About   Help   FAQ
Gene Expression Data
Assay Details
Assay
Reference: J:101679 Deltagen Inc, NIH initiative supporting placement of Deltagen, Inc. mice into public repositories. MGI Direct Data Submission. 2005;
Assay type: In situ reporter (knock in)
MGI Accession ID: MGI:3639173
Gene symbol: Htr4
Gene name: 5 hydroxytryptamine (serotonin) receptor 4
Reporter: lacZ
Direct Detection
Results
Specimen Mouse 124420 - Image 11534912: postnatal day 108; Htr4tm1Dgen/Htr4+ (more )
Structure Level Pattern Image Note
TS28: spinal cord gray matter Weak Regionally restricted 11534912 There is occasional staining in the motor neurons.

Specimen Mouse 124420: postnatal day 108; Htr4tm1Dgen/Htr4+ (more )
Structure Level Pattern Image Note
TS28: pituitary gland Absent
TS28: cerebellum Absent
TS28: telencephalon Absent There is no expression in the cerebrum.
TS28: brainstem Absent

Specimen Mouse 124421 - Image 10001040: postnatal day 67; Htr4tm1Dgen/Htr4+ (more )
Structure Level Pattern Image Note
TS28: brainstem Weak 10001040 There is occasional staining in the brainstem.

Specimen Mouse 124421 - Image 10029593: postnatal day 67; Htr4tm1Dgen/Htr4+ (more )
Structure Level Pattern Image Note
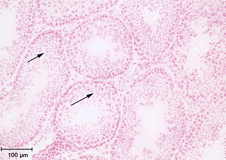
TS28: seminiferous tubule Trace 10029593 There is occasional staining in the seminiferous tubules.

Specimen Mouse 124421 - Image 10035923: postnatal day 67; Htr4tm1Dgen/Htr4+ (more )
Structure Level Pattern Image Note
TS28: spinal cord gray matter Weak 10035923 There is occasional staining in the grey matter.

Specimen Mouse 124421 - Image 10035925: postnatal day 67; Htr4tm1Dgen/Htr4+ (more )
Structure Level Pattern Image Note
TS28: spinal cord gray matter Weak Regionally restricted 10035925 There is scattered expression in the motor neurons.

Specimen Mouse 124421: postnatal day 67; Htr4tm1Dgen/Htr4+ (more )
Structure Level Pattern Image Note
TS28: aorta Absent
TS28: heart Absent
TS28: esophagus Absent
TS28: gallbladder Absent
TS28: liver Absent
TS28: pancreas Absent
TS28: salivary gland Absent
TS28: tongue Absent
TS28: adrenal gland Absent
TS28: pituitary gland Absent
TS28: thyroid gland Absent
TS28: bone marrow Absent
TS28: spleen Absent
TS28: lymph node Absent
TS28: thymus Absent
TS28: pinna Absent There is no expression in the pinna of ear.
TS28: skin Absent
TS28: ampullary gland Absent
TS28: anterior prostate gland Absent
TS28: penis Absent
TS28: prostate gland Absent
TS28: seminal vesicle Absent
TS28: skeletal muscle Absent
TS28: telencephalon Absent There is no expression in the cerebrum.
TS28: brainstem Absent
TS28: sciatic nerve Absent
TS28: larynx Absent
TS28: lung Absent
TS28: trachea Absent
TS28: metanephros Absent
TS28: bladder Absent

Specimen Mouse 135451 - Image 10005387: postnatal day 54; Htr4tm1Dgen/Htr4+ (more )
Structure Level Pattern Image Note
TS28: telencephalon Strong 10005387 There is scattered expression in the cerebrum.

Specimen Mouse 135451 - Image 10005388: postnatal day 54; Htr4tm1Dgen/Htr4+ (more )
Structure Level Pattern Image Note
TS28: telencephalon Strong Regionally restricted 10005388 Expression is frequently seen in the choroid plexus of the cerebrum.
TS28: choroid plexus Strong Regionally restricted 10005388 Expression is frequently seen in the choroid plexus of the cerebrum.

Specimen Mouse 135451 - Image 10005389: postnatal day 54; Htr4tm1Dgen/Htr4+ (more )
Structure Level Pattern Image Note
TS28: brainstem Weak 10005389 Expression is frequently seen in the brainstem.

Specimen Mouse 135451 - Image 10005390: postnatal day 54; Htr4tm1Dgen/Htr4+ (more )
Structure Level Pattern Image Note
TS28: brainstem Weak 10005390 Expression is frequently seen in the brainstem.

