About   Help   FAQ
Gene Expression Data
Assay Details
Assay
Reference: J:101679 Deltagen Inc, NIH initiative supporting placement of Deltagen, Inc. mice into public repositories. MGI Direct Data Submission. 2005;
Assay type: In situ reporter (knock in)
MGI Accession ID: MGI:3639208
Gene symbol: Ackr4
Gene name: atypical chemokine receptor 4
Reporter: lacZ
Direct Detection
Results
Specimen Mouse 154611 - Image 12569172: postnatal day 54; Ackr4tm1Dgen/Ackr4+ (more )
Structure Level Pattern Image Note
TS28: cortical layer III Trace 12569172 There is occasional staining in the pyramidial cell layer.

Specimen Mouse 154611 - Image 12569173: postnatal day 54; Ackr4tm1Dgen/Ackr4+ (more )
Structure Level Pattern Image Note
TS28: spinal cord Moderate 12569173 There is occasional staining in the spinal cord.

Specimen Mouse 154611 - Image 12569176: postnatal day 54; Ackr4tm1Dgen/Ackr4+ (more )
Structure Level Pattern Image Note
TS28: heart Strong Regionally restricted 12569176 There is scattered expression in the epicardium.
TS28: visceral serosal pericardium Strong Regionally restricted 12569176 There is scattered expression in the epicardium.

Specimen Mouse 154611 - Image 12569177: postnatal day 54; Ackr4tm1Dgen/Ackr4+ (more )
Structure Level Pattern Image Note
TS28: heart valve Weak 12569177 There is scattered expression in the valves.

Specimen Mouse 154611 - Image 12569178: postnatal day 54; Ackr4tm1Dgen/Ackr4+ (more )
Structure Level Pattern Image Note
TS28: pancreatic duct Strong 12569178 There is occasional staining in the duct.

Specimen Mouse 154611 - Image 12569179: postnatal day 54; Ackr4tm1Dgen/Ackr4+ (more )
Structure Level Pattern Image Note
TS28: pancreas Moderate 12569179 There is occasional staining in the pancreas.

Specimen Mouse 154611 - Image 12569181: postnatal day 54; Ackr4tm1Dgen/Ackr4+ (more )
Structure Level Pattern Image Note
TS28: esophagus muscularis Strong 12569181 There is occasional staining in the muscle.

Specimen Mouse 154611 - Image 12569182: postnatal day 54; Ackr4tm1Dgen/Ackr4+ (more )
Structure Level Pattern Image Note
TS28: larynx Strong Regionally restricted 12569182 Expression is frequently seen in the lamina propria.

Specimen Mouse 154611 - Image 12569183: postnatal day 54; Ackr4tm1Dgen/Ackr4+ (more )
Structure Level Pattern Image Note
TS28: tongue Strong Regionally restricted 12569183 Expression is frequently seen in the lamina propria.

Specimen Mouse 154611 - Image 12569184: postnatal day 54; Ackr4tm1Dgen/Ackr4+ (more )
Structure Level Pattern Image Note
TS28: tongue muscle Strong 12569184 There is scattered expression in the muscle.

Specimen Mouse 154611 - Image 12569185: postnatal day 54; Ackr4tm1Dgen/Ackr4+ (more )
Structure Level Pattern Image Note
TS28: tongue muscle Strong 12569185 There is scattered expression in the muscle.

Specimen Mouse 154611 - Image 12569186: postnatal day 54; Ackr4tm1Dgen/Ackr4+ (more )
Structure Level Pattern Image Note
TS28: interstitium of the testis Moderate 12569186 There is occasional staining in the interstitial cells.

Specimen Mouse 154611 - Image 12569187: postnatal day 54; Ackr4tm1Dgen/Ackr4+ (more )
Structure Level Pattern Image Note
TS28: seminiferous tubule Weak 12569187 There is occasional staining in the seminiferous tubules.

Specimen Mouse 154611 - Image 12929860: postnatal day 54; Ackr4tm1Dgen/Ackr4+ (more )
Structure Level Pattern Image Note
TS28: penis skin Strong 12929860 Expression is frequently seen in the skin.

