About   Help   FAQ
Gene Expression Data
Assay Details
Assay
Reference: J:101679 Deltagen Inc, NIH initiative supporting placement of Deltagen, Inc. mice into public repositories. MGI Direct Data Submission. 2005;
Assay type: In situ reporter (knock in)
MGI Accession ID: MGI:3639206
Gene symbol: Adgrb2
Gene name: adhesion G protein-coupled receptor B2
Reporter: lacZ
Direct Detection
Results
Specimen Mouse 385334 - Image 99239451: postnatal day 66; Adgrb2tm1Dgen/Adgrb2+ (more )
Note: This animal was not genotyped; it is possible it was a homozygote.
Structure Level Pattern Image Note
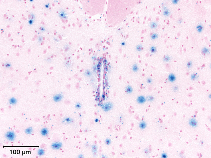
TS28: brain Very strong 99239451 Expression is present in practically all cells of the brain.

Specimen Mouse 385334 - Image 99239452: postnatal day 66; Adgrb2tm1Dgen/Adgrb2+ (more )
Note: This animal was not genotyped; it is possible it was a homozygote.
Structure Level Pattern Image Note
TS28: telencephalon Very strong 99239452 Expression is present in practically all cells of the cerebrum.

Specimen Mouse 385334 - Image 99239453: postnatal day 66; Adgrb2tm1Dgen/Adgrb2+ (more )
Note: This animal was not genotyped; it is possible it was a homozygote.
Structure Level Pattern Image Note
TS28: cerebellum Very strong 99239453 Expression is frequently seen in the cerebellum.

Specimen Mouse 385334 - Image 99239454: postnatal day 66; Adgrb2tm1Dgen/Adgrb2+ (more )
Note: This animal was not genotyped; it is possible it was a homozygote.
Structure Level Pattern Image Note
TS28: brainstem Very strong 99239454 Expression is present in practically all cells of the brainstem.

Specimen Mouse 385334 - Image 99247930: postnatal day 66; Adgrb2tm1Dgen/Adgrb2+ (more )
Note: This animal was not genotyped; it is possible it was a homozygote.
Structure Level Pattern Image Note
TS28: ovary Moderate Regionally restricted 99247930 Expression is frequently seen in the stroma.

Specimen Mouse 385334: postnatal day 66; Adgrb2tm1Dgen/Adgrb2+ (more )
Note: This animal was not genotyped; it is possible it was a homozygote.
Structure Level Pattern Image Note
TS28: ovary Moderate Regionally restricted There is scattered expression in the blood vessels of the ovary.
TS28: blood vessel Moderate Regionally restricted There is scattered expression in the blood vessels of the ovary.
TS28: uterus Absent
TS28: bone marrow Absent

Specimen Mouse 385513 - Image 99239557: postnatal day 60; Adgrb2tm1Dgen/Adgrb2+ (more )
Structure Level Pattern Image Note
TS28: amygdala Very strong 99239557 Expression is present in practically all cells of the amygdala.

Specimen Mouse 385513 - Image 99239566: postnatal day 60; Adgrb2tm1Dgen/Adgrb2+ (more )
Structure Level Pattern Image Note
TS28: caudate-putamen Strong 99239566 Expression is frequently seen in the caudate-putamen.

Specimen Mouse 385513 - Image 99239583: postnatal day 60; Adgrb2tm1Dgen/Adgrb2+ (more )
Structure Level Pattern Image Note
TS28: telencephalon Weak Regionally restricted 99239583 There is occasional staining in the choroid plexus of the cerebrum.
TS28: choroid plexus Weak Regionally restricted 99239583 There is occasional staining in the choroid plexus of the cerebrum.

Specimen Mouse 385513 - Image 99239584: postnatal day 60; Adgrb2tm1Dgen/Adgrb2+ (more )
Structure Level Pattern Image Note
TS28: cerebral cortex Strong 99239584 Expression is frequently seen in the cortex.

