About   Help   FAQ
Gene Expression Data
Assay Details
Assay
Reference: J:101679 Deltagen Inc, NIH initiative supporting placement of Deltagen, Inc. mice into public repositories. MGI Direct Data Submission. 2005;
Assay type: In situ reporter (knock in)
MGI Accession ID: MGI:3639247
Gene symbol: Esrra
Gene name: estrogen related receptor, alpha
Reporter: lacZ
Direct Detection
Results
Specimen Mouse 435729 - Image 99250626: postnatal day 68; Esrratm1Dgen/Esrra+ (more )
Structure Level Pattern Image Note
TS28: brain Very strong 99250626 Expression is present in practically all cells of the brain.

Specimen Mouse 435729 - Image 99250627: postnatal day 68; Esrratm1Dgen/Esrra+ (more )
Structure Level Pattern Image Note
TS28: telencephalon Very strong 99250627 Expression is present in practically all cells of the cerebrum.

Specimen Mouse 435729 - Image 99250628: postnatal day 68; Esrratm1Dgen/Esrra+ (more )
Structure Level Pattern Image Note
TS28: cerebellum Very strong 99250628 Expression is present in practically all cells of the cerebellum.

Specimen Mouse 435729 - Image 99250629: postnatal day 68; Esrratm1Dgen/Esrra+ (more )
Structure Level Pattern Image Note
TS28: brainstem Very strong 99250629 Expression is present in practically all cells of the brainstem.

Specimen Mouse 435729 - Image 99254164: postnatal day 68; Esrratm1Dgen/Esrra+ (more )
Structure Level Pattern Image Note
TS28: ovary Moderate Regionally restricted 99254164 There is scattered expression in the blood vessels of the ovary.
TS28: blood vessel Moderate Regionally restricted 99254164 There is scattered expression in the blood vessels of the ovary.

Specimen Mouse 435729 - Image 99254165: postnatal day 68; Esrratm1Dgen/Esrra+ (more )
Structure Level Pattern Image Note
TS28: myometrium Moderate 99254165 There is scattered expression in the myometrium.

Specimen Mouse 435729 - Image 99254173: postnatal day 68; Esrratm1Dgen/Esrra+ (more )
Structure Level Pattern Image Note
TS28: epithelial layer of cervix uteri Moderate 99254173 There is scattered expression in the epithelium.

Specimen Mouse 435729 - Image 99254175: postnatal day 68; Esrratm1Dgen/Esrra+ (more )
Structure Level Pattern Image Note
TS28: cervix uteri Weak Regionally restricted 99254175 There is scattered expression in the blood vessels of the cervix.
TS28: blood vessel Weak Regionally restricted 99254175 There is scattered expression in the blood vessels of the cervix.

Specimen Mouse 435729: postnatal day 68; Esrratm1Dgen/Esrra+ (more )
Structure Level Pattern Image Note
TS28: uterus Moderate Regionally restricted There is scattered expression in the blood vessels of the uterus.
TS28: blood vessel Moderate Regionally restricted There is scattered expression in the blood vessels of the uterus.

Specimen Mouse 445418 - Image 99253882: postnatal day 57; Esrratm1Dgen/Esrra+ (more )
Structure Level Pattern Image Note
TS28: brain ventricle Moderate Regionally restricted 99253882 There is occasional staining in a ventricle in the cerebrum.

Specimen Mouse 445418 - Image 99253883: postnatal day 57; Esrratm1Dgen/Esrra+ (more )
Structure Level Pattern Image Note
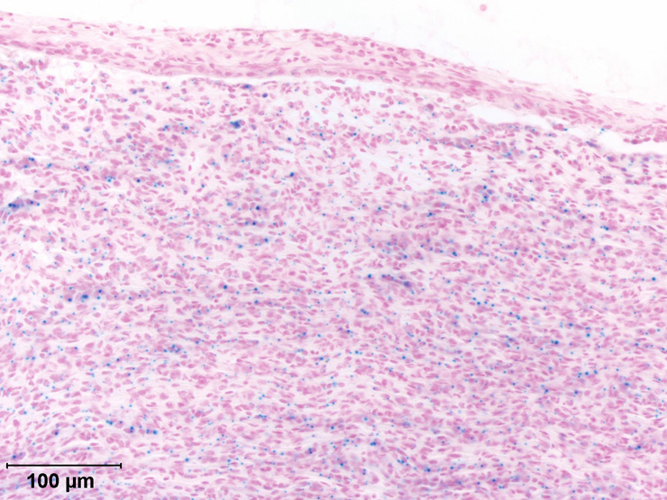
TS28: telencephalon Strong Regionally restricted 99253883 Expression is frequently seen in the cerebral meninges.
TS28: meninges Strong Regionally restricted 99253883 Expression is frequently seen in the cerebral meninges.

Specimen Mouse 445418 - Image 99253885: postnatal day 57; Esrratm1Dgen/Esrra+ (more )
Structure Level Pattern Image Note
TS28: cerebellum granule cell layer Very strong 99253885 Expression is frequently seen in the granular layer.

