About   Help   FAQ
Gene Expression Data
Assay Details
Assay
Reference: J:101679 Deltagen Inc, NIH initiative supporting placement of Deltagen, Inc. mice into public repositories. MGI Direct Data Submission. 2005;
Assay type: In situ reporter (knock in)
MGI Accession ID: MGI:3639169
Gene symbol: Capn7
Gene name: calpain 7
Reporter: lacZ
Direct Detection
Results
Specimen Mouse 238287 - Image 99188595: postnatal day 65; Capn7tm1Dgen/Capn7+ (more )
Structure Level Pattern Image Note
TS28: brain Strong 99188595 Expression is frequently seen in the brain.

Specimen Mouse 238287 - Image 99188597: postnatal day 65; Capn7tm1Dgen/Capn7+ (more )
Structure Level Pattern Image Note
TS28: cerebellum Strong 99188597 Expression is frequently seen in the cerebellum.

Specimen Mouse 238287 - Image 99188598: postnatal day 65; Capn7tm1Dgen/Capn7+ (more )
Structure Level Pattern Image Note
TS28: brainstem Weak 99188598 There is scattered expression in the brainstem.

Specimen Mouse 238287 - Image 99191128: postnatal day 65; Capn7tm1Dgen/Capn7+ (more )
Structure Level Pattern Image Note
TS28: spinal cord Moderate 99191128 There is scattered expression in the spinal cord.

Specimen Mouse 238287 - Image 99191129: postnatal day 65; Capn7tm1Dgen/Capn7+ (more )
Structure Level Pattern Image Note
TS28: pituitary gland Strong 99191129 There is scattered expression in the pituitary gland.

Specimen Mouse 238287 - Image 99191134: postnatal day 65; Capn7tm1Dgen/Capn7+ (more )
Structure Level Pattern Image Note
TS28: uterus Moderate 99191134 There is scattered expression in the uterus.

Specimen Mouse 238287 - Image 99191139: postnatal day 65; Capn7tm1Dgen/Capn7+ (more )
Structure Level Pattern Image Note
TS28: urothelium of bladder Strong Regionally restricted 99191139 Expression is frequently seen in the epithelium.

Specimen Mouse 238287 - Image 99191145: postnatal day 65; Capn7tm1Dgen/Capn7+ (more )
Structure Level Pattern Image Note
TS28: ovary Moderate 99191145 There is scattered expression in the ovary.

Specimen Mouse 238287 - Image 99191149: postnatal day 65; Capn7tm1Dgen/Capn7+ (more )
Structure Level Pattern Image Note
TS28: lamina propria of bladder Strong 99191149 Expression is frequently seen in the muscularis.

Specimen Mouse 238287 - Image 99191159: postnatal day 65; Capn7tm1Dgen/Capn7+ (more )
Structure Level Pattern Image Note
TS28: thymus Weak 99191159 There is occasional staining in the thymus.

Specimen Mouse 238287 - Image 99191170: postnatal day 65; Capn7tm1Dgen/Capn7+ (more )
Structure Level Pattern Image Note
TS28: lens Strong 99191170 There is scattered expression in the lens.

Specimen Mouse 238287 - Image 99191178: postnatal day 65; Capn7tm1Dgen/Capn7+ (more )
Structure Level Pattern Image Note
TS28: retina Moderate 99191178 There is scattered expression in the retina.

Specimen Mouse 238287: postnatal day 65; Capn7tm1Dgen/Capn7+ (more )
Structure Level Pattern Image Note
TS28: adenohypophysis pars anterior Strong Expression is frequently seen in the pars distalis.
TS28: adenohypophysis pars intermedia Moderate There is occasional staining in the pars intermedia.
TS28: neurohypophysis pars nervosa Strong There is scattered expression in the pars nervosa.
TS28: ovary Moderate Regionally restricted There is scattered expression in the blood vessels of the ovary.
TS28: blood vessel Present Regionally restricted There is strong, scattered expression in the blood vessels of the urinary bladder. There is moderate, scattered expression in the blood vessels of the ovary, uterus, and spinal cord.
TS28: uterus Moderate Regionally restricted There is scattered expression in the blood vessels of the uterus.
TS28: bone marrow Absent
TS28: telencephalon Strong Expression is frequently seen in the cerebrum.
TS28: spinal cord Moderate Regionally restricted There is scattered expression in the blood vessels of the spinal cord.
TS28: spinal cord central canal Strong Expression is frequently seen in the central canal.
TS28: spinal cord gray matter Moderate There is scattered expression in the grey matter.
TS28: ciliary body Weak Expression is frequently seen in the ciliary body.
TS28: retina ganglion cell layer Moderate There is scattered expression in the ganglion cell layer.
TS28: retina inner nuclear layer Moderate There is scattered expression in the inner nuclear layer.
TS28: bladder Strong Regionally restricted There is scattered expression in the blood vessels of the urinary bladder.

