About   Help   FAQ
Gene Expression Data
Assay Details
Assay
Reference: J:101679 Deltagen Inc, NIH initiative supporting placement of Deltagen, Inc. mice into public repositories. MGI Direct Data Submission. 2005;
Assay type: In situ reporter (knock in)
MGI Accession ID: MGI:3639199
Gene symbol: Grik5
Gene name: glutamate receptor, ionotropic, kainate 5 (gamma 2)
Reporter: lacZ
Direct Detection
Results
Specimen Mouse 84797 - Image 5200421: postnatal day 58; Grik5tm1Dgen/Grik5+ (more )
Structure Level Pattern Image Note
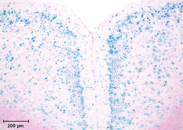
TS28: telencephalon Strong 5200421 Expression is present in practically all cells of the cerebrum.

Specimen Mouse 84797 - Image 5200422: postnatal day 58; Grik5tm1Dgen/Grik5+ (more )
Structure Level Pattern Image Note
TS28: dentate gyrus Very strong 5200422 Expression is present in practically all cells of the dentate gyrus.
TS28: hippocampus Very strong 5200422 Expression is present in practically all cells of the hippocampus.
TS28: cortical layer III Very strong 5200422 Expression is present in practically all cells of the pyramidial cell layer.

Specimen Mouse 84797 - Image 5200423: postnatal day 58; Grik5tm1Dgen/Grik5+ (more )
Structure Level Pattern Image Note
TS28: telencephalon Strong Regionally restricted 5200423 Expression is frequently seen in the choroid plexus of the cerebrum.
TS28: choroid plexus Strong Regionally restricted 5200423 Expression is frequently seen in the choroid plexus of the cerebrum.
TS28: 3rd ventricle Strong 5200423 Expression is present in practically all cells of the third ventricle.

Specimen Mouse 84797 - Image 5200424: postnatal day 58; Grik5tm1Dgen/Grik5+ (more )
Structure Level Pattern Image Note
TS28: habenula Strong 5200424 Expression is present in practically all cells of the habenular nuclei.

Specimen Mouse 84797 - Image 5200425: postnatal day 58; Grik5tm1Dgen/Grik5+ (more )
Structure Level Pattern Image Note
TS28: corpus callosum Strong 5200425 Expression is frequently seen in the corpus callosum.

Specimen Mouse 84797 - Image 5200426: postnatal day 58; Grik5tm1Dgen/Grik5+ (more )
Structure Level Pattern Image Note
TS28: cerebellum Strong 5200426 Expression is frequently seen in the cerebellum.

Specimen Mouse 84797 - Image 5200427: postnatal day 58; Grik5tm1Dgen/Grik5+ (more )
Structure Level Pattern Image Note
TS28: brainstem Very strong 5200427 Expression is frequently seen in the brainstem.

Specimen Mouse 84797 - Image 5200428: postnatal day 58; Grik5tm1Dgen/Grik5+ (more )
Structure Level Pattern Image Note
TS28: spinal cord Very strong 5200428 Expression is frequently seen in the spinal cord.

Specimen Mouse 84797 - Image 5200429: postnatal day 58; Grik5tm1Dgen/Grik5+ (more )
Structure Level Pattern Image Note
TS28: adenohypophysis pars anterior Moderate 5200429 Expression is frequently seen in the pars distalis.

Specimen Mouse 84797 - Image 5200430: postnatal day 58; Grik5tm1Dgen/Grik5+ (more )
Structure Level Pattern Image Note
TS28: salivary gland Very strong Regionally restricted 5200430 There is occasional staining in the ganglia.

Specimen Mouse 84797 - Image 5200433: postnatal day 58; Grik5tm1Dgen/Grik5+ (more )
Structure Level Pattern Image Note
TS28: adrenal medulla Moderate 5200433 Expression is present in practically all cells of the medulla.

