About   Help   FAQ
Gene Expression Data
Assay Details
Assay
Reference: J:101679 Deltagen Inc, NIH initiative supporting placement of Deltagen, Inc. mice into public repositories. MGI Direct Data Submission. 2005;
Assay type: In situ reporter (knock in)
MGI Accession ID: MGI:3639219
Gene symbol: Mmp17
Gene name: matrix metallopeptidase 17
Reporter: lacZ
Direct Detection
Results
Specimen Mouse 151618 - Image 14040406: postnatal day 49; Mmp17tm1Dgen/Mmp17+ (more )
Structure Level Pattern Image Note
TS28: spinal cord gray matter Weak Regionally restricted 14040406 There is scattered expression in the motor neurons.

Specimen Mouse 151618 - Image 14040408: postnatal day 49; Mmp17tm1Dgen/Mmp17+ (more )
Structure Level Pattern Image Note
TS28: spinal cord dorsal horn Moderate 14040408 Expression is frequently seen in the dorsal horns.

Specimen Mouse 151618 - Image 14040410: postnatal day 49; Mmp17tm1Dgen/Mmp17+ (more )
Structure Level Pattern Image Note
TS28: spinal cord Strong Regionally restricted 14040410 Expression is frequently seen in the smooth muscle cells of the blood vessels of the spinal cord.
TS28: blood vessel smooth muscle Strong Regionally restricted 14040410 Expression is frequently seen in the smooth muscle cells of the blood vessels of the spinal cord.

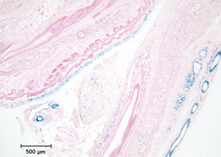
Specimen Mouse 151618 - Image 14221480: postnatal day 49; Mmp17tm1Dgen/Mmp17+ (more )
Structure Level Pattern Image Note
TS28: ovary Very strong Regionally restricted 14221480 Expression is frequently seen in the smooth muscle cells of the blood vessels of the ovary.
TS28: blood vessel smooth muscle Very strong Regionally restricted 14221480 Expression is frequently seen in the smooth muscle cells of the blood vessels of the ovary.

Specimen Mouse 151618 - Image 14221481: postnatal day 49; Mmp17tm1Dgen/Mmp17+ (more )
Structure Level Pattern Image Note
TS28: myometrium Very strong Regionally restricted 14221481 Expression is present in practically all the smooth muscle cells of the myometrium.

Specimen Mouse 151618 - Image 14221482: postnatal day 49; Mmp17tm1Dgen/Mmp17+ (more )
Structure Level Pattern Image Note
TS28: vagina Very strong Regionally restricted 14221482 Expression is present in practically all the smooth muscle cells of the blood vessels of the vagina.
TS28: blood vessel smooth muscle Very strong Regionally restricted 14221482 Expression is present in practically all the smooth muscle cells of the blood vessels of the vagina.

Specimen Mouse 151618 - Image 14221484: postnatal day 49; Mmp17tm1Dgen/Mmp17+ (more )
Structure Level Pattern Image Note
TS28: cervix uteri Present Regionally restricted 14221484 Very strong expression is present in practically all the smooth muscle cells of the blood vessels of the cervix. Weak expression is frequently seen in the muscle layer.
TS28: blood vessel smooth muscle Very strong Regionally restricted 14221484 Expression is present in practically all the smooth muscle cells of the blood vessels of the cervix.

Specimen Mouse 151618 - Image 14221485: postnatal day 49; Mmp17tm1Dgen/Mmp17+ (more )
Structure Level Pattern Image Note
TS28: bladder Very strong 14221485 Expression is frequently seen in the urinary bladder.

Specimen Mouse 151618 - Image 14221486: postnatal day 49; Mmp17tm1Dgen/Mmp17+ (more )
Structure Level Pattern Image Note
TS28: thymus Very strong Regionally restricted 14221486 Expression is frequently seen in the smooth muscle cells of the blood vessels of the thymus.
TS28: blood vessel smooth muscle Very strong Regionally restricted 14221486 Expression is frequently seen in the smooth muscle cells of the blood vessels of the thymus.

Specimen Mouse 151618 - Image 14221490: postnatal day 49; Mmp17tm1Dgen/Mmp17+ (more )
Structure Level Pattern Image Note
TS28: Harderian gland Strong Regionally restricted 14221490 Expression is frequently seen in the blood vessels of the harderian gland.
TS28: blood vessel Strong Regionally restricted 14221490 Expression is frequently seen in the blood vessels of the harderian gland.

Specimen Mouse 151618 - Image 14221507: postnatal day 49; Mmp17tm1Dgen/Mmp17+ (more )
Structure Level Pattern Image Note
TS28: ovary theca Moderate 14221507 Expression is frequently seen in the theca.

