About   Help   FAQ
Gene Expression Data
Assay Details
Assay
Reference: J:101679 Deltagen Inc, NIH initiative supporting placement of Deltagen, Inc. mice into public repositories. MGI Direct Data Submission. 2005;
Assay type: In situ reporter (knock in)
MGI Accession ID: MGI:3639210
Gene symbol: Cacna1c
Gene name: calcium channel, voltage-dependent, L type, alpha 1C subunit
Reporter: lacZ
Direct Detection
Results
Specimen Mouse 307406 - Image 99204081: postnatal day 56; Cacna1ctm1Dgen/Cacna1c+ (more )
Structure Level Pattern Image Note
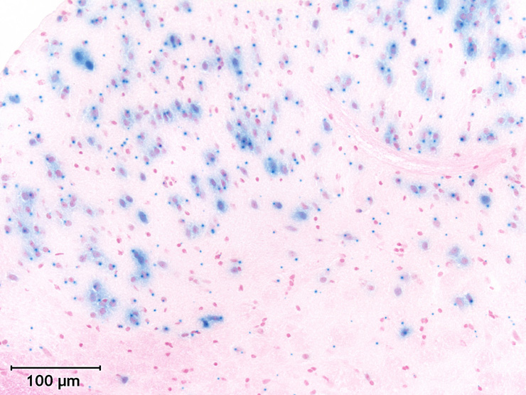
TS28: brain Very strong 99204081 Expression is present in practically all cells of the brain.
TS28: telencephalon Very strong 99204081 Expression is present in practically all cells of the cerebrum.

Specimen Mouse 307406 - Image 99204082: postnatal day 56; Cacna1ctm1Dgen/Cacna1c+ (more )
Structure Level Pattern Image Note
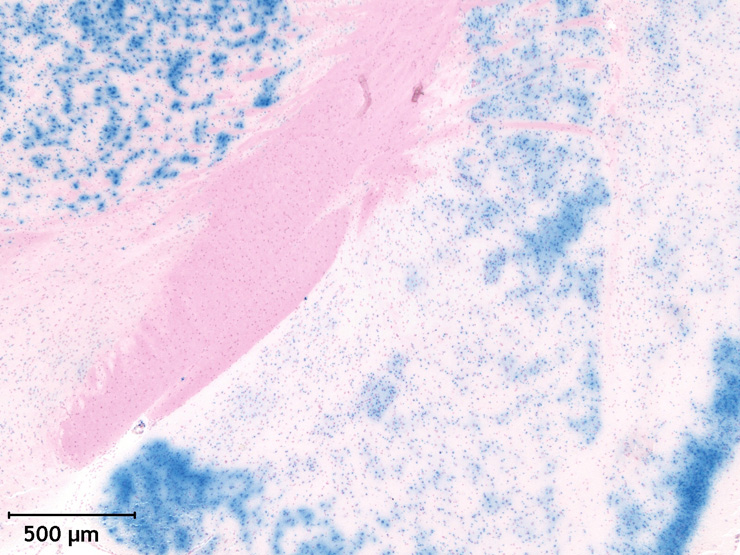
TS28: cerebellum Very strong 99204082 Expression is frequently seen in the cerebellum.

Specimen Mouse 307406 - Image 99204083: postnatal day 56; Cacna1ctm1Dgen/Cacna1c+ (more )
Structure Level Pattern Image Note
TS28: brainstem Very strong 99204083 Expression is frequently seen in the brainstem.

Specimen Mouse 307406 - Image 99211863: postnatal day 56; Cacna1ctm1Dgen/Cacna1c+ (more )
Structure Level Pattern Image Note
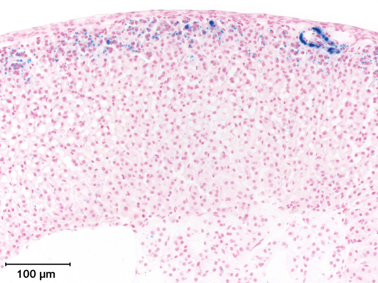
TS28: adenohypophysis pars anterior Moderate 99211863 Expression is frequently seen in the pars distalis.

Specimen Mouse 307406 - Image 99211864: postnatal day 56; Cacna1ctm1Dgen/Cacna1c+ (more )
Structure Level Pattern Image Note
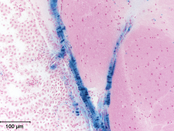
TS28: pituitary gland Strong Regionally restricted 99211864 Expression is frequently seen in the blood vessels of the pituitary gland.
TS28: blood vessel Strong Regionally restricted 99211864 Expression is frequently seen in the blood vessels of the pituitary gland.