Specimen Mouse 84797 - Image 5200434: postnatal day 58; Grik5tm1Dgen/Grik5+ (more )
Structure Level Pattern Image Note
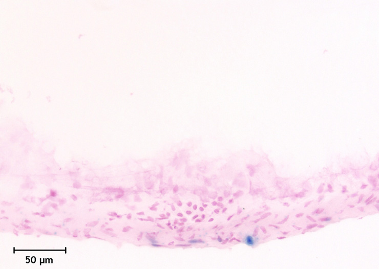
TS28: aorta Trace 5200434 There is scattered expression in the aorta.

Specimen Mouse 84797 - Image 5201177: postnatal day 58; Grik5tm1Dgen/Grik5+ (more )
Structure Level Pattern Image Note
TS28: gallbladder Strong Regionally restricted 5201177 There is occasional staining in the wall.

Specimen Mouse 84797 - Image 5201178: postnatal day 58; Grik5tm1Dgen/Grik5+ (more )
Structure Level Pattern Image Note
TS28: bronchiole Weak Regionally restricted 5201178 Expression is frequently seen in the smooth muscle cells of the bronchioles.

Specimen Mouse 84797 - Image 5201190: postnatal day 58; Grik5tm1Dgen/Grik5+ (more )
Structure Level Pattern Image Note
TS28: renal cortex Strong 5201190 Expression is frequently seen in the cortex.

Specimen Mouse 84797 - Image 5201192: postnatal day 58; Grik5tm1Dgen/Grik5+ (more )
Structure Level Pattern Image Note
TS28: cortical renal tubule Strong 5201192 There is scattered expression in the tubule cells.

Specimen Mouse 84797 - Image 5201193: postnatal day 58; Grik5tm1Dgen/Grik5+ (more )
Structure Level Pattern Image Note
TS28: renal medulla Moderate 5201193 There is scattered expression in the medulla.

Specimen Mouse 84797 - Image 5201194: postnatal day 58; Grik5tm1Dgen/Grik5+ (more )
Structure Level Pattern Image Note
TS28: glomerular tuft Weak 5201194 There is scattered expression in the glomeruli.

Specimen Mouse 84797 - Image 5201195: postnatal day 58; Grik5tm1Dgen/Grik5+ (more )
Structure Level Pattern Image Note
TS28: parathyroid gland Strong 5201195 Expression is frequently seen in the parathyroid gland.

Specimen Mouse 84797 - Image 5201197: postnatal day 58; Grik5tm1Dgen/Grik5+ (more )
Structure Level Pattern Image Note
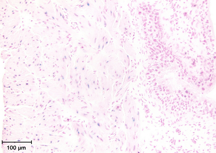
TS28: sciatic nerve Strong 5201197 There is scattered expression in the sciatic nerve.

Specimen Mouse 84797 - Image 5201198: postnatal day 58; Grik5tm1Dgen/Grik5+ (more )
Structure Level Pattern Image Note
TS28: sciatic nerve Strong Regionally restricted 5201198 Expression is frequently seen in the perineurium.

Specimen Mouse 84797 - Image 5201199: postnatal day 58; Grik5tm1Dgen/Grik5+ (more )
Structure Level Pattern Image Note
TS28: germ cell of testis Weak 5201199 Expression is frequently seen in the spermatogenic cells.

Specimen Mouse 84797 - Image 5201200: postnatal day 58; Grik5tm1Dgen/Grik5+ (more )
Structure Level Pattern Image Note
TS28: penis Trace Regionally restricted 5201200 There is scattered expression in the muscle.

Specimen Mouse 84797 - Image 5201398: postnatal day 58; Grik5tm1Dgen/Grik5+ (more )
Structure Level Pattern Image Note
TS28: seminal vesicle Strong Regionally restricted 5201398 Expression is present in practically all myocytes in the capsule.

Specimen Mouse 84797 - Image 5201399: postnatal day 58; Grik5tm1Dgen/Grik5+ (more )
Structure Level Pattern Image Note
TS28: anterior prostate gland Strong Regionally restricted 5201399 Expression is frequently seen in the myocytes of the capsule.

