About   Help   FAQ
Gene Expression Data
Assay Details
Assay
Reference: J:101679 Deltagen Inc, NIH initiative supporting placement of Deltagen, Inc. mice into public repositories. MGI Direct Data Submission. 2005;
Assay type: In situ reporter (knock in)
MGI Accession ID: MGI:3639194
Gene symbol: Grm3
Gene name: glutamate receptor, metabotropic 3
Reporter: lacZ
Direct Detection
Results
Specimen Mouse 436438 - Image 99247102: postnatal day 49; Grm3tm1Dgen/Grm3+ (more )
Structure Level Pattern Image Note
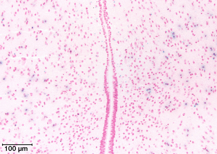
TS28: brainstem Strong 99247102 Expression is frequently seen in the brainstem.

Specimen Mouse 436438 - Image 99247119: postnatal day 49; Grm3tm1Dgen/Grm3+ (more )
Structure Level Pattern Image Note
TS28: cerebellum granule cell layer Strong 99247119 There is scattered expression in the granule layer.

Specimen Mouse 436438 - Image 99247120: postnatal day 49; Grm3tm1Dgen/Grm3+ (more )
Structure Level Pattern Image Note
TS28: cerebellum white matter Very strong 99247120 Expression is frequently seen in the white matter.

Specimen Mouse 436438 - Image 99247121: postnatal day 49; Grm3tm1Dgen/Grm3+ (more )
Structure Level Pattern Image Note
TS28: cerebellum molecular layer Moderate 99247121 There is scattered expression in the molecular layer.

Specimen Mouse 436438 - Image 99247123: postnatal day 49; Grm3tm1Dgen/Grm3+ (more )
Structure Level Pattern Image Note
TS28: cerebellum Purkinje cell layer Strong 99247123 Expression is frequently seen in the Purkinje layer.

Specimen Mouse 436438 - Image 99247125: postnatal day 49; Grm3tm1Dgen/Grm3+ (more )
Structure Level Pattern Image Note
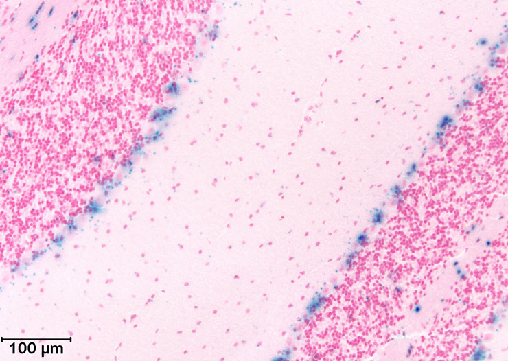
TS28: spinal cord ventral horn Strong 99247125 Expression is frequently seen in the ventral horns.

Specimen Mouse 436438 - Image 99247128: postnatal day 49; Grm3tm1Dgen/Grm3+ (more )
Structure Level Pattern Image Note
TS28: spinal cord dorsal horn Strong 99247128 There is scattered expression in the dorsal horns.

Specimen Mouse 436438 - Image 99247129: postnatal day 49; Grm3tm1Dgen/Grm3+ (more )
Structure Level Pattern Image Note
TS28: spinal cord white matter Strong 99247129 Expression is frequently seen in the white matter.

Specimen Mouse 436438 - Image 99247131: postnatal day 49; Grm3tm1Dgen/Grm3+ (more )
Structure Level Pattern Image Note
TS28: spinal cord Strong 99247131 Expression is frequently seen in the spinal cord.

Specimen Mouse 436438 - Image 99247133: postnatal day 49; Grm3tm1Dgen/Grm3+ (more )
Structure Level Pattern Image Note
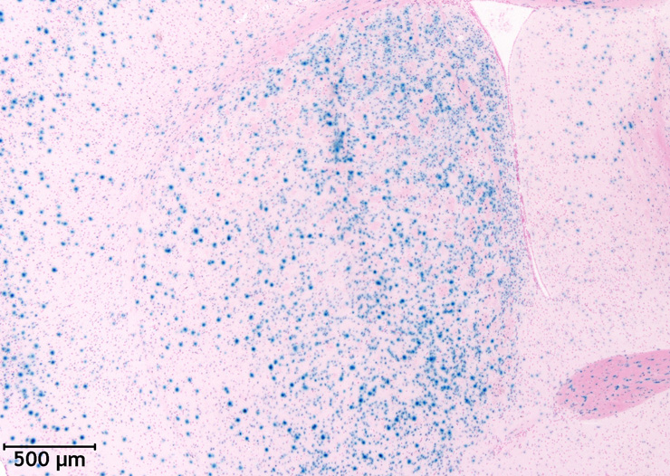
TS28: telencephalon Very strong 99247133 Expression is frequently seen in the cerebrum.

