About   Help   FAQ
Gene Expression Data
Assay Details
Assay
Reference: J:101679 Deltagen Inc, NIH initiative supporting placement of Deltagen, Inc. mice into public repositories. MGI Direct Data Submission. 2005;
Assay type: In situ reporter (knock in)
MGI Accession ID: MGI:3639202
Gene symbol: Celsr2
Gene name: cadherin, EGF LAG seven-pass G-type receptor 2
Reporter: lacZ
Direct Detection
Results
Specimen Mouse 364988 - Image 99242014: postnatal day 63; Celsr2tm1Dgen/Celsr2+ (more )
Structure Level Pattern Image Note
TS28: thalamus Weak 99242014 There is scattered expression in the thalamus.

Specimen Mouse 364988 - Image 99242015: postnatal day 63; Celsr2tm1Dgen/Celsr2+ (more )
Structure Level Pattern Image Note
TS28: amygdala Strong 99242015 Expression is frequently seen in the amygdala.

Specimen Mouse 364988 - Image 99242016: postnatal day 63; Celsr2tm1Dgen/Celsr2+ (more )
Structure Level Pattern Image Note
TS28: cerebral cortex Moderate 99242016 Expression is frequently seen in the cortex.

Specimen Mouse 364988 - Image 99242017: postnatal day 63; Celsr2tm1Dgen/Celsr2+ (more )
Structure Level Pattern Image Note
TS28: hippocampus Strong 99242017 Expression is frequently seen in the hippocampus.

Specimen Mouse 364988 - Image 99242021: postnatal day 63; Celsr2tm1Dgen/Celsr2+ (more )
Structure Level Pattern Image Note
TS28: brain ventricle Strong Regionally restricted 99242021 Expression is present in practically all cells of a ventricle in the cerebrum.

Specimen Mouse 364988 - Image 99242024: postnatal day 63; Celsr2tm1Dgen/Celsr2+ (more )
Structure Level Pattern Image Note
TS28: hypothalamus Moderate 99242024 There is scattered expression in the hypothalamus.

Specimen Mouse 364988 - Image 99242027: postnatal day 63; Celsr2tm1Dgen/Celsr2+ (more )
Structure Level Pattern Image Note
TS28: telencephalon Strong Regionally restricted 99242027 Expression is frequently seen in the choroid plexus of the cerebrum.
TS28: choroid plexus Strong Regionally restricted 99242027 Expression is frequently seen in the choroid plexus of the cerebrum.

Specimen Mouse 364988 - Image 99242031: postnatal day 63; Celsr2tm1Dgen/Celsr2+ (more )
Structure Level Pattern Image Note
TS28: telencephalon Weak Regionally restricted 99242031 There is scattered expression in the cerebral meninges.
TS28: meninges Weak Regionally restricted 99242031 There is scattered expression in the cerebral meninges.

Specimen Mouse 364988 - Image 99242039: postnatal day 63; Celsr2tm1Dgen/Celsr2+ (more )
Structure Level Pattern Image Note
TS28: caudate-putamen Moderate 99242039 There is scattered expression in the caudate-putamen.

Specimen Mouse 364988 - Image 99242042: postnatal day 63; Celsr2tm1Dgen/Celsr2+ (more )
Structure Level Pattern Image Note
TS28: cerebellum granule cell layer Moderate 99242042 There is scattered expression in the granule layer.

Specimen Mouse 364988 - Image 99242043: postnatal day 63; Celsr2tm1Dgen/Celsr2+ (more )
Structure Level Pattern Image Note
TS28: cerebellum molecular layer Moderate 99242043 There is scattered expression in the molecular layer.

Specimen Mouse 364988 - Image 99242044: postnatal day 63; Celsr2tm1Dgen/Celsr2+ (more )
Structure Level Pattern Image Note
TS28: cerebellum Purkinje cell layer Strong 99242044 Expression is frequently seen in the Purkinje layer.