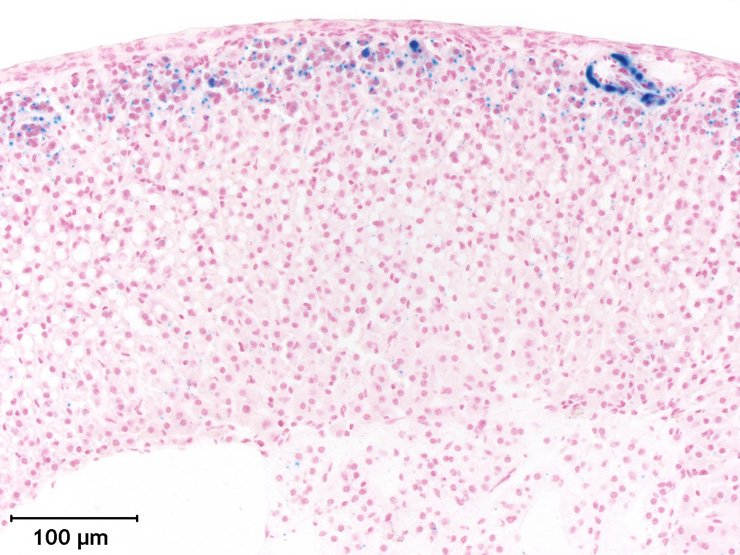
Specimen Mouse 307406 - Image 99211865: postnatal day 56; Cacna1ctm1Dgen/Cacna1c+ (more )
Structure Level Pattern Image Note
TS28: ovary Very strong Regionally restricted 99211865 Expression is present in practically all cells of the blood vessels of the ovary.
TS28: blood vessel Very strong Regionally restricted 99211865 Expression is present in practically all cells of the blood vessels of the ovary.

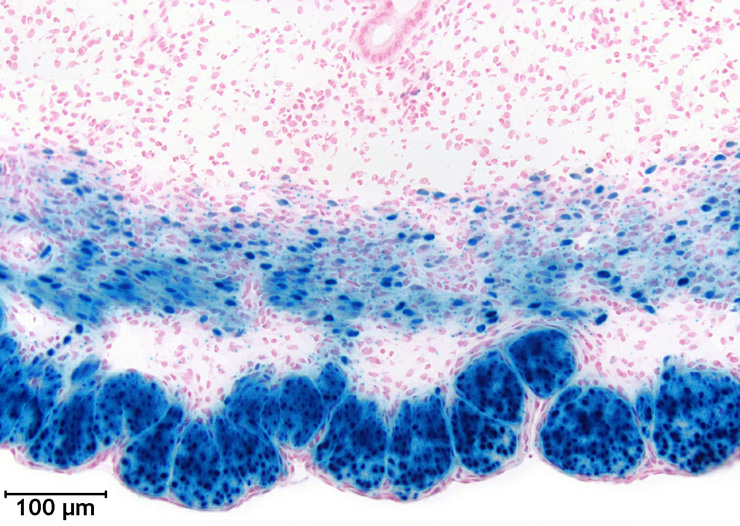
Specimen Mouse 307406 - Image 99211871: postnatal day 56; Cacna1ctm1Dgen/Cacna1c+ (more )
Structure Level Pattern Image Note
TS28: cervix uteri Strong Regionally restricted 99211871 Expression is present in practically all cells of the smooth muscle layer.

Specimen Mouse 307406 - Image 99211872: postnatal day 56; Cacna1ctm1Dgen/Cacna1c+ (more )
Structure Level Pattern Image Note
TS28: cervix uteri Moderate Regionally restricted 99211872 There is scattered expression in the stroma.

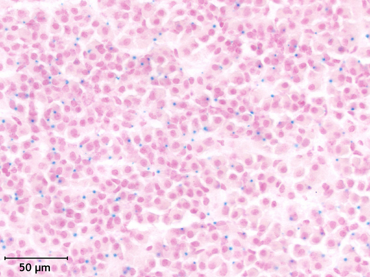
Specimen Mouse 307406 - Image 99223116: postnatal day 56; Cacna1ctm1Dgen/Cacna1c+ (more )
Structure Level Pattern Image Note
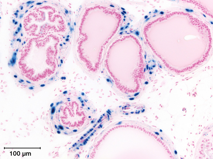
TS28: uterus Very strong 99223116 There is scattered expression in the uterus.

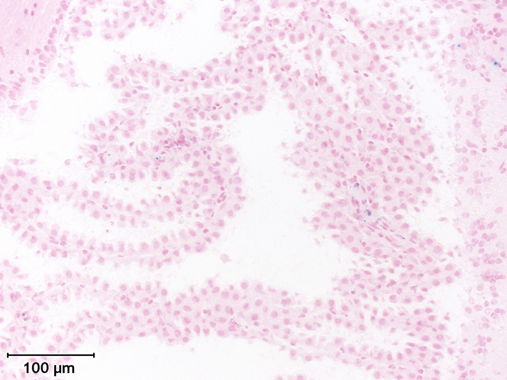
Specimen Mouse 307406 - Image 99223117: postnatal day 56; Cacna1ctm1Dgen/Cacna1c+ (more )
Structure Level Pattern Image Note
TS28: endometrium stroma Moderate 99223117 There is scattered expression in the endometrial stroma.

