About   Help   FAQ
Gene Expression Data
Assay Details
Assay
Reference: J:101679 Deltagen Inc, NIH initiative supporting placement of Deltagen, Inc. mice into public repositories. MGI Direct Data Submission. 2005;
Assay type: In situ reporter (knock in)
MGI Accession ID: MGI:3639192
Gene symbol: Ptpro
Gene name: protein tyrosine phosphatase receptor type O
Reporter: lacZ
Direct Detection
Results
Specimen Mouse 238261 - Image 99188543: postnatal day 64; Ptprotm1Dgen/Ptpro+ (more )
Structure Level Pattern Image Note
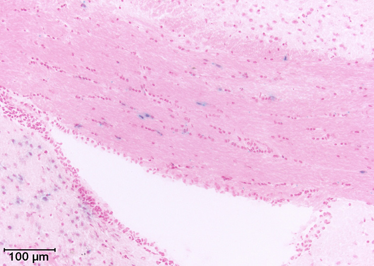
TS28: spinal cord Strong 99188543 There is occasional staining in the spinal cord.

Specimen Mouse 238261 - Image 99188552: postnatal day 64; Ptprotm1Dgen/Ptpro+ (more )
Structure Level Pattern Image Note
TS28: spinal cord central canal Strong 99188552 There is scattered expression in the central canal.
TS28: spinal cord gray matter Strong 99188552 There is occasional staining in the grey matter.

Specimen Mouse 238261 - Image 99188728: postnatal day 64; Ptprotm1Dgen/Ptpro+ (more )
Structure Level Pattern Image Note
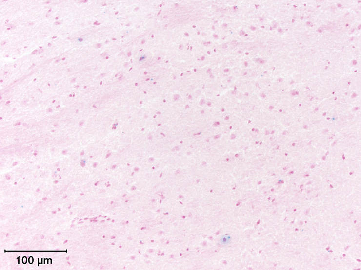
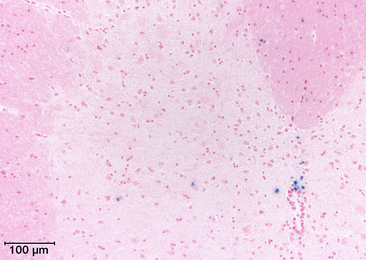
TS28: brainstem Strong 99188728 There is occasional staining in the brainstem.

Specimen Mouse 238261 - Image 99188729: postnatal day 64; Ptprotm1Dgen/Ptpro+ (more )
Structure Level Pattern Image Note
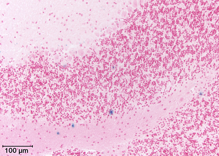
TS28: cerebellum granule cell layer Strong 99188729 There is occasional staining in the granule layer.
TS28: cerebellum Purkinje cell layer Strong 99188729 There is occasional staining in the Purkinje layer.
TS28: cerebellum white matter Strong 99188729 There is occasional staining in the white matter.

Specimen Mouse 238261 - Image 99188735: postnatal day 64; Ptprotm1Dgen/Ptpro+ (more )
Structure Level Pattern Image Note
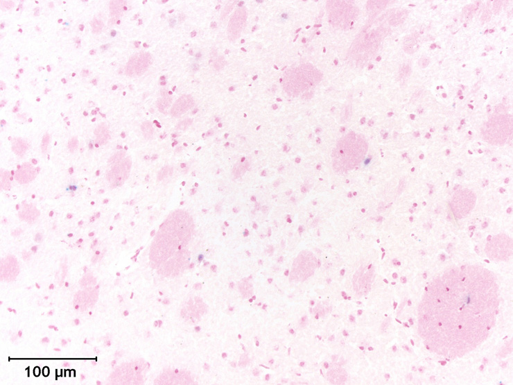
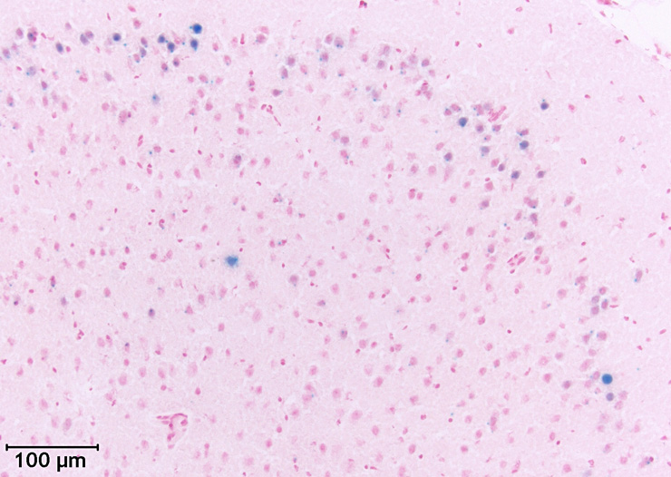
TS28: cerebral cortex Strong 99188735 There is scattered expression in the cortex.

Specimen Mouse 238261 - Image 99188739: postnatal day 64; Ptprotm1Dgen/Ptpro+ (more )
Structure Level Pattern Image Note
TS28: corpus callosum Strong 99188739 There is scattered expression in the corpus callosum.