Specimen Mouse 259338 - Image 99191185: postnatal day 65; Capn7tm1Dgen/Capn7+ (more )
Structure Level Pattern Image Note
TS28: skin Strong 99191185 There is scattered expression in the skin.

Specimen Mouse 259338 - Image 99191187: postnatal day 65; Capn7tm1Dgen/Capn7+ (more )
Structure Level Pattern Image Note
TS28: skeletal muscle Strong 99191187 There is scattered expression in the skeletal muscle.

Specimen Mouse 259338 - Image 99191189: postnatal day 65; Capn7tm1Dgen/Capn7+ (more )
Structure Level Pattern Image Note
TS28: sciatic nerve Weak 99191189 Expression is frequently seen in the sciatic nerve.

Specimen Mouse 259338 - Image 99191193: postnatal day 65; Capn7tm1Dgen/Capn7+ (more )
Structure Level Pattern Image Note
TS28: thyroid gland Strong 99191193 There is scattered expression in the thyroid gland.

Specimen Mouse 259338 - Image 99191948: postnatal day 65; Capn7tm1Dgen/Capn7+ (more )
Structure Level Pattern Image Note
TS28: thymus Weak 99191948 There is occasional staining in the thymus.

Specimen Mouse 259338 - Image 99191950: postnatal day 65; Capn7tm1Dgen/Capn7+ (more )
Structure Level Pattern Image Note
TS28: cornea Moderate 99191950 There is scattered expression in the cornea.

Specimen Mouse 259338 - Image 99191951: postnatal day 65; Capn7tm1Dgen/Capn7+ (more )
Structure Level Pattern Image Note
TS28: retina ganglion cell layer Moderate 99191951 There is scattered expression in the ganglion cell layer.
TS28: retina inner nuclear layer Moderate 99191951 There is scattered expression in the inner nuclear layer.
TS28: pigmented retinal epithelium Strong 99191951 Expression is frequently seen in the pigment layer.
TS28: retina Strong 99191951 There is scattered expression in the retina.

Specimen Mouse 259338 - Image 99192363: postnatal day 65; Capn7tm1Dgen/Capn7+ (more )
Structure Level Pattern Image Note
TS28: liver Moderate 99192363 There is scattered expression in the liver.

Specimen Mouse 259338 - Image 99192364: postnatal day 65; Capn7tm1Dgen/Capn7+ (more )
Structure Level Pattern Image Note
TS28: lung Strong 99192364 There is scattered expression in the lung.
TS28: lung alveolus Strong 99192364 There is scattered expression in the alveoli.

Specimen Mouse 259338 - Image 99192366: postnatal day 65; Capn7tm1Dgen/Capn7+ (more )
Structure Level Pattern Image Note
TS28: heart Moderate 99192366 There is scattered expression in the heart.

Specimen Mouse 259338 - Image 99192369: postnatal day 65; Capn7tm1Dgen/Capn7+ (more )
Structure Level Pattern Image Note
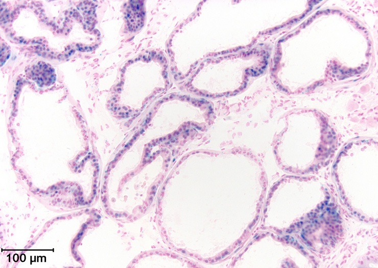
TS28: renal medulla Strong 99192369 Expression is frequently seen in the medulla.

Specimen Mouse 259338 - Image 99192377: postnatal day 65; Capn7tm1Dgen/Capn7+ (more )
Structure Level Pattern Image Note
TS28: renal cortex Strong 99192377 There is scattered expression in the cortex.

