About   Help   FAQ
Gene Expression Data
Assay Details
Assay
Reference: J:101679 Deltagen Inc, NIH initiative supporting placement of Deltagen, Inc. mice into public repositories. MGI Direct Data Submission. 2005;
Assay type: In situ reporter (knock in)
MGI Accession ID: MGI:3639232
Gene symbol: Chst3
Gene name: carbohydrate sulfotransferase 3
Reporter: lacZ
Direct Detection
Results
Specimen Mouse 219524 - Image 99193141: postnatal day 53; Chst3tm1Dgen/Chst3+ (more )
Structure Level Pattern Image Note
TS28: hippocampus Moderate 99193141 There is scattered expression in the hippocampus.

Specimen Mouse 219524 - Image 99193144: postnatal day 53; Chst3tm1Dgen/Chst3+ (more )
Structure Level Pattern Image Note
TS28: cerebral cortex Strong 99193144 There is scattered expression in the cortex.

Specimen Mouse 219524 - Image 99193152: postnatal day 53; Chst3tm1Dgen/Chst3+ (more )
Structure Level Pattern Image Note
TS28: brain ventricle Strong Regionally restricted 99193152 There is scattered expression in a ventricle in the cerebrum.

Specimen Mouse 219524 - Image 99193156: postnatal day 53; Chst3tm1Dgen/Chst3+ (more )
Structure Level Pattern Image Note
TS28: cerebellum granule cell layer Moderate 99193156 There is scattered expression in the granule layer.
TS28: cerebellum molecular layer Moderate 99193156 There is scattered expression in the molecular layer.
TS28: cerebellum Purkinje cell layer Moderate 99193156 There is occasional staining in the Purkinje layer.
TS28: cerebellum white matter Strong 99193156 Expression is frequently seen in the white matter.

Specimen Mouse 219524 - Image 99193166: postnatal day 53; Chst3tm1Dgen/Chst3+ (more )
Structure Level Pattern Image Note
TS28: lymph node Strong 99193166 There is scattered expression in the lymph nodes.

Specimen Mouse 219524 - Image 99193171: postnatal day 53; Chst3tm1Dgen/Chst3+ (more )
Structure Level Pattern Image Note
TS28: aorta Very strong 99193171 Expression is present in practically all cells of the aorta.

Specimen Mouse 219524 - Image 99193179: postnatal day 53; Chst3tm1Dgen/Chst3+ (more )
Structure Level Pattern Image Note
TS28: pancreas Moderate Regionally restricted 99193179 There is scattered expression in the blood vessels of the pancreas.
TS28: blood vessel Moderate Regionally restricted 99193179 There is scattered expression in the blood vessels of the pancreas.

Specimen Mouse 219524 - Image 99193181: postnatal day 53; Chst3tm1Dgen/Chst3+ (more )
Structure Level Pattern Image Note
TS28: spleen capsule Strong 99193181 There is scattered expression in the capsule.
TS28: spleen red pulp Strong 99193181 There is scattered expression in the red pulp.
TS28: spleen white pulp Strong 99193181 Expression is frequently seen in the white pulp.

Specimen Mouse 219524 - Image 99193206: postnatal day 53; Chst3tm1Dgen/Chst3+ (more )
Structure Level Pattern Image Note
TS28: liver Moderate Regionally restricted 99193206 There is scattered expression in the blood vessels of the liver.
TS28: blood vessel Moderate Regionally restricted 99193206 There is scattered expression in the blood vessels of the liver.

Specimen Mouse 219524 - Image 99193215: postnatal day 53; Chst3tm1Dgen/Chst3+ (more )
Structure Level Pattern Image Note
TS28: renal medulla Strong 99193215 There is occasional staining in the medulla.

Specimen Mouse 219524 - Image 99193220: postnatal day 53; Chst3tm1Dgen/Chst3+ (more )
Structure Level Pattern Image Note
TS28: thyroid gland Strong Regionally restricted 99193220 Expression is frequently seen in the blood vessels of the thyroid gland.
TS28: blood vessel Strong Regionally restricted 99193220 Expression is frequently seen in the blood vessels of the thyroid gland.

Specimen Mouse 219524 - Image 99193227: postnatal day 53; Chst3tm1Dgen/Chst3+ (more )
Structure Level Pattern Image Note
TS28: bone marrow Strong 99193227 There is scattered expression in the bone marrow.

