About   Help   FAQ
Gene Expression Data
Assay Details
Assay
Reference: J:101679 Deltagen Inc, NIH initiative supporting placement of Deltagen, Inc. mice into public repositories. MGI Direct Data Submission. 2005;
Assay type: In situ reporter (knock in)
MGI Accession ID: MGI:3639242
Gene symbol: Slc9a6
Gene name: solute carrier family 9 (sodium/hydrogen exchanger), member 6
Reporter: lacZ
Direct Detection
Results
Specimen Mouse 276933 - Image 99208158: postnatal day 105; Slc9a6tm1Dgen/Slc9a6+ (more )
Structure Level Pattern Image Note
TS28: amygdala Very strong 99208158 Expression is frequently seen in the amygdala.

Specimen Mouse 276933 - Image 99208163: postnatal day 105; Slc9a6tm1Dgen/Slc9a6+ (more )
Structure Level Pattern Image Note
TS28: caudate-putamen Very strong 99208163 There is scattered expression in the caudate-putamen.

Specimen Mouse 276933 - Image 99208167: postnatal day 105; Slc9a6tm1Dgen/Slc9a6+ (more )
Structure Level Pattern Image Note
TS28: thalamus Very strong 99208167 There is scattered expression in the thalamus.

Specimen Mouse 276933 - Image 99208172: postnatal day 105; Slc9a6tm1Dgen/Slc9a6+ (more )
Structure Level Pattern Image Note
TS28: cerebral cortex Very strong 99208172 Expression is frequently seen in the cortex.
TS28: hippocampus Very strong 99208172 Expression is frequently seen in the hippocampus.

Specimen Mouse 276933 - Image 99208175: postnatal day 105; Slc9a6tm1Dgen/Slc9a6+ (more )
Structure Level Pattern Image Note
TS28: hypothalamus Very strong 99208175 There is scattered expression in the hypothalamus.

Specimen Mouse 276933 - Image 99208176: postnatal day 105; Slc9a6tm1Dgen/Slc9a6+ (more )
Structure Level Pattern Image Note
TS28: brain ventricle Very strong Regionally restricted 99208176 Expression is frequently seen in a ventricle in the cerebrum.

Specimen Mouse 276933 - Image 99208177: postnatal day 105; Slc9a6tm1Dgen/Slc9a6+ (more )
Structure Level Pattern Image Note
TS28: telencephalon Very strong Regionally restricted 99208177 There is scattered expression in the choroid plexus of the cerebrum.
TS28: choroid plexus Very strong Regionally restricted 99208177 There is scattered expression in the choroid plexus of the cerebrum.

Specimen Mouse 276933 - Image 99208195: postnatal day 105; Slc9a6tm1Dgen/Slc9a6+ (more )
Structure Level Pattern Image Note
TS28: spinal cord central canal Very strong 99208195 Expression is frequently seen in the central canal.
TS28: spinal cord gray matter Very strong 99208195 There is scattered expression in the grey matter.
TS28: spinal cord white matter Very strong 99208195 Expression is frequently seen in the white matter.

Specimen Mouse 276933 - Image 99208212: postnatal day 105; Slc9a6tm1Dgen/Slc9a6+ (more )
Structure Level Pattern Image Note
TS28: brainstem Very strong 99208212 There is scattered expression in the brainstem.

Specimen Mouse 276933 - Image 99208220: postnatal day 105; Slc9a6tm1Dgen/Slc9a6+ (more )
Structure Level Pattern Image Note
TS28: cerebellum granule cell layer Very strong 99208220 There is scattered expression in the granule layer.
TS28: cerebellum molecular layer Very strong 99208220 There is scattered expression in the molecular layer.
TS28: cerebellum Purkinje cell layer Very strong 99208220 Expression is frequently seen in the Purkinje layer.
TS28: cerebellum white matter Very strong 99208220 Expression is frequently seen in the white matter.

