About   Help   FAQ
Gene Expression Data
Assay Details
Assay
Reference: J:101679 Deltagen Inc, NIH initiative supporting placement of Deltagen, Inc. mice into public repositories. MGI Direct Data Submission. 2005;
Assay type: In situ reporter (knock in)
MGI Accession ID: MGI:3639224
Gene symbol: Acvrl1
Gene name: activin A receptor, type II-like 1
Reporter: lacZ
Direct Detection
Results
Specimen Mouse 218384 - Image 91571165: postnatal day 53; Acvrl1tm1Dgen/Acvrl1+ (more )
Structure Level Pattern Image Note
TS28: lymph node Very strong Regionally restricted 91571165 Expression is present in practically all cells of the blood vessels of the lymph nodes.
TS28: blood vessel Very strong Regionally restricted 91571165 Expression is present in practically all cells of the blood vessels of the lymph nodes.

Specimen Mouse 218384 - Image 91573080: postnatal day 53; Acvrl1tm1Dgen/Acvrl1+ (more )
Structure Level Pattern Image Note
TS28: salivary gland Very strong 91573080 There is scattered expression in the salivary gland. In addition, expression is present in practically all cells of the blood vessels of the salivary gland.
TS28: blood vessel Very strong Regionally restricted 91573080 Expression is present in practically all cells of the blood vessels in the salivary gland.

Specimen Mouse 218384 - Image 91574552: postnatal day 53; Acvrl1tm1Dgen/Acvrl1+ (more )
Structure Level Pattern Image Note
TS28: lymph node Very strong Regionally restricted 91574552 There is scattered expression in the perinodal fat.
TS28: adipose tissue Very strong Regionally restricted 91574552 There is scattered expression in the perinodal fat.

Specimen Mouse 218384 - Image 91575289: postnatal day 53; Acvrl1tm1Dgen/Acvrl1+ (more )
Structure Level Pattern Image Note
TS28: salivary gland Very strong Regionally restricted 91575289 There is scattered expression in the adipose tissue of the salivary gland.
TS28: adipose tissue Very strong Regionally restricted 91575289 There is scattered expression in the adipose tissue of the salivary gland.

Specimen Mouse 218384 - Image 91576021: postnatal day 53; Acvrl1tm1Dgen/Acvrl1+ (more )
Structure Level Pattern Image Note
TS28: adrenal gland Very strong Regionally restricted 91576021 There is scattered expression in the pericapsular fat.
TS28: adipose tissue Very strong Regionally restricted 91576021 There is scattered expression in the pericapsular fat.

Specimen Mouse 218384 - Image 91576312: postnatal day 53; Acvrl1tm1Dgen/Acvrl1+ (more )
Structure Level Pattern Image Note
TS28: adrenal gland Very strong Regionally restricted 91576312 Expression is present in practically all cells of the blood vessels of the adrenal gland.
TS28: blood vessel Very strong Regionally restricted 91576312 Expression is present in practically all cells of the blood vessels of the adrenal gland.
TS28: adrenal cortex Moderate 91576312 There is scattered expression in the cortex.

Specimen Mouse 218384 - Image 91579843: postnatal day 53; Acvrl1tm1Dgen/Acvrl1+ (more )
Structure Level Pattern Image Note
TS28: testis Strong Regionally restricted 91579843 Expression is frequently seen in the tunica albuginea.

Specimen Mouse 218384 - Image 92005024: postnatal day 53; Acvrl1tm1Dgen/Acvrl1+ (more )
Structure Level Pattern Image Note
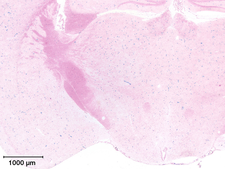
TS28: caudate-putamen Very strong 92005024 There is scattered expression in the caudate-putamen.

Specimen Mouse 218384 - Image 92221623: postnatal day 53; Acvrl1tm1Dgen/Acvrl1+ (more )
Structure Level Pattern Image Note
TS28: brainstem Very strong 92221623 There is scattered expression in the brainstem. In addition, expression is frequently seen in the blood vessels of the brainstem.
TS28: blood vessel Very strong Regionally restricted 92221623 Expression is frequently seen in the blood vessels of the brainstem.

Specimen Mouse 218384 - Image 92224427: postnatal day 53; Acvrl1tm1Dgen/Acvrl1+ (more )
Structure Level Pattern Image Note
TS28: cerebellum Very strong Regionally restricted 92224427 Expression is frequently seen in the blood vessels of the cerebellum.
TS28: blood vessel Very strong Regionally restricted 92224427 Expression is frequently seen in the blood vessels of the cerebellum.

