: renal medulla Strong 99230315 There is scattered expression in the medulla.

Specimen Mouse 355617 - Image 99230316: postnatal day 51; Mtmr2tm1Dgen/Mtmr2+ (more )
Structure Level Pattern Image Note
TS28: renal papilla Strong 99230316 Expression is frequently seen in the papilla.

Specimen Mouse 355617 - Image 99230318: postnatal day 51; Mtmr2tm1Dgen/Mtmr2+ (more )
Structure Level Pattern Image Note
TS28: metanephros Strong Regionally restricted 99230318 Expression is frequently seen in the blood vessels of the kidney.
TS28: blood vessel Strong Regionally restricted 99230318 Expression is frequently seen in the blood vessels of the kidney.

Specimen Mouse 355617 - Image 99230319: postnatal day 51; Mtmr2tm1Dgen/Mtmr2+ (more )
Structure Level Pattern Image Note
TS28: renal pelvis Weak 99230319 There is occasional staining in the kidney pelvis.

Specimen Mouse 355617 - Image 99230320: postnatal day 51; Mtmr2tm1Dgen/Mtmr2+ (more )
Structure Level Pattern Image Note
TS28: heart atrium Moderate 99230320 Expression is frequently seen in the atrium.

Specimen Mouse 355617 - Image 99230321: postnatal day 51; Mtmr2tm1Dgen/Mtmr2+ (more )
Structure Level Pattern Image Note
TS28: heart valve Moderate 99230321 Expression is frequently seen in the valves.

Specimen Mouse 355617 - Image 99230322: postnatal day 51; Mtmr2tm1Dgen/Mtmr2+ (more )
Structure Level Pattern Image Note
TS28: heart ventricle Weak 99230322 There is scattered expression in the ventricles.

Specimen Mouse 355617 - Image 99230323: postnatal day 51; Mtmr2tm1Dgen/Mtmr2+ (more )
Structure Level Pattern Image Note
TS28: heart Moderate Regionally restricted 99230323 Expression is frequently seen in the blood vessels of the heart.
TS28: blood vessel Moderate Regionally restricted 99230323 Expression is frequently seen in the blood vessels of the heart.

Specimen Mouse 355617 - Image 99230325: postnatal day 51; Mtmr2tm1Dgen/Mtmr2+ (more )
Structure Level Pattern Image Note
TS28: liver Weak 99230325 There is occasional staining in the liver.

Specimen Mouse 355617 - Image 99230326: postnatal day 51; Mtmr2tm1Dgen/Mtmr2+ (more )
Structure Level Pattern Image Note
TS28: liver Moderate Regionally restricted 99230326 There is scattered expression in the blood vessels of the liver.
TS28: blood vessel Moderate Regionally restricted 99230326 There is scattered expression in the blood vessels of the liver.

Specimen Mouse 355617 - Image 99230327: postnatal day 51; Mtmr2tm1Dgen/Mtmr2+ (more )
Structure Level Pattern Image Note
TS28: lung alveolus Moderate 99230327 Expression is frequently seen in the alveoli.

Specimen Mouse 355617 - Image 99230328: postnatal day 51; Mtmr2tm1Dgen/Mtmr2+ (more )
Structure Level Pattern Image Note
TS28: bronchiole Weak 99230328 There is scattered expression in the bronchioles.

Specimen Mouse 355617 - Image 99230329: postnatal day 51; Mtmr2tm1Dgen/Mtmr2+ (more )
Structure Level Pattern Image Note
TS28: bronchiole Moderate Regionally restricted 99230329 Expression is frequently seen in the smooth muscle cells of the bronchioles.

Specimen Mouse 355617 - Image 99230331: postnatal day 51; Mtmr2tm1Dgen/Mtmr2+ (more )
Structure Level Pattern Image Note
TS28: lung Moderate Regionally restricted 99230331 Expression is frequently seen in the blood vessels of the lung.
TS28: blood vessel Moderate Regionally restricted 99230331 Expression is frequently seen in the blood vessels of the lung.