Specimen Mouse 219524 - Image 99193658: postnatal day 53; Chst3tm1Dgen/Chst3+ (more )
Structure Level Pattern Image Note
TS28: thymus Strong Regionally restricted 99193658 There is scattered expression in the blood vessels of the thymus.
TS28: blood vessel Strong Regionally restricted 99193658 There is scattered expression in the blood vessels of the thymus.

Specimen Mouse 219524 - Image 99193661: postnatal day 53; Chst3tm1Dgen/Chst3+ (more )
Structure Level Pattern Image Note
TS28: lamina propria of bladder Moderate 99193661 There is scattered expression in the muscularis.

Specimen Mouse 219524 - Image 99193664: postnatal day 53; Chst3tm1Dgen/Chst3+ (more )
Structure Level Pattern Image Note
TS28: bladder Strong Regionally restricted 99193664 Expression is frequently seen in the blood vessels of the urinary bladder.
TS28: blood vessel Strong Regionally restricted 99193664 Expression is frequently seen in the blood vessels of the urinary bladder.

Specimen Mouse 219524 - Image 99193676: postnatal day 53; Chst3tm1Dgen/Chst3+ (more )
Structure Level Pattern Image Note
TS28: prostate gland Moderate Regionally restricted 99193676 There is scattered expression in the stroma.

Specimen Mouse 219524 - Image 99193685: postnatal day 53; Chst3tm1Dgen/Chst3+ (more )
Structure Level Pattern Image Note
TS28: skin Present Regionally restricted 99193685 Moderate expression is frequently seen in the blood vessels of the skin; strong expression is frequently seen in the nerves of the skin.
TS28: blood vessel Moderate Regionally restricted 99193685 Expression is frequently seen in the blood vessels of the skin.
TS28: nerve Strong Regionally restricted 99193685 Expression is frequently seen in the nerves of the skin.

Specimen Mouse 219524 - Image 99193698: postnatal day 53; Chst3tm1Dgen/Chst3+ (more )
Structure Cell Type Level Pattern Image Note
TS28: peritubular myoid cell peritubular myoid cell Strong Regionally restricted 99193698 Expression is frequently seen in the peritubular cells.

Specimen Mouse 219524 - Image 99193700: postnatal day 53; Chst3tm1Dgen/Chst3+ (more )
Structure Level Pattern Image Note
TS28: testis Very strong Regionally restricted 99193700 Expression is frequently seen in the blood vessels of the testis.
TS28: blood vessel Very strong Regionally restricted 99193700 Expression is frequently seen in the blood vessels of the testis.

Specimen Mouse 219524 - Image 99193710: postnatal day 53; Chst3tm1Dgen/Chst3+ (more )
Structure Level Pattern Image Note
TS28: sciatic nerve Strong 99193710 Expression is frequently seen in the sciatic nerve.

Specimen Mouse 219524 - Image 99193716: postnatal day 53; Chst3tm1Dgen/Chst3+ (more )
Structure Level Pattern Image Note
TS28: skeletal muscle Moderate Regionally restricted 99193716 There is scattered expression in the nerves of the skeletal muscle.
TS28: nerve Moderate Regionally restricted 99193716 There is scattered expression in the nerves of the skeletal muscle.

Specimen Mouse 219524 - Image 99193735: postnatal day 53; Chst3tm1Dgen/Chst3+ (more )
Structure Level Pattern Image Note
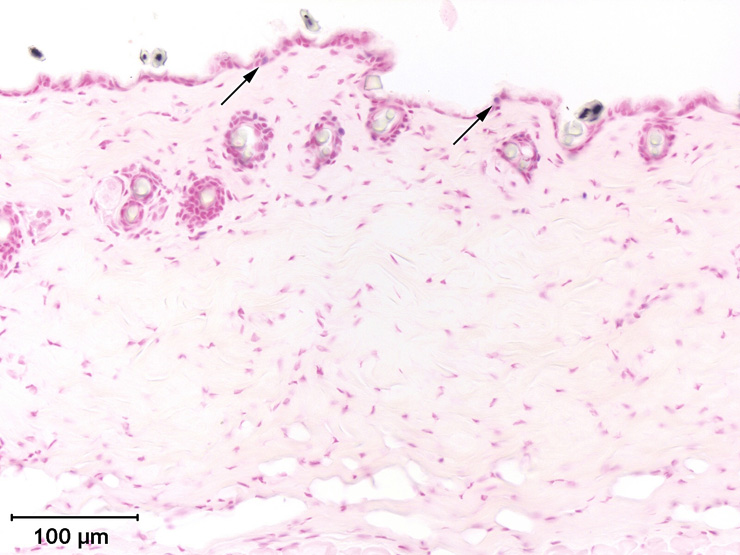
TS28: epidermis Weak 99193735 There is occasional staining in the epidermis.