Specimen Mouse 445418 - Image 99253886: postnatal day 57; Esrratm1Dgen/Esrra+ (more )
Structure Level Pattern Image Note
TS28: cerebellum Purkinje cell layer Strong 99253886 Expression is frequently seen in the Purkinje layer.

Specimen Mouse 445418 - Image 99253887: postnatal day 57; Esrratm1Dgen/Esrra+ (more )
Structure Level Pattern Image Note
TS28: cerebellum white matter Very strong 99253887 There is scattered expression in the white matter.

Specimen Mouse 445418 - Image 99253888: postnatal day 57; Esrratm1Dgen/Esrra+ (more )
Structure Level Pattern Image Note
TS28: cerebellum molecular layer Very strong 99253888 Expression is frequently seen in the molecular layer.

Specimen Mouse 445418 - Image 99253890: postnatal day 57; Esrratm1Dgen/Esrra+ (more )
Structure Level Pattern Image Note
TS28: spinal cord gray matter Very strong 99253890 Expression is frequently seen in the grey matter.

Specimen Mouse 445418 - Image 99253891: postnatal day 57; Esrratm1Dgen/Esrra+ (more )
Structure Level Pattern Image Note
TS28: spinal cord white matter Very strong 99253891 Expression is frequently seen in the white matter.

Specimen Mouse 445418 - Image 99253893: postnatal day 57; Esrratm1Dgen/Esrra+ (more )
Structure Level Pattern Image Note
TS28: adenohypophysis pars anterior Trace 99253893 There is scattered expression in the pars distalis.

Specimen Mouse 445418 - Image 99253894: postnatal day 57; Esrratm1Dgen/Esrra+ (more )
Structure Level Pattern Image Note
TS28: neurohypophysis pars nervosa Strong 99253894 There is occasional staining in the pars nervosa.

Specimen Mouse 445418 - Image 99253895: postnatal day 57; Esrratm1Dgen/Esrra+ (more )
Structure Level Pattern Image Note
TS28: adenohypophysis pars intermedia Trace 99253895 There is occasional staining in the pars intermedia.

Specimen Mouse 445418 - Image 99253896: postnatal day 57; Esrratm1Dgen/Esrra+ (more )
Structure Level Pattern Image Note
TS28: lymph node Weak 99253896 There is occasional staining in the lymph nodes.

Specimen Mouse 445418 - Image 99253897: postnatal day 57; Esrratm1Dgen/Esrra+ (more )
Structure Level Pattern Image Note
TS28: pancreas Weak Regionally restricted 99253897 Expression is frequently seen in the blood vessels of the pancreas.
TS28: blood vessel Weak Regionally restricted 99253897 Expression is frequently seen in the blood vessels of the pancreas.

Specimen Mouse 445418 - Image 99253898: postnatal day 57; Esrratm1Dgen/Esrra+ (more )
Structure Level Pattern Image Note
TS28: spleen Weak Regionally restricted 99253898 Expression is frequently seen in the blood vessels of the spleen.
TS28: blood vessel Weak Regionally restricted 99253898 Expression is frequently seen in the blood vessels of the spleen.

Specimen Mouse 445418 - Image 99253899: postnatal day 57; Esrratm1Dgen/Esrra+ (more )
Structure Level Pattern Image Note
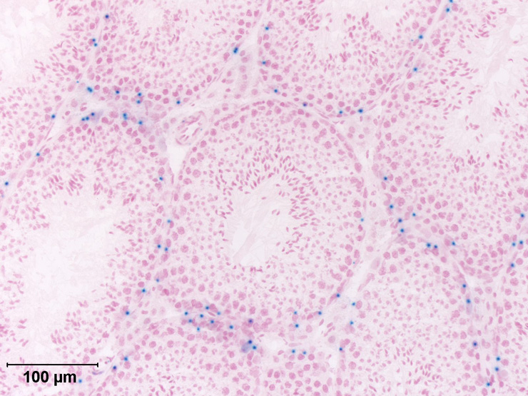
TS28: seminiferous tubule Very strong 99253899 There is scattered expression in the seminiferous tubules.

Specimen Mouse 445418 - Image 99253900: postnatal day 57; Esrratm1Dgen/Esrra+ (more )
Structure Level Pattern Image Note
TS28: interstitium of the testis Moderate 99253900 There is occasional staining in the interstitium.

Specimen Mouse 445418 - Image 99253901: postnatal day 57; Esrratm1Dgen/Esrra+ (more )
Structure Level Pattern Image Note
TS28: testis Weak Regionally restricted 99253901 There is scattered expression in the blood vessels of the testis.
TS28: blood vessel Weak Regionally restricted 99253901 There is scattered expression in the blood vessels of the testis.

Specimen Mouse 445418 - Image 99253902: postnatal day 57; Esrratm1Dgen/Esrra+ (more )
Structure Level Pattern Image Note
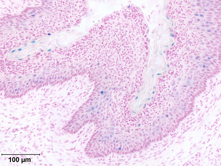
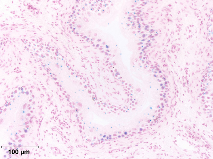
TS28: prostate epithelium Weak 99253902 There is scattered expression in the epithelium.