Specimen Mouse 238261 - Image 99188744: postnatal day 64; Ptprotm1Dgen/Ptpro+ (more )
Structure Level Pattern Image Note
TS28: lateral septal complex Strong Regionally restricted 99188744 There is scattered expression in the lateral septal nucleus.

Specimen Mouse 238261 - Image 99188746: postnatal day 64; Ptprotm1Dgen/Ptpro+ (more )
Structure Level Pattern Image Note
TS28: caudate-putamen Moderate 99188746 There is scattered expression in the caudate-putamen.

Specimen Mouse 238261 - Image 99188748: postnatal day 64; Ptprotm1Dgen/Ptpro+ (more )
Structure Level Pattern Image Note
TS28: anterior commissure Strong 99188748 There is scattered expression in the anterior commissure.

Specimen Mouse 238261 - Image 99188752: postnatal day 64; Ptprotm1Dgen/Ptpro+ (more )
Structure Level Pattern Image Note
TS28: dentate gyrus Strong 99188752 Expression is frequently seen in the dentate gyrus.

Specimen Mouse 238261 - Image 99188757: postnatal day 64; Ptprotm1Dgen/Ptpro+ (more )
Structure Level Pattern Image Note
TS28: hypothalamus Moderate 99188757 There is scattered expression in the hypothalamus.
TS28: brain ventricle Strong Regionally restricted 99188757 There is scattered expression in a ventricle in the cerebrum.

Specimen Mouse 238261 - Image 99188760: postnatal day 64; Ptprotm1Dgen/Ptpro+ (more )
Structure Level Pattern Image Note
TS28: thalamus Strong 99188760 There is scattered expression in the thalamus.

Specimen Mouse 238261 - Image 99188761: postnatal day 64; Ptprotm1Dgen/Ptpro+ (more )
Structure Level Pattern Image Note
TS28: telencephalon Strong 99188761 There is scattered expression in the cerebrum.

Specimen Mouse 238261 - Image 99188767: postnatal day 64; Ptprotm1Dgen/Ptpro+ (more )
Structure Level Pattern Image Note
TS28: telencephalon Strong 99188767 There is scattered expression in the cerebrum.

Specimen Mouse 238261 - Image 99188768: postnatal day 64; Ptprotm1Dgen/Ptpro+ (more )
Structure Level Pattern Image Note
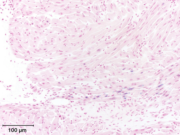
TS28: heart Moderate 99188768 There is occasional staining in the heart.

Specimen Mouse 238261 - Image 99188774: postnatal day 64; Ptprotm1Dgen/Ptpro+ (more )
Structure Level Pattern Image Note
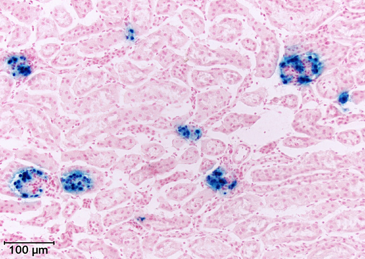
TS28: glomerular tuft Very strong 99188774 Expression is frequently seen in the glomeruli.

Specimen Mouse 238261 - Image 99188782: postnatal day 64; Ptprotm1Dgen/Ptpro+ (more )
Structure Level Pattern Image Note
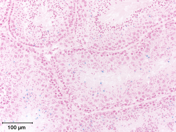
TS28: germ cell of testis Very strong 99188782 There is scattered expression in the spermatogenic cells.

Specimen Mouse 238261 - Image 99188784: postnatal day 64; Ptprotm1Dgen/Ptpro+ (more )
Structure Level Pattern Image Note
TS28: prostate gland Moderate 99188784 There is occasional staining in the prostate gland.

Specimen Mouse 238261 - Image 99204368: postnatal day 64; Ptprotm1Dgen/Ptpro+ (more )
Structure Level Pattern Image Note
TS28: spinal cord white matter Strong 99204368 There is occasional staining in the white matter.

Specimen Mouse 238261 - Image 99204768: postnatal day 64; Ptprotm1Dgen/Ptpro+ (more )
Structure Level Pattern Image Note
TS28: telencephalon Strong 99204768 There is scattered expression in the cerebrum.

Specimen Mouse 238261 - Image 99204769: postnatal day 64; Ptprotm1Dgen/Ptpro+ (more )
Structure Level Pattern Image Note
TS28: telencephalon Strong 99204769 There is scattered expression in the cerebrum.

Specimen Mouse 238261 - Image 99204770: postnatal day 64; Ptprotm1Dgen/Ptpro+ (more )
Structure Level Pattern Image Note
TS28: cerebellum molecular layer Moderate 99204770 There is occasional staining in the molecular layer.