Specimen Mouse 151618 - Image 14221508: postnatal day 49; Mmp17tm1Dgen/Mmp17+ (more )
Structure Level Pattern Image Note
TS28: myometrium Very strong Regionally restricted 14221508 Expression is present in practically all the smooth muscle cells of the myometrium.

Specimen Mouse 151618 - Image 14221514: postnatal day 49; Mmp17tm1Dgen/Mmp17+ (more )
Structure Level Pattern Image Note
TS28: muscle of vagina Moderate 14221514 Expression is frequently seen in the smooth muscle layer.

Specimen Mouse 151618 - Image 14221518: postnatal day 49; Mmp17tm1Dgen/Mmp17+ (more )
Structure Level Pattern Image Note
TS28: retina ganglion cell layer Moderate 14221518 There is scattered expression in the ganglion cell layer.
TS28: retina inner nuclear layer Weak 14221518 There is scattered expression in the inner nuclear layer.

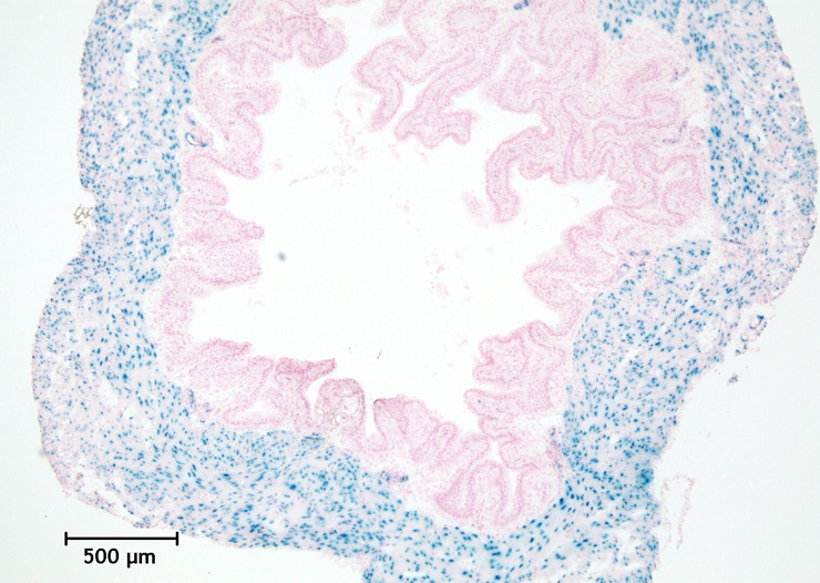
Specimen Mouse 151618 - Image 14309680: postnatal day 49; Mmp17tm1Dgen/Mmp17+ (more )
Structure Level Pattern Image Note
TS28: uterus Very strong Regionally restricted 14309680 Expression is present in practically all the smooth muscle cells of the blood vessels of the uterus.
TS28: blood vessel smooth muscle Very strong Regionally restricted 14309680 Expression is present in practically all the smooth muscle cells of the blood vessels of the uterus.

Specimen Mouse 151618 - Image 14378514: postnatal day 49; Mmp17tm1Dgen/Mmp17+ (more )
Structure Level Pattern Image Note
TS28: uterus Strong Regionally restricted 14378514 Expression is frequently seen in the smooth muscle cells of the uterine tubules.

Specimen Mouse 151618 - Image 14378516: postnatal day 49; Mmp17tm1Dgen/Mmp17+ (more )
Structure Level Pattern Image Note
TS28: lamina propria of bladder Very strong 14378516 Expression is present in practically all the smooth muscle cells.

Specimen Mouse 151618 - Image 14378518: postnatal day 49; Mmp17tm1Dgen/Mmp17+ (more )
Structure Level Pattern Image Note
TS28: bladder Very strong Regionally restricted 14378518 Expression is present in practically all the smooth muscle cells of the blood vessels of the urinary bladder.
TS28: blood vessel smooth muscle Very strong Regionally restricted 14378518 Expression is present in practically all the smooth muscle cells of the blood vessels of the urinary bladder.

Specimen Mouse 151618 - Image 14585686: postnatal day 49; Mmp17tm1Dgen/Mmp17+ (more )
Structure Level Pattern Image Note
TS28: telencephalon Strong 14585686 Expression is present in practically all cells of the cerebrum.

Specimen Mouse 151618 - Image 14585687: postnatal day 49; Mmp17tm1Dgen/Mmp17+ (more )
Structure Level Pattern Image Note
TS28: telencephalon Strong 14585687 Expression is present in practically all cells of the cerebrum.

