About   Help   FAQ
Gene Expression Data
Assay Details
Assay
Reference: J:101679 Deltagen Inc, NIH initiative supporting placement of Deltagen, Inc. mice into public repositories. MGI Direct Data Submission. 2005;
Assay type: In situ reporter (knock in)
MGI Accession ID: MGI:3639180
Gene symbol: Fzd6
Gene name: frizzled class receptor 6
Reporter: lacZ
Direct Detection
Results
Specimen Mouse 78034 - Image 5194700: postnatal day 57; Fzd6tm1Dgen/Fzd6+ (more )
Structure Level Pattern Image Note
TS28: thalamus Strong 5194700 Expression is frequently seen in the thalamus.

Specimen Mouse 78034 - Image 5194701: postnatal day 57; Fzd6tm1Dgen/Fzd6+ (more )
Structure Level Pattern Image Note
TS28: thalamus Strong 5194701 Expression is frequently seen in the thalamus.

Specimen Mouse 78034 - Image 5194714: postnatal day 57; Fzd6tm1Dgen/Fzd6+ (more )
Structure Level Pattern Image Note
TS28: 3rd ventricle Strong 5194714 There is scattered expression in the third ventricle.

Specimen Mouse 78034 - Image 5194715: postnatal day 57; Fzd6tm1Dgen/Fzd6+ (more )
Structure Level Pattern Image Note
TS28: telencephalon Moderate 5194715 There is scattered expression in the cerebrum.

Specimen Mouse 78034 - Image 5194717: postnatal day 57; Fzd6tm1Dgen/Fzd6+ (more )
Structure Level Pattern Image Note
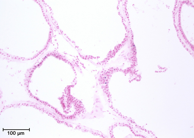
TS28: pulmonary artery Strong 5194717 There is scattered expression in the pulmonary artery.

Specimen Mouse 78034 - Image 5194718: postnatal day 57; Fzd6tm1Dgen/Fzd6+ (more )
Structure Level Pattern Image Note
TS28: pulmonary artery Strong Regionally restricted 5194718 There is scattered expression in the endothelial cells of the pulmonary artery.
TS28: blood vessel endothelium Strong Regionally restricted 5194718 There is scattered expression in the endothelial cells of the pulmonary artery.

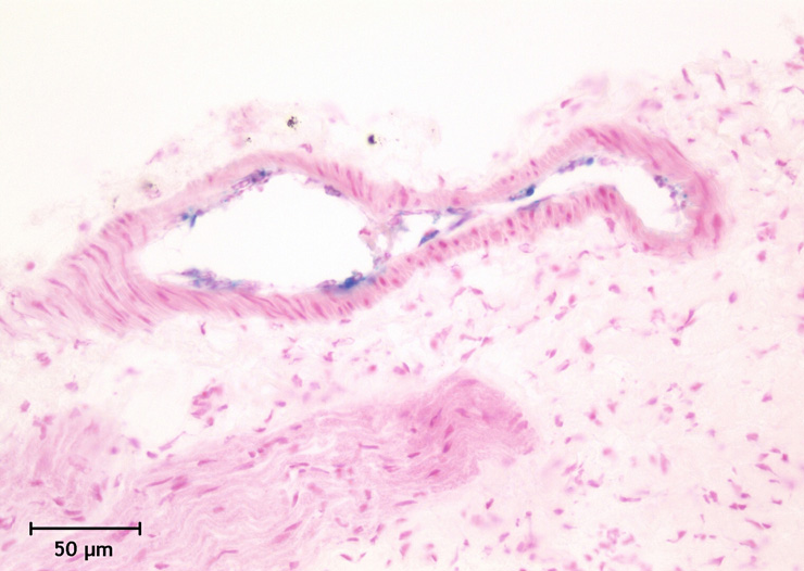
Specimen Mouse 78034 - Image 5194720: postnatal day 57; Fzd6tm1Dgen/Fzd6+ (more )
Structure Level Pattern Image Note
TS28: trachea blood vessel Strong Regionally restricted 5194720 There is scattered expression in the endothelial cells of the blood vessels of the trachea.
TS28: blood vessel endothelium Strong Regionally restricted 5194720 There is scattered expression in the endothelial cells of the blood vessels of the trachea.