Specimen Mouse 307406 - Image 99223119: postnatal day 56; Cacna1ctm1Dgen/Cacna1c+ (more )
Structure Level Pattern Image Note
TS28: myometrium Very strong 99223119 Expression is present in practically all cells of the myometrium.

Specimen Mouse 307406 - Image 99223120: postnatal day 56; Cacna1ctm1Dgen/Cacna1c+ (more )
Structure Level Pattern Image Note
TS28: uterus Moderate Regionally restricted 99223120 Expression is frequently seen in the blood vessels of the uterus.
TS28: blood vessel Moderate Regionally restricted 99223120 Expression is frequently seen in the blood vessels of the uterus.

Specimen Mouse 307406: postnatal day 56; Cacna1ctm1Dgen/Cacna1c+ (more )
Structure Level Pattern Image Note
TS28: cervix uteri Strong Regionally restricted Expression is frequently seen in the blood vessels of the cervix.
TS28: blood vessel Strong Regionally restricted Expression is frequently seen in the blood vessels of the cervix.
TS28: bone marrow Absent

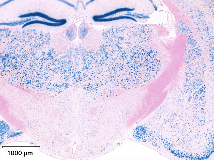
Specimen Mouse 307407 - Image 99211429: postnatal day 56; Cacna1ctm1Dgen/Cacna1c+ (more )
Structure Level Pattern Image Note
TS28: telencephalon Very strong 99211429 Expression is frequently seen in the cerebrum.

Specimen Mouse 307407 - Image 99211431: postnatal day 56; Cacna1ctm1Dgen/Cacna1c+ (more )
Structure Level Pattern Image Note
TS28: amygdala Very strong 99211431 Expression is present in practically all cells of the amygdala.

Specimen Mouse 307407 - Image 99211829: postnatal day 56; Cacna1ctm1Dgen/Cacna1c+ (more )
Structure Level Pattern Image Note
TS28: cerebral cortex Very strong 99211829 Expression is present in practically all cells of the cortex.

Specimen Mouse 307407 - Image 99211832: postnatal day 56; Cacna1ctm1Dgen/Cacna1c+ (more )
Structure Level Pattern Image Note
TS28: thalamus Very strong 99211832 Expression is present in practically all cells of the thalamus.

Specimen Mouse 307407 - Image 99211833: postnatal day 56; Cacna1ctm1Dgen/Cacna1c+ (more )
Structure Level Pattern Image Note
TS28: telencephalon Very strong Regionally restricted 99211833 Expression is frequently seen in the blood vessels of the cerebrum.
TS28: blood vessel Very strong Regionally restricted 99211833 Expression is frequently seen in the blood vessels of the cerebrum.

Specimen Mouse 307407 - Image 99211836: postnatal day 56; Cacna1ctm1Dgen/Cacna1c+ (more )
Structure Level Pattern Image Note
TS28: cerebellum granule cell layer Moderate 99211836 Expression is frequently seen in the granular layer.

Specimen Mouse 307407 - Image 99211838: postnatal day 56; Cacna1ctm1Dgen/Cacna1c+ (more )
Structure Level Pattern Image Note
TS28: cerebellum Very strong Regionally restricted 99211838 Expression is present in practically all cells of the blood vessels of the cerebellum.
TS28: blood vessel Very strong Regionally restricted 99211838 Expression is present in practically all cells of the blood vessels of the cerebellum.

Specimen Mouse 307407 - Image 99211842: postnatal day 56; Cacna1ctm1Dgen/Cacna1c+ (more )
Structure Level Pattern Image Note
TS28: spinal cord Strong Regionally restricted 99211842 Expression is frequently seen in the blood vessels of the spinal cord.
TS28: blood vessel Strong Regionally restricted 99211842 Expression is frequently seen in the blood vessels of the spinal cord.

Specimen Mouse 307407 - Image 99211844: postnatal day 56; Cacna1ctm1Dgen/Cacna1c+ (more )
Structure Level Pattern Image Note
TS28: spinal cord gray matter Strong 99211844 Expression is frequently seen in the grey matter.

Specimen Mouse 307407 - Image 99211849: postnatal day 56; Cacna1ctm1Dgen/Cacna1c+ (more )
Structure Level Pattern Image Note
TS28: spleen Strong Regionally restricted 99211849 Expression is frequently seen in the blood vessels of the spleen.
TS28: blood vessel Strong Regionally restricted 99211849 Expression is frequently seen in the blood vessels of the spleen.

Specimen Mouse 307407 - Image 99211913: postnatal day 56; Cacna1ctm1Dgen/Cacna1c+ (more )
Structure Level Pattern Image Note
TS28: pancreas Very strong Regionally restricted 99211913 Expression is frequently seen in the blood vessels of the pancreas.
TS28: blood vessel Very strong Regionally restricted 99211913 Expression is frequently seen in the blood vessels of the pancreas.