Specimen Mouse 259338 - Image 99192378: postnatal day 65; Capn7tm1Dgen/Capn7+ (more )
Structure Level Pattern Image Note
TS28: renal papilla Moderate 99192378 Expression is present in practically all cells of the papilla.

Specimen Mouse 259338 - Image 99192381: postnatal day 65; Capn7tm1Dgen/Capn7+ (more )
Structure Level Pattern Image Note
TS28: adrenal gland Moderate 99192381 There is scattered expression in the adrenal gland.
TS28: adrenal cortex Weak 99192381 There is scattered expression in the cortex.
TS28: adrenal medulla Moderate 99192381 Expression is frequently seen in the medulla.

Specimen Mouse 259338 - Image 99192382: postnatal day 65; Capn7tm1Dgen/Capn7+ (more )
Structure Level Pattern Image Note
TS28: prostate gland Strong 99192382 Expression is frequently seen in the prostate gland.

Specimen Mouse 259338 - Image 99192386: postnatal day 65; Capn7tm1Dgen/Capn7+ (more )
Structure Level Pattern Image Note
TS28: bladder Strong 99192386 There is scattered expression in the urinary bladder.

Specimen Mouse 259338 - Image 99192391: postnatal day 65; Capn7tm1Dgen/Capn7+ (more )
Structure Cell Type Level Pattern Image Note
TS28: interstitium of the testis Strong 99192391 Expression is frequently seen in the interstitium.
TS28: peritubular myoid cell peritubular myoid cell Strong Regionally restricted 99192391 There is scattered expression in the peritubular cells.

Specimen Mouse 259338 - Image 99192395: postnatal day 65; Capn7tm1Dgen/Capn7+ (more )
Structure Level Pattern Image Note
TS28: lymph node Weak 99192395 There is scattered expression in the lymph nodes.

Specimen Mouse 259338 - Image 99192398: postnatal day 65; Capn7tm1Dgen/Capn7+ (more )
Structure Level Pattern Image Note
TS28: spleen Weak 99192398 There is scattered expression in the spleen.

Specimen Mouse 259338 - Image 99192406: postnatal day 65; Capn7tm1Dgen/Capn7+ (more )
Structure Level Pattern Image Note
TS28: pancreas Strong 99192406 There is scattered expression in the pancreas.
TS28: islets of Langerhans Weak 99192406 Expression is present in practically all cells of the islets of Langerhans.

Specimen Mouse 259338 - Image 99192413: postnatal day 65; Capn7tm1Dgen/Capn7+ (more )
Structure Level Pattern Image Note
TS28: pituitary gland Moderate 99192413 There is scattered expression in the pituitary gland.
TS28: adenohypophysis pars anterior Strong 99192413 Expression is frequently seen in the pars distalis.
TS28: adenohypophysis pars intermedia Weak 99192413 There is scattered expression in the pars intermedia.
TS28: neurohypophysis pars nervosa Moderate 99192413 There is scattered expression in the pars nervosa.

Specimen Mouse 259338 - Image 99192419: postnatal day 65; Capn7tm1Dgen/Capn7+ (more )
Structure Level Pattern Image Note
TS28: spinal cord Moderate 99192419 There is scattered expression in the spinal cord.
TS28: spinal cord central canal Strong 99192419 Expression is frequently seen in the central canal.
TS28: spinal cord gray matter Moderate 99192419 There is scattered expression in the grey matter.

Specimen Mouse 259338 - Image 99192881: postnatal day 65; Capn7tm1Dgen/Capn7+ (more )
Structure Level Pattern Image Note
TS28: cerebellum Moderate 99192881 There is scattered expression in the cerebellum.
TS28: cerebellum granule cell layer Weak 99192881 There is occasional staining in the granule layer.
TS28: cerebellum molecular layer Moderate 99192881 There is scattered expression in the molecular layer.
TS28: cerebellum Purkinje cell layer Strong 99192881 There is occasional staining in the Purkinje layer.
TS28: cerebellum white matter Moderate 99192881 There is scattered expression in the white matter.

Specimen Mouse 259338 - Image 99192888: postnatal day 65; Capn7tm1Dgen/Capn7+ (more )
Structure Level Pattern Image Note
TS28: cerebral cortex Weak 99192888 There is scattered expression in the cortex.

