About   Help   FAQ
Gene Expression Data
Assay Details
Assay
Reference: J:101679 Deltagen Inc, NIH initiative supporting placement of Deltagen, Inc. mice into public repositories. MGI Direct Data Submission. 2005;
Assay type: In situ reporter (knock in)
MGI Accession ID: MGI:3639216
Gene symbol: Adamts4
Gene name: ADAM metallopeptidase with thrombospondin type 1 motif 4
Reporter: lacZ
Direct Detection
Results
Specimen Mouse 182217 - Image 43355093: postnatal day 50; Adamts4tm1Dgen/Adamts4+ (more )
Structure Level Pattern Image Note
TS28: spinal cord Strong 43355093 Expression is frequently seen in the spinal cord.
TS28: spinal cord gray matter Very strong 43355093 Expression is frequently seen in the grey matter.
TS28: spinal cord white matter Strong 43355093 Expression is frequently seen in the white matter.

Specimen Mouse 182217 - Image 43355959: postnatal day 50; Adamts4tm1Dgen/Adamts4+ (more )
Structure Level Pattern Image Note
TS28: endometrium stroma Strong 43355959 There is occasional staining in the endometrial stroma.
TS28: myometrium Trace 43355959 There is occasional staining in the myometrium.

Specimen Mouse 182217 - Image 43355980: postnatal day 50; Adamts4tm1Dgen/Adamts4+ (more )
Structure Level Pattern Image Note
TS28: epithelial layer of oviduct Weak 43355980 There is occasional staining in the epithelium.

Specimen Mouse 182217 - Image 43356085: postnatal day 50; Adamts4tm1Dgen/Adamts4+ (more )
Structure Level Pattern Image Note
TS28: cervix uteri Present Regionally restricted 43356085 There is strong, scattered expression in the lamina propria. There is trace, occasional staining in the smooth muscle layer.

Specimen Mouse 182217 - Image 43356097: postnatal day 50; Adamts4tm1Dgen/Adamts4+ (more )
Structure Level Pattern Image Note
TS28: vagina Strong Regionally restricted 43356097 There is scattered expression in the lamina propria.

Specimen Mouse 182217 - Image 43356223: postnatal day 50; Adamts4tm1Dgen/Adamts4+ (more )
Structure Level Pattern Image Note
TS28: optic nerve Very strong 43356223 Expression is frequently seen in the optic nerve.

Specimen Mouse 182217 - Image 43356242: postnatal day 50; Adamts4tm1Dgen/Adamts4+ (more )
Structure Level Pattern Image Note
TS28: bone marrow Moderate 43356242 There is occasional staining in the bone marrow.

Specimen Mouse 182217 - Image 90794566: postnatal day 50; Adamts4tm1Dgen/Adamts4+ (more )
Structure Level Pattern Image Note
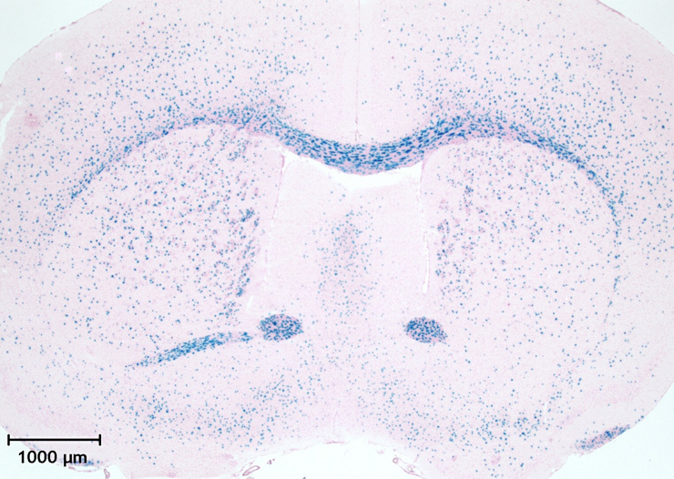
TS28: brain Very strong 90794566 There is scattered expression in the brain.
TS28: telencephalon Very strong 90794566 There is scattered expression in the cerebrum.

