About   Help   FAQ
Gene Expression Data
Assay Details
Assay
Reference: J:101679 Deltagen Inc, NIH initiative supporting placement of Deltagen, Inc. mice into public repositories. MGI Direct Data Submission. 2005;
Assay type: In situ reporter (knock in)
MGI Accession ID: MGI:3639241
Gene symbol: Ptch2
Gene name: patched 2
Reporter: lacZ
Direct Detection
Results
Specimen Mouse 326398 - Image 99225430: postnatal day 74; Ptch2tm1Dgen/Ptch2+ (more )
Structure Level Pattern Image Note
TS28: thalamus Moderate 99225430 There is scattered expression in the thalamus.

Specimen Mouse 326398 - Image 99225431: postnatal day 74; Ptch2tm1Dgen/Ptch2+ (more )
Structure Level Pattern Image Note
TS28: brain ventricle Strong Regionally restricted 99225431 Expression is present in practically all cells of a ventricle in the cerebrum.

Specimen Mouse 326398 - Image 99225432: postnatal day 74; Ptch2tm1Dgen/Ptch2+ (more )
Structure Level Pattern Image Note
TS28: hypothalamus Moderate 99225432 There is scattered expression in the hypothalamus.

Specimen Mouse 326398 - Image 99225433: postnatal day 74; Ptch2tm1Dgen/Ptch2+ (more )
Structure Level Pattern Image Note
TS28: amygdala Moderate 99225433 There is scattered expression in the amygdala.

Specimen Mouse 326398 - Image 99225435: postnatal day 74; Ptch2tm1Dgen/Ptch2+ (more )
Structure Level Pattern Image Note
TS28: skeletal muscle Strong 99225435 There is occasional staining in the skeletal muscle.

Specimen Mouse 326398 - Image 99225436: postnatal day 74; Ptch2tm1Dgen/Ptch2+ (more )
Structure Level Pattern Image Note
TS28: sciatic nerve Very strong 99225436 There is scattered expression in the sciatic nerve.

Specimen Mouse 326398 - Image 99225437: postnatal day 74; Ptch2tm1Dgen/Ptch2+ (more )
Structure Level Pattern Image Note
TS28: hair follicle Very strong 99225437 There is scattered expression in the hair follicles.

Specimen Mouse 326398 - Image 99225439: postnatal day 74; Ptch2tm1Dgen/Ptch2+ (more )
Structure Level Pattern Image Note
TS28: thyroid gland Very strong 99225439 There is occasional staining in the thyroid gland.

Specimen Mouse 326398 - Image 99225442: postnatal day 74; Ptch2tm1Dgen/Ptch2+ (more )
Structure Level Pattern Image Note
TS28: aorta Strong 99225442 There is scattered expression in the aorta.

Specimen Mouse 326398 - Image 99225534: postnatal day 74; Ptch2tm1Dgen/Ptch2+ (more )
Structure Level Pattern Image Note
TS28: heart Strong 99225534 There is occasional staining in the heart.

Specimen Mouse 326398 - Image 99225535: postnatal day 74; Ptch2tm1Dgen/Ptch2+ (more )
Structure Level Pattern Image Note
TS28: heart ventricle Strong 99225535 There is occasional staining in the ventricles.

Specimen Mouse 326398 - Image 99225536: postnatal day 74; Ptch2tm1Dgen/Ptch2+ (more )
Structure Level Pattern Image Note
TS28: heart atrium Weak 99225536 There is occasional staining in the atrium.

Specimen Mouse 326398 - Image 99225538: postnatal day 74; Ptch2tm1Dgen/Ptch2+ (more )
Structure Level Pattern Image Note
TS28: lung Very strong 99225538 There is scattered expression in the lung.

Specimen Mouse 326398 - Image 99225561: postnatal day 74; Ptch2tm1Dgen/Ptch2+ (more )
Structure Level Pattern Image Note
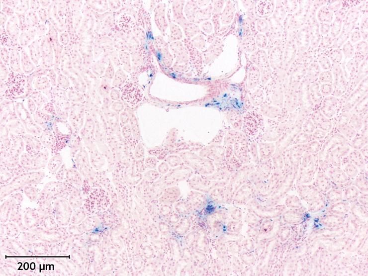
TS28: metanephros Strong Regionally restricted 99225561 Expression is frequently seen in the blood vessels of the kidney.
TS28: blood vessel Strong Regionally restricted 99225561 Expression is frequently seen in the blood vessels of the kidney.

Specimen Mouse 326398 - Image 99225581: postnatal day 74; Ptch2tm1Dgen/Ptch2+ (more )
Structure Level Pattern Image Note
TS28: renal medulla Weak 99225581 There is occasional staining in the medulla.

Specimen Mouse 326398 - Image 99225591: postnatal day 74; Ptch2tm1Dgen/Ptch2+ (more )
Structure Level Pattern Image Note
TS28: adrenal gland Strong Regionally restricted 99225591 Expression is frequently seen in the capsule.