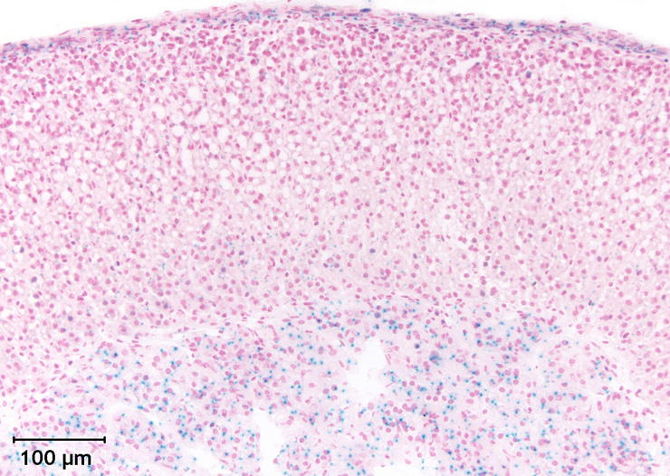
Specimen Mouse 276933 - Image 99208225: postnatal day 105; Slc9a6tm1Dgen/Slc9a6+ (more )
Structure Level Pattern Image Note
TS28: adenohypophysis pars intermedia Strong 99208225 Expression is frequently seen in the pars intermedia.
TS28: neurohypophysis pars nervosa Strong 99208225 There is scattered expression in the pars nervosa.

Specimen Mouse 276934 - Image 99194291: postnatal day 56; Slc9a6tm1Dgen/Slc9a6+ (more )
Structure Level Pattern Image Note
TS28: brain Very strong 99194291 Expression is present in practically all cells of the brain.
TS28: telencephalon Very strong 99194291 Expression is present in practically all cells of the cerebrum.

Specimen Mouse 276934 - Image 99194292: postnatal day 56; Slc9a6tm1Dgen/Slc9a6+ (more )
Structure Level Pattern Image Note
TS28: cerebellum Very strong 99194292 Expression is frequently seen in the cerebellum.

Specimen Mouse 276934 - Image 99194293: postnatal day 56; Slc9a6tm1Dgen/Slc9a6+ (more )
Structure Level Pattern Image Note
TS28: brainstem Very strong 99194293 Expression is frequently seen in the brainstem.

Specimen Mouse 276934 - Image 99198863: postnatal day 56; Slc9a6tm1Dgen/Slc9a6+ (more )
Structure Level Pattern Image Note
TS28: neurohypophysis pars nervosa Strong 99198863 There is scattered expression in the pars nervosa.

Specimen Mouse 276934 - Image 99198864: postnatal day 56; Slc9a6tm1Dgen/Slc9a6+ (more )
Structure Level Pattern Image Note
TS28: adenohypophysis pars intermedia Strong 99198864 There is scattered expression in the pars intermedia.

Specimen Mouse 276934 - Image 99198865: postnatal day 56; Slc9a6tm1Dgen/Slc9a6+ (more )
Structure Level Pattern Image Note
TS28: adenohypophysis pars anterior Very strong 99198865 Expression is frequently seen in the pars distalis.

Specimen Mouse 276934 - Image 99198869: postnatal day 56; Slc9a6tm1Dgen/Slc9a6+ (more )
Structure Level Pattern Image Note
TS28: lymph node Strong 99198869 There is scattered expression in the lymph nodes.

Specimen Mouse 276934 - Image 99198870: postnatal day 56; Slc9a6tm1Dgen/Slc9a6+ (more )
Structure Level Pattern Image Note
TS28: adrenal medulla Very strong 99198870 Expression is frequently seen in the medulla.

Specimen Mouse 276934 - Image 99198871: postnatal day 56; Slc9a6tm1Dgen/Slc9a6+ (more )
Structure Level Pattern Image Note
TS28: pancreatic duct Moderate 99198871 There is scattered expression in the duct.
TS28: islets of Langerhans Strong 99198871 Expression is frequently seen in the islets of Langerhans.

