About   Help   FAQ
Gene Expression Data
Assay Details
Assay
Reference: J:101679 Deltagen Inc, NIH initiative supporting placement of Deltagen, Inc. mice into public repositories. MGI Direct Data Submission. 2005;
Assay type: In situ reporter (knock in)
MGI Accession ID: MGI:3639243
Gene symbol: Prss12
Gene name: serine protease 12 neurotrypsin (motopsin)
Reporter: lacZ
Direct Detection
Results
Specimen Mouse 326371 - Image 99217512: postnatal day 85; Prss12tm1Dgen/Prss12+ (more )
Structure Level Pattern Image Note
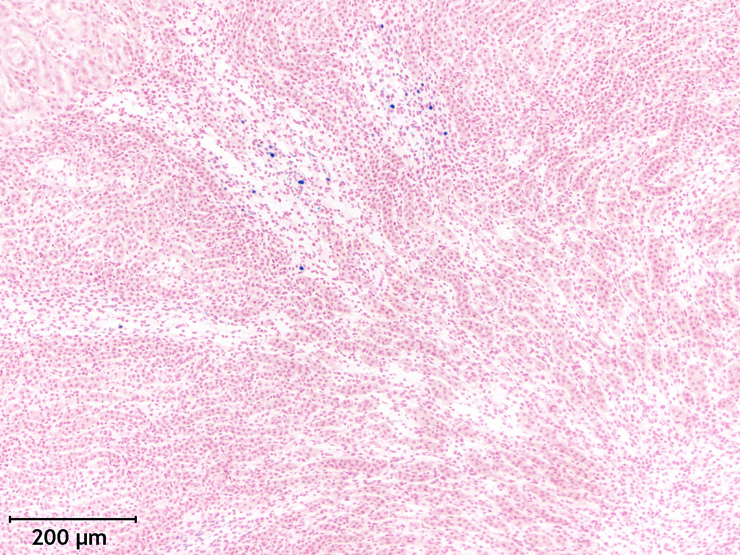
TS28: brain Strong 99217512 There is scattered expression in the brain.
TS28: telencephalon Strong 99217512 There is scattered expression in the cerebrum.

Specimen Mouse 326371 - Image 99217513: postnatal day 85; Prss12tm1Dgen/Prss12+ (more )
Structure Level Pattern Image Note
TS28: cerebellum Moderate 99217513 There is occasional staining in the cerebellum.

Specimen Mouse 326371 - Image 99217514: postnatal day 85; Prss12tm1Dgen/Prss12+ (more )
Structure Level Pattern Image Note
TS28: brainstem Weak 99217514 There is scattered expression in the brainstem.

Specimen Mouse 326371 - Image 99219406: postnatal day 85; Prss12tm1Dgen/Prss12+ (more )
Structure Level Pattern Image Note
TS28: ovary follicle Weak 99219406 There is occasional staining in the follicle.

Specimen Mouse 326371 - Image 99219410: postnatal day 85; Prss12tm1Dgen/Prss12+ (more )
Structure Level Pattern Image Note
TS28: lamina propria of bladder Moderate 99219410 There is occasional staining in the muscularis.

Specimen Mouse 326371 - Image 99219411: postnatal day 85; Prss12tm1Dgen/Prss12+ (more )
Structure Level Pattern Image Note
TS28: cervix uteri Moderate Regionally restricted 99219411 There is occasional staining in the smooth muscle layer.

Specimen Mouse 326371 - Image 99219416: postnatal day 85; Prss12tm1Dgen/Prss12+ (more )
Structure Level Pattern Image Note
TS28: cervix uteri Strong 99219416 There is scattered expression in the cervix.

Specimen Mouse 326371: postnatal day 85; Prss12tm1Dgen/Prss12+ (more )
Structure Level Pattern Image Note
TS28: uterus Absent
TS28: bone marrow Absent

Specimen Mouse 351141 - Image 99219390: postnatal day 47; Prss12tm1Dgen/Prss12+ (more )
Structure Level Pattern Image Note
TS28: amygdala Moderate 99219390 There is occasional staining in the amygdala.

Specimen Mouse 351141 - Image 99219392: postnatal day 47; Prss12tm1Dgen/Prss12+ (more )
Structure Level Pattern Image Note
TS28: hippocampus Weak 99219392 There is scattered expression in the hippocampus.

Specimen Mouse 351141 - Image 99219394: postnatal day 47; Prss12tm1Dgen/Prss12+ (more )
Structure Level Pattern Image Note
TS28: brainstem Trace 99219394 There is occasional staining in the brainstem.

