About   Help   FAQ
Gene Expression Data
Assay Details
Assay
Reference: J:101679 Deltagen Inc, NIH initiative supporting placement of Deltagen, Inc. mice into public repositories. MGI Direct Data Submission. 2005;
Assay type: In situ reporter (knock in)
MGI Accession ID: MGI:3639204
Gene symbol: Gabbr1
Gene name: gamma-aminobutyric acid type B receptor subunit 1
Reporter: lacZ
Direct Detection
Results
Specimen Mouse 124366 - Image 10235772: postnatal day 69; Gabbr1tm1Dgen/Gabbr1+ (more )
Structure Level Pattern Image Note
TS28: telencephalon Very strong 10235772 Expression is present in practically all cells of the cerebrum.

Specimen Mouse 124366 - Image 10235773: postnatal day 69; Gabbr1tm1Dgen/Gabbr1+ (more )
Structure Level Pattern Image Note
TS28: telencephalon Very strong 10235773 Expression is present in practically all cells of the cerebrum.

Specimen Mouse 124366 - Image 10235774: postnatal day 69; Gabbr1tm1Dgen/Gabbr1+ (more )
Structure Level Pattern Image Note
TS28: cerebellum Strong 10235774 Expression is frequently seen in the cerebellum.

Specimen Mouse 124366 - Image 10235776: postnatal day 69; Gabbr1tm1Dgen/Gabbr1+ (more )
Structure Level Pattern Image Note
TS28: cerebellum Strong 10235776 Expression is frequently seen in the cerebellum.

Specimen Mouse 124366 - Image 10235780: postnatal day 69; Gabbr1tm1Dgen/Gabbr1+ (more )
Structure Level Pattern Image Note
TS28: brainstem Very strong 10235780 Expression is present in practically all cells of the brainstem.

Specimen Mouse 124366 - Image 10235782: postnatal day 69; Gabbr1tm1Dgen/Gabbr1+ (more )
Structure Level Pattern Image Note
TS28: brainstem Very strong 10235782 Expression is present in practically all cells of the brainstem.

Specimen Mouse 124366 - Image 11862667: postnatal day 69; Gabbr1tm1Dgen/Gabbr1+ (more )
Structure Level Pattern Image Note
TS28: myometrium Trace 11862667 There is scattered expression in the myometrium.

Specimen Mouse 124366 - Image 11862669: postnatal day 69; Gabbr1tm1Dgen/Gabbr1+ (more )
Structure Level Pattern Image Note
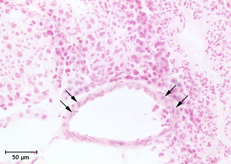
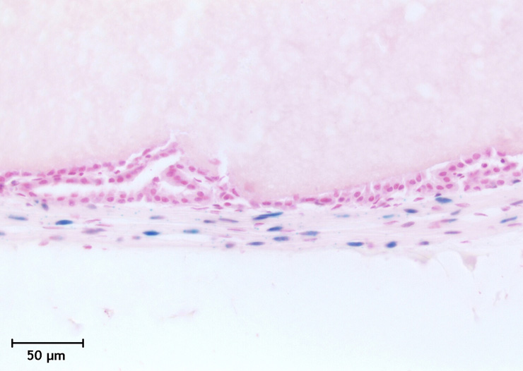
TS28: vagina Weak 11862669 There is scattered expression in the vagina.

Specimen Mouse 124366 - Image 11862673: postnatal day 69; Gabbr1tm1Dgen/Gabbr1+ (more )
Structure Level Pattern Image Note
TS28: lamina propria of bladder Weak 11862673 There is scattered expression in the muscularis.

Specimen Mouse 124366 - Image 11862675: postnatal day 69; Gabbr1tm1Dgen/Gabbr1+ (more )
Structure Level Pattern Image Note
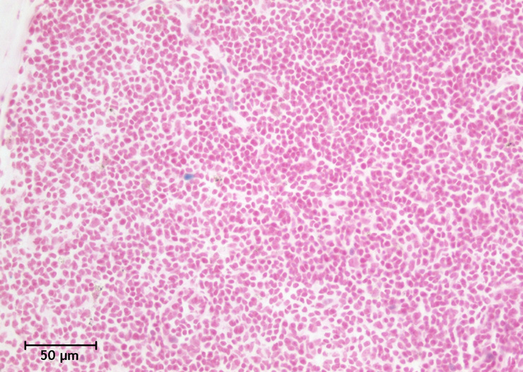
TS28: thymus Trace 11862675 There is occasional staining in the thymus.

