About   Help   FAQ
Gene Expression Data
Assay Details
Assay
Reference: J:101679 Deltagen Inc, NIH initiative supporting placement of Deltagen, Inc. mice into public repositories. MGI Direct Data Submission. 2005;
Assay type: In situ reporter (knock in)
MGI Accession ID: MGI:3639225
Gene symbol: Axl
Gene name: AXL receptor tyrosine kinase
Reporter: lacZ
Direct Detection
Results
Specimen Mouse 186567 - Image 21908065: postnatal day 52; Axltm1Dgen/Axl+ (more )
Structure Level Pattern Image Note
TS28: bone marrow Strong 21908065 There is occasional staining in the bone marrow.

Specimen Mouse 186567 - Image 22101977: postnatal day 52; Axltm1Dgen/Axl+ (more )
Structure Level Pattern Image Note
TS28: salivary gland Strong 22101977 There is scattered expression in the salivary gland.

Specimen Mouse 186567 - Image 22102003: postnatal day 52; Axltm1Dgen/Axl+ (more )
Structure Level Pattern Image Note
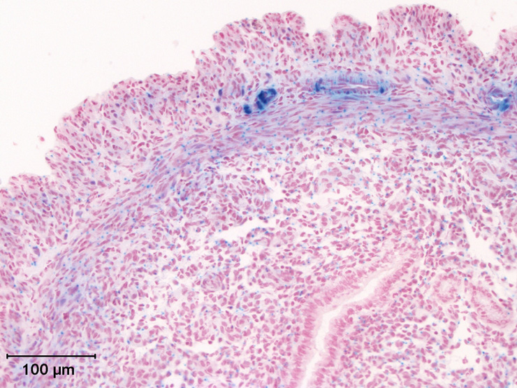
TS28: lymph node capsule Very strong 22102003 Expression is frequently seen in the capsule.

Specimen Mouse 186567 - Image 22102206: postnatal day 52; Axltm1Dgen/Axl+ (more )
Structure Level Pattern Image Note
TS28: lymph node Strong 22102206 There is scattered expression in the lymph nodes.

Specimen Mouse 186567 - Image 22102480: postnatal day 52; Axltm1Dgen/Axl+ (more )
Structure Level Pattern Image Note
TS28: adrenal gland Very strong Regionally restricted 22102480 Expression is frequently seen in the capsule.

Specimen Mouse 186567 - Image 22102556: postnatal day 52; Axltm1Dgen/Axl+ (more )
Structure Level Pattern Image Note
TS28: aorta Very strong 22102556 Expression is present in practically all cells of the aorta.

Specimen Mouse 186567 - Image 22103432: postnatal day 52; Axltm1Dgen/Axl+ (more )
Structure Level Pattern Image Note
TS28: spleen Very strong Regionally restricted 22103432 Expression is present in practically all the smooth muscle cells of the blood vessels of the spleen.
TS28: blood vessel smooth muscle Very strong Regionally restricted 22103432 Expression is present in practically all the smooth muscle cells of the blood vessels of the spleen.

Specimen Mouse 186567 - Image 22103504: postnatal day 52; Axltm1Dgen/Axl+ (more )
Structure Level Pattern Image Note
TS28: pancreas Strong 22103504 There is scattered expression in the pancreas.

Specimen Mouse 186567 - Image 22103929: postnatal day 52; Axltm1Dgen/Axl+ (more )
Structure Level Pattern Image Note
TS28: metanephros Very strong Regionally restricted 22103929 Expression is present in practically all the smooth muscle cells of the blood vessels of the kidney.
TS28: blood vessel smooth muscle Very strong Regionally restricted 22103929 Expression is present in practically all the smooth muscle cells of the blood vessels of the kidney.

Specimen Mouse 186567 - Image 22105858: postnatal day 52; Axltm1Dgen/Axl+ (more )
Structure Level Pattern Image Note
TS28: pinna Strong 22105858 Expression is frequently seen in the auricle.

Specimen Mouse 186567 - Image 22193915: postnatal day 52; Axltm1Dgen/Axl+ (more )
Structure Level Pattern Image Note
TS28: skeletal muscle Strong 22193915 There is scattered expression in the skeletal muscle.

Specimen Mouse 186567 - Image 22194868: postnatal day 52; Axltm1Dgen/Axl+ (more )
Structure Cell Type Level Pattern Image Note
TS28: peritubular myoid cell peritubular myoid cell Very strong Regionally restricted 22194868 Expression is frequently seen in the peritubular cells.

Specimen Mouse 186567 - Image 22195077: postnatal day 52; Axltm1Dgen/Axl+ (more )
Structure Level Pattern Image Note
TS28: lung alveolus Strong 22195077 Expression is frequently seen in the alveoli.

Specimen Mouse 186567 - Image 22195079: postnatal day 52; Axltm1Dgen/Axl+ (more )
Structure Level Pattern Image Note
TS28: heart ventricle Very strong 22195079 Expression is frequently seen in the ventricles.

Specimen Mouse 186567 - Image 22195180: postnatal day 52; Axltm1Dgen/Axl+ (more )
Structure Level Pattern Image Note
TS28: gallbladder smooth muscle Very strong Regionally restricted 22195180 Expression is present in practically all the smooth muscle cells of the wall.

Specimen Mouse 186567 - Image 22196515: postnatal day 52; Axltm1Dgen/Axl+ (more )
Structure Level Pattern Image Note
TS28: bile duct Strong 22196515 Expression is frequently seen in the bile duct.

