About   Help   FAQ
Gene Expression Data
Assay Details
Assay
Reference: J:101679 Deltagen Inc, NIH initiative supporting placement of Deltagen, Inc. mice into public repositories. MGI Direct Data Submission. 2005;
Assay type: In situ reporter (knock in)
MGI Accession ID: MGI:3639226
Gene symbol: Tgfbr1
Gene name: transforming growth factor, beta receptor I
Reporter: lacZ
Direct Detection
Results
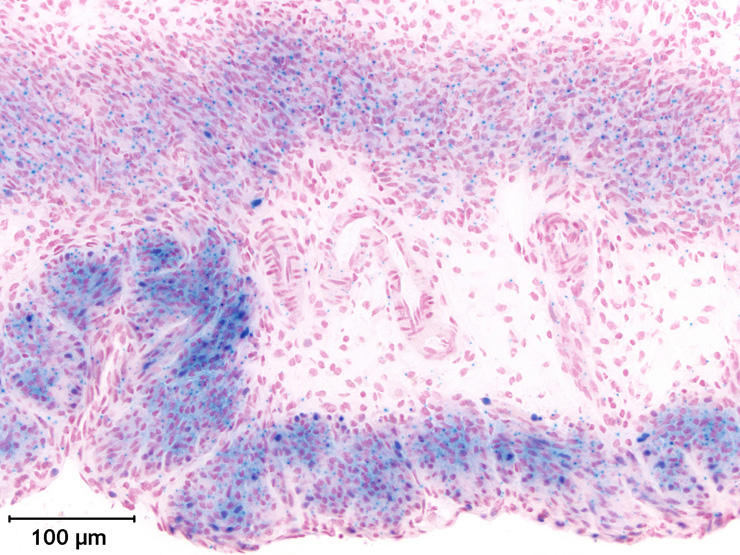
Specimen Mouse 328752 - Image 99215675: postnatal day 71; Tgfbr1tm1Dgen/Tgfbr1+ (more )
Structure Level Pattern Image Note
TS28: sciatic nerve Strong 99215675 Expression is frequently seen in the sciatic nerve.

Specimen Mouse 328752 - Image 99215676: postnatal day 71; Tgfbr1tm1Dgen/Tgfbr1+ (more )
Structure Level Pattern Image Note
TS28: skeletal muscle Strong Regionally restricted 99215676 Expression is frequently seen in the blood vessels of the skeletal muscle.
TS28: blood vessel Strong Regionally restricted 99215676 Expression is frequently seen in the blood vessels of the skeletal muscle.

Specimen Mouse 328752 - Image 99215678: postnatal day 71; Tgfbr1tm1Dgen/Tgfbr1+ (more )
Structure Level Pattern Image Note
TS28: dermis Strong 99215678 Expression is frequently seen in the dermis.

Specimen Mouse 328752 - Image 99215680: postnatal day 71; Tgfbr1tm1Dgen/Tgfbr1+ (more )
Structure Level Pattern Image Note
TS28: hair follicle Strong 99215680 There is scattered expression in the hair follicles.

Specimen Mouse 328752 - Image 99215846: postnatal day 71; Tgfbr1tm1Dgen/Tgfbr1+ (more )
Structure Level Pattern Image Note
TS28: aorta Very strong 99215846 Expression is present in practically all cells of the aorta.

Specimen Mouse 328752 - Image 99215849: postnatal day 71; Tgfbr1tm1Dgen/Tgfbr1+ (more )
Structure Level Pattern Image Note
TS28: trachea Strong 99215849 Expression is frequently seen in the trachea.
TS28: trachea cartilage Strong 99215849 Expression is frequently seen in the cartilage.

Specimen Mouse 328752 - Image 99215854: postnatal day 71; Tgfbr1tm1Dgen/Tgfbr1+ (more )
Structure Level Pattern Image Note
TS28: thyroid gland Present 99215854 There is moderate, scattered expression in the thyroid gland. Strong expression is frequently seen in the blood vessels of the thyroid gland.
TS28: blood vessel Strong Regionally restricted 99215854 Expression is frequently seen in the blood vessels of the thyroid gland.

Specimen Mouse 328752 - Image 99215859: postnatal day 71; Tgfbr1tm1Dgen/Tgfbr1+ (more )
Structure Level Pattern Image Note
TS28: thymus thin fibrous capsule Very strong 99215859 Expression is frequently seen in the capsule.
TS28: thymus cortex Moderate 99215859 There is occasional staining in the cortex.