Specimen Mouse 326398 - Image 99225595: postnatal day 74; Ptch2tm1Dgen/Ptch2+ (more )
Structure Level Pattern Image Note
TS28: adrenal gland Strong 99225595 There is occasional staining in the adrenal gland.

Specimen Mouse 326398 - Image 99225609: postnatal day 74; Ptch2tm1Dgen/Ptch2+ (more )
Structure Level Pattern Image Note
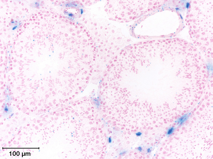
TS28: seminiferous tubule Moderate 99225609 There is scattered expression in the seminiferous tubules.

Specimen Mouse 326398 - Image 99225616: postnatal day 74; Ptch2tm1Dgen/Ptch2+ (more )
Structure Level Pattern Image Note
TS28: pancreas Strong 99225616 There is occasional staining in the pancreas.

Specimen Mouse 326398 - Image 99225617: postnatal day 74; Ptch2tm1Dgen/Ptch2+ (more )
Structure Level Pattern Image Note
TS28: cerebellum Purkinje cell layer Very strong 99225617 Expression is present in practically all cells of the Purkinje layer.

Specimen Mouse 326398 - Image 99225618: postnatal day 74; Ptch2tm1Dgen/Ptch2+ (more )
Structure Level Pattern Image Note
TS28: cerebellum granule cell layer Moderate 99225618 There is occasional staining in the granule layer.

Specimen Mouse 326398 - Image 99225622: postnatal day 74; Ptch2tm1Dgen/Ptch2+ (more )
Structure Level Pattern Image Note
TS28: brainstem Trace 99225622 There is occasional staining in the brainstem.

Specimen Mouse 326398 - Image 99225623: postnatal day 74; Ptch2tm1Dgen/Ptch2+ (more )
Structure Level Pattern Image Note
TS28: spinal cord central canal Moderate 99225623 Expression is frequently seen in the central canal.

Specimen Mouse 326398 - Image 99225625: postnatal day 74; Ptch2tm1Dgen/Ptch2+ (more )
Structure Level Pattern Image Note
TS28: spinal cord gray matter Moderate 99225625 There is occasional staining in the grey matter.

Specimen Mouse 326398 - Image 99225626: postnatal day 74; Ptch2tm1Dgen/Ptch2+ (more )
Structure Level Pattern Image Note
TS28: spinal cord ventral horn Moderate 99225626 There is occasional staining in the ventral horns.

Specimen Mouse 326398 - Image 99225631: postnatal day 74; Ptch2tm1Dgen/Ptch2+ (more )
Structure Level Pattern Image Note
TS28: adenohypophysis pars anterior Very strong 99225631 Expression is frequently seen in the pars distalis.

Specimen Mouse 326398 - Image 99225633: postnatal day 74; Ptch2tm1Dgen/Ptch2+ (more )
Structure Level Pattern Image Note
TS28: adenohypophysis pars intermedia Weak 99225633 There is scattered expression in the pars intermedia.

Specimen Mouse 326398 - Image 99225817: postnatal day 74; Ptch2tm1Dgen/Ptch2+ (more )
Structure Level Pattern Image Note
TS28: lamina propria of bladder Very strong 99225817 There is occasional staining in the muscularis.

Specimen Mouse 326398 - Image 99225821: postnatal day 74; Ptch2tm1Dgen/Ptch2+ (more )
Structure Level Pattern Image Note
TS28: lamina propria of bladder Weak 99225821 Expression is frequently seen in the lamina propria.

Specimen Mouse 326398 - Image 99227473: postnatal day 74; Ptch2tm1Dgen/Ptch2+ (more )
Structure Level Pattern Image Note
TS28: neurohypophysis pars nervosa Trace 99227473 There is scattered expression in the pars nervosa.

Specimen Mouse 326398 - Image 99227475: postnatal day 74; Ptch2tm1Dgen/Ptch2+ (more )
Structure Level Pattern Image Note
TS28: liver Moderate 99227475 There is occasional staining in the liver.

Specimen Mouse 326398 - Image 99227479: postnatal day 74; Ptch2tm1Dgen/Ptch2+ (more )
Structure Level Pattern Image Note
TS28: trachea Strong 99227479 There is scattered expression in the trachea.

Specimen Mouse 326398 - Image 99230815: postnatal day 74; Ptch2tm1Dgen/Ptch2+ (more )
Structure Level Pattern Image Note
TS28: dermis Very strong 99230815 There is occasional staining in the dermis.

Specimen Mouse 326398 - Image 99230823: postnatal day 74; Ptch2tm1Dgen/Ptch2+ (more )
Structure Level Pattern Image Note
TS28: renal pelvis Strong 99230823 There is scattered expression in the kidney pelvis.