Specimen Mouse 307407 - Image 99224531: postnatal day 56; Cacna1ctm1Dgen/Cacna1c+ (more )
Structure Level Pattern Image Note
TS28: caudate-putamen Very strong 99224531 Expression is present in practically all cells of the caudate-putamen.

Specimen Mouse 307407 - Image 99224538: postnatal day 56; Cacna1ctm1Dgen/Cacna1c+ (more )
Structure Level Pattern Image Note
TS28: telencephalon Moderate Regionally restricted 99224538 There is occasional staining in the choroid plexus of the cerebrum.
TS28: choroid plexus Moderate Regionally restricted 99224538 There is occasional staining in the choroid plexus of the cerebrum.

Specimen Mouse 307407 - Image 99224541: postnatal day 56; Cacna1ctm1Dgen/Cacna1c+ (more )
Structure Level Pattern Image Note
TS28: hippocampus Very strong 99224541 Expression is frequently seen in the hippocampus.

Specimen Mouse 307407 - Image 99224542: postnatal day 56; Cacna1ctm1Dgen/Cacna1c+ (more )
Structure Level Pattern Image Note
TS28: hypothalamus Strong 99224542 Expression is frequently seen in the hypothalamus.

Specimen Mouse 307407 - Image 99224544: postnatal day 56; Cacna1ctm1Dgen/Cacna1c+ (more )
Structure Level Pattern Image Note
TS28: telencephalon Moderate Regionally restricted 99224544 There is scattered expression in the cerebral meninges.
TS28: meninges Moderate Regionally restricted 99224544 There is scattered expression in the cerebral meninges.

Specimen Mouse 307407 - Image 99224549: postnatal day 56; Cacna1ctm1Dgen/Cacna1c+ (more )
Structure Level Pattern Image Note
TS28: cerebellum molecular layer Weak 99224549 There is scattered expression in the molecular layer.

Specimen Mouse 307407 - Image 99224551: postnatal day 56; Cacna1ctm1Dgen/Cacna1c+ (more )
Structure Level Pattern Image Note
TS28: cerebellum white matter Weak 99224551 There is scattered expression in the white matter.

Specimen Mouse 307407 - Image 99224553: postnatal day 56; Cacna1ctm1Dgen/Cacna1c+ (more )
Structure Level Pattern Image Note
TS28: brainstem Strong 99224553 Expression is frequently seen in the brainstem.

Specimen Mouse 307407 - Image 99224639: postnatal day 56; Cacna1ctm1Dgen/Cacna1c+ (more )
Structure Level Pattern Image Note
TS28: spinal cord dorsal horn Strong 99224639 Expression is present in practically all cells of the dorsal horns.

Specimen Mouse 307407 - Image 99224641: postnatal day 56; Cacna1ctm1Dgen/Cacna1c+ (more )
Structure Level Pattern Image Note
TS28: spinal cord ventral horn Strong 99224641 There is scattered expression in the ventral horns.

Specimen Mouse 307407 - Image 99224642: postnatal day 56; Cacna1ctm1Dgen/Cacna1c+ (more )
Structure Level Pattern Image Note
TS28: spinal cord white matter Moderate 99224642 There is scattered expression in the white matter.

Specimen Mouse 307407 - Image 99224643: postnatal day 56; Cacna1ctm1Dgen/Cacna1c+ (more )
Structure Level Pattern Image Note
TS28: adenohypophysis pars anterior Moderate 99224643 Expression is frequently seen in the pars distalis.

Specimen Mouse 307407 - Image 99224644: postnatal day 56; Cacna1ctm1Dgen/Cacna1c+ (more )
Structure Level Pattern Image Note
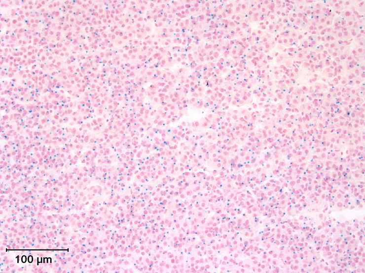
TS28: islets of Langerhans Moderate 99224644 Expression is frequently seen in the islets of Langerhans.

Specimen Mouse 307407 - Image 99224645: postnatal day 56; Cacna1ctm1Dgen/Cacna1c+ (more )
Structure Level Pattern Image Note
TS28: prostate gland Strong Regionally restricted 99224645 There is scattered expression in the ganglia.

Specimen Mouse 307407 - Image 99224650: postnatal day 56; Cacna1ctm1Dgen/Cacna1c+ (more )
Structure Level Pattern Image Note
TS28: prostate gland Very strong Regionally restricted 99224650 Expression is frequently seen in the blood vessels of the prostate gland.
TS28: blood vessel Very strong Regionally restricted 99224650 Expression is frequently seen in the blood vessels of the prostate gland.