Specimen Mouse 355617 - Image 99230333: postnatal day 51; Mtmr2tm1Dgen/Mtmr2+ (more )
Structure Level Pattern Image Note
TS28: trachea Strong 99230333 Expression is frequently seen in the trachea.

Specimen Mouse 355617 - Image 99230334: postnatal day 51; Mtmr2tm1Dgen/Mtmr2+ (more )
Structure Level Pattern Image Note
TS28: trachea cartilage Strong 99230334 Expression is frequently seen in the cartilage.

Specimen Mouse 355617 - Image 99230335: postnatal day 51; Mtmr2tm1Dgen/Mtmr2+ (more )
Structure Level Pattern Image Note
TS28: thyroid gland Moderate 99230335 Expression is frequently seen in the thyroid gland.

Specimen Mouse 355617 - Image 99230336: postnatal day 51; Mtmr2tm1Dgen/Mtmr2+ (more )
Structure Level Pattern Image Note
TS28: aorta Moderate 99230336 Expression is present in practically all cells of the aorta.

Specimen Mouse 355617 - Image 99230337: postnatal day 51; Mtmr2tm1Dgen/Mtmr2+ (more )
Structure Level Pattern Image Note
TS28: thymus Weak Regionally restricted 99230337 Expression is frequently seen in the blood vessels of the thymus.
TS28: blood vessel Weak Regionally restricted 99230337 Expression is frequently seen in the blood vessels of the thymus.

Specimen Mouse 355617 - Image 99230342: postnatal day 51; Mtmr2tm1Dgen/Mtmr2+ (more )
Structure Level Pattern Image Note
TS28: lens Weak 99230342 Expression is frequently seen in the lens.

Specimen Mouse 355617 - Image 99230343: postnatal day 51; Mtmr2tm1Dgen/Mtmr2+ (more )
Structure Level Pattern Image Note
TS28: ciliary body Very strong 99230343 Expression is frequently seen in the ciliary body.

Specimen Mouse 355617 - Image 99230344: postnatal day 51; Mtmr2tm1Dgen/Mtmr2+ (more )
Structure Level Pattern Image Note
TS28: retina Strong 99230344 There is scattered expression in the retina.

Specimen Mouse 355617 - Image 99230345: postnatal day 51; Mtmr2tm1Dgen/Mtmr2+ (more )
Structure Level Pattern Image Note
TS28: retina ganglion cell layer Strong 99230345 Expression is frequently seen in the ganglion cell layer.

Specimen Mouse 355617 - Image 99230346: postnatal day 51; Mtmr2tm1Dgen/Mtmr2+ (more )
Structure Level Pattern Image Note
TS28: retina inner nuclear layer Strong 99230346 There is scattered expression in the inner nuclear layer.

Specimen Mouse 355617 - Image 99230347: postnatal day 51; Mtmr2tm1Dgen/Mtmr2+ (more )
Structure Level Pattern Image Note
TS28: retina outer nuclear layer Moderate 99230347 There is occasional staining in the outer nuclear layer.

Specimen Mouse 355617 - Image 99230348: postnatal day 51; Mtmr2tm1Dgen/Mtmr2+ (more )
Structure Level Pattern Image Note
TS28: pigmented retinal epithelium Weak 99230348 There is occasional staining in the pigment layer.

Specimen Mouse 355617 - Image 99230349: postnatal day 51; Mtmr2tm1Dgen/Mtmr2+ (more )
Structure Level Pattern Image Note
TS28: optic nerve Very strong 99230349 Expression is present in practically all cells of the optic nerve.

Specimen Mouse 355617 - Image 99230350: postnatal day 51; Mtmr2tm1Dgen/Mtmr2+ (more )
Structure Level Pattern Image Note
TS28: sclera Weak 99230350 There is scattered expression in the sclera.

Specimen Mouse 355617 - Image 99230353: postnatal day 51; Mtmr2tm1Dgen/Mtmr2+ (more )
Structure Level Pattern Image Note
TS28: thymus medullary core Moderate 99230353 There is occasional staining in the medulla.