Specimen Mouse 328752 - Image 99215860: postnatal day 71; Tgfbr1tm1Dgen/Tgfbr1+ (more )
Structure Level Pattern Image Note
TS28: thymus medullary core Moderate 99215860 There is scattered expression in the medulla.

Specimen Mouse 328752 - Image 99215888: postnatal day 71; Tgfbr1tm1Dgen/Tgfbr1+ (more )
Structure Level Pattern Image Note
TS28: retina ganglion cell layer Moderate 99215888 Expression is frequently seen in the ganglion cell layer.
TS28: retina inner nuclear layer Moderate 99215888 There is scattered expression in the inner nuclear layer.
TS28: retina Moderate 99215888 There is scattered expression in the retina.
TS28: sclera Moderate 99215888 Expression is frequently seen in the sclera.

Specimen Mouse 328752 - Image 99215892: postnatal day 71; Tgfbr1tm1Dgen/Tgfbr1+ (more )
Structure Level Pattern Image Note
TS28: pigmented retinal epithelium Moderate 99215892 There is scattered expression in the pigment layer.

Specimen Mouse 328752 - Image 99215901: postnatal day 71; Tgfbr1tm1Dgen/Tgfbr1+ (more )
Structure Level Pattern Image Note
TS28: lung alveolus Strong 99215901 There is scattered expression in the alveoli.

Specimen Mouse 328752 - Image 99215902: postnatal day 71; Tgfbr1tm1Dgen/Tgfbr1+ (more )
Structure Level Pattern Image Note
TS28: lung Very strong Regionally restricted 99215902 Expression is frequently seen in the blood vessels of the lung.
TS28: blood vessel Very strong Regionally restricted 99215902 Expression is frequently seen in the blood vessels of the lung.
TS28: bronchiole epithelium Moderate 99215902 There is scattered expression in the epithelial cells.
TS28: bronchiole Strong Regionally restricted 99215902 Expression is frequently seen in the smooth muscle cells of the bronchioles.

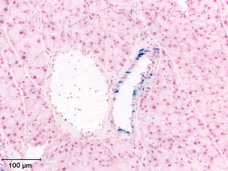
Specimen Mouse 328752 - Image 99215907: postnatal day 71; Tgfbr1tm1Dgen/Tgfbr1+ (more )
Structure Level Pattern Image Note
TS28: bile duct Very strong 99215907 There is scattered expression in the bile duct.
TS28: liver Very strong Regionally restricted 99215907 Expression is frequently seen in the blood vessels of the liver.
TS28: blood vessel Very strong Regionally restricted 99215907 Expression is frequently seen in the blood vessels of the liver.

Specimen Mouse 328752 - Image 99215909: postnatal day 71; Tgfbr1tm1Dgen/Tgfbr1+ (more )
Structure Level Pattern Image Note
TS28: cornea Very strong 99215909 Expression is frequently seen in the cornea.

Specimen Mouse 328752 - Image 99215910: postnatal day 71; Tgfbr1tm1Dgen/Tgfbr1+ (more )
Structure Level Pattern Image Note
TS28: ciliary body Strong 99215910 Expression is present in practically all cells of the ciliary body.

Specimen Mouse 328752 - Image 99215911: postnatal day 71; Tgfbr1tm1Dgen/Tgfbr1+ (more )
Structure Level Pattern Image Note
TS28: lens Moderate 99215911 Expression is frequently seen in the lens.

Specimen Mouse 328752 - Image 99215913: postnatal day 71; Tgfbr1tm1Dgen/Tgfbr1+ (more )
Structure Level Pattern Image Note
TS28: heart ventricle Strong 99215913 There is scattered expression in the ventricles.

Specimen Mouse 328752 - Image 99215916: postnatal day 71; Tgfbr1tm1Dgen/Tgfbr1+ (more )
Structure Level Pattern Image Note
TS28: heart Very strong Regionally restricted 99215916 Expression is frequently seen in the blood vessels of the heart.
TS28: blood vessel Very strong Regionally restricted 99215916 Expression is frequently seen in the blood vessels of the heart.

Specimen Mouse 328752 - Image 99215917: postnatal day 71; Tgfbr1tm1Dgen/Tgfbr1+ (more )
Structure Level Pattern Image Note
TS28: heart atrium Strong 99215917 Expression is frequently seen in the atrium.