Specimen Mouse 276934 - Image 99198872: postnatal day 56; Slc9a6tm1Dgen/Slc9a6+ (more )
Structure Level Pattern Image Note
TS28: pancreas Very strong Regionally restricted 99198872 Expression is frequently seen in the blood vessels of the pancreas.
TS28: blood vessel Very strong Regionally restricted 99198872 Expression is frequently seen in the blood vessels of the pancreas.

Specimen Mouse 276934 - Image 99198874: postnatal day 56; Slc9a6tm1Dgen/Slc9a6+ (more )
Structure Level Pattern Image Note
TS28: spleen white pulp Moderate 99198874 There is occasional staining in the white pulp.

Specimen Mouse 276934 - Image 99198876: postnatal day 56; Slc9a6tm1Dgen/Slc9a6+ (more )
Structure Level Pattern Image Note
TS28: spleen Moderate Regionally restricted 99198876 Expression is frequently seen in the blood vessels of the spleen.
TS28: blood vessel Moderate Regionally restricted 99198876 Expression is frequently seen in the blood vessels of the spleen.

Specimen Mouse 276934 - Image 99198881: postnatal day 56; Slc9a6tm1Dgen/Slc9a6+ (more )
Structure Level Pattern Image Note
TS28: lamina propria of bladder Very strong 99198881 Expression is frequently seen in the muscularis.

Specimen Mouse 276934 - Image 99198882: postnatal day 56; Slc9a6tm1Dgen/Slc9a6+ (more )
Structure Level Pattern Image Note
TS28: urothelium of bladder Moderate Regionally restricted 99198882 There is occasional staining in the epithelium.

Specimen Mouse 276934 - Image 99198883: postnatal day 56; Slc9a6tm1Dgen/Slc9a6+ (more )
Structure Level Pattern Image Note
TS28: renal cortex Very strong 99198883 Expression is frequently seen in the cortex.
TS28: glomerular tuft Moderate 99198883 There is scattered expression in the glomeruli.

Specimen Mouse 276934 - Image 99198884: postnatal day 56; Slc9a6tm1Dgen/Slc9a6+ (more )
Structure Level Pattern Image Note
TS28: renal medulla Strong 99198884 Expression is frequently seen in the medulla.

Specimen Mouse 276934 - Image 99198885: postnatal day 56; Slc9a6tm1Dgen/Slc9a6+ (more )
Structure Level Pattern Image Note
TS28: renal papilla Very strong 99198885 Expression is frequently seen in the papilla.

Specimen Mouse 276934 - Image 99198887: postnatal day 56; Slc9a6tm1Dgen/Slc9a6+ (more )
Structure Level Pattern Image Note
TS28: adrenal cortex Strong 99198887 There is scattered expression in the cortex.

Specimen Mouse 276934 - Image 99198889: postnatal day 56; Slc9a6tm1Dgen/Slc9a6+ (more )
Structure Level Pattern Image Note
TS28: liver Very strong Regionally restricted 99198889 There is scattered expression in the hepatocytes.

Specimen Mouse 276934 - Image 99198891: postnatal day 56; Slc9a6tm1Dgen/Slc9a6+ (more )
Structure Level Pattern Image Note
TS28: lung alveolus Strong 99198891 Expression is frequently seen in the alveoli.

Specimen Mouse 276934 - Image 99198893: postnatal day 56; Slc9a6tm1Dgen/Slc9a6+ (more )
Structure Level Pattern Image Note
TS28: bronchiole Strong 99198893 Expression is frequently seen in the bronchioles.

Specimen Mouse 276934 - Image 99198894: postnatal day 56; Slc9a6tm1Dgen/Slc9a6+ (more )
Structure Level Pattern Image Note
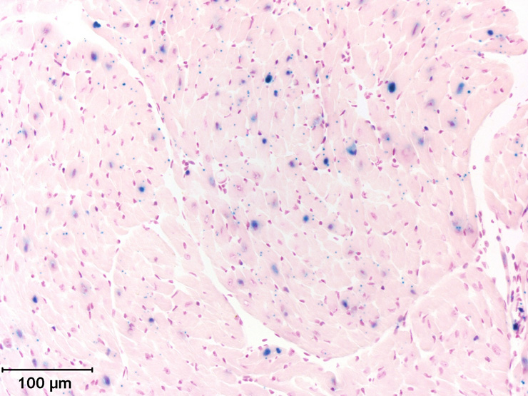
TS28: heart Strong 99198894 Expression is frequently seen in the heart.

