About   Help   FAQ
Gene Expression Data
Assay Details
Assay
Reference: J:101679 Deltagen Inc, NIH initiative supporting placement of Deltagen, Inc. mice into public repositories. MGI Direct Data Submission. 2005;
Assay type: In situ reporter (knock in)
MGI Accession ID: MGI:3639228
Gene symbol: Slc22a12
Gene name: solute carrier family 22 (organic anion/cation transporter), member 12
Reporter: lacZ
Direct Detection
Results
Specimen Mouse 197470 - Image 37176293: postnatal day 49; Slc22a12tm1Dgen/Slc22a12+ (more )
Structure Level Pattern Image Note
TS28: brain Strong 37176293 There is scattered expression in the brain.

Specimen Mouse 197470 - Image 37177912: postnatal day 49; Slc22a12tm1Dgen/Slc22a12+ (more )
Structure Level Pattern Image Note
TS28: telencephalon Strong 37177912 There is scattered expression in the cerebrum.

Specimen Mouse 197470 - Image 37177970: postnatal day 49; Slc22a12tm1Dgen/Slc22a12+ (more )
Structure Level Pattern Image Note
TS28: cerebellum Strong 37177970 Expression is frequently seen in the cerebellum.

Specimen Mouse 197470 - Image 37178058: postnatal day 49; Slc22a12tm1Dgen/Slc22a12+ (more )
Structure Level Pattern Image Note
TS28: cerebellum Strong 37178058 Expression is frequently seen in the cerebellum.

Specimen Mouse 197470 - Image 37179168: postnatal day 49; Slc22a12tm1Dgen/Slc22a12+ (more )
Structure Level Pattern Image Note
TS28: retina ganglion cell layer Trace 37179168 There is scattered expression in the ganglion cell layer.
TS28: retina inner nuclear layer Trace 37179168 There is scattered expression in the inner nuclear layer.

Specimen Mouse 197470: postnatal day 49; Slc22a12tm1Dgen/Slc22a12+ (more )
Structure Level Pattern Image Note
TS28: pituitary gland Absent
TS28: cervix uteri Absent
TS28: ovary Absent
TS28: oviduct Absent
TS28: uterus Absent
TS28: vagina Absent
TS28: bone marrow Absent
TS28: thymus Absent
TS28: Harderian gland Absent
TS28: brain ventricle Moderate Expression is present in practically all cells of the ventricle.
TS28: brainstem Absent
TS28: spinal cord Absent
TS28: bladder Absent

Specimen Mouse 197476 - Image 36704312: postnatal day 49; Slc22a12tm1Dgen/Slc22a12+ (more )
Structure Level Pattern Image Note
TS28: 4th ventricle Weak 36704312 Expression is frequently seen in the ventricle.

Specimen Mouse 197476 - Image 36706447: postnatal day 49; Slc22a12tm1Dgen/Slc22a12+ (more )
Structure Level Pattern Image Note
TS28: renal tubule Very strong 36706447 Expression is frequently seen in the tubules.

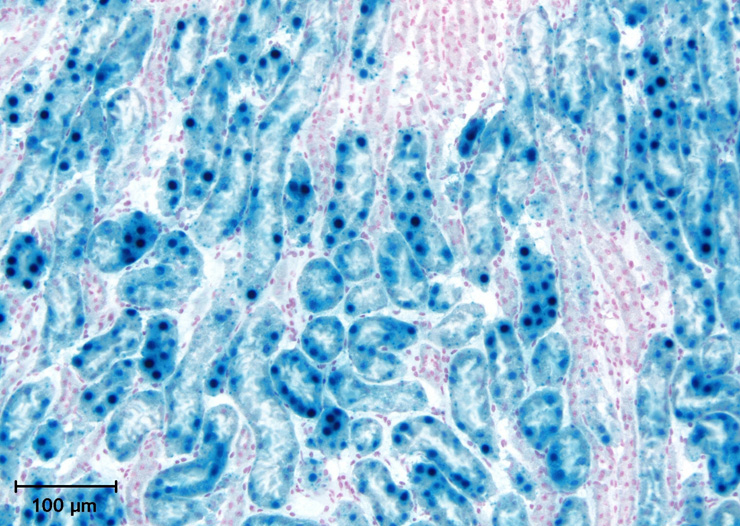
Specimen Mouse 197476 - Image 37037024: postnatal day 49; Slc22a12tm1Dgen/Slc22a12+ (more )
Structure Level Pattern Image Note
TS28: testis Trace 37037024 There is occasional staining in the testis.

Specimen Mouse 197476 - Image 37045614: postnatal day 49; Slc22a12tm1Dgen/Slc22a12+ (more )
Structure Level Pattern Image Note
TS28: 3rd ventricle Trace 37045614 There is scattered expression in the third ventricle.

Specimen Mouse 197476 - Image 37179612: postnatal day 49; Slc22a12tm1Dgen/Slc22a12+ (more )
Structure Level Pattern Image Note
TS28: cortical renal tubule Very strong 37179612 Expression is frequently seen in the tubule cells.

Specimen Mouse 197476 - Image 37179840: postnatal day 49; Slc22a12tm1Dgen/Slc22a12+ (more )
Structure Level Pattern Image Note
TS28: renal cortex Very strong 37179840 Expression is frequently seen in the cortex.

Specimen Mouse 197476: postnatal day 49; Slc22a12tm1Dgen/Slc22a12+ (more )
Structure Level Pattern Image Note
TS28: aorta Absent
TS28: heart Absent
TS28: esophagus Absent
TS28: gallbladder Absent
TS28: liver Absent
TS28: pancreas Absent
TS28: salivary gland Absent
TS28: tongue Absent
TS28: adrenal gland Absent
TS28: parathyroid gland Absent
TS28: pituitary gland Absent
TS28: thyroid gland Absent
TS28: bone marrow Absent
TS28: spleen Absent
TS28: lymph node Absent
TS28: thymus Absent
TS28: ear Absent
TS28: skin Absent
TS28: ampullary gland Absent
TS28: anterior prostate gland Absent
TS28: penis Absent
TS28: prostate gland Absent
TS28: seminal vesicle Absent
TS28: skeletal muscle Absent
TS28: brainstem Absent
TS28: sciatic nerve Absent
TS28: spinal cord Absent
TS28: larynx Absent
TS28: lung Absent
TS28: trachea Absent
TS28: bladder Absent


Contributing Projects:
Mouse Genome Database (MGD), Gene Expression Database (GXD), Mouse Models of Human Cancer database (MMHCdb) (formerly Mouse Tumor Biology (MTB)), Gene Ontology (GO)
Citing These Resources
Funding Information
Warranty Disclaimer, Privacy Notice, Licensing, & Copyright
Send questions and comments to User Support.
last database update
10/07/2025
MGI 6.24
The Jackson Laboratory