Specimen Mouse 151618 - Image 14585688: postnatal day 49; Mmp17tm1Dgen/Mmp17+ (more )
Structure Level Pattern Image Note
TS28: telencephalon Strong Regionally restricted 14585688 Expression is present in practically all cells of the blood vessels of the cerebrum.
TS28: blood vessel Strong Regionally restricted 14585688 Expression is present in practically all cells of the blood vessels of the cerebrum.

Specimen Mouse 151618 - Image 14585689: postnatal day 49; Mmp17tm1Dgen/Mmp17+ (more )
Structure Level Pattern Image Note
TS28: telencephalon Strong 14585689 Expression is frequently seen in the cerebrum.

Specimen Mouse 151618 - Image 14585690: postnatal day 49; Mmp17tm1Dgen/Mmp17+ (more )
Structure Level Pattern Image Note
TS28: telencephalon Strong 14585690 Expression is frequently seen in the cerebrum.

Specimen Mouse 151618 - Image 14585691: postnatal day 49; Mmp17tm1Dgen/Mmp17+ (more )
Structure Level Pattern Image Note
TS28: cerebellum Moderate 14585691 Expression is frequently seen in the cerebellum.

Specimen Mouse 151618 - Image 14585692: postnatal day 49; Mmp17tm1Dgen/Mmp17+ (more )
Structure Level Pattern Image Note
TS28: cerebellum Moderate 14585692 Expression is frequently seen in the cerebellum.

Specimen Mouse 151618 - Image 14585693: postnatal day 49; Mmp17tm1Dgen/Mmp17+ (more )
Structure Level Pattern Image Note
TS28: brainstem Moderate 14585693 There is scattered expression in the brainstem.

Specimen Mouse 151618 - Image 14585694: postnatal day 49; Mmp17tm1Dgen/Mmp17+ (more )
Structure Level Pattern Image Note
TS28: brainstem Moderate 14585694 There is scattered expression in the brainstem.

Specimen Mouse 151618: postnatal day 49; Mmp17tm1Dgen/Mmp17+ (more )
Structure Level Pattern Image Note
TS28: pituitary gland Absent
TS28: bone marrow Absent
TS28: eye Strong Regionally restricted There is scattered expression in the blood vessels of the eye.
TS28: blood vessel Strong Regionally restricted There is scattered expression in the blood vessels of the eye.

Specimen Mouse 151632 - Image 13763059: postnatal day 49; Mmp17tm1Dgen/Mmp17+ (more )
Structure Level Pattern Image Note
TS28: telencephalon Strong 13763059 Expression is frequently seen in the cerebrum.

Specimen Mouse 151632 - Image 13763061: postnatal day 49; Mmp17tm1Dgen/Mmp17+ (more )
Structure Level Pattern Image Note
TS28: telencephalon Strong 13763061 Expression is frequently seen in the cerebrum.

Specimen Mouse 151632 - Image 13763063: postnatal day 49; Mmp17tm1Dgen/Mmp17+ (more )
Structure Level Pattern Image Note
TS28: hippocampus Strong 13763063 Expression is present in practically all cells of the hippocampus.

Specimen Mouse 151632 - Image 13763065: postnatal day 49; Mmp17tm1Dgen/Mmp17+ (more )
Structure Level Pattern Image Note
TS28: caudate-putamen Very strong 13763065 Expression is frequently seen in the caudate-putamen.

Specimen Mouse 151632 - Image 13763067: postnatal day 49; Mmp17tm1Dgen/Mmp17+ (more )
Structure Level Pattern Image Note
TS28: thalamus Moderate 13763067 There is scattered expression in the thalamus.

Specimen Mouse 151632 - Image 13763069: postnatal day 49; Mmp17tm1Dgen/Mmp17+ (more )
Structure Level Pattern Image Note
TS28: cerebellum Purkinje cell layer Moderate 13763069 Expression is frequently seen in the Purkinje layer.

Specimen Mouse 151632 - Image 13763071: postnatal day 49; Mmp17tm1Dgen/Mmp17+ (more )
Structure Level Pattern Image Note
TS28: cerebellum Strong Regionally restricted 13763071 There is occasional staining in the meninges of the cerebellum.
TS28: meninges Strong Regionally restricted 13763071 There is occasional staining in the meninges of the cerebellum.

Specimen Mouse 151632 - Image 13763073: postnatal day 49; Mmp17tm1Dgen/Mmp17+ (more )
Structure Level Pattern Image Note
TS28: cerebellum Very strong Regionally restricted 13763073 Expression is frequently seen in the smooth muscle cells of the blood vessels of the cerebellum.
TS28: blood vessel smooth muscle Very strong Regionally restricted 13763073 Expression is frequently seen in the smooth muscle cells of the blood vessels of the cerebellum.