Specimen Mouse 124366 - Image 11862677: postnatal day 69; Gabbr1tm1Dgen/Gabbr1+ (more )
Structure Level Pattern Image Note
TS28: lens Weak 11862677 There is scattered expression in the lens.

Specimen Mouse 124366 - Image 11862683: postnatal day 69; Gabbr1tm1Dgen/Gabbr1+ (more )
Structure Level Pattern Image Note
TS28: vagina Very strong Regionally restricted 11862683 Expression is frequently seen in the ganglia.

Specimen Mouse 124366 - Image 11862689: postnatal day 69; Gabbr1tm1Dgen/Gabbr1+ (more )
Structure Level Pattern Image Note
TS28: Harderian gland Moderate Regionally restricted 11862689 Expression is frequently seen in the blood vessels of the harderian gland.
TS28: blood vessel Moderate Regionally restricted 11862689 Expression is frequently seen in the blood vessels of the harderian gland.

Specimen Mouse 124366 - Image 14221519: postnatal day 69; Gabbr1tm1Dgen/Gabbr1+ (more )
Structure Level Pattern Image Note
TS28: uterus Strong Regionally restricted 14221519 Expression is frequently seen in the uterine tubules.

Specimen Mouse 124366 - Image 14229194: postnatal day 69; Gabbr1tm1Dgen/Gabbr1+ (more )
Structure Level Pattern Image Note
TS28: bone marrow Weak 14229194 There is occasional staining in the bone marrow.

Specimen Mouse 124366 - Image 14229198: postnatal day 69; Gabbr1tm1Dgen/Gabbr1+ (more )
Structure Level Pattern Image Note
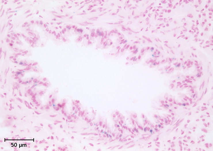
TS28: vagina Moderate Regionally restricted 14229198 Expression is frequently seen in the blood vessels of the vagina.
TS28: blood vessel Moderate Regionally restricted 14229198 Expression is frequently seen in the blood vessels of the vagina.

Specimen Mouse 124366 - Image 14229200: postnatal day 69; Gabbr1tm1Dgen/Gabbr1+ (more )
Structure Level Pattern Image Note
TS28: bladder mucosa Moderate 14229200 There is scattered expression in the mucosa.

Specimen Mouse 124366 - Image 14229204: postnatal day 69; Gabbr1tm1Dgen/Gabbr1+ (more )
Structure Level Pattern Image Note
TS28: cornea Strong 14229204 There is occasional staining in the cornea.

Specimen Mouse 124366: postnatal day 69; Gabbr1tm1Dgen/Gabbr1+ (more )
Structure Level Pattern Image Note
TS28: pituitary gland Strong Expression is present in practically all cells of the pituitary gland.
TS28: ovary Absent
TS28: uterus Weak Regionally restricted Expression is frequently seen in the blood vessels of the uterus.
TS28: blood vessel Weak Regionally restricted Expression is frequently seen in the blood vessels of the uterus.
TS28: spinal cord Strong Expression is frequently seen in the spinal cord.
TS28: pigmented retinal epithelium Strong There is scattered expression in the pigment layer.
TS28: retina Strong Expression is frequently seen in the retina.
TS28: sclera Moderate Expression is frequently seen in the sclera.

Specimen Mouse 126244 - Image 11592013: postnatal day 59; Gabbr1tm1Dgen/Gabbr1+ (more )
Structure Level Pattern Image Note
TS28: brainstem Very strong 11592013 Expression is frequently seen in the brainstem.

Specimen Mouse 126244 - Image 11592016: postnatal day 59; Gabbr1tm1Dgen/Gabbr1+ (more )
Structure Level Pattern Image Note
TS28: cerebellum Strong 11592016 Expression is frequently seen in the cerebellum.