Specimen Mouse 84797 - Image 5201408: postnatal day 58; Grik5tm1Dgen/Grik5+ (more )
Structure Level Pattern Image Note
TS28: lamina propria of bladder Moderate 5201408 Expression is frequently seen in the smooth muscle cells.

Specimen Mouse 84797 - Image 5201409: postnatal day 58; Grik5tm1Dgen/Grik5+ (more )
Structure Level Pattern Image Note
TS28: bladder mucosa Weak 5201409 Expression is frequently seen in the mucosa.

Specimen Mouse 84797 - Image 5201410: postnatal day 58; Grik5tm1Dgen/Grik5+ (more )
Structure Level Pattern Image Note
TS28: retina Moderate 5201410 There is scattered expression in the retina.

Specimen Mouse 84797 - Image 5201411: postnatal day 58; Grik5tm1Dgen/Grik5+ (more )
Structure Level Pattern Image Note
TS28: retina ganglion cell layer Moderate 5201411 Expression is present in practically all cells of the ganglion cell layer.
TS28: retina inner nuclear layer Moderate 5201411 Expression is frequently seen in the inner nuclear layer.

Specimen Mouse 84797 - Image 5201412: postnatal day 58; Grik5tm1Dgen/Grik5+ (more )
Structure Level Pattern Image Note
TS28: ciliary body Strong 5201412 There is scattered expression in the ciliary body.

Specimen Mouse 84797 - Image 5201413: postnatal day 58; Grik5tm1Dgen/Grik5+ (more )
Structure Level Pattern Image Note
TS28: Harderian gland Trace Regionally restricted 5201413 Expression is frequently seen in the blood vessels of the harderian gland.
TS28: blood vessel Trace Regionally restricted 5201413 Expression is frequently seen in the blood vessels of the harderian gland.

Specimen Mouse 84797 - Image 5201414: postnatal day 58; Grik5tm1Dgen/Grik5+ (more )
Structure Level Pattern Image Note
TS28: pigmented retinal epithelium Moderate 5201414 Expression is frequently seen in the pigment layer.
TS28: sclera Trace 5201414 Expression is frequently seen in the sclera.

Specimen Mouse 84797 - Image 6290303: postnatal day 58; Grik5tm1Dgen/Grik5+ (more )
Structure Level Pattern Image Note
TS28: lung Moderate Regionally restricted 6290303 Expression is frequently seen in the blood vessels of the lung.
TS28: blood vessel Moderate Regionally restricted 6290303 Expression is frequently seen in the blood vessels of the lung.

Specimen Mouse 84797 - Image 7041056: postnatal day 58; Grik5tm1Dgen/Grik5+ (more )
Structure Level Pattern Image Note
TS28: cerebral cortex Very strong 7041056 Expression is present in practically all cells of the cortex.

Specimen Mouse 84797 - Image 7041058: postnatal day 58; Grik5tm1Dgen/Grik5+ (more )
Structure Level Pattern Image Note
TS28: metanephros Strong 7041058 There is scattered expression in the kidney.

Specimen Mouse 84797 - Image 7041059: postnatal day 58; Grik5tm1Dgen/Grik5+ (more )
Structure Level Pattern Image Note
TS28: metanephros Strong Regionally restricted 7041059 Expression is frequently seen in the blood vessels of the kidney.
TS28: blood vessel Strong Regionally restricted 7041059 Expression is frequently seen in the blood vessels of the kidney.

Specimen Mouse 84797 - Image 7041063: postnatal day 58; Grik5tm1Dgen/Grik5+ (more )
Structure Level Pattern Image Note
TS28: metanephros Strong Regionally restricted 7041063 Expression is frequently seen in the smooth muscle cells of the blood vessels of the kidney.
TS28: blood vessel smooth muscle Strong Regionally restricted 7041063 Expression is frequently seen in the smooth muscle cells of the blood vessels of the kidney.

Specimen Mouse 84797 - Image 7041064: postnatal day 58; Grik5tm1Dgen/Grik5+ (more )
Structure Level Pattern Image Note
TS28: trachea smooth muscle Trace 7041064 Expression is frequently seen in the myocytes of the trachealis muscle.