Specimen Mouse 78034 - Image 5194722: postnatal day 57; Fzd6tm1Dgen/Fzd6+ (more )
Structure Level Pattern Image Note
TS28: trachea blood vessel Weak 5194722 There is occasional staining in the blood vessels of the trachea.

Specimen Mouse 78034 - Image 5194795: postnatal day 57; Fzd6tm1Dgen/Fzd6+ (more )
Structure Level Pattern Image Note
TS28: tongue Strong Regionally restricted 5194795 Expression is frequently seen in the endothelial cells of the blood vessels of the tongue.
TS28: blood vessel endothelium Strong Regionally restricted 5194795 Expression is frequently seen in the endothelial cells of the blood vessels of the tongue.

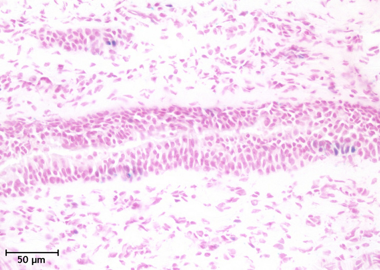
Specimen Mouse 78034 - Image 5194799: postnatal day 57; Fzd6tm1Dgen/Fzd6+ (more )
Structure Level Pattern Image Note
TS28: tongue epithelium Strong 5194799 There is scattered expression in the epithelial cells.

Specimen Mouse 78034 - Image 5194813: postnatal day 57; Fzd6tm1Dgen/Fzd6+ (more )
Structure Level Pattern Image Note
TS28: tongue Strong Regionally restricted 5194813 There is occasional staining in the mucous glands.

Specimen Mouse 78034 - Image 5194956: postnatal day 57; Fzd6tm1Dgen/Fzd6+ (more )
Structure Level Pattern Image Note
TS28: ear skin Moderate Regionally restricted 5194956 There is scattered expression in the ear skin epidermis.
TS28: epidermis Moderate Regionally restricted 5194956 There is scattered expression in the ear skin epidermis.

Specimen Mouse 78034 - Image 5194957: postnatal day 57; Fzd6tm1Dgen/Fzd6+ (more )
Structure Level Pattern Image Note
TS28: hair follicle Moderate 5194957 There is occasional staining in the hair follicles.

Specimen Mouse 78034 - Image 5194973: postnatal day 57; Fzd6tm1Dgen/Fzd6+ (more )
Structure Level Pattern Image Note
TS28: testis Moderate 5194973 There is scattered expression in the testis.

Specimen Mouse 78034 - Image 5195048: postnatal day 57; Fzd6tm1Dgen/Fzd6+ (more )
Structure Level Pattern Image Note
TS28: penis Strong Regionally restricted 5195048 Expression is frequently seen in the hair follicles of the penis.
TS28: hair follicle Strong Regionally restricted 5195048 Expression is frequently seen in the hair follicles of the penis.

Specimen Mouse 78034 - Image 5195049: postnatal day 57; Fzd6tm1Dgen/Fzd6+ (more )
Structure Level Pattern Image Note
TS28: penis epithelium Strong 5195049 Expression is frequently seen in the epithelium.

Specimen Mouse 78034 - Image 5195050: postnatal day 57; Fzd6tm1Dgen/Fzd6+ (more )
Structure Level Pattern Image Note
TS28: penis epithelium Strong 5195050 Expression is frequently seen in the epithelium.

Specimen Mouse 78034 - Image 5195051: postnatal day 57; Fzd6tm1Dgen/Fzd6+ (more )
Structure Level Pattern Image Note
TS28: penis Moderate 5195051 There is occasional staining in the penis.

Specimen Mouse 78034 - Image 5195052: postnatal day 57; Fzd6tm1Dgen/Fzd6+ (more )
Structure Level Pattern Image Note
TS28: penis Strong Regionally restricted 5195052 Expression is frequently seen in the endothelial cells of the blood vessels of the penis.
TS28: blood vessel endothelium Strong Regionally restricted 5195052 Expression is frequently seen in the endothelial cells of the blood vessels of the penis.