Specimen Mouse 186567 - Image 22197081: postnatal day 52; Axltm1Dgen/Axl+ (more )
Structure Level Pattern Image Note
TS28: spinal cord gray matter Strong 22197081 Expression is frequently seen in the grey matter.

Specimen Mouse 186567 - Image 22197397: postnatal day 52; Axltm1Dgen/Axl+ (more )
Structure Level Pattern Image Note
TS28: neurohypophysis pars nervosa Strong 22197397 Expression is frequently seen in the pars nervosa.

Specimen Mouse 186567 - Image 22954452: postnatal day 52; Axltm1Dgen/Axl+ (more )
Structure Level Pattern Image Note
TS28: esophagus Very strong Regionally restricted 22954452 Expression is frequently seen in the connective tissue of the esophagus.
TS28: connective tissue Very strong Regionally restricted 22954452 Expression is frequently seen in the connective tissue of the esophagus.

Specimen Mouse 186567 - Image 22954526: postnatal day 52; Axltm1Dgen/Axl+ (more )
Structure Level Pattern Image Note
TS28: thyroid gland Strong 22954526 There is scattered expression in the thyroid gland.

Specimen Mouse 186567 - Image 22954537: postnatal day 52; Axltm1Dgen/Axl+ (more )
Structure Level Pattern Image Note
TS28: trachea Strong 22954537 There is scattered expression in the trachea.

Specimen Mouse 186567 - Image 22954625: postnatal day 52; Axltm1Dgen/Axl+ (more )
Structure Level Pattern Image Note
TS28: larynx muscle Very strong Regionally restricted 22954625 Expression is frequently seen in the smooth muscle cells.
TS28: larynx epithelium Strong 22954625 Expression is frequently seen in the epithelium.
TS28: larynx submucosa gland Very strong 22954625 Expression is frequently seen in the submucosal glands.

Specimen Mouse 186567 - Image 22954665: postnatal day 52; Axltm1Dgen/Axl+ (more )
Structure Level Pattern Image Note
TS28: esophagus lamina propria Very strong 22954665 Expression is frequently seen in the lamina propria.

Specimen Mouse 186567 - Image 22955257: postnatal day 52; Axltm1Dgen/Axl+ (more )
Structure Level Pattern Image Note
TS28: prostate gland Very strong Regionally restricted 22955257 Expression is frequently seen in the ganglia.

Specimen Mouse 186567 - Image 22956148: postnatal day 52; Axltm1Dgen/Axl+ (more )
Structure Level Pattern Image Note
TS28: anterior prostate gland Very strong Regionally restricted 22956148 Expression is present in practically all the smooth muscle cells in the capsule.

Specimen Mouse 186567 - Image 22956938: postnatal day 52; Axltm1Dgen/Axl+ (more )
Structure Level Pattern Image Note
TS28: thymus cortex Very strong 22956938 Expression is frequently seen in the cortex.

Specimen Mouse 186567 - Image 22957720: postnatal day 52; Axltm1Dgen/Axl+ (more )
Structure Level Pattern Image Note
TS28: bladder mucosa Moderate 22957720 Expression is frequently seen in the mucosa.

Specimen Mouse 186567 - Image 22958022: postnatal day 52; Axltm1Dgen/Axl+ (more )
Structure Level Pattern Image Note
TS28: lamina propria of bladder Very strong 22958022 Expression is present in practically all the smooth muscle cells.

Specimen Mouse 186567 - Image 22958553: postnatal day 52; Axltm1Dgen/Axl+ (more )
Structure Level Pattern Image Note
TS28: penis Strong 22958553 Expression is frequently seen in the penis.

Specimen Mouse 186567 - Image 22959177: postnatal day 52; Axltm1Dgen/Axl+ (more )
Structure Level Pattern Image Note
TS28: brainstem Strong 22959177 Expression is frequently seen in the brainstem.

Specimen Mouse 186567 - Image 22959277: postnatal day 52; Axltm1Dgen/Axl+ (more )
Structure Level Pattern Image Note
TS28: cerebellum molecular layer Strong 22959277 There is scattered expression in the molecular layer.

Specimen Mouse 186567 - Image 22959380: postnatal day 52; Axltm1Dgen/Axl+ (more )
Structure Level Pattern Image Note
TS28: cerebellum granule cell layer Strong 22959380 There is scattered expression in the granule layer.

Specimen Mouse 186567 - Image 22959434: postnatal day 52; Axltm1Dgen/Axl+ (more )
Structure Level Pattern Image Note
TS28: cerebellum white matter Strong 22959434 Expression is frequently seen in the white matter.

Specimen Mouse 186567 - Image 22959527: postnatal day 52; Axltm1Dgen/Axl+ (more )
Structure Level Pattern Image Note
TS28: cerebellum Purkinje cell layer Strong 22959527 There is occasional staining in the Purkinje layer.

Specimen Mouse 186567 - Image 36049795: postnatal day 52; Axltm1Dgen/Axl+ (more )
Structure Level Pattern Image Note
TS28: anterior commissure Strong 36049795 There is scattered expression in the anterior commissure.

Specimen Mouse 186567 - Image 36050001: postnatal day 52; Axltm1Dgen/Axl+ (more )
Structure Level Pattern Image Note
TS28: lateral ventricle Moderate 36050001 Expression is frequently seen in the lateral ventricle.