Specimen Mouse 218384 - Image 92224716: postnatal day 53; Acvrl1tm1Dgen/Acvrl1+ (more )
Structure Level Pattern Image Note
TS28: spinal cord Very strong Regionally restricted 92224716 Expression is frequently seen in the blood vessels of the spinal cord.
TS28: blood vessel Very strong Regionally restricted 92224716 Expression is frequently seen in the blood vessels of the spinal cord.

Specimen Mouse 218384 - Image 92224848: postnatal day 53; Acvrl1tm1Dgen/Acvrl1+ (more )
Structure Level Pattern Image Note
TS28: spinal cord gray matter Very strong 92224848 There is scattered expression in the grey matter.

Specimen Mouse 218384 - Image 92226264: postnatal day 53; Acvrl1tm1Dgen/Acvrl1+ (more )
Structure Level Pattern Image Note
TS28: spinal cord white matter Very strong 92226264 There is scattered expression in the white matter.

Specimen Mouse 218384 - Image 92227437: postnatal day 53; Acvrl1tm1Dgen/Acvrl1+ (more )
Structure Level Pattern Image Note
TS28: spleen Very strong Regionally restricted 92227437 Expression is present in practically all cells of the blood vessels of the spleen.
TS28: blood vessel Very strong Regionally restricted 92227437 Expression is present in practically all cells of the blood vessels of the spleen.
TS28: spleen capsule Very strong 92227437 Expression is frequently seen in the capsule.
TS28: spleen red pulp Strong 92227437 There is scattered expression in the red pulp.
TS28: spleen white pulp Very strong 92227437 There is scattered expression in the white pulp.

Specimen Mouse 218384 - Image 92228579: postnatal day 53; Acvrl1tm1Dgen/Acvrl1+ (more )
Structure Level Pattern Image Note
TS28: pancreas Very strong 92228579 There is scattered expression in the pancreas.

Specimen Mouse 218384 - Image 92229077: postnatal day 53; Acvrl1tm1Dgen/Acvrl1+ (more )
Structure Level Pattern Image Note
TS28: islets of Langerhans Very strong 92229077 There is scattered expression in the islets of Langerhans.

Specimen Mouse 218384 - Image 92234427: postnatal day 53; Acvrl1tm1Dgen/Acvrl1+ (more )
Structure Level Pattern Image Note
TS28: liver Moderate 92234427 There is scattered expression in the liver.

Specimen Mouse 218384 - Image 92235198: postnatal day 53; Acvrl1tm1Dgen/Acvrl1+ (more )
Structure Level Pattern Image Note
TS28: liver Very strong Regionally restricted 92235198 Expression is frequently seen in the blood vessels of the liver.
TS28: blood vessel Very strong Regionally restricted 92235198 Expression is frequently seen in the blood vessels of the liver.

Specimen Mouse 218384 - Image 92236705: postnatal day 53; Acvrl1tm1Dgen/Acvrl1+ (more )
Structure Level Pattern Image Note
TS28: heart ventricle Very strong 92236705 Expression is frequently seen in the ventricles.

Specimen Mouse 218384 - Image 92237110: postnatal day 53; Acvrl1tm1Dgen/Acvrl1+ (more )
Structure Level Pattern Image Note
TS28: heart Very strong Regionally restricted 92237110 Expression is frequently seen in the blood vessels of the heart.
TS28: blood vessel Very strong Regionally restricted 92237110 Expression is frequently seen in the blood vessels of the heart.

Specimen Mouse 218384 - Image 92237877: postnatal day 53; Acvrl1tm1Dgen/Acvrl1+ (more )
Structure Level Pattern Image Note
TS28: gallbladder Very strong 92237877 There is scattered expression in the gall bladder.

Specimen Mouse 218384 - Image 92238823: postnatal day 53; Acvrl1tm1Dgen/Acvrl1+ (more )
Structure Level Pattern Image Note
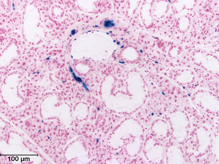
TS28: metanephros Very strong Regionally restricted 92238823 Expression is frequently seen in the blood vessels of the kidney.
TS28: blood vessel Very strong Regionally restricted 92238823 Expression is frequently seen in the blood vessels of the kidney.
TS28: glomerular tuft Very strong 92238823 Expression is frequently seen in the glomeruli.