Specimen Mouse 364988 - Image 99242045: postnatal day 63; Celsr2tm1Dgen/Celsr2+ (more )
Structure Level Pattern Image Note
TS28: cerebellum white matter Very strong 99242045 There is scattered expression in the white matter.

Specimen Mouse 364988 - Image 99242066: postnatal day 63; Celsr2tm1Dgen/Celsr2+ (more )
Structure Level Pattern Image Note
TS28: brainstem Strong 99242066 There is scattered expression in the brainstem.

Specimen Mouse 364988 - Image 99242074: postnatal day 63; Celsr2tm1Dgen/Celsr2+ (more )
Structure Level Pattern Image Note
TS28: spinal cord central canal Very strong 99242074 Expression is present in practically all cells of the central canal.

Specimen Mouse 364988 - Image 99242075: postnatal day 63; Celsr2tm1Dgen/Celsr2+ (more )
Structure Level Pattern Image Note
TS28: spinal cord gray matter Strong 99242075 There is scattered expression in the grey matter.

Specimen Mouse 364988 - Image 99242076: postnatal day 63; Celsr2tm1Dgen/Celsr2+ (more )
Structure Level Pattern Image Note
TS28: spinal cord white matter Very strong 99242076 There is scattered expression in the white matter.

Specimen Mouse 364988 - Image 99242089: postnatal day 63; Celsr2tm1Dgen/Celsr2+ (more )
Structure Level Pattern Image Note
TS28: neurohypophysis pars nervosa Weak 99242089 There is scattered expression in the pars nervosa.

Specimen Mouse 364988 - Image 99242090: postnatal day 63; Celsr2tm1Dgen/Celsr2+ (more )
Structure Level Pattern Image Note
TS28: adenohypophysis pars anterior Strong 99242090 There is scattered expression in the pars distalis.

Specimen Mouse 364988 - Image 99242092: postnatal day 63; Celsr2tm1Dgen/Celsr2+ (more )
Structure Level Pattern Image Note
TS28: pancreatic acinus Moderate 99242092 Expression is frequently seen in the acini.

Specimen Mouse 364988 - Image 99242094: postnatal day 63; Celsr2tm1Dgen/Celsr2+ (more )
Structure Level Pattern Image Note
TS28: seminiferous tubule Trace 99242094 There is occasional staining in the seminiferous tubules.

Specimen Mouse 364988 - Image 99242181: postnatal day 63; Celsr2tm1Dgen/Celsr2+ (more )
Structure Level Pattern Image Note
TS28: prostate epithelium Weak 99242181 There is scattered expression in the epithelium.

Specimen Mouse 364988 - Image 99242182: postnatal day 63; Celsr2tm1Dgen/Celsr2+ (more )
Structure Level Pattern Image Note
TS28: adrenal medulla Weak 99242182 There is scattered expression in the medulla.

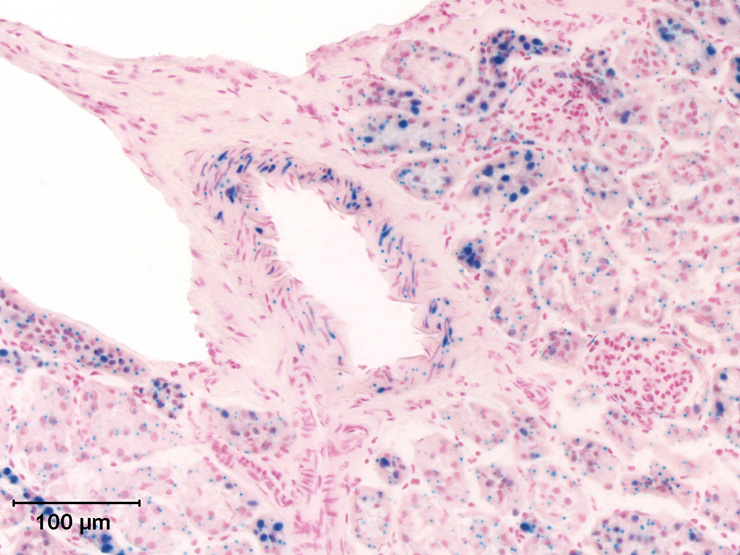
Specimen Mouse 364988 - Image 99242185: postnatal day 63; Celsr2tm1Dgen/Celsr2+ (more )
Structure Level Pattern Image Note
TS28: renal cortex Very strong 99242185 Expression is frequently seen in the cortex.