Specimen Mouse 186567 - Image 36050610: postnatal day 52; Axltm1Dgen/Axl+ (more )
Structure Level Pattern Image Note
TS28: corpus callosum Strong 36050610 There is occasional staining in the corpus callosum.

Specimen Mouse 186567 - Image 36050978: postnatal day 52; Axltm1Dgen/Axl+ (more )
Structure Level Pattern Image Note
TS28: cerebral cortex Moderate 36050978 There is scattered expression in the cortex.

Specimen Mouse 186567 - Image 36050995: postnatal day 52; Axltm1Dgen/Axl+ (more )
Structure Level Pattern Image Note
TS28: caudate-putamen Strong 36050995 There is scattered expression in the caudate-putamen.

Specimen Mouse 186567 - Image 36051078: postnatal day 52; Axltm1Dgen/Axl+ (more )
Structure Level Pattern Image Note
TS28: telencephalon Trace 36051078 There is scattered expression in the cerebrum.

Specimen Mouse 186567 - Image 36069052: postnatal day 52; Axltm1Dgen/Axl+ (more )
Structure Level Pattern Image Note
TS28: thalamus Strong 36069052 There is scattered expression in the thalamus.

Specimen Mouse 186567 - Image 36069087: postnatal day 52; Axltm1Dgen/Axl+ (more )
Structure Level Pattern Image Note
TS28: hypothalamus Moderate 36069087 There is occasional staining in the hypothalamus.

Specimen Mouse 186567 - Image 36736341: postnatal day 52; Axltm1Dgen/Axl+ (more )
Structure Level Pattern Image Note
TS28: thymus medullary core Strong 36736341 There is occasional staining in the medulla.

Specimen Mouse 186567 - Image 36736417: postnatal day 52; Axltm1Dgen/Axl+ (more )
Structure Level Pattern Image Note
TS28: glans penis Strong 36736417 Expression is frequently seen in the glans penis.

Specimen Mouse 186567 - Image 36736906: postnatal day 52; Axltm1Dgen/Axl+ (more )
Structure Level Pattern Image Note
TS28: prostate gland smooth muscle Strong 36736906 Expression is present in practically all the smooth muscle cells in the capsule.

Specimen Mouse 186567 - Image 36737462: postnatal day 52; Axltm1Dgen/Axl+ (more )
Structure Level Pattern Image Note
TS28: anterior prostate gland Strong Regionally restricted 36737462 Expression is frequently seen in the lamina propria.

Specimen Mouse 186567 - Image 36737463: postnatal day 52; Axltm1Dgen/Axl+ (more )
Structure Level Pattern Image Note
TS28: seminal vesicle Present Regionally restricted 36737463 Very strong expression is present in practically all the smooth muscle cells in the capsule. Moderate expression is frequently seen in the lamina propria.

Specimen Mouse 186567 - Image 36737512: postnatal day 52; Axltm1Dgen/Axl+ (more )
Structure Cell Type Level Pattern Image Note
TS28: Sertoli cell Sertoli cell Very strong Regionally restricted 36737512 Expression is frequently seen in the Sertoli cells.

Specimen Mouse 186567 - Image 36737532: postnatal day 52; Axltm1Dgen/Axl+ (more )
Structure Level Pattern Image Note
TS28: testis Strong Regionally restricted 36737532 Expression is present in practically all cells of the tunica albuginea.

Specimen Mouse 186567 - Image 36737581: postnatal day 52; Axltm1Dgen/Axl+ (more )
Structure Level Pattern Image Note
TS28: interstitium of the testis Strong 36737581 There is scattered expression in the interstitial cells.

Specimen Mouse 186567 - Image 36737647: postnatal day 52; Axltm1Dgen/Axl+ (more )
Structure Level Pattern Image Note
TS28: seminiferous tubule Very strong 36737647 Expression is frequently seen in the seminiferous tubules.

Specimen Mouse 186567 - Image 36737736: postnatal day 52; Axltm1Dgen/Axl+ (more )
Structure Level Pattern Image Note
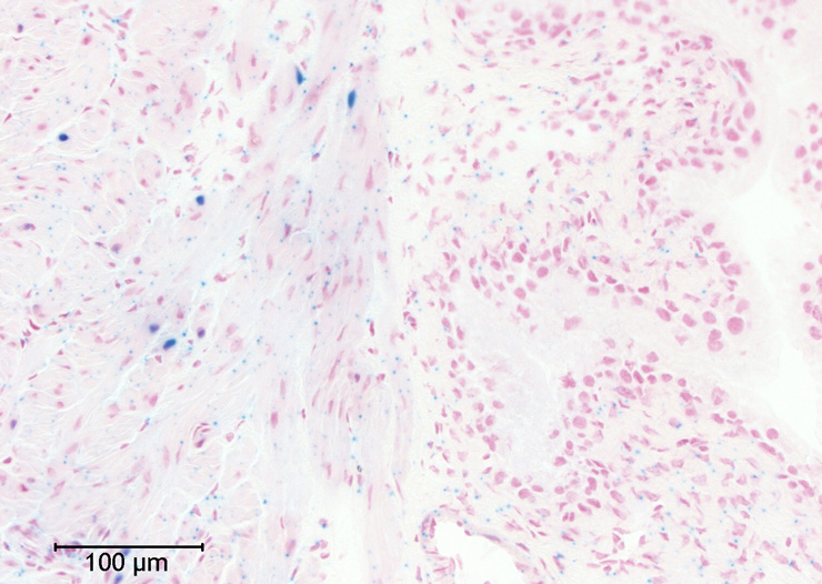
TS28: sciatic nerve Strong Regionally restricted 36737736 Expression is frequently seen in the perineurium.

