About   Help   FAQ
Gene Expression Data
Assay Details
Assay
Reference: J:101679 Deltagen Inc, NIH initiative supporting placement of Deltagen, Inc. mice into public repositories. MGI Direct Data Submission. 2005;
Assay type: In situ reporter (knock in)
MGI Accession ID: MGI:3639212
Gene symbol: Cacng3
Gene name: calcium channel, voltage-dependent, gamma subunit 3
Reporter: lacZ
Direct Detection
Results
Specimen Mouse 432425 - Image 99250355: postnatal day 71; Cacng3tm1Dgen/Cacng3+ (more )
Structure Level Pattern Image Note
TS28: brain Very strong 99250355 There is scattered expression in the brain.

Specimen Mouse 432425 - Image 99250356: postnatal day 71; Cacng3tm1Dgen/Cacng3+ (more )
Structure Level Pattern Image Note
TS28: telencephalon Very strong 99250356 There is scattered expression in the cerebrum.

Specimen Mouse 432425 - Image 99250357: postnatal day 71; Cacng3tm1Dgen/Cacng3+ (more )
Structure Level Pattern Image Note
TS28: cerebellum Strong 99250357 There is scattered expression in the cerebellum.

Specimen Mouse 432425 - Image 99250358: postnatal day 71; Cacng3tm1Dgen/Cacng3+ (more )
Structure Level Pattern Image Note
TS28: brainstem Moderate 99250358 There is scattered expression in the brainstem.

Specimen Mouse 432425: postnatal day 71; Cacng3tm1Dgen/Cacng3+ (more )
Structure Level Pattern Image Note
TS28: cervix uteri Absent
TS28: ovary Absent
TS28: uterus Absent
TS28: bone marrow Absent

Specimen Mouse 441677 - Image 99252062: postnatal day 62; Cacng3tm1Dgen/Cacng3+ (more )
Structure Level Pattern Image Note
TS28: hippocampus Weak 99252062 There is occasional staining in the hippocampus.

Specimen Mouse 441677 - Image 99252063: postnatal day 62; Cacng3tm1Dgen/Cacng3+ (more )
Structure Level Pattern Image Note
TS28: amygdala Moderate 99252063 There is scattered expression in the amygdala.

Specimen Mouse 441677 - Image 99252064: postnatal day 62; Cacng3tm1Dgen/Cacng3+ (more )
Structure Level Pattern Image Note
TS28: cerebellum granule cell layer Weak 99252064 There is occasional staining in the granule layer.

Specimen Mouse 441677 - Image 99252065: postnatal day 62; Cacng3tm1Dgen/Cacng3+ (more )
Structure Level Pattern Image Note
TS28: brainstem Weak 99252065 There is occasional staining in the brainstem.

Specimen Mouse 441677 - Image 99252181: postnatal day 62; Cacng3tm1Dgen/Cacng3+ (more )
Structure Level Pattern Image Note
TS28: testis Trace 99252181 There is occasional staining in the testis.

Specimen Mouse 441677 - Image 99252182: postnatal day 62; Cacng3tm1Dgen/Cacng3+ (more )
Structure Level Pattern Image Note
TS28: bladder Very strong 99252182 There is occasional staining in the urinary bladder.

Specimen Mouse 441677 - Image 99252183: postnatal day 62; Cacng3tm1Dgen/Cacng3+ (more )
Structure Level Pattern Image Note
TS28: adrenal medulla Moderate 99252183 There is scattered expression in the medulla.

Specimen Mouse 441677 - Image 99252184: postnatal day 62; Cacng3tm1Dgen/Cacng3+ (more )
Structure Level Pattern Image Note
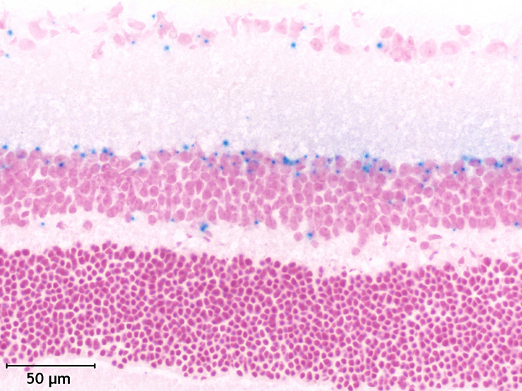
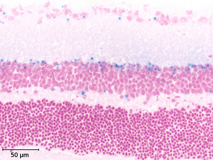
TS28: retina ganglion cell layer Strong 99252184 There is scattered expression in the ganglion cell layer.

Specimen Mouse 441677 - Image 99252185: postnatal day 62; Cacng3tm1Dgen/Cacng3+ (more )
Structure Level Pattern Image Note
TS28: retina inner nuclear layer Strong 99252185 There is scattered expression in the inner nuclear layer.

Specimen Mouse 441677 - Image 99252549: postnatal day 62; Cacng3tm1Dgen/Cacng3+ (more )
Structure Level Pattern Image Note
TS28: cerebral cortex Strong 99252549 There is scattered expression in the cortex.

Specimen Mouse 441677 - Image 99252550: postnatal day 62; Cacng3tm1Dgen/Cacng3+ (more )
Structure Level Pattern Image Note
TS28: prostate gland Moderate Regionally restricted 99252550 There is scattered expression in the ganglia.

Specimen Mouse 441677: postnatal day 62; Cacng3tm1Dgen/Cacng3+ (more )
Structure Level Pattern Image Note
TS28: aorta Absent
TS28: heart Absent
TS28: liver Absent
TS28: pancreas Absent
TS28: pituitary gland Absent
TS28: thyroid gland Absent
TS28: bone marrow Absent
TS28: spleen Absent
TS28: lymph node Absent
TS28: thymus Absent
TS28: skin Absent
TS28: skeletal muscle Absent
TS28: sciatic nerve Absent
TS28: spinal cord Absent
TS28: lung Absent
TS28: trachea Absent
TS28: metanephros Absent


Contributing Projects:
Mouse Genome Database (MGD), Gene Expression Database (GXD), Mouse Models of Human Cancer database (MMHCdb) (formerly Mouse Tumor Biology (MTB)), Gene Ontology (GO)
Citing These Resources
Funding Information
Warranty Disclaimer, Privacy Notice, Licensing, & Copyright
Send questions and comments to User Support.
last database update
01/20/2026
MGI 6.24
The Jackson Laboratory