Specimen Mouse 436438 - Image 99247135: postnatal day 49; Grm3tm1Dgen/Grm3+ (more )
Structure Level Pattern Image Note
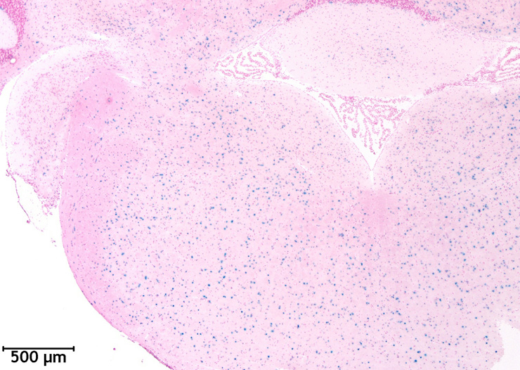
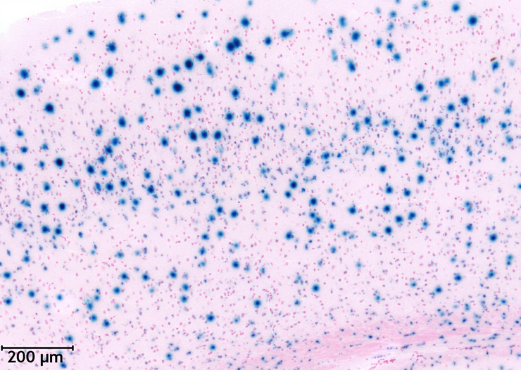
TS28: caudate-putamen Very strong 99247135 Expression is present in practically all cells of the caudate-putamen.

Specimen Mouse 436438 - Image 99247136: postnatal day 49; Grm3tm1Dgen/Grm3+ (more )
Structure Level Pattern Image Note
TS28: telencephalon Very strong 99247136 Expression is frequently seen in the cerebrum.

Specimen Mouse 436438 - Image 99247137: postnatal day 49; Grm3tm1Dgen/Grm3+ (more )
Structure Level Pattern Image Note
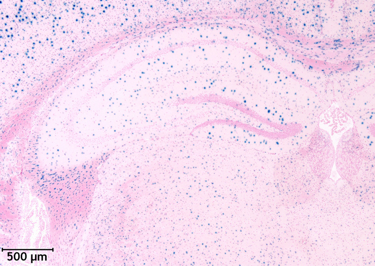
TS28: hippocampus Very strong 99247137 Expression is frequently seen in the hippocampus.

Specimen Mouse 436438 - Image 99247139: postnatal day 49; Grm3tm1Dgen/Grm3+ (more )
Structure Level Pattern Image Note
TS28: thalamus Very strong 99247139 Expression is frequently seen in the thalamus.

Specimen Mouse 436438 - Image 99247149: postnatal day 49; Grm3tm1Dgen/Grm3+ (more )
Structure Level Pattern Image Note
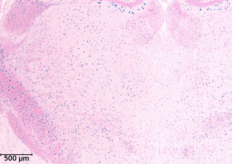
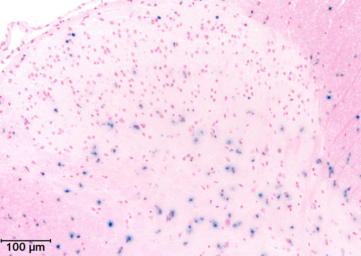
TS28: hypothalamus Strong 99247149 Expression is frequently seen in the hypothalamus.

Specimen Mouse 436438 - Image 99247152: postnatal day 49; Grm3tm1Dgen/Grm3+ (more )
Structure Level Pattern Image Note
TS28: amygdala Very strong 99247152 Expression is frequently seen in the amygdala.

Specimen Mouse 436438 - Image 99247155: postnatal day 49; Grm3tm1Dgen/Grm3+ (more )
Structure Level Pattern Image Note
TS28: cerebral cortex Very strong 99247155 Expression is frequently seen in the cortex.

Specimen Mouse 436438 - Image 99247156: postnatal day 49; Grm3tm1Dgen/Grm3+ (more )
Structure Level Pattern Image Note
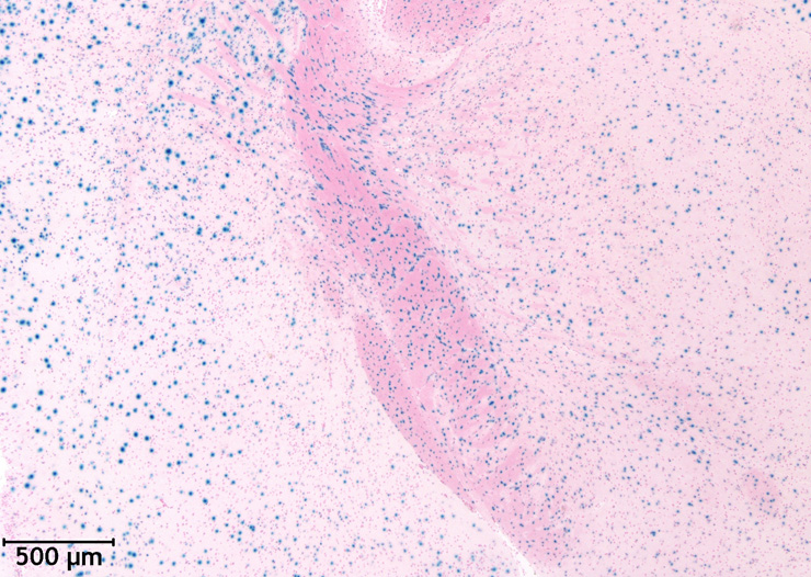
TS28: telencephalon Strong Regionally restricted 99247156 There is scattered expression in the cerebral meninges.
TS28: meninges Strong Regionally restricted 99247156 There is scattered expression in the cerebral meninges.