Specimen Mouse 385513 - Image 99240265: postnatal day 60; Adgrb2tm1Dgen/Adgrb2+ (more )
Structure Level Pattern Image Note
TS28: spleen Moderate 99240265 There is occasional staining in the spleen.

Specimen Mouse 385513 - Image 99240270: postnatal day 60; Adgrb2tm1Dgen/Adgrb2+ (more )
Structure Level Pattern Image Note
TS28: adrenal cortex Strong 99240270 Expression is frequently seen in the cortex.

Specimen Mouse 385513 - Image 99240273: postnatal day 60; Adgrb2tm1Dgen/Adgrb2+ (more )
Structure Level Pattern Image Note
TS28: renal papilla Very strong 99240273 Expression is frequently seen in the papilla.

Specimen Mouse 385513 - Image 99240306: postnatal day 60; Adgrb2tm1Dgen/Adgrb2+ (more )
Structure Level Pattern Image Note
TS28: renal medulla Strong 99240306 Expression is frequently seen in the medulla.

Specimen Mouse 385513 - Image 99240308: postnatal day 60; Adgrb2tm1Dgen/Adgrb2+ (more )
Structure Level Pattern Image Note
TS28: renal cortex Very strong 99240308 There is scattered expression in the cortex.

Specimen Mouse 385513 - Image 99240311: postnatal day 60; Adgrb2tm1Dgen/Adgrb2+ (more )
Structure Level Pattern Image Note
TS28: lung Strong Regionally restricted 99240311 Expression is frequently seen in the blood vessels of the lung.
TS28: blood vessel Strong Regionally restricted 99240311 Expression is frequently seen in the blood vessels of the lung.

Specimen Mouse 385513 - Image 99240355: postnatal day 60; Adgrb2tm1Dgen/Adgrb2+ (more )
Structure Level Pattern Image Note
TS28: lens Strong 99240355 There is scattered expression in the lens.

Specimen Mouse 385513 - Image 99240368: postnatal day 60; Adgrb2tm1Dgen/Adgrb2+ (more )
Structure Level Pattern Image Note
TS28: dermis Strong 99240368 There is scattered expression in the dermis.

Specimen Mouse 385513 - Image 99240645: postnatal day 60; Adgrb2tm1Dgen/Adgrb2+ (more )
Structure Level Pattern Image Note
TS28: interstitium of the testis Strong 99240645 There is occasional staining in the interstitium.

Specimen Mouse 385513 - Image 99244413: postnatal day 60; Adgrb2tm1Dgen/Adgrb2+ (more )
Structure Level Pattern Image Note
TS28: skeletal muscle Moderate 99244413 There is scattered expression in the skeletal muscle.

Specimen Mouse 385513 - Image 99244414: postnatal day 60; Adgrb2tm1Dgen/Adgrb2+ (more )
Structure Level Pattern Image Note
TS28: sciatic nerve Weak 99244414 There is scattered expression in the sciatic nerve.

Specimen Mouse 385513 - Image 99244415: postnatal day 60; Adgrb2tm1Dgen/Adgrb2+ (more )
Structure Level Pattern Image Note
TS28: hair follicle Strong 99244415 There is scattered expression in the hair follicles.

Specimen Mouse 385513 - Image 99244416: postnatal day 60; Adgrb2tm1Dgen/Adgrb2+ (more )
Structure Level Pattern Image Note
TS28: epidermis Strong 99244416 Expression is frequently seen in the epidermis.