Specimen Mouse 182217 - Image 91126781: postnatal day 50; Adamts4tm1Dgen/Adamts4+ (more )
Structure Level Pattern Image Note
TS28: cerebellum Trace 91126781 There is scattered expression in the cerebellum.

Specimen Mouse 182217 - Image 91126782: postnatal day 50; Adamts4tm1Dgen/Adamts4+ (more )
Structure Level Pattern Image Note
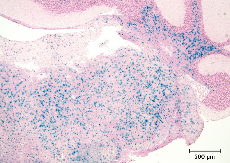
TS28: brainstem Very strong 91126782 There is scattered expression in the brainstem.

Specimen Mouse 182217 - Image 91376513: postnatal day 50; Adamts4tm1Dgen/Adamts4+ (more )
Structure Level Pattern Image Note
TS28: ovary Weak Regionally restricted 91376513 There is occasional staining in the stroma.

Specimen Mouse 182217 - Image 91376799: postnatal day 50; Adamts4tm1Dgen/Adamts4+ (more )
Structure Level Pattern Image Note
TS28: ovary follicle Trace Regionally restricted 91376799 There is occasional staining in the corpus luteum.

Specimen Mouse 182217: postnatal day 50; Adamts4tm1Dgen/Adamts4+ (more )
Structure Level Pattern Image Note
TS28: pituitary gland Absent
TS28: thymus Absent
TS28: Harderian gland Absent
TS28: bladder Absent

Specimen Mouse 207407 - Image 43220038: postnatal day 53; Adamts4tm1Dgen/Adamts4+ (more )
Structure Level Pattern Image Note
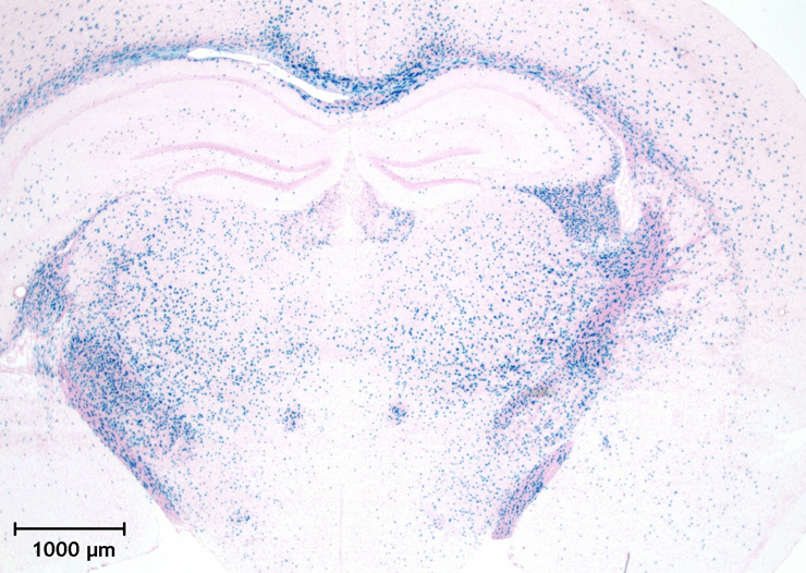
TS28: hippocampus region Moderate 43220038 There is scattered expression in the CA field.

Specimen Mouse 207407 - Image 43220042: postnatal day 53; Adamts4tm1Dgen/Adamts4+ (more )
Structure Level Pattern Image Note
TS28: corpus callosum Very strong 43220042 Expression is present in practically all cells of the corpus callosum.

Specimen Mouse 207407 - Image 43220043: postnatal day 53; Adamts4tm1Dgen/Adamts4+ (more )
Structure Level Pattern Image Note
TS28: cerebral cortex Strong 43220043 There is scattered expression in the cortex.