Specimen Mouse 445418 - Image 99253904: postnatal day 57; Esrratm1Dgen/Esrra+ (more )
Structure Level Pattern Image Note
TS28: lamina propria of bladder Strong 99253904 Expression is frequently seen in the muscularis.

Specimen Mouse 445418 - Image 99253905: postnatal day 57; Esrratm1Dgen/Esrra+ (more )
Structure Level Pattern Image Note
TS28: bladder Weak Regionally restricted 99253905 There is scattered expression in the blood vessels of the urinary bladder.
TS28: blood vessel Weak Regionally restricted 99253905 There is scattered expression in the blood vessels of the urinary bladder.

Specimen Mouse 445418 - Image 99253906: postnatal day 57; Esrratm1Dgen/Esrra+ (more )
Structure Level Pattern Image Note
TS28: urothelium of bladder Strong Regionally restricted 99253906 Expression is frequently seen in the epithelium.

Specimen Mouse 445418 - Image 99253909: postnatal day 57; Esrratm1Dgen/Esrra+ (more )
Structure Level Pattern Image Note
TS28: adrenal cortex Trace 99253909 There is occasional staining in the cortex.

Specimen Mouse 445418 - Image 99253929: postnatal day 57; Esrratm1Dgen/Esrra+ (more )
Structure Level Pattern Image Note
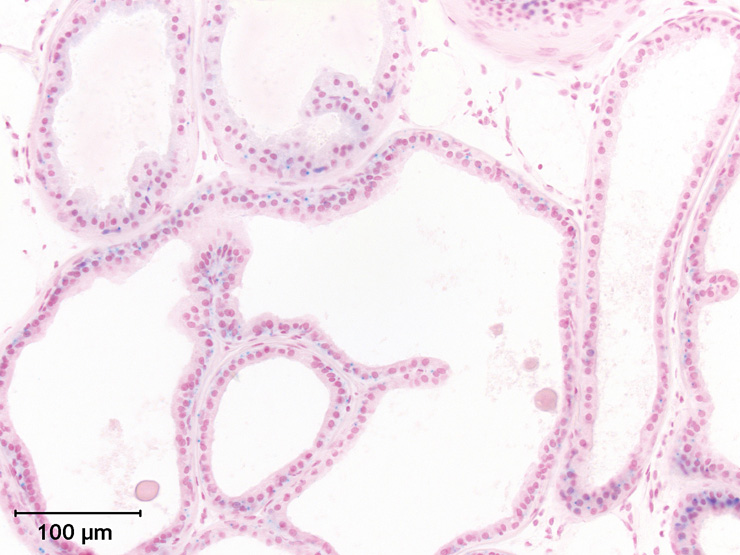
TS28: renal tubule Very strong 99253929 Expression is frequently seen in the tubules.

Specimen Mouse 445418 - Image 99253931: postnatal day 57; Esrratm1Dgen/Esrra+ (more )
Structure Level Pattern Image Note
TS28: renal pelvis Trace 99253931 There is scattered expression in the kidney pelvis.

Specimen Mouse 445418 - Image 99253933: postnatal day 57; Esrratm1Dgen/Esrra+ (more )
Structure Level Pattern Image Note
TS28: metanephros Strong Regionally restricted 99253933 Expression is frequently seen in the blood vessels of the kidney.
TS28: blood vessel Strong Regionally restricted 99253933 Expression is frequently seen in the blood vessels of the kidney.

Specimen Mouse 445418 - Image 99253963: postnatal day 57; Esrratm1Dgen/Esrra+ (more )
Structure Level Pattern Image Note
TS28: heart ventricle Very strong 99253963 Expression is present in practically all cells of the ventricles.

Specimen Mouse 445418 - Image 99253965: postnatal day 57; Esrratm1Dgen/Esrra+ (more )
Structure Level Pattern Image Note
TS28: heart valve Trace 99253965 There is occasional staining in the valves.

Specimen Mouse 445418 - Image 99253966: postnatal day 57; Esrratm1Dgen/Esrra+ (more )
Structure Level Pattern Image Note
TS28: heart atrium Strong 99253966 Expression is frequently seen in the atrium.

Specimen Mouse 445418 - Image 99253969: postnatal day 57; Esrratm1Dgen/Esrra+ (more )
Structure Level Pattern Image Note
TS28: lung Very strong Regionally restricted 99253969 Expression is frequently seen in the blood vessels of the lung.
TS28: blood vessel Very strong Regionally restricted 99253969 Expression is frequently seen in the blood vessels of the lung.

Specimen Mouse 445418 - Image 99253973: postnatal day 57; Esrratm1Dgen/Esrra+ (more )
Structure Level Pattern Image Note
TS28: bronchiole Moderate 99253973 There is scattered expression in the bronchioles.