Specimen Mouse 351141 - Image 99219397: postnatal day 47; Prss12tm1Dgen/Prss12+ (more )
Structure Level Pattern Image Note
TS28: spinal cord dorsal horn Moderate 99219397 There is scattered expression in the dorsal horns.

Specimen Mouse 351141 - Image 99219399: postnatal day 47; Prss12tm1Dgen/Prss12+ (more )
Structure Level Pattern Image Note
TS28: spinal cord ventral horn Trace 99219399 There is occasional staining in the ventral horns.

Specimen Mouse 351141 - Image 99219401: postnatal day 47; Prss12tm1Dgen/Prss12+ (more )
Structure Level Pattern Image Note
TS28: lymph node Weak 99219401 There is occasional staining in the lymph nodes.

Specimen Mouse 351141 - Image 99219402: postnatal day 47; Prss12tm1Dgen/Prss12+ (more )
Structure Level Pattern Image Note
TS28: seminiferous tubule Weak 99219402 There is occasional staining in the seminiferous tubules.

Specimen Mouse 351141 - Image 99219407: postnatal day 47; Prss12tm1Dgen/Prss12+ (more )
Structure Level Pattern Image Note
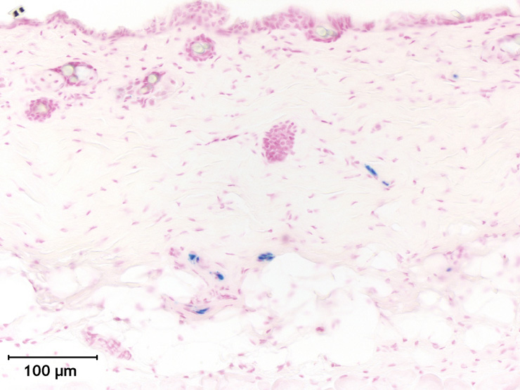
TS28: dermis Strong 99219407 There is occasional staining in the dermis.

Specimen Mouse 351141 - Image 99219409: postnatal day 47; Prss12tm1Dgen/Prss12+ (more )
Structure Level Pattern Image Note
TS28: sciatic nerve Strong 99219409 Expression is frequently seen in the sciatic nerve.

Specimen Mouse 351141 - Image 99219721: postnatal day 47; Prss12tm1Dgen/Prss12+ (more )
Structure Level Pattern Image Note
TS28: cerebral cortex Strong 99219721 There is scattered expression in the cortex.

Specimen Mouse 351141 - Image 99219723: postnatal day 47; Prss12tm1Dgen/Prss12+ (more )
Structure Level Pattern Image Note
TS28: cerebral cortex Moderate 99219723 There is scattered expression in the cortex.

Specimen Mouse 351141 - Image 99219728: postnatal day 47; Prss12tm1Dgen/Prss12+ (more )
Structure Level Pattern Image Note
TS28: hippocampus Weak 99219728 There is scattered expression in the hippocampus.

Specimen Mouse 351141 - Image 99219801: postnatal day 47; Prss12tm1Dgen/Prss12+ (more )
Structure Level Pattern Image Note
TS28: skeletal muscle Strong Regionally restricted 99219801 Expression is frequently seen in the nerves of the skeletal muscle.
TS28: nerve Strong Regionally restricted 99219801 Expression is frequently seen in the nerves of the skeletal muscle.

Specimen Mouse 351141 - Image 99219813: postnatal day 47; Prss12tm1Dgen/Prss12+ (more )
Structure Level Pattern Image Note
TS28: renal medulla Strong 99219813 There is scattered expression in the medulla.

Specimen Mouse 351141: postnatal day 47; Prss12tm1Dgen/Prss12+ (more )
Structure Level Pattern Image Note
TS28: aorta Absent
TS28: heart Absent
TS28: liver Absent
TS28: pancreas Absent
TS28: adrenal gland Absent
TS28: parathyroid gland Absent
TS28: pituitary gland Absent
TS28: thyroid gland Absent
TS28: bone marrow Absent
TS28: spleen Absent
TS28: thymus Absent
TS28: prostate gland Absent
TS28: cerebellum Absent
TS28: larynx Absent
TS28: lung Absent
TS28: eye Absent
TS28: bladder Absent


Contributing Projects:
Mouse Genome Database (MGD), Gene Expression Database (GXD), Mouse Models of Human Cancer database (MMHCdb) (formerly Mouse Tumor Biology (MTB)), Gene Ontology (GO)
Citing These Resources
Funding Information
Warranty Disclaimer, Privacy Notice, Licensing, & Copyright
Send questions and comments to User Support.
last database update
01/20/2026
MGI 6.24
The Jackson Laboratory