Specimen Mouse 207407 - Image 43287218: postnatal day 53; Adamts4tm1Dgen/Adamts4+ (more )
Structure Level Pattern Image Note
TS28: spinal cord Strong 43287218 Expression is frequently seen in the spinal cord.

Specimen Mouse 207407 - Image 43288265: postnatal day 53; Adamts4tm1Dgen/Adamts4+ (more )
Structure Level Pattern Image Note
TS28: cerebellum granule cell layer Strong 43288265 There is scattered expression in the granule layer.
TS28: cerebellum white matter Strong 43288265 Expression is frequently seen in the white matter.

Specimen Mouse 207407 - Image 43288362: postnatal day 53; Adamts4tm1Dgen/Adamts4+ (more )
Structure Level Pattern Image Note
TS28: brainstem Strong 43288362 Expression is present in practically all cells of the brainstem.

Specimen Mouse 207407 - Image 43288788: postnatal day 53; Adamts4tm1Dgen/Adamts4+ (more )
Structure Level Pattern Image Note
TS28: hypothalamus Moderate 43288788 There is occasional staining in the hypothalamus.

Specimen Mouse 207407 - Image 43288945: postnatal day 53; Adamts4tm1Dgen/Adamts4+ (more )
Structure Level Pattern Image Note
TS28: habenula Strong 43288945 There is occasional staining in the habenular nuclei.

Specimen Mouse 207407 - Image 43320935: postnatal day 53; Adamts4tm1Dgen/Adamts4+ (more )
Structure Level Pattern Image Note
TS28: ear skin Strong Regionally restricted 43320935 There is scattered expression in the ear skin dermis.
TS28: dermis Strong Regionally restricted 43320935 There is scattered expression in the ear skin dermis.

Specimen Mouse 207407 - Image 43356361: postnatal day 53; Adamts4tm1Dgen/Adamts4+ (more )
Structure Level Pattern Image Note
TS28: minor salivary gland Strong 43356361 There is occasional staining in the minor salivary gland.

Specimen Mouse 207407 - Image 43356375: postnatal day 53; Adamts4tm1Dgen/Adamts4+ (more )
Structure Level Pattern Image Note
TS28: penis Strong Regionally restricted 43356375 There is occasional staining in the connective tissue of the penis.
TS28: connective tissue Strong Regionally restricted 43356375 There is occasional staining in the connective tissue of the penis.

Specimen Mouse 207407 - Image 91377284: postnatal day 53; Adamts4tm1Dgen/Adamts4+ (more )
Structure Level Pattern Image Note
TS28: anterior commissure Very strong 91377284 Expression is present in practically all cells of the anterior commissure.

Specimen Mouse 207407 - Image 91378065: postnatal day 53; Adamts4tm1Dgen/Adamts4+ (more )
Structure Level Pattern Image Note
TS28: telencephalon Strong 91378065 There is scattered expression in the cerebrum.

Specimen Mouse 207407 - Image 91378066: postnatal day 53; Adamts4tm1Dgen/Adamts4+ (more )
Structure Level Pattern Image Note
TS28: telencephalon Strong 91378066 There is scattered expression in the cerebrum.

Specimen Mouse 207407 - Image 91378437: postnatal day 53; Adamts4tm1Dgen/Adamts4+ (more )
Structure Level Pattern Image Note
TS28: caudate-putamen Strong 91378437 Expression is frequently seen in the caudate-putamen.

Specimen Mouse 207407 - Image 91378526: postnatal day 53; Adamts4tm1Dgen/Adamts4+ (more )
Structure Level Pattern Image Note
TS28: lateral septal complex Strong Regionally restricted 91378526 There is occasional staining in the lateral septal nucleus.
TS28: medial septal complex Strong Regionally restricted 91378526 There is scattered expression in the medial septal nucleus.