Specimen Mouse 186567 - Image 36737846: postnatal day 52; Axltm1Dgen/Axl+ (more )
Structure Level Pattern Image Note
TS28: sciatic nerve Moderate Regionally restricted 36737846 There is scattered expression in the Schwann cells.

Specimen Mouse 186567 - Image 36869538: postnatal day 52; Axltm1Dgen/Axl+ (more )
Structure Level Pattern Image Note
TS28: tongue Very strong Regionally restricted 36869538 Expression is frequently seen in the lamina propria.

Specimen Mouse 186567 - Image 36869558: postnatal day 52; Axltm1Dgen/Axl+ (more )
Structure Level Pattern Image Note
TS28: tongue Present Regionally restricted 36869558 Strong expression is present in practically all the smooth muscle cells of the blood vessels of the tongue. There is strong, scattered expression in the nerves of the tongue.
TS28: blood vessel smooth muscle Very strong Regionally restricted 36869558 Expression is present in practically all the smooth muscle cells of the blood vessels of the tongue.
TS28: nerve Strong Regionally restricted 36869558 There is scattered expression in the nerves of the tongue.

Specimen Mouse 186567 - Image 36869837: postnatal day 52; Axltm1Dgen/Axl+ (more )
Structure Level Pattern Image Note
TS28: minor salivary gland Very strong 36869837 Expression is frequently seen in the minor salivary gland.

Specimen Mouse 186567 - Image 36869893: postnatal day 52; Axltm1Dgen/Axl+ (more )
Structure Level Pattern Image Note
TS28: tongue Very strong Regionally restricted 36869893 Expression is frequently seen in the mucous glands.

Specimen Mouse 186567 - Image 36869895: postnatal day 52; Axltm1Dgen/Axl+ (more )
Structure Level Pattern Image Note
TS28: tongue muscle Strong 36869895 Expression is frequently seen in the skeletal muscle.

Specimen Mouse 186567 - Image 36870167: postnatal day 52; Axltm1Dgen/Axl+ (more )
Structure Level Pattern Image Note
TS28: ear Very strong Regionally restricted 36870167 There is scattered expression in the ear hair follicles.
TS28: hair follicle Very strong Regionally restricted 36870167 There is scattered expression in the ear hair follicles.

Specimen Mouse 186567 - Image 36870200: postnatal day 52; Axltm1Dgen/Axl+ (more )
Structure Level Pattern Image Note
TS28: skin Strong 36870200 There is scattered expression in the skin.

Specimen Mouse 186567 - Image 36870538: postnatal day 52; Axltm1Dgen/Axl+ (more )
Structure Level Pattern Image Note
TS28: parathyroid gland capsule Very strong 36870538 Expression is frequently seen in the capsule.
TS28: parathyroid gland Very strong Regionally restricted 36870538 Expression is frequently seen in the connective tissue of the parathroid gland.
TS28: connective tissue Very strong Regionally restricted 36870538 Expression is frequently seen in the connective tissue of the parathroid gland.

Specimen Mouse 186567 - Image 36870574: postnatal day 52; Axltm1Dgen/Axl+ (more )
Structure Level Pattern Image Note
TS28: trachea connective tissue Very strong 36870574 There is scattered expression in the connective tissue.
TS28: trachea smooth muscle Strong 36870574 There is scattered expression in the trachealis muscle.

Specimen Mouse 186567 - Image 36870947: postnatal day 52; Axltm1Dgen/Axl+ (more )
Structure Level Pattern Image Note
TS28: trachea epithelium Moderate 36870947 There is scattered expression in the mucosal epithelium.

Specimen Mouse 186567 - Image 36871357: postnatal day 52; Axltm1Dgen/Axl+ (more )
Structure Level Pattern Image Note
TS28: esophagus muscularis mucosa Very strong 36871357 There is scattered expression in the muscularis.

Specimen Mouse 186567 - Image 36871460: postnatal day 52; Axltm1Dgen/Axl+ (more )
Structure Level Pattern Image Note
TS28: renal pelvis Moderate Regionally restricted 36871460 Expression is present in practically all the smooth muscle cells of the kidney pelvis.

Specimen Mouse 186567 - Image 36871994: postnatal day 52; Axltm1Dgen/Axl+ (more )
Structure Level Pattern Image Note
TS28: glomerular tuft Strong 36871994 Expression is frequently seen in the glomeruli.

Specimen Mouse 186567 - Image 36872002: postnatal day 52; Axltm1Dgen/Axl+ (more )
Structure Level Pattern Image Note
TS28: renal medulla Strong 36872002 There is scattered expression in the medulla.

Specimen Mouse 186567 - Image 36872138: postnatal day 52; Axltm1Dgen/Axl+ (more )
Structure Level Pattern Image Note
TS28: renal papilla Moderate 36872138 There is occasional staining in the papilla.

Specimen Mouse 186567 - Image 36872456: postnatal day 52; Axltm1Dgen/Axl+ (more )
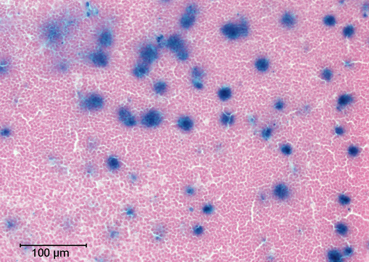
Structure Level Pattern Image Note
TS28: liver Moderate 36872456 There is occasional staining in the liver.

