About   Help   FAQ
Gene Expression Data
Assay Details
Assay
Reference: J:101679 Deltagen Inc, NIH initiative supporting placement of Deltagen, Inc. mice into public repositories. MGI Direct Data Submission. 2005;
Assay type: In situ reporter (knock in)
MGI Accession ID: MGI:3639193
Gene symbol: Ppm1g
Gene name: protein phosphatase 1G (formerly 2C), magnesium-dependent, gamma isoform
Reporter: lacZ
Direct Detection
Results
Specimen Mouse 313584 - Image 99209114: postnatal day 57; Ppm1gtm1Dgen/Ppm1g+ (more )
Structure Level Pattern Image Note
TS28: brain Very strong 99209114 Expression is present in practically all cells of the brain.
TS28: telencephalon Very strong 99209114 Expression is present in practically all cells of the cerebrum.

Specimen Mouse 313584 - Image 99209115: postnatal day 57; Ppm1gtm1Dgen/Ppm1g+ (more )
Structure Level Pattern Image Note
TS28: cerebellum Very strong 99209115 Expression is frequently seen in the cerebellum.

Specimen Mouse 313584 - Image 99209116: postnatal day 57; Ppm1gtm1Dgen/Ppm1g+ (more )
Structure Level Pattern Image Note
TS28: brainstem Strong 99209116 Expression is present in practically all cells of the brainstem.

Specimen Mouse 313584 - Image 99212667: postnatal day 57; Ppm1gtm1Dgen/Ppm1g+ (more )
Structure Level Pattern Image Note
TS28: myometrium Strong 99212667 Expression is present in practically all cells of the myometrium.

Specimen Mouse 313584 - Image 99212983: postnatal day 57; Ppm1gtm1Dgen/Ppm1g+ (more )
Structure Level Pattern Image Note
TS28: bone marrow Strong 99212983 There is occasional staining in the bone marrow.

Specimen Mouse 313584 - Image 99212987: postnatal day 57; Ppm1gtm1Dgen/Ppm1g+ (more )
Structure Level Pattern Image Note
TS28: epithelial layer of cervix uteri Strong 99212987 Expression is frequently seen in the epithelium.
TS28: cervix uteri Moderate Regionally restricted 99212987 Expression is present in practically all cells of the smooth muscle layer; there is scattered expression in the stroma.

Specimen Mouse 313584 - Image 99212988: postnatal day 57; Ppm1gtm1Dgen/Ppm1g+ (more )
Structure Level Pattern Image Note
TS28: ovary follicle Moderate 99212988 Expression is frequently seen in the follicle.
TS28: ovary Moderate Regionally restricted 99212988 There is scattered expression in the stroma.

Specimen Mouse 313584 - Image 99223008: postnatal day 57; Ppm1gtm1Dgen/Ppm1g+ (more )
Structure Level Pattern Image Note
TS28: ovary follicle Moderate Regionally restricted 99223008 Expression is frequently seen in the corpus luteum.

Specimen Mouse 313584 - Image 99223010: postnatal day 57; Ppm1gtm1Dgen/Ppm1g+ (more )
Structure Level Pattern Image Note
TS28: endometrium epithelium Moderate 99223010 There is scattered expression in the endometrial epithelium.

Specimen Mouse 313584 - Image 99223011: postnatal day 57; Ppm1gtm1Dgen/Ppm1g+ (more )
Structure Level Pattern Image Note
TS28: endometrium stroma Moderate 99223011 There is scattered expression in the endometrial stroma.

Specimen Mouse 313584: postnatal day 57; Ppm1gtm1Dgen/Ppm1g+ (more )
Structure Level Pattern Image Note
TS28: cervix uteri Strong Regionally restricted There is scattered expression in the blood vessels of the cervix.
TS28: blood vessel Strong Regionally restricted There is scattered expression in the blood vessels of the cervix, ovary, and uterus.
TS28: ovary Strong Regionally restricted There is scattered expression in the blood vessels of the ovary.
TS28: uterus Strong Regionally restricted There is scattered expression in the blood vessels of the uterus.

