About   Help   FAQ
Gene Expression Data
Assay Details
Assay
Reference: J:101679 Deltagen Inc, NIH initiative supporting placement of Deltagen, Inc. mice into public repositories. MGI Direct Data Submission. 2005;
Assay type: In situ reporter (knock in)
MGI Accession ID: MGI:3639215
Gene symbol: Scn9a
Gene name: sodium channel, voltage-gated, type IX, alpha
Reporter: lacZ
Direct Detection
Results
Specimen Mouse 214956 - Image 95549280: postnatal day 56; Scn9atm1Dgen/Scn9a+ (more )
Structure Level Pattern Image Note
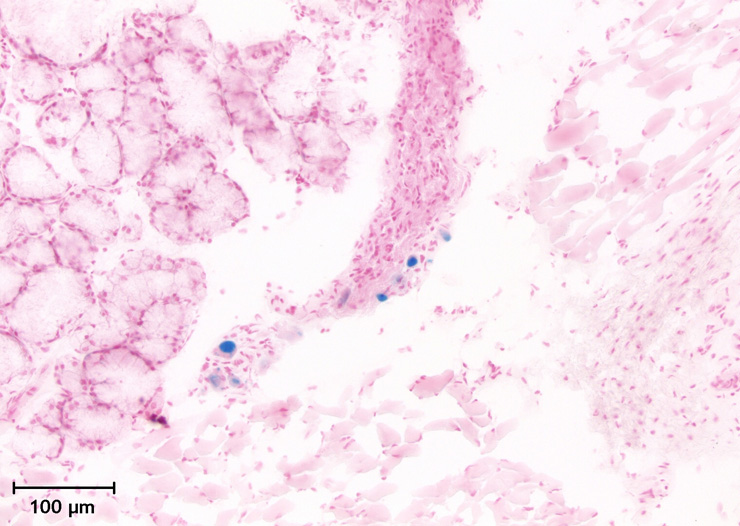
TS28: prostate gland Very strong Regionally restricted 95549280 Expression is frequently seen in the ganglia.

Specimen Mouse 214956 - Image 96544845: postnatal day 56; Scn9atm1Dgen/Scn9a+ (more )
Structure Level Pattern Image Note
TS28: hypothalamus Trace 96544845 There is scattered expression in the hypothalamus.

Specimen Mouse 214956 - Image 96548023: postnatal day 56; Scn9atm1Dgen/Scn9a+ (more )
Structure Level Pattern Image Note
TS28: brainstem Weak 96548023 There is occasional staining in the brainstem.

Specimen Mouse 214956 - Image 96550319: postnatal day 56; Scn9atm1Dgen/Scn9a+ (more )
Structure Level Pattern Image Note
TS28: brainstem Weak 96550319 There is occasional staining in the brainstem.

Specimen Mouse 214956 - Image 96555449: postnatal day 56; Scn9atm1Dgen/Scn9a+ (more )
Structure Level Pattern Image Note
TS28: trachea epithelium Weak 96555449 There is occasional staining in the epithelial cells of the mucosal epithelium.

Specimen Mouse 214956 - Image 96555747: postnatal day 56; Scn9atm1Dgen/Scn9a+ (more )
Structure Level Pattern Image Note
TS28: larynx epithelium Weak 96555747 There is occasional staining in the epithelium.

Specimen Mouse 214956 - Image 96556572: postnatal day 56; Scn9atm1Dgen/Scn9a+ (more )
Structure Level Pattern Image Note
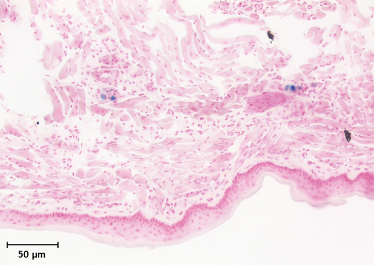
TS28: pharynx Strong Regionally restricted 96556572 There is scattered expression in the ganglia.

Specimen Mouse 214956 - Image 96556938: postnatal day 56; Scn9atm1Dgen/Scn9a+ (more )
Structure Level Pattern Image Note
TS28: pharynx epithelium Weak 96556938 There is scattered expression in the epithelial cells.

Specimen Mouse 214956 - Image 96559436: postnatal day 56; Scn9atm1Dgen/Scn9a+ (more )
Structure Level Pattern Image Note
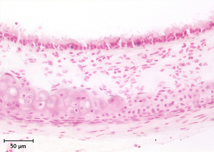
TS28: tongue Strong 96559436 There is scattered expression in the tongue.