Specimen Mouse 445418 - Image 99253974: postnatal day 57; Esrratm1Dgen/Esrra+ (more )
Structure Level Pattern Image Note
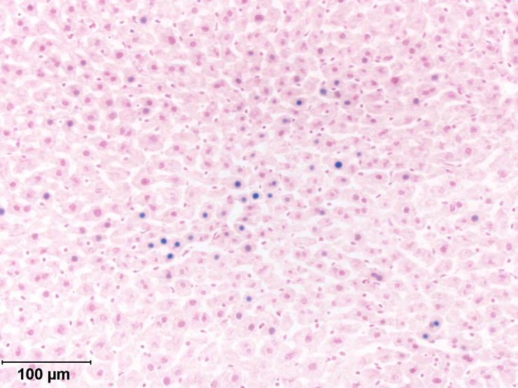
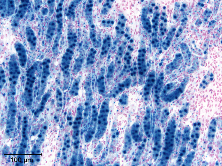
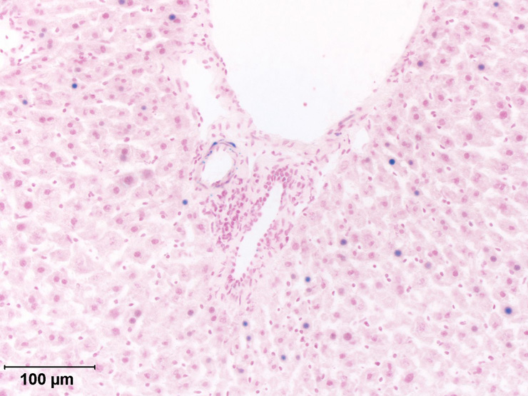
TS28: liver Moderate 99253974 There is scattered expression in the liver.

Specimen Mouse 445418 - Image 99253975: postnatal day 57; Esrratm1Dgen/Esrra+ (more )
Structure Level Pattern Image Note
TS28: liver Strong Regionally restricted 99253975 Expression is frequently seen in the blood vessels of the liver.
TS28: blood vessel Strong Regionally restricted 99253975 Expression is frequently seen in the blood vessels of the liver.

Specimen Mouse 445418 - Image 99253979: postnatal day 57; Esrratm1Dgen/Esrra+ (more )
Structure Level Pattern Image Note
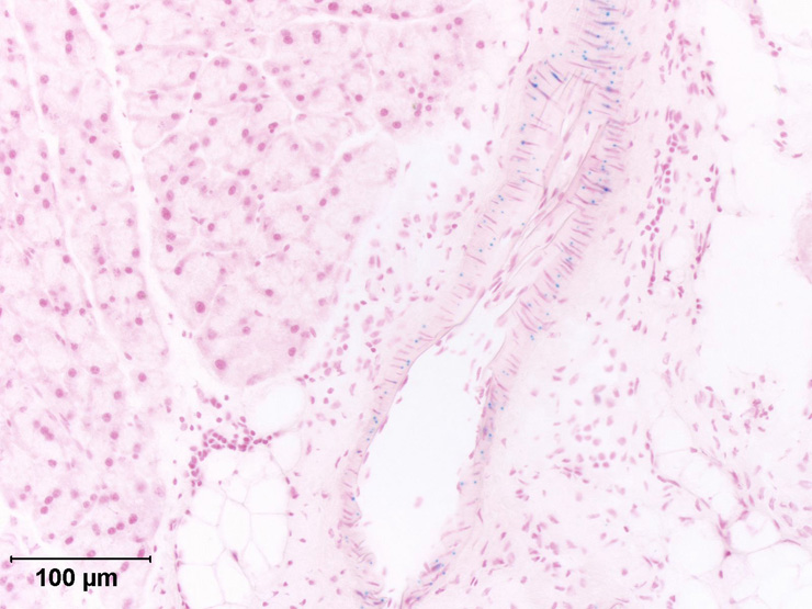
TS28: bile duct Weak 99253979 There is scattered expression in the bile duct.

Specimen Mouse 445418 - Image 99253996: postnatal day 57; Esrratm1Dgen/Esrra+ (more )
Structure Level Pattern Image Note
TS28: lens Moderate 99253996 There is scattered expression in the lens.

Specimen Mouse 445418 - Image 99253997: postnatal day 57; Esrratm1Dgen/Esrra+ (more )
Structure Level Pattern Image Note
TS28: ciliary body Very strong 99253997 Expression is present in practically all cells of the ciliary body.

Specimen Mouse 445418 - Image 99253998: postnatal day 57; Esrratm1Dgen/Esrra+ (more )
Structure Level Pattern Image Note
TS28: cornea Trace 99253998 There is scattered expression in the cornea.