Specimen Mouse 126244 - Image 11592018: postnatal day 59; Gabbr1tm1Dgen/Gabbr1+ (more )
Structure Level Pattern Image Note
TS28: cerebellum granule cell layer Strong 11592018 Expression is present in practically all cells of the granular layer.

Specimen Mouse 126244 - Image 11592020: postnatal day 59; Gabbr1tm1Dgen/Gabbr1+ (more )
Structure Level Pattern Image Note
TS28: spinal cord Strong 11592020 Expression is frequently seen in the spinal cord.

Specimen Mouse 126244 - Image 11592022: postnatal day 59; Gabbr1tm1Dgen/Gabbr1+ (more )
Structure Level Pattern Image Note
TS28: pituitary gland Strong 11592022 Expression is frequently seen in the pituitary gland.

Specimen Mouse 126244 - Image 11592024: postnatal day 59; Gabbr1tm1Dgen/Gabbr1+ (more )
Structure Level Pattern Image Note
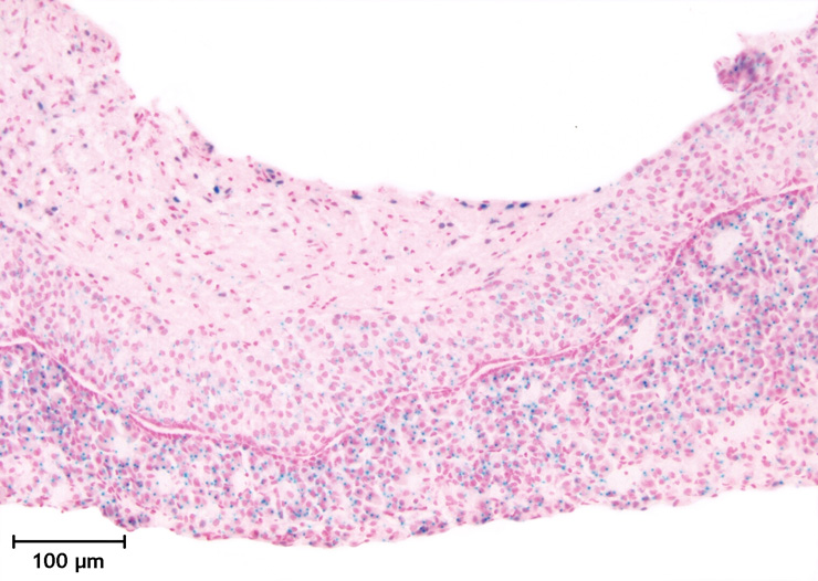
TS28: lymph node Moderate 11592024 There is occasional staining in the lymph nodes.

Specimen Mouse 126244 - Image 11592026: postnatal day 59; Gabbr1tm1Dgen/Gabbr1+ (more )
Structure Level Pattern Image Note
TS28: salivary gland Strong Regionally restricted 11592026 Expression is present in practically all cells of the ganglia.

Specimen Mouse 126244 - Image 11592028: postnatal day 59; Gabbr1tm1Dgen/Gabbr1+ (more )
Structure Level Pattern Image Note
TS28: salivary gland Strong Regionally restricted 11592028 Expression is frequently seen in the endothelial cells of the blood vessels of the salivary gland.
TS28: blood vessel endothelium Strong Regionally restricted 11592028 Expression is frequently seen in the endothelial cells of the blood vessels of the salivary gland.

Specimen Mouse 126244 - Image 11592030: postnatal day 59; Gabbr1tm1Dgen/Gabbr1+ (more )
Structure Level Pattern Image Note
TS28: adrenal medulla Strong 11592030 Expression is present in practically all cells of the medulla.

Specimen Mouse 126244 - Image 11592032: postnatal day 59; Gabbr1tm1Dgen/Gabbr1+ (more )
Structure Level Pattern Image Note
TS28: adrenal gland Strong Regionally restricted 11592032 Expression is present in practically all cells of the capsule.

Specimen Mouse 126244 - Image 11592034: postnatal day 59; Gabbr1tm1Dgen/Gabbr1+ (more )
Structure Level Pattern Image Note
TS28: aorta Moderate 11592034 There is scattered expression in the aorta.