Specimen Mouse 151632 - Image 13849841: postnatal day 49; Mmp17tm1Dgen/Mmp17+ (more )
Structure Level Pattern Image Note
TS28: brainstem Very strong Regionally restricted 13849841 Expression is present in practically all the smooth muscle cells of the blood vessels of the brainstem.
TS28: blood vessel smooth muscle Very strong Regionally restricted 13849841 Expression is present in practically all the smooth muscle cells of the blood vessels of the brainstem.

Specimen Mouse 151632 - Image 13849843: postnatal day 49; Mmp17tm1Dgen/Mmp17+ (more )
Structure Level Pattern Image Note
TS28: brainstem Moderate 13849843 There is scattered expression in the brainstem.

Specimen Mouse 151632 - Image 13849845: postnatal day 49; Mmp17tm1Dgen/Mmp17+ (more )
Structure Level Pattern Image Note
TS28: brainstem Weak Regionally restricted 13849845 There is scattered expression in the vestibular nucleus.

Specimen Mouse 151632 - Image 13849847: postnatal day 49; Mmp17tm1Dgen/Mmp17+ (more )
Structure Level Pattern Image Note
TS28: spinal cord Strong Regionally restricted 13849847 Expression is frequently seen in the smooth muscle cells of the blood vessels of the spinal cord.
TS28: blood vessel smooth muscle Strong Regionally restricted 13849847 Expression is frequently seen in the smooth muscle cells of the blood vessels of the spinal cord.

Specimen Mouse 151632 - Image 13849849: postnatal day 49; Mmp17tm1Dgen/Mmp17+ (more )
Structure Level Pattern Image Note
TS28: spinal cord dorsal horn Weak 13849849 There is scattered expression in the dorsal horns.

Specimen Mouse 151632 - Image 13849852: postnatal day 49; Mmp17tm1Dgen/Mmp17+ (more )
Structure Level Pattern Image Note
TS28: lymph node Very strong Regionally restricted 13849852 Expression is frequently seen in the smooth muscle cells of the blood vessels of the lymph node.
TS28: blood vessel smooth muscle Very strong Regionally restricted 13849852 Expression is frequently seen in the smooth muscle cells of the blood vessels of the lymph node.

Specimen Mouse 151632 - Image 13849854: postnatal day 49; Mmp17tm1Dgen/Mmp17+ (more )
Structure Level Pattern Image Note
TS28: salivary gland Very strong Regionally restricted 13849854 Expression is frequently seen in the smooth muscle cells of the blood vessels of the salivary gland.
TS28: blood vessel smooth muscle Very strong Regionally restricted 13849854 Expression is frequently seen in the smooth muscle cells of the blood vessels of the salivary gland.

Specimen Mouse 151632 - Image 13849856: postnatal day 49; Mmp17tm1Dgen/Mmp17+ (more )
Structure Level Pattern Image Note
TS28: salivary gland Very strong Regionally restricted 13849856 Expression is frequently seen in the smooth muscle cells of the blood vessels of the salivary gland.
TS28: blood vessel smooth muscle Very strong Regionally restricted 13849856 Expression is frequently seen in the smooth muscle cells of the blood vessels of the salivary gland.

Specimen Mouse 151632 - Image 13849858: postnatal day 49; Mmp17tm1Dgen/Mmp17+ (more )
Structure Level Pattern Image Note
TS28: salivary duct Very strong Regionally restricted 13849858 There is scattered expression in the smooth muscle cells of the duct.

Specimen Mouse 151632 - Image 13849860: postnatal day 49; Mmp17tm1Dgen/Mmp17+ (more )
Structure Level Pattern Image Note
TS28: adrenal medulla Moderate 13849860 There is scattered expression in the medulla.

Specimen Mouse 151632 - Image 13849862: postnatal day 49; Mmp17tm1Dgen/Mmp17+ (more )
Structure Level Pattern Image Note
TS28: adrenal gland Strong Regionally restricted 13849862 There is scattered expression in the blood vessels of the adrenal gland.
TS28: blood vessel Strong Regionally restricted 13849862 There is scattered expression in the blood vessels of the adrenal gland.

Specimen Mouse 151632 - Image 13849864: postnatal day 49; Mmp17tm1Dgen/Mmp17+ (more )
Structure Level Pattern Image Note
TS28: aorta Very strong 13849864 Expression is present in practically all cells of the aorta.