Specimen Mouse 276934 - Image 99198895: postnatal day 56; Slc9a6tm1Dgen/Slc9a6+ (more )
Structure Level Pattern Image Note
TS28: heart atrium Very strong 99198895 There is scattered expression in the atrium.

Specimen Mouse 276934 - Image 99198896: postnatal day 56; Slc9a6tm1Dgen/Slc9a6+ (more )
Structure Level Pattern Image Note
TS28: heart ventricle Very strong 99198896 Expression is frequently seen in the ventricles.

Specimen Mouse 276934 - Image 99198897: postnatal day 56; Slc9a6tm1Dgen/Slc9a6+ (more )
Structure Level Pattern Image Note
TS28: heart valve Very strong 99198897 Expression is frequently seen in the valves.

Specimen Mouse 276934 - Image 99198900: postnatal day 56; Slc9a6tm1Dgen/Slc9a6+ (more )
Structure Level Pattern Image Note
TS28: retina ganglion cell layer Strong 99198900 There is scattered expression in the ganglion cell layer.
TS28: retina inner nuclear layer Strong 99198900 There is scattered expression in the inner nuclear layer.
TS28: pigmented retinal epithelium Strong 99198900 There is scattered expression in the pigment layer.
TS28: retina Strong 99198900 Expression is frequently seen in the retina.
TS28: sclera Strong 99198900 Expression is frequently seen in the sclera.

Specimen Mouse 276934 - Image 99198902: postnatal day 56; Slc9a6tm1Dgen/Slc9a6+ (more )
Structure Level Pattern Image Note
TS28: ciliary body Strong 99198902 Expression is frequently seen in the ciliary body.

Specimen Mouse 276934 - Image 99198903: postnatal day 56; Slc9a6tm1Dgen/Slc9a6+ (more )
Structure Level Pattern Image Note
TS28: thymus Strong Regionally restricted 99198903 Expression is frequently seen in the blood vessels of the thymus.
TS28: blood vessel Strong Regionally restricted 99198903 Expression is frequently seen in the blood vessels of the thymus.

Specimen Mouse 276934 - Image 99198906: postnatal day 56; Slc9a6tm1Dgen/Slc9a6+ (more )
Structure Level Pattern Image Note
TS28: white fat Strong 99198906 There is scattered expression in the adipose tissue.
TS28: aorta Strong 99198906 Expression is frequently seen in the aorta.

Specimen Mouse 276934 - Image 99198909: postnatal day 56; Slc9a6tm1Dgen/Slc9a6+ (more )
Structure Level Pattern Image Note
TS28: skeletal muscle Strong 99198909 There is scattered expression in the skeletal muscle.

Specimen Mouse 276934 - Image 99198910: postnatal day 56; Slc9a6tm1Dgen/Slc9a6+ (more )
Structure Level Pattern Image Note
TS28: sciatic nerve Very strong 99198910 Expression is frequently seen in the sciatic nerve.

Specimen Mouse 276934 - Image 99198911: postnatal day 56; Slc9a6tm1Dgen/Slc9a6+ (more )
Structure Level Pattern Image Note
TS28: dermis Strong 99198911 There is scattered expression in the dermis.
TS28: epidermis Strong 99198911 There is scattered expression in the epidermis.
TS28: hair follicle Weak 99198911 There is occasional staining in the hair follicles.

Specimen Mouse 276934 - Image 99207807: postnatal day 56; Slc9a6tm1Dgen/Slc9a6+ (more )
Structure Level Pattern Image Note
TS28: lymph node Moderate 99207807 There is occasional staining in the lymph nodes.