Specimen Mouse 326398 - Image 99230825: postnatal day 74; Ptch2tm1Dgen/Ptch2+ (more )
Structure Level Pattern Image Note
TS28: renal cortex Strong 99230825 There is scattered expression in the cortex.

Specimen Mouse 326398 - Image 99230831: postnatal day 74; Ptch2tm1Dgen/Ptch2+ (more )
Structure Level Pattern Image Note
TS28: prostate gland Strong Regionally restricted 99230831 There is occasional staining in the stroma.

Specimen Mouse 326398 - Image 99230836: postnatal day 74; Ptch2tm1Dgen/Ptch2+ (more )
Structure Level Pattern Image Note
TS28: interstitium of the testis Strong 99230836 There is scattered expression in the interstitium.

Specimen Mouse 326398 - Image 99230837: postnatal day 74; Ptch2tm1Dgen/Ptch2+ (more )
Structure Level Pattern Image Note
TS28: testis Strong Regionally restricted 99230837 Expression is frequently seen in the blood vessels of the testis.
TS28: blood vessel Strong Regionally restricted 99230837 Expression is frequently seen in the blood vessels of the testis.

Specimen Mouse 326398 - Image 99231017: postnatal day 74; Ptch2tm1Dgen/Ptch2+ (more )
Structure Level Pattern Image Note
TS28: spinal cord dorsal horn Trace 99231017 There is occasional staining in the dorsal horns.

Specimen Mouse 326398 - Image 99231018: postnatal day 74; Ptch2tm1Dgen/Ptch2+ (more )
Structure Level Pattern Image Note
TS28: cerebellum white matter Moderate 99231018 There is occasional staining in the white matter.

Specimen Mouse 326398 - Image 99231019: postnatal day 74; Ptch2tm1Dgen/Ptch2+ (more )
Structure Level Pattern Image Note
TS28: cerebellum molecular layer Moderate 99231019 There is scattered expression in the molecular layer.

Specimen Mouse 326398: postnatal day 74; Ptch2tm1Dgen/Ptch2+ (more )
Structure Level Pattern Image Note
TS28: bone marrow Absent
TS28: spleen Absent
TS28: lymph node Absent
TS28: thymus Absent
TS28: eye Absent

Specimen Mouse 369476 - Image 99227188: postnatal day 70; Ptch2tm1Dgen/Ptch2+ (more )
Structure Level Pattern Image Note
TS28: brain Strong 99227188 There is scattered expression in the brain.
TS28: telencephalon Strong 99227188 There is scattered expression in the cerebrum.

Specimen Mouse 369476 - Image 99227189: postnatal day 70; Ptch2tm1Dgen/Ptch2+ (more )
Structure Level Pattern Image Note
TS28: cerebellum Very strong 99227189 Expression is frequently seen in the cerebellum.

Specimen Mouse 369476 - Image 99227190: postnatal day 70; Ptch2tm1Dgen/Ptch2+ (more )
Structure Level Pattern Image Note
TS28: brainstem Strong 99227190 There is scattered expression in the brainstem.

Specimen Mouse 376026 - Image 99225666: postnatal day 54; Ptch2tm1Dgen/Ptch2+ (more )
Structure Level Pattern Image Note
TS28: ovary follicle Moderate Regionally restricted 99225666 There is occasional staining in the corpus luteum.

Specimen Mouse 376026 - Image 99225667: postnatal day 54; Ptch2tm1Dgen/Ptch2+ (more )
Structure Level Pattern Image Note
TS28: endometrium stroma Moderate 99225667 There is scattered expression in the endometrial stroma.

Specimen Mouse 376026 - Image 99225668: postnatal day 54; Ptch2tm1Dgen/Ptch2+ (more )
Structure Level Pattern Image Note
TS28: myometrium Moderate 99225668 There is occasional staining in the myometrium.

Specimen Mouse 376026 - Image 99225670: postnatal day 54; Ptch2tm1Dgen/Ptch2+ (more )
Structure Level Pattern Image Note
TS28: cervix uteri Very strong 99225670 There is scattered expression in the cervix.

Specimen Mouse 376026 - Image 99230663: postnatal day 54; Ptch2tm1Dgen/Ptch2+ (more )
Structure Level Pattern Image Note
TS28: ovary Strong Regionally restricted 99230663 There is scattered expression in the stroma.

Specimen Mouse 376026: postnatal day 54; Ptch2tm1Dgen/Ptch2+ (more )
Structure Level Pattern Image Note
TS28: bone marrow Absent


Contributing Projects:
Mouse Genome Database (MGD), Gene Expression Database (GXD), Mouse Models of Human Cancer database (MMHCdb) (formerly Mouse Tumor Biology (MTB)), Gene Ontology (GO)
Citing These Resources
Funding Information
Warranty Disclaimer, Privacy Notice, Licensing, & Copyright
Send questions and comments to User Support.
last database update
12/30/2025
MGI 6.24
The Jackson Laboratory