Specimen Mouse 84797 - Image 7041065: postnatal day 58; Grik5tm1Dgen/Grik5+ (more )
Structure Level Pattern Image Note
TS28: tongue Weak Regionally restricted 7041065 There is scattered expression in the blood vessels of the tongue.
TS28: blood vessel Weak Regionally restricted 7041065 There is scattered expression in the blood vessels of the tongue.

Specimen Mouse 84797 - Image 7041066: postnatal day 58; Grik5tm1Dgen/Grik5+ (more )
Structure Level Pattern Image Note
TS28: seminal vesicle Strong Regionally restricted 7041066 Expression is present in practically all myocytes in the capsule.

Specimen Mouse 84797 - Image 7041067: postnatal day 58; Grik5tm1Dgen/Grik5+ (more )
Structure Level Pattern Image Note
TS28: anterior prostate gland Strong Regionally restricted 7041067 Expression is present in practically all myocytes in the capsule.

Specimen Mouse 84797 - Image 7042626: postnatal day 58; Grik5tm1Dgen/Grik5+ (more )
Structure Level Pattern Image Note
TS28: eye Moderate 7042626 Expression is frequently seen in the eye.

Specimen Mouse 84797 - Image 7042628: postnatal day 58; Grik5tm1Dgen/Grik5+ (more )
Structure Level Pattern Image Note
TS28: optic nerve Weak 7042628 Expression is frequently seen in the optic nerve.

Specimen Mouse 84797 - Image 7042629: postnatal day 58; Grik5tm1Dgen/Grik5+ (more )
Structure Level Pattern Image Note
TS28: seminiferous tubule Weak 7042629 Expression is frequently seen in the seminiferous tubules.

Specimen Mouse 84797 - Image 7042632: postnatal day 58; Grik5tm1Dgen/Grik5+ (more )
Structure Level Pattern Image Note
TS28: tongue Trace Regionally restricted 7042632 There is scattered expression in the blood vessels of the tongue.
TS28: blood vessel Trace Regionally restricted 7042632 There is scattered expression in the blood vessels of the tongue.

Specimen Mouse 84797 - Image 7042634: postnatal day 58; Grik5tm1Dgen/Grik5+ (more )
Structure Level Pattern Image Note
TS28: sciatic nerve Strong Regionally restricted 7042634 Expression is frequently seen in the perineurium.

Specimen Mouse 84797 - Image 7043021: postnatal day 58; Grik5tm1Dgen/Grik5+ (more )
Structure Level Pattern Image Note
TS28: telencephalon Strong 7043021 Expression is present in practically all cells of the cerebrum.

Specimen Mouse 84797 - Image 7043156: postnatal day 58; Grik5tm1Dgen/Grik5+ (more )
Structure Level Pattern Image Note
TS28: cerebellum granule cell layer Strong 7043156 Expression is frequently seen in the granular layer.

Specimen Mouse 84797 - Image 7043367: postnatal day 58; Grik5tm1Dgen/Grik5+ (more )
Structure Level Pattern Image Note
TS28: cerebellum Purkinje cell layer Strong Regionally restricted 7043367 Expression is frequently seen in the basket cells.

Specimen Mouse 84797 - Image 7043571: postnatal day 58; Grik5tm1Dgen/Grik5+ (more )
Structure Level Pattern Image Note
TS28: cerebellum molecular layer Moderate 7043571 There is scattered expression in the molecular layer.

Specimen Mouse 84797 - Image 7043788: postnatal day 58; Grik5tm1Dgen/Grik5+ (more )
Structure Level Pattern Image Note
TS28: cerebellum white matter Strong 7043788 Expression is frequently seen in the white matter.

Specimen Mouse 84797 - Image 7044032: postnatal day 58; Grik5tm1Dgen/Grik5+ (more )
Structure Level Pattern Image Note
TS28: brainstem Very strong 7044032 There is scattered expression in the brainstem.

Specimen Mouse 84797 - Image 7044247: postnatal day 58; Grik5tm1Dgen/Grik5+ (more )
Structure Level Pattern Image Note
TS28: spinal cord gray matter Moderate 7044247 Expression is frequently seen in the grey matter.