Specimen Mouse 385513 - Image 99244417: postnatal day 60; Adgrb2tm1Dgen/Adgrb2+ (more )
Structure Level Pattern Image Note
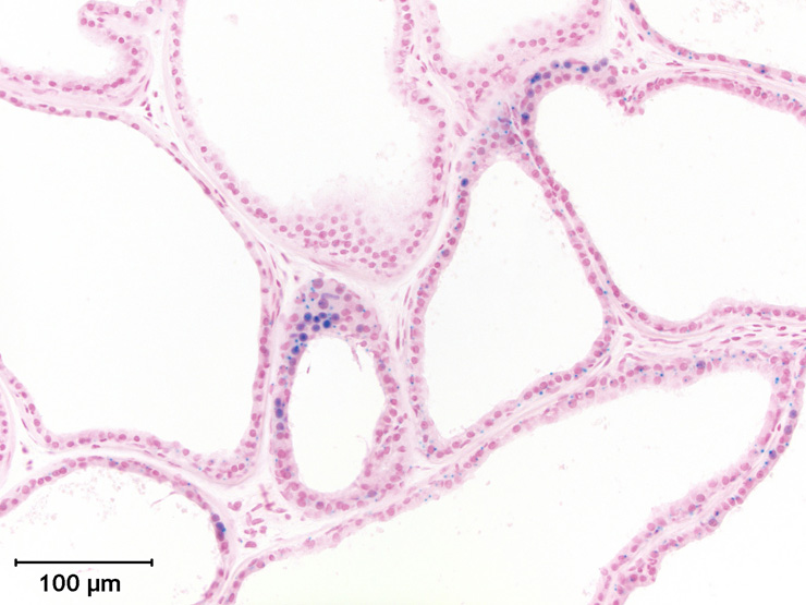
TS28: thyroid gland Strong 99244417 There is occasional staining in the thyroid gland.

Specimen Mouse 385513 - Image 99244418: postnatal day 60; Adgrb2tm1Dgen/Adgrb2+ (more )
Structure Level Pattern Image Note
TS28: trachea Strong 99244418 There is scattered expression in the trachea.

Specimen Mouse 385513 - Image 99244419: postnatal day 60; Adgrb2tm1Dgen/Adgrb2+ (more )
Structure Level Pattern Image Note
TS28: trachea cartilage Very strong 99244419 Expression is frequently seen in the cartilage.

Specimen Mouse 385513 - Image 99244560: postnatal day 60; Adgrb2tm1Dgen/Adgrb2+ (more )
Structure Level Pattern Image Note
TS28: hippocampus Very strong 99244560 Expression is frequently seen in the hippocampus.

Specimen Mouse 385513 - Image 99244565: postnatal day 60; Adgrb2tm1Dgen/Adgrb2+ (more )
Structure Level Pattern Image Note
TS28: hypothalamus Strong 99244565 Expression is frequently seen in the hypothalamus.

Specimen Mouse 385513 - Image 99244589: postnatal day 60; Adgrb2tm1Dgen/Adgrb2+ (more )
Structure Level Pattern Image Note
TS28: telencephalon Moderate Regionally restricted 99244589 There is scattered expression in the cerebral meninges.
TS28: meninges Moderate Regionally restricted 99244589 There is scattered expression in the cerebral meninges.

Specimen Mouse 385513 - Image 99244597: postnatal day 60; Adgrb2tm1Dgen/Adgrb2+ (more )
Structure Level Pattern Image Note
TS28: thalamus Strong 99244597 There is scattered expression in the thalamus.

Specimen Mouse 385513 - Image 99244613: postnatal day 60; Adgrb2tm1Dgen/Adgrb2+ (more )
Structure Level Pattern Image Note
TS28: brain ventricle Very strong Regionally restricted 99244613 Expression is present in practically all cells of a ventricle in the cerebrum.

Specimen Mouse 385513 - Image 99246446: postnatal day 60; Adgrb2tm1Dgen/Adgrb2+ (more )
Structure Level Pattern Image Note
TS28: cerebellum granule cell layer Strong 99246446 There is scattered expression in the granule layer.

Specimen Mouse 385513 - Image 99246448: postnatal day 60; Adgrb2tm1Dgen/Adgrb2+ (more )
Structure Level Pattern Image Note
TS28: cerebellum molecular layer Moderate 99246448 There is scattered expression in the molecular layer.

Specimen Mouse 385513 - Image 99246450: postnatal day 60; Adgrb2tm1Dgen/Adgrb2+ (more )
Structure Level Pattern Image Note
TS28: cerebellum Purkinje cell layer Moderate 99246450 Expression is frequently seen in the Purkinje layer.

