About   Help   FAQ
Gene Expression Data
Assay Details
Assay
Reference: J:101679 Deltagen Inc, NIH initiative supporting placement of Deltagen, Inc. mice into public repositories. MGI Direct Data Submission. 2005;
Assay type: In situ reporter (knock in)
MGI Accession ID: MGI:3639200
Gene symbol: Gabra4
Gene name: gamma-aminobutyric acid type A receptor subunit alpha 4
Reporter: lacZ
Direct Detection
Results
Specimen Mouse 193224: postnatal day 49; Gabra4tm1Dgen/Gabra4+ (more )
Structure Level Pattern Image Note
TS28: cervix uteri Absent
TS28: ovary Absent
TS28: oviduct Absent
TS28: uterus Absent
TS28: vagina Absent
TS28: bone marrow Absent
TS28: thymus Absent
TS28: Harderian gland Absent
TS28: eye Absent
TS28: urethra Absent
TS28: bladder Absent

Specimen Mouse 193225 - Image 42573646: postnatal day 64; Gabra4tm1Dgen/Gabra4+ (more )
Structure Level Pattern Image Note
TS28: brain Strong 42573646 Expression is frequently seen in the brain.

Specimen Mouse 193225 - Image 42573731: postnatal day 64; Gabra4tm1Dgen/Gabra4+ (more )
Structure Level Pattern Image Note
TS28: brain Strong 42573731 Expression is frequently seen in the brain.

Specimen Mouse 193225 - Image 42573777: postnatal day 64; Gabra4tm1Dgen/Gabra4+ (more )
Structure Level Pattern Image Note
TS28: cerebellum Strong 42573777 Expression is frequently seen in the cerebellum.

Specimen Mouse 193225 - Image 42573854: postnatal day 64; Gabra4tm1Dgen/Gabra4+ (more )
Structure Level Pattern Image Note
TS28: cerebellum Purkinje cell layer Strong 42573854 Expression is frequently seen in the Purkinje layer.

Specimen Mouse 193225 - Image 42573867: postnatal day 64; Gabra4tm1Dgen/Gabra4+ (more )
Structure Level Pattern Image Note
TS28: brainstem Weak 42573867 Expression is frequently seen in the brainstem.

Specimen Mouse 193225 - Image 42573896: postnatal day 64; Gabra4tm1Dgen/Gabra4+ (more )
Structure Level Pattern Image Note
TS28: brainstem Weak 42573896 Expression is frequently seen in the brainstem.

Specimen Mouse 193225: postnatal day 64; Gabra4tm1Dgen/Gabra4+ (more )
Structure Level Pattern Image Note
TS28: cerebral cortex Strong Expression is frequently seen in the cortex.
TS28: main olfactory bulb Moderate There is scattered expression in the olfactory bulb.
TS28: thalamus Strong Expression is frequently seen in the thalamus.

Specimen Mouse 193232 - Image 42105598: postnatal day 53; Gabra4tm1Dgen/Gabra4+ (more )
Structure Level Pattern Image Note
TS28: cerebral cortex Strong 42105598 Expression is frequently seen in the cortex.

Specimen Mouse 193232 - Image 42121215: postnatal day 53; Gabra4tm1Dgen/Gabra4+ (more )
Structure Level Pattern Image Note
TS28: lateral septal complex Strong Regionally restricted 42121215 Expression is frequently seen in the lateral septal nucleus.

Specimen Mouse 193232 - Image 42121263: postnatal day 53; Gabra4tm1Dgen/Gabra4+ (more )
Structure Level Pattern Image Note
TS28: dentate gyrus Very strong 42121263 Expression is present in practically all cells of the dentate gyrus.

Specimen Mouse 193232 - Image 42136280: postnatal day 53; Gabra4tm1Dgen/Gabra4+ (more )
Structure Level Pattern Image Note
TS28: hippocampus region Weak 42136280 Expression is frequently seen in the CA field.
TS28: hippocampus Strong 42136280 Expression is frequently seen in the hippocampus.
TS28: cortical layer III Very strong 42136280 Expression is present in practically all cells of the pyramidial cell layer.

Specimen Mouse 193232 - Image 42142479: postnatal day 53; Gabra4tm1Dgen/Gabra4+ (more )
Structure Level Pattern Image Note
TS28: habenula Weak 42142479 There is scattered expression in the habenular nuclei.

Specimen Mouse 193232 - Image 42148316: postnatal day 53; Gabra4tm1Dgen/Gabra4+ (more )
Structure Level Pattern Image Note
TS28: thalamus Very strong 42148316 Expression is frequently seen in the thalamus.

Specimen Mouse 193232 - Image 42153797: postnatal day 53; Gabra4tm1Dgen/Gabra4+ (more )
Structure Level Pattern Image Note
TS28: hypothalamus Weak 42153797 There is occasional staining in the hypothalamus.

Specimen Mouse 193232 - Image 42163888: postnatal day 53; Gabra4tm1Dgen/Gabra4+ (more )
Structure Level Pattern Image Note
TS28: anterior commissure Moderate 42163888 There is occasional staining in the anterior commissure.

Specimen Mouse 193232 - Image 42180022: postnatal day 53; Gabra4tm1Dgen/Gabra4+ (more )
Structure Level Pattern Image Note
TS28: lateral ventricle Strong 42180022 There is occasional staining in the lateral ventricle.

Specimen Mouse 193232 - Image 42187733: postnatal day 53; Gabra4tm1Dgen/Gabra4+ (more )
Structure Level Pattern Image Note
TS28: telencephalon Weak Regionally restricted 42187733 There is occasional staining in the fornix.

