About   Help   FAQ
Gene Expression Data
Assay Details
Assay
Reference: J:101679 Deltagen Inc, NIH initiative supporting placement of Deltagen, Inc. mice into public repositories. MGI Direct Data Submission. 2005;
Assay type: In situ reporter (knock in)
MGI Accession ID: MGI:3639182
Gene symbol: Fzd8
Gene name: frizzled class receptor 8
Reporter: lacZ
Direct Detection
Results
Specimen Mouse 384992 - Image 99238571: postnatal day 63; Fzd8tm1Dgen/Fzd8+ (more )
Structure Level Pattern Image Note
TS28: sciatic nerve Moderate 99238571 Expression is frequently seen in the sciatic nerve.

Specimen Mouse 384992 - Image 99238572: postnatal day 63; Fzd8tm1Dgen/Fzd8+ (more )
Structure Level Pattern Image Note
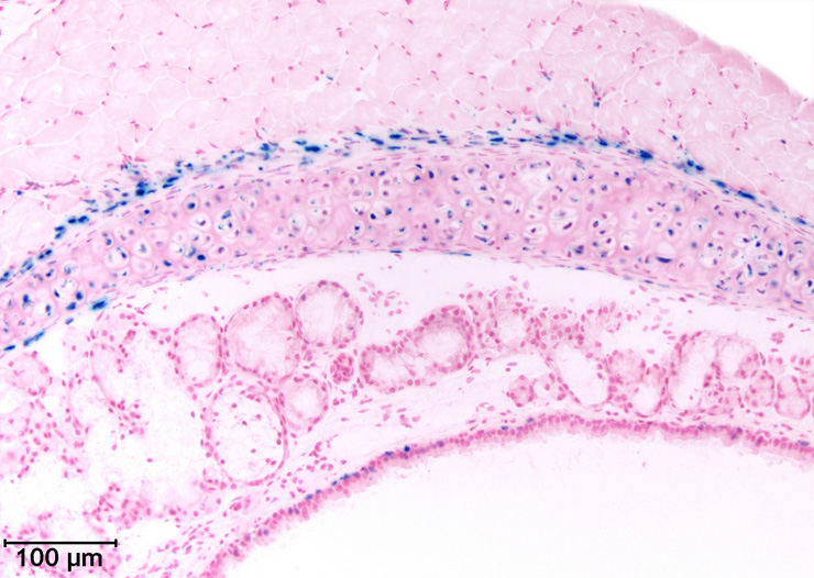
TS28: skeletal muscle Moderate Regionally restricted 99238572 There is scattered expression in the blood vessels of the skeletal muscle.
TS28: blood vessel Moderate Regionally restricted 99238572 There is scattered expression in the blood vessels of the skeletal muscle.

Specimen Mouse 384992 - Image 99238574: postnatal day 63; Fzd8tm1Dgen/Fzd8+ (more )
Structure Level Pattern Image Note
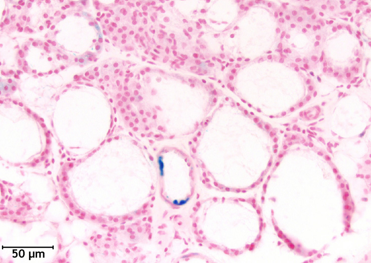
TS28: thyroid gland Strong Regionally restricted 99238574 There is scattered expression in the blood vessels of the thyroid gland.
TS28: blood vessel Strong Regionally restricted 99238574 There is scattered expression in the blood vessels of the thyroid gland.

Specimen Mouse 384992 - Image 99238575: postnatal day 63; Fzd8tm1Dgen/Fzd8+ (more )
Structure Level Pattern Image Note
TS28: thyroid gland Moderate 99238575 There is occasional staining in the thyroid gland.

Specimen Mouse 384992 - Image 99238578: postnatal day 63; Fzd8tm1Dgen/Fzd8+ (more )
Structure Level Pattern Image Note
TS28: trachea Strong 99238578 Expression is frequently seen in the trachea.