Specimen Mouse 154611 - Image 12929861: postnatal day 54; Ackr4tm1Dgen/Ackr4+ (more )
Structure Level Pattern Image Note
TS28: penis Strong Regionally restricted 12929861 There is scattered expression in the lamina propria.

Specimen Mouse 154611 - Image 12929862: postnatal day 54; Ackr4tm1Dgen/Ackr4+ (more )
Structure Level Pattern Image Note
TS28: anterior prostate gland Present Regionally restricted 12929862 Strong expression is frequently seen in the basal cells. There is weak, scattered expression in the secretory cells.

Specimen Mouse 154611 - Image 12929863: postnatal day 54; Ackr4tm1Dgen/Ackr4+ (more )
Structure Level Pattern Image Note
TS28: prostate epithelium Strong Regionally restricted 12929863 There is scattered expression in the basal cells.

Specimen Mouse 154611 - Image 13392305: postnatal day 54; Ackr4tm1Dgen/Ackr4+ (more )
Structure Level Pattern Image Note
TS28: trachea submucosa Moderate Regionally restricted 13392305 There is scattered expression in the submucosal glands.

Specimen Mouse 154611 - Image 13392306: postnatal day 54; Ackr4tm1Dgen/Ackr4+ (more )
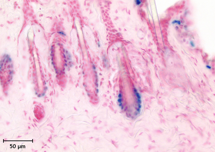
Structure Level Pattern Image Note
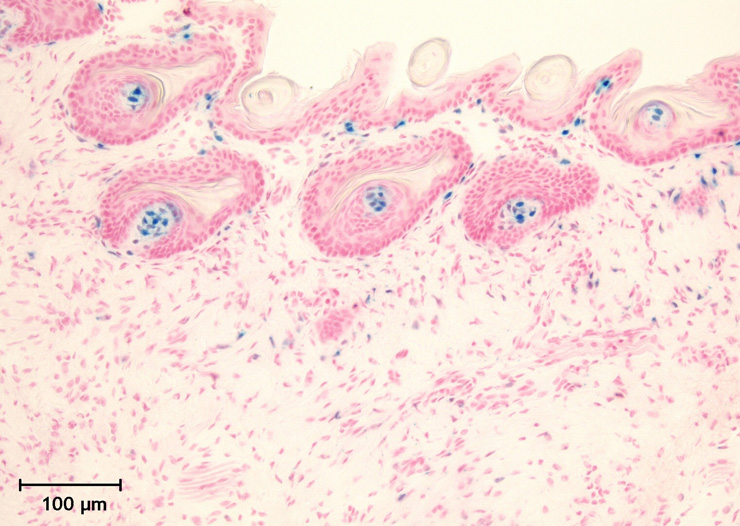
TS28: hair follicle Strong 13392306 Expression is frequently seen in the hair follicles.

Specimen Mouse 154611 - Image 13392307: postnatal day 54; Ackr4tm1Dgen/Ackr4+ (more )
Structure Level Pattern Image Note
TS28: ear skin Strong Regionally restricted 13392307 Expression is frequently seen in the ear skin epidermis.
TS28: epidermis Strong Regionally restricted 13392307 Expression is frequently seen in the ear skin epidermis.

Specimen Mouse 154611 - Image 13392308: postnatal day 54; Ackr4tm1Dgen/Ackr4+ (more )
Structure Level Pattern Image Note
TS28: ear Strong Regionally restricted 13392308 Expression is frequently seen in the ear hair follicles.
TS28: hair follicle Strong Regionally restricted 13392308 Expression is frequently seen in the ear hair follicles.

Specimen Mouse 154611 - Image 13392310: postnatal day 54; Ackr4tm1Dgen/Ackr4+ (more )
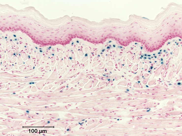
Structure Level Pattern Image Note
TS28: skin Strong 13392310 There is scattered expression in the skin.

Specimen Mouse 154611 - Image 13392312: postnatal day 54; Ackr4tm1Dgen/Ackr4+ (more )
Structure Level Pattern Image Note
TS28: penis Strong Regionally restricted 13392312 Expression is frequently seen in the hair follicles of the penis.
TS28: hair follicle Strong Regionally restricted 13392312 Expression is frequently seen in the hair follicles of the penis.

