About   Help   FAQ
Gene Expression Data
Assay Details
Assay
Reference: J:101679 Deltagen Inc, NIH initiative supporting placement of Deltagen, Inc. mice into public repositories. MGI Direct Data Submission. 2005;
Assay type: In situ reporter (knock in)
MGI Accession ID: MGI:3639222
Gene symbol: Slc6a9
Gene name: solute carrier family 6 (neurotransmitter transporter, glycine), member 9
Reporter: lacZ
Direct Detection
Results
Specimen Mouse 237759 - Image 99185717: postnatal day 55; Slc6a9tm1Dgen/Slc6a9+ (more )
Structure Level Pattern Image Note
TS28: brain ventricle Strong Regionally restricted 99185717 Expression is frequently seen in a ventricle in the cerebrum.

Specimen Mouse 237759 - Image 99185722: postnatal day 55; Slc6a9tm1Dgen/Slc6a9+ (more )
Structure Level Pattern Image Note
TS28: amygdala Strong 99185722 There is scattered expression in the amygdala.

Specimen Mouse 237759 - Image 99185723: postnatal day 55; Slc6a9tm1Dgen/Slc6a9+ (more )
Structure Level Pattern Image Note
TS28: anterior commissure Moderate 99185723 There is scattered expression in the anterior commissure.

Specimen Mouse 237759 - Image 99185724: postnatal day 55; Slc6a9tm1Dgen/Slc6a9+ (more )
Structure Level Pattern Image Note
TS28: caudate-putamen Moderate 99185724 There is scattered expression in the caudate-putamen.

Specimen Mouse 237759 - Image 99185725: postnatal day 55; Slc6a9tm1Dgen/Slc6a9+ (more )
Structure Level Pattern Image Note
TS28: corpus callosum Moderate 99185725 Expression is frequently seen in the corpus callosum.

Specimen Mouse 237759 - Image 99185726: postnatal day 55; Slc6a9tm1Dgen/Slc6a9+ (more )
Structure Level Pattern Image Note
TS28: cerebral cortex Weak 99185726 There is scattered expression in the cortex.

Specimen Mouse 237759 - Image 99185727: postnatal day 55; Slc6a9tm1Dgen/Slc6a9+ (more )
Structure Level Pattern Image Note
TS28: thalamus Strong 99185727 There is scattered expression in the thalamus.

Specimen Mouse 237759 - Image 99185728: postnatal day 55; Slc6a9tm1Dgen/Slc6a9+ (more )
Structure Level Pattern Image Note
TS28: hypothalamus Weak 99185728 Expression is frequently seen in the hypothalamus.

Specimen Mouse 237759 - Image 99185731: postnatal day 55; Slc6a9tm1Dgen/Slc6a9+ (more )
Structure Level Pattern Image Note
TS28: telencephalon Moderate 99185731 Expression is frequently seen in the cerebrum.

Specimen Mouse 237759 - Image 99185732: postnatal day 55; Slc6a9tm1Dgen/Slc6a9+ (more )
Structure Level Pattern Image Note
TS28: telencephalon Moderate 99185732 Expression is frequently seen in the cerebrum.

Specimen Mouse 237759 - Image 99185735: postnatal day 55; Slc6a9tm1Dgen/Slc6a9+ (more )
Structure Level Pattern Image Note
TS28: cerebellum granule cell layer Very strong 99185735 There is scattered expression in the granule layer.
TS28: cerebellum molecular layer Weak 99185735 There is scattered expression in the molecular layer.
TS28: cerebellum Purkinje cell layer Strong 99185735 Expression is present in practically all cells of the Purkinje layer.
TS28: cerebellum white matter Very strong 99185735 Expression is frequently seen in the white matter.

Specimen Mouse 237759 - Image 99185737: postnatal day 55; Slc6a9tm1Dgen/Slc6a9+ (more )
Structure Level Pattern Image Note
TS28: brainstem Very strong 99185737 Expression is frequently seen in the brainstem.