Specimen Mouse 355617 - Image 99230356: postnatal day 51; Mtmr2tm1Dgen/Mtmr2+ (more )
Structure Level Pattern Image Note
TS28: hair follicle Moderate 99230356 There is scattered expression in the hair follicles.

Specimen Mouse 355617 - Image 99230360: postnatal day 51; Mtmr2tm1Dgen/Mtmr2+ (more )
Structure Level Pattern Image Note
TS28: dermis Weak 99230360 There is scattered expression in the dermis.

Specimen Mouse 355617 - Image 99230361: postnatal day 51; Mtmr2tm1Dgen/Mtmr2+ (more )
Structure Level Pattern Image Note
TS28: skeletal muscle Weak 99230361 Expression is frequently seen in the skeletal muscle.

Specimen Mouse 355617 - Image 99230362: postnatal day 51; Mtmr2tm1Dgen/Mtmr2+ (more )
Structure Level Pattern Image Note
TS28: skeletal muscle Strong Regionally restricted 99230362 Expression is frequently seen in the blood vessels of the skeletal muscle.
TS28: blood vessel Strong Regionally restricted 99230362 Expression is frequently seen in the blood vessels of the skeletal muscle.

Specimen Mouse 355617 - Image 99230363: postnatal day 51; Mtmr2tm1Dgen/Mtmr2+ (more )
Structure Level Pattern Image Note
TS28: sciatic nerve Strong 99230363 Expression is frequently seen in the sciatic nerve.

Specimen Mouse 355617 - Image 99230364: postnatal day 51; Mtmr2tm1Dgen/Mtmr2+ (more )
Structure Level Pattern Image Note
TS28: bone marrow Strong 99230364 There is occasional staining in the bone marrow.

Specimen Mouse 355617 - Image 99248009: postnatal day 51; Mtmr2tm1Dgen/Mtmr2+ (more )
Structure Level Pattern Image Note
TS28: aorta Strong Regionally restricted 99248009 There is scattered expression in the periaortic adipose tissue.
TS28: adipose tissue Strong Regionally restricted 99248009 There is scattered expression in the periaortic adipose tissue.

Specimen Mouse 355617 - Image 99248041: postnatal day 51; Mtmr2tm1Dgen/Mtmr2+ (more )
Structure Level Pattern Image Note
TS28: spleen trabeculum Weak 99248041 There is scattered expression in the trabeculae.

Specimen Mouse 355617 - Image 99248409: postnatal day 51; Mtmr2tm1Dgen/Mtmr2+ (more )
Structure Level Pattern Image Note
TS28: lamina propria of bladder Moderate 99248409 There is scattered expression in the lamina propria.

Specimen Mouse 355617 - Image 99248503: postnatal day 51; Mtmr2tm1Dgen/Mtmr2+ (more )
Structure Level Pattern Image Note
TS28: adrenal cortex Weak 99248503 There is occasional staining in the cortex.

Specimen Mouse 355617 - Image 99248511: postnatal day 51; Mtmr2tm1Dgen/Mtmr2+ (more )
Structure Level Pattern Image Note
TS28: spinal cord ventral horn Very strong 99248511 Expression is present in practically all cells of the ventral horns.

Specimen Mouse 355617 - Image 99248512: postnatal day 51; Mtmr2tm1Dgen/Mtmr2+ (more )
Structure Level Pattern Image Note
TS28: spinal cord dorsal horn Very strong 99248512 Expression is present in practically all cells of the dorsal horns.

Specimen Mouse 355627 - Image 99224437: postnatal day 51; Mtmr2tm1Dgen/Mtmr2+ (more )
Structure Level Pattern Image Note
TS28: brain Very strong 99224437 Expression is present in practically all cells of the brain.
TS28: telencephalon Very strong 99224437 Expression is present in practically all cells of the cerebrum.

Specimen Mouse 355627 - Image 99224438: postnatal day 51; Mtmr2tm1Dgen/Mtmr2+ (more )
Structure Level Pattern Image Note
TS28: cerebellum Very strong 99224438 Expression is present in practically all cells of the cerebellum.