Specimen Mouse 186567 - Image 36872549: postnatal day 52; Axltm1Dgen/Axl+ (more )
Structure Level Pattern Image Note
TS28: liver Moderate Regionally restricted 36872549 There is scattered expression in the capsule.

Specimen Mouse 186567 - Image 36872577: postnatal day 52; Axltm1Dgen/Axl+ (more )
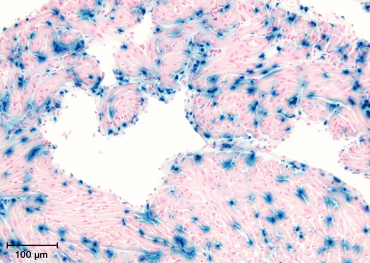
Structure Level Pattern Image Note
TS28: heart valve Very strong 36872577 Expression is present in practically all cells of the valves.

Specimen Mouse 186567 - Image 36872621: postnatal day 52; Axltm1Dgen/Axl+ (more )
Structure Level Pattern Image Note
TS28: heart atrium Very strong 36872621 Expression is frequently seen in the atrium.
TS28: endocardial tissue Very strong 36872621 Expression is frequently seen in the endocardium.

Specimen Mouse 186567 - Image 36872705: postnatal day 52; Axltm1Dgen/Axl+ (more )
Structure Level Pattern Image Note
TS28: heart Very strong 36872705 Expression is frequently seen in the heart.

Specimen Mouse 186567 - Image 36874055: postnatal day 52; Axltm1Dgen/Axl+ (more )
Structure Level Pattern Image Note
TS28: lung Very strong Regionally restricted 36874055 Expression is present in practically all the smooth muscle cells of the blood vessels of the lung.
TS28: blood vessel smooth muscle Very strong Regionally restricted 36874055 Expression is present in practically all the smooth muscle cells of the blood vessels of the lung.
TS28: bronchiole Strong Regionally restricted 36874055 Expression is frequently seen in the smooth muscle cells of the bronchioles.

Specimen Mouse 186567 - Image 36874076: postnatal day 52; Axltm1Dgen/Axl+ (more )
Structure Level Pattern Image Note
TS28: bronchiole Strong Regionally restricted 36874076 Expression is frequently seen in the smooth muscle cells of the bronchioles.

Specimen Mouse 186567 - Image 36874112: postnatal day 52; Axltm1Dgen/Axl+ (more )
Structure Level Pattern Image Note
TS28: spleen capsule Very strong 36874112 Expression is present in practically all cells of the capsule.
TS28: spleen trabeculum Very strong 36874112 Expression is present in practically all cells of the trabeculae.

Specimen Mouse 186567 - Image 36874148: postnatal day 52; Axltm1Dgen/Axl+ (more )
Structure Level Pattern Image Note
TS28: pancreas Strong Regionally restricted 36874148 There is scattered expression in the connective tissue of the pancreas.
TS28: connective tissue Strong Regionally restricted 36874148 There is scattered expression in the connective tissue of the pancreas.

Specimen Mouse 186567 - Image 36874155: postnatal day 52; Axltm1Dgen/Axl+ (more )
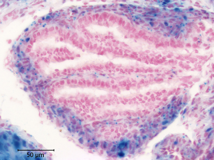
Structure Level Pattern Image Note
TS28: pancreatic duct Strong 36874155 Expression is frequently seen in the duct.

Specimen Mouse 186567 - Image 36874168: postnatal day 52; Axltm1Dgen/Axl+ (more )
Structure Level Pattern Image Note
TS28: pancreas Strong Regionally restricted 36874168 Expression is frequently seen in the capsule.

Specimen Mouse 186567 - Image 36874240: postnatal day 52; Axltm1Dgen/Axl+ (more )
Structure Level Pattern Image Note
TS28: aorta Very strong 36874240 Expression is present in practically all cells of the aorta.

Specimen Mouse 186567 - Image 36874774: postnatal day 52; Axltm1Dgen/Axl+ (more )
Structure Level Pattern Image Note
TS28: adrenal medulla Moderate 36874774 There is scattered expression in the medulla.

Specimen Mouse 186567 - Image 36874821: postnatal day 52; Axltm1Dgen/Axl+ (more )
Structure Level Pattern Image Note
TS28: adrenal gland Very strong Regionally restricted 36874821 Expression is present in practically all the smooth muscle cells of the blood vessels of the adrenal gland. It is also frequently seen in the capsule.
TS28: blood vessel smooth muscle Very strong Regionally restricted 36874821 Expression is present in practically all the smooth muscle cells of the blood vessels of the adrenal gland.

Specimen Mouse 186567 - Image 36874917: postnatal day 52; Axltm1Dgen/Axl+ (more )
Structure Level Pattern Image Note
TS28: salivary duct Strong Regionally restricted 36874917 Expression is present in practically all the smooth muscle cells of the duct.

Specimen Mouse 186567 - Image 36875843: postnatal day 52; Axltm1Dgen/Axl+ (more )
Structure Level Pattern Image Note
TS28: salivary gland Strong 36875843 There is scattered expression in the salivary gland.

