About   Help   FAQ
Gene Expression Data
Assay Details
Assay
Reference: J:101679 Deltagen Inc, NIH initiative supporting placement of Deltagen, Inc. mice into public repositories. MGI Direct Data Submission. 2005;
Assay type: In situ reporter (knock in)
MGI Accession ID: MGI:3639186
Gene symbol: Ppard
Gene name: peroxisome proliferator activator receptor delta
Reporter: lacZ
Direct Detection
Results
Specimen Mouse 85373 - Image 5194523: postnatal day 52; Ppardtm1Dgen/Ppard+ (more )
Structure Level Pattern Image Note
TS28: uterus Strong Regionally restricted 5194523 Expression is frequently seen in the uterine tubules.

Specimen Mouse 85373 - Image 5194524: postnatal day 52; Ppardtm1Dgen/Ppard+ (more )
Structure Level Pattern Image Note
TS28: epithelial layer of cervix uteri Moderate 5194524 There is scattered expression in the epithelial cells.

Specimen Mouse 85373 - Image 5194525: postnatal day 52; Ppardtm1Dgen/Ppard+ (more )
Structure Level Pattern Image Note
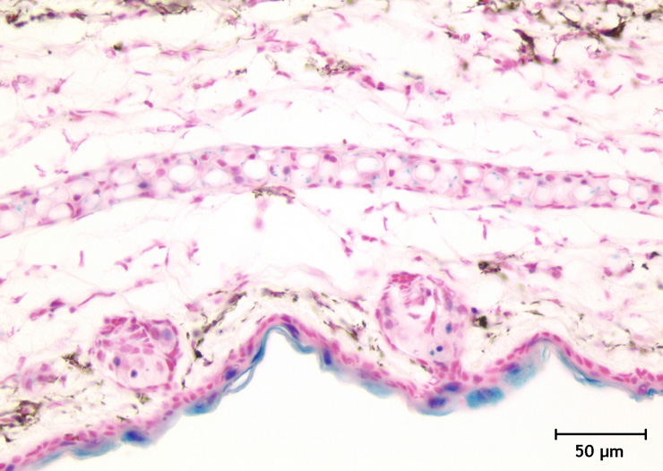
TS28: epithelium of vagina Moderate 5194525 There is scattered expression in the epithelial cells.

Specimen Mouse 85373 - Image 5194526: postnatal day 52; Ppardtm1Dgen/Ppard+ (more )
Structure Level Pattern Image Note
TS28: epithelial layer of cervix uteri Moderate 5194526 There is scattered expression in the epithelial cells.

Specimen Mouse 85373 - Image 5200246: postnatal day 52; Ppardtm1Dgen/Ppard+ (more )
Structure Level Pattern Image Note
TS28: cerebral cortex Moderate 5200246 Expression is frequently seen in the cortex.

Specimen Mouse 85373 - Image 5200247: postnatal day 52; Ppardtm1Dgen/Ppard+ (more )
Structure Level Pattern Image Note
TS28: telencephalon Moderate 5200247 Expression is frequently seen in the cerebrum.

Specimen Mouse 85373 - Image 5200248: postnatal day 52; Ppardtm1Dgen/Ppard+ (more )
Structure Level Pattern Image Note
TS28: thalamus Moderate 5200248 Expression is frequently seen in the thalamus.

Specimen Mouse 85373 - Image 5200277: postnatal day 52; Ppardtm1Dgen/Ppard+ (more )
Structure Level Pattern Image Note
TS28: cerebellum Very strong 5200277 Expression is frequently seen in the cerebellum.

Specimen Mouse 85373 - Image 5200360: postnatal day 52; Ppardtm1Dgen/Ppard+ (more )
Structure Level Pattern Image Note
TS28: cerebellum Very strong 5200360 Expression is frequently seen in the cerebellum.

Specimen Mouse 85373 - Image 6609066: postnatal day 52; Ppardtm1Dgen/Ppard+ (more )
Structure Level Pattern Image Note
TS28: uterus Weak 6609066 There is scattered expression in the uterus.