Specimen Mouse 313588 - Image 99211729: postnatal day 57; Ppm1gtm1Dgen/Ppm1g+ (more )
Structure Level Pattern Image Note
TS28: telencephalon Moderate 99211729 Expression is present in practically all cells of the cerebrum.

Specimen Mouse 313588 - Image 99211730: postnatal day 57; Ppm1gtm1Dgen/Ppm1g+ (more )
Structure Level Pattern Image Note
TS28: telencephalon Strong 99211730 Expression is frequently seen in the cerebrum.

Specimen Mouse 313588 - Image 99211731: postnatal day 57; Ppm1gtm1Dgen/Ppm1g+ (more )
Structure Level Pattern Image Note
TS28: telencephalon Strong 99211731 Expression is frequently seen in the cerebrum.

Specimen Mouse 313588 - Image 99211732: postnatal day 57; Ppm1gtm1Dgen/Ppm1g+ (more )
Structure Level Pattern Image Note
TS28: caudate-putamen Strong 99211732 Expression is frequently seen in the caudate-putamen.

Specimen Mouse 313588 - Image 99211733: postnatal day 57; Ppm1gtm1Dgen/Ppm1g+ (more )
Structure Level Pattern Image Note
TS28: cerebral cortex Strong 99211733 Expression is frequently seen in the cortex.

Specimen Mouse 313588 - Image 99211734: postnatal day 57; Ppm1gtm1Dgen/Ppm1g+ (more )
Structure Level Pattern Image Note
TS28: hippocampus Strong 99211734 Expression is frequently seen in the hippocampus.

Specimen Mouse 313588 - Image 99211735: postnatal day 57; Ppm1gtm1Dgen/Ppm1g+ (more )
Structure Level Pattern Image Note
TS28: telencephalon Very strong Regionally restricted 99211735 Expression is frequently seen in the choroid plexus of the cerebrum.
TS28: choroid plexus Very strong Regionally restricted 99211735 Expression is frequently seen in the choroid plexus of the cerebrum.

Specimen Mouse 313588 - Image 99211736: postnatal day 57; Ppm1gtm1Dgen/Ppm1g+ (more )
Structure Level Pattern Image Note
TS28: thalamus Strong 99211736 Expression is frequently seen in the thalamus.

Specimen Mouse 313588 - Image 99211738: postnatal day 57; Ppm1gtm1Dgen/Ppm1g+ (more )
Structure Level Pattern Image Note
TS28: hypothalamus Strong 99211738 Expression is frequently seen in the hypothalamus.
TS28: brain ventricle Very strong Regionally restricted 99211738 Expression is frequently seen in a ventricle in the cerebrum.

Specimen Mouse 313588 - Image 99211739: postnatal day 57; Ppm1gtm1Dgen/Ppm1g+ (more )
Structure Level Pattern Image Note
TS28: amygdala Strong 99211739 Expression is present in practically all cells of the amygdala.

Specimen Mouse 313588 - Image 99211740: postnatal day 57; Ppm1gtm1Dgen/Ppm1g+ (more )
Structure Level Pattern Image Note
TS28: cerebellum Strong 99211740 There is scattered expression in the cerebellum.

Specimen Mouse 313588 - Image 99211741: postnatal day 57; Ppm1gtm1Dgen/Ppm1g+ (more )
Structure Level Pattern Image Note
TS28: cerebellum granule cell layer Moderate 99211741 There is scattered expression in the granule layer.
TS28: cerebellum molecular layer Moderate 99211741 There is scattered expression in the molecular layer.
TS28: cerebellum Purkinje cell layer Very strong 99211741 Expression is frequently seen in the Purkinje layer.
TS28: cerebellum white matter Moderate 99211741 Expression is frequently seen in the white matter.