Specimen Mouse 186567 - Image 36875968: postnatal day 52; Axltm1Dgen/Axl+ (more )
Structure Level Pattern Image Note
TS28: lymph node Moderate 36875968 There is scattered expression in the lymph nodes.

Specimen Mouse 186567 - Image 36875994: postnatal day 52; Axltm1Dgen/Axl+ (more )
Structure Level Pattern Image Note
TS28: spinal cord Strong 36875994 Expression is frequently seen in the spinal cord.

Specimen Mouse 186567 - Image 36876122: postnatal day 52; Axltm1Dgen/Axl+ (more )
Structure Level Pattern Image Note
TS28: cerebellum Strong 36876122 Expression is frequently seen in the cerebellum.
TS28: brainstem Strong 36876122 Expression is frequently seen in the brainstem.

Specimen Mouse 186567 - Image 36878314: postnatal day 52; Axltm1Dgen/Axl+ (more )
Structure Level Pattern Image Note
TS28: 3rd ventricle Moderate 36878314 Expression is frequently seen in the third ventricle.

Specimen Mouse 186567 - Image 40838388: postnatal day 52; Axltm1Dgen/Axl+ (more )
Structure Level Pattern Image Note
TS28: larynx Very strong 40838388 Expression is frequently seen in the larynx.

Specimen Mouse 186567: postnatal day 52; Axltm1Dgen/Axl+ (more )
Structure Level Pattern Image Note
TS28: heart Very strong Regionally restricted Expression is present in practically all the smooth muscle cells of the blood vessels of the heart.
TS28: blood vessel smooth muscle Very strong Regionally restricted Expression is the heart, esophagus, gallbladder, liver, pancreas, lymph node, thymus, skin, penis, prostate, testis, skeletal muscle, cerebellum, cerebrum, brainstem, spinal cord, larynx, trachea, urinary bladder, and salivary and thyroid gland.
TS28: esophagus Very strong Regionally restricted Expression is present in practically all the smooth muscle cells of the blood vessels of the esophagus. It is also frequently seen in the capsule.
TS28: gallbladder Very strong Regionally restricted Expression is present in practically all the smooth muscle cells of the blood vessels of the gallbladder.
TS28: gallbladder lamina propria Moderate Expression is frequently seen in the lamina propria.
TS28: liver Very strong Regionally restricted Expression is present in practically all the smooth muscle cells of the blood vessels of the liver.
TS28: pancreas Very strong Regionally restricted Expression is present in practically all the smooth muscle cells of the blood vessels of the pancreas.
TS28: salivary gland Very strong Regionally restricted Expression is present in practically all the smooth muscle cells of the blood vessels of the salivary gland.
TS28: thyroid gland Very strong Regionally restricted Expression is present in practically all the smooth muscle cells of the blood vessels of the thyroid gland.
TS28: lymph node Very strong Regionally restricted Expression is present in practically all the smooth muscle cells of the blood vessels of the lymph node.
TS28: thymus Very strong Regionally restricted Expression is present in practically all the smooth muscle cells of the blood vessels of the thymus.
TS28: ear Strong Regionally restricted Expression is frequently seen in the connective tissue of the ear. Scattered expression is seen in the nerves of the ear.
TS28: connective tissue Strong Regionally restricted Expression is frequently seen in the connective tissue of the ear and penis.
TS28: skin Very strong Regionally restricted Expression is present in practically all the smooth muscle cells of the blood vessels of the skin.
TS28: dermis Strong There is scattered expression in the dermis.
TS28: hair follicle Strong There is scattered expression in the hair follicles.
TS28: skin muscle Strong There is scattered expression in the muscle layer.
TS28: penis Present Regionally restricted Very strong expression is frequently seen in the smooth muscle cells; strong expression is frequently seen in the connective tissue. Very strong expression is also present in practically all the smooth muscle cells of the blood vessels of the penis.
TS28: prostate gland Present Regionally restricted Very strong expression is present in practically all the smooth muscle cells of the blood vessels of the prostate gland. Strong expression is frequently seen in the lamina propria.
TS28: testis Very strong Regionally restricted Expression is present in practically all the smooth muscle cells of the blood vessels of the testis.
TS28: skeletal muscle Present Regionally restricted Very strong expression is present in practically all the smooth muscle cells of the blood vessels of the skeletal muscle. Strong, scattered expression is seen in the nerves of the skeletal muscles.
TS28: nerve Present Regionally restricted There is strong, scattered expression in the nerves of the skeletal muscle, spinal cord, and ear. There is moderate, scattered expression in the nerves of the larynx and trachea.
TS28: cerebellum Very strong Regionally restricted Expression is present in practically all the smooth muscle cells of the blood vessels of the cerebellum.
TS28: telencephalon Very strong Regionally restricted Expression is present in practically all the smooth muscle cells of the blood vessels of the cerebrum.
TS28: brainstem Present Regionally restricted Very strong expression is present in practically all the smooth muscle cells of the blood vessels of the brainstem. Strong expression is frequently seen in the vestibular nucleus.
TS28: cochlear nucleus Strong Expression is frequently seen in the cochlear nucleus.
TS28: spinal cord Present Regionally restricted Very strong expression is present in practically all the smooth muscle cells of the blood vessels of the spinal cord. Strong, scattered expression is seen in the nerves of the spinal cord.
TS28: spinal cord white matter Strong Expression is frequently seen in the white matter.
TS28: larynx Present Regionally restricted Very strong expression is present in practically all the smooth muscle cells of the blood vessels of the larynx. Moderate, scattered expression is present in the nerves of the larynx.
TS28: larynx connective tissue Very strong Expression is frequently seen in the connective tissue.
TS28: trachea blood vessel Very strong Regionally restricted Expression is present in practically all the smooth muscle cells of the blood vessels of the trachea.
TS28: trachea Moderate Regionally restricted There is scattered expression in the nerves of the trachea.
TS28: bladder Very strong Regionally restricted Expression is present in practically all the smooth muscle cells of the blood vessels of the urinary bladder.