Specimen Mouse 85373 - Image 6609067: postnatal day 52; Ppardtm1Dgen/Ppard+ (more )
Structure Level Pattern Image Note
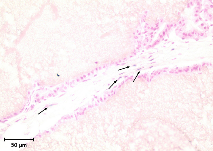
TS28: myometrium Weak 6609067 There is scattered expression in the myometrium.

Specimen Mouse 85373 - Image 6609068: postnatal day 52; Ppardtm1Dgen/Ppard+ (more )
Structure Level Pattern Image Note
TS28: uterus Weak 6609068 There is scattered expression in the uterus.

Specimen Mouse 85373 - Image 6609069: postnatal day 52; Ppardtm1Dgen/Ppard+ (more )
Structure Level Pattern Image Note
TS28: uterus Strong Regionally restricted 6609069 Expression is frequently seen in the uterine tubules.

Specimen Mouse 85373 - Image 6609070: postnatal day 52; Ppardtm1Dgen/Ppard+ (more )
Structure Level Pattern Image Note
TS28: ovary Weak Regionally restricted 6609070 There is scattered expression in the blood vessels of the ovary.
TS28: blood vessel Weak Regionally restricted 6609070 There is scattered expression in the blood vessels of the ovary.

Specimen Mouse 85373: postnatal day 52; Ppardtm1Dgen/Ppard+ (more )
Structure Level Pattern Image Note
TS28: bone marrow Absent
TS28: thymus Absent
TS28: brainstem Absent
TS28: spinal cord Absent
TS28: bladder Absent

Specimen Mouse 85375 - Image 5194433: postnatal day 52; Ppardtm1Dgen/Ppard+ (more )
Structure Level Pattern Image Note
TS28: caudate-putamen Weak 5194433 There is scattered expression in the caudate-putamen.

Specimen Mouse 85375 - Image 5194434: postnatal day 52; Ppardtm1Dgen/Ppard+ (more )
Structure Level Pattern Image Note
TS28: cerebral cortex Trace 5194434 There is scattered expression in the cortex.

Specimen Mouse 85375 - Image 5194435: postnatal day 52; Ppardtm1Dgen/Ppard+ (more )
Structure Level Pattern Image Note
TS28: corpus callosum Trace 5194435 There is occasional staining in the corpus callosum.

Specimen Mouse 85375 - Image 5194436: postnatal day 52; Ppardtm1Dgen/Ppard+ (more )
Structure Level Pattern Image Note
TS28: corpus callosum Trace 5194436 There is occasional staining in the corpus callosum.

Specimen Mouse 85375 - Image 5194437: postnatal day 52; Ppardtm1Dgen/Ppard+ (more )
Structure Level Pattern Image Note
TS28: cerebral cortex Trace 5194437 There is occasional staining in the cortex.

Specimen Mouse 85375 - Image 5194438: postnatal day 52; Ppardtm1Dgen/Ppard+ (more )
Structure Level Pattern Image Note
TS28: 4th ventricle Strong 5194438 Expression is frequently seen in the ventricle.

Specimen Mouse 85375 - Image 5194439: postnatal day 52; Ppardtm1Dgen/Ppard+ (more )
Structure Level Pattern Image Note
TS28: cerebellum Trace 5194439 There is occasional staining in the cerebellum.

Specimen Mouse 85375 - Image 5194440: postnatal day 52; Ppardtm1Dgen/Ppard+ (more )
Structure Level Pattern Image Note
TS28: neurohypophysis pars nervosa Trace 5194440 There is scattered expression in the pars nervosa.

Specimen Mouse 85375 - Image 5194476: postnatal day 52; Ppardtm1Dgen/Ppard+ (more )
Structure Level Pattern Image Note
TS28: pancreatic acinus Moderate 5194476 Expression is frequently seen in the acinar cells.