Specimen Mouse 151632 - Image 13849866: postnatal day 49; Mmp17tm1Dgen/Mmp17+ (more )
Structure Level Pattern Image Note
TS28: heart Very strong Regionally restricted 13849866 Expression is frequently seen in the smooth muscle cells of the blood vessels of the heart.
TS28: blood vessel smooth muscle Very strong Regionally restricted 13849866 Expression is frequently seen in the smooth muscle cells of the blood vessels of the heart.

Specimen Mouse 151632 - Image 13849870: postnatal day 49; Mmp17tm1Dgen/Mmp17+ (more )
Structure Level Pattern Image Note
TS28: lung Very strong Regionally restricted 13849870 Expression is frequently seen in the smooth muscle cells of the blood vessels of the lung.
TS28: blood vessel smooth muscle Very strong Regionally restricted 13849870 Expression is frequently seen in the smooth muscle cells of the blood vessels of the lung.

Specimen Mouse 151632 - Image 13849872: postnatal day 49; Mmp17tm1Dgen/Mmp17+ (more )
Structure Level Pattern Image Note
TS28: liver Very strong Regionally restricted 13849872 Expression is frequently seen in the smooth muscle cells of the blood vessels of the liver.
TS28: blood vessel smooth muscle Very strong Regionally restricted 13849872 Expression is frequently seen in the smooth muscle cells of the blood vessels of the liver.

Specimen Mouse 151632 - Image 13849874: postnatal day 49; Mmp17tm1Dgen/Mmp17+ (more )
Structure Level Pattern Image Note
TS28: gallbladder Moderate Regionally restricted 13849874 Expression is frequently seen in the wall.

Specimen Mouse 151632 - Image 13849876: postnatal day 49; Mmp17tm1Dgen/Mmp17+ (more )
Structure Level Pattern Image Note
TS28: spleen trabeculum Strong 13849876 Expression is frequently seen in the trabeculae.

Specimen Mouse 151632 - Image 13849878: postnatal day 49; Mmp17tm1Dgen/Mmp17+ (more )
Structure Level Pattern Image Note
TS28: spleen capsule Strong 13849878 Expression is present in practically all cells of the capsule.

Specimen Mouse 151632 - Image 13849880: postnatal day 49; Mmp17tm1Dgen/Mmp17+ (more )
Structure Level Pattern Image Note
TS28: pancreas Strong Regionally restricted 13849880 Expression is frequently seen in the smooth muscle cells of the blood vessels of the pancreas.
TS28: blood vessel smooth muscle Strong Regionally restricted 13849880 Expression is frequently seen in the smooth muscle cells of the blood vessels of the pancreas.

Specimen Mouse 151632 - Image 13849882: postnatal day 49; Mmp17tm1Dgen/Mmp17+ (more )
Structure Level Pattern Image Note
TS28: metanephros Very strong Regionally restricted 13849882 Expression is frequently seen in the blood vessels of the kidney.
TS28: blood vessel Very strong Regionally restricted 13849882 Expression is frequently seen in the blood vessels of the kidney.

Specimen Mouse 151632 - Image 13849891: postnatal day 49; Mmp17tm1Dgen/Mmp17+ (more )
Structure Level Pattern Image Note
TS28: esophagus lamina propria Strong 13849891 Expression is frequently seen in the lamina propria.

Specimen Mouse 151632 - Image 14038102: postnatal day 49; Mmp17tm1Dgen/Mmp17+ (more )
Structure Level Pattern Image Note
TS28: trachea smooth muscle Moderate 14038102 Expression is frequently seen in the trachealis muscle.

Specimen Mouse 151632 - Image 14038104: postnatal day 49; Mmp17tm1Dgen/Mmp17+ (more )
Structure Level Pattern Image Note
TS28: thyroid gland Very strong Regionally restricted 14038104 Expression is frequently seen in the smooth muscle cells of the blood vessels of the thyroid gland.
TS28: blood vessel smooth muscle Very strong Regionally restricted 14038104 Expression is frequently seen in the smooth muscle cells of the blood vessels of the thyroid gland.

Specimen Mouse 151632 - Image 14038105: postnatal day 49; Mmp17tm1Dgen/Mmp17+ (more )
Structure Level Pattern Image Note
TS28: larynx Very strong Regionally restricted 14038105 Expression is frequently seen in the blood vessels of the larynx.
TS28: blood vessel Very strong Regionally restricted 14038105 Expression is frequently seen in the blood vessels of the larynx.

Specimen Mouse 151632 - Image 14038106: postnatal day 49; Mmp17tm1Dgen/Mmp17+ (more )
Structure Level Pattern Image Note
TS28: skeletal muscle Very strong Regionally restricted 14038106 Expression is present in practically all cells of the blood vessels in the skeletal muscle.
TS28: blood vessel Very strong Regionally restricted 14038106 Expression is present in practically all cells of the blood vessels in the skeletal muscle.