Specimen Mouse 193232 - Image 42227694: postnatal day 53; Gabra4tm1Dgen/Gabra4+ (more )
Structure Level Pattern Image Note
TS28: sublingual gland Moderate 42227694 There is scattered expression in the sublingual gland.

Specimen Mouse 193232 - Image 42480099: postnatal day 53; Gabra4tm1Dgen/Gabra4+ (more )
Structure Level Pattern Image Note
TS28: telencephalon Strong 42480099 Expression is frequently seen in the cerebrum.

Specimen Mouse 193232 - Image 42480127: postnatal day 53; Gabra4tm1Dgen/Gabra4+ (more )
Structure Level Pattern Image Note
TS28: telencephalon Strong 42480127 Expression is frequently seen in the cerebrum.

Specimen Mouse 193232 - Image 42480161: postnatal day 53; Gabra4tm1Dgen/Gabra4+ (more )
Structure Level Pattern Image Note
TS28: adenohypophysis pars anterior Strong 42480161 Expression is frequently seen in the pars distalis.

Specimen Mouse 193232 - Image 42480214: postnatal day 53; Gabra4tm1Dgen/Gabra4+ (more )
Structure Level Pattern Image Note
TS28: spinal cord gray matter Moderate 42480214 There is occasional staining in the grey matter.

Specimen Mouse 193232 - Image 42480234: postnatal day 53; Gabra4tm1Dgen/Gabra4+ (more )
Structure Level Pattern Image Note
TS28: spinal cord white matter Moderate 42480234 There is occasional staining in the white matter.

Specimen Mouse 193232 - Image 42480279: postnatal day 53; Gabra4tm1Dgen/Gabra4+ (more )
Structure Level Pattern Image Note
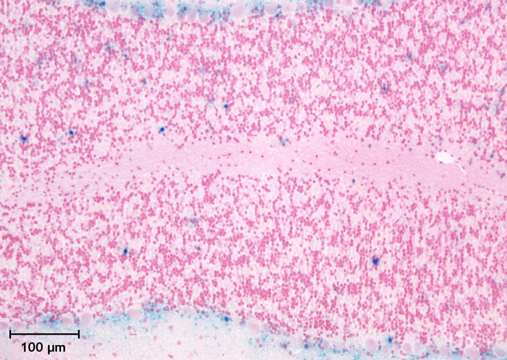
TS28: cerebellum molecular layer Moderate 42480279 There is scattered expression in the molecular layer.

Specimen Mouse 193232 - Image 42480292: postnatal day 53; Gabra4tm1Dgen/Gabra4+ (more )
Structure Level Pattern Image Note
TS28: cerebellum white matter Strong 42480292 There is occasional staining in the white matter.

Specimen Mouse 193232 - Image 42480321: postnatal day 53; Gabra4tm1Dgen/Gabra4+ (more )
Structure Level Pattern Image Note
TS28: brainstem Strong 42480321 There is occasional staining in the brainstem.

Specimen Mouse 193232 - Image 42480393: postnatal day 53; Gabra4tm1Dgen/Gabra4+ (more )
Structure Level Pattern Image Note
TS28: pancreatic acinus Strong 42480393 Expression is frequently seen in the acini.

Specimen Mouse 193232 - Image 64865700: postnatal day 53; Gabra4tm1Dgen/Gabra4+ (more )
Structure Level Pattern Image Note
TS28: cerebellum Purkinje cell layer Very strong 64865700 Expression is present in practically all cells of the Purkinje layer.

Specimen Mouse 193232 - Image 64867259: postnatal day 53; Gabra4tm1Dgen/Gabra4+ (more )
Structure Level Pattern Image Note
TS28: caudate-putamen Very strong 64867259 Expression is present in practically all cells of the caudate-putamen.

Specimen Mouse 193232 - Image 64867892: postnatal day 53; Gabra4tm1Dgen/Gabra4+ (more )
Structure Level Pattern Image Note
TS28: corpus callosum Weak 64867892 There is scattered expression in the corpus callosum.

Specimen Mouse 193232 - Image 64870329: postnatal day 53; Gabra4tm1Dgen/Gabra4+ (more )
Structure Level Pattern Image Note
TS28: amygdala Strong 64870329 Expression is frequently seen in the amygdala.

Specimen Mouse 193232 - Image 64877152: postnatal day 53; Gabra4tm1Dgen/Gabra4+ (more )
Structure Level Pattern Image Note
TS28: cerebellum granule cell layer Strong 64877152 There is scattered expression in the granule layer.

Specimen Mouse 193232: postnatal day 53; Gabra4tm1Dgen/Gabra4+ (more )
Structure Level Pattern Image Note
TS28: aorta Absent
TS28: heart Absent
TS28: esophagus Absent
TS28: gallbladder Absent
TS28: liver Absent
TS28: tongue Absent
TS28: adrenal gland Absent
TS28: thyroid gland Absent
TS28: bone marrow Absent
TS28: spleen Absent
TS28: lymph node Absent
TS28: thymus Absent
TS28: ear Absent
TS28: skin Absent
TS28: anterior prostate gland Absent
TS28: penis Absent
TS28: prostate gland Absent
TS28: seminal vesicle Absent
TS28: testis Absent
TS28: skeletal muscle Absent
TS28: sciatic nerve Absent
TS28: larynx Absent
TS28: lung Absent
TS28: trachea Absent
TS28: metanephros Absent
TS28: bladder Absent


Contributing Projects:
Mouse Genome Database (MGD), Gene Expression Database (GXD), Mouse Models of Human Cancer database (MMHCdb) (formerly Mouse Tumor Biology (MTB)), Gene Ontology (GO)
Citing These Resources
Funding Information
Warranty Disclaimer, Privacy Notice, Licensing, & Copyright
Send questions and comments to User Support.
last database update
12/30/2025
MGI 6.24
The Jackson Laboratory