Specimen Mouse 85375 - Image 5194486: postnatal day 52; Ppardtm1Dgen/Ppard+ (more )
Structure Level Pattern Image Note
TS28: renal tubule Moderate 5194486 Expression is frequently seen in the tubules.

Specimen Mouse 85375 - Image 5194487: postnatal day 52; Ppardtm1Dgen/Ppard+ (more )
Structure Level Pattern Image Note
TS28: glomerular tuft Moderate 5194487 There is scattered expression in the glomeruli.

Specimen Mouse 85375 - Image 5194488: postnatal day 52; Ppardtm1Dgen/Ppard+ (more )
Structure Level Pattern Image Note
TS28: esophagus epithelium Strong 5194488 Expression is frequently seen in the epithelial cells.

Specimen Mouse 85375 - Image 5194489: postnatal day 52; Ppardtm1Dgen/Ppard+ (more )
Structure Level Pattern Image Note
TS28: trachea epithelium Trace 5194489 There is scattered expression in the epithelial cells of the mucosal epithelium.

Specimen Mouse 85375 - Image 5194490: postnatal day 52; Ppardtm1Dgen/Ppard+ (more )
Structure Level Pattern Image Note
TS28: larynx epithelium Trace 5194490 There is scattered expression in the epithelium.

Specimen Mouse 85375 - Image 5194491: postnatal day 52; Ppardtm1Dgen/Ppard+ (more )
Structure Level Pattern Image Note
TS28: tongue epithelium Moderate 5194491 Expression is frequently seen in the epithelial cells.

Specimen Mouse 85375 - Image 5194492: postnatal day 52; Ppardtm1Dgen/Ppard+ (more )
Structure Level Pattern Image Note
TS28: ear skin Strong Regionally restricted 5194492 There is scattered expression in the ear skin epidermis.

Specimen Mouse 85375 - Image 5194493: postnatal day 52; Ppardtm1Dgen/Ppard+ (more )
Structure Level Pattern Image Note
TS28: ear Moderate Regionally restricted 5194493 Expression is frequently seen in the ear cartilage in chondrocytes.
TS28: cartilage Moderate Regionally restricted 5194493 Expression is frequently seen in the ear cartilage in chondrocytes.

Specimen Mouse 85375 - Image 5194494: postnatal day 52; Ppardtm1Dgen/Ppard+ (more )
Structure Level Pattern Image Note
TS28: pinna muscle Weak 5194494 There is scattered expression in the myocytes.

Specimen Mouse 85375 - Image 5194495: postnatal day 52; Ppardtm1Dgen/Ppard+ (more )
Structure Level Pattern Image Note
TS28: ear Strong Regionally restricted 5194495 Expression is frequently seen in the ear hair follicles.
TS28: hair follicle Strong Regionally restricted 5194495 Expression is frequently seen in the ear hair follicles.

Specimen Mouse 85375 - Image 5194496: postnatal day 52; Ppardtm1Dgen/Ppard+ (more )
Structure Level Pattern Image Note
TS28: seminiferous tubule Trace Regionally restricted 5194496 There is scattered expression in the myofibroblasts.

Specimen Mouse 85375 - Image 5194497: postnatal day 52; Ppardtm1Dgen/Ppard+ (more )
Structure Level Pattern Image Note
TS28: interstitium of the testis Moderate 5194497 Expression is frequently seen in the interstitial cells.

Specimen Mouse 85375 - Image 5194498: postnatal day 52; Ppardtm1Dgen/Ppard+ (more )
Structure Level Pattern Image Note
TS28: testis Moderate Regionally restricted 5194498 Expression is frequently seen in the blood vessels of the testis.
TS28: blood vessel Moderate Regionally restricted 5194498 Expression is frequently seen in the blood vessels of the testis.

Specimen Mouse 85375 - Image 5194499: postnatal day 52; Ppardtm1Dgen/Ppard+ (more )
Structure Level Pattern Image Note
TS28: penis epithelium Moderate 5194499 Expression is frequently seen in the epithelium.