Specimen Mouse 218384 - Image 92240968: postnatal day 53; Acvrl1tm1Dgen/Acvrl1+ (more )
Structure Level Pattern Image Note
TS28: renal medulla Very strong 92240968 There is scattered expression in the medulla.

Specimen Mouse 218384 - Image 92242674: postnatal day 53; Acvrl1tm1Dgen/Acvrl1+ (more )
Structure Level Pattern Image Note
TS28: renal papilla Strong 92242674 There is scattered expression in the papilla.

Specimen Mouse 218384 - Image 92243698: postnatal day 53; Acvrl1tm1Dgen/Acvrl1+ (more )
Structure Level Pattern Image Note
TS28: renal capsule Strong 92243698 There is scattered expression in the capsule.

Specimen Mouse 218384 - Image 92244404: postnatal day 53; Acvrl1tm1Dgen/Acvrl1+ (more )
Structure Level Pattern Image Note
TS28: pharynx Very strong 92244404 There is scattered expression in the pharynx.

Specimen Mouse 218384 - Image 92245383: postnatal day 53; Acvrl1tm1Dgen/Acvrl1+ (more )
Structure Level Pattern Image Note
TS28: esophagus Very strong 92245383 There is scattered expression in the esophagus.

Specimen Mouse 218384 - Image 92246054: postnatal day 53; Acvrl1tm1Dgen/Acvrl1+ (more )
Structure Level Pattern Image Note
TS28: trachea lamina propria Strong 92246054 There is scattered expression in the lamina propria.

Specimen Mouse 218384 - Image 92246776: postnatal day 53; Acvrl1tm1Dgen/Acvrl1+ (more )
Structure Level Pattern Image Note
TS28: thyroid gland Very strong 92246776 Expression is frequently seen in the thyroid gland.

Specimen Mouse 218384 - Image 92247860: postnatal day 53; Acvrl1tm1Dgen/Acvrl1+ (more )
Structure Level Pattern Image Note
TS28: larynx Very strong 92247860 There is scattered expression in the larynx.

Specimen Mouse 218384 - Image 92256423: postnatal day 53; Acvrl1tm1Dgen/Acvrl1+ (more )
Structure Level Pattern Image Note
TS28: ear Very strong 92256423 There is scattered expression in the ear.

Specimen Mouse 218384 - Image 92331875: postnatal day 53; Acvrl1tm1Dgen/Acvrl1+ (more )
Structure Level Pattern Image Note
TS28: skeletal muscle Strong 92331875 There is scattered expression in the skeletal muscle.

Specimen Mouse 218384 - Image 92332706: postnatal day 53; Acvrl1tm1Dgen/Acvrl1+ (more )
Structure Level Pattern Image Note
TS28: sciatic nerve Moderate 92332706 There is occasional staining in the sciatic nerve.

Specimen Mouse 218384 - Image 93125713: postnatal day 53; Acvrl1tm1Dgen/Acvrl1+ (more )
Structure Level Pattern Image Note
TS28: prostate gland Strong 93125713 There is scattered expression in the prostate gland.

Specimen Mouse 218384 - Image 93129672: postnatal day 53; Acvrl1tm1Dgen/Acvrl1+ (more )
Structure Level Pattern Image Note
TS28: lamina propria of bladder Strong 93129672 There is scattered expression in the lamina propria.

Specimen Mouse 218384 - Image 93129790: postnatal day 53; Acvrl1tm1Dgen/Acvrl1+ (more )
Structure Level Pattern Image Note
TS28: lamina propria of bladder Strong 93129790 There is scattered expression in the muscularis.

Specimen Mouse 218384 - Image 93130210: postnatal day 53; Acvrl1tm1Dgen/Acvrl1+ (more )
Structure Level Pattern Image Note
TS28: thymus Strong 93130210 There is scattered expression in the thymus.

Specimen Mouse 218384 - Image 99182209: postnatal day 53; Acvrl1tm1Dgen/Acvrl1+ (more )
Structure Level Pattern Image Note
TS28: lymph node Very strong 99182209 There is scattered expression in the lymph nodes.

Specimen Mouse 218384 - Image 99183790: postnatal day 53; Acvrl1tm1Dgen/Acvrl1+ (more )
Structure Level Pattern Image Note
TS28: aorta Strong 99183790 Expression is frequently seen in the aorta. In addition, there is scattered expression in the periaortic adipose tissue.
TS28: adipose tissue Strong Regionally restricted 99183790 There is scattered expression in the periaortic adipose tissue.