Specimen Mouse 355627 - Image 99224439: postnatal day 51; Mtmr2tm1Dgen/Mtmr2+ (more )
Structure Level Pattern Image Note
TS28: brainstem Very strong 99224439 Expression is present in practically all cells of the brainstem.

Specimen Mouse 355627 - Image 99230594: postnatal day 51; Mtmr2tm1Dgen/Mtmr2+ (more )
Structure Level Pattern Image Note
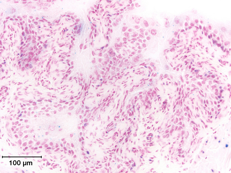
TS28: ovary Strong Regionally restricted 99230594 There is scattered expression in the stroma.

Specimen Mouse 355627 - Image 99230595: postnatal day 51; Mtmr2tm1Dgen/Mtmr2+ (more )
Structure Level Pattern Image Note
TS28: ovary Moderate Regionally restricted 99230595 Expression is frequently seen in the blood vessels of the ovary.
TS28: blood vessel Moderate Regionally restricted 99230595 Expression is frequently seen in the blood vessels of the ovary.

Specimen Mouse 355627 - Image 99230596: postnatal day 51; Mtmr2tm1Dgen/Mtmr2+ (more )
Structure Level Pattern Image Note
TS28: endometrium glandular epithelium Trace 99230596 There is scattered expression in the endometrial gland.

Specimen Mouse 355627 - Image 99230597: postnatal day 51; Mtmr2tm1Dgen/Mtmr2+ (more )
Structure Level Pattern Image Note
TS28: myometrium Strong 99230597 Expression is frequently seen in the myometrium.

Specimen Mouse 355627 - Image 99230598: postnatal day 51; Mtmr2tm1Dgen/Mtmr2+ (more )
Structure Level Pattern Image Note
TS28: epithelial layer of cervix uteri Weak 99230598 There is scattered expression in the epithelium.

Specimen Mouse 355627 - Image 99230599: postnatal day 51; Mtmr2tm1Dgen/Mtmr2+ (more )
Structure Level Pattern Image Note
TS28: uterus Weak Regionally restricted 99230599 Expression is frequently seen in the blood vessels of the uterus.
TS28: blood vessel Weak Regionally restricted 99230599 Expression is frequently seen in the blood vessels of the uterus.

Specimen Mouse 355627 - Image 99230600: postnatal day 51; Mtmr2tm1Dgen/Mtmr2+ (more )
Structure Level Pattern Image Note
TS28: cervix uteri Trace Regionally restricted 99230600 There is scattered expression in the stroma.

Specimen Mouse 355627 - Image 99248488: postnatal day 51; Mtmr2tm1Dgen/Mtmr2+ (more )
Structure Level Pattern Image Note
TS28: cervix uteri Weak Regionally restricted 99248488 Expression is frequently seen in the smooth muscle layer.

Specimen Mouse 355627 - Image 99248513: postnatal day 51; Mtmr2tm1Dgen/Mtmr2+ (more )
Structure Level Pattern Image Note
TS28: cervix uteri Strong Regionally restricted 99248513 There is scattered expression in the ganglia.

Specimen Mouse 355627: postnatal day 51; Mtmr2tm1Dgen/Mtmr2+ (more )
Structure Level Pattern Image Note
TS28: cervix uteri Weak Regionally restricted Expression is frequently seen in the blood vessels of the cervix.
TS28: blood vessel Weak Regionally restricted Expression is frequently seen in the blood vessels of the cervix.


Contributing Projects:
Mouse Genome Database (MGD), Gene Expression Database (GXD), Mouse Models of Human Cancer database (MMHCdb) (formerly Mouse Tumor Biology (MTB)), Gene Ontology (GO)
Citing These Resources
Funding Information
Warranty Disclaimer, Privacy Notice, Licensing, & Copyright
Send questions and comments to User Support.
last database update
12/30/2025
MGI 6.24
The Jackson Laboratory