Specimen Mouse 307407 - Image 99224651: postnatal day 56; Cacna1ctm1Dgen/Cacna1c+ (more )
Structure Level Pattern Image Note
TS28: prostate gland Very strong Regionally restricted 99224651 Expression is frequently seen in the stroma.

Specimen Mouse 307407 - Image 99224696: postnatal day 56; Cacna1ctm1Dgen/Cacna1c+ (more )
Structure Level Pattern Image Note
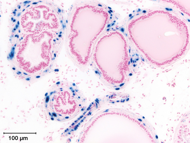
TS28: interstitium of the testis Moderate 99224696 There is occasional staining in the interstitium.

Specimen Mouse 307407 - Image 99224707: postnatal day 56; Cacna1ctm1Dgen/Cacna1c+ (more )
Structure Level Pattern Image Note
TS28: seminiferous tubule Trace 99224707 There is occasional staining in the seminiferous tubules.

Specimen Mouse 307407 - Image 99224708: postnatal day 56; Cacna1ctm1Dgen/Cacna1c+ (more )
Structure Level Pattern Image Note
TS28: testis Strong Regionally restricted 99224708 Expression is frequently seen in the blood vessels of the testis.
TS28: blood vessel Strong Regionally restricted 99224708 Expression is frequently seen in the blood vessels of the testis.

Specimen Mouse 307407 - Image 99224710: postnatal day 56; Cacna1ctm1Dgen/Cacna1c+ (more )
Structure Level Pattern Image Note
TS28: lamina propria of bladder Very strong 99224710 Expression is present in practically all cells of the muscularis.

Specimen Mouse 307407 - Image 99224711: postnatal day 56; Cacna1ctm1Dgen/Cacna1c+ (more )
Structure Level Pattern Image Note
TS28: bladder Very strong Regionally restricted 99224711 Expression is frequently seen in the blood vessels of the urinary bladder.
TS28: blood vessel Very strong Regionally restricted 99224711 Expression is frequently seen in the blood vessels of the urinary bladder.

Specimen Mouse 307407 - Image 99224723: postnatal day 56; Cacna1ctm1Dgen/Cacna1c+ (more )
Structure Level Pattern Image Note
TS28: adrenal medulla Weak 99224723 There is occasional staining in the medulla.

Specimen Mouse 307407 - Image 99224732: postnatal day 56; Cacna1ctm1Dgen/Cacna1c+ (more )
Structure Level Pattern Image Note
TS28: adrenal gland Very strong Regionally restricted 99224732 Expression is frequently seen in the blood vessels of the adrenal gland.
TS28: blood vessel Very strong Regionally restricted 99224732 Expression is frequently seen in the blood vessels of the adrenal gland.

Specimen Mouse 307407 - Image 99224733: postnatal day 56; Cacna1ctm1Dgen/Cacna1c+ (more )
Structure Level Pattern Image Note
TS28: adrenal cortex Strong 99224733 There is scattered expression in the cortex.

Specimen Mouse 307407 - Image 99224750: postnatal day 56; Cacna1ctm1Dgen/Cacna1c+ (more )
Structure Level Pattern Image Note
TS28: renal papilla Moderate 99224750 Expression is frequently seen in the papilla.

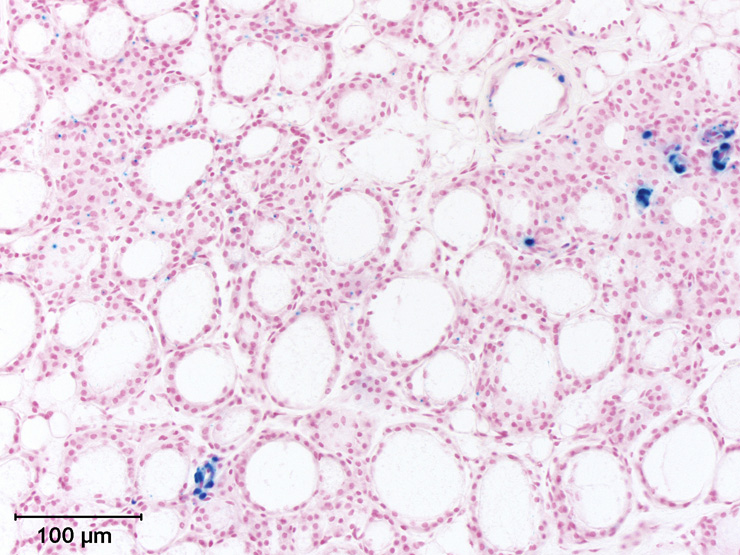
Specimen Mouse 307407 - Image 99224751: postnatal day 56; Cacna1ctm1Dgen/Cacna1c+ (more )
Structure Level Pattern Image Note
TS28: renal pelvis Moderate 99224751 Expression is frequently seen in the kidney pelvis.