Specimen Mouse 237759 - Image 99185738: postnatal day 55; Slc6a9tm1Dgen/Slc6a9+ (more )
Structure Level Pattern Image Note
TS28: adenohypophysis pars intermedia Weak 99185738 There is scattered expression in the pars intermedia.
TS28: neurohypophysis pars nervosa Strong 99185738 Expression is frequently seen in the pars nervosa.

Specimen Mouse 237759 - Image 99185739: postnatal day 55; Slc6a9tm1Dgen/Slc6a9+ (more )
Structure Level Pattern Image Note
TS28: spinal cord Very strong 99185739 Expression is frequently seen in the spinal cord.

Specimen Mouse 237759 - Image 99185741: postnatal day 55; Slc6a9tm1Dgen/Slc6a9+ (more )
Structure Level Pattern Image Note
TS28: aorta Trace 99185741 Expression is frequently seen in the aorta.

Specimen Mouse 237759 - Image 99185742: postnatal day 55; Slc6a9tm1Dgen/Slc6a9+ (more )
Structure Level Pattern Image Note
TS28: pancreatic acinus Strong 99185742 Expression is frequently seen in the acini.
TS28: pancreas Moderate Regionally restricted 99185742 Expression is frequently seen in the blood vessels of the pancreas.
TS28: blood vessel Moderate Regionally restricted 99185742 Expression is frequently seen in the blood vessels of the pancreas.

Specimen Mouse 237759 - Image 99185743: postnatal day 55; Slc6a9tm1Dgen/Slc6a9+ (more )
Structure Level Pattern Image Note
TS28: heart atrium Strong Regionally restricted 99185743 There is scattered expression in the endothelial cells of the heart atrium.
TS28: endocardial tissue Strong Regionally restricted 99185743 There is scattered expression in the endothelial cells of the heart atrium.

Specimen Mouse 237759 - Image 99185744: postnatal day 55; Slc6a9tm1Dgen/Slc6a9+ (more )
Structure Level Pattern Image Note
TS28: lung Weak Regionally restricted 99185744 Expression is frequently seen in the blood vessels of the lung.
TS28: blood vessel Weak Regionally restricted 99185744 Expression is frequently seen in the blood vessels of the lung.
TS28: bronchiole Weak 99185744 There is scattered expression in the bronchioles.

Specimen Mouse 237759 - Image 99185746: postnatal day 55; Slc6a9tm1Dgen/Slc6a9+ (more )
Structure Level Pattern Image Note
TS28: renal cortex Weak 99185746 Expression is frequently seen in the cortex.

Specimen Mouse 237759 - Image 99185747: postnatal day 55; Slc6a9tm1Dgen/Slc6a9+ (more )
Structure Level Pattern Image Note
TS28: renal medulla Weak 99185747 Expression is frequently seen in the medulla.

Specimen Mouse 237759 - Image 99185748: postnatal day 55; Slc6a9tm1Dgen/Slc6a9+ (more )
Structure Level Pattern Image Note
TS28: thyroid gland Strong Regionally restricted 99185748 Expression is frequently seen in the blood vessels of the thyroid gland.
TS28: blood vessel Strong Regionally restricted 99185748 Expression is frequently seen in the blood vessels of the thyroid gland.

Specimen Mouse 237759 - Image 99185749: postnatal day 55; Slc6a9tm1Dgen/Slc6a9+ (more )
Structure Level Pattern Image Note
TS28: epidermis Strong 99185749 There is scattered expression in the epidermis.

Specimen Mouse 237759 - Image 99185750: postnatal day 55; Slc6a9tm1Dgen/Slc6a9+ (more )
Structure Level Pattern Image Note
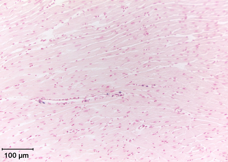
TS28: skeletal muscle Strong 99185750 There is occasional staining in the skeletal muscle.

Specimen Mouse 237759 - Image 99185796: postnatal day 55; Slc6a9tm1Dgen/Slc6a9+ (more )
Structure Level Pattern Image Note
TS28: seminiferous tubule Trace 99185796 There is occasional staining in the seminiferous tubules.