Specimen Mouse 259338 - Image 99192890: postnatal day 65; Capn7tm1Dgen/Capn7+ (more )
Structure Level Pattern Image Note
TS28: hippocampus Weak 99192890 There is scattered expression in the hippocampus.

Specimen Mouse 259338 - Image 99192894: postnatal day 65; Capn7tm1Dgen/Capn7+ (more )
Structure Level Pattern Image Note
TS28: thalamus Weak 99192894 There is scattered expression in the thalamus.

Specimen Mouse 259338 - Image 99192898: postnatal day 65; Capn7tm1Dgen/Capn7+ (more )
Structure Level Pattern Image Note
TS28: hypothalamus Weak 99192898 There is scattered expression in the hypothalamus.
TS28: brain ventricle Strong Regionally restricted 99192898 Expression is frequently seen in a ventricle in the cerebrum.

Specimen Mouse 259338 - Image 99192903: postnatal day 65; Capn7tm1Dgen/Capn7+ (more )
Structure Level Pattern Image Note
TS28: amygdala Weak 99192903 There is scattered expression in the amygdala.

Specimen Mouse 259338 - Image 99193154: postnatal day 65; Capn7tm1Dgen/Capn7+ (more )
Structure Level Pattern Image Note
TS28: brainstem Moderate 99193154 There is scattered expression in the brainstem.

Specimen Mouse 259338 - Image 99193221: postnatal day 65; Capn7tm1Dgen/Capn7+ (more )
Structure Level Pattern Image Note
TS28: iris Moderate 99193221 Expression is frequently seen in the iris.
TS28: lens Strong 99193221 There is scattered expression in the lens.

Specimen Mouse 259338 - Image 99193223: postnatal day 65; Capn7tm1Dgen/Capn7+ (more )
Structure Level Pattern Image Note
TS28: aorta Trace 99193223 There is scattered expression in the aorta.

Specimen Mouse 259338: postnatal day 65; Capn7tm1Dgen/Capn7+ (more )
Structure Level Pattern Image Note
TS28: heart Weak Regionally restricted Expression is frequently seen in the blood vessels of the heart.
TS28: blood vessel Present Regionally restricted There is strong expression in the blood vessels of the thyroid, prostate, testis, & kidney; moderate expression in the liver, pancreas, skeletal muscle, cerebrum, brainstem, spinal cord, & urinary bladder; and weak expression in the heart, spleen, & lung.
TS28: liver Moderate Regionally restricted There is scattered expression in the blood vessels of the liver.
TS28: pancreas Moderate Regionally restricted There is scattered expression in the blood vessels of the pancreas.
TS28: thyroid gland Strong Regionally restricted Expression is frequently seen in the blood vessels of the thyroid gland.
TS28: bone marrow Absent
TS28: spleen Weak Regionally restricted There is scattered expression in the blood vessels of the spleen.
TS28: prostate gland Strong Regionally restricted Expression is frequently seen in the blood vessels of the prostate gland.
TS28: testis Strong Regionally restricted Expression is frequently seen in the blood vessels of the testis.
TS28: skeletal muscle Moderate Regionally restricted There is scattered expression in the blood vessels of the skeletal muscle.
TS28: telencephalon Present There is weak, scattered expression in the cerebrum. There is moderate, scattered expression in the blood vessels of the cerebrum.
TS28: brainstem Moderate Regionally restricted There is scattered expression in the blood vessels of the brainstem.
TS28: spinal cord Moderate Regionally restricted There is scattered expression in the blood vessels of the spinal cord.
TS28: lung Weak Regionally restricted Expression is frequently seen in the blood vessels of the lung.
TS28: metanephros Strong Regionally restricted There is scattered expression in the blood vessels of the kidney.
TS28: bladder Moderate Regionally restricted There is scattered expression in the blood vessels of the urinary bladder.


Contributing Projects:
Mouse Genome Database (MGD), Gene Expression Database (GXD), Mouse Models of Human Cancer database (MMHCdb) (formerly Mouse Tumor Biology (MTB)), Gene Ontology (GO)
Citing These Resources
Funding Information
Warranty Disclaimer, Privacy Notice, Licensing, & Copyright
Send questions and comments to User Support.
last database update
01/28/2026
MGI 6.24
The Jackson Laboratory