Specimen Mouse 151632 - Image 14038107: postnatal day 49; Mmp17tm1Dgen/Mmp17+ (more )
Structure Level Pattern Image Note
TS28: sciatic nerve Strong 14038107 There is scattered expression in the sciatic nerve.

Specimen Mouse 151632 - Image 14038109: postnatal day 49; Mmp17tm1Dgen/Mmp17+ (more )
Structure Level Pattern Image Note
TS28: skeletal muscle Very strong Regionally restricted 14038109 Expression is present in practically all the smooth muscle cells of the blood vessels of the skeletal muscle.
TS28: blood vessel smooth muscle Very strong Regionally restricted 14038109 Expression is present in practically all the smooth muscle cells of the blood vessels of the skeletal muscle.

Specimen Mouse 151632 - Image 14038110: postnatal day 49; Mmp17tm1Dgen/Mmp17+ (more )
Structure Level Pattern Image Note
TS28: tongue Very strong Regionally restricted 14038110 Expression is present in practically all the smooth muscle cells of the blood vessels of the tongue.
TS28: blood vessel smooth muscle Very strong Regionally restricted 14038110 Expression is present in practically all the smooth muscle cells of the blood vessels of the tongue.

Specimen Mouse 151632 - Image 14038111: postnatal day 49; Mmp17tm1Dgen/Mmp17+ (more )
Structure Level Pattern Image Note
TS28: tongue Moderate Regionally restricted 14038111 There is scattered expression in the nerves of the tongue.
TS28: nerve Moderate Regionally restricted 14038111 There is scattered expression in the nerves of the tongue.

Specimen Mouse 151632 - Image 14040472: postnatal day 49; Mmp17tm1Dgen/Mmp17+ (more )
Structure Level Pattern Image Note
TS28: tongue Moderate Regionally restricted 14040472 There is scattered expression in the lamina propria.

Specimen Mouse 151632 - Image 14040474: postnatal day 49; Mmp17tm1Dgen/Mmp17+ (more )
Structure Level Pattern Image Note
TS28: ear Strong Regionally restricted 14040474 There is scattered expression in the nerves of the ear.
TS28: nerve Strong Regionally restricted 14040474 There is scattered expression in the nerves of the ear.

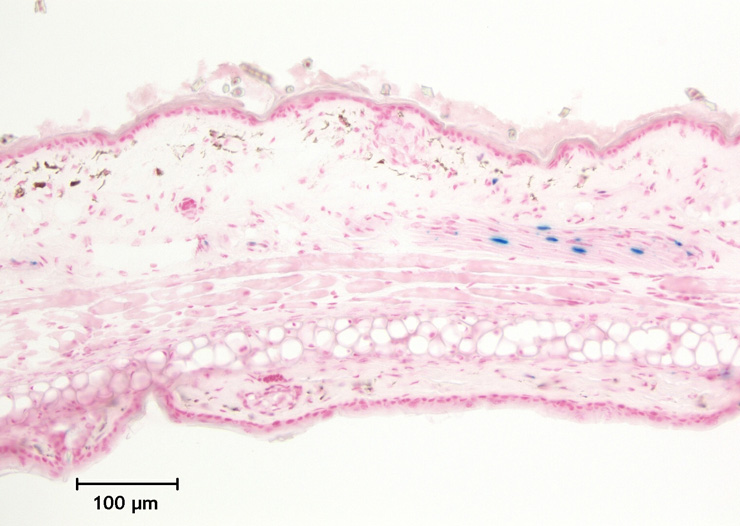
Specimen Mouse 151632 - Image 14040477: postnatal day 49; Mmp17tm1Dgen/Mmp17+ (more )
Structure Level Pattern Image Note
TS28: dermis Strong 14040477 There is scattered expression in the dermis.

Specimen Mouse 151632 - Image 14040479: postnatal day 49; Mmp17tm1Dgen/Mmp17+ (more )
Structure Level Pattern Image Note
TS28: skin Strong Regionally restricted 14040479 Expression is frequently seen in the smooth muscle cells of the blood vessels of the skin.
TS28: blood vessel smooth muscle Strong Regionally restricted 14040479 Expression is frequently seen in the smooth muscle cells of the blood vessels of the skin.

Specimen Mouse 151632 - Image 14040482: postnatal day 49; Mmp17tm1Dgen/Mmp17+ (more )
Structure Level Pattern Image Note
TS28: testis Very strong Regionally restricted 14040482 Expression is frequently seen in the blood vessels of the testis.
TS28: blood vessel Very strong Regionally restricted 14040482 Expression is frequently seen in the blood vessels of the testis.