Specimen Mouse 237759 - Image 99185797: postnatal day 55; Slc6a9tm1Dgen/Slc6a9+ (more )
Structure Level Pattern Image Note
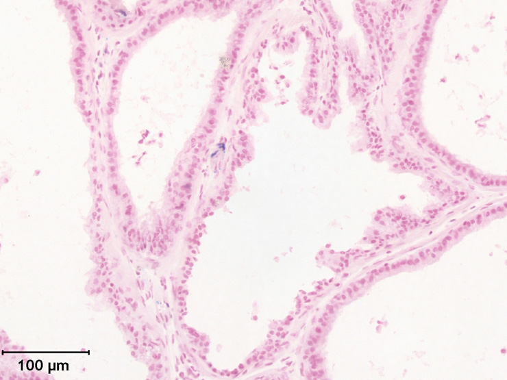
TS28: prostate gland Moderate Regionally restricted 99185797 There is scattered expression in the blood vessels of the prostate gland.
TS28: blood vessel Moderate Regionally restricted 99185797 There is scattered expression in the blood vessels of the prostate gland.

Specimen Mouse 237759 - Image 99185802: postnatal day 55; Slc6a9tm1Dgen/Slc6a9+ (more )
Structure Level Pattern Image Note
TS28: urothelium of bladder Trace Regionally restricted 99185802 Expression is frequently seen in the epithelium.

Specimen Mouse 237759 - Image 99186057: postnatal day 55; Slc6a9tm1Dgen/Slc6a9+ (more )
Structure Level Pattern Image Note
TS28: habenula Weak 99186057 There is scattered expression in the habenular nuclei.

Specimen Mouse 237759 - Image 99192492: postnatal day 55; Slc6a9tm1Dgen/Slc6a9+ (more )
Structure Level Pattern Image Note
TS28: adrenal gland Moderate Regionally restricted 99192492 There is occasional staining in the capsule.

Specimen Mouse 237759 - Image 99192495: postnatal day 55; Slc6a9tm1Dgen/Slc6a9+ (more )
Structure Level Pattern Image Note
TS28: hippocampus Trace 99192495 There is occasional staining in the hippocampus.

Specimen Mouse 237759 - Image 99192501: postnatal day 55; Slc6a9tm1Dgen/Slc6a9+ (more )
Structure Level Pattern Image Note
TS28: heart Moderate Regionally restricted 99192501 There is scattered expression in the blood vessels of the heart.
TS28: blood vessel Moderate Regionally restricted 99192501 There is scattered expression in the blood vessels of the heart.

Specimen Mouse 237759 - Image 99192503: postnatal day 55; Slc6a9tm1Dgen/Slc6a9+ (more )
Structure Level Pattern Image Note
TS28: liver Weak Regionally restricted 99192503 There is scattered expression in the blood vessels of the liver.
TS28: blood vessel Weak Regionally restricted 99192503 There is scattered expression in the blood vessels of the liver.

Specimen Mouse 237759 - Image 99192516: postnatal day 55; Slc6a9tm1Dgen/Slc6a9+ (more )
Structure Level Pattern Image Note
TS28: testis Moderate Regionally restricted 99192516 There is scattered expression in the blood vessels of the testis.
TS28: blood vessel Moderate Regionally restricted 99192516 There is scattered expression in the blood vessels of the testis.

Specimen Mouse 237759: postnatal day 55; Slc6a9tm1Dgen/Slc6a9+ (more )
Structure Level Pattern Image Note
TS28: bone marrow Absent
TS28: spleen Absent
TS28: lymph node Absent
TS28: thymus Absent
TS28: metanephros Moderate Regionally restricted Expression is frequently seen in the blood vessels of the kidney.
TS28: blood vessel Moderate Regionally restricted Expression is frequently seen in the blood vessels of the kidney.

Specimen Mouse 237765 - Image 99185921: postnatal day 55; Slc6a9tm1Dgen/Slc6a9+ (more )
Structure Level Pattern Image Note
TS28: spinal cord central canal Strong 99185921 Expression is frequently seen in the central canal.
TS28: spinal cord gray matter Very strong 99185921 Expression is frequently seen in the grey matter.