Specimen Mouse 218384 - Image 99183791: postnatal day 53; Acvrl1tm1Dgen/Acvrl1+ (more )
Structure Level Pattern Image Note
TS28: pancreas Very strong Regionally restricted 99183791 Expression is frequently seen in the blood vessels of the pancreas.
TS28: blood vessel Very strong Regionally restricted 99183791 Expression is frequently seen in the blood vessels of the pancreas.

Specimen Mouse 218384 - Image 99183792: postnatal day 53; Acvrl1tm1Dgen/Acvrl1+ (more )
Structure Level Pattern Image Note
TS28: spleen trabeculum Weak 99183792 Expression is frequently seen in the trabeculae.

Specimen Mouse 218384 - Image 99183796: postnatal day 53; Acvrl1tm1Dgen/Acvrl1+ (more )
Structure Level Pattern Image Note
TS28: heart atrium Very strong 99183796 There is scattered expression in the atrium.

Specimen Mouse 218384 - Image 99184020: postnatal day 53; Acvrl1tm1Dgen/Acvrl1+ (more )
Structure Level Pattern Image Note
TS28: heart valve Very strong 99184020 There is scattered expression in the valves.

Specimen Mouse 218384 - Image 99184021: postnatal day 53; Acvrl1tm1Dgen/Acvrl1+ (more )
Structure Level Pattern Image Note
TS28: lung Very strong 99184021 Expression is frequently seen in the lung.

Specimen Mouse 218384 - Image 99184022: postnatal day 53; Acvrl1tm1Dgen/Acvrl1+ (more )
Structure Level Pattern Image Note
TS28: lung alveolus Very strong 99184022 Expression is present in practically all cells of the alveoli.

Specimen Mouse 218384 - Image 99184026: postnatal day 53; Acvrl1tm1Dgen/Acvrl1+ (more )
Structure Level Pattern Image Note
TS28: metanephros Very strong 99184026 There is scattered expression in the kidney.

Specimen Mouse 218384 - Image 99184027: postnatal day 53; Acvrl1tm1Dgen/Acvrl1+ (more )
Structure Level Pattern Image Note
TS28: dermis Strong 99184027 There is scattered expression in the dermis.

Specimen Mouse 218384 - Image 99184028: postnatal day 53; Acvrl1tm1Dgen/Acvrl1+ (more )
Structure Cell Type Level Pattern Image Note
TS28: interstitium of the testis Strong 99184028 There is scattered expression in the interstitial cells.
TS28: germ cell of testis Weak 99184028 There is scattered expression in the spermatogenic cells.
TS28: peritubular myoid cell peritubular myoid cell Trace Regionally restricted 99184028 There is scattered expression in the peritubular cells.

Specimen Mouse 218384 - Image 99184678: postnatal day 53; Acvrl1tm1Dgen/Acvrl1+ (more )
Structure Level Pattern Image Note
TS28: spinal cord Very strong 99184678 There is scattered expression in the spinal cord.

Specimen Mouse 218384 - Image 99184679: postnatal day 53; Acvrl1tm1Dgen/Acvrl1+ (more )
Structure Level Pattern Image Note
TS28: cerebellum Very strong 99184679 There is scattered expression in the cerebellum.

Specimen Mouse 218384 - Image 99184681: postnatal day 53; Acvrl1tm1Dgen/Acvrl1+ (more )
Structure Level Pattern Image Note
TS28: cerebellum Very strong 99184681 There is scattered expression in the cerebellum.

Specimen Mouse 218384 - Image 99184682: postnatal day 53; Acvrl1tm1Dgen/Acvrl1+ (more )
Structure Level Pattern Image Note
TS28: 4th ventricle choroid plexus Very strong 99184682 There is scattered expression in the choroid plexus.

Specimen Mouse 218384 - Image 99184683: postnatal day 53; Acvrl1tm1Dgen/Acvrl1+ (more )
Structure Level Pattern Image Note
TS28: brainstem Very strong 99184683 There is scattered expression in the brainstem.

Specimen Mouse 218384 - Image 99184688: postnatal day 53; Acvrl1tm1Dgen/Acvrl1+ (more )
Structure Level Pattern Image Note
TS28: telencephalon Very strong 99184688 There is scattered expression in the cerebrum.