Specimen Mouse 207407 - Image 91380163: postnatal day 53; Adamts4tm1Dgen/Adamts4+ (more )
Structure Level Pattern Image Note
TS28: cerebellum Purkinje cell layer Trace 91380163 There is occasional staining in the Purkinje layer.

Specimen Mouse 207407 - Image 91380532: postnatal day 53; Adamts4tm1Dgen/Adamts4+ (more )
Structure Level Pattern Image Note
TS28: dermis Strong 91380532 There is occasional staining in the dermis.

Specimen Mouse 207407 - Image 91380805: postnatal day 53; Adamts4tm1Dgen/Adamts4+ (more )
Structure Level Pattern Image Note
TS28: bone marrow Moderate 91380805 There is occasional staining in the bone marrow.

Specimen Mouse 207407 - Image 91498288: postnatal day 53; Adamts4tm1Dgen/Adamts4+ (more )
Structure Level Pattern Image Note
TS28: hippocampus Moderate 91498288 There is scattered expression in the hippocampus.

Specimen Mouse 207407 - Image 91499603: postnatal day 53; Adamts4tm1Dgen/Adamts4+ (more )
Structure Level Pattern Image Note
TS28: cortical layer III Moderate 91499603 There is occasional staining in the pyramidial cell layer.

Specimen Mouse 207407 - Image 91499608: postnatal day 53; Adamts4tm1Dgen/Adamts4+ (more )
Structure Level Pattern Image Note
TS28: fimbria hippocampus Very strong 91499608 Expression is present in practically all cells of the fimbria.

Specimen Mouse 207407 - Image 91500041: postnatal day 53; Adamts4tm1Dgen/Adamts4+ (more )
Structure Level Pattern Image Note
TS28: telencephalon Very strong Regionally restricted 91500041 Expression is present in practically all cells of the dorsal peduncular cortex.

Specimen Mouse 207407 - Image 91500336: postnatal day 53; Adamts4tm1Dgen/Adamts4+ (more )
Structure Level Pattern Image Note
TS28: thalamus Strong 91500336 Expression is frequently seen in the thalamus.

Specimen Mouse 207407 - Image 91501009: postnatal day 53; Adamts4tm1Dgen/Adamts4+ (more )
Structure Level Pattern Image Note
TS28: amygdala Strong 91501009 There is scattered expression in the amygdala.

Specimen Mouse 207407: postnatal day 53; Adamts4tm1Dgen/Adamts4+ (more )
Structure Level Pattern Image Note
TS28: heart Absent
TS28: esophagus Absent
TS28: gallbladder Absent
TS28: liver Absent
TS28: pancreas Absent
TS28: salivary gland Absent
TS28: adrenal gland Absent
TS28: parathyroid gland Absent
TS28: pituitary gland Absent
TS28: thyroid gland Absent
TS28: spleen Absent
TS28: lymph node Absent
TS28: thymus Absent
TS28: anterior prostate gland Absent
TS28: prostate gland Absent
TS28: seminal vesicle Absent
TS28: testis Absent
TS28: skeletal muscle Absent
TS28: sciatic nerve Absent
TS28: spinal cord gray matter Strong Expression is frequently seen in the grey matter.
TS28: spinal cord white matter Strong Expression is frequently seen in the white matter.
TS28: larynx Absent
TS28: lung Absent
TS28: trachea Absent
TS28: metanephros Absent
TS28: bladder Absent


Contributing Projects:
Mouse Genome Database (MGD), Gene Expression Database (GXD), Mouse Models of Human Cancer database (MMHCdb) (formerly Mouse Tumor Biology (MTB)), Gene Ontology (GO)
Citing These Resources
Funding Information
Warranty Disclaimer, Privacy Notice, Licensing, & Copyright
Send questions and comments to User Support.
last database update
12/30/2025
MGI 6.24
The Jackson Laboratory