Specimen Mouse 84797 - Image 7044384: postnatal day 58; Grik5tm1Dgen/Grik5+ (more )
Structure Level Pattern Image Note
TS28: spinal cord white matter Strong 7044384 There is scattered expression in the white matter.

Specimen Mouse 84797 - Image 7044606: postnatal day 58; Grik5tm1Dgen/Grik5+ (more )
Structure Level Pattern Image Note
TS28: spinal cord central canal Moderate 7044606 Expression is frequently seen in the central canal.

Specimen Mouse 84797 - Image 7044802: postnatal day 58; Grik5tm1Dgen/Grik5+ (more )
Structure Level Pattern Image Note
TS28: adenohypophysis pars intermedia Moderate 7044802 Expression is frequently seen in the pars intermedia.

Specimen Mouse 84797 - Image 7049092: postnatal day 58; Grik5tm1Dgen/Grik5+ (more )
Structure Level Pattern Image Note
TS28: anterior commissure Strong 7049092 Expression is frequently seen in the anterior commissure.

Specimen Mouse 84797 - Image 7049492: postnatal day 58; Grik5tm1Dgen/Grik5+ (more )
Structure Level Pattern Image Note
TS28: telencephalon Strong Regionally restricted 7049492 Expression is frequently seen in the blood vessels of the cerebrum.
TS28: blood vessel Strong Regionally restricted 7049492 Expression is frequently seen in the blood vessels of the cerebrum.

Specimen Mouse 84797 - Image 7049741: postnatal day 58; Grik5tm1Dgen/Grik5+ (more )
Structure Level Pattern Image Note
TS28: caudate-putamen Strong 7049741 Expression is present in practically all cells of the caudate-putamen.

Specimen Mouse 84797 - Image 7050153: postnatal day 58; Grik5tm1Dgen/Grik5+ (more )
Structure Level Pattern Image Note
TS28: thalamus Strong 7050153 Expression is present in practically all cells of the thalamus.

Specimen Mouse 84797 - Image 7050564: postnatal day 58; Grik5tm1Dgen/Grik5+ (more )
Structure Level Pattern Image Note
TS28: hypothalamus Strong 7050564 Expression is present in practically all cells of the hypothalamus.

Specimen Mouse 84797 - Image 7050824: postnatal day 58; Grik5tm1Dgen/Grik5+ (more )
Structure Level Pattern Image Note
TS28: telencephalon Strong Regionally restricted 7050824 Expression is present in practically all cells of the cerebral meninges.
TS28: meninges Strong Regionally restricted 7050824 Expression is present in practically all cells of the cerebral meninges.

Specimen Mouse 84797 - Image 7051174: postnatal day 58; Grik5tm1Dgen/Grik5+ (more )
Structure Level Pattern Image Note
TS28: cerebellum Strong Regionally restricted 7051174 Expression is present in practically all cells of the cerebellar peduncle.

Specimen Mouse 84797 - Image 7051569: postnatal day 58; Grik5tm1Dgen/Grik5+ (more )
Structure Level Pattern Image Note
TS28: spinal cord Strong 7051569 There is scattered expression in the spinal cord.

Specimen Mouse 84797 - Image 7051804: postnatal day 58; Grik5tm1Dgen/Grik5+ (more )
Structure Level Pattern Image Note
TS28: salivary gland Very strong Regionally restricted 7051804 There is occasional staining in the ganglia.

Specimen Mouse 84797 - Image 7052161: postnatal day 58; Grik5tm1Dgen/Grik5+ (more )
Structure Level Pattern Image Note
TS28: adrenal medulla Moderate 7052161 Expression is present in practically all cells of the medulla.

Specimen Mouse 84797 - Image 7075547: postnatal day 58; Grik5tm1Dgen/Grik5+ (more )
Structure Level Pattern Image Note
TS28: neurohypophysis pars nervosa Moderate 7075547 Expression is frequently seen in the pars nervosa.