Specimen Mouse 385513 - Image 99246452: postnatal day 60; Adgrb2tm1Dgen/Adgrb2+ (more )
Structure Level Pattern Image Note
TS28: cerebellum white matter Strong 99246452 Expression is frequently seen in the white matter.

Specimen Mouse 385513 - Image 99246453: postnatal day 60; Adgrb2tm1Dgen/Adgrb2+ (more )
Structure Level Pattern Image Note
TS28: brainstem Very strong 99246453 Expression is frequently seen in the brainstem.

Specimen Mouse 385513 - Image 99246454: postnatal day 60; Adgrb2tm1Dgen/Adgrb2+ (more )
Structure Level Pattern Image Note
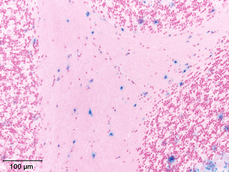
TS28: spinal cord ventral horn Very strong 99246454 Expression is frequently seen in the ventral horns.

Specimen Mouse 385513 - Image 99246455: postnatal day 60; Adgrb2tm1Dgen/Adgrb2+ (more )
Structure Level Pattern Image Note
TS28: spinal cord gray matter Very strong 99246455 Expression is frequently seen in the grey matter.

Specimen Mouse 385513 - Image 99246456: postnatal day 60; Adgrb2tm1Dgen/Adgrb2+ (more )
Structure Level Pattern Image Note
TS28: spinal cord dorsal horn Very strong 99246456 There is scattered expression in the dorsal horns.

Specimen Mouse 385513 - Image 99246457: postnatal day 60; Adgrb2tm1Dgen/Adgrb2+ (more )
Structure Level Pattern Image Note
TS28: spinal cord central canal Strong 99246457 Expression is present in practically all cells of the central canal.

Specimen Mouse 385513 - Image 99246458: postnatal day 60; Adgrb2tm1Dgen/Adgrb2+ (more )
Structure Level Pattern Image Note
TS28: spinal cord white matter Very strong 99246458 There is scattered expression in the white matter.

Specimen Mouse 385513 - Image 99246459: postnatal day 60; Adgrb2tm1Dgen/Adgrb2+ (more )
Structure Level Pattern Image Note
TS28: adenohypophysis pars anterior Strong 99246459 Expression is present in practically all cells of the pars distalis.

Specimen Mouse 385513 - Image 99246463: postnatal day 60; Adgrb2tm1Dgen/Adgrb2+ (more )
Structure Level Pattern Image Note
TS28: neurohypophysis pars nervosa Weak 99246463 There is occasional staining in the pars nervosa.

Specimen Mouse 385513 - Image 99246464: postnatal day 60; Adgrb2tm1Dgen/Adgrb2+ (more )
Structure Level Pattern Image Note
TS28: adenohypophysis pars intermedia Moderate 99246464 There is scattered expression in the pars intermedia.

Specimen Mouse 385513 - Image 99246954: postnatal day 60; Adgrb2tm1Dgen/Adgrb2+ (more )
Structure Level Pattern Image Note
TS28: seminiferous tubule Very strong 99246954 There is scattered expression in the seminiferous tubules.

Specimen Mouse 385513 - Image 99247004: postnatal day 60; Adgrb2tm1Dgen/Adgrb2+ (more )
Structure Level Pattern Image Note
TS28: pancreas Weak 99247004 There is scattered expression in the pancreas.

Specimen Mouse 385513 - Image 99247021: postnatal day 60; Adgrb2tm1Dgen/Adgrb2+ (more )
Structure Level Pattern Image Note
TS28: pancreas Strong Regionally restricted 99247021 Expression is frequently seen in the blood vessels of the pancreas.
TS28: blood vessel Strong Regionally restricted 99247021 Expression is frequently seen in the blood vessels of the pancreas.