Specimen Mouse 328752 - Image 99216068: postnatal day 71; Tgfbr1tm1Dgen/Tgfbr1+ (more )
Structure Level Pattern Image Note
TS28: renal cortex Strong 99216068 Expression is frequently seen in the cortex.
TS28: renal tubule Strong 99216068 Expression is present in practically all cells of the tubules.

Specimen Mouse 328752 - Image 99216069: postnatal day 71; Tgfbr1tm1Dgen/Tgfbr1+ (more )
Structure Level Pattern Image Note
TS28: glomerular tuft Moderate 99216069 There is scattered expression in the glomeruli.

Specimen Mouse 328752 - Image 99216077: postnatal day 71; Tgfbr1tm1Dgen/Tgfbr1+ (more )
Structure Level Pattern Image Note
TS28: renal medulla Strong 99216077 There is scattered expression in the medulla.

Specimen Mouse 328752 - Image 99216088: postnatal day 71; Tgfbr1tm1Dgen/Tgfbr1+ (more )
Structure Level Pattern Image Note
TS28: adrenal gland Strong Regionally restricted 99216088 Expression is frequently seen in the capsule.
TS28: adrenal cortex Moderate 99216088 There is occasional staining in the cortex.

Specimen Mouse 328752 - Image 99216095: postnatal day 71; Tgfbr1tm1Dgen/Tgfbr1+ (more )
Structure Level Pattern Image Note
TS28: adrenal medulla Moderate 99216095 Expression is frequently seen in the medulla.

Specimen Mouse 328752 - Image 99216102: postnatal day 71; Tgfbr1tm1Dgen/Tgfbr1+ (more )
Structure Level Pattern Image Note
TS28: interstitium of the testis Strong 99216102 Expression is present in practically all cells of the interstitium.
TS28: seminiferous tubule Strong 99216102 Expression is frequently seen in the seminiferous tubules.
TS28: testis Strong Regionally restricted 99216102 Expression is frequently seen in the tunica albuginea.

Specimen Mouse 328752 - Image 99216111: postnatal day 71; Tgfbr1tm1Dgen/Tgfbr1+ (more )
Structure Level Pattern Image Note
TS28: prostate gland Very strong Regionally restricted 99216111 There is scattered expression in the stroma.

Specimen Mouse 328752 - Image 99216112: postnatal day 71; Tgfbr1tm1Dgen/Tgfbr1+ (more )
Structure Level Pattern Image Note
TS28: prostate epithelium Strong 99216112 Expression is frequently seen in the epithelium.

Specimen Mouse 328752 - Image 99216114: postnatal day 71; Tgfbr1tm1Dgen/Tgfbr1+ (more )
Structure Level Pattern Image Note
TS28: urothelium of bladder Weak Regionally restricted 99216114 There is occasional staining in the epithelium.
TS28: lamina propria of bladder Weak 99216114 Expression is frequently seen in the lamina propria.

Specimen Mouse 328752 - Image 99216115: postnatal day 71; Tgfbr1tm1Dgen/Tgfbr1+ (more )
Structure Level Pattern Image Note
TS28: lamina propria of bladder Very strong 99216115 Expression is present in practically all cells of the muscularis.

Specimen Mouse 328752 - Image 99216116: postnatal day 71; Tgfbr1tm1Dgen/Tgfbr1+ (more )
Structure Level Pattern Image Note
TS28: islets of Langerhans Weak 99216116 There is scattered expression in the islets of Langerhans.

Specimen Mouse 328752 - Image 99216122: postnatal day 71; Tgfbr1tm1Dgen/Tgfbr1+ (more )
Structure Level Pattern Image Note
TS28: spleen Very strong Regionally restricted 99216122 Expression is frequently seen in the blood vessels of the spleen.
TS28: blood vessel Very strong Regionally restricted 99216122 Expression is frequently seen in the blood vessels of the spleen.
TS28: spleen red pulp Moderate 99216122 There is scattered expression in the red pulp.
TS28: spleen trabeculum Moderate 99216122 Expression is frequently seen in the trabeculae.

Specimen Mouse 328752 - Image 99216123: postnatal day 71; Tgfbr1tm1Dgen/Tgfbr1+ (more )
Structure Level Pattern Image Note
TS28: spleen capsule Very strong 99216123 Expression is frequently seen in the capsule.
TS28: spleen white pulp Strong 99216123 There is scattered expression in the white pulp.