Specimen Mouse 190076 - Image 21910294: postnatal day 46; Axltm1Dgen/Axl+ (more )
Structure Level Pattern Image Note
TS28: bone marrow Strong 21910294 There is occasional staining in the bone marrow.

Specimen Mouse 190076 - Image 21910495: postnatal day 46; Axltm1Dgen/Axl+ (more )
Structure Level Pattern Image Note
TS28: spinal cord gray matter Strong 21910495 Expression is frequently seen in the grey matter.

Specimen Mouse 190076 - Image 21910865: postnatal day 46; Axltm1Dgen/Axl+ (more )
Structure Level Pattern Image Note
TS28: neurohypophysis pars nervosa Moderate 21910865 Expression is frequently seen in the pars nervosa.

Specimen Mouse 190076 - Image 21911044: postnatal day 46; Axltm1Dgen/Axl+ (more )
Structure Level Pattern Image Note
TS28: optic nerve Strong 21911044 Expression is frequently seen in the optic nerve.

Specimen Mouse 190076 - Image 21911830: postnatal day 46; Axltm1Dgen/Axl+ (more )
Structure Level Pattern Image Note
TS28: retina ganglion cell layer Strong 21911830 There is occasional staining in the ganglion cell layer.
TS28: pigmented retinal epithelium Strong 21911830 There is occasional staining in the pigment layer.
TS28: sclera Strong 21911830 Expression is frequently seen in the sclera.

Specimen Mouse 190076 - Image 21915024: postnatal day 46; Axltm1Dgen/Axl+ (more )
Structure Level Pattern Image Note
TS28: Harderian gland Strong 21915024 There is scattered expression in the harderian gland.

Specimen Mouse 190076 - Image 21916705: postnatal day 46; Axltm1Dgen/Axl+ (more )
Structure Level Pattern Image Note
TS28: endometrium Moderate 21916705 Expression is frequently seen in the endometrium.

Specimen Mouse 190076 - Image 21917124: postnatal day 46; Axltm1Dgen/Axl+ (more )
Structure Level Pattern Image Note
TS28: ovary Strong Regionally restricted 21917124 Expression is frequently seen in the smooth muscle cells of the ovary.

Specimen Mouse 190076 - Image 21918035: postnatal day 46; Axltm1Dgen/Axl+ (more )
Structure Level Pattern Image Note
TS28: oviduct Strong Regionally restricted 21918035 Expression is frequently seen in the lamina propria.
TS28: muscle layer of oviduct Strong 21918035 Expression is frequently seen in the smooth muscle cells.

Specimen Mouse 190076 - Image 21918245: postnatal day 46; Axltm1Dgen/Axl+ (more )
Structure Level Pattern Image Note
TS28: lamina propria of vagina Moderate 21918245 Expression is frequently seen in the stroma.

Specimen Mouse 190076 - Image 21919388: postnatal day 46; Axltm1Dgen/Axl+ (more )
Structure Level Pattern Image Note
TS28: cervix uteri Moderate Regionally restricted 21919388 Expression is frequently seen in the stroma.

Specimen Mouse 190076 - Image 21919450: postnatal day 46; Axltm1Dgen/Axl+ (more )
Structure Level Pattern Image Note
TS28: bladder mucosa Weak 21919450 Expression is frequently seen in the mucosa.

Specimen Mouse 190076 - Image 21919549: postnatal day 46; Axltm1Dgen/Axl+ (more )
Structure Level Pattern Image Note
TS28: thymus cortex Very strong 21919549 There is scattered expression in the cortex.

Specimen Mouse 190076 - Image 36734315: postnatal day 46; Axltm1Dgen/Axl+ (more )
Structure Level Pattern Image Note
TS28: ovary Very strong Regionally restricted 36734315 Expression is present in practically all the smooth muscle cells of the blood vessels of the ovary.
TS28: blood vessel smooth muscle Very strong Regionally restricted 36734315 Expression is present in practically all the smooth muscle cells of the blood vessels of the ovary.

Specimen Mouse 190076 - Image 36734396: postnatal day 46; Axltm1Dgen/Axl+ (more )
Structure Level Pattern Image Note
TS28: cervix uteri Strong Regionally restricted 36734396 Expression is present in practically all cells of the smooth muscle layer.

Specimen Mouse 190076 - Image 36734423: postnatal day 46; Axltm1Dgen/Axl+ (more )
Structure Level Pattern Image Note
TS28: myometrium Strong Regionally restricted 36734423 Expression is present in practically all the smooth muscle cells of the myometrium.

Specimen Mouse 190076 - Image 36734569: postnatal day 46; Axltm1Dgen/Axl+ (more )
Structure Level Pattern Image Note
TS28: uterus Very strong Regionally restricted 36734569 Expression is present in practically all the smooth muscle cells of the blood vessels of the uterus.
TS28: blood vessel smooth muscle Very strong Regionally restricted 36734569 Expression is present in practically all the smooth muscle cells of the blood vessels of the uterus.