Specimen Mouse 126244 - Image 11592038: postnatal day 59; Gabbr1tm1Dgen/Gabbr1+ (more )
Structure Level Pattern Image Note
TS28: bronchiole epithelium Moderate 11592038 Expression is frequently seen in the epithelial cells.

Specimen Mouse 126244 - Image 11592043: postnatal day 59; Gabbr1tm1Dgen/Gabbr1+ (more )
Structure Level Pattern Image Note
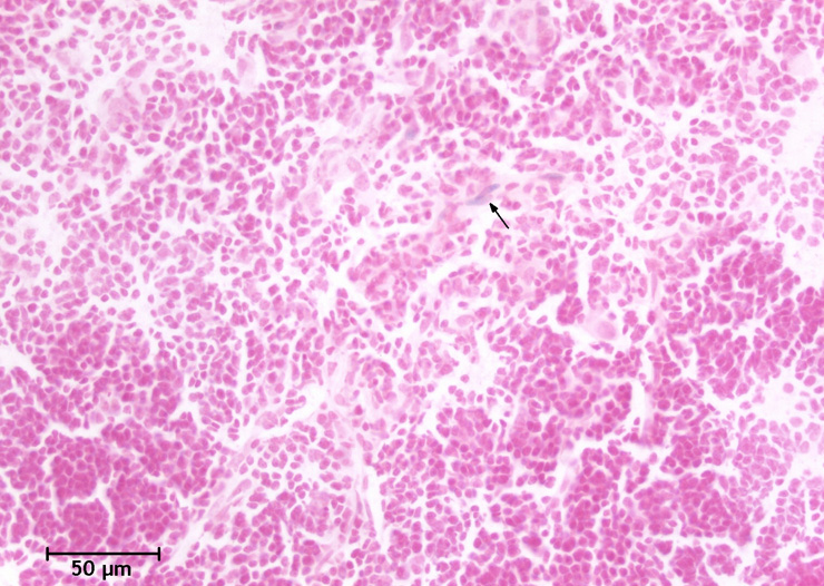
TS28: spleen Moderate 11592043 There is scattered expression in the spleen.

Specimen Mouse 126244 - Image 11592046: postnatal day 59; Gabbr1tm1Dgen/Gabbr1+ (more )
Structure Level Pattern Image Note
TS28: pancreas Moderate Regionally restricted 11592046 There is scattered expression in the blood vessels of the pancreas.
TS28: blood vessel Moderate Regionally restricted 11592046 There is scattered expression in the blood vessels of the pancreas.

Specimen Mouse 126244 - Image 11592062: postnatal day 59; Gabbr1tm1Dgen/Gabbr1+ (more )
Structure Level Pattern Image Note
TS28: esophagus Strong 11592062 There is occasional staining in the esophagus.

Specimen Mouse 126244 - Image 11592064: postnatal day 59; Gabbr1tm1Dgen/Gabbr1+ (more )
Structure Level Pattern Image Note
TS28: larynx Weak 11592064 Expression is frequently seen in the larynx.

Specimen Mouse 126244 - Image 11592066: postnatal day 59; Gabbr1tm1Dgen/Gabbr1+ (more )
Structure Level Pattern Image Note
TS28: trachea cartilage Moderate 11592066 There is scattered expression in the chondrocytes.

Specimen Mouse 126244 - Image 11592071: postnatal day 59; Gabbr1tm1Dgen/Gabbr1+ (more )
Structure Level Pattern Image Note
TS28: larynx submucosa gland Weak 11592071 There is scattered expression in the submucosal glands.

Specimen Mouse 126244 - Image 11592073: postnatal day 59; Gabbr1tm1Dgen/Gabbr1+ (more )
Structure Level Pattern Image Note
TS28: larynx Very strong Regionally restricted 11592073 Expression is frequently seen in the ganglia.

Specimen Mouse 126244 - Image 11637484: postnatal day 59; Gabbr1tm1Dgen/Gabbr1+ (more )
Structure Level Pattern Image Note
TS28: tongue Moderate Regionally restricted 11637484 Expression is frequently seen in the endothelial cells of the blood vessels of the tongue.
TS28: blood vessel endothelium Moderate Regionally restricted 11637484 Expression is frequently seen in the endothelial cells of the blood vessels of the tongue.