Specimen Mouse 436438 - Image 99247162: postnatal day 49; Grm3tm1Dgen/Grm3+ (more )
Structure Level Pattern Image Note
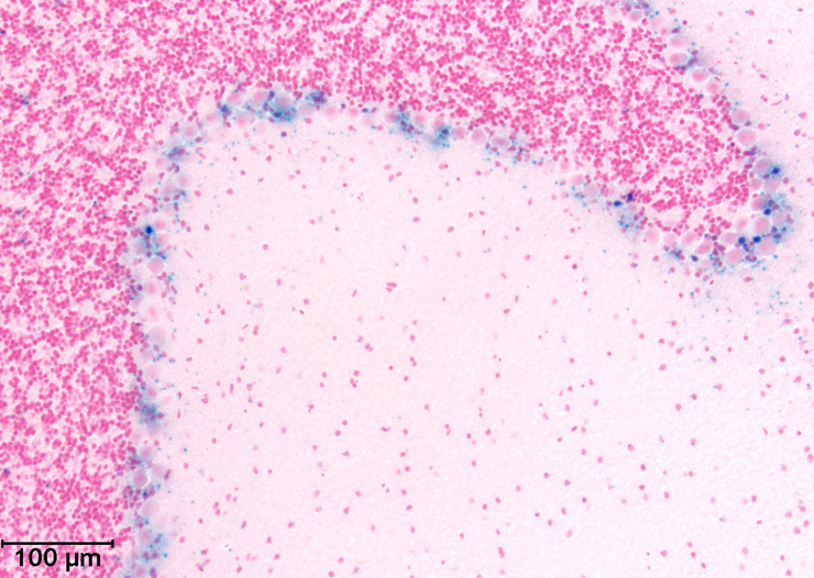
TS28: brain ventricle Strong Regionally restricted 99247162 There is occasional staining in a ventricle in the cerebrum.

Specimen Mouse 436438: postnatal day 49; Grm3tm1Dgen/Grm3+ (more )
Structure Level Pattern Image Note
TS28: aorta Absent
TS28: heart Absent
TS28: liver Absent
TS28: pancreas Absent
TS28: adrenal gland Absent
TS28: thyroid gland Absent
TS28: bone marrow Absent
TS28: spleen Absent
TS28: lymph node Absent
TS28: thymus Absent
TS28: skin Absent
TS28: prostate gland Absent
TS28: testis Absent
TS28: skeletal muscle Absent
TS28: sciatic nerve Absent
TS28: lung Absent
TS28: trachea Absent
TS28: eye Absent
TS28: metanephros Absent
TS28: bladder Absent

Specimen Mouse 436442 - Image 99245808: postnatal day 49; Grm3tm1Dgen/Grm3+ (more )
Structure Level Pattern Image Note
TS28: brain Very strong 99245808 Expression is present in practically all cells of the brain.

Specimen Mouse 436442 - Image 99245809: postnatal day 49; Grm3tm1Dgen/Grm3+ (more )
Structure Level Pattern Image Note
TS28: telencephalon Very strong 99245809 Expression is present in practically all cells of the cerebrum.

Specimen Mouse 436442 - Image 99245810: postnatal day 49; Grm3tm1Dgen/Grm3+ (more )
Structure Level Pattern Image Note
TS28: cerebellum Very strong 99245810 Expression is present in practically all cells of the cerebellum.

Specimen Mouse 436442 - Image 99245811: postnatal day 49; Grm3tm1Dgen/Grm3+ (more )
Structure Level Pattern Image Note
TS28: brainstem Very strong 99245811 Expression is present in practically all cells of the brainstem.

Specimen Mouse 436442: postnatal day 49; Grm3tm1Dgen/Grm3+ (more )
Structure Level Pattern Image Note
TS28: pituitary gland Absent
TS28: cervix uteri Absent
TS28: ovary Absent
TS28: uterus Absent
TS28: bone marrow Absent
TS28: bladder Absent


Contributing Projects:
Mouse Genome Database (MGD), Gene Expression Database (GXD), Mouse Models of Human Cancer database (MMHCdb) (formerly Mouse Tumor Biology (MTB)), Gene Ontology (GO)
Citing These Resources
Funding Information
Warranty Disclaimer, Privacy Notice, Licensing, & Copyright
Send questions and comments to User Support.
last database update
12/30/2025
MGI 6.24
The Jackson Laboratory