Specimen Mouse 385513 - Image 99247022: postnatal day 60; Adgrb2tm1Dgen/Adgrb2+ (more )
Structure Level Pattern Image Note
TS28: spleen capsule Moderate 99247022 There is occasional staining in the capsule.

Specimen Mouse 385513 - Image 99247025: postnatal day 60; Adgrb2tm1Dgen/Adgrb2+ (more )
Structure Level Pattern Image Note
TS28: spleen red pulp Weak 99247025 There is occasional staining in the red pulp.

Specimen Mouse 385513 - Image 99247027: postnatal day 60; Adgrb2tm1Dgen/Adgrb2+ (more )
Structure Level Pattern Image Note
TS28: spleen trabeculum Strong 99247027 Expression is frequently seen in the trabeculae.

Specimen Mouse 385513 - Image 99247065: postnatal day 60; Adgrb2tm1Dgen/Adgrb2+ (more )
Structure Level Pattern Image Note
TS28: prostate epithelium Strong 99247065 There is scattered expression in the epithelium.

Specimen Mouse 385513 - Image 99247066: postnatal day 60; Adgrb2tm1Dgen/Adgrb2+ (more )
Structure Level Pattern Image Note
TS28: prostate gland Strong Regionally restricted 99247066 There is scattered expression in the ganglia.

Specimen Mouse 385513 - Image 99247067: postnatal day 60; Adgrb2tm1Dgen/Adgrb2+ (more )
Structure Level Pattern Image Note
TS28: lamina propria of bladder Strong 99247067 There is scattered expression in the muscularis.

Specimen Mouse 385513 - Image 99247068: postnatal day 60; Adgrb2tm1Dgen/Adgrb2+ (more )
Structure Level Pattern Image Note
TS28: bladder Weak Regionally restricted 99247068 There is scattered expression in the blood vessels of the urinary bladder.
TS28: blood vessel Weak Regionally restricted 99247068 There is scattered expression in the blood vessels of the urinary bladder.

Specimen Mouse 385513 - Image 99247069: postnatal day 60; Adgrb2tm1Dgen/Adgrb2+ (more )
Structure Level Pattern Image Note
TS28: lamina propria of bladder Trace 99247069 There is scattered expression in the lamina propria.

Specimen Mouse 385513 - Image 99247144: postnatal day 60; Adgrb2tm1Dgen/Adgrb2+ (more )
Structure Level Pattern Image Note
TS28: adrenal medulla Strong 99247144 There is scattered expression in the medulla.

Specimen Mouse 385513 - Image 99247151: postnatal day 60; Adgrb2tm1Dgen/Adgrb2+ (more )
Structure Level Pattern Image Note
TS28: metanephros Strong 99247151 There is scattered expression in the kidney.

Specimen Mouse 385513 - Image 99247154: postnatal day 60; Adgrb2tm1Dgen/Adgrb2+ (more )
Structure Level Pattern Image Note
TS28: metanephros Strong Regionally restricted 99247154 Expression is frequently seen in the blood vessels of the kidney.
TS28: blood vessel Strong Regionally restricted 99247154 Expression is frequently seen in the blood vessels of the kidney.

Specimen Mouse 385513 - Image 99247159: postnatal day 60; Adgrb2tm1Dgen/Adgrb2+ (more )
Structure Level Pattern Image Note
TS28: liver Weak Regionally restricted 99247159 There is occasional staining in the blood vessels of the liver.
TS28: blood vessel Weak Regionally restricted 99247159 There is occasional staining in the blood vessels of the liver.

Specimen Mouse 385513 - Image 99247345: postnatal day 60; Adgrb2tm1Dgen/Adgrb2+ (more )
Structure Level Pattern Image Note
TS28: heart ventricle Strong 99247345 There is occasional staining in the ventricles.

Specimen Mouse 385513 - Image 99247347: postnatal day 60; Adgrb2tm1Dgen/Adgrb2+ (more )
Structure Level Pattern Image Note
TS28: heart Weak Regionally restricted 99247347 There is scattered expression in the blood vessels of the heart.
TS28: blood vessel Weak Regionally restricted 99247347 There is scattered expression in the blood vessels of the heart.