Specimen Mouse 313588 - Image 99211742: postnatal day 57; Ppm1gtm1Dgen/Ppm1g+ (more )
Structure Level Pattern Image Note
TS28: brainstem Strong 99211742 There is scattered expression in the brainstem and in the blood vessels of the brainstem.
TS28: blood vessel Strong Regionally restricted 99211742 There is scattered expression in the blood vessels of the brainstem.

Specimen Mouse 313588 - Image 99211743: postnatal day 57; Ppm1gtm1Dgen/Ppm1g+ (more )
Structure Level Pattern Image Note
TS28: spinal cord Strong 99211743 Expression is frequently seen in the spinal cord.

Specimen Mouse 313588 - Image 99211939: postnatal day 57; Ppm1gtm1Dgen/Ppm1g+ (more )
Structure Level Pattern Image Note
TS28: neurohypophysis pars nervosa Strong 99211939 There is scattered expression in the pars nervosa.

Specimen Mouse 313588 - Image 99211940: postnatal day 57; Ppm1gtm1Dgen/Ppm1g+ (more )
Structure Level Pattern Image Note
TS28: adenohypophysis pars intermedia Strong 99211940 Expression is present in practically all cells of the pars intermedia.

Specimen Mouse 313588 - Image 99211941: postnatal day 57; Ppm1gtm1Dgen/Ppm1g+ (more )
Structure Level Pattern Image Note
TS28: adenohypophysis pars anterior Strong 99211941 Expression is present in practically all cells of the pars distalis.

Specimen Mouse 313588 - Image 99212236: postnatal day 57; Ppm1gtm1Dgen/Ppm1g+ (more )
Structure Level Pattern Image Note
TS28: spinal cord central canal Very strong 99212236 Expression is frequently seen in the central canal.

Specimen Mouse 313588 - Image 99212237: postnatal day 57; Ppm1gtm1Dgen/Ppm1g+ (more )
Structure Level Pattern Image Note
TS28: spinal cord white matter Strong 99212237 There is scattered expression in the white matter.

Specimen Mouse 313588 - Image 99212241: postnatal day 57; Ppm1gtm1Dgen/Ppm1g+ (more )
Structure Level Pattern Image Note
TS28: spinal cord ventral horn Strong 99212241 There is scattered expression in the ventral horns.

Specimen Mouse 313588 - Image 99212242: postnatal day 57; Ppm1gtm1Dgen/Ppm1g+ (more )
Structure Level Pattern Image Note
TS28: spinal cord dorsal horn Strong 99212242 Expression is frequently seen in the dorsal horns.

Specimen Mouse 313588 - Image 99212245: postnatal day 57; Ppm1gtm1Dgen/Ppm1g+ (more )
Structure Level Pattern Image Note
TS28: pancreas Strong Regionally restricted 99212245 There is scattered expression in the blood vessels of the pancreas.
TS28: blood vessel Strong Regionally restricted 99212245 There is scattered expression in the blood vessels of the pancreas.
TS28: islets of Langerhans Strong 99212245 There is scattered expression in the islets of Langerhans.

Specimen Mouse 313588 - Image 99212247: postnatal day 57; Ppm1gtm1Dgen/Ppm1g+ (more )
Structure Level Pattern Image Note
TS28: pancreas Moderate 99212247 There is scattered expression in the pancreas.

Specimen Mouse 313588 - Image 99212384: postnatal day 57; Ppm1gtm1Dgen/Ppm1g+ (more )
Structure Level Pattern Image Note
TS28: testis Strong Regionally restricted 99212384 Expression is frequently seen in the blood vessels of the testis.
TS28: blood vessel Strong Regionally restricted 99212384 Expression is frequently seen in the blood vessels of the testis.
TS28: seminiferous tubule Very strong 99212384 Expression is frequently seen in the seminiferous tubules.