Specimen Mouse 328752 - Image 99216259: postnatal day 71; Tgfbr1tm1Dgen/Tgfbr1+ (more )
Structure Level Pattern Image Note
TS28: lymph node Strong 99216259 There is scattered expression in the lymph nodes.

Specimen Mouse 328752 - Image 99216268: postnatal day 71; Tgfbr1tm1Dgen/Tgfbr1+ (more )
Structure Level Pattern Image Note
TS28: spinal cord Very strong 99216268 There is scattered expression in the spinal cord.

Specimen Mouse 328752 - Image 99216300: postnatal day 71; Tgfbr1tm1Dgen/Tgfbr1+ (more )
Structure Level Pattern Image Note
TS28: spinal cord central canal Strong 99216300 Expression is frequently seen in the central canal.
TS28: spinal cord gray matter Strong 99216300 There is scattered expression in the grey matter.
TS28: spinal cord ventral horn Strong 99216300 There is scattered expression in the ventral horns.

Specimen Mouse 328752 - Image 99216334: postnatal day 71; Tgfbr1tm1Dgen/Tgfbr1+ (more )
Structure Level Pattern Image Note
TS28: cerebellum white matter Strong 99216334 Expression is frequently seen in the white matter.

Specimen Mouse 328752 - Image 99216336: postnatal day 71; Tgfbr1tm1Dgen/Tgfbr1+ (more )
Structure Level Pattern Image Note
TS28: cerebellum Strong 99216336 Expression is frequently seen in the cerebellum.

Specimen Mouse 328752 - Image 99216349: postnatal day 71; Tgfbr1tm1Dgen/Tgfbr1+ (more )
Structure Level Pattern Image Note
TS28: brainstem Very strong 99216349 There is scattered expression in the brainstem.

Specimen Mouse 328752 - Image 99216359: postnatal day 71; Tgfbr1tm1Dgen/Tgfbr1+ (more )
Structure Level Pattern Image Note
TS28: telencephalon Moderate 99216359 There is scattered expression in the cerebrum.

Specimen Mouse 328752 - Image 99216496: postnatal day 71; Tgfbr1tm1Dgen/Tgfbr1+ (more )
Structure Level Pattern Image Note
TS28: cerebral cortex Moderate 99216496 There is scattered expression in the cortex.

Specimen Mouse 328752 - Image 99216499: postnatal day 71; Tgfbr1tm1Dgen/Tgfbr1+ (more )
Structure Level Pattern Image Note
TS28: telencephalon Weak Regionally restricted 99216499 There is scattered expression in the choroid plexus of the cerebrum.
TS28: choroid plexus Weak Regionally restricted 99216499 There is scattered expression in the choroid plexus of the cerebrum.

Specimen Mouse 328752 - Image 99216500: postnatal day 71; Tgfbr1tm1Dgen/Tgfbr1+ (more )
Structure Level Pattern Image Note
TS28: thalamus Moderate 99216500 There is scattered expression in the thalamus.

Specimen Mouse 328752 - Image 99216504: postnatal day 71; Tgfbr1tm1Dgen/Tgfbr1+ (more )
Structure Level Pattern Image Note
TS28: brain ventricle Moderate Regionally restricted 99216504 Expression is frequently seen in a ventricle in the cerebrum.

Specimen Mouse 328752 - Image 99216505: postnatal day 71; Tgfbr1tm1Dgen/Tgfbr1+ (more )
Structure Level Pattern Image Note
TS28: amygdala Moderate 99216505 Expression is frequently seen in the amygdala.

Specimen Mouse 328752 - Image 99216506: postnatal day 71; Tgfbr1tm1Dgen/Tgfbr1+ (more )
Structure Level Pattern Image Note
TS28: caudate-putamen Moderate 99216506 There is scattered expression in the caudate-putamen.

Specimen Mouse 328752 - Image 99216577: postnatal day 71; Tgfbr1tm1Dgen/Tgfbr1+ (more )
Structure Level Pattern Image Note
TS28: renal pelvis Strong 99216577 There is scattered expression in the kidney pelvis.

Specimen Mouse 328752 - Image 99217270: postnatal day 71; Tgfbr1tm1Dgen/Tgfbr1+ (more )
Structure Level Pattern Image Note
TS28: hippocampus Moderate 99217270 There is scattered expression in the hippocampus.