Specimen Mouse 237765 - Image 99185922: postnatal day 55; Slc6a9tm1Dgen/Slc6a9+ (more )
Structure Level Pattern Image Note
TS28: pituitary gland Trace Regionally restricted 99185922 There is occasional staining in the capsule.

Specimen Mouse 237765 - Image 99185925: postnatal day 55; Slc6a9tm1Dgen/Slc6a9+ (more )
Structure Level Pattern Image Note
TS28: bladder Strong Regionally restricted 99185925 Expression is frequently seen in the blood vessels of the urinary bladder.
TS28: blood vessel Strong Regionally restricted 99185925 Expression is frequently seen in the blood vessels of the urinary bladder.
TS28: urothelium of bladder Trace Regionally restricted 99185925 Expression is frequently seen in the epithelium.

Specimen Mouse 237765 - Image 99185931: postnatal day 55; Slc6a9tm1Dgen/Slc6a9+ (more )
Structure Level Pattern Image Note
TS28: uterus Weak Regionally restricted 99185931 Expression is frequently seen in the blood vessels of the uterus.
TS28: blood vessel Weak Regionally restricted 99185931 Expression is frequently seen in the blood vessels of the uterus.

Specimen Mouse 237765 - Image 99185933: postnatal day 55; Slc6a9tm1Dgen/Slc6a9+ (more )
Structure Level Pattern Image Note
TS28: retina inner nuclear layer Very strong 99185933 Expression is present in practically all cells of the inner nuclear layer.

Specimen Mouse 237765 - Image 99185935: postnatal day 55; Slc6a9tm1Dgen/Slc6a9+ (more )
Structure Level Pattern Image Note
TS28: lens Strong 99185935 There is scattered expression in the lens.

Specimen Mouse 237765 - Image 99185937: postnatal day 55; Slc6a9tm1Dgen/Slc6a9+ (more )
Structure Level Pattern Image Note
TS28: ciliary body Very strong 99185937 Expression is present in practically all cells of the ciliary body.

Specimen Mouse 237765 - Image 99189208: postnatal day 55; Slc6a9tm1Dgen/Slc6a9+ (more )
Structure Level Pattern Image Note
TS28: brain Very strong 99189208 Expression is frequently seen in the brain.
TS28: telencephalon Very strong 99189208 Expression is frequently seen in the cerebrum.

Specimen Mouse 237765 - Image 99189209: postnatal day 55; Slc6a9tm1Dgen/Slc6a9+ (more )
Structure Level Pattern Image Note
TS28: cerebellum Very strong 99189209 Expression is frequently seen in the cerebellum.

Specimen Mouse 237765 - Image 99189210: postnatal day 55; Slc6a9tm1Dgen/Slc6a9+ (more )
Structure Level Pattern Image Note
TS28: brainstem Very strong 99189210 Expression is present in practically all cells of the brainstem.

Specimen Mouse 237765 - Image 99192526: postnatal day 55; Slc6a9tm1Dgen/Slc6a9+ (more )
Structure Level Pattern Image Note
TS28: spinal cord white matter Moderate 99192526 There is scattered expression in the white matter.

Specimen Mouse 237765 - Image 99192530: postnatal day 55; Slc6a9tm1Dgen/Slc6a9+ (more )
Structure Level Pattern Image Note
TS28: thymus Strong Regionally restricted 99192530 Expression is frequently seen in the blood vessels of the thymus.
TS28: blood vessel Strong Regionally restricted 99192530 Expression is frequently seen in the blood vessels of the thymus.

Specimen Mouse 237765: postnatal day 55; Slc6a9tm1Dgen/Slc6a9+ (more )
Structure Level Pattern Image Note
TS28: ovary Absent
TS28: bone marrow Absent


Contributing Projects:
Mouse Genome Database (MGD), Gene Expression Database (GXD), Mouse Models of Human Cancer database (MMHCdb) (formerly Mouse Tumor Biology (MTB)), Gene Ontology (GO)
Citing These Resources
Funding Information
Warranty Disclaimer, Privacy Notice, Licensing, & Copyright
Send questions and comments to User Support.
last database update
10/07/2025
MGI 6.24
The Jackson Laboratory