Specimen Mouse 276934 - Image 99207810: postnatal day 56; Slc9a6tm1Dgen/Slc9a6+ (more )
Structure Level Pattern Image Note
TS28: pancreatic acinus Very strong 99207810 There is occasional staining in the acini.

Specimen Mouse 276934 - Image 99207812: postnatal day 56; Slc9a6tm1Dgen/Slc9a6+ (more )
Structure Level Pattern Image Note
TS28: spleen capsule Weak 99207812 There is scattered expression in the capsule.

Specimen Mouse 276934 - Image 99207814: postnatal day 56; Slc9a6tm1Dgen/Slc9a6+ (more )
Structure Level Pattern Image Note
TS28: spleen trabeculum Weak 99207814 There is scattered expression in the trabeculae.

Specimen Mouse 276934 - Image 99207845: postnatal day 56; Slc9a6tm1Dgen/Slc9a6+ (more )
Structure Level Pattern Image Note
TS28: ovary Strong 99207845 There is occasional staining in the ovary.

Specimen Mouse 276934 - Image 99207848: postnatal day 56; Slc9a6tm1Dgen/Slc9a6+ (more )
Structure Level Pattern Image Note
TS28: myometrium Strong 99207848 There is scattered expression in the myometrium.

Specimen Mouse 276934 - Image 99207851: postnatal day 56; Slc9a6tm1Dgen/Slc9a6+ (more )
Structure Level Pattern Image Note
TS28: endometrium stroma Weak 99207851 There is occasional staining in the endometrial stroma.

Specimen Mouse 276934 - Image 99207858: postnatal day 56; Slc9a6tm1Dgen/Slc9a6+ (more )
Structure Level Pattern Image Note
TS28: white fat Strong 99207858 There is scattered expression in the adipose tissue.
TS28: adrenal gland Strong Regionally restricted 99207858 Expression is frequently seen in the capsule.

Specimen Mouse 276934 - Image 99207940: postnatal day 56; Slc9a6tm1Dgen/Slc9a6+ (more )
Structure Level Pattern Image Note
TS28: lens Strong 99207940 There is scattered expression in the lens.

Specimen Mouse 276934 - Image 99207945: postnatal day 56; Slc9a6tm1Dgen/Slc9a6+ (more )
Structure Level Pattern Image Note
TS28: thymus medullary core Strong 99207945 There is occasional staining in the medulla.

Specimen Mouse 276934 - Image 99207961: postnatal day 56; Slc9a6tm1Dgen/Slc9a6+ (more )
Structure Level Pattern Image Note
TS28: parathyroid gland Very strong 99207961 Expression is present in practically all cells of the parathyroid gland.

Specimen Mouse 276934 - Image 99207969: postnatal day 56; Slc9a6tm1Dgen/Slc9a6+ (more )
Structure Level Pattern Image Note
TS28: skeletal muscle Strong Regionally restricted 99207969 There is scattered expression in the blood vessels of the skeletal muscle.
TS28: blood vessel Strong Regionally restricted 99207969 There is scattered expression in the blood vessels of the skeletal muscle.

Specimen Mouse 276934: postnatal day 56; Slc9a6tm1Dgen/Slc9a6+ (more )
Structure Level Pattern Image Note
TS28: liver Strong Regionally restricted Expression is frequently seen in the blood vessels of the liver.
TS28: blood vessel Present Regionally restricted Strong expression is frequently seen in the blood vessels of the liver and lung. Very strong expression is frequently seen in the blood vessels of the kidney. Strong, scattered expression is seen in the blood vessels of the urinary bladder.
TS28: bile duct Strong There is scattered expression in the bile duct.
TS28: thyroid gland Strong There is scattered expression in the thyroid gland.
TS28: bone marrow Absent
TS28: spinal cord central canal Very strong Expression is frequently seen in the central canal.
TS28: spinal cord gray matter Very strong Expression is frequently seen in the grey matter.
TS28: spinal cord white matter Very strong Expression is frequently seen in the white matter.
TS28: lung Strong Regionally restricted Expression is frequently seen in the blood vessels of the lung.
TS28: trachea Strong Expression is frequently seen in the trachea.
TS28: trachea cartilage Very strong Expression is frequently seen in the cartilage.
TS28: metanephros Very strong Regionally restricted Expression is frequently seen in the blood vessels of the kidney.
TS28: bladder Strong Regionally restricted There is scattered expression in the blood vessels of the urinary bladder.