Specimen Mouse 364988 - Image 99242186: postnatal day 63; Celsr2tm1Dgen/Celsr2+ (more )
Structure Level Pattern Image Note
TS28: glomerular tuft Moderate 99242186 There is scattered expression in the glomeruli.

Specimen Mouse 364988 - Image 99242187: postnatal day 63; Celsr2tm1Dgen/Celsr2+ (more )
Structure Level Pattern Image Note
TS28: renal tubule Very strong 99242187 There is scattered expression in the tubules.

Specimen Mouse 364988 - Image 99242188: postnatal day 63; Celsr2tm1Dgen/Celsr2+ (more )
Structure Level Pattern Image Note
TS28: renal medulla Very strong 99242188 Expression is frequently seen in the medulla.

Specimen Mouse 364988 - Image 99242189: postnatal day 63; Celsr2tm1Dgen/Celsr2+ (more )
Structure Level Pattern Image Note
TS28: renal papilla Very strong 99242189 Expression is frequently seen in the papilla.

Specimen Mouse 364988 - Image 99242190: postnatal day 63; Celsr2tm1Dgen/Celsr2+ (more )
Structure Level Pattern Image Note
TS28: renal pelvis Trace 99242190 There is occasional staining in the kidney pelvis.

Specimen Mouse 364988 - Image 99242191: postnatal day 63; Celsr2tm1Dgen/Celsr2+ (more )
Structure Level Pattern Image Note
TS28: metanephros Very strong Regionally restricted 99242191 Expression is frequently seen in the blood vessels of the kidney.
TS28: blood vessel Very strong Regionally restricted 99242191 Expression is frequently seen in the blood vessels of the kidney.

Specimen Mouse 364988 - Image 99242192: postnatal day 63; Celsr2tm1Dgen/Celsr2+ (more )
Structure Level Pattern Image Note
TS28: bronchiole epithelium Moderate 99242192 Expression is frequently seen in the epithelial cells.

Specimen Mouse 364988 - Image 99242193: postnatal day 63; Celsr2tm1Dgen/Celsr2+ (more )
Structure Level Pattern Image Note
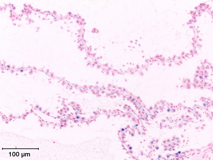
TS28: lung Weak Regionally restricted 99242193 There is scattered expression in the blood vessels of the lung.
TS28: blood vessel Weak Regionally restricted 99242193 There is scattered expression in the blood vessels of the lung.

Specimen Mouse 364988 - Image 99242194: postnatal day 63; Celsr2tm1Dgen/Celsr2+ (more )
Structure Level Pattern Image Note
TS28: retina Moderate 99242194 There is scattered expression in the retina.

Specimen Mouse 364988 - Image 99242195: postnatal day 63; Celsr2tm1Dgen/Celsr2+ (more )
Structure Level Pattern Image Note
TS28: lens Strong 99242195 Expression is frequently seen in the lens.

Specimen Mouse 364988 - Image 99242196: postnatal day 63; Celsr2tm1Dgen/Celsr2+ (more )
Structure Level Pattern Image Note
TS28: ciliary body Strong 99242196 Expression is frequently seen in the ciliary body.

Specimen Mouse 364988 - Image 99242197: postnatal day 63; Celsr2tm1Dgen/Celsr2+ (more )
Structure Level Pattern Image Note
TS28: cornea Moderate 99242197 There is occasional staining in the cornea.

Specimen Mouse 364988 - Image 99242198: postnatal day 63; Celsr2tm1Dgen/Celsr2+ (more )
Structure Level Pattern Image Note
TS28: optic nerve Very strong 99242198 There is scattered expression in the optic nerve.