Specimen Mouse 214956: postnatal day 56; Scn9atm1Dgen/Scn9a+ (more )
Structure Level Pattern Image Note
TS28: aorta Absent
TS28: heart Absent
TS28: esophagus Absent
TS28: gallbladder Absent
TS28: liver Absent
TS28: pancreas Absent
TS28: salivary gland Absent
TS28: adrenal gland Absent
TS28: pituitary gland Absent
TS28: thyroid gland Absent
TS28: bone marrow Absent
TS28: spleen Absent
TS28: lymph node Absent
TS28: thymus Absent
TS28: ear Absent
TS28: skin Absent
TS28: anterior prostate gland Absent
TS28: penis Absent
TS28: seminal vesicle Absent
TS28: testis Absent
TS28: skeletal muscle Absent
TS28: cerebellum Absent
TS28: sciatic nerve Absent
TS28: spinal cord Absent
TS28: lung Absent
TS28: metanephros Absent
TS28: bladder Absent

Specimen Mouse 214961: postnatal day 56; Scn9atm1Dgen/Scn9a+ (more )
Structure Level Pattern Image Note
TS28: pituitary gland Absent
TS28: cervix uteri Absent
TS28: ovary Absent
TS28: oviduct Absent
TS28: uterus Absent
TS28: vagina Absent
TS28: bone marrow Absent
TS28: thymus Absent
TS28: Harderian gland Absent
TS28: brain Moderate There is scattered expression in the brain.
TS28: cerebellum Absent
TS28: telencephalon Moderate There is scattered expression in the cerebrum.
TS28: brainstem Weak There is scattered expression in the brainstem.
TS28: spinal cord Absent
TS28: eye Absent
TS28: bladder Strong Regionally restricted Expression is frequently seen in the ganglia.

Specimen Mouse 215796 - Image 96571503: postnatal day 68; Scn9atm1Dgen/Scn9a+ (more )
Structure Level Pattern Image Note
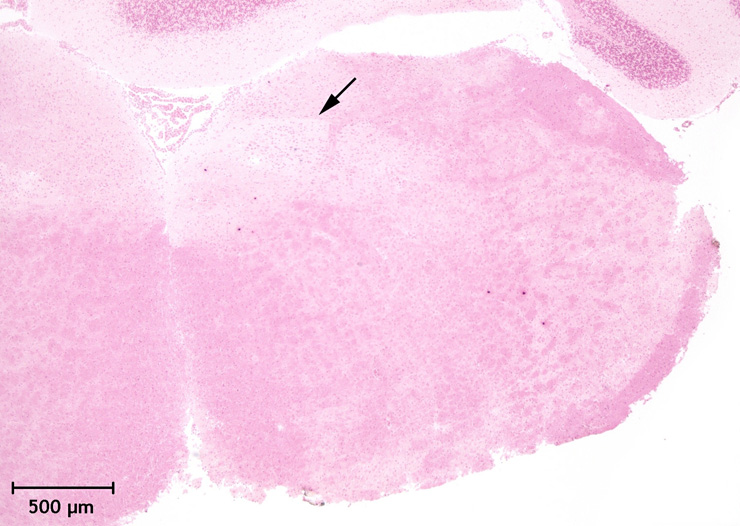
TS28: brain Strong 96571503 There is scattered expression in the brain.
TS28: telencephalon Strong 96571503 There is scattered expression in the cerebrum.

Specimen Mouse 215796 - Image 96571818: postnatal day 68; Scn9atm1Dgen/Scn9a+ (more )
Structure Level Pattern Image Note
TS28: brainstem Moderate 96571818 There is scattered expression in the brainstem.

Specimen Mouse 215796: postnatal day 68; Scn9atm1Dgen/Scn9a+ (more )
Structure Level Pattern Image Note
TS28: cerebellum Absent


Contributing Projects:
Mouse Genome Database (MGD), Gene Expression Database (GXD), Mouse Models of Human Cancer database (MMHCdb) (formerly Mouse Tumor Biology (MTB)), Gene Ontology (GO)
Citing These Resources
Funding Information
Warranty Disclaimer, Privacy Notice, Licensing, & Copyright
Send questions and comments to User Support.
last database update
12/30/2025
MGI 6.24
The Jackson Laboratory