Specimen Mouse 384992 - Image 99238579: postnatal day 63; Fzd8tm1Dgen/Fzd8+ (more )
Structure Level Pattern Image Note
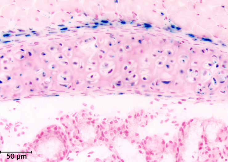
TS28: trachea cartilage Very strong 99238579 Expression is present in practically all cells of the cartilage.

Specimen Mouse 384992 - Image 99238580: postnatal day 63; Fzd8tm1Dgen/Fzd8+ (more )
Structure Level Pattern Image Note
TS28: ciliary body Moderate 99238580 There is occasional staining in the ciliary body.

Specimen Mouse 384992 - Image 99238581: postnatal day 63; Fzd8tm1Dgen/Fzd8+ (more )
Structure Level Pattern Image Note
TS28: retina inner nuclear layer Weak 99238581 There is scattered expression in the inner nuclear layer.

Specimen Mouse 384992 - Image 99238582: postnatal day 63; Fzd8tm1Dgen/Fzd8+ (more )
Structure Level Pattern Image Note
TS28: sclera Weak 99238582 There is scattered expression in the sclera.

Specimen Mouse 384992 - Image 99238583: postnatal day 63; Fzd8tm1Dgen/Fzd8+ (more )
Structure Level Pattern Image Note
TS28: pigmented retinal epithelium Moderate 99238583 There is scattered expression in the pigment layer.

Specimen Mouse 384992 - Image 99238584: postnatal day 63; Fzd8tm1Dgen/Fzd8+ (more )
Structure Level Pattern Image Note
TS28: optic nerve Weak 99238584 There is occasional staining in the optic nerve.

Specimen Mouse 384992 - Image 99238586: postnatal day 63; Fzd8tm1Dgen/Fzd8+ (more )
Structure Level Pattern Image Note
TS28: heart valve Strong 99238586 Expression is frequently seen in the valves.

Specimen Mouse 384992 - Image 99238776: postnatal day 63; Fzd8tm1Dgen/Fzd8+ (more )
Structure Level Pattern Image Note
TS28: liver Very strong Regionally restricted 99238776 There is scattered expression in the blood vessels of the liver.
TS28: blood vessel Very strong Regionally restricted 99238776 There is scattered expression in the blood vessels of the liver.

Specimen Mouse 384992 - Image 99238777: postnatal day 63; Fzd8tm1Dgen/Fzd8+ (more )
Structure Level Pattern Image Note
TS28: heart atrium Strong 99238777 There is occasional staining in the atrium.

Specimen Mouse 384992 - Image 99238779: postnatal day 63; Fzd8tm1Dgen/Fzd8+ (more )
Structure Level Pattern Image Note
TS28: bronchiole Strong 99238779 There is occasional staining in the bronchioles.

Specimen Mouse 384992 - Image 99238780: postnatal day 63; Fzd8tm1Dgen/Fzd8+ (more )
Structure Level Pattern Image Note
TS28: lung Weak Regionally restricted 99238780 There is occasional staining in the blood vessels of the lung.
TS28: blood vessel Weak Regionally restricted 99238780 There is occasional staining in the blood vessels of the lung.

Specimen Mouse 384992 - Image 99238781: postnatal day 63; Fzd8tm1Dgen/Fzd8+ (more )
Structure Level Pattern Image Note
TS28: adrenal medulla Strong 99238781 There is scattered expression in the medulla.

Specimen Mouse 384992 - Image 99238783: postnatal day 63; Fzd8tm1Dgen/Fzd8+ (more )
Structure Level Pattern Image Note
TS28: adrenal gland Moderate Regionally restricted 99238783 There is scattered expression in the blood vessels of the adrenal gland.
TS28: blood vessel Moderate Regionally restricted 99238783 There is scattered expression in the blood vessels of the adrenal gland.

Specimen Mouse 384992 - Image 99238784: postnatal day 63; Fzd8tm1Dgen/Fzd8+ (more )
Structure Level Pattern Image Note
TS28: renal cortex Strong 99238784 There is scattered expression in the cortex.