Specimen Mouse 445418 - Image 99253999: postnatal day 57; Esrratm1Dgen/Esrra+ (more )
Structure Level Pattern Image Note
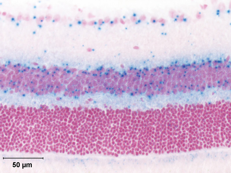
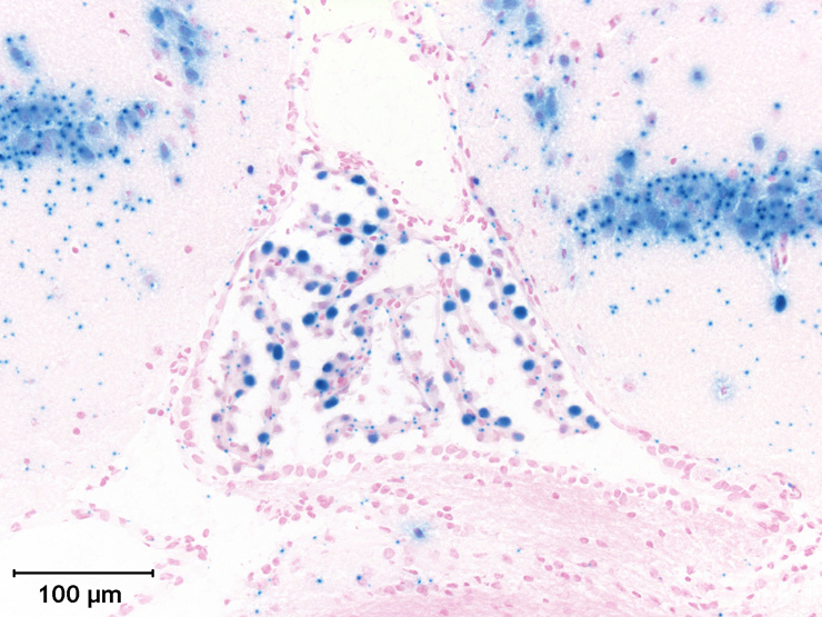
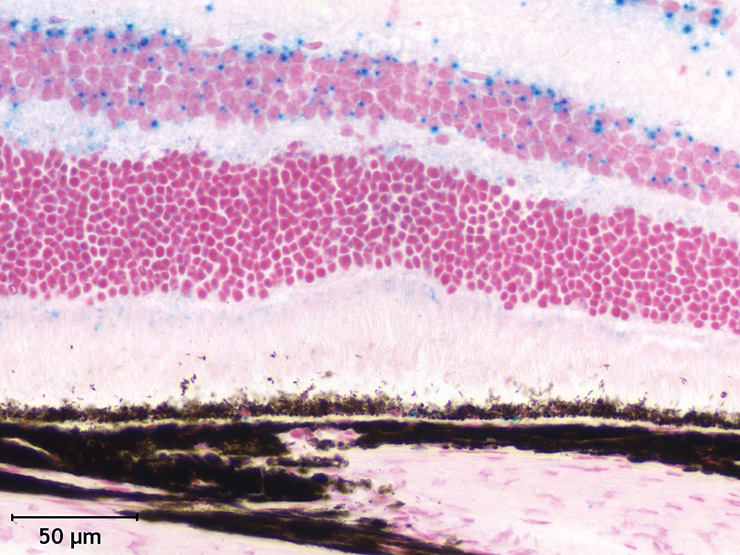
TS28: retina Very strong 99253999 There is scattered expression in the retina.

Specimen Mouse 445418 - Image 99254001: postnatal day 57; Esrratm1Dgen/Esrra+ (more )
Structure Level Pattern Image Note
TS28: retina ganglion cell layer Very strong 99254001 Expression is present in practically all cells of the ganglion cell layer.

Specimen Mouse 445418 - Image 99254007: postnatal day 57; Esrratm1Dgen/Esrra+ (more )
Structure Level Pattern Image Note
TS28: retina inner nuclear layer Very strong 99254007 Expression is frequently seen in the inner nuclear layer.

Specimen Mouse 445418 - Image 99254017: postnatal day 57; Esrratm1Dgen/Esrra+ (more )
Structure Level Pattern Image Note
TS28: optic nerve Moderate 99254017 There is scattered expression in the optic nerve.

Specimen Mouse 445418 - Image 99254025: postnatal day 57; Esrratm1Dgen/Esrra+ (more )
Structure Level Pattern Image Note
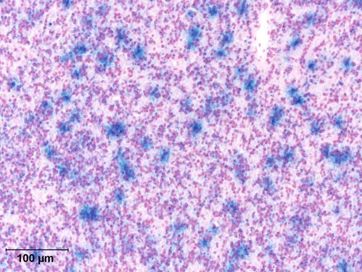
TS28: thymus Moderate 99254025 There is scattered expression in the thymus.

Specimen Mouse 445418 - Image 99254087: postnatal day 57; Esrratm1Dgen/Esrra+ (more )
Structure Level Pattern Image Note
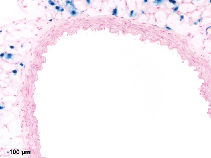
TS28: aorta Weak 99254087 There is scattered expression in the aorta.