Specimen Mouse 313588 - Image 99212386: postnatal day 57; Ppm1gtm1Dgen/Ppm1g+ (more )
Structure Level Pattern Image Note
TS28: interstitium of the testis Strong 99212386 Expression is frequently seen in the interstitium.
TS28: testis Moderate Regionally restricted 99212386 Expression is frequently seen in the tunica albuginea.

Specimen Mouse 313588 - Image 99212563: postnatal day 57; Ppm1gtm1Dgen/Ppm1g+ (more )
Structure Level Pattern Image Note
TS28: prostate gland Present Regionally restricted 99212563 There is moderate, scattered expression in the stroma. Strong expression is frequently seen in the blood vessels of the prostate gland.
TS28: blood vessel Strong Regionally restricted 99212563 Expression is frequently seen in the blood vessels of the prostate gland.
TS28: prostate epithelium Strong 99212563 Expression is frequently seen in the epithelium.

Specimen Mouse 313588 - Image 99212565: postnatal day 57; Ppm1gtm1Dgen/Ppm1g+ (more )
Structure Level Pattern Image Note
TS28: bladder Moderate Regionally restricted 99212565 There is scattered expression in the blood vessels of the urinary bladder.
TS28: blood vessel Moderate Regionally restricted 99212565 There is scattered expression in the blood vessels of the urinary bladder.
TS28: lamina propria of bladder Very strong 99212565 Expression is frequently seen in the muscularis.

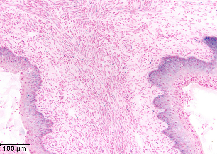
Specimen Mouse 313588 - Image 99212566: postnatal day 57; Ppm1gtm1Dgen/Ppm1g+ (more )
Structure Level Pattern Image Note
TS28: urothelium of bladder Strong Regionally restricted 99212566 Expression is frequently seen in the epithelium.
TS28: lamina propria of bladder Moderate 99212566 Expression is frequently seen in the lamina propria.

Specimen Mouse 313588 - Image 99212568: postnatal day 57; Ppm1gtm1Dgen/Ppm1g+ (more )
Structure Level Pattern Image Note
TS28: lymph node Moderate 99212568 There is scattered expression in the lymph nodes.
TS28: lymph node capsule Weak 99212568 There is scattered expression in the capsule.

Specimen Mouse 313588 - Image 99212569: postnatal day 57; Ppm1gtm1Dgen/Ppm1g+ (more )
Structure Level Pattern Image Note
TS28: adrenal medulla Strong 99212569 Expression is frequently seen in the medulla.

Specimen Mouse 313588 - Image 99212570: postnatal day 57; Ppm1gtm1Dgen/Ppm1g+ (more )
Structure Level Pattern Image Note
TS28: adrenal gland Very strong Regionally restricted 99212570 Expression is frequently seen in the pericapsular fat.
TS28: adipose tissue Very strong Regionally restricted 99212570 Expression is frequently seen in the pericapsular fat.

Specimen Mouse 313588 - Image 99212574: postnatal day 57; Ppm1gtm1Dgen/Ppm1g+ (more )
Structure Level Pattern Image Note
TS28: adrenal gland Present Regionally restricted 99212574 There is moderate, scattered expression in the cortex. Strong expression is frequently seen in the capsule. Strong expression is frequently seen in the blood vessels of the adrenal gland.
TS28: blood vessel Strong Regionally restricted 99212574 Expression is frequently seen in the blood vessels of the adrenal gland.

Specimen Mouse 313588 - Image 99212577: postnatal day 57; Ppm1gtm1Dgen/Ppm1g+ (more )
Structure Level Pattern Image Note
TS28: renal papilla Very strong 99212577 Expression is present in practically all cells of the papilla.

Specimen Mouse 313588 - Image 99212578: postnatal day 57; Ppm1gtm1Dgen/Ppm1g+ (more )
Structure Level Pattern Image Note
TS28: renal medulla Strong 99212578 Expression is frequently seen in the medulla.
TS28: renal tubule Strong 99212578 Expression is frequently seen in the tubules.