Specimen Mouse 154611 - Image 13392314: postnatal day 54; Ackr4tm1Dgen/Ackr4+ (more )
Structure Level Pattern Image Note
TS28: penis Strong 13392314 There is scattered expression in the penis.

Specimen Mouse 154611 - Image 13392316: postnatal day 54; Ackr4tm1Dgen/Ackr4+ (more )
Structure Level Pattern Image Note
TS28: os penis Strong 13392316 There is scattered expression in the os penis.

Specimen Mouse 154611 - Image 13392318: postnatal day 54; Ackr4tm1Dgen/Ackr4+ (more )
Structure Level Pattern Image Note
TS28: os penis Strong 13392318 There is scattered expression in the os penis.

Specimen Mouse 154611: postnatal day 54; Ackr4tm1Dgen/Ackr4+ (more )
Structure Level Pattern Image Note
TS28: aorta Absent
TS28: liver Absent
TS28: salivary gland Absent
TS28: adrenal gland Absent
TS28: pituitary gland Absent
TS28: thyroid gland Absent
TS28: bone marrow Absent
TS28: spleen Absent
TS28: lymph node Absent
TS28: thymus Absent
TS28: seminal vesicle Absent
TS28: skeletal muscle Absent
TS28: cerebellum Absent
TS28: brainstem Absent
TS28: sciatic nerve Absent
TS28: lung Absent
TS28: metanephros Absent
TS28: bladder Absent

Specimen Mouse 154614 - Image 13134218: postnatal day 54; Ackr4tm1Dgen/Ackr4+ (more )
Structure Level Pattern Image Note
TS28: telencephalon Trace 13134218 There is occasional staining in the cerebrum.

Specimen Mouse 154614 - Image 13134219: postnatal day 54; Ackr4tm1Dgen/Ackr4+ (more )
Structure Level Pattern Image Note
TS28: telencephalon Weak 13134219 There is occasional staining in the cerebrum.

Specimen Mouse 154614 - Image 13134220: postnatal day 54; Ackr4tm1Dgen/Ackr4+ (more )
Structure Level Pattern Image Note
TS28: brain ventricle Weak Regionally restricted 13134220 There is occasional staining in a ventricle in the cerebrum.

Specimen Mouse 154614 - Image 13134221: postnatal day 54; Ackr4tm1Dgen/Ackr4+ (more )
Structure Level Pattern Image Note
TS28: brainstem Trace 13134221 There is occasional staining in the brainstem.

Specimen Mouse 154614 - Image 13134222: postnatal day 54; Ackr4tm1Dgen/Ackr4+ (more )
Structure Level Pattern Image Note
TS28: brainstem Trace 13134222 There is occasional staining in the brainstem.

Specimen Mouse 154614 - Image 13134223: postnatal day 54; Ackr4tm1Dgen/Ackr4+ (more )
Structure Level Pattern Image Note
TS28: brainstem Trace 13134223 There is occasional staining in the brainstem.

Specimen Mouse 154614 - Image 13392320: postnatal day 54; Ackr4tm1Dgen/Ackr4+ (more )
Structure Level Pattern Image Note
TS28: spinal cord dorsal horn Trace 13392320 There is occasional staining in the dorsal horns.

Specimen Mouse 154614: postnatal day 54; Ackr4tm1Dgen/Ackr4+ (more )
Structure Level Pattern Image Note
TS28: pituitary gland Absent
TS28: cervix uteri Absent
TS28: ovary Absent
TS28: uterus Absent
TS28: vagina Absent
TS28: bone marrow Absent
TS28: thymus Absent
TS28: Harderian gland Absent
TS28: cerebellum Absent
TS28: eye Absent
TS28: bladder Absent


Contributing Projects:
Mouse Genome Database (MGD), Gene Expression Database (GXD), Mouse Models of Human Cancer database (MMHCdb) (formerly Mouse Tumor Biology (MTB)), Gene Ontology (GO)
Citing These Resources
Funding Information
Warranty Disclaimer, Privacy Notice, Licensing, & Copyright
Send questions and comments to User Support.
last database update
12/30/2025
MGI 6.24
The Jackson Laboratory