Specimen Mouse 364988 - Image 99242199: postnatal day 63; Celsr2tm1Dgen/Celsr2+ (more )
Structure Level Pattern Image Note
TS28: retina ganglion cell layer Moderate 99242199 There is scattered expression in the ganglion cell layer.

Specimen Mouse 364988 - Image 99242200: postnatal day 63; Celsr2tm1Dgen/Celsr2+ (more )
Structure Level Pattern Image Note
TS28: retina inner nuclear layer Strong 99242200 There is scattered expression in the inner nuclear layer.

Specimen Mouse 364988 - Image 99242201: postnatal day 63; Celsr2tm1Dgen/Celsr2+ (more )
Structure Level Pattern Image Note
TS28: pigmented retinal epithelium Moderate 99242201 There is scattered expression in the pigment layer.

Specimen Mouse 364988 - Image 99242202: postnatal day 63; Celsr2tm1Dgen/Celsr2+ (more )
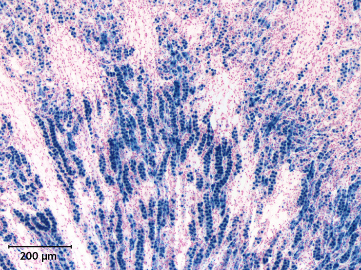
Structure Level Pattern Image Note
TS28: thymus medullary core Moderate 99242202 There is occasional staining in the medulla.

Specimen Mouse 364988 - Image 99242203: postnatal day 63; Celsr2tm1Dgen/Celsr2+ (more )
Structure Level Pattern Image Note
TS28: trachea Strong 99242203 There is scattered expression in the trachea.

Specimen Mouse 364988 - Image 99242204: postnatal day 63; Celsr2tm1Dgen/Celsr2+ (more )
Structure Level Pattern Image Note
TS28: trachea cartilage Very strong 99242204 There is scattered expression in the chondrocytes.

Specimen Mouse 364988 - Image 99242205: postnatal day 63; Celsr2tm1Dgen/Celsr2+ (more )
Structure Level Pattern Image Note
TS28: thyroid gland Strong 99242205 There is scattered expression in the thyroid gland.

Specimen Mouse 364988 - Image 99242206: postnatal day 63; Celsr2tm1Dgen/Celsr2+ (more )
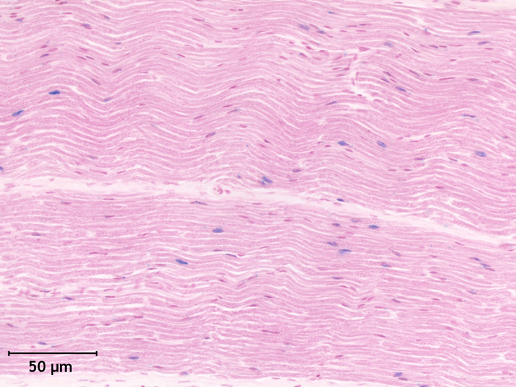
Structure Level Pattern Image Note
TS28: aorta Weak 99242206 There is scattered expression in the aorta.

Specimen Mouse 364988 - Image 99242207: postnatal day 63; Celsr2tm1Dgen/Celsr2+ (more )
Structure Level Pattern Image Note
TS28: epidermis Strong 99242207 There is scattered expression in the epidermis.

Specimen Mouse 364988 - Image 99242209: postnatal day 63; Celsr2tm1Dgen/Celsr2+ (more )
Structure Level Pattern Image Note
TS28: hair follicle Very strong 99242209 Expression is frequently seen in the hair follicles.

Specimen Mouse 364988 - Image 99242218: postnatal day 63; Celsr2tm1Dgen/Celsr2+ (more )
Structure Level Pattern Image Note
TS28: sciatic nerve Weak 99242218 Expression is frequently seen in the sciatic nerve.