Specimen Mouse 219524 - Image 99193736: postnatal day 53; Chst3tm1Dgen/Chst3+ (more )
Structure Level Pattern Image Note
TS28: hair follicle Weak 99193736 There is occasional staining in the hair follicles.

Specimen Mouse 219524 - Image 99193748: postnatal day 53; Chst3tm1Dgen/Chst3+ (more )
Structure Level Pattern Image Note
TS28: thyroid gland Strong Regionally restricted 99193748 Expression is frequently seen in the blood vessels of the thyroid gland.
TS28: blood vessel Strong Regionally restricted 99193748 Expression is frequently seen in the blood vessels of the thyroid gland.

Specimen Mouse 219524 - Image 99193749: postnatal day 53; Chst3tm1Dgen/Chst3+ (more )
Structure Level Pattern Image Note
TS28: thyroid gland Strong 99193749 There is occasional staining in the thyroid gland.

Specimen Mouse 219524 - Image 99193757: postnatal day 53; Chst3tm1Dgen/Chst3+ (more )
Structure Level Pattern Image Note
TS28: esophagus Strong 99193757 Expression is frequently seen in the esophagus.

Specimen Mouse 219524 - Image 99193764: postnatal day 53; Chst3tm1Dgen/Chst3+ (more )
Structure Level Pattern Image Note
TS28: esophagus epithelium Strong 99193764 Expression is present in practically all cells of the epithelium.

Specimen Mouse 219524 - Image 99193778: postnatal day 53; Chst3tm1Dgen/Chst3+ (more )
Structure Level Pattern Image Note
TS28: trachea Strong 99193778 There is scattered expression in the trachea.
TS28: trachea cartilage Strong 99193778 There is scattered expression in the cartilage.

Specimen Mouse 219524 - Image 99193784: postnatal day 53; Chst3tm1Dgen/Chst3+ (more )
Structure Level Pattern Image Note
TS28: laryngeal cartilage Very strong 99193784 Expression is present in practically all cells of the cartilage.

Specimen Mouse 219524 - Image 99193812: postnatal day 53; Chst3tm1Dgen/Chst3+ (more )
Structure Level Pattern Image Note
TS28: renal cortex Very strong 99193812 Expression is frequently seen in the cortex.

Specimen Mouse 219524 - Image 99193818: postnatal day 53; Chst3tm1Dgen/Chst3+ (more )
Structure Level Pattern Image Note
TS28: metanephros Very strong Regionally restricted 99193818 Expression is frequently seen in the blood vessels of the kidney.
TS28: blood vessel Very strong Regionally restricted 99193818 Expression is frequently seen in the blood vessels of the kidney.

Specimen Mouse 219524 - Image 99193820: postnatal day 53; Chst3tm1Dgen/Chst3+ (more )
Structure Level Pattern Image Note
TS28: glomerular tuft Strong 99193820 There is occasional staining in the glomeruli.

Specimen Mouse 219524 - Image 99193822: postnatal day 53; Chst3tm1Dgen/Chst3+ (more )
Structure Level Pattern Image Note
TS28: metanephros Very strong 99193822 There is scattered expression in the kidney.

Specimen Mouse 219524 - Image 99193824: postnatal day 53; Chst3tm1Dgen/Chst3+ (more )
Structure Level Pattern Image Note
TS28: lung alveolus Very strong 99193824 Expression is frequently seen in the alveoli.
TS28: lung Very strong Regionally restricted 99193824 Expression is frequently seen in the blood vessels of the lung.
TS28: blood vessel Very strong Regionally restricted 99193824 Expression is frequently seen in the blood vessels of the lung.

Specimen Mouse 219524 - Image 99193827: postnatal day 53; Chst3tm1Dgen/Chst3+ (more )
Structure Level Pattern Image Note
TS28: heart valve Strong 99193827 There is occasional staining in the valves.

