About   Help   FAQ
Gene Expression Data
Assay Details
Assay
Reference: J:101679 Deltagen Inc, NIH initiative supporting placement of Deltagen, Inc. mice into public repositories. MGI Direct Data Submission. 2005;
Assay type: In situ reporter (knock in)
MGI Accession ID: MGI:3639191
Gene symbol: Cck
Gene name: cholecystokinin
Reporter: lacZ
Direct Detection
Results
Specimen Mouse 223245 - Image 99204598: postnatal day 50; Ccktm1Dgen/Cck+ (more )
Structure Level Pattern Image Note
TS28: renal papilla Strong 99204598 There is scattered expression in the papilla.

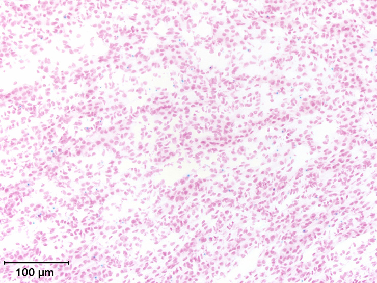
Specimen Mouse 223245 - Image 99204599: postnatal day 50; Ccktm1Dgen/Cck+ (more )
Structure Level Pattern Image Note
TS28: renal medulla Strong 99204599 There is scattered expression in the medulla.

Specimen Mouse 223245 - Image 99204600: postnatal day 50; Ccktm1Dgen/Cck+ (more )
Structure Level Pattern Image Note
TS28: germ cell of testis Strong 99204600 There is occasional staining in the spermatogenic cells.

Specimen Mouse 223245 - Image 99204626: postnatal day 50; Ccktm1Dgen/Cck+ (more )
Structure Level Pattern Image Note
TS28: hippocampus Trace 99204626 There is occasional staining in the hippocampus.

Specimen Mouse 223245: postnatal day 50; Ccktm1Dgen/Cck+ (more )
Structure Level Pattern Image Note
TS28: aorta Absent
TS28: heart Absent
TS28: liver Absent
TS28: pancreas Absent
TS28: adrenal gland Absent
TS28: pituitary gland Absent
TS28: thyroid gland Absent
TS28: bone marrow Absent
TS28: spleen Absent
TS28: lymph node Absent
TS28: thymus Absent
TS28: skin Absent
TS28: prostate gland Absent
TS28: skeletal muscle Absent
TS28: cerebellum Absent
TS28: brainstem Absent
TS28: sciatic nerve Absent
TS28: spinal cord Absent
TS28: lung Absent
TS28: bladder Absent

Specimen Mouse 294788 - Image 99203133: postnatal day 52; Ccktm1Dgen/Cck+ (more )
Structure Level Pattern Image Note
TS28: brain Moderate 99203133 There is occasional staining in the brain.
TS28: telencephalon Moderate 99203133 There is occasional staining in the cerebrum.

Specimen Mouse 294788: postnatal day 52; Ccktm1Dgen/Cck+ (more )
Structure Level Pattern Image Note
TS28: pituitary gland Absent
TS28: cervix uteri Absent
TS28: ovary Absent
TS28: uterus Absent
TS28: bone marrow Absent
TS28: cerebellum Absent
TS28: brainstem Absent
TS28: spinal cord Absent
TS28: eye Absent
TS28: bladder Absent


Contributing Projects:
Mouse Genome Database (MGD), Gene Expression Database (GXD), Mouse Models of Human Cancer database (MMHCdb) (formerly Mouse Tumor Biology (MTB)), Gene Ontology (GO)
Citing These Resources
Funding Information
Warranty Disclaimer, Privacy Notice, Licensing, & Copyright
Send questions and comments to User Support.
last database update
12/30/2025
MGI 6.24
The Jackson Laboratory