Specimen Mouse 307407 - Image 99224755: postnatal day 56; Cacna1ctm1Dgen/Cacna1c+ (more )
Structure Level Pattern Image Note
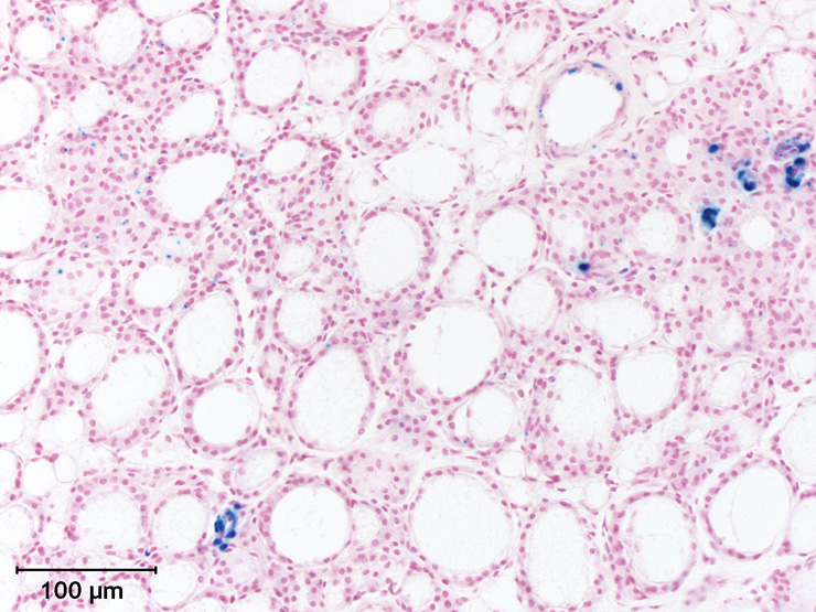
TS28: renal medulla Moderate 99224755 There is occasional staining in the medulla.

Specimen Mouse 307407 - Image 99224763: postnatal day 56; Cacna1ctm1Dgen/Cacna1c+ (more )
Structure Level Pattern Image Note
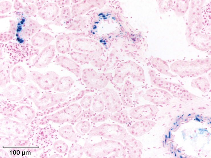
TS28: metanephros Very strong Regionally restricted 99224763 Expression is frequently seen in the blood vessels of the kidney.
TS28: blood vessel Very strong Regionally restricted 99224763 Expression is frequently seen in the blood vessels of the kidney.

Specimen Mouse 307407 - Image 99224767: postnatal day 56; Cacna1ctm1Dgen/Cacna1c+ (more )
Structure Level Pattern Image Note
TS28: bronchiole Strong Regionally restricted 99224767 There is scattered expression in the smooth muscle cells of the bronchioles.

Specimen Mouse 307407 - Image 99224768: postnatal day 56; Cacna1ctm1Dgen/Cacna1c+ (more )
Structure Level Pattern Image Note
TS28: lung Very strong Regionally restricted 99224768 Expression is frequently seen in the blood vessels of the lung.
TS28: blood vessel Very strong Regionally restricted 99224768 Expression is frequently seen in the blood vessels of the lung.

Specimen Mouse 307407 - Image 99224772: postnatal day 56; Cacna1ctm1Dgen/Cacna1c+ (more )
Structure Level Pattern Image Note
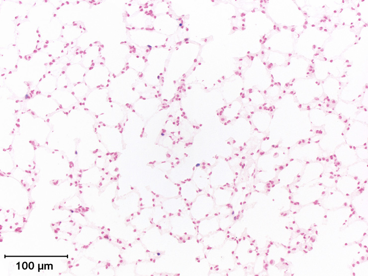
TS28: lung alveolus Moderate 99224772 There is occasional staining in the alveoli.

Specimen Mouse 307407 - Image 99224775: postnatal day 56; Cacna1ctm1Dgen/Cacna1c+ (more )
Structure Level Pattern Image Note
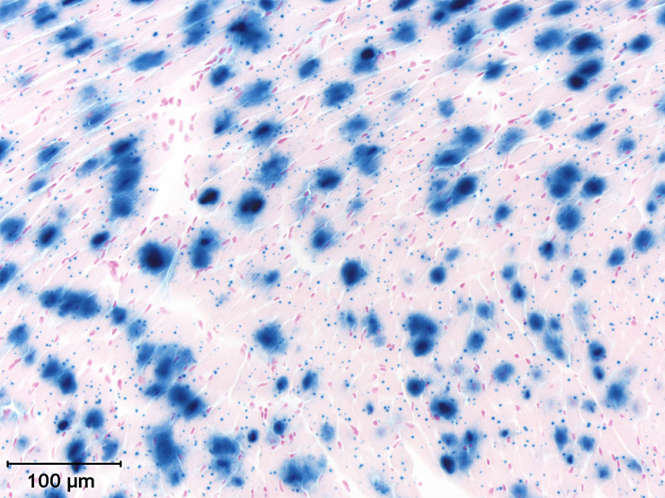
TS28: heart atrium Very strong 99224775 Expression is frequently seen in the atrium.