Specimen Mouse 78034 - Image 5195054: postnatal day 57; Fzd6tm1Dgen/Fzd6+ (more )
Structure Level Pattern Image Note
TS28: prostate epithelium Strong 5195054 There is occasional staining in the epithelial cells.

Specimen Mouse 78034 - Image 5195055: postnatal day 57; Fzd6tm1Dgen/Fzd6+ (more )
Structure Level Pattern Image Note
TS28: prostate epithelium Strong 5195055 There is scattered expression in the epithelial cells.

Specimen Mouse 78034 - Image 6333422: postnatal day 57; Fzd6tm1Dgen/Fzd6+ (more )
Structure Level Pattern Image Note
TS28: pulmonary artery Strong Regionally restricted 6333422 There is scattered expression in the endothelial cells of the pulmonary artery.
TS28: blood vessel endothelium Strong Regionally restricted 6333422 There is scattered expression in the endothelial cells of the pulmonary artery.

Specimen Mouse 78034 - Image 6333423: postnatal day 57; Fzd6tm1Dgen/Fzd6+ (more )
Structure Level Pattern Image Note
TS28: tongue epithelium Strong 6333423 There is scattered expression in the epithelial cells.

Specimen Mouse 78034 - Image 6333424: postnatal day 57; Fzd6tm1Dgen/Fzd6+ (more )
Structure Level Pattern Image Note
TS28: tongue Strong Regionally restricted 6333424 Expression is frequently seen in the endothelial cells of the blood vessels of the tongue.
TS28: blood vessel endothelium Strong Regionally restricted 6333424 Expression is frequently seen in the endothelial cells of the blood vessels of the tongue.

Specimen Mouse 78034 - Image 6333425: postnatal day 57; Fzd6tm1Dgen/Fzd6+ (more )
Structure Level Pattern Image Note
TS28: ear Moderate Regionally restricted 6333425 There is occasional staining in the ear hair follicles.
TS28: hair follicle Moderate Regionally restricted 6333425 There is occasional staining in the ear hair follicles.

Specimen Mouse 78034 - Image 6333426: postnatal day 57; Fzd6tm1Dgen/Fzd6+ (more )
Structure Level Pattern Image Note
TS28: pinna Moderate 6333426 There is scattered expression in the auricle.

Specimen Mouse 78034: postnatal day 57; Fzd6tm1Dgen/Fzd6+ (more )
Structure Level Pattern Image Note
TS28: aorta Absent
TS28: esophagus Absent
TS28: gallbladder Absent
TS28: liver Absent
TS28: pancreas Absent
TS28: salivary gland Absent
TS28: adrenal gland Absent
TS28: parathyroid gland Absent
TS28: thyroid gland Absent
TS28: bone marrow Absent
TS28: spleen Absent
TS28: lymph node Absent
TS28: thymus Absent
TS28: ear Moderate Regionally restricted There is scattered expression in the sebaceous glands of the ear.
TS28: sebaceous gland Moderate Regionally restricted There is scattered expression in the sebaceous glands of the ear.
TS28: Harderian gland Absent
TS28: ampullary gland Absent
TS28: anterior prostate gland Absent
TS28: seminal vesicle Absent
TS28: skeletal muscle Absent
TS28: cerebellum Absent
TS28: brainstem Absent
TS28: sciatic nerve Absent
TS28: spinal cord Absent
TS28: larynx Absent
TS28: lung Absent
TS28: eye Absent
TS28: metanephros Absent
TS28: bladder Absent

Specimen Mouse 78037 - Image 5194967: postnatal day 57; Fzd6tm1Dgen/Fzd6+ (more )
Structure Level Pattern Image Note
TS28: neurohypophysis pars nervosa Strong 5194967 There is scattered expression in the pars nervosa.

Specimen Mouse 78037 - Image 5194970: postnatal day 57; Fzd6tm1Dgen/Fzd6+ (more )
Structure Level Pattern Image Note
TS28: ovary Strong Regionally restricted 5194970 There is scattered expression in the blood vessels of the ovary.
TS28: blood vessel Strong Regionally restricted 5194970 There is scattered expression in the blood vessels of the ovary.