Specimen Mouse 384992 - Image 99238785: postnatal day 63; Fzd8tm1Dgen/Fzd8+ (more )
Structure Level Pattern Image Note
TS28: renal papilla Weak 99238785 Expression is frequently seen in the papilla.

Specimen Mouse 384992 - Image 99238786: postnatal day 63; Fzd8tm1Dgen/Fzd8+ (more )
Structure Level Pattern Image Note
TS28: renal pelvis Weak 99238786 There is occasional staining in the kidney pelvis.

Specimen Mouse 384992 - Image 99238787: postnatal day 63; Fzd8tm1Dgen/Fzd8+ (more )
Structure Level Pattern Image Note
TS28: renal medulla Strong 99238787 There is scattered expression in the medulla.

Specimen Mouse 384992 - Image 99238788: postnatal day 63; Fzd8tm1Dgen/Fzd8+ (more )
Structure Level Pattern Image Note
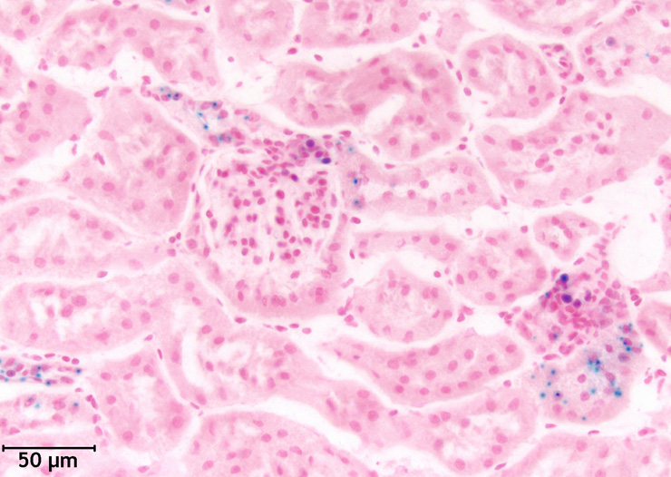
TS28: glomerular tuft Moderate 99238788 There is occasional staining in the glomeruli.

Specimen Mouse 384992 - Image 99238789: postnatal day 63; Fzd8tm1Dgen/Fzd8+ (more )
Structure Level Pattern Image Note
TS28: renal tubule Strong 99238789 There is scattered expression in the tubules.

Specimen Mouse 384992 - Image 99238790: postnatal day 63; Fzd8tm1Dgen/Fzd8+ (more )
Structure Level Pattern Image Note
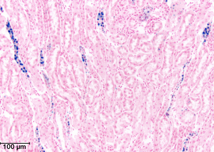
TS28: metanephros Very strong Regionally restricted 99238790 There is scattered expression in the blood vessels of the kidney.
TS28: blood vessel Very strong Regionally restricted 99238790 There is scattered expression in the blood vessels of the kidney.

Specimen Mouse 384992 - Image 99238791: postnatal day 63; Fzd8tm1Dgen/Fzd8+ (more )
Structure Level Pattern Image Note
TS28: prostate gland Very strong Regionally restricted 99238791 Expression is frequently seen in the ganglia.

Specimen Mouse 384992 - Image 99238792: postnatal day 63; Fzd8tm1Dgen/Fzd8+ (more )
Structure Level Pattern Image Note
TS28: testis Moderate Regionally restricted 99238792 There is scattered expression in the blood vessels of the testis.
TS28: blood vessel Moderate Regionally restricted 99238792 There is scattered expression in the blood vessels of the testis.

Specimen Mouse 384992 - Image 99238793: postnatal day 63; Fzd8tm1Dgen/Fzd8+ (more )
Structure Level Pattern Image Note
TS28: testis Strong Regionally restricted 99238793 There is scattered expression in the tunica albuginea.

