About   Help   FAQ
Gene Expression Data
Assay Details
Assay
Reference: J:101679 Deltagen Inc, NIH initiative supporting placement of Deltagen, Inc. mice into public repositories. MGI Direct Data Submission. 2005;
Assay type: In situ reporter (knock in)
MGI Accession ID: MGI:3639170
Gene symbol: Ptger1
Gene name: prostaglandin E receptor 1 (subtype EP1)
Reporter: lacZ
Direct Detection
Results
Specimen Mouse 68102: postnatal day 67; Ptger1tm1Dgen/Ptger1+ (more )
Structure Level Pattern Image Note
TS28: pituitary gland Absent
TS28: cervix uteri Absent
TS28: ovary Absent
TS28: uterus Absent
TS28: vagina Absent
TS28: bone marrow Absent
TS28: thymus Absent
TS28: Harderian gland Absent
TS28: cerebellum Absent
TS28: telencephalon Absent There is no expression in the cerebrum.
TS28: brainstem Absent
TS28: spinal cord Absent
TS28: eye Absent
TS28: bladder Absent

Specimen Mouse 68105 - Image 5192967: postnatal day 67; Ptger1tm1Dgen/Ptger1+ (more )
Structure Level Pattern Image Note
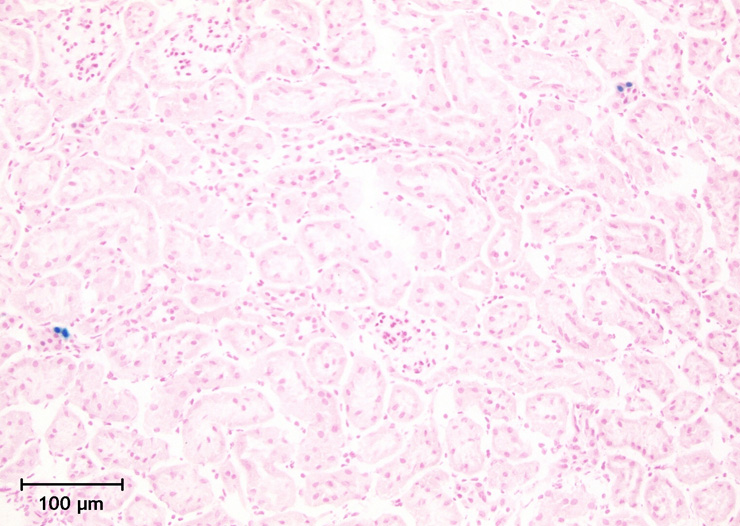
TS28: renal cortex Strong 5192967 There is scattered expression in the cortex.

Specimen Mouse 68105 - Image 5192968: postnatal day 67; Ptger1tm1Dgen/Ptger1+ (more )
Structure Level Pattern Image Note
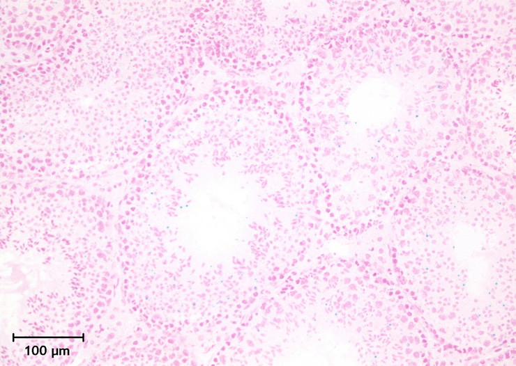
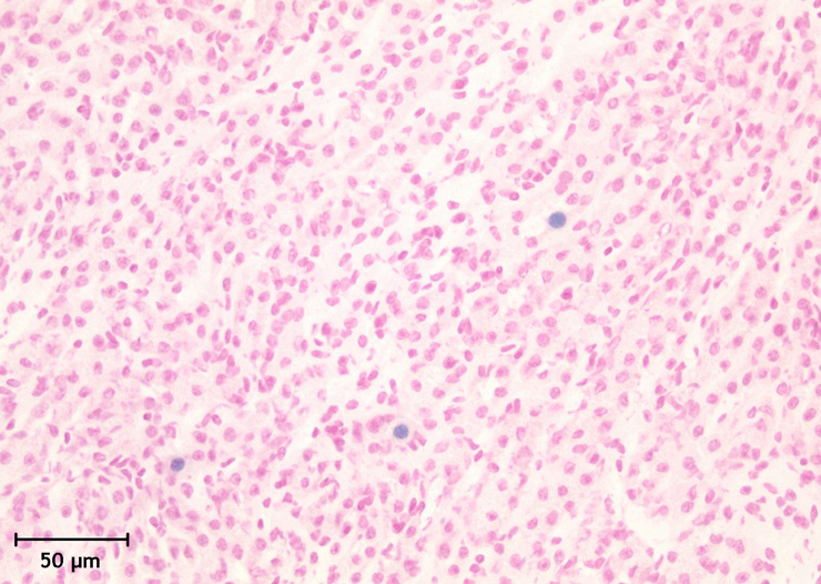
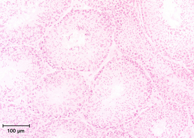
TS28: germ cell of testis Moderate 5192968 Expression is frequently seen in the spermatogenic cells.