Specimen Mouse 78037 - Image 5194971: postnatal day 57; Fzd6tm1Dgen/Fzd6+ (more )
Structure Level Pattern Image Note
TS28: uterus Strong Regionally restricted 5194971 There is scattered expression in the uterine tubules.

Specimen Mouse 78037 - Image 5208760: postnatal day 57; Fzd6tm1Dgen/Fzd6+ (more )
Structure Level Pattern Image Note
TS28: telencephalon Moderate 5208760 There is scattered expression in the cerebrum.

Specimen Mouse 78037 - Image 5208761: postnatal day 57; Fzd6tm1Dgen/Fzd6+ (more )
Structure Level Pattern Image Note
TS28: telencephalon Moderate 5208761 There is scattered expression in the cerebrum.

Specimen Mouse 78037 - Image 5208762: postnatal day 57; Fzd6tm1Dgen/Fzd6+ (more )
Structure Level Pattern Image Note
TS28: telencephalon Moderate Regionally restricted 5208762 Expression is frequently seen in the blood vessels of the cerebrum.
TS28: blood vessel Moderate Regionally restricted 5208762 Expression is frequently seen in the blood vessels of the cerebrum.

Specimen Mouse 78037 - Image 5208763: postnatal day 57; Fzd6tm1Dgen/Fzd6+ (more )
Structure Level Pattern Image Note
TS28: telencephalon Moderate Regionally restricted 5208763 Expression is frequently seen in the blood vessels of the cerebrum.
TS28: blood vessel Moderate Regionally restricted 5208763 Expression is frequently seen in the blood vessels of the cerebrum.

Specimen Mouse 78037 - Image 5208863: postnatal day 57; Fzd6tm1Dgen/Fzd6+ (more )
Structure Level Pattern Image Note
TS28: cerebellum Weak 5208863 There is scattered expression in the cerebellum.

Specimen Mouse 78037 - Image 5208864: postnatal day 57; Fzd6tm1Dgen/Fzd6+ (more )
Structure Level Pattern Image Note
TS28: cerebellum Weak 5208864 There is scattered expression in the cerebellum.
TS28: brainstem Weak 5208864 There is scattered expression in the brainstem.

Specimen Mouse 78037 - Image 6608834: postnatal day 57; Fzd6tm1Dgen/Fzd6+ (more )
Structure Level Pattern Image Note
TS28: uterus Moderate Regionally restricted 6608834 There is scattered expression in the uterine tubules.

Specimen Mouse 78037 - Image 6789124: postnatal day 57; Fzd6tm1Dgen/Fzd6+ (more )
Structure Level Pattern Image Note
TS28: uterus Strong Regionally restricted 6789124 There is scattered expression in the uterine tubules.

Specimen Mouse 78037 - Image 6789126: postnatal day 57; Fzd6tm1Dgen/Fzd6+ (more )
Structure Level Pattern Image Note
TS28: uterus Strong Regionally restricted 6789126 There is scattered expression in the uterine tubules.

Specimen Mouse 78037 - Image 6809483: postnatal day 57; Fzd6tm1Dgen/Fzd6+ (more )
Structure Level Pattern Image Note
TS28: adenohypophysis pars anterior Trace 6809483 There is scattered expression in the pars distalis.

Specimen Mouse 78037: postnatal day 57; Fzd6tm1Dgen/Fzd6+ (more )
Structure Level Pattern Image Note
TS28: cervix uteri Absent
TS28: vagina Absent
TS28: bone marrow Absent
TS28: thymus Absent
TS28: spinal cord Absent
TS28: bladder Absent


Contributing Projects:
Mouse Genome Database (MGD), Gene Expression Database (GXD), Mouse Models of Human Cancer database (MMHCdb) (formerly Mouse Tumor Biology (MTB)), Gene Ontology (GO)
Citing These Resources
Funding Information
Warranty Disclaimer, Privacy Notice, Licensing, & Copyright
Send questions and comments to User Support.
last database update
03/24/2026
MGI 6.24
The Jackson Laboratory