Specimen Mouse 219524 - Image 99193828: postnatal day 53; Chst3tm1Dgen/Chst3+ (more )
Structure Level Pattern Image Note
TS28: heart Moderate Regionally restricted 99193828 Expression is frequently seen in the blood vessels of the heart.
TS28: blood vessel Moderate Regionally restricted 99193828 Expression is frequently seen in the blood vessels of the heart.

Specimen Mouse 219524 - Image 99193829: postnatal day 53; Chst3tm1Dgen/Chst3+ (more )
Structure Level Pattern Image Note
TS28: spleen Strong Regionally restricted 99193829 Expression is frequently seen in the blood vessels of the spleen.
TS28: blood vessel Strong Regionally restricted 99193829 Expression is frequently seen in the blood vessels of the spleen.

Specimen Mouse 219524 - Image 99193832: postnatal day 53; Chst3tm1Dgen/Chst3+ (more )
Structure Level Pattern Image Note
TS28: adrenal medulla Strong 99193832 There is scattered expression in the medulla.

Specimen Mouse 219524 - Image 99193834: postnatal day 53; Chst3tm1Dgen/Chst3+ (more )
Structure Level Pattern Image Note
TS28: adrenal gland Strong Regionally restricted 99193834 Expression is frequently seen in the capsule.

Specimen Mouse 219524 - Image 99193835: postnatal day 53; Chst3tm1Dgen/Chst3+ (more )
Structure Level Pattern Image Note
TS28: lymph node Strong 99193835 Expression is frequently seen in the lymph nodes.

Specimen Mouse 219524 - Image 99193837: postnatal day 53; Chst3tm1Dgen/Chst3+ (more )
Structure Level Pattern Image Note
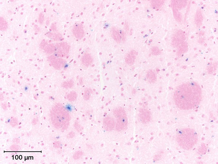
TS28: brainstem Strong 99193837 Expression is frequently seen in the brainstem.

Specimen Mouse 219524 - Image 99193838: postnatal day 53; Chst3tm1Dgen/Chst3+ (more )
Structure Level Pattern Image Note
TS28: telencephalon Strong 99193838 There is scattered expression in the cerebrum.

Specimen Mouse 219524 - Image 99193839: postnatal day 53; Chst3tm1Dgen/Chst3+ (more )
Structure Level Pattern Image Note
TS28: caudate-putamen Strong 99193839 There is scattered expression in the caudate-putamen.

Specimen Mouse 219524 - Image 99193840: postnatal day 53; Chst3tm1Dgen/Chst3+ (more )
Structure Level Pattern Image Note
TS28: amygdala Strong 99193840 There is scattered expression in the amygdala.

Specimen Mouse 219524 - Image 99193841: postnatal day 53; Chst3tm1Dgen/Chst3+ (more )
Structure Level Pattern Image Note
TS28: telencephalon Strong 99193841 There is scattered expression in the cerebrum.

Specimen Mouse 219524 - Image 99193842: postnatal day 53; Chst3tm1Dgen/Chst3+ (more )
Structure Level Pattern Image Note
TS28: thalamus Strong 99193842 There is scattered expression in the thalamus.

Specimen Mouse 219524 - Image 99193843: postnatal day 53; Chst3tm1Dgen/Chst3+ (more )
Structure Level Pattern Image Note
TS28: dentate gyrus Strong 99193843 There is scattered expression in the dentate gyrus.

Specimen Mouse 219524 - Image 99193844: postnatal day 53; Chst3tm1Dgen/Chst3+ (more )
Structure Level Pattern Image Note
TS28: hippocampus Moderate 99193844 There is scattered expression in the hippocampus.

Specimen Mouse 219524 - Image 99193989: postnatal day 53; Chst3tm1Dgen/Chst3+ (more )
Structure Level Pattern Image Note
TS28: telencephalon Strong 99193989 There is scattered expression in the cerebrum.

Specimen Mouse 219524 - Image 99193990: postnatal day 53; Chst3tm1Dgen/Chst3+ (more )
Structure Level Pattern Image Note
TS28: bronchiole Weak 99193990 There is scattered expression in the bronchioles.