Specimen Mouse 151632 - Image 14040486: postnatal day 49; Mmp17tm1Dgen/Mmp17+ (more )
Structure Level Pattern Image Note
TS28: penis Strong 14040486 There is scattered expression in the penis.

Specimen Mouse 151632 - Image 14040488: postnatal day 49; Mmp17tm1Dgen/Mmp17+ (more )
Structure Level Pattern Image Note
TS28: penis skin Very strong 14040488 Expression is frequently seen in the skin.

Specimen Mouse 151632 - Image 14040491: postnatal day 49; Mmp17tm1Dgen/Mmp17+ (more )
Structure Level Pattern Image Note
TS28: seminal vesicle Very strong Regionally restricted 14040491 Expression is present in practically all myocytes in the capsule.

Specimen Mouse 151632 - Image 14040493: postnatal day 49; Mmp17tm1Dgen/Mmp17+ (more )
Structure Level Pattern Image Note
TS28: anterior prostate gland Very strong Regionally restricted 14040493 Expression is present in practically all myocytes.

Specimen Mouse 151632 - Image 14040495: postnatal day 49; Mmp17tm1Dgen/Mmp17+ (more )
Structure Level Pattern Image Note
TS28: prostate gland Moderate 14040495 There is occasional staining in the prostate gland.

Specimen Mouse 151632 - Image 14040497: postnatal day 49; Mmp17tm1Dgen/Mmp17+ (more )
Structure Level Pattern Image Note
TS28: ampullary gland Strong Regionally restricted 14040497 There is scattered expression in the myocytes.

Specimen Mouse 151632 - Image 14040505: postnatal day 49; Mmp17tm1Dgen/Mmp17+ (more )
Structure Level Pattern Image Note
TS28: lamina propria of bladder Very strong 14040505 Expression is present in practically all the smooth muscle cells.

Specimen Mouse 151632 - Image 14040507: postnatal day 49; Mmp17tm1Dgen/Mmp17+ (more )
Structure Level Pattern Image Note
TS28: lamina propria of bladder Very strong 14040507 Expression is present in practically all the smooth muscle cells.

Specimen Mouse 151632 - Image 14040509: postnatal day 49; Mmp17tm1Dgen/Mmp17+ (more )
Structure Level Pattern Image Note
TS28: thymus Strong Regionally restricted 14040509 Expression is frequently seen in the smooth muscle cells of the blood vessels of the thymus.
TS28: blood vessel smooth muscle Strong Regionally restricted 14040509 Expression is frequently seen in the smooth muscle cells of the blood vessels of the thymus.

Specimen Mouse 151632 - Image 14378519: postnatal day 49; Mmp17tm1Dgen/Mmp17+ (more )
Structure Level Pattern Image Note
TS28: metanephros Very strong Regionally restricted 14378519 Expression is frequently seen in the smooth muscle cells of the blood vessels of the kidney.
TS28: blood vessel smooth muscle Very strong Regionally restricted 14378519 Expression is frequently seen in the smooth muscle cells of the blood vessels of the kidney.

Specimen Mouse 151632 - Image 14378520: postnatal day 49; Mmp17tm1Dgen/Mmp17+ (more )
Structure Level Pattern Image Note
TS28: metanephros Very strong 14378520 There is scattered expression in the kidney.

Specimen Mouse 151632 - Image 14378522: postnatal day 49; Mmp17tm1Dgen/Mmp17+ (more )
Structure Level Pattern Image Note
TS28: cerebral cortex Very strong 14378522 Expression is present in practically all cells of the cortex.

Specimen Mouse 151632 - Image 14378524: postnatal day 49; Mmp17tm1Dgen/Mmp17+ (more )
Structure Level Pattern Image Note
TS28: telencephalon Very strong Regionally restricted 14378524 Expression is present in practically all the smooth muscle cells of the blood vessels of the cerebrum.
TS28: blood vessel smooth muscle Very strong Regionally restricted 14378524 Expression is present in practically all the smooth muscle cells of the blood vessels of the cerebrum.

Specimen Mouse 151632 - Image 14378526: postnatal day 49; Mmp17tm1Dgen/Mmp17+ (more )
Structure Level Pattern Image Note
TS28: 3rd ventricle Very strong 14378526 There is scattered expression in the third ventricle.

Specimen Mouse 151632 - Image 14378528: postnatal day 49; Mmp17tm1Dgen/Mmp17+ (more )
Structure Level Pattern Image Note
TS28: hypothalamus Moderate 14378528 There is scattered expression in the hypothalamus.