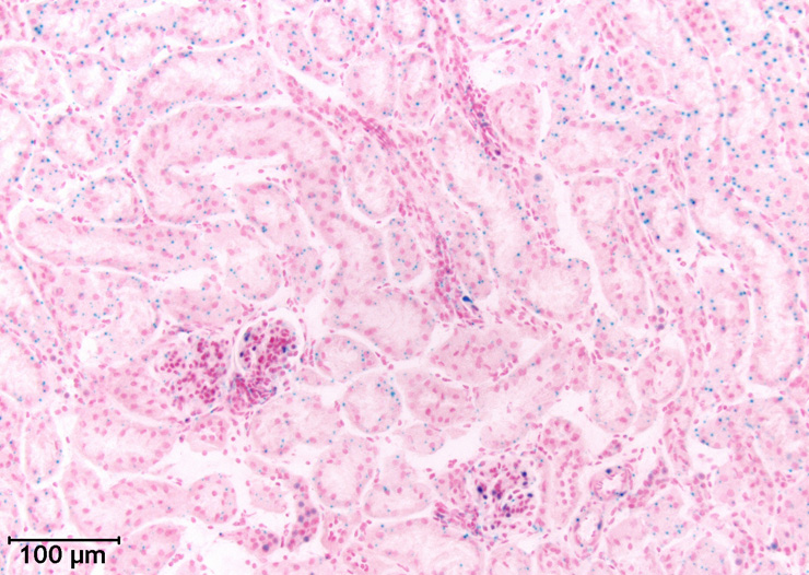
Specimen Mouse 313588 - Image 99212595: postnatal day 57; Ppm1gtm1Dgen/Ppm1g+ (more )
Structure Level Pattern Image Note
TS28: metanephros Strong Regionally restricted 99212595 Expression is frequently seen in the blood vessels of the kidney.
TS28: blood vessel Strong Regionally restricted 99212595 Expression is frequently seen in the blood vessels of the kidney.
TS28: glomerular tuft Very strong 99212595 There is scattered expression in the glomeruli.

Specimen Mouse 313588 - Image 99212596: postnatal day 57; Ppm1gtm1Dgen/Ppm1g+ (more )
Structure Level Pattern Image Note
TS28: renal cortex Strong 99212596 Expression is frequently seen in the cortex.

Specimen Mouse 313588 - Image 99212604: postnatal day 57; Ppm1gtm1Dgen/Ppm1g+ (more )
Structure Level Pattern Image Note
TS28: heart atrium Strong 99212604 Expression is frequently seen in the atrium.

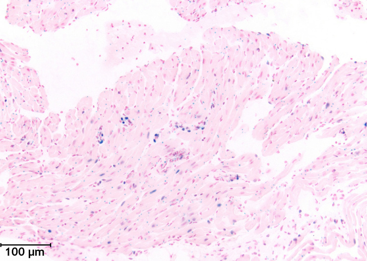
Specimen Mouse 313588 - Image 99212611: postnatal day 57; Ppm1gtm1Dgen/Ppm1g+ (more )
Structure Level Pattern Image Note
TS28: heart Strong Regionally restricted 99212611 Expression is frequently seen in the blood vessels of the heart.
TS28: blood vessel Strong Regionally restricted 99212611 Expression is frequently seen in the blood vessels of the heart.
TS28: heart ventricle Strong 99212611 Expression is frequently seen in the ventricles.