Specimen Mouse 126244 - Image 11637534: postnatal day 59; Gabbr1tm1Dgen/Gabbr1+ (more )
Structure Level Pattern Image Note
TS28: tongue Moderate Regionally restricted 11637534 There is scattered expression in the mucous glands.

Specimen Mouse 126244 - Image 11637559: postnatal day 59; Gabbr1tm1Dgen/Gabbr1+ (more )
Structure Level Pattern Image Note
TS28: tongue Weak 11637559 There is scattered expression in the salivary gland of the tongue.
TS28: salivary gland Weak 11637559 There is scattered expression in the salivary gland of the tongue.

Specimen Mouse 126244 - Image 11637584: postnatal day 59; Gabbr1tm1Dgen/Gabbr1+ (more )
Structure Level Pattern Image Note
TS28: hair follicle Moderate 11637584 There is scattered expression in the hair follicles.

Specimen Mouse 126244 - Image 11637609: postnatal day 59; Gabbr1tm1Dgen/Gabbr1+ (more )
Structure Level Pattern Image Note
TS28: epidermis Moderate 11637609 There is scattered expression in the epidermis.

Specimen Mouse 126244 - Image 11637634: postnatal day 59; Gabbr1tm1Dgen/Gabbr1+ (more )
Structure Level Pattern Image Note
TS28: ear Moderate Regionally restricted 11637634 There is scattered expression in the ear cartilage in chondrocytes.
TS28: cartilage Moderate Regionally restricted 11637634 There is scattered expression in the ear cartilage in chondrocytes.

Specimen Mouse 126244 - Image 11637658: postnatal day 59; Gabbr1tm1Dgen/Gabbr1+ (more )
Structure Level Pattern Image Note
TS28: testis Weak 11637658 There is scattered expression in the testis.

Specimen Mouse 126244 - Image 11637684: postnatal day 59; Gabbr1tm1Dgen/Gabbr1+ (more )
Structure Level Pattern Image Note
TS28: penis Moderate Regionally restricted 11637684 Expression is frequently seen in the body of the penis.

Specimen Mouse 126244 - Image 11835140: postnatal day 59; Gabbr1tm1Dgen/Gabbr1+ (more )
Structure Level Pattern Image Note
TS28: penis skin Strong 11835140 There is scattered expression in the skin.

Specimen Mouse 126244 - Image 11835142: postnatal day 59; Gabbr1tm1Dgen/Gabbr1+ (more )
Structure Level Pattern Image Note
TS28: os penis Moderate Regionally restricted 11835142 There is scattered expression in the chondrocytes.

Specimen Mouse 126244 - Image 11835144: postnatal day 59; Gabbr1tm1Dgen/Gabbr1+ (more )
Structure Level Pattern Image Note
TS28: seminal vesicle Weak Regionally restricted 11835144 Expression is frequently seen in the myocytes of the capsule.

Specimen Mouse 126244 - Image 11835148: postnatal day 59; Gabbr1tm1Dgen/Gabbr1+ (more )
Structure Level Pattern Image Note
TS28: anterior prostate gland Moderate Regionally restricted 11835148 Expression is frequently seen in the myocytes of the capsule.

Specimen Mouse 126244 - Image 11835150: postnatal day 59; Gabbr1tm1Dgen/Gabbr1+ (more )
Structure Level Pattern Image Note
TS28: prostate gland smooth muscle Moderate Regionally restricted 11835150 Expression is frequently seen in the myocytes of the capsule.

Specimen Mouse 126244 - Image 11835158: postnatal day 59; Gabbr1tm1Dgen/Gabbr1+ (more )
Structure Level Pattern Image Note
TS28: lamina propria of bladder Weak 11835158 There is scattered expression in the muscularis.

Specimen Mouse 126244 - Image 11862691: postnatal day 59; Gabbr1tm1Dgen/Gabbr1+ (more )
Structure Level Pattern Image Note
TS28: thymus Trace 11862691 There is occasional staining in the thymus.