Specimen Mouse 364988 - Image 99245874: postnatal day 63; Celsr2tm1Dgen/Celsr2+ (more )
Structure Level Pattern Image Note
TS28: spinal cord ventral horn Strong 99245874 There is scattered expression in the ventral horns.

Specimen Mouse 364988 - Image 99245940: postnatal day 63; Celsr2tm1Dgen/Celsr2+ (more )
Structure Level Pattern Image Note
TS28: brainstem Strong 99245940 There is scattered expression in the brainstem.

Specimen Mouse 364988 - Image 99245941: postnatal day 63; Celsr2tm1Dgen/Celsr2+ (more )
Structure Level Pattern Image Note
TS28: spinal cord dorsal horn Strong 99245941 There is scattered expression in the dorsal horns.

Specimen Mouse 364988 - Image 99246231: postnatal day 63; Celsr2tm1Dgen/Celsr2+ (more )
Structure Level Pattern Image Note
TS28: sebaceous gland Very strong 99246231 Expression is frequently seen in the sebaceous gland.

Specimen Mouse 364988: postnatal day 63; Celsr2tm1Dgen/Celsr2+ (more )
Structure Level Pattern Image Note
TS28: heart Absent
TS28: liver Absent
TS28: bone marrow Absent
TS28: spleen Absent
TS28: lymph node Absent
TS28: skeletal muscle Absent
TS28: bladder Absent

Specimen Mouse 397816 - Image 99238175: postnatal day 68; Celsr2tm1Dgen/Celsr2+ (more )
Structure Level Pattern Image Note
TS28: brain Strong 99238175 Expression is present in practically all cells of the brain.

Specimen Mouse 397816 - Image 99238176: postnatal day 68; Celsr2tm1Dgen/Celsr2+ (more )
Structure Level Pattern Image Note
TS28: telencephalon Strong 99238176 Expression is present in practically all cells of the cerebrum.

Specimen Mouse 397816 - Image 99238177: postnatal day 68; Celsr2tm1Dgen/Celsr2+ (more )
Structure Level Pattern Image Note
TS28: cerebellum Very strong 99238177 Expression is frequently seen in the cerebellum.

Specimen Mouse 397816 - Image 99238178: postnatal day 68; Celsr2tm1Dgen/Celsr2+ (more )
Structure Level Pattern Image Note
TS28: brainstem Strong 99238178 Expression is present in practically all cells of the brainstem.

Specimen Mouse 397816 - Image 99242232: postnatal day 68; Celsr2tm1Dgen/Celsr2+ (more )
Structure Level Pattern Image Note
TS28: bladder Trace Regionally restricted 99242232 There is scattered expression in the blood vessels of the urinary bladder.
TS28: blood vessel Trace Regionally restricted 99242232 There is scattered expression in the blood vessels of the urinary bladder.

Specimen Mouse 397816 - Image 99242233: postnatal day 68; Celsr2tm1Dgen/Celsr2+ (more )
Structure Level Pattern Image Note
TS28: endometrium epithelium Trace 99242233 There is occasional staining in the endometrial epithelium.

Specimen Mouse 397816 - Image 99242234: postnatal day 68; Celsr2tm1Dgen/Celsr2+ (more )
Structure Level Pattern Image Note
TS28: epithelial layer of cervix uteri Strong 99242234 Expression is frequently seen in the epithelium.

Specimen Mouse 397816: postnatal day 68; Celsr2tm1Dgen/Celsr2+ (more )
Structure Level Pattern Image Note
TS28: ovary Absent
TS28: bone marrow Absent


Contributing Projects:
Mouse Genome Database (MGD), Gene Expression Database (GXD), Mouse Models of Human Cancer database (MMHCdb) (formerly Mouse Tumor Biology (MTB)), Gene Ontology (GO)
Citing These Resources
Funding Information
Warranty Disclaimer, Privacy Notice, Licensing, & Copyright
Send questions and comments to User Support.
last database update
12/30/2025
MGI 6.24
The Jackson Laboratory