Specimen Mouse 190076 - Image 36735373: postnatal day 46; Axltm1Dgen/Axl+ (more )
Structure Level Pattern Image Note
TS28: lamina propria of bladder Very strong 36735373 Expression is frequently seen in the smooth muscle cells.

Specimen Mouse 190076 - Image 36736109: postnatal day 46; Axltm1Dgen/Axl+ (more )
Structure Level Pattern Image Note
TS28: thymus medullary core Strong 36736109 There is occasional staining in the medulla.

Specimen Mouse 190076 - Image 36736252: postnatal day 46; Axltm1Dgen/Axl+ (more )
Structure Level Pattern Image Note
TS28: extrinsic ocular muscle Strong 36736252 There is scattered expression in the extraocular muscles.

Specimen Mouse 190076 - Image 36736255: postnatal day 46; Axltm1Dgen/Axl+ (more )
Structure Level Pattern Image Note
TS28: retina inner nuclear layer Moderate 36736255 There is occasional staining in the inner nuclear layer.
TS28: uvea Weak 36736255 There is scattered expression in the uvea.

Specimen Mouse 190076 - Image 36738167: postnatal day 46; Axltm1Dgen/Axl+ (more )
Structure Level Pattern Image Note
TS28: brain Very strong 36738167 Expression is present in practically all cells of the brain.

Specimen Mouse 190076 - Image 36738176: postnatal day 46; Axltm1Dgen/Axl+ (more )
Structure Level Pattern Image Note
TS28: cerebral cortex Very strong 36738176 Expression is present in practically all cells of the cortex.

Specimen Mouse 190076 - Image 36740878: postnatal day 46; Axltm1Dgen/Axl+ (more )
Structure Level Pattern Image Note
TS28: brain Very strong Regionally restricted 36740878 Expression is present in practically all cells of the blood vessels of the brain.
TS28: blood vessel Very strong Regionally restricted 36740878 Expression is present in practically all cells of the blood vessels of the brain.

Specimen Mouse 190076 - Image 36741313: postnatal day 46; Axltm1Dgen/Axl+ (more )
Structure Level Pattern Image Note
TS28: brain Very strong 36741313 Expression is present in practically all cells of the brain.

Specimen Mouse 190076 - Image 36741403: postnatal day 46; Axltm1Dgen/Axl+ (more )
Structure Level Pattern Image Note
TS28: telencephalon Very strong 36741403 Expression is present in practically all cells of the cerebrum.

Specimen Mouse 190076 - Image 36741585: postnatal day 46; Axltm1Dgen/Axl+ (more )
Structure Level Pattern Image Note
TS28: cerebellum Very strong 36741585 Expression is present in practically all cells of the cerebellum.

Specimen Mouse 190076 - Image 36741586: postnatal day 46; Axltm1Dgen/Axl+ (more )
Structure Level Pattern Image Note
TS28: cerebellum Very strong 36741586 Expression is present in practically all cells of the cerebellum.

Specimen Mouse 190076 - Image 36741587: postnatal day 46; Axltm1Dgen/Axl+ (more )
Structure Level Pattern Image Note
TS28: brainstem Very strong 36741587 Expression is present in practically all cells of the brainstem.

Specimen Mouse 190076 - Image 36741588: postnatal day 46; Axltm1Dgen/Axl+ (more )
Structure Level Pattern Image Note
TS28: brainstem Very strong 36741588 Expression is present in practically all cells of the brainstem.

Specimen Mouse 190076: postnatal day 46; Axltm1Dgen/Axl+ (more )
Structure Level Pattern Image Note
TS28: cervix uteri Very strong Regionally restricted Expression is present in practically all the smooth muscle cells of the blood vessels of the cervix.
TS28: blood vessel smooth muscle Very strong Regionally restricted Expression is present in practically all the smooth muscle cells of the blood vessels of the cervix, vagina, thymus, harderian gland, eye, and urinary bladder.
TS28: vagina Very strong Regionally restricted Expression is present in practically all the smooth muscle cells of the blood vessels of the vagina.
TS28: muscle of vagina Strong Expression is present in practically all the smooth muscle cells.
TS28: thymus Very strong Regionally restricted Expression is present in practically all the smooth muscle cells of the blood vessels of the thymus.
TS28: Harderian gland Very strong Regionally restricted Expression is present in practically all the smooth muscle cells of the blood vessels of the harderian gland.
TS28: spinal cord Very strong Regionally restricted Expression is present in practically all cells of the blood vessels of the spinal cord.
TS28: blood vessel Very strong Regionally restricted Expression is present in practically all cells of the blood vessels of the spinal cord.
TS28: spinal cord white matter Strong There is scattered expression in the white matter.
TS28: eye Very strong Regionally restricted Expression is present in practically all the smooth muscle cells of the blood vessels of the eye.
TS28: bladder Very strong Regionally restricted Expression is present in practically all the smooth muscle cells of the blood vessels of the urinary bladder.


Contributing Projects:
Mouse Genome Database (MGD), Gene Expression Database (GXD), Mouse Models of Human Cancer database (MMHCdb) (formerly Mouse Tumor Biology (MTB)), Gene Ontology (GO)
Citing These Resources
Funding Information
Warranty Disclaimer, Privacy Notice, Licensing, & Copyright
Send questions and comments to User Support.
last database update
03/24/2026
MGI 6.24
The Jackson Laboratory