Specimen Mouse 445418 - Image 99254088: postnatal day 57; Esrratm1Dgen/Esrra+ (more )
Structure Level Pattern Image Note
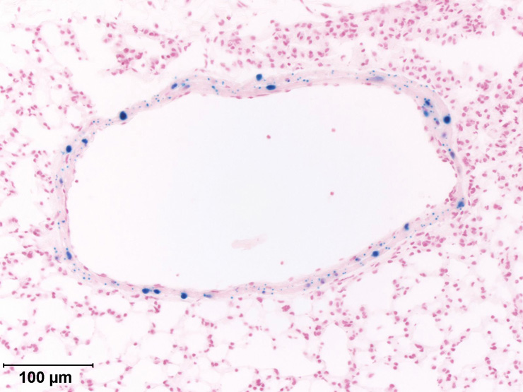
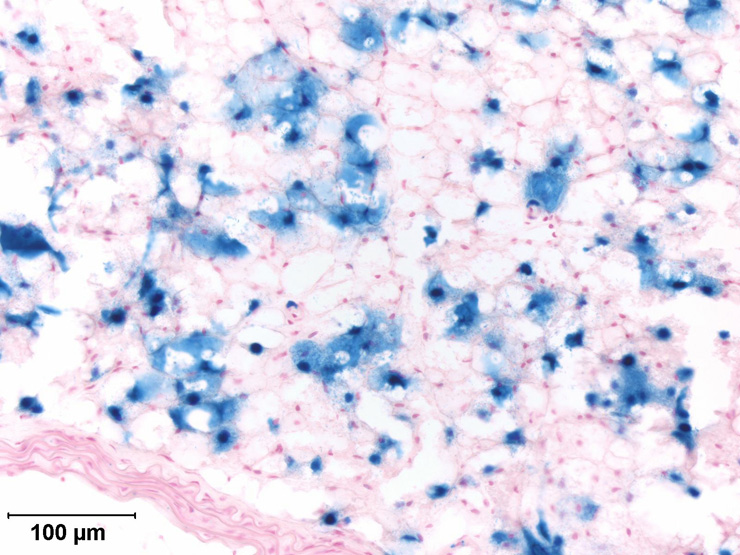
TS28: aorta Very strong Regionally restricted 99254088 Expression is frequently seen in the periaortic adipose tissue.
TS28: adipose tissue Very strong Regionally restricted 99254088 Expression is frequently seen in the periaortic adipose tissue.

Specimen Mouse 445418 - Image 99254089: postnatal day 57; Esrratm1Dgen/Esrra+ (more )
Structure Level Pattern Image Note
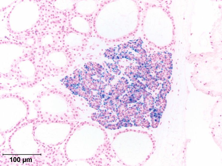
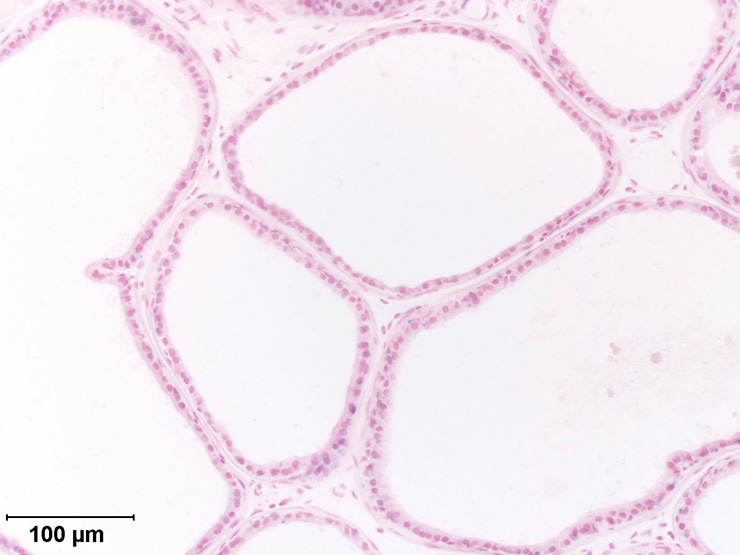
TS28: thyroid gland Strong 99254089 There is occasional staining in the thyroid gland.

Specimen Mouse 445418 - Image 99254090: postnatal day 57; Esrratm1Dgen/Esrra+ (more )
Structure Level Pattern Image Note
TS28: parathyroid gland Strong 99254090 Expression is present in practically all cells of the parathyroid gland.

Specimen Mouse 445418 - Image 99254092: postnatal day 57; Esrratm1Dgen/Esrra+ (more )
Structure Level Pattern Image Note
TS28: trachea Strong 99254092 There is scattered expression in the trachea.

Specimen Mouse 445418 - Image 99254094: postnatal day 57; Esrratm1Dgen/Esrra+ (more )
Structure Level Pattern Image Note
TS28: epidermis Weak 99254094 There is scattered expression in the epidermis.

Specimen Mouse 445418 - Image 99254096: postnatal day 57; Esrratm1Dgen/Esrra+ (more )
Structure Level Pattern Image Note
TS28: sebaceous gland Strong 99254096 There is scattered expression in the sebaceous gland.

Specimen Mouse 445418 - Image 99254097: postnatal day 57; Esrratm1Dgen/Esrra+ (more )
Structure Level Pattern Image Note
TS28: dermis Weak 99254097 There is scattered expression in the dermis.