Specimen Mouse 68105 - Image 5193292: postnatal day 67; Ptger1tm1Dgen/Ptger1+ (more )
Structure Level Pattern Image Note
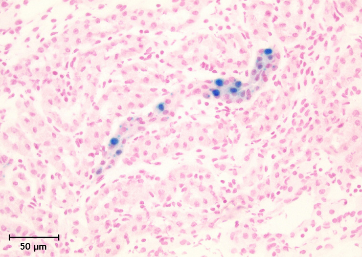
TS28: renal medulla Very strong 5193292 There is scattered expression in the medulla.

Specimen Mouse 68105 - Image 5200272: postnatal day 67; Ptger1tm1Dgen/Ptger1+ (more )
Structure Level Pattern Image Note
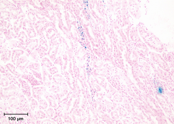
TS28: renal medulla Strong 5200272 There is scattered expression in the medulla.

Specimen Mouse 68105 - Image 5200273: postnatal day 67; Ptger1tm1Dgen/Ptger1+ (more )
Structure Level Pattern Image Note
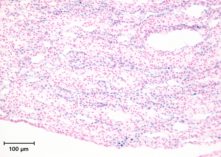
TS28: renal medulla Strong Regionally restricted 5200273 There is scattered expression in the interstitial cells of the medulla.

Specimen Mouse 68105 - Image 5200357: postnatal day 67; Ptger1tm1Dgen/Ptger1+ (more )
Structure Level Pattern Image Note
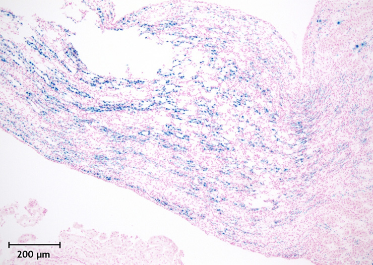
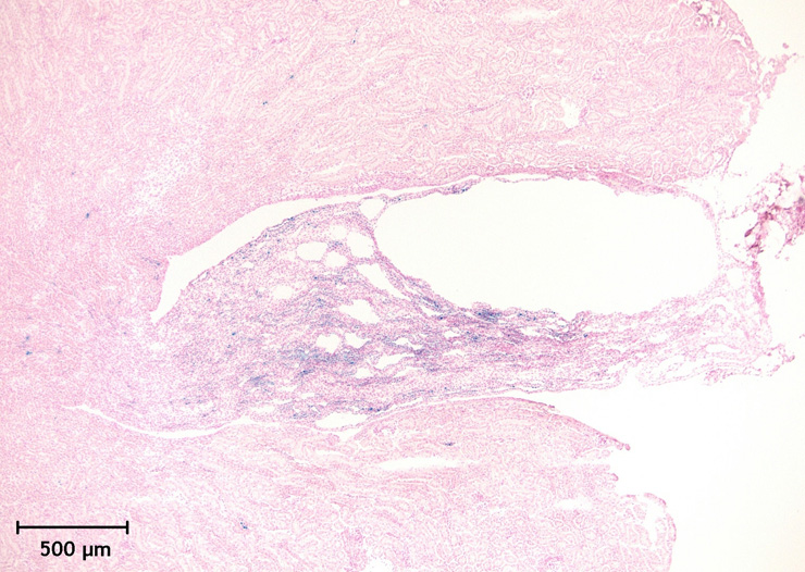
TS28: renal papilla Strong 5200357 Expression is frequently seen in the papilla.