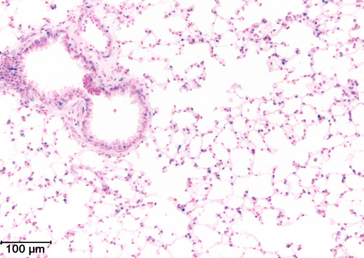
Specimen Mouse 313588 - Image 99212618: postnatal day 57; Ppm1gtm1Dgen/Ppm1g+ (more )
Structure Level Pattern Image Note
TS28: lung alveolus Strong 99212618 Expression is frequently seen in the alveoli.
TS28: lung Strong Regionally restricted 99212618 Expression is frequently seen in the blood vessels of the lung.
TS28: blood vessel Strong Regionally restricted 99212618 Expression is frequently seen in the blood vessels of the lung.
TS28: bronchiole epithelium Strong 99212618 Expression is frequently seen in the epithelial cells.

Specimen Mouse 313588 - Image 99212624: postnatal day 57; Ppm1gtm1Dgen/Ppm1g+ (more )
Structure Level Pattern Image Note
TS28: liver Strong 99212624 There is scattered expression in the liver. In addition, there is scattered expression in the blood vessels of the liver.
TS28: blood vessel Strong Regionally restricted 99212624 There is scattered expression in the blood vessels of the liver.

Specimen Mouse 313588 - Image 99212626: postnatal day 57; Ppm1gtm1Dgen/Ppm1g+ (more )
Structure Level Pattern Image Note
TS28: optic nerve Weak 99212626 There is scattered expression in the optic nerve.

Specimen Mouse 313588 - Image 99212628: postnatal day 57; Ppm1gtm1Dgen/Ppm1g+ (more )
Structure Level Pattern Image Note
TS28: ciliary body Strong 99212628 Expression is present in practically all cells of the ciliary body.

Specimen Mouse 313588 - Image 99212629: postnatal day 57; Ppm1gtm1Dgen/Ppm1g+ (more )
Structure Level Pattern Image Note
TS28: lens Strong 99212629 Expression is frequently seen in the lens.

Specimen Mouse 313588 - Image 99212631: postnatal day 57; Ppm1gtm1Dgen/Ppm1g+ (more )
Structure Level Pattern Image Note
TS28: retina ganglion cell layer Strong 99212631 Expression is frequently seen in the ganglion cell layer.

Specimen Mouse 313588 - Image 99212632: postnatal day 57; Ppm1gtm1Dgen/Ppm1g+ (more )
Structure Level Pattern Image Note
TS28: cornea Weak 99212632 There is scattered expression in the cornea.

Specimen Mouse 313588 - Image 99212636: postnatal day 57; Ppm1gtm1Dgen/Ppm1g+ (more )
Structure Level Pattern Image Note
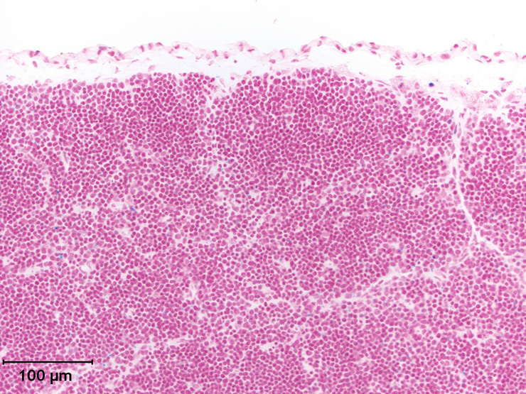
TS28: thymus cortex Weak 99212636 There is scattered expression in the cortex.
TS28: thymus medullary core Moderate 99212636 There is scattered expression in the medulla.

Specimen Mouse 313588 - Image 99212640: postnatal day 57; Ppm1gtm1Dgen/Ppm1g+ (more )
Structure Level Pattern Image Note
TS28: aorta Strong 99212640 Expression is frequently seen in the aorta.

Specimen Mouse 313588 - Image 99212641: postnatal day 57; Ppm1gtm1Dgen/Ppm1g+ (more )
Structure Level Pattern Image Note
TS28: aorta Very strong Regionally restricted 99212641 Expression is frequently seen in the periaortic adipose tissue.
TS28: adipose tissue Very strong Regionally restricted 99212641 Expression is frequently seen in the periaortic adipose tissue.