Specimen Mouse 151632 - Image 14378530: postnatal day 49; Mmp17tm1Dgen/Mmp17+ (more )
Structure Level Pattern Image Note
TS28: amygdala Moderate 14378530 Expression is frequently seen in the amygdala.

Specimen Mouse 151632 - Image 14378532: postnatal day 49; Mmp17tm1Dgen/Mmp17+ (more )
Structure Level Pattern Image Note
TS28: spinal cord gray matter Trace Regionally restricted 14378532 There is scattered expression in lymphocytes.

Specimen Mouse 151632 - Image 14378534: postnatal day 49; Mmp17tm1Dgen/Mmp17+ (more )
Structure Level Pattern Image Note
TS28: aorta Very strong 14378534 Expression is present in practically all cells of the aorta.

Specimen Mouse 151632 - Image 14378536: postnatal day 49; Mmp17tm1Dgen/Mmp17+ (more )
Structure Level Pattern Image Note
TS28: bronchiole Moderate Regionally restricted 14378536 Expression is frequently seen in the smooth muscle cells of the bronchioles.

Specimen Mouse 151632 - Image 14526330: postnatal day 49; Mmp17tm1Dgen/Mmp17+ (more )
Structure Level Pattern Image Note
TS28: penis Strong Regionally restricted 14526330 Expression is frequently seen in the blood vessels of the penis.
TS28: blood vessel Strong Regionally restricted 14526330 Expression is frequently seen in the blood vessels of the penis.

Specimen Mouse 151632 - Image 14526331: postnatal day 49; Mmp17tm1Dgen/Mmp17+ (more )
Structure Level Pattern Image Note
TS28: ampullary gland Very strong Regionally restricted 14526331 Expression is present in practically all the smooth muscle cells of the blood vessels of the ampullary gland.
TS28: blood vessel smooth muscle Very strong Regionally restricted 14526331 Expression is present in practically all the smooth muscle cells of the blood vessels of the ampullary gland.

Specimen Mouse 151632 - Image 14526333: postnatal day 49; Mmp17tm1Dgen/Mmp17+ (more )
Structure Level Pattern Image Note
TS28: penis Moderate Regionally restricted 14526333 There is scattered expression in the nerves of the penis.
TS28: nerve Moderate Regionally restricted 14526333 There is scattered expression in the nerves of the penis.

Specimen Mouse 151632 - Image 14526335: postnatal day 49; Mmp17tm1Dgen/Mmp17+ (more )
Structure Level Pattern Image Note
TS28: seminal vesicle Very strong Regionally restricted 14526335 Expression is present in practically all myocytes in the capsule.

Specimen Mouse 151632 - Image 14526337: postnatal day 49; Mmp17tm1Dgen/Mmp17+ (more )
Structure Level Pattern Image Note
TS28: anterior prostate gland Strong Regionally restricted 14526337 Expression is present in practically all the smooth muscle cells of the blood vessels of the coagulating gland.
TS28: blood vessel smooth muscle Strong Regionally restricted 14526337 Expression is present in practically all the smooth muscle cells of the blood vessels of the coagulating gland.

Specimen Mouse 151632: postnatal day 49; Mmp17tm1Dgen/Mmp17+ (more )
Structure Level Pattern Image Note
TS28: aorta Strong Expression is frequently seen in the aorta.
TS28: esophagus Very strong Regionally restricted Expression is frequently seen in the blood vessels of the esophagus.
TS28: blood vessel Very strong Regionally restricted Expression is frequently seen in the blood vessels of the esophagus.
TS28: pituitary gland Absent
TS28: bone marrow Absent
TS28: ear Strong Regionally restricted Expression is frequently seen in the smooth muscle cells of the blood vessels of the ear.
TS28: blood vessel smooth muscle Strong Regionally restricted Expression is frequently seen in the smooth muscle cells of the blood vessels of the ear and is present in practically all the smooth muscle muscle cells of the blood vessels of the urinary bladder.
TS28: trachea blood vessel Moderate There is occasional staining in the blood vessels of the trachea.
TS28: bladder Very strong Regionally restricted Expression is present in practically all the smooth muscle cells of the blood vessels of the urinary bladder.


Contributing Projects:
Mouse Genome Database (MGD), Gene Expression Database (GXD), Mouse Models of Human Cancer database (MMHCdb) (formerly Mouse Tumor Biology (MTB)), Gene Ontology (GO)
Citing These Resources
Funding Information
Warranty Disclaimer, Privacy Notice, Licensing, & Copyright
Send questions and comments to User Support.
last database update
01/06/2026
MGI 6.24
The Jackson Laboratory