Specimen Mouse 384992 - Image 99238794: postnatal day 63; Fzd8tm1Dgen/Fzd8+ (more )
Structure Level Pattern Image Note
TS28: interstitium of the testis Moderate 99238794 There is occasional staining in the interstitium.

Specimen Mouse 384992 - Image 99238795: postnatal day 63; Fzd8tm1Dgen/Fzd8+ (more )
Structure Level Pattern Image Note
TS28: prostate gland Moderate Regionally restricted 99238795 There is occasional staining in the stroma.

Specimen Mouse 384992 - Image 99238934: postnatal day 63; Fzd8tm1Dgen/Fzd8+ (more )
Structure Level Pattern Image Note
TS28: spleen capsule Strong 99238934 There is occasional staining in the capsule.

Specimen Mouse 384992 - Image 99238935: postnatal day 63; Fzd8tm1Dgen/Fzd8+ (more )
Structure Level Pattern Image Note
TS28: pancreas Strong Regionally restricted 99238935 There is occasional staining in the blood vessels of the pancreas.
TS28: blood vessel Strong Regionally restricted 99238935 There is occasional staining in the blood vessels of the pancreas.

Specimen Mouse 384992 - Image 99238936: postnatal day 63; Fzd8tm1Dgen/Fzd8+ (more )
Structure Level Pattern Image Note
TS28: pancreas Weak 99238936 There is occasional staining in the pancreas.

Specimen Mouse 384992 - Image 99238940: postnatal day 63; Fzd8tm1Dgen/Fzd8+ (more )
Structure Level Pattern Image Note
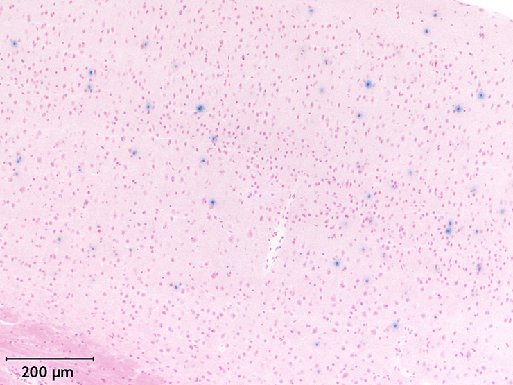
TS28: brainstem Strong 99238940 There is occasional staining in the brainstem.

Specimen Mouse 384992 - Image 99238942: postnatal day 63; Fzd8tm1Dgen/Fzd8+ (more )
Structure Level Pattern Image Note
TS28: neurohypophysis pars nervosa Strong 99238942 There is scattered expression in the pars nervosa.

Specimen Mouse 384992 - Image 99238944: postnatal day 63; Fzd8tm1Dgen/Fzd8+ (more )
Structure Level Pattern Image Note
TS28: adenohypophysis pars intermedia Moderate 99238944 Expression is frequently seen in the pars intermedia.

Specimen Mouse 384992 - Image 99238946: postnatal day 63; Fzd8tm1Dgen/Fzd8+ (more )
Structure Level Pattern Image Note
TS28: adenohypophysis pars anterior Moderate 99238946 There is scattered expression in the pars distalis.

Specimen Mouse 384992 - Image 99238947: postnatal day 63; Fzd8tm1Dgen/Fzd8+ (more )
Structure Level Pattern Image Note
TS28: spinal cord white matter Moderate 99238947 There is occasional staining in the white matter.

Specimen Mouse 384992 - Image 99238949: postnatal day 63; Fzd8tm1Dgen/Fzd8+ (more )
Structure Level Pattern Image Note
TS28: spinal cord dorsal horn Moderate 99238949 There is occasional staining in the dorsal horns.

Specimen Mouse 384992 - Image 99238950: postnatal day 63; Fzd8tm1Dgen/Fzd8+ (more )
Structure Level Pattern Image Note
TS28: spinal cord ventral horn Moderate 99238950 There is scattered expression in the ventral horns.

Specimen Mouse 384992 - Image 99238952: postnatal day 63; Fzd8tm1Dgen/Fzd8+ (more )
Structure Level Pattern Image Note
TS28: spinal cord central canal Weak 99238952 There is occasional staining in the central canal.