Specimen Mouse 85375 - Image 5194500: postnatal day 52; Ppardtm1Dgen/Ppard+ (more )
Structure Level Pattern Image Note
TS28: glans penis Moderate 5194500 There is scattered expression in the penis gland.

Specimen Mouse 85375 - Image 5194501: postnatal day 52; Ppardtm1Dgen/Ppard+ (more )
Structure Level Pattern Image Note
TS28: anterior prostate gland Moderate Regionally restricted 5194501 There is occasional staining in epithelial cells and in the myocytes of the capsule.

Specimen Mouse 85375 - Image 5194502: postnatal day 52; Ppardtm1Dgen/Ppard+ (more )
Structure Level Pattern Image Note
TS28: prostate gland Strong 5194502 There is scattered expression in the prostate gland.
TS28: prostate gland smooth muscle Strong Regionally restricted 5194502 There is scattered expression in the myocytes of the capsule.

Specimen Mouse 85375 - Image 5194503: postnatal day 52; Ppardtm1Dgen/Ppard+ (more )
Structure Level Pattern Image Note
TS28: retina inner nuclear layer Weak 5194503 There is scattered expression in the inner nuclear layer.

Specimen Mouse 85375 - Image 5202142: postnatal day 52; Ppardtm1Dgen/Ppard+ (more )
Structure Level Pattern Image Note
TS28: 4th ventricle Moderate 5202142 Expression is frequently seen in the ventricle.

Specimen Mouse 85375 - Image 5202143: postnatal day 52; Ppardtm1Dgen/Ppard+ (more )
Structure Level Pattern Image Note
TS28: cerebellum molecular layer Weak 5202143 There is scattered expression in the Purkinje cells. Expression is frequently seen in the molecular layer.

Specimen Mouse 85375 - Image 5202144: postnatal day 52; Ppardtm1Dgen/Ppard+ (more )
Structure Level Pattern Image Note
TS28: cerebellum granule cell layer Weak 5202144 There is occasional staining in the granule layer.

Specimen Mouse 85375 - Image 5202172: postnatal day 52; Ppardtm1Dgen/Ppard+ (more )
Structure Level Pattern Image Note
TS28: cerebellum white matter Moderate 5202172 There is scattered expression in the white matter.

Specimen Mouse 85375 - Image 5202483: postnatal day 52; Ppardtm1Dgen/Ppard+ (more )
Structure Level Pattern Image Note
TS28: 3rd ventricle Trace 5202483 Expression is frequently seen in the third ventricle.

Specimen Mouse 85375 - Image 5202486: postnatal day 52; Ppardtm1Dgen/Ppard+ (more )
Structure Level Pattern Image Note
TS28: hippocampus Trace 5202486 There is scattered expression in the hippocampus.

Specimen Mouse 85375 - Image 5202488: postnatal day 52; Ppardtm1Dgen/Ppard+ (more )
Structure Level Pattern Image Note
TS28: thalamus Trace 5202488 There is occasional staining in the thalamus.

Specimen Mouse 85375 - Image 5202491: postnatal day 52; Ppardtm1Dgen/Ppard+ (more )
Structure Level Pattern Image Note
TS28: 3rd ventricle Trace 5202491 Expression is frequently seen in the third ventricle.

Specimen Mouse 85375 - Image 5202492: postnatal day 52; Ppardtm1Dgen/Ppard+ (more )
Structure Level Pattern Image Note
TS28: pancreatic acinus Moderate 5202492 Expression is frequently seen in the acinar cells.

Specimen Mouse 85375 - Image 5202493: postnatal day 52; Ppardtm1Dgen/Ppard+ (more )
Structure Level Pattern Image Note
TS28: esophagus epithelium Strong 5202493 Expression is frequently seen in the epithelial cells.

Specimen Mouse 85375 - Image 5202495: postnatal day 52; Ppardtm1Dgen/Ppard+ (more )
Structure Level Pattern Image Note
TS28: esophagus epithelium Strong 5202495 Expression is frequently seen in the epithelial cells.