Specimen Mouse 280543 - Image 99196882: postnatal day 52; Slc9a6tm1Dgen/Y (more )
Structure Level Pattern Image Note
TS28: pancreas Strong Regionally restricted 99196882 Expression is frequently seen in the blood vessels of the pancreas.
TS28: blood vessel Strong Regionally restricted 99196882 Expression is frequently seen in the blood vessels of the pancreas.
TS28: islets of Langerhans Strong 99196882 Expression is frequently seen in the islets of Langerhans.

Specimen Mouse 280543 - Image 99196891: postnatal day 52; Slc9a6tm1Dgen/Y (more )
Structure Level Pattern Image Note
TS28: testis Strong Regionally restricted 99196891 There is scattered expression in the tunica albuginea.

Specimen Mouse 280543 - Image 99197839: postnatal day 52; Slc9a6tm1Dgen/Y (more )
Structure Level Pattern Image Note
TS28: bile duct Strong 99197839 There is scattered expression in the bile duct.

Specimen Mouse 280543 - Image 99197840: postnatal day 52; Slc9a6tm1Dgen/Y (more )
Structure Level Pattern Image Note
TS28: liver Strong Regionally restricted 99197840 Expression is frequently seen in the blood vessels of the liver.
TS28: blood vessel Strong Regionally restricted 99197840 Expression is frequently seen in the blood vessels of the liver.

Specimen Mouse 280543 - Image 99197842: postnatal day 52; Slc9a6tm1Dgen/Y (more )
Structure Level Pattern Image Note
TS28: liver Very strong 99197842 There is occasional staining in the liver.

Specimen Mouse 280543 - Image 99197849: postnatal day 52; Slc9a6tm1Dgen/Y (more )
Structure Level Pattern Image Note
TS28: renal cortex Strong 99197849 Expression is frequently seen in the cortex.
TS28: glomerular tuft Strong 99197849 Expression is frequently seen in the glomeruli.

Specimen Mouse 280543 - Image 99197850: postnatal day 52; Slc9a6tm1Dgen/Y (more )
Structure Level Pattern Image Note
TS28: renal medulla Very strong 99197850 Expression is frequently seen in the medulla.

Specimen Mouse 280543 - Image 99197851: postnatal day 52; Slc9a6tm1Dgen/Y (more )
Structure Level Pattern Image Note
TS28: renal papilla Very strong 99197851 Expression is present in practically all cells of the papilla.

Specimen Mouse 280543 - Image 99197854: postnatal day 52; Slc9a6tm1Dgen/Y (more )
Structure Level Pattern Image Note
TS28: thyroid gland Strong 99197854 There is scattered expression in the thyroid gland. In addition, expression is frequently seen in the blood vessels of the thyroid gland.
TS28: blood vessel Strong Regionally restricted 99197854 Expression is frequently seen in the blood vessels of the thyroid gland.

Specimen Mouse 280543 - Image 99197856: postnatal day 52; Slc9a6tm1Dgen/Y (more )
Structure Level Pattern Image Note
TS28: larynx Strong 99197856 Expression is frequently seen in the larynx.
TS28: laryngeal cartilage Very strong 99197856 Expression is present in practically all cells of the cartilage.

Specimen Mouse 280543 - Image 99197860: postnatal day 52; Slc9a6tm1Dgen/Y (more )
Structure Level Pattern Image Note
TS28: sciatic nerve Very strong 99197860 Expression is frequently seen in the sciatic nerve.