Specimen Mouse 307407 - Image 99224776: postnatal day 56; Cacna1ctm1Dgen/Cacna1c+ (more )
Structure Level Pattern Image Note
TS28: heart ventricle Very strong 99224776 Expression is frequently seen in the ventricles.

Specimen Mouse 307407 - Image 99224780: postnatal day 56; Cacna1ctm1Dgen/Cacna1c+ (more )
Structure Level Pattern Image Note
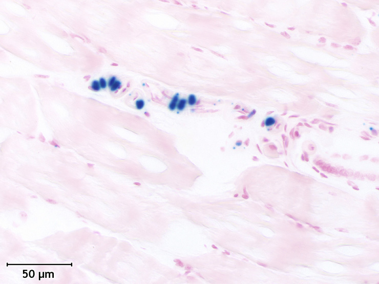
TS28: heart Very strong Regionally restricted 99224780 Expression is frequently seen in the blood vessels of the heart.
TS28: blood vessel Very strong Regionally restricted 99224780 Expression is frequently seen in the blood vessels of the heart.

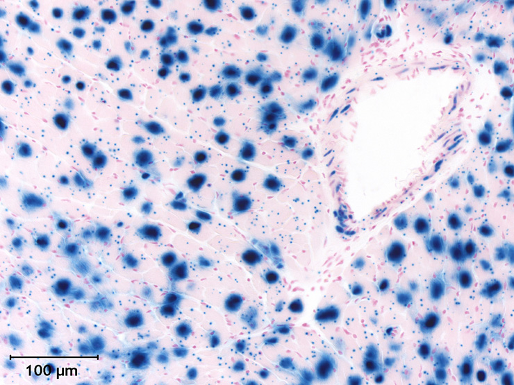
Specimen Mouse 307407 - Image 99224782: postnatal day 56; Cacna1ctm1Dgen/Cacna1c+ (more )
Structure Level Pattern Image Note
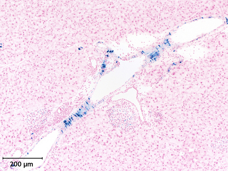
TS28: liver Moderate Regionally restricted 99224782 There is scattered expression in the blood vessels of the liver.
TS28: blood vessel Moderate Regionally restricted 99224782 There is scattered expression in the blood vessels of the liver.

Specimen Mouse 307407 - Image 99225301: postnatal day 56; Cacna1ctm1Dgen/Cacna1c+ (more )
Structure Level Pattern Image Note
TS28: retina Strong 99225301 There is scattered expression in the retina.

Specimen Mouse 307407 - Image 99225302: postnatal day 56; Cacna1ctm1Dgen/Cacna1c+ (more )
Structure Level Pattern Image Note
TS28: pigmented retinal epithelium Strong 99225302 There is scattered expression in the pigment layer.

Specimen Mouse 307407 - Image 99225303: postnatal day 56; Cacna1ctm1Dgen/Cacna1c+ (more )
Structure Level Pattern Image Note
TS28: retina ganglion cell layer Strong 99225303 Expression is frequently seen in the ganglion cell layer.

Specimen Mouse 307407 - Image 99225304: postnatal day 56; Cacna1ctm1Dgen/Cacna1c+ (more )
Structure Level Pattern Image Note
TS28: retina inner nuclear layer Strong 99225304 There is scattered expression in the inner nuclear layer.

Specimen Mouse 307407 - Image 99225407: postnatal day 56; Cacna1ctm1Dgen/Cacna1c+ (more )
Structure Level Pattern Image Note
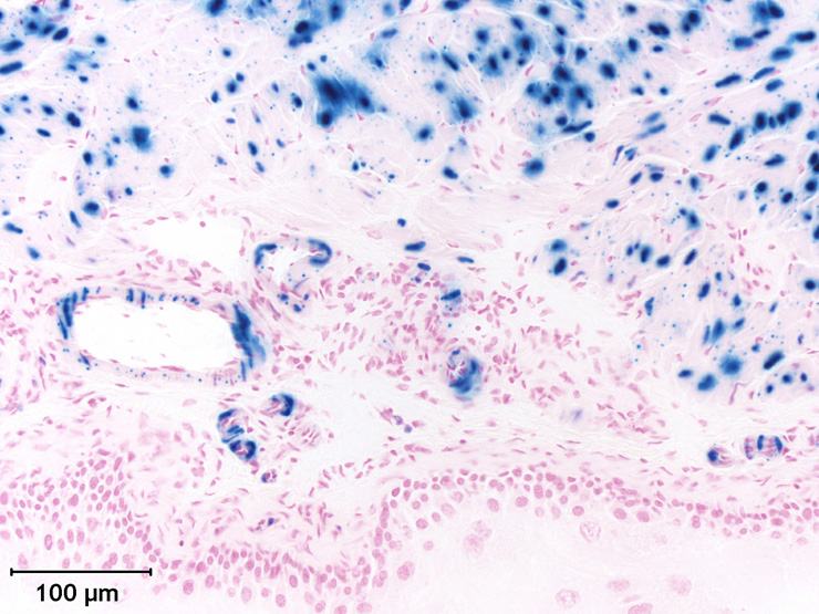
TS28: thyroid gland Strong Regionally restricted 99225407 Expression is frequently seen in the blood vessels of the thyroid gland.
TS28: blood vessel Strong Regionally restricted 99225407 Expression is frequently seen in the blood vessels of the thyroid gland.