Specimen Mouse 328752 - Image 99217272: postnatal day 71; Tgfbr1tm1Dgen/Tgfbr1+ (more )
Structure Level Pattern Image Note
TS28: hypothalamus Moderate 99217272 There is scattered expression in the hypothalamus.

Specimen Mouse 328752 - Image 99217277: postnatal day 71; Tgfbr1tm1Dgen/Tgfbr1+ (more )
Structure Level Pattern Image Note
TS28: cerebellum molecular layer Very strong 99217277 There is scattered expression in the molecular layer.

Specimen Mouse 328752 - Image 99217278: postnatal day 71; Tgfbr1tm1Dgen/Tgfbr1+ (more )
Structure Level Pattern Image Note
TS28: cerebellum granule cell layer Strong 99217278 There is scattered expression in the granule layer.

Specimen Mouse 328752 - Image 99217280: postnatal day 71; Tgfbr1tm1Dgen/Tgfbr1+ (more )
Structure Level Pattern Image Note
TS28: cerebellum Purkinje cell layer Strong 99217280 Expression is present in practically all cells of the Purkinje layer.

Specimen Mouse 328752 - Image 99217281: postnatal day 71; Tgfbr1tm1Dgen/Tgfbr1+ (more )
Structure Level Pattern Image Note
TS28: cerebellum Strong Regionally restricted 99217281 Expression is frequently seen in the meninges of the cerebellum.
TS28: meninges Strong Regionally restricted 99217281 Expression is frequently seen in the meninges of the cerebellum.

Specimen Mouse 328752 - Image 99217286: postnatal day 71; Tgfbr1tm1Dgen/Tgfbr1+ (more )
Structure Level Pattern Image Note
TS28: cerebellum Strong Regionally restricted 99217286 Expression is frequently seen in the blood vessels of the cerebellum.
TS28: blood vessel Strong Regionally restricted 99217286 Expression is frequently seen in the blood vessels of the cerebellum.

Specimen Mouse 328752 - Image 99217288: postnatal day 71; Tgfbr1tm1Dgen/Tgfbr1+ (more )
Structure Level Pattern Image Note
TS28: spinal cord white matter Strong 99217288 Expression is frequently seen in the white matter.

Specimen Mouse 328752 - Image 99217290: postnatal day 71; Tgfbr1tm1Dgen/Tgfbr1+ (more )
Structure Level Pattern Image Note
TS28: spinal cord dorsal horn Strong 99217290 There is scattered expression in the dorsal horns.

Specimen Mouse 328752 - Image 99217291: postnatal day 71; Tgfbr1tm1Dgen/Tgfbr1+ (more )
Structure Level Pattern Image Note
TS28: telencephalon Strong Regionally restricted 99217291 Expression is frequently seen in the cerebral meninges.
TS28: meninges Strong Regionally restricted 99217291 Expression is frequently seen in the cerebral meninges.

Specimen Mouse 328752 - Image 99217292: postnatal day 71; Tgfbr1tm1Dgen/Tgfbr1+ (more )
Structure Level Pattern Image Note
TS28: lymph node Strong Regionally restricted 99217292 Expression is frequently seen in the blood vessels of the lymph node.
TS28: blood vessel Strong Regionally restricted 99217292 Expression is frequently seen in the blood vessels of the lymph node.

Specimen Mouse 328752 - Image 99217293: postnatal day 71; Tgfbr1tm1Dgen/Tgfbr1+ (more )
Structure Level Pattern Image Note
TS28: pancreas Very strong Regionally restricted 99217293 Expression is frequently seen in the blood vessels of the pancreas.
TS28: blood vessel Very strong Regionally restricted 99217293 Expression is frequently seen in the blood vessels of the pancreas.

Specimen Mouse 328752 - Image 99217294: postnatal day 71; Tgfbr1tm1Dgen/Tgfbr1+ (more )
Structure Level Pattern Image Note
TS28: pancreas Strong 99217294 There is scattered expression in the pancreas.

Specimen Mouse 328752 - Image 99217295: postnatal day 71; Tgfbr1tm1Dgen/Tgfbr1+ (more )
Structure Level Pattern Image Note
TS28: pancreatic acinus Moderate 99217295 There is scattered expression in the acini.