Specimen Mouse 218384 - Image 99184704: postnatal day 53; Acvrl1tm1Dgen/Acvrl1+ (more )
Structure Level Pattern Image Note
TS28: telencephalon Very strong 99184704 There is scattered expression in the cerebrum.

Specimen Mouse 218384 - Image 99184714: postnatal day 53; Acvrl1tm1Dgen/Acvrl1+ (more )
Structure Level Pattern Image Note
TS28: telencephalon Very strong 99184714 There is scattered expression in the cerebrum.

Specimen Mouse 218384 - Image 99184723: postnatal day 53; Acvrl1tm1Dgen/Acvrl1+ (more )
Structure Level Pattern Image Note
TS28: telencephalon Very strong Regionally restricted 99184723 There is scattered expression in the choroid plexus of the cerebrum.
TS28: choroid plexus Very strong Regionally restricted 99184723 There is scattered expression in the choroid plexus of the cerebrum.

Specimen Mouse 218384 - Image 99184726: postnatal day 53; Acvrl1tm1Dgen/Acvrl1+ (more )
Structure Level Pattern Image Note
TS28: thalamus Very strong 99184726 There is scattered expression in the thalamus.

Specimen Mouse 218384 - Image 99184730: postnatal day 53; Acvrl1tm1Dgen/Acvrl1+ (more )
Structure Level Pattern Image Note
TS28: cerebral cortex Very strong 99184730 There is scattered expression in the cortex.

Specimen Mouse 218384 - Image 99184734: postnatal day 53; Acvrl1tm1Dgen/Acvrl1+ (more )
Structure Level Pattern Image Note
TS28: hippocampus Very strong 99184734 There is occasional staining in the hippocampus.

Specimen Mouse 218384: postnatal day 53; Acvrl1tm1Dgen/Acvrl1+ (more )
Structure Level Pattern Image Note
TS28: gallbladder Very strong Regionally restricted Expression is frequently seen in the blood vessels of the gallbladder.
TS28: blood vessel Present Regionally restricted Very strong expression is frequently seen in the blood vessels of the gallbladder, ear, skin, cerebrum, and lung. Strong expression is frequently seen in the blood vessels of the thymus, testis, skeletal muscle, and urinary bladder.
TS28: bone marrow Absent
TS28: thymus Strong Regionally restricted Expression is frequently seen in the blood vessels of the thymus. In addition, there is scattered expression in the adipose tissue of the thymus.
TS28: adipose tissue Strong Regionally restricted There is scattered expression in the adipose tissue of the thymus.
TS28: ear Very strong Regionally restricted Expression is frequently seen in the blood vessels of the ear.
TS28: skin Very strong Regionally restricted Expression is present in practically all cells of the blood vessels of the skin.
TS28: testis Strong Regionally restricted Expression is frequently seen in the blood vessels of the testis.
TS28: skeletal muscle Strong Regionally restricted Expression is frequently seen in the blood vessels of the skeletal muscle.
TS28: telencephalon Very strong Regionally restricted Expression is frequently seen in the blood vessels of the cerebrum.
TS28: lung Very strong Regionally restricted Expression is present in practically all cells of the blood vessels of the lung.
TS28: bladder Strong Regionally restricted Expression is frequently seen in the blood vessels of the urinary bladder.

Specimen Mouse 218393 - Image 93133414: postnatal day 53; Acvrl1tm1Dgen/Acvrl1+ (more )
Structure Level Pattern Image Note
TS28: spinal cord Strong 93133414 There is scattered expression in the spinal cord.

Specimen Mouse 218393 - Image 93150887: postnatal day 53; Acvrl1tm1Dgen/Acvrl1+ (more )
Structure Level Pattern Image Note
TS28: endometrium stroma Strong 93150887 There is scattered expression in the endometrial stroma.

Specimen Mouse 218393 - Image 93154863: postnatal day 53; Acvrl1tm1Dgen/Acvrl1+ (more )
Structure Level Pattern Image Note
TS28: myometrium Strong 93154863 There is scattered expression in the myometrium.

Specimen Mouse 218393 - Image 93166615: postnatal day 53; Acvrl1tm1Dgen/Acvrl1+ (more )
Structure Level Pattern Image Note
TS28: lamina propria of bladder Strong 93166615 There is scattered expression in the lamina propria, including the muscularis.