Specimen Mouse 384992 - Image 99238953: postnatal day 63; Fzd8tm1Dgen/Fzd8+ (more )
Structure Level Pattern Image Note
TS28: cerebellum Purkinje cell layer Weak 99238953 There is occasional staining in the Purkinje layer.

Specimen Mouse 384992 - Image 99238954: postnatal day 63; Fzd8tm1Dgen/Fzd8+ (more )
Structure Level Pattern Image Note
TS28: caudate-putamen Moderate 99238954 There is occasional staining in the caudate-putamen.

Specimen Mouse 384992 - Image 99238955: postnatal day 63; Fzd8tm1Dgen/Fzd8+ (more )
Structure Level Pattern Image Note
TS28: hippocampus Moderate 99238955 There is scattered expression in the hippocampus.

Specimen Mouse 384992 - Image 99238956: postnatal day 63; Fzd8tm1Dgen/Fzd8+ (more )
Structure Level Pattern Image Note
TS28: thalamus Moderate 99238956 There is scattered expression in the thalamus.

Specimen Mouse 384992 - Image 99238957: postnatal day 63; Fzd8tm1Dgen/Fzd8+ (more )
Structure Level Pattern Image Note
TS28: amygdala Moderate 99238957 There is scattered expression in the amygdala.

Specimen Mouse 384992 - Image 99238958: postnatal day 63; Fzd8tm1Dgen/Fzd8+ (more )
Structure Level Pattern Image Note
TS28: cerebral cortex Moderate 99238958 There is scattered expression in the cortex.

Specimen Mouse 384992 - Image 99238960: postnatal day 63; Fzd8tm1Dgen/Fzd8+ (more )
Structure Level Pattern Image Note
TS28: brain ventricle Moderate Regionally restricted 99238960 There is scattered expression in a ventricle in the cerebrum.

Specimen Mouse 384992 - Image 99238961: postnatal day 63; Fzd8tm1Dgen/Fzd8+ (more )
Structure Level Pattern Image Note
TS28: telencephalon Moderate 99238961 There is scattered expression in the cerebrum.

Specimen Mouse 384992 - Image 99238963: postnatal day 63; Fzd8tm1Dgen/Fzd8+ (more )
Structure Level Pattern Image Note
TS28: telencephalon Moderate 99238963 There is scattered expression in the cerebrum.

Specimen Mouse 384992 - Image 99241697: postnatal day 63; Fzd8tm1Dgen/Fzd8+ (more )
Structure Level Pattern Image Note
TS28: telencephalon Moderate Regionally restricted 99241697 There is scattered expression in the cerebral meninges.
TS28: meninges Moderate Regionally restricted 99241697 There is scattered expression in the cerebral meninges.

Specimen Mouse 384992 - Image 99241732: postnatal day 63; Fzd8tm1Dgen/Fzd8+ (more )
Structure Level Pattern Image Note
TS28: spleen Very strong Regionally restricted 99241732 There is scattered expression in the blood vessels of the spleen.
TS28: blood vessel Very strong Regionally restricted 99241732 There is scattered expression in the blood vessels of the spleen.

Specimen Mouse 384992 - Image 99241762: postnatal day 63; Fzd8tm1Dgen/Fzd8+ (more )
Structure Level Pattern Image Note
TS28: bladder Trace 99241762 There is occasional staining in the urinary bladder.

Specimen Mouse 384992 - Image 99241770: postnatal day 63; Fzd8tm1Dgen/Fzd8+ (more )
Structure Level Pattern Image Note
TS28: adrenal gland Very strong Regionally restricted 99241770 Expression is frequently seen in the capsule.

Specimen Mouse 384992 - Image 99241799: postnatal day 63; Fzd8tm1Dgen/Fzd8+ (more )
Structure Level Pattern Image Note
TS28: heart Very strong Regionally restricted 99241799 There is scattered expression in the blood vessels of the heart.
TS28: blood vessel Very strong Regionally restricted 99241799 There is scattered expression in the blood vessels of the heart.