Specimen Mouse 328752 - Image 99217304: postnatal day 71; Tgfbr1tm1Dgen/Tgfbr1+ (more )
Structure Level Pattern Image Note
TS28: testis Very strong Regionally restricted 99217304 Expression is frequently seen in the blood vessels of the testis.
TS28: blood vessel Very strong Regionally restricted 99217304 Expression is frequently seen in the blood vessels of the testis.

Specimen Mouse 328752 - Image 99217306: postnatal day 71; Tgfbr1tm1Dgen/Tgfbr1+ (more )
Structure Level Pattern Image Note
TS28: bladder Strong Regionally restricted 99217306 There is scattered expression in the blood vessels of the urinary bladder.
TS28: blood vessel Strong Regionally restricted 99217306 There is scattered expression in the blood vessels of the urinary bladder.

Specimen Mouse 328752 - Image 99217315: postnatal day 71; Tgfbr1tm1Dgen/Tgfbr1+ (more )
Structure Level Pattern Image Note
TS28: renal papilla Very strong 99217315 Expression is frequently seen in the papilla.

Specimen Mouse 328752 - Image 99217323: postnatal day 71; Tgfbr1tm1Dgen/Tgfbr1+ (more )
Structure Level Pattern Image Note
TS28: metanephros Very strong Regionally restricted 99217323 Expression is frequently seen in the blood vessels of the kidney.
TS28: blood vessel Very strong Regionally restricted 99217323 Expression is frequently seen in the blood vessels of the kidney.

Specimen Mouse 328752 - Image 99217330: postnatal day 71; Tgfbr1tm1Dgen/Tgfbr1+ (more )
Structure Level Pattern Image Note
TS28: heart valve Very strong 99217330 Expression is present in practically all cells of the valves.

Specimen Mouse 328752 - Image 99217340: postnatal day 71; Tgfbr1tm1Dgen/Tgfbr1+ (more )
Structure Level Pattern Image Note
TS28: liver Strong 99217340 Expression is frequently seen in the liver.

Specimen Mouse 328752 - Image 99217376: postnatal day 71; Tgfbr1tm1Dgen/Tgfbr1+ (more )
Structure Level Pattern Image Note
TS28: skeletal muscle Strong 99217376 Expression is frequently seen in the skeletal muscle.

Specimen Mouse 328752 - Image 99217456: postnatal day 71; Tgfbr1tm1Dgen/Tgfbr1+ (more )
Structure Level Pattern Image Note
TS28: bone marrow Strong 99217456 There is occasional staining in the bone marrow.

Specimen Mouse 328752 - Image 99217457: postnatal day 71; Tgfbr1tm1Dgen/Tgfbr1+ (more )
Structure Level Pattern Image Note
TS28: bone marrow Strong 99217457 There is occasional staining in the bone marrow.

Specimen Mouse 328752 - Image 99217470: postnatal day 71; Tgfbr1tm1Dgen/Tgfbr1+ (more )
Structure Level Pattern Image Note
TS28: aorta Moderate Regionally restricted 99217470 There is scattered expression in the periaortic adipose tissue.
TS28: adipose tissue Moderate Regionally restricted 99217470 There is scattered expression in the periaortic adipose tissue.

Specimen Mouse 328752: postnatal day 71; Tgfbr1tm1Dgen/Tgfbr1+ (more )
Structure Level Pattern Image Note
TS28: thymus Strong Regionally restricted There is scattered expression in the blood vessels of the thymus.
TS28: blood vessel Strong Regionally restricted There is scattered expression in the blood vessels of the thymus.

Specimen Mouse 328764 - Image 99214275: postnatal day 71; Tgfbr1tm1Dgen/Tgfbr1+ (more )
Structure Level Pattern Image Note
TS28: brain Strong 99214275 Expression is frequently seen in the brain.
TS28: telencephalon Strong 99214275 Expression is frequently seen in the cerebrum.

Specimen Mouse 328764 - Image 99214276: postnatal day 71; Tgfbr1tm1Dgen/Tgfbr1+ (more )
Structure Level Pattern Image Note
TS28: cerebellum Strong 99214276 Expression is frequently seen in the cerebellum.

Specimen Mouse 328764 - Image 99214277: postnatal day 71; Tgfbr1tm1Dgen/Tgfbr1+ (more )
Structure Level Pattern Image Note
TS28: brainstem Strong 99214277 Expression is frequently seen in the brainstem.

