About   Help   FAQ
Gene Expression Data
Assay Details
Assay
Reference: J:101679 Deltagen Inc, NIH initiative supporting placement of Deltagen, Inc. mice into public repositories. MGI Direct Data Submission. 2005;
Assay type: In situ reporter (knock in)
MGI Accession ID: MGI:3639168
Gene symbol: Lats2
Gene name: large tumor suppressor 2
Reporter: lacZ
Direct Detection
Results
Specimen Mouse 316483 - Image 99217477: postnatal day 95; Lats2tm1Dgen/Lats2+ (more )
Structure Level Pattern Image Note
TS28: brain Moderate 99217477 Expression is present in practically all cells of the brain.
TS28: telencephalon Moderate 99217477 Expression is present in practically all cells of the cerebrum.

Specimen Mouse 316483 - Image 99217478: postnatal day 95; Lats2tm1Dgen/Lats2+ (more )
Structure Level Pattern Image Note
TS28: cerebellum Moderate 99217478 Expression is present in practically all cells of the cerebellum.

Specimen Mouse 316483 - Image 99217479: postnatal day 95; Lats2tm1Dgen/Lats2+ (more )
Structure Level Pattern Image Note
TS28: brainstem Moderate 99217479 Expression is present in practically all cells of the brainstem.

Specimen Mouse 316483 - Image 99227285: postnatal day 95; Lats2tm1Dgen/Lats2+ (more )
Structure Level Pattern Image Note
TS28: bone marrow Moderate 99227285 There is occasional staining in the bone marrow.

Specimen Mouse 316483 - Image 99227293: postnatal day 95; Lats2tm1Dgen/Lats2+ (more )
Structure Level Pattern Image Note
TS28: cervix uteri Strong Regionally restricted 99227293 There is scattered expression in the smooth muscle layer.

Specimen Mouse 316483 - Image 99227297: postnatal day 95; Lats2tm1Dgen/Lats2+ (more )
Structure Level Pattern Image Note
TS28: cervix uteri Strong Regionally restricted 99227297 Expression is frequently seen in the blood vessels of the cervix.
TS28: blood vessel Strong Regionally restricted 99227297 Expression is frequently seen in the blood vessels of the cervix.

Specimen Mouse 316483 - Image 99227298: postnatal day 95; Lats2tm1Dgen/Lats2+ (more )
Structure Level Pattern Image Note
TS28: ovary Moderate Regionally restricted 99227298 There is scattered expression in the stroma.

Specimen Mouse 316483 - Image 99227299: postnatal day 95; Lats2tm1Dgen/Lats2+ (more )
Structure Level Pattern Image Note
TS28: ovary Strong Regionally restricted 99227299 Expression is frequently seen in the blood vessels of the ovary.
TS28: blood vessel Strong Regionally restricted 99227299 Expression is frequently seen in the blood vessels of the ovary.

Specimen Mouse 316483 - Image 99227300: postnatal day 95; Lats2tm1Dgen/Lats2+ (more )
Structure Level Pattern Image Note
TS28: ovary follicle Weak Regionally restricted 99227300 There is scattered expression in the corpus luteum.

Specimen Mouse 316483 - Image 99227301: postnatal day 95; Lats2tm1Dgen/Lats2+ (more )
Structure Level Pattern Image Note
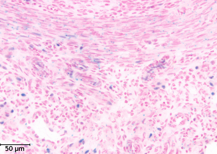
TS28: myometrium Strong 99227301 Expression is frequently seen in the myometrium.

Specimen Mouse 316483 - Image 99227302: postnatal day 95; Lats2tm1Dgen/Lats2+ (more )
Structure Level Pattern Image Note
TS28: endometrium stroma Strong 99227302 There is scattered expression in the endometrial stroma.

Specimen Mouse 316483 - Image 99227303: postnatal day 95; Lats2tm1Dgen/Lats2+ (more )
Structure Level Pattern Image Note
TS28: uterus Moderate Regionally restricted 99227303 There is scattered expression in the blood vessels of the uterus.
TS28: blood vessel Moderate Regionally restricted 99227303 There is scattered expression in the blood vessels of the uterus.