Specimen Mouse 238261: postnatal day 64; Ptprotm1Dgen/Ptpro+ (more )
Structure Level Pattern Image Note
TS28: aorta Absent
TS28: liver Absent
TS28: pancreas Absent
TS28: adrenal gland Absent
TS28: parathyroid gland Absent
TS28: thyroid gland Absent
TS28: bone marrow Absent
TS28: spleen Absent
TS28: lymph node Absent
TS28: thymus Absent
TS28: skin Absent
TS28: skeletal muscle Absent
TS28: sciatic nerve Absent
TS28: lung Absent
TS28: bladder Absent

Specimen Mouse 300543 - Image 99203135: postnatal day 55; Ptprotm1Dgen/Ptpro+ (more )
Structure Level Pattern Image Note
TS28: brain Strong 99203135 There is scattered expression in the brain.
TS28: telencephalon Strong 99203135 There is scattered expression in the cerebrum.

Specimen Mouse 300543 - Image 99203136: postnatal day 55; Ptprotm1Dgen/Ptpro+ (more )
Structure Level Pattern Image Note
TS28: cerebellum Moderate 99203136 There is scattered expression in the cerebellum.

Specimen Mouse 300543 - Image 99203137: postnatal day 55; Ptprotm1Dgen/Ptpro+ (more )
Structure Level Pattern Image Note
TS28: brainstem Moderate 99203137 There is scattered expression in the brainstem.

Specimen Mouse 300543 - Image 99204360: postnatal day 55; Ptprotm1Dgen/Ptpro+ (more )
Structure Level Pattern Image Note
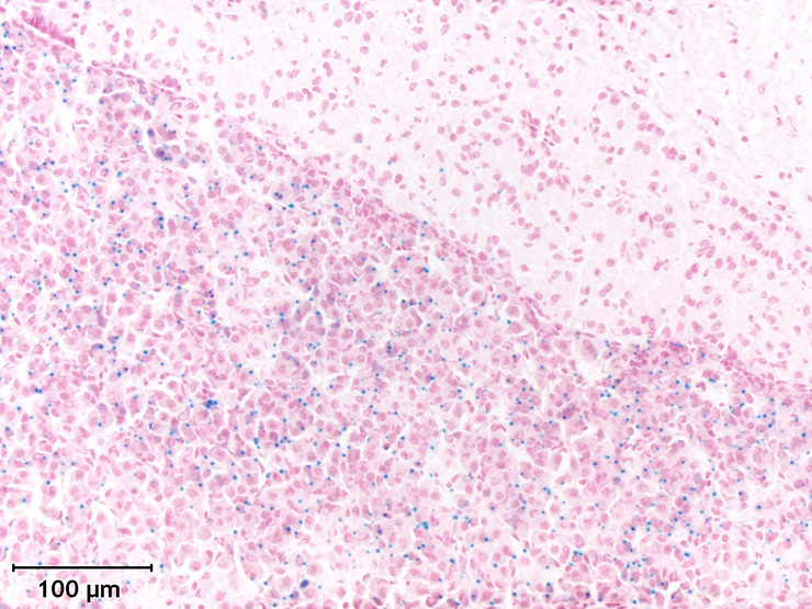
TS28: adenohypophysis pars anterior Very strong 99204360 Expression is frequently seen in the pars distalis.

Specimen Mouse 300543 - Image 99204361: postnatal day 55; Ptprotm1Dgen/Ptpro+ (more )
Structure Level Pattern Image Note
TS28: adenohypophysis pars intermedia Strong 99204361 There is occasional staining in the pars intermedia.

Specimen Mouse 300543 - Image 99204362: postnatal day 55; Ptprotm1Dgen/Ptpro+ (more )
Structure Level Pattern Image Note
TS28: neurohypophysis pars nervosa Strong 99204362 There is occasional staining in the pars nervosa.

Specimen Mouse 300543 - Image 99204375: postnatal day 55; Ptprotm1Dgen/Ptpro+ (more )
Structure Level Pattern Image Note
TS28: cervix uteri Strong 99204375 There is occasional staining in the cervix.

Specimen Mouse 300543 - Image 99204384: postnatal day 55; Ptprotm1Dgen/Ptpro+ (more )
Structure Level Pattern Image Note
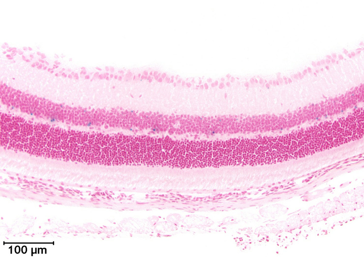
TS28: retina Strong 99204384 There is occasional staining in the retina.

Specimen Mouse 300543: postnatal day 55; Ptprotm1Dgen/Ptpro+ (more )
Structure Level Pattern Image Note
TS28: ovary Absent
TS28: uterus Absent
TS28: thymus Absent
TS28: spinal cord Strong There is occasional staining in the spinal cord.
TS28: bladder Absent


Contributing Projects:
Mouse Genome Database (MGD), Gene Expression Database (GXD), Mouse Models of Human Cancer database (MMHCdb) (formerly Mouse Tumor Biology (MTB)), Gene Ontology (GO)
Citing These Resources
Funding Information
Warranty Disclaimer, Privacy Notice, Licensing, & Copyright
Send questions and comments to User Support.
last database update
03/24/2026
MGI 6.24
The Jackson Laboratory