Specimen Mouse 385513 - Image 99247356: postnatal day 60; Adgrb2tm1Dgen/Adgrb2+ (more )
Structure Level Pattern Image Note
TS28: heart atrium Strong 99247356 Expression is frequently seen in the atrium.

Specimen Mouse 385513 - Image 99247357: postnatal day 60; Adgrb2tm1Dgen/Adgrb2+ (more )
Structure Level Pattern Image Note
TS28: heart valve Strong 99247357 Expression is frequently seen in the valves.

Specimen Mouse 385513 - Image 99247857: postnatal day 60; Adgrb2tm1Dgen/Adgrb2+ (more )
Structure Level Pattern Image Note
TS28: lung alveolus Strong 99247857 There is occasional staining in the alveoli.

Specimen Mouse 385513 - Image 99247859: postnatal day 60; Adgrb2tm1Dgen/Adgrb2+ (more )
Structure Level Pattern Image Note
TS28: bronchiole Moderate Regionally restricted 99247859 Expression is frequently seen in the smooth muscle cells of the bronchioles.

Specimen Mouse 385513 - Image 99247880: postnatal day 60; Adgrb2tm1Dgen/Adgrb2+ (more )
Structure Level Pattern Image Note
TS28: retina ganglion cell layer Strong 99247880 There is scattered expression in the ganglion cell layer.

Specimen Mouse 385513 - Image 99247892: postnatal day 60; Adgrb2tm1Dgen/Adgrb2+ (more )
Structure Level Pattern Image Note
TS28: retina inner nuclear layer Moderate 99247892 Expression is frequently seen in the inner nuclear layer.

Specimen Mouse 385513 - Image 99247900: postnatal day 60; Adgrb2tm1Dgen/Adgrb2+ (more )
Structure Level Pattern Image Note
TS28: retina outer nuclear layer Moderate 99247900 There is occasional staining in the outer nuclear layer.

Specimen Mouse 385513 - Image 99247906: postnatal day 60; Adgrb2tm1Dgen/Adgrb2+ (more )
Structure Level Pattern Image Note
TS28: ciliary body Strong 99247906 There is scattered expression in the ciliary body.

Specimen Mouse 385513 - Image 99247915: postnatal day 60; Adgrb2tm1Dgen/Adgrb2+ (more )
Structure Level Pattern Image Note
TS28: cornea Strong 99247915 There is scattered expression in the cornea.

Specimen Mouse 385513 - Image 99247918: postnatal day 60; Adgrb2tm1Dgen/Adgrb2+ (more )
Structure Level Pattern Image Note
TS28: optic nerve Very strong 99247918 Expression is frequently seen in the optic nerve.

Specimen Mouse 385513 - Image 99247920: postnatal day 60; Adgrb2tm1Dgen/Adgrb2+ (more )
Structure Level Pattern Image Note
TS28: retina Moderate 99247920 Expression is frequently seen in the retina.

Specimen Mouse 385513: postnatal day 60; Adgrb2tm1Dgen/Adgrb2+ (more )
Structure Level Pattern Image Note
TS28: aorta Absent
TS28: bone marrow Absent
TS28: lymph node Absent
TS28: thymus Absent
TS28: testis Weak Regionally restricted There is scattered expression in the blood vessels of the testis.
TS28: blood vessel Weak Regionally restricted There is scattered expression in the blood vessels of the testis.


Contributing Projects:
Mouse Genome Database (MGD), Gene Expression Database (GXD), Mouse Models of Human Cancer database (MMHCdb) (formerly Mouse Tumor Biology (MTB)), Gene Ontology (GO)
Citing These Resources
Funding Information
Warranty Disclaimer, Privacy Notice, Licensing, & Copyright
Send questions and comments to User Support.
last database update
03/24/2026
MGI 6.24
The Jackson Laboratory