Specimen Mouse 445418 - Image 99254098: postnatal day 57; Esrratm1Dgen/Esrra+ (more )
Structure Level Pattern Image Note
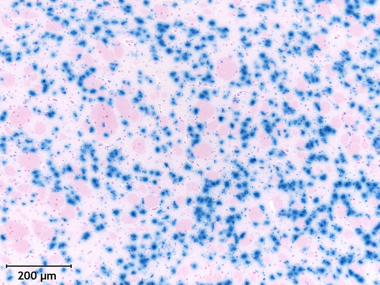
TS28: skeletal muscle Very strong 99254098 Expression is frequently seen in the skeletal muscle.

Specimen Mouse 445418 - Image 99254100: postnatal day 57; Esrratm1Dgen/Esrra+ (more )
Structure Level Pattern Image Note
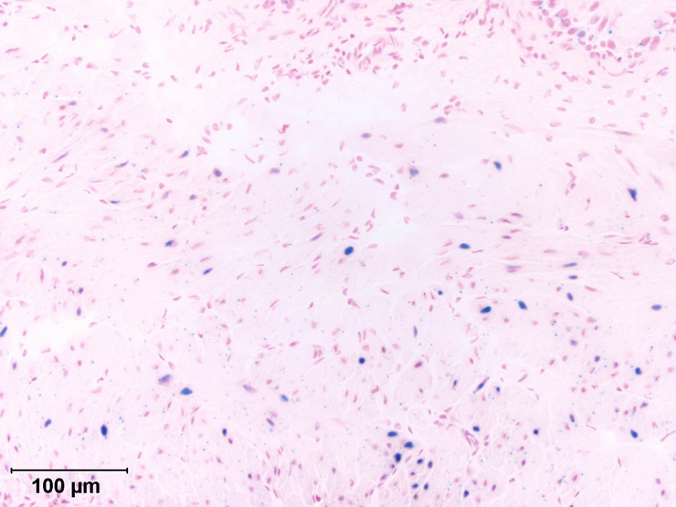
TS28: sciatic nerve Moderate 99254100 Expression is frequently seen in the sciatic nerve.

Specimen Mouse 445418 - Image 99256557: postnatal day 57; Esrratm1Dgen/Esrra+ (more )
Structure Level Pattern Image Note
TS28: adrenal medulla Trace 99256557 There is occasional staining in the medulla.

Specimen Mouse 445418 - Image 99256954: postnatal day 57; Esrratm1Dgen/Esrra+ (more )
Structure Level Pattern Image Note
TS28: pigmented retinal epithelium Moderate 99256954 There is scattered expression in the pigment layer.

Specimen Mouse 445418 - Image 99256955: postnatal day 57; Esrratm1Dgen/Esrra+ (more )
Structure Level Pattern Image Note
TS28: renal cortex Strong 99256955 Expression is frequently seen in the cortex.

Specimen Mouse 445418 - Image 99256956: postnatal day 57; Esrratm1Dgen/Esrra+ (more )
Structure Level Pattern Image Note
TS28: glomerular tuft Weak 99256956 There is occasional staining in the glomeruli.

Specimen Mouse 445418 - Image 99256957: postnatal day 57; Esrratm1Dgen/Esrra+ (more )
Structure Level Pattern Image Note
TS28: renal medulla Very strong 99256957 Expression is present in practically all cells of the medulla.

Specimen Mouse 445418 - Image 99256958: postnatal day 57; Esrratm1Dgen/Esrra+ (more )
Structure Level Pattern Image Note
TS28: renal papilla Strong 99256958 Expression is frequently seen in the papilla.

Specimen Mouse 445418 - Image 99257611: postnatal day 57; Esrratm1Dgen/Esrra+ (more )
Structure Level Pattern Image Note
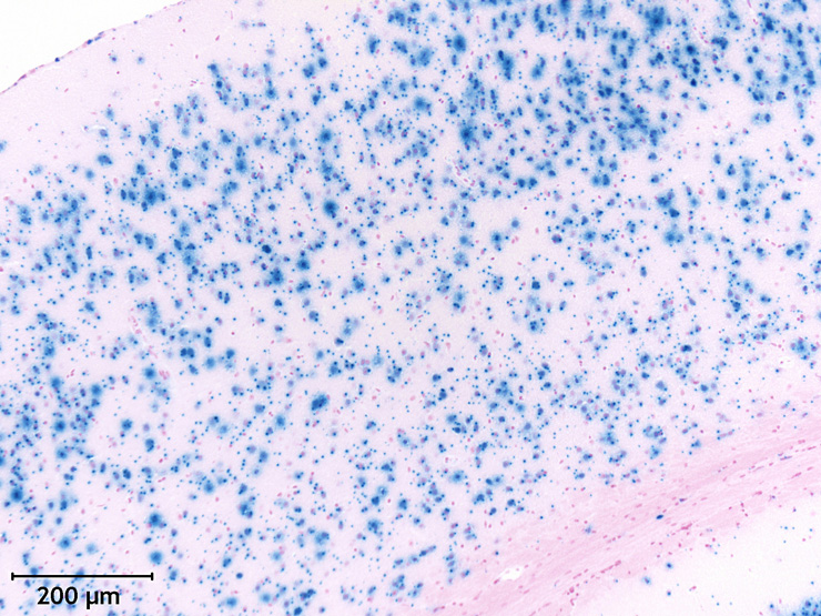
TS28: amygdala Strong 99257611 Expression is frequently seen in the amygdala.