Specimen Mouse 280543 - Image 99197861: postnatal day 52; Slc9a6tm1Dgen/Y (more )
Structure Level Pattern Image Note
TS28: dermis Strong 99197861 There is scattered expression in the dermis.
TS28: epidermis Strong 99197861 There is scattered expression in the epidermis.
TS28: hair follicle Moderate 99197861 There is occasional staining in the hair follicles.

Specimen Mouse 280543 - Image 99197862: postnatal day 52; Slc9a6tm1Dgen/Y (more )
Structure Level Pattern Image Note
TS28: skeletal muscle Strong Regionally restricted 99197862 Expression is frequently seen in the blood vessels of the skeletal muscle.
TS28: blood vessel Strong Regionally restricted 99197862 Expression is frequently seen in the blood vessels of the skeletal muscle.

Specimen Mouse 280543 - Image 99197865: postnatal day 52; Slc9a6tm1Dgen/Y (more )
Structure Level Pattern Image Note
TS28: retina ganglion cell layer Strong 99197865 There is scattered expression in the ganglion cell layer.
TS28: retina inner nuclear layer Strong 99197865 There is scattered expression in the inner nuclear layer.
TS28: sclera Strong 99197865 There is scattered expression in the sclera.

Specimen Mouse 280543 - Image 99207825: postnatal day 52; Slc9a6tm1Dgen/Y (more )
Structure Level Pattern Image Note
TS28: spleen capsule Strong 99207825 Expression is frequently seen in the capsule.

Specimen Mouse 280543 - Image 99207828: postnatal day 52; Slc9a6tm1Dgen/Y (more )
Structure Level Pattern Image Note
TS28: spleen white pulp Strong 99207828 There is occasional staining in the white pulp.

Specimen Mouse 280543 - Image 99207829: postnatal day 52; Slc9a6tm1Dgen/Y (more )
Structure Level Pattern Image Note
TS28: spleen trabeculum Moderate 99207829 There is scattered expression in the trabeculae.

Specimen Mouse 280543 - Image 99207830: postnatal day 52; Slc9a6tm1Dgen/Y (more )
Structure Level Pattern Image Note
TS28: spleen red pulp Weak 99207830 There is occasional staining in the red pulp.

Specimen Mouse 280543 - Image 99207833: postnatal day 52; Slc9a6tm1Dgen/Y (more )
Structure Level Pattern Image Note
TS28: interstitium of the testis Very strong 99207833 There is scattered expression in the interstitium.
TS28: seminiferous tubule Very strong 99207833 There is scattered expression in the seminiferous tubules.

Specimen Mouse 280543 - Image 99207835: postnatal day 52; Slc9a6tm1Dgen/Y (more )
Structure Level Pattern Image Note
TS28: prostate gland Strong 99207835 There is scattered expression in the prostate gland.

Specimen Mouse 280543 - Image 99207839: postnatal day 52; Slc9a6tm1Dgen/Y (more )
Structure Level Pattern Image Note
TS28: bladder Strong Regionally restricted 99207839 Expression is frequently seen in the blood vessels of the urinary bladder.
TS28: blood vessel Strong Regionally restricted 99207839 Expression is frequently seen in the blood vessels of the urinary bladder.

Specimen Mouse 280543 - Image 99207841: postnatal day 52; Slc9a6tm1Dgen/Y (more )
Structure Level Pattern Image Note
TS28: urothelium of bladder Moderate Regionally restricted 99207841 There is scattered expression in the epithelium.

Specimen Mouse 280543 - Image 99207842: postnatal day 52; Slc9a6tm1Dgen/Y (more )
Structure Level Pattern Image Note
TS28: lamina propria of bladder Very strong 99207842 Expression is frequently seen in the muscularis.

Specimen Mouse 280543 - Image 99207911: postnatal day 52; Slc9a6tm1Dgen/Y (more )
Structure Level Pattern Image Note
TS28: lung alveolus Very strong 99207911 There is scattered expression in the alveoli.