Specimen Mouse 84797 - Image 7075681: postnatal day 58; Grik5tm1Dgen/Grik5+ (more )
Structure Level Pattern Image Note
TS28: adrenal gland Strong 7075681 Expression is frequently seen in the adrenal gland.

Specimen Mouse 84797 - Image 7505246: postnatal day 58; Grik5tm1Dgen/Grik5+ (more )
Structure Level Pattern Image Note
TS28: adrenal gland Strong Regionally restricted 7505246 Expression is frequently seen in the capsule.

Specimen Mouse 84797 - Image 7745027: postnatal day 58; Grik5tm1Dgen/Grik5+ (more )
Structure Level Pattern Image Note
TS28: prostate gland smooth muscle Moderate Regionally restricted 7745027 There is scattered expression in the myocytes of the capsule.

Specimen Mouse 84797 - Image 7745028: postnatal day 58; Grik5tm1Dgen/Grik5+ (more )
Structure Level Pattern Image Note
TS28: ampullary gland Moderate Regionally restricted 7745028 There is scattered expression in the myocytes.

Specimen Mouse 84797 - Image 7745029: postnatal day 58; Grik5tm1Dgen/Grik5+ (more )
Structure Level Pattern Image Note
TS28: bladder Weak Regionally restricted 7745029 There is scattered expression in the smooth muscle cells of the blood vessels of the urinary bladder.
TS28: blood vessel smooth muscle Weak Regionally restricted 7745029 There is scattered expression in the smooth muscle cells of the blood vessels of the urinary bladder.

Specimen Mouse 84797 - Image 7745031: postnatal day 58; Grik5tm1Dgen/Grik5+ (more )
Structure Level Pattern Image Note
TS28: bronchiole Weak Regionally restricted 7745031 There is occasional staining in the smooth muscle cells of the bronchioles.

Specimen Mouse 84797: postnatal day 58; Grik5tm1Dgen/Grik5+ (more )
Structure Level Pattern Image Note
TS28: heart Absent
TS28: esophagus Absent
TS28: liver Absent
TS28: pancreas Absent
TS28: thyroid gland Absent
TS28: bone marrow Absent
TS28: spleen Absent
TS28: lymph node Absent
TS28: thymus Absent
TS28: skin Absent
TS28: skeletal muscle Absent
TS28: 4th ventricle Strong Expression is frequently seen in the ventricle.
TS28: larynx Absent

Specimen Mouse 84801 - Image 5200235: postnatal day 58; Grik5tm1Dgen/Grik5+ (more )
Structure Level Pattern Image Note
TS28: spinal cord Strong 5200235 Expression is frequently seen in the spinal cord.

Specimen Mouse 84801 - Image 5200236: postnatal day 58; Grik5tm1Dgen/Grik5+ (more )
Structure Level Pattern Image Note
TS28: spinal cord gray matter Very strong 5200236 Expression is frequently seen in the grey matter.

Specimen Mouse 84801 - Image 5200237: postnatal day 58; Grik5tm1Dgen/Grik5+ (more )
Structure Level Pattern Image Note
TS28: spinal cord white matter Strong 5200237 There is scattered expression in the white matter.

Specimen Mouse 84801 - Image 5200238: postnatal day 58; Grik5tm1Dgen/Grik5+ (more )
Structure Level Pattern Image Note
TS28: pituitary gland Moderate 5200238 Expression is present in practically all cells of the pituitary gland.

Specimen Mouse 84801 - Image 5200239: postnatal day 58; Grik5tm1Dgen/Grik5+ (more )
Structure Level Pattern Image Note
TS28: neurohypophysis pars nervosa Moderate 5200239 Expression is present in practically all cells of the pars nervosa.

Specimen Mouse 84801 - Image 5200240: postnatal day 58; Grik5tm1Dgen/Grik5+ (more )
Structure Level Pattern Image Note
TS28: adenohypophysis pars intermedia Strong 5200240 Expression is present in practically all cells of the pars intermedia.