Specimen Mouse 68105 - Image 5200358: postnatal day 67; Ptger1tm1Dgen/Ptger1+ (more )
Structure Level Pattern Image Note
TS28: renal papilla Strong Regionally restricted 5200358 Expression is frequently seen in the epithelial cells of the papilla.

Specimen Mouse 68105 - Image 5200359: postnatal day 67; Ptger1tm1Dgen/Ptger1+ (more )
Structure Level Pattern Image Note
TS28: germ cell of testis Moderate 5200359 Expression is frequently seen in the spermatogenic cells.

Specimen Mouse 68105: postnatal day 67; Ptger1tm1Dgen/Ptger1+ (more )
Structure Level Pattern Image Note
TS28: aorta Absent
TS28: heart Absent
TS28: esophagus Absent
TS28: gallbladder Absent
TS28: liver Absent
TS28: pancreas Absent
TS28: salivary gland Absent
TS28: tongue Absent
TS28: adrenal gland Absent
TS28: parathyroid gland Absent
TS28: pituitary gland Absent
TS28: thyroid gland Absent
TS28: bone marrow Absent
TS28: spleen Absent
TS28: lymph node Absent
TS28: thymus Absent
TS28: pinna Absent There is no expression in the pinna of ear.
TS28: skin Absent
TS28: anterior prostate gland Absent
TS28: penis Absent
TS28: prostate gland Absent
TS28: seminal vesicle Absent
TS28: skeletal muscle Absent
TS28: cerebellum Absent
TS28: telencephalon Absent There is no expression in the cerebrum.
TS28: brainstem Absent
TS28: sciatic nerve Absent
TS28: spinal cord Absent
TS28: larynx Absent
TS28: lung Absent
TS28: trachea Absent
TS28: eye Absent
TS28: bladder Absent

Specimen Mouse 93606 - Image 6609333: postnatal day 67; Ptger1tm1Dgen/Ptger1+ (more )
Structure Level Pattern Image Note
TS28: metanephros Strong 6609333 Expression is frequently seen in the kidney.

Specimen Mouse 93606 - Image 6609335: postnatal day 67; Ptger1tm1Dgen/Ptger1+ (more )
Structure Level Pattern Image Note
TS28: renal papilla Very strong 6609335 Expression is frequently seen in the papilla.

Specimen Mouse 93606 - Image 6609337: postnatal day 67; Ptger1tm1Dgen/Ptger1+ (more )
Structure Level Pattern Image Note
TS28: renal cortex Very strong 6609337 There is scattered expression in the cortex.

Specimen Mouse 93606 - Image 6609339: postnatal day 67; Ptger1tm1Dgen/Ptger1+ (more )
Structure Level Pattern Image Note
TS28: renal medulla Very strong 6609339 Expression is frequently seen in the medulla.

Specimen Mouse 93606 - Image 6609355: postnatal day 67; Ptger1tm1Dgen/Ptger1+ (more )
Structure Level Pattern Image Note
TS28: germ cell of testis Weak 6609355 Expression is frequently seen in the spermatogenic cells.

Specimen Mouse 93606: postnatal day 67; Ptger1tm1Dgen/Ptger1+ (more )
Structure Level Pattern Image Note
TS28: telencephalon Absent There is no expression in the cerebrum.


Contributing Projects:
Mouse Genome Database (MGD), Gene Expression Database (GXD), Mouse Models of Human Cancer database (MMHCdb) (formerly Mouse Tumor Biology (MTB)), Gene Ontology (GO)
Citing These Resources
Funding Information
Warranty Disclaimer, Privacy Notice, Licensing, & Copyright
Send questions and comments to User Support.
last database update
01/28/2026
MGI 6.24
The Jackson Laboratory