Specimen Mouse 126244 - Image 11862695: postnatal day 59; Gabbr1tm1Dgen/Gabbr1+ (more )
Structure Level Pattern Image Note
TS28: bone marrow Moderate 11862695 There is occasional staining in the bone marrow.

Specimen Mouse 126244 - Image 14526308: postnatal day 59; Gabbr1tm1Dgen/Gabbr1+ (more )
Structure Level Pattern Image Note
TS28: salivary gland Moderate Regionally restricted 14526308 There is scattered expression in the acini.

Specimen Mouse 126244 - Image 14531930: postnatal day 59; Gabbr1tm1Dgen/Gabbr1+ (more )
Structure Level Pattern Image Note
TS28: aorta Moderate Regionally restricted 14531930 There is scattered expression in the adipose tissue of the aorta.
TS28: adipose tissue Moderate Regionally restricted 14531930 There is scattered expression in the adipose tissue of the aorta.

Specimen Mouse 126244 - Image 14531932: postnatal day 59; Gabbr1tm1Dgen/Gabbr1+ (more )
Structure Level Pattern Image Note
TS28: spleen trabeculum Weak 14531932 There is scattered expression in the trabeculae.

Specimen Mouse 126244 - Image 14531934: postnatal day 59; Gabbr1tm1Dgen/Gabbr1+ (more )
Structure Level Pattern Image Note
TS28: spleen Weak Regionally restricted 14531934 There is scattered expression in the blood vessels of the spleen.
TS28: blood vessel Weak Regionally restricted 14531934 There is scattered expression in the blood vessels of the spleen.

Specimen Mouse 126244 - Image 14531936: postnatal day 59; Gabbr1tm1Dgen/Gabbr1+ (more )
Structure Level Pattern Image Note
TS28: heart valve Weak 14531936 Expression is frequently seen in the valves.

Specimen Mouse 126244 - Image 14531938: postnatal day 59; Gabbr1tm1Dgen/Gabbr1+ (more )
Structure Level Pattern Image Note
TS28: heart Strong Regionally restricted 14531938 Expression is present in practically all cells of the ganglia.

Specimen Mouse 126244 - Image 14558806: postnatal day 59; Gabbr1tm1Dgen/Gabbr1+ (more )
Structure Level Pattern Image Note
TS28: gallbladder smooth muscle Trace Regionally restricted 14558806 There is scattered expression in the smooth muscle of the wall.

Specimen Mouse 126244 - Image 14558811: postnatal day 59; Gabbr1tm1Dgen/Gabbr1+ (more )
Structure Level Pattern Image Note
TS28: heart Trace 14558811 There is occasional staining in the heart.

Specimen Mouse 126244 - Image 14558812: postnatal day 59; Gabbr1tm1Dgen/Gabbr1+ (more )
Structure Level Pattern Image Note
TS28: heart Weak Regionally restricted 14558812 There is scattered expression in the supraaortic valvue area.

Specimen Mouse 126244 - Image 14558813: postnatal day 59; Gabbr1tm1Dgen/Gabbr1+ (more )
Structure Level Pattern Image Note
TS28: bronchiole Weak Regionally restricted 14558813 There is scattered expression in the smooth muscle cells of the bronchioles.

Specimen Mouse 126244 - Image 14558814: postnatal day 59; Gabbr1tm1Dgen/Gabbr1+ (more )
Structure Level Pattern Image Note
TS28: lung Moderate Regionally restricted 14558814 There is scattered expression in the endothelial cells of the blood vessels of the lung.
TS28: blood vessel endothelium Moderate Regionally restricted 14558814 There is scattered expression in the endothelial cells of the blood vessels of the lung.

Specimen Mouse 126244 - Image 14558815: postnatal day 59; Gabbr1tm1Dgen/Gabbr1+ (more )
Structure Level Pattern Image Note
TS28: lung Moderate Regionally restricted 14558815 There is scattered expression in the smooth muscle cells of the blood vessels of the lung.
TS28: blood vessel smooth muscle Moderate Regionally restricted 14558815 There is scattered expression in the smooth muscle cells of the blood vessels of the lung.