Specimen Mouse 84801 - Image 5200241: postnatal day 58; Grik5tm1Dgen/Grik5+ (more )
Structure Level Pattern Image Note
TS28: ovary follicle Weak 5200241 There is occasional staining in the follicle.

Specimen Mouse 84801 - Image 5200418: postnatal day 58; Grik5tm1Dgen/Grik5+ (more )
Structure Level Pattern Image Note
TS28: cervix uteri Moderate Regionally restricted 5200418 Expression is frequently seen in the blood vessels of the cervix.
TS28: blood vessel Moderate Regionally restricted 5200418 Expression is frequently seen in the blood vessels of the cervix.

Specimen Mouse 84801 - Image 5200419: postnatal day 58; Grik5tm1Dgen/Grik5+ (more )
Structure Level Pattern Image Note
TS28: vagina Moderate Regionally restricted 5200419 There is scattered expression in the vagina and cervix in myocytes.
TS28: cervix uteri Moderate Regionally restricted 5200419 There is scattered expression in the vagina and cervix in myocytes.

Specimen Mouse 84801 - Image 5200420: postnatal day 58; Grik5tm1Dgen/Grik5+ (more )
Structure Level Pattern Image Note
TS28: lamina propria of bladder Strong 5200420 Expression is frequently seen in the smooth muscle cells.

Specimen Mouse 84801 - Image 5201204: postnatal day 58; Grik5tm1Dgen/Grik5+ (more )
Structure Level Pattern Image Note
TS28: telencephalon Strong 5201204 Expression is frequently seen in the cerebrum.

Specimen Mouse 84801 - Image 5201205: postnatal day 58; Grik5tm1Dgen/Grik5+ (more )
Structure Level Pattern Image Note
TS28: telencephalon Strong 5201205 Expression is frequently seen in the cerebrum.

Specimen Mouse 84801 - Image 5201206: postnatal day 58; Grik5tm1Dgen/Grik5+ (more )
Structure Level Pattern Image Note
TS28: telencephalon Moderate 5201206 Expression is frequently seen in the cerebrum.

Specimen Mouse 84801 - Image 5201207: postnatal day 58; Grik5tm1Dgen/Grik5+ (more )
Structure Level Pattern Image Note
TS28: cerebellum Strong 5201207 Expression is frequently seen in the cerebellum.
TS28: brainstem Moderate 5201207 There is scattered expression in the brainstem.

Specimen Mouse 84801 - Image 5201208: postnatal day 58; Grik5tm1Dgen/Grik5+ (more )
Structure Level Pattern Image Note
TS28: cerebellum Strong 5201208 Expression is frequently seen in the cerebellum.
TS28: brainstem Moderate 5201208 There is scattered expression in the brainstem.

Specimen Mouse 84801 - Image 6259845: postnatal day 58; Grik5tm1Dgen/Grik5+ (more )
Structure Level Pattern Image Note
TS28: myometrium Weak 6259845 Expression is frequently seen in the myocytes.

Specimen Mouse 84801 - Image 6290324: postnatal day 58; Grik5tm1Dgen/Grik5+ (more )
Structure Level Pattern Image Note
TS28: urothelium of bladder Weak Regionally restricted 6290324 Expression is frequently seen in the epithelial cells of the mucosa.

Specimen Mouse 84801 - Image 7041049: postnatal day 58; Grik5tm1Dgen/Grik5+ (more )
Structure Level Pattern Image Note
TS28: cervix uteri Trace Regionally restricted 7041049 There is scattered expression in the myocytes.

Specimen Mouse 84801 - Image 7041050: postnatal day 58; Grik5tm1Dgen/Grik5+ (more )
Structure Level Pattern Image Note
TS28: cervix uteri Weak Regionally restricted 7041050 Expression is frequently seen in the ganglia.

Specimen Mouse 84801 - Image 7042623: postnatal day 58; Grik5tm1Dgen/Grik5+ (more )
Structure Level Pattern Image Note
TS28: bladder Strong Regionally restricted 7042623 Expression is frequently seen in the blood vessels in the urinary bladder.
TS28: blood vessel Strong Regionally restricted 7042623 Expression is frequently seen in the blood vessels in the urinary bladder.
TS28: lamina propria of bladder Strong 7042623 Expression is frequently seen in the smooth muscle cells.