Specimen Mouse 219524: postnatal day 53; Chst3tm1Dgen/Chst3+ (more )
Structure Level Pattern Image Note
TS28: aorta Strong Regionally restricted Expression is frequently seen in the aortic root.
TS28: gallbladder Absent
TS28: islets of Langerhans Absent There is no expression in the islets of Langerhans.
TS28: adenohypophysis pars anterior Strong There is scattered expression in the pars distalis.
TS28: skeletal muscle Moderate Regionally restricted There is occasional staining in the blood vessels of the skeletal muscle.
TS28: blood vessel Moderate Regionally restricted There is occasional staining in the blood vessels of the skeletal muscle.
TS28: hypothalamus Strong There is scattered expression in the hypothalamus.
TS28: spinal cord Strong Expression is frequently seen in the spinal cord.
TS28: larynx Strong There is scattered expression in the larynx.

Specimen Mouse 221618 - Image 99188485: postnatal day 51; Chst3tm1Dgen/Chst3+ (more )
Structure Level Pattern Image Note
TS28: brain Moderate 99188485 Expression is frequently seen in the brain.
TS28: telencephalon Moderate 99188485 Expression is frequently seen in the cerebrum.

Specimen Mouse 221618 - Image 99188486: postnatal day 51; Chst3tm1Dgen/Chst3+ (more )
Structure Level Pattern Image Note
TS28: cerebellum Moderate 99188486 Expression is frequently seen in the cerebellum.

Specimen Mouse 221618 - Image 99188487: postnatal day 51; Chst3tm1Dgen/Chst3+ (more )
Structure Level Pattern Image Note
TS28: brainstem Moderate 99188487 Expression is present in practically all cells of the brainstem.

Specimen Mouse 221618 - Image 99193615: postnatal day 51; Chst3tm1Dgen/Chst3+ (more )
Structure Level Pattern Image Note
TS28: spinal cord Strong 99193615 Expression is frequently seen in the spinal cord.

Specimen Mouse 221618 - Image 99193616: postnatal day 51; Chst3tm1Dgen/Chst3+ (more )
Structure Level Pattern Image Note
TS28: spinal cord Strong 99193616 Expression is frequently seen in the spinal cord.

Specimen Mouse 221618 - Image 99193623: postnatal day 51; Chst3tm1Dgen/Chst3+ (more )
Structure Level Pattern Image Note
TS28: lamina propria of bladder Moderate 99193623 There is scattered expression in the muscularis.

Specimen Mouse 221618 - Image 99193628: postnatal day 51; Chst3tm1Dgen/Chst3+ (more )
Structure Level Pattern Image Note
TS28: bladder Moderate Regionally restricted 99193628 There is scattered expression in the blood vessels of the urinary bladder.
TS28: blood vessel Moderate Regionally restricted 99193628 There is scattered expression in the blood vessels of the urinary bladder.

Specimen Mouse 221618 - Image 99193630: postnatal day 51; Chst3tm1Dgen/Chst3+ (more )
Structure Level Pattern Image Note
TS28: ovary theca Strong 99193630 Expression is frequently seen in the theca.

Specimen Mouse 221618 - Image 99193635: postnatal day 51; Chst3tm1Dgen/Chst3+ (more )
Structure Level Pattern Image Note
TS28: optic nerve Strong 99193635 Expression is present in practically all cells of the optic nerve.

Specimen Mouse 221618 - Image 99193637: postnatal day 51; Chst3tm1Dgen/Chst3+ (more )
Structure Level Pattern Image Note
TS28: retina Trace 99193637 There is scattered expression in the retina.

Specimen Mouse 221618 - Image 99193638: postnatal day 51; Chst3tm1Dgen/Chst3+ (more )
Structure Level Pattern Image Note
TS28: bone marrow Strong 99193638 There is scattered expression in the bone marrow.

Specimen Mouse 221618: postnatal day 51; Chst3tm1Dgen/Chst3+ (more )
Structure Level Pattern Image Note
TS28: pituitary gland Absent
TS28: uterus Absent
TS28: thymus Absent


Contributing Projects:
Mouse Genome Database (MGD), Gene Expression Database (GXD), Mouse Models of Human Cancer database (MMHCdb) (formerly Mouse Tumor Biology (MTB)), Gene Ontology (GO)
Citing These Resources
Funding Information
Warranty Disclaimer, Privacy Notice, Licensing, & Copyright
Send questions and comments to User Support.
last database update
01/20/2026
MGI 6.24
The Jackson Laboratory