Specimen Mouse 280543 - Image 99207915: postnatal day 52; Slc9a6tm1Dgen/Y (more )
Structure Level Pattern Image Note
TS28: lung Strong Regionally restricted 99207915 Expression is frequently seen in the blood vessels of the lung.
TS28: blood vessel Strong Regionally restricted 99207915 Expression is frequently seen in the blood vessels of the lung.
TS28: bronchiole Strong 99207915 Expression is frequently seen in the bronchioles.

Specimen Mouse 280543 - Image 99207916: postnatal day 52; Slc9a6tm1Dgen/Y (more )
Structure Level Pattern Image Note
TS28: heart valve Very strong 99207916 Expression is frequently seen in the valves.
TS28: heart ventricle Very strong 99207916 Expression is frequently seen in the ventricles.

Specimen Mouse 280543 - Image 99207920: postnatal day 52; Slc9a6tm1Dgen/Y (more )
Structure Level Pattern Image Note
TS28: heart atrium Very strong 99207920 Expression is frequently seen in the atrium.

Specimen Mouse 280543 - Image 99207930: postnatal day 52; Slc9a6tm1Dgen/Y (more )
Structure Level Pattern Image Note
TS28: adrenal gland Very strong Regionally restricted 99207930 Expression is frequently seen in the capsule.
TS28: adrenal cortex Strong 99207930 There is scattered expression in the cortex.
TS28: adrenal medulla Very strong 99207930 Expression is frequently seen in the medulla.

Specimen Mouse 280543 - Image 99207998: postnatal day 52; Slc9a6tm1Dgen/Y (more )
Structure Level Pattern Image Note
TS28: skeletal muscle Strong 99207998 Expression is frequently seen in the skeletal muscle.

Specimen Mouse 280543 - Image 99208004: postnatal day 52; Slc9a6tm1Dgen/Y (more )
Structure Level Pattern Image Note
TS28: bone marrow Weak 99208004 There is occasional staining in the bone marrow.

Specimen Mouse 280543: postnatal day 52; Slc9a6tm1Dgen/Y (more )
Structure Level Pattern Image Note
TS28: aorta Strong Expression is frequently seen in the aorta.
TS28: heart Very strong Regionally restricted Expression is frequently seen in the blood vessels of the heart.
TS28: blood vessel Present Regionally restricted Very strong expression is frequently seen in the blood vessels of the heart and kidney. Strong expression is frequently seen in the blood vessels of the spleen, lymph nodes, thymus, and testis.
TS28: pancreatic acinus Very strong There is occasional staining in the acini.
TS28: pancreatic duct Moderate There is scattered expression in the duct.
TS28: spleen Strong Regionally restricted Expression is frequently seen in the blood vessels of the spleen.
TS28: lymph node Present Moderate, occasional staining is seen in the lymph nodes. Strong expression is frequently seen in the blood vessels of the lymph nodes.
TS28: thymus Strong Regionally restricted Expression is frequently seen in the blood vessels of the thymus.
TS28: thymus medullary core Strong There is occasional staining in the medulla.
TS28: testis Strong Regionally restricted Expression is frequently seen in the blood vessels of the testis.
TS28: ciliary body Strong Expression is frequently seen in the ciliary body.
TS28: lens Strong There is scattered expression in the lens.
TS28: pigmented retinal epithelium Strong There is scattered expression in the pigment layer.
TS28: metanephros Very strong Regionally restricted Expression is frequently seen in the blood vessels of the kidney.


Contributing Projects:
Mouse Genome Database (MGD), Gene Expression Database (GXD), Mouse Models of Human Cancer database (MMHCdb) (formerly Mouse Tumor Biology (MTB)), Gene Ontology (GO)
Citing These Resources
Funding Information
Warranty Disclaimer, Privacy Notice, Licensing, & Copyright
Send questions and comments to User Support.
last database update
12/30/2025
MGI 6.24
The Jackson Laboratory