Specimen Mouse 85375 - Image 5202498: postnatal day 52; Ppardtm1Dgen/Ppard+ (more )
Structure Level Pattern Image Note
TS28: tongue epithelium Moderate 5202498 Expression is frequently seen in the epithelial cells.

Specimen Mouse 85375 - Image 5202500: postnatal day 52; Ppardtm1Dgen/Ppard+ (more )
Structure Level Pattern Image Note
TS28: tongue epithelium Strong 5202500 Expression is frequently seen in the epithelial cells.

Specimen Mouse 85375 - Image 5202502: postnatal day 52; Ppardtm1Dgen/Ppard+ (more )
Structure Level Pattern Image Note
TS28: ear Strong Regionally restricted 5202502 Expression is frequently seen in the sebaceous glands of the ear.
TS28: sebaceous gland Strong Regionally restricted 5202502 Expression is frequently seen in the sebaceous glands of the ear.

Specimen Mouse 85375 - Image 5202503: postnatal day 52; Ppardtm1Dgen/Ppard+ (more )
Structure Level Pattern Image Note
TS28: testis Trace Regionally restricted 5202503 Expression is frequently seen in the tunica albuginea.

Specimen Mouse 85375 - Image 5202611: postnatal day 52; Ppardtm1Dgen/Ppard+ (more )
Structure Level Pattern Image Note
TS28: prostate gland Strong 5202611 There is scattered expression in the prostate gland.

Specimen Mouse 85375 - Image 5202635: postnatal day 52; Ppardtm1Dgen/Ppard+ (more )
Structure Level Pattern Image Note
TS28: seminal vesicle Trace Regionally restricted 5202635 There is scattered expression in the myocytes of the capsule.

Specimen Mouse 85375 - Image 8905449: postnatal day 52; Ppardtm1Dgen/Ppard+ (more )
Structure Level Pattern Image Note
TS28: spinal cord gray matter Trace 8905449 There is scattered expression in the grey matter.

Specimen Mouse 85375: postnatal day 52; Ppardtm1Dgen/Ppard+ (more )
Structure Level Pattern Image Note
TS28: aorta Absent
TS28: heart Absent
TS28: gallbladder Absent
TS28: liver Absent
TS28: salivary gland Absent
TS28: adrenal gland Absent
TS28: parathyroid gland Absent
TS28: thyroid gland Absent
TS28: bone marrow Absent
TS28: spleen Absent
TS28: lymph node Absent
TS28: thymus Absent
TS28: ear Weak Regionally restricted Expression is frequently seen in the blood vessels of the ear.
TS28: blood vessel Weak Regionally restricted Expression is frequently seen in the blood vessels of the ear.
TS28: Harderian gland Absent
TS28: skin Absent
TS28: skeletal muscle Absent
TS28: brainstem Absent
TS28: sciatic nerve Absent
TS28: lung Absent
TS28: bladder Absent

Specimen Mouse 116795 - Image 8905440: postnatal day 67; Ppardtm1Dgen/Ppard+ (more )
Structure Level Pattern Image Note
TS28: spinal cord gray matter Trace 8905440 There is scattered expression in the grey matter.

Specimen Mouse 116795 - Image 8905441: postnatal day 67; Ppardtm1Dgen/Ppard+ (more )
Structure Level Pattern Image Note
TS28: esophagus epithelium Strong 8905441 There is scattered expression in the epithelial cells.

Specimen Mouse 116795 - Image 8905442: postnatal day 67; Ppardtm1Dgen/Ppard+ (more )
Structure Level Pattern Image Note
TS28: trachea epithelium Moderate 8905442 There is scattered expression in the mucosal epithelium.

Specimen Mouse 116795 - Image 8905443: postnatal day 67; Ppardtm1Dgen/Ppard+ (more )
Structure Level Pattern Image Note
TS28: parathyroid gland Weak 8905443 There is scattered expression in the parathyroid gland.