Specimen Mouse 445418 - Image 99257612: postnatal day 57; Esrratm1Dgen/Esrra+ (more )
Structure Level Pattern Image Note
TS28: caudate-putamen Strong 99257612 Expression is frequently seen in the caudate-putamen.

Specimen Mouse 445418 - Image 99257613: postnatal day 57; Esrratm1Dgen/Esrra+ (more )
Structure Level Pattern Image Note
TS28: cerebral cortex Strong 99257613 Expression is frequently seen in the cortex.

Specimen Mouse 445418 - Image 99257614: postnatal day 57; Esrratm1Dgen/Esrra+ (more )
Structure Level Pattern Image Note
TS28: hypothalamus Strong 99257614 There is scattered expression in the hypothalamus.

Specimen Mouse 445418 - Image 99257616: postnatal day 57; Esrratm1Dgen/Esrra+ (more )
Structure Level Pattern Image Note
TS28: thalamus Strong 99257616 Expression is frequently seen in the thalamus.

Specimen Mouse 445418 - Image 99257617: postnatal day 57; Esrratm1Dgen/Esrra+ (more )
Structure Level Pattern Image Note
TS28: hippocampus Strong 99257617 Expression is frequently seen in the hippocampus.

Specimen Mouse 445418 - Image 99257618: postnatal day 57; Esrratm1Dgen/Esrra+ (more )
Structure Level Pattern Image Note
TS28: telencephalon Strong Regionally restricted 99257618 Expression is frequently seen in the choroid plexus of the cerebrum.
TS28: choroid plexus Strong Regionally restricted 99257618 Expression is frequently seen in the choroid plexus of the cerebrum.

Specimen Mouse 445418 - Image 99257619: postnatal day 57; Esrratm1Dgen/Esrra+ (more )
Structure Level Pattern Image Note
TS28: brainstem Very strong 99257619 Expression is frequently seen in the brainstem.

Specimen Mouse 445418 - Image 99257620: postnatal day 57; Esrratm1Dgen/Esrra+ (more )
Structure Level Pattern Image Note
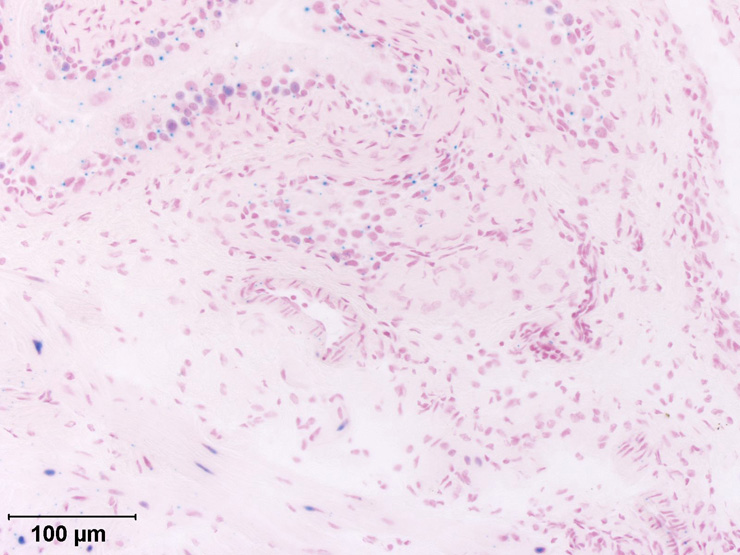
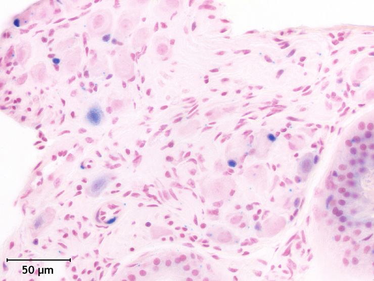
TS28: prostate gland Weak Regionally restricted 99257620 There is occasional staining in the stroma.

Specimen Mouse 445418 - Image 99257621: postnatal day 57; Esrratm1Dgen/Esrra+ (more )
Structure Level Pattern Image Note
TS28: prostate gland Moderate Regionally restricted 99257621 There is scattered expression in the ganglia.

Specimen Mouse 445418: postnatal day 57; Esrratm1Dgen/Esrra+ (more )
Structure Level Pattern Image Note
TS28: thyroid gland Strong Regionally restricted Expression is frequently seen in the blood vessels of the thyroid gland.
TS28: blood vessel Strong Regionally restricted Expression is frequently seen in the blood vessels of the thyroid gland.
TS28: bone marrow Absent


Contributing Projects:
Mouse Genome Database (MGD), Gene Expression Database (GXD), Mouse Models of Human Cancer database (MMHCdb) (formerly Mouse Tumor Biology (MTB)), Gene Ontology (GO)
Citing These Resources
Funding Information
Warranty Disclaimer, Privacy Notice, Licensing, & Copyright
Send questions and comments to User Support.
last database update
01/28/2026
MGI 6.24
The Jackson Laboratory