Specimen Mouse 384992 - Image 99241854: postnatal day 63; Fzd8tm1Dgen/Fzd8+ (more )
Structure Level Pattern Image Note
TS28: aorta Very strong 99241854 Expression is frequently seen in the aorta.

Specimen Mouse 384992 - Image 99241865: postnatal day 63; Fzd8tm1Dgen/Fzd8+ (more )
Structure Level Pattern Image Note
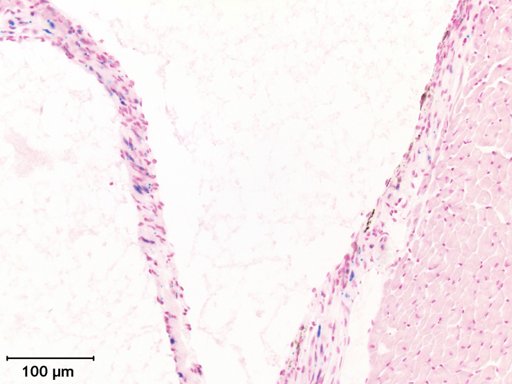
TS28: skeletal muscle Strong 99241865 Expression is frequently seen in the skeletal muscle.

Specimen Mouse 384992: postnatal day 63; Fzd8tm1Dgen/Fzd8+ (more )
Structure Level Pattern Image Note
TS28: bone marrow Absent
TS28: lymph node Absent
TS28: thymus Absent
TS28: skin Absent
TS28: telencephalon Moderate Regionally restricted There is scattered expression in the blood vessels of the cerebrum.
TS28: blood vessel Moderate Regionally restricted There is scattered expression in the blood vessels of the cerebrum.

Specimen Mouse 384999 - Image 99232941: postnatal day 63; Fzd8tm1Dgen/Fzd8+ (more )
Structure Level Pattern Image Note
TS28: brain Moderate 99232941 There is scattered expression in the brain.

Specimen Mouse 384999 - Image 99232942: postnatal day 63; Fzd8tm1Dgen/Fzd8+ (more )
Structure Level Pattern Image Note
TS28: telencephalon Moderate 99232942 There is scattered expression in the cerebrum.

Specimen Mouse 384999 - Image 99232943: postnatal day 63; Fzd8tm1Dgen/Fzd8+ (more )
Structure Level Pattern Image Note
TS28: cerebellum Moderate 99232943 There is scattered expression in the cerebellum.

Specimen Mouse 384999 - Image 99232944: postnatal day 63; Fzd8tm1Dgen/Fzd8+ (more )
Structure Level Pattern Image Note
TS28: brainstem Moderate 99232944 There is scattered expression in the brainstem.

Specimen Mouse 384999 - Image 99238483: postnatal day 63; Fzd8tm1Dgen/Fzd8+ (more )
Structure Level Pattern Image Note
TS28: cervix uteri Strong Regionally restricted 99238483 Expression is frequently seen in the ganglia.

Specimen Mouse 384999 - Image 99238485: postnatal day 63; Fzd8tm1Dgen/Fzd8+ (more )
Structure Level Pattern Image Note
TS28: ovary Weak Regionally restricted 99238485 There is occasional staining in the stroma.

Specimen Mouse 384999: postnatal day 63; Fzd8tm1Dgen/Fzd8+ (more )
Structure Level Pattern Image Note
TS28: uterus Absent
TS28: bone marrow Absent
TS28: bladder Absent


Contributing Projects:
Mouse Genome Database (MGD), Gene Expression Database (GXD), Mouse Models of Human Cancer database (MMHCdb) (formerly Mouse Tumor Biology (MTB)), Gene Ontology (GO)
Citing These Resources
Funding Information
Warranty Disclaimer, Privacy Notice, Licensing, & Copyright
Send questions and comments to User Support.
last database update
12/30/2025
MGI 6.24
The Jackson Laboratory