Specimen Mouse 116795 - Image 8905444: postnatal day 67; Ppardtm1Dgen/Ppard+ (more )
Structure Level Pattern Image Note
TS28: larynx epithelium Trace 8905444 There is scattered expression in the epithelial cells.

Specimen Mouse 116795 - Image 8905445: postnatal day 67; Ppardtm1Dgen/Ppard+ (more )
Structure Level Pattern Image Note
TS28: uterus Weak Regionally restricted 8905445 There is scattered expression in the uterine tubules.

Specimen Mouse 116795 - Image 8905446: postnatal day 67; Ppardtm1Dgen/Ppard+ (more )
Structure Level Pattern Image Note
TS28: epithelium of vagina Weak 8905446 There is scattered expression in the epithelial cells.

Specimen Mouse 116795 - Image 8905447: postnatal day 67; Ppardtm1Dgen/Ppard+ (more )
Structure Level Pattern Image Note
TS28: epithelial layer of cervix uteri Trace 8905447 There is scattered expression in the epithelial cells.

Specimen Mouse 116795 - Image 8905448: postnatal day 67; Ppardtm1Dgen/Ppard+ (more )
Structure Level Pattern Image Note
TS28: bladder mucosa Trace 8905448 There is scattered expression in the mucosa.

Specimen Mouse 116795 - Image 8932533: postnatal day 67; Ppardtm1Dgen/Ppard+ (more )
Structure Level Pattern Image Note
TS28: telencephalon Moderate 8932533 Expression is frequently seen in the cerebrum.

Specimen Mouse 116795 - Image 8932534: postnatal day 67; Ppardtm1Dgen/Ppard+ (more )
Structure Level Pattern Image Note
TS28: telencephalon Moderate 8932534 Expression is frequently seen in the cerebrum.

Specimen Mouse 116795 - Image 8932535: postnatal day 67; Ppardtm1Dgen/Ppard+ (more )
Structure Level Pattern Image Note
TS28: telencephalon Trace 8932535 Expression is frequently seen in the cerebrum.

Specimen Mouse 116795 - Image 8932536: postnatal day 67; Ppardtm1Dgen/Ppard+ (more )
Structure Level Pattern Image Note
TS28: telencephalon Moderate 8932536 Expression is frequently seen in the cerebrum.

Specimen Mouse 116795 - Image 8932537: postnatal day 67; Ppardtm1Dgen/Ppard+ (more )
Structure Level Pattern Image Note
TS28: cerebellum Moderate 8932537 Expression is frequently seen in the cerebellum.

Specimen Mouse 116795 - Image 8932538: postnatal day 67; Ppardtm1Dgen/Ppard+ (more )
Structure Level Pattern Image Note
TS28: cerebellum Moderate 8932538 Expression is frequently seen in the cerebellum.

Specimen Mouse 116795 - Image 8932539: postnatal day 67; Ppardtm1Dgen/Ppard+ (more )
Structure Level Pattern Image Note
TS28: brainstem Weak 8932539 Expression is frequently seen in the brainstem.

Specimen Mouse 116795 - Image 9248245: postnatal day 67; Ppardtm1Dgen/Ppard+ (more )
Structure Level Pattern Image Note
TS28: renal tubule Weak 9248245 Expression is frequently seen in the tubules.

Specimen Mouse 116795: postnatal day 67; Ppardtm1Dgen/Ppard+ (more )
Structure Level Pattern Image Note
TS28: pituitary gland Absent
TS28: thyroid gland Absent
TS28: ovary Absent
TS28: thymus Absent


Contributing Projects:
Mouse Genome Database (MGD), Gene Expression Database (GXD), Mouse Models of Human Cancer database (MMHCdb) (formerly Mouse Tumor Biology (MTB)), Gene Ontology (GO)
Citing These Resources
Funding Information
Warranty Disclaimer, Privacy Notice, Licensing, & Copyright
Send questions and comments to User Support.
last database update
12/30/2025
MGI 6.24
The Jackson Laboratory