About   Help   FAQ
Gene Expression Data
Assay Details
Assay
Reference: J:101679 Deltagen Inc, NIH initiative supporting placement of Deltagen, Inc. mice into public repositories. MGI Direct Data Submission. 2005;
Assay type: In situ reporter (knock in)
MGI Accession ID: MGI:3639171
Gene symbol: Htr1f
Gene name: 5-hydroxytryptamine (serotonin) receptor 1F
Reporter: lacZ
Direct Detection
Results
Specimen Mouse 159372 - Image 19639546: postnatal day 54; Htr1ftm1Dgen/Htr1f+ (more )
Structure Level Pattern Image Note
TS28: spinal cord gray matter Moderate Regionally restricted 19639546 There is scattered expression in the motor neurons.

Specimen Mouse 159372 - Image 19639583: postnatal day 54; Htr1ftm1Dgen/Htr1f+ (more )
Structure Level Pattern Image Note
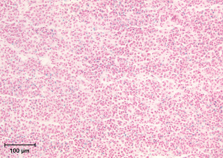
TS28: adenohypophysis pars anterior Moderate 19639583 Expression is frequently seen in the pars distalis.

Specimen Mouse 159372 - Image 19960304: postnatal day 54; Htr1ftm1Dgen/Htr1f+ (more )
Structure Level Pattern Image Note
TS28: germ cell of testis Trace 19960304 There is occasional staining in the spermatogenic cells.

Specimen Mouse 159372 - Image 19961671: postnatal day 54; Htr1ftm1Dgen/Htr1f+ (more )
Structure Level Pattern Image Note
TS28: brainstem Weak 19961671 There is occasional staining in the brainstem.

Specimen Mouse 159372 - Image 19961786: postnatal day 54; Htr1ftm1Dgen/Htr1f+ (more )
Structure Level Pattern Image Note
TS28: brainstem Weak 19961786 There is occasional staining in the brainstem.

Specimen Mouse 159372 - Image 19961831: postnatal day 54; Htr1ftm1Dgen/Htr1f+ (more )
Structure Level Pattern Image Note
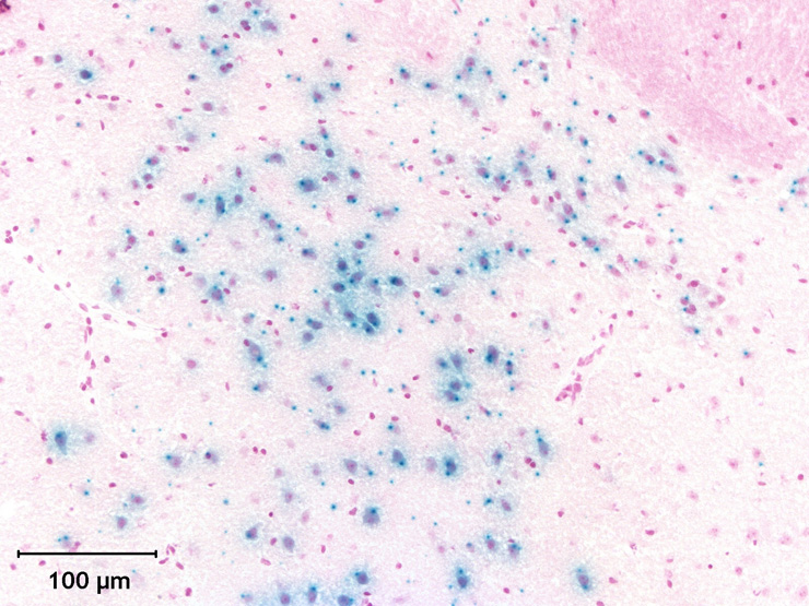
TS28: lateral septal complex Strong Regionally restricted 19961831 Expression is frequently seen in the lateral septal nucleus.

Specimen Mouse 159372 - Image 19962181: postnatal day 54; Htr1ftm1Dgen/Htr1f+ (more )
Structure Level Pattern Image Note
TS28: caudate-putamen Weak 19962181 There is occasional staining in the caudate-putamen.

Specimen Mouse 159372 - Image 19962183: postnatal day 54; Htr1ftm1Dgen/Htr1f+ (more )
Structure Level Pattern Image Note
TS28: cerebral cortex Moderate 19962183 Expression is frequently seen in the cortex.

Specimen Mouse 159372 - Image 19962186: postnatal day 54; Htr1ftm1Dgen/Htr1f+ (more )
Structure Level Pattern Image Note
TS28: thalamus Strong 19962186 Expression is frequently seen in the thalamus.

Specimen Mouse 159372 - Image 19963760: postnatal day 54; Htr1ftm1Dgen/Htr1f+ (more )
Structure Level Pattern Image Note
TS28: hippocampus Moderate 19963760 Expression is frequently seen in the hippocampus.

Specimen Mouse 159372 - Image 19963766: postnatal day 54; Htr1ftm1Dgen/Htr1f+ (more )
Structure Level Pattern Image Note
TS28: amygdala Strong 19963766 There is scattered expression in the amygdala.