Specimen Mouse 126244 - Image 14616383: postnatal day 59; Gabbr1tm1Dgen/Gabbr1+ (more )
Structure Level Pattern Image Note
TS28: larynx Moderate Regionally restricted 14616383 There is scattered expression in the gland.

Specimen Mouse 126244 - Image 14636816: postnatal day 59; Gabbr1tm1Dgen/Gabbr1+ (more )
Structure Level Pattern Image Note
TS28: cerebellum white matter Moderate 14636816 Expression is frequently seen in the white matter.

Specimen Mouse 126244 - Image 14636818: postnatal day 59; Gabbr1tm1Dgen/Gabbr1+ (more )
Structure Level Pattern Image Note
TS28: cerebellum molecular layer Moderate 14636818 Expression is frequently seen in the molecular layer.

Specimen Mouse 126244 - Image 14642106: postnatal day 59; Gabbr1tm1Dgen/Gabbr1+ (more )
Structure Level Pattern Image Note
TS28: cerebellum Purkinje cell layer Moderate 14642106 There is occasional staining in the Purkinje layer.

Specimen Mouse 126244 - Image 14642107: postnatal day 59; Gabbr1tm1Dgen/Gabbr1+ (more )
Structure Level Pattern Image Note
TS28: 4th ventricle Strong 14642107 Expression is present in practically all cells of the ventricle.

Specimen Mouse 126244 - Image 14651076: postnatal day 59; Gabbr1tm1Dgen/Gabbr1+ (more )
Structure Level Pattern Image Note
TS28: testis Moderate Regionally restricted 14651076 There is scattered expression in the smooth muscle cells of the blood vessels of the testis.
TS28: blood vessel smooth muscle Moderate Regionally restricted 14651076 There is scattered expression in the smooth muscle cells of the blood vessels of the testis.

Specimen Mouse 126244 - Image 14658701: postnatal day 59; Gabbr1tm1Dgen/Gabbr1+ (more )
Structure Level Pattern Image Note
TS28: ampullary gland Moderate Regionally restricted 14658701 Expression is frequently seen in the smooth muscle cells of the capsule.

Specimen Mouse 126244 - Image 14658703: postnatal day 59; Gabbr1tm1Dgen/Gabbr1+ (more )
Structure Level Pattern Image Note
TS28: bladder mucosa Strong 14658703 There is scattered expression in the mucosa.

Specimen Mouse 126244 - Image 14658706: postnatal day 59; Gabbr1tm1Dgen/Gabbr1+ (more )
Structure Level Pattern Image Note
TS28: skin Moderate Regionally restricted 14658706 Expression is frequently seen in the blood vessels in the skin.
TS28: blood vessel Moderate Regionally restricted 14658706 Expression is frequently seen in the blood vessels in the skin.

Specimen Mouse 126244 - Image 14658708: postnatal day 59; Gabbr1tm1Dgen/Gabbr1+ (more )
Structure Level Pattern Image Note
TS28: ear skin Moderate Regionally restricted 14658708 There is scattered expression in the ear skin epidermis.
TS28: epidermis Moderate Regionally restricted 14658708 There is scattered expression in the ear skin epidermis.

Specimen Mouse 126244 - Image 14658713: postnatal day 59; Gabbr1tm1Dgen/Gabbr1+ (more )
Structure Level Pattern Image Note
TS28: prostate gland Very strong Regionally restricted 14658713 Expression is present in practically all cells of the ganglia.

Specimen Mouse 126244 - Image 14686034: postnatal day 59; Gabbr1tm1Dgen/Gabbr1+ (more )
Structure Level Pattern Image Note
TS28: thyroid gland Moderate Regionally restricted 14686034 Expression is frequently seen in the blood vessels of the thyroid gland.
TS28: blood vessel Moderate Regionally restricted 14686034 Expression is frequently seen in the blood vessels of the thyroid gland.

Specimen Mouse 126244 - Image 14686045: postnatal day 59; Gabbr1tm1Dgen/Gabbr1+ (more )
Structure Level Pattern Image Note
TS28: trachea epithelium Weak 14686045 There is scattered expression in the mucosal epithelium.