Specimen Mouse 84801 - Image 7519946: postnatal day 58; Grik5tm1Dgen/Grik5+ (more )
Structure Level Pattern Image Note
TS28: adenohypophysis pars anterior Moderate 7519946 Expression is present in practically all cells of the pars distalis.

Specimen Mouse 84801 - Image 7745032: postnatal day 58; Grik5tm1Dgen/Grik5+ (more )
Structure Level Pattern Image Note
TS28: uterus Weak Regionally restricted 7745032 Expression is frequently seen in the myocytes of the uterine tubules.

Specimen Mouse 84801 - Image 7745033: postnatal day 58; Grik5tm1Dgen/Grik5+ (more )
Structure Level Pattern Image Note
TS28: uterus Weak Regionally restricted 7745033 There is scattered expression in the blood vessels of the uterus.
TS28: blood vessel Weak Regionally restricted 7745033 There is scattered expression in the blood vessels of the uterus.

Specimen Mouse 84801 - Image 10167166: postnatal day 58; Grik5tm1Dgen/Grik5+ (more )
Structure Level Pattern Image Note
TS28: adenohypophysis pars anterior Moderate 10167166 Expression is present in practically all cells of the pars distalis.

Specimen Mouse 84801: postnatal day 58; Grik5tm1Dgen/Grik5+ (more )
Structure Level Pattern Image Note
TS28: bone marrow Absent
TS28: thymus Absent

Specimen Mouse 94357 - Image 9248334: postnatal day 149; Grik5tm1Dgen/Grik5+ (more )
Structure Level Pattern Image Note
TS28: telencephalon Very strong 9248334 Expression is frequently seen in the cerebrum.

Specimen Mouse 94357 - Image 9248335: postnatal day 149; Grik5tm1Dgen/Grik5+ (more )
Structure Level Pattern Image Note
TS28: telencephalon Very strong 9248335 Expression is frequently seen in the cerebrum.

Specimen Mouse 94357 - Image 9248337: postnatal day 149; Grik5tm1Dgen/Grik5+ (more )
Structure Level Pattern Image Note
TS28: cerebellum Strong 9248337 There is scattered expression in the cerebellum.

Specimen Mouse 94357 - Image 9248340: postnatal day 149; Grik5tm1Dgen/Grik5+ (more )
Structure Level Pattern Image Note
TS28: brainstem Strong 9248340 There is scattered expression in the brainstem.

Specimen Mouse 94357 - Image 9248348: postnatal day 149; Grik5tm1Dgen/Grik5+ (more )
Structure Level Pattern Image Note
TS28: spinal cord Strong 9248348 Expression is frequently seen in the spinal cord.

Specimen Mouse 94357 - Image 9248353: postnatal day 149; Grik5tm1Dgen/Grik5+ (more )
Structure Level Pattern Image Note
TS28: adenohypophysis pars anterior Moderate 9248353 Expression is frequently seen in the pars distalis.

Specimen Mouse 94357 - Image 9248361: postnatal day 149; Grik5tm1Dgen/Grik5+ (more )
Structure Level Pattern Image Note
TS28: adenohypophysis pars intermedia Weak 9248361 Expression is frequently seen in the pars intermedia.

Specimen Mouse 94357 - Image 9248367: postnatal day 149; Grik5tm1Dgen/Grik5+ (more )
Structure Level Pattern Image Note
TS28: neurohypophysis pars nervosa Moderate 9248367 There is scattered expression in the pars nervosa.


Contributing Projects:
Mouse Genome Database (MGD), Gene Expression Database (GXD), Mouse Models of Human Cancer database (MMHCdb) (formerly Mouse Tumor Biology (MTB)), Gene Ontology (GO)
Citing These Resources
Funding Information
Warranty Disclaimer, Privacy Notice, Licensing, & Copyright
Send questions and comments to User Support.
last database update
03/24/2026
MGI 6.24
The Jackson Laboratory