Specimen Mouse 328764 - Image 99216332: postnatal day 71; Tgfbr1tm1Dgen/Tgfbr1+ (more )
Structure Level Pattern Image Note
TS28: adenohypophysis pars intermedia Moderate 99216332 Expression is frequently seen in the pars intermedia.
TS28: neurohypophysis pars nervosa Weak 99216332 There is scattered expression in the pars nervosa.

Specimen Mouse 328764 - Image 99216510: postnatal day 71; Tgfbr1tm1Dgen/Tgfbr1+ (more )
Structure Level Pattern Image Note
TS28: ovary Strong 99216510 Expression is frequently seen in the ovary.

Specimen Mouse 328764 - Image 99216513: postnatal day 71; Tgfbr1tm1Dgen/Tgfbr1+ (more )
Structure Level Pattern Image Note
TS28: ovary Strong Regionally restricted 99216513 There is scattered expression in the stroma. In addition, expression is frequently seen in the blood vessels of the ovary.
TS28: blood vessel Strong Regionally restricted 99216513 Expression is frequently seen in the blood vessels of the ovary.
TS28: ovary follicle Strong 99216513 There is scattered expression in the follicle.

Specimen Mouse 328764 - Image 99216519: postnatal day 71; Tgfbr1tm1Dgen/Tgfbr1+ (more )
Structure Level Pattern Image Note
TS28: endometrium epithelium Weak 99216519 There is occasional staining in the endometrial epithelium.

Specimen Mouse 328764 - Image 99216524: postnatal day 71; Tgfbr1tm1Dgen/Tgfbr1+ (more )
Structure Level Pattern Image Note
TS28: endometrium stroma Weak 99216524 There is scattered expression in the endometrial stroma.

Specimen Mouse 328764 - Image 99216525: postnatal day 71; Tgfbr1tm1Dgen/Tgfbr1+ (more )
Structure Level Pattern Image Note
TS28: uterus Moderate Regionally restricted 99216525 There is scattered expression in the blood vessels of the uterus.
TS28: blood vessel Moderate Regionally restricted 99216525 There is scattered expression in the blood vessels of the uterus.
TS28: myometrium Strong 99216525 Expression is frequently seen in the myometrium.

Specimen Mouse 328764 - Image 99216530: postnatal day 71; Tgfbr1tm1Dgen/Tgfbr1+ (more )
Structure Level Pattern Image Note
TS28: epithelial layer of cervix uteri Weak 99216530 There is occasional staining in the epithelium.

Specimen Mouse 328764 - Image 99216536: postnatal day 71; Tgfbr1tm1Dgen/Tgfbr1+ (more )
Structure Level Pattern Image Note
TS28: cervix uteri Moderate Regionally restricted 99216536 There is scattered expression in the stroma.

Specimen Mouse 328764 - Image 99217458: postnatal day 71; Tgfbr1tm1Dgen/Tgfbr1+ (more )
Structure Level Pattern Image Note
TS28: bone marrow Strong 99217458 There is scattered expression in the bone marrow.

Specimen Mouse 328764 - Image 99217460: postnatal day 71; Tgfbr1tm1Dgen/Tgfbr1+ (more )
Structure Level Pattern Image Note
TS28: ovary follicle Strong Regionally restricted 99217460 Expression is present in practically all cells of the corpus luteum.

Specimen Mouse 328764 - Image 99217461: postnatal day 71; Tgfbr1tm1Dgen/Tgfbr1+ (more )
Structure Level Pattern Image Note
TS28: cervix uteri Moderate Regionally restricted 99217461 Expression is frequently seen in the smooth muscle layer.

Specimen Mouse 328764 - Image 99217465: postnatal day 71; Tgfbr1tm1Dgen/Tgfbr1+ (more )
Structure Level Pattern Image Note
TS28: cervix uteri Strong Regionally restricted 99217465 There is scattered expression in the ganglia of the cervix. In addition, expression is frequently seen in the blood vessels of the cervix.
TS28: blood vessel Strong Regionally restricted 99217465 Expression is frequently seen in the blood vessels of the cervix.


Contributing Projects:
Mouse Genome Database (MGD), Gene Expression Database (GXD), Mouse Models of Human Cancer database (MMHCdb) (formerly Mouse Tumor Biology (MTB)), Gene Ontology (GO)
Citing These Resources
Funding Information
Warranty Disclaimer, Privacy Notice, Licensing, & Copyright
Send questions and comments to User Support.
last database update
01/28/2026
MGI 6.24
The Jackson Laboratory