Specimen Mouse 218393 - Image 93166923: postnatal day 53; Acvrl1tm1Dgen/Acvrl1+ (more )
Structure Level Pattern Image Note
TS28: thymus Strong 93166923 There is scattered expression in the thymus.

Specimen Mouse 218393 - Image 93170717: postnatal day 53; Acvrl1tm1Dgen/Acvrl1+ (more )
Structure Level Pattern Image Note
TS28: bone marrow Strong 93170717 There is scattered expression in the bone marrow.

Specimen Mouse 218393 - Image 99183311: postnatal day 53; Acvrl1tm1Dgen/Acvrl1+ (more )
Structure Level Pattern Image Note
TS28: adenohypophysis pars anterior Weak 99183311 There is scattered expression in the pars distalis.

Specimen Mouse 218393 - Image 99183318: postnatal day 53; Acvrl1tm1Dgen/Acvrl1+ (more )
Structure Level Pattern Image Note
TS28: adenohypophysis pars intermedia Strong 99183318 There is occasional staining in the pars intermedia.
TS28: neurohypophysis pars nervosa Strong 99183318 There is scattered expression in the pars nervosa.

Specimen Mouse 218393 - Image 99183328: postnatal day 53; Acvrl1tm1Dgen/Acvrl1+ (more )
Structure Level Pattern Image Note
TS28: spinal cord Strong 99183328 There is scattered expression in the spinal cord.

Specimen Mouse 218393 - Image 99184667: postnatal day 53; Acvrl1tm1Dgen/Acvrl1+ (more )
Structure Level Pattern Image Note
TS28: ovary Strong 99184667 There is scattered expression in the ovary.

Specimen Mouse 218393 - Image 99184668: postnatal day 53; Acvrl1tm1Dgen/Acvrl1+ (more )
Structure Level Pattern Image Note
TS28: ciliary body Strong 99184668 There is scattered expression in the ciliary body.
TS28: extrinsic ocular muscle Strong 99184668 There is scattered expression in the extraocular muscles.

Specimen Mouse 218393 - Image 99184669: postnatal day 53; Acvrl1tm1Dgen/Acvrl1+ (more )
Structure Level Pattern Image Note
TS28: iris Strong 99184669 There is scattered expression in the iris.

Specimen Mouse 218393 - Image 99184670: postnatal day 53; Acvrl1tm1Dgen/Acvrl1+ (more )
Structure Level Pattern Image Note
TS28: pigmented retinal epithelium Very strong 99184670 There is scattered expression in the pigment layer.
TS28: retina Very strong 99184670 There is scattered expression in the retina.

Specimen Mouse 218393 - Image 99184671: postnatal day 53; Acvrl1tm1Dgen/Acvrl1+ (more )
Structure Level Pattern Image Note
TS28: brain Strong 99184671 Expression is frequently seen in the brain.
TS28: telencephalon Strong 99184671 Expression is frequently seen in the cerebrum.

Specimen Mouse 218393 - Image 99184674: postnatal day 53; Acvrl1tm1Dgen/Acvrl1+ (more )
Structure Level Pattern Image Note
TS28: cerebellum Strong 99184674 Expression is frequently seen in the cerebellum.

Specimen Mouse 218393 - Image 99184675: postnatal day 53; Acvrl1tm1Dgen/Acvrl1+ (more )
Structure Level Pattern Image Note
TS28: brainstem Strong 99184675 Expression is frequently seen in the brainstem.

Specimen Mouse 218393: postnatal day 53; Acvrl1tm1Dgen/Acvrl1+ (more )
Structure Level Pattern Image Note
TS28: ovary Very strong Regionally restricted Expression is frequently seen in the blood vessels of the ovary.
TS28: blood vessel Present Regionally restricted Very strong expression is frequently seen in the blood vessels of the ovary and spinal cord; strong expression is frequently seen in the blood vessels of the urinary bladder.
TS28: spinal cord Very strong Regionally restricted Expression is frequently seen in the blood vessels of the spinal cord.
TS28: bladder Strong Regionally restricted Expression is frequently seen in the blood vessels of the urinary bladder.


Contributing Projects:
Mouse Genome Database (MGD), Gene Expression Database (GXD), Mouse Models of Human Cancer database (MMHCdb) (formerly Mouse Tumor Biology (MTB)), Gene Ontology (GO)
Citing These Resources
Funding Information
Warranty Disclaimer, Privacy Notice, Licensing, & Copyright
Send questions and comments to User Support.
last database update
01/20/2026
MGI 6.24
The Jackson Laboratory