Specimen Mouse 307407 - Image 99225408: postnatal day 56; Cacna1ctm1Dgen/Cacna1c+ (more )
Structure Level Pattern Image Note
TS28: thyroid gland Moderate 99225408 There is scattered expression in the thyroid gland.

Specimen Mouse 307407 - Image 99225409: postnatal day 56; Cacna1ctm1Dgen/Cacna1c+ (more )
Structure Level Pattern Image Note
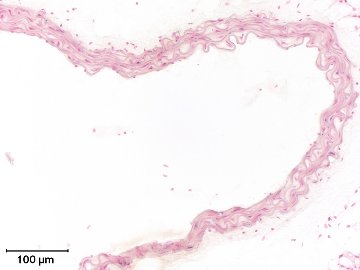
TS28: aorta Moderate 99225409 Expression is frequently seen in the aorta.

Specimen Mouse 307407 - Image 99225410: postnatal day 56; Cacna1ctm1Dgen/Cacna1c+ (more )
Structure Level Pattern Image Note
TS28: aorta Strong Regionally restricted 99225410 There is occasional staining in the periaortic adipose tissue.
TS28: adipose tissue Strong Regionally restricted 99225410 There is occasional staining in the periaortic adipose tissue.

Specimen Mouse 307407 - Image 99225411: postnatal day 56; Cacna1ctm1Dgen/Cacna1c+ (more )
Structure Level Pattern Image Note
TS28: parathyroid gland Strong 99225411 There is occasional staining in the parathyroid gland.

Specimen Mouse 307407 - Image 99225412: postnatal day 56; Cacna1ctm1Dgen/Cacna1c+ (more )
Structure Level Pattern Image Note
TS28: larynx Strong 99225412 There is scattered expression in the larynx.

Specimen Mouse 307407 - Image 99225413: postnatal day 56; Cacna1ctm1Dgen/Cacna1c+ (more )
Structure Level Pattern Image Note
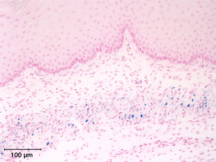
TS28: dermis Strong 99225413 There is occasional staining in the dermis.

Specimen Mouse 307407 - Image 99225414: postnatal day 56; Cacna1ctm1Dgen/Cacna1c+ (more )
Structure Level Pattern Image Note
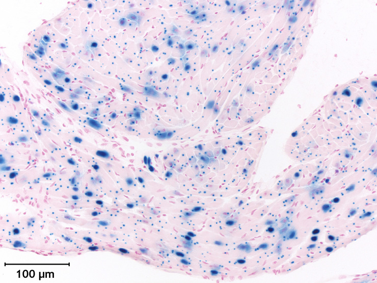
TS28: skeletal muscle Strong Regionally restricted 99225414 Expression is frequently seen in the blood vessels in skeletal muscle.
TS28: blood vessel Strong Regionally restricted 99225414 Expression is frequently seen in the blood vessels in skeletal muscle.

Specimen Mouse 307407: postnatal day 56; Cacna1ctm1Dgen/Cacna1c+ (more )
Structure Level Pattern Image Note
TS28: bone marrow Absent
TS28: lymph node Very strong Regionally restricted Very strong xpression is frequently seen in the blood vessels of the lymph node.
TS28: blood vessel Present Regionally restricted Very strong xpression is frequently seen in the blood vessels of the lymph node. Strong expression is frequently seen in the blood vesslels of the thymus and skin.
TS28: thymus Strong Regionally restricted Expression is frequently seen in the blood vessels of the thymus.
TS28: skin Strong Regionally restricted Expression is frequently seen in the blood vessels of the skin.
TS28: sciatic nerve Absent


Contributing Projects:
Mouse Genome Database (MGD), Gene Expression Database (GXD), Mouse Models of Human Cancer database (MMHCdb) (formerly Mouse Tumor Biology (MTB)), Gene Ontology (GO)
Citing These Resources
Funding Information
Warranty Disclaimer, Privacy Notice, Licensing, & Copyright
Send questions and comments to User Support.
last database update
01/20/2026
MGI 6.24
The Jackson Laboratory