Specimen Mouse 313588 - Image 99212645: postnatal day 57; Ppm1gtm1Dgen/Ppm1g+ (more )
Structure Level Pattern Image Note
TS28: larynx Strong 99212645 Expression is frequently seen in the larynx.

Specimen Mouse 313588 - Image 99212647: postnatal day 57; Ppm1gtm1Dgen/Ppm1g+ (more )
Structure Level Pattern Image Note
TS28: thyroid gland Strong 99212647 There is scattered expression in the thyroid gland. In addition, expression is frequently seen in the blood vessels of the thyroid gland.
TS28: blood vessel Strong Regionally restricted 99212647 Expression is frequently seen in the blood vessels of the thyroid gland.

Specimen Mouse 313588 - Image 99212655: postnatal day 57; Ppm1gtm1Dgen/Ppm1g+ (more )
Structure Level Pattern Image Note
TS28: skeletal muscle Strong 99212655 Expression is frequently seen in the skeletal muscle. In addition, expression is frequently seen in the blood vessels of the skeletal muscle.
TS28: blood vessel Strong Regionally restricted 99212655 Expression is frequently seen in the blood vessels of the skeletal muscle.

Specimen Mouse 313588 - Image 99212658: postnatal day 57; Ppm1gtm1Dgen/Ppm1g+ (more )
Structure Level Pattern Image Note
TS28: sciatic nerve Moderate 99212658 Expression is frequently seen in the sciatic nerve.

Specimen Mouse 313588 - Image 99212661: postnatal day 57; Ppm1gtm1Dgen/Ppm1g+ (more )
Structure Level Pattern Image Note
TS28: dermis Strong 99212661 There is scattered expression in the dermis.

Specimen Mouse 313588 - Image 99212663: postnatal day 57; Ppm1gtm1Dgen/Ppm1g+ (more )
Structure Level Pattern Image Note
TS28: epidermis Strong 99212663 Expression is frequently seen in the epidermis.
TS28: hair follicle Strong 99212663 There is scattered expression in the hair follicles.
TS28: sebaceous gland Strong 99212663 Expression is frequently seen in the sebaceous gland.

Specimen Mouse 313588 - Image 99212666: postnatal day 57; Ppm1gtm1Dgen/Ppm1g+ (more )
Structure Level Pattern Image Note
TS28: bone marrow Moderate 99212666 There is scattered expression in the bone marrow.

Specimen Mouse 313588 - Image 99222596: postnatal day 57; Ppm1gtm1Dgen/Ppm1g+ (more )
Structure Level Pattern Image Note
TS28: telencephalon Strong Regionally restricted 99222596 Expression is frequently seen in the cerebral meninges.
TS28: meninges Strong Regionally restricted 99222596 Expression is frequently seen in the cerebral meninges.

Specimen Mouse 313588 - Image 99222989: postnatal day 57; Ppm1gtm1Dgen/Ppm1g+ (more )
Structure Level Pattern Image Note
TS28: heart valve Strong 99222989 Expression is present in practically all cells of the valves.

Specimen Mouse 313588 - Image 99222997: postnatal day 57; Ppm1gtm1Dgen/Ppm1g+ (more )
Structure Level Pattern Image Note
TS28: bronchiole Strong Regionally restricted 99222997 Expression is present in practically all the smooth muscle cells of the bronchioles.

Specimen Mouse 313588 - Image 99222998: postnatal day 57; Ppm1gtm1Dgen/Ppm1g+ (more )
Structure Level Pattern Image Note
TS28: bile duct Weak 99222998 Expression is frequently seen in the bile duct.

Specimen Mouse 313588 - Image 99223004: postnatal day 57; Ppm1gtm1Dgen/Ppm1g+ (more )
Structure Level Pattern Image Note
TS28: retina Strong 99223004 There is scattered expression in the retina.