Specimen Mouse 126244 - Image 35932369: postnatal day 59; Gabbr1tm1Dgen/Gabbr1+ (more )
Structure Level Pattern Image Note
TS28: brain ventricle Very strong Regionally restricted 35932369 Expression is frequently seen in a ventricle in the cerebrum.

Specimen Mouse 126244: postnatal day 59; Gabbr1tm1Dgen/Gabbr1+ (more )
Structure Level Pattern Image Note
TS28: heart Weak Regionally restricted There is scattered expression in the blood vessels of the heart.
TS28: blood vessel Present Regionally restricted There is weak expression in the blood vessels of the heart, cerebellum, and cerebrum, and moderate expression in the blood vessels of the penis.
TS28: liver Absent
TS28: tongue Present Regionally restricted Very strong expression is present in practically all cells of the ganglia of the tongue. There is also moderate, scattered expression in the smooth muscle cells of the blood vessels of the tongue.
TS28: blood vessel smooth muscle Present Regionally restricted Moderate, scattered expression is seen in the smooth muscle cells of the blood vessels of the tongue. Weak, frequent expression is seen in the smooth muscle cells of the blood vessels of the kidney.
TS28: ear Moderate Regionally restricted There is scattered expression in the ear hair follicles.
TS28: hair follicle Moderate Regionally restricted There is scattered expression in the ear hair follicles.
TS28: penis Moderate Regionally restricted There is scattered expression in the blood vessels of the penis.
TS28: skeletal muscle Absent
TS28: cerebellum Present Regionally restricted Weak expression is frequently seen in the blood vessels of the cerebellum. Strong expression is frequently seen in the meninges of the cerebellum.
TS28: meninges Present Regionally restricted Strong expression is frequently seen in the meninges of the cerebellum. Very strong, scattered expression is present in the cerebral meninges.
TS28: amygdala Present Expression is present in practically all cells of the amygdala.
TS28: anterior commissure Very strong Expression is frequently seen in the anterior commissure.
TS28: telencephalon Present Regionally restricted In the cerebrum there is weak expression is frequently seen in the blood vessels and strong expression is frequently seen in the choroid plexus. There is very strong, scattered expression in the cerebral meninges.
TS28: caudate-putamen Very strong Expression is present in practically all cells of the caudate-putamen.
TS28: choroid plexus Strong Regionally restricted Expression is frequently seen in the choroid plexus of the cerebrum.
TS28: corpus callosum Very strong Expression is frequently seen in the corpus callosum.
TS28: cerebral cortex Very strong Expression is present in practically all cells of the cortex.
TS28: habenula Very strong Expression is present in practically all cells of the habenular nuclei.
TS28: hippocampus Very strong Expression is present in practically all cells of the hippocampus.
TS28: hypothalamus Very strong Expression is present in practically all cells of the hypothalamus.
TS28: thalamus Very strong Expression is present in practically all cells of the thalamus.
TS28: sciatic nerve Absent
TS28: laryngeal cartilage Moderate Expression is frequently seen in the cartilage.
TS28: larynx epithelium Moderate Expression is frequently seen in the epithelium.
TS28: larynx muscle Weak Expression is frequently seen in the muscle layer.
TS28: metanephros Present Regionally restricted There is moderate, scattered expression in the endothelial cells of the blood vessels of the kidney, and weak, frequent expression seen in the smooth muscle cells of the blood vessels of the kidney.
TS28: blood vessel endothelium Moderate Regionally restricted There is scattered expression in the endothelial cells of the blood vessels of the kidney.
TS28: glomerular tuft Moderate There is scattered expression in the glomeruli.
TS28: renal medulla Trace There is scattered expression in the medulla.
TS28: renal papilla Weak Expression is frequently seen in the papilla.
TS28: renal tubule Moderate Regionally restricted There is scattered expression in the smooth muscle cells of the tubules.


Contributing Projects:
Mouse Genome Database (MGD), Gene Expression Database (GXD), Mouse Models of Human Cancer database (MMHCdb) (formerly Mouse Tumor Biology (MTB)), Gene Ontology (GO)
Citing These Resources
Funding Information
Warranty Disclaimer, Privacy Notice, Licensing, & Copyright
Send questions and comments to User Support.
last database update
12/30/2025
MGI 6.24
The Jackson Laboratory