Specimen Mouse 135451 - Image 10007404: postnatal day 54; Htr4tm1Dgen/Htr4+ (more )
Structure Level Pattern Image Note
TS28: spinal cord Weak 10007404 Expression is frequently seen in the spinal cord.

Specimen Mouse 135451 - Image 10007444: postnatal day 54; Htr4tm1Dgen/Htr4+ (more )
Structure Level Pattern Image Note
TS28: ovary Trace 10007444 There is occasional staining in the ovary.

Specimen Mouse 135451 - Image 10036104: postnatal day 54; Htr4tm1Dgen/Htr4+ (more )
Structure Level Pattern Image Note
TS28: spinal cord gray matter Weak 10036104 There is scattered expression in the grey matter.

Specimen Mouse 135451: postnatal day 54; Htr4tm1Dgen/Htr4+ (more )
Structure Level Pattern Image Note
TS28: cervix uteri Absent
TS28: uterus Absent
TS28: vagina Absent
TS28: bone marrow Absent
TS28: thymus Absent
TS28: Harderian gland Absent
TS28: cerebellum Absent
TS28: eye Absent
TS28: bladder Absent

Specimen Mouse 168202 - Image 14452025: postnatal day 56; Htr4tm1Dgen/Htr4+ (more )
Structure Level Pattern Image Note
TS28: brain Strong 14452025 There is scattered expression in the brain.

Specimen Mouse 168202 - Image 14452026: postnatal day 56; Htr4tm1Dgen/Htr4+ (more )
Structure Level Pattern Image Note
TS28: telencephalon Strong 14452026 There is scattered expression in the cerebrum.

Specimen Mouse 168202 - Image 14452027: postnatal day 56; Htr4tm1Dgen/Htr4+ (more )
Structure Level Pattern Image Note
TS28: brainstem Weak 14452027 There is occasional staining in the brainstem.

Specimen Mouse 168202 - Image 14527181: postnatal day 56; Htr4tm1Dgen/Htr4+ (more )
Structure Level Pattern Image Note
TS28: spinal cord gray matter Trace 14527181 Expression is frequently seen in the grey matter.

Specimen Mouse 168202 - Image 14695199: postnatal day 56; Htr4tm1Dgen/Htr4+ (more )
Structure Level Pattern Image Note
TS28: brainstem Weak 14695199 There is occasional staining in the brainstem.

Specimen Mouse 168202: postnatal day 56; Htr4tm1Dgen/Htr4+ (more )
Structure Level Pattern Image Note
TS28: pituitary gland Absent
TS28: cervix uteri Absent
TS28: ovary Absent
TS28: oviduct Absent
TS28: uterus Absent
TS28: vagina Absent
TS28: bone marrow Absent
TS28: thymus Absent
TS28: Harderian gland Absent
TS28: cerebellum Absent
TS28: eye Absent
TS28: bladder Absent

Specimen Mouse 168204 - Image 21202210: postnatal day 77; Htr4tm1Dgen/Htr4+ (more )
Structure Level Pattern Image Note
TS28: brain Very strong 21202210 There is occasional staining in the brain.

Specimen Mouse 168204 - Image 21202211: postnatal day 77; Htr4tm1Dgen/Htr4+ (more )
Structure Level Pattern Image Note
TS28: telencephalon Very strong 21202211 There is occasional staining in the cerebrum.

Specimen Mouse 168204 - Image 21202212: postnatal day 77; Htr4tm1Dgen/Htr4+ (more )
Structure Level Pattern Image Note
TS28: brainstem Weak 21202212 There is scattered expression in the brainstem.

Specimen Mouse 168204: postnatal day 77; Htr4tm1Dgen/Htr4+ (more )
Structure Level Pattern Image Note
TS28: pituitary gland Absent
TS28: cervix uteri Absent
TS28: ovary Absent
TS28: uterus Absent
TS28: vagina Absent
TS28: bone marrow Absent
TS28: thymus Absent
TS28: Harderian gland Absent
TS28: cerebellum Absent
TS28: spinal cord Absent
TS28: eye Absent


Contributing Projects:
Mouse Genome Database (MGD), Gene Expression Database (GXD), Mouse Models of Human Cancer database (MMHCdb) (formerly Mouse Tumor Biology (MTB)), Gene Ontology (GO)
Citing These Resources
Funding Information
Warranty Disclaimer, Privacy Notice, Licensing, & Copyright
Send questions and comments to User Support.
last database update
01/06/2026
MGI 6.24
The Jackson Laboratory