Specimen Mouse 313588 - Image 99223006: postnatal day 57; Ppm1gtm1Dgen/Ppm1g+ (more )
Structure Level Pattern Image Note
TS28: thymus thin fibrous capsule Weak 99223006 There is scattered expression in the capsule.

Specimen Mouse 313588 - Image 99223022: postnatal day 57; Ppm1gtm1Dgen/Ppm1g+ (more )
Structure Level Pattern Image Note
TS28: pancreatic acinus Moderate 99223022 There is scattered expression in the acini.

Specimen Mouse 313588 - Image 99223023: postnatal day 57; Ppm1gtm1Dgen/Ppm1g+ (more )
Structure Level Pattern Image Note
TS28: spleen white pulp Strong 99223023 There is scattered expression in the white pulp.

Specimen Mouse 313588 - Image 99223024: postnatal day 57; Ppm1gtm1Dgen/Ppm1g+ (more )
Structure Level Pattern Image Note
TS28: spleen red pulp Strong 99223024 There is scattered expression in the red pulp.

Specimen Mouse 313588 - Image 99223025: postnatal day 57; Ppm1gtm1Dgen/Ppm1g+ (more )
Structure Level Pattern Image Note
TS28: spleen capsule Weak 99223025 Expression is frequently seen in the capsule.

Specimen Mouse 313588 - Image 99223027: postnatal day 57; Ppm1gtm1Dgen/Ppm1g+ (more )
Structure Level Pattern Image Note
TS28: laryngeal cartilage Very strong 99223027 Expression is frequently seen in the cartilage.

Specimen Mouse 313588 - Image 99223029: postnatal day 57; Ppm1gtm1Dgen/Ppm1g+ (more )
Structure Level Pattern Image Note
TS28: retina inner nuclear layer Strong 99223029 There is scattered expression in the inner nuclear layer.

Specimen Mouse 313588 - Image 99223030: postnatal day 57; Ppm1gtm1Dgen/Ppm1g+ (more )
Structure Level Pattern Image Note
TS28: retina outer nuclear layer Moderate 99223030 There is scattered expression in the outer nuclear layer.

Specimen Mouse 313588 - Image 99223032: postnatal day 57; Ppm1gtm1Dgen/Ppm1g+ (more )
Structure Level Pattern Image Note
TS28: sclera Moderate 99223032 There is scattered expression in the sclera.

Specimen Mouse 313588 - Image 99223033: postnatal day 57; Ppm1gtm1Dgen/Ppm1g+ (more )
Structure Level Pattern Image Note
TS28: pigmented retinal epithelium Moderate 99223033 There is scattered expression in the pigment layer.

Specimen Mouse 313588: postnatal day 57; Ppm1gtm1Dgen/Ppm1g+ (more )
Structure Level Pattern Image Note
TS28: thymus Moderate Regionally restricted There is scattered expression in the blood vessels of the thymus.
TS28: blood vessel Present Regionally restricted There is moderate, scattered expression in the blood vessels of the thymus. There is strong, scattered expression in the blood vessels of the cerebellum and spinal cord. Strong expression is frequently seen in the cerebrum.
TS28: cerebellum Strong Regionally restricted There is scattered expression in the blood vessels of the cerebellum.
TS28: telencephalon Strong Regionally restricted Expression is frequently seen in the blood vessels of the cerebrum.
TS28: spinal cord Strong Regionally restricted There is scattered expression in the blood vessels of the spinal cord.


Contributing Projects:
Mouse Genome Database (MGD), Gene Expression Database (GXD), Mouse Models of Human Cancer database (MMHCdb) (formerly Mouse Tumor Biology (MTB)), Gene Ontology (GO)
Citing These Resources
Funding Information
Warranty Disclaimer, Privacy Notice, Licensing, & Copyright
Send questions and comments to User Support.
last database update
03/24/2026
MGI 6.24
The Jackson Laboratory