Specimen Mouse 159372 - Image 19963801: postnatal day 54; Htr1ftm1Dgen/Htr1f+ (more )
Structure Level Pattern Image Note
TS28: cerebral cortex Moderate 19963801 Expression is frequently seen in the cortex.

Specimen Mouse 159372 - Image 19963867: postnatal day 54; Htr1ftm1Dgen/Htr1f+ (more )
Structure Level Pattern Image Note
TS28: thalamus Strong 19963867 Expression is frequently seen in the thalamus.

Specimen Mouse 159372: postnatal day 54; Htr1ftm1Dgen/Htr1f+ (more )
Structure Level Pattern Image Note
TS28: aorta Absent
TS28: heart Absent
TS28: esophagus Absent
TS28: gallbladder Absent
TS28: liver Absent
TS28: pancreas Absent
TS28: salivary gland Absent
TS28: tongue Absent
TS28: adrenal gland Absent
TS28: parathyroid gland Absent
TS28: thyroid gland Absent
TS28: spleen Absent
TS28: lymph node Absent
TS28: thymus Absent
TS28: pinna Absent There is no expression in the pinna of ear.
TS28: skin Absent
TS28: ampullary gland Absent
TS28: anterior prostate gland Absent
TS28: penis Absent
TS28: prostate gland Absent
TS28: seminal vesicle Absent
TS28: skeletal muscle Absent
TS28: cerebellum Absent
TS28: cortical layer III Moderate Expression is frequently seen in the pyramidial cell layer.
TS28: sciatic nerve Absent
TS28: larynx Absent
TS28: lung Absent
TS28: trachea Absent
TS28: metanephros Absent
TS28: bladder Absent

Specimen Mouse 181359 - Image 19639231: postnatal day 61; Htr1ftm1Dgen/Htr1f+ (more )
Structure Level Pattern Image Note
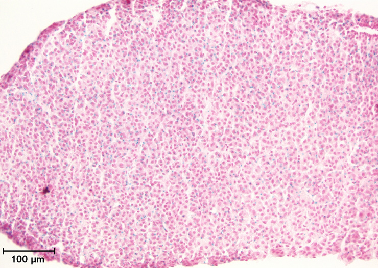
TS28: adenohypophysis pars anterior Strong 19639231 Expression is frequently seen in the pars distalis.

Specimen Mouse 181359 - Image 19964034: postnatal day 61; Htr1ftm1Dgen/Htr1f+ (more )
Structure Level Pattern Image Note
TS28: brain Very strong 19964034 Expression is frequently seen in the brain.

Specimen Mouse 181359 - Image 19964035: postnatal day 61; Htr1ftm1Dgen/Htr1f+ (more )
Structure Level Pattern Image Note
TS28: main olfactory bulb Very strong 19964035 Expression is frequently seen in the olfactory bulb.

Specimen Mouse 181359 - Image 19964036: postnatal day 61; Htr1ftm1Dgen/Htr1f+ (more )
Structure Level Pattern Image Note
TS28: cerebellum Strong 19964036 Expression is frequently seen in the cerebellum.

Specimen Mouse 181359 - Image 19964037: postnatal day 61; Htr1ftm1Dgen/Htr1f+ (more )
Structure Level Pattern Image Note
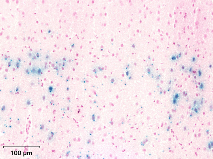
TS28: brainstem Strong 19964037 Expression is frequently seen in the brainstem.

Specimen Mouse 181359 - Image 19964038: postnatal day 61; Htr1ftm1Dgen/Htr1f+ (more )
Structure Level Pattern Image Note
TS28: cerebellum Strong 19964038 Expression is frequently seen in the cerebellum.

Specimen Mouse 181359 - Image 19964039: postnatal day 61; Htr1ftm1Dgen/Htr1f+ (more )
Structure Level Pattern Image Note
TS28: brainstem Strong 19964039 Expression is frequently seen in the brainstem.

Specimen Mouse 181359: postnatal day 61; Htr1ftm1Dgen/Htr1f+ (more )
Structure Level Pattern Image Note
TS28: cervix uteri Absent
TS28: ovary Absent
TS28: oviduct Absent
TS28: uterus Absent
TS28: vagina Absent
TS28: bone marrow Absent
TS28: thymus Absent
TS28: Harderian gland Absent
TS28: spinal cord Absent
TS28: eye Absent
TS28: bladder Absent


Contributing Projects:
Mouse Genome Database (MGD), Gene Expression Database (GXD), Mouse Models of Human Cancer database (MMHCdb) (formerly Mouse Tumor Biology (MTB)), Gene Ontology (GO)
Citing These Resources
Funding Information
Warranty Disclaimer, Privacy Notice, Licensing, & Copyright
Send questions and comments to User Support.
last database update
03/24/2026
MGI 6.24
The Jackson Laboratory