Specimen Mouse 316483 - Image 99230085: postnatal day 95; Lats2tm1Dgen/Lats2+ (more )
Structure Level Pattern Image Note
TS28: cervix uteri Strong Regionally restricted 99230085 There is scattered expression in the stroma.

Specimen Mouse 316483 - Image 99230086: postnatal day 95; Lats2tm1Dgen/Lats2+ (more )
Structure Level Pattern Image Note
TS28: epithelial layer of cervix uteri Strong 99230086 There is occasional staining in the epithelium.

Specimen Mouse 350886 - Image 99220378: postnatal day 54; Lats2tm1Dgen/Lats2+ (more )
Structure Level Pattern Image Note
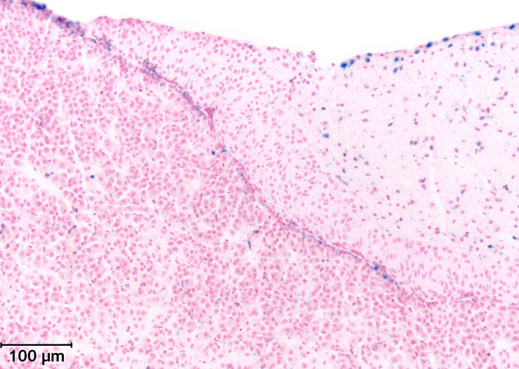
TS28: islets of Langerhans Strong 99220378 There is scattered expression in the islets of Langerhans.

Specimen Mouse 350886 - Image 99220380: postnatal day 54; Lats2tm1Dgen/Lats2+ (more )
Structure Level Pattern Image Note
TS28: spleen capsule Strong 99220380 Expression is frequently seen in the capsule.

Specimen Mouse 350886 - Image 99220384: postnatal day 54; Lats2tm1Dgen/Lats2+ (more )
Structure Level Pattern Image Note
TS28: spleen Strong Regionally restricted 99220384 Expression is frequently seen in the blood vessels in the spleen.
TS28: blood vessel Strong Regionally restricted 99220384 Expression is frequently seen in the blood vessels in the spleen.

Specimen Mouse 350886 - Image 99220385: postnatal day 54; Lats2tm1Dgen/Lats2+ (more )
Structure Level Pattern Image Note
TS28: spleen trabeculum Moderate 99220385 There is scattered expression in the trabeculae.

Specimen Mouse 350886 - Image 99225827: postnatal day 54; Lats2tm1Dgen/Lats2+ (more )
Structure Level Pattern Image Note
TS28: bone marrow Strong 99225827 There is scattered expression in the bone marrow.

Specimen Mouse 350886 - Image 99225842: postnatal day 54; Lats2tm1Dgen/Lats2+ (more )
Structure Level Pattern Image Note
TS28: skeletal muscle Strong Regionally restricted 99225842 Expression is frequently seen in the blood vessels in the skeletal muscle.
TS28: blood vessel Strong Regionally restricted 99225842 Expression is frequently seen in the blood vessels in the skeletal muscle.

Specimen Mouse 350886 - Image 99225845: postnatal day 54; Lats2tm1Dgen/Lats2+ (more )
Structure Level Pattern Image Note
TS28: dermis Strong 99225845 Expression is frequently seen in the dermis.

Specimen Mouse 350886 - Image 99225846: postnatal day 54; Lats2tm1Dgen/Lats2+ (more )
Structure Level Pattern Image Note
TS28: epidermis Strong 99225846 There is scattered expression in the epidermis.

Specimen Mouse 350886 - Image 99225847: postnatal day 54; Lats2tm1Dgen/Lats2+ (more )
Structure Level Pattern Image Note
TS28: hair follicle Strong 99225847 There is scattered expression in the hair follicles.

Specimen Mouse 350886 - Image 99225848: postnatal day 54; Lats2tm1Dgen/Lats2+ (more )
Structure Level Pattern Image Note
TS28: sebaceous gland Strong 99225848 There is scattered expression in the sebaceous gland.

Specimen Mouse 350886 - Image 99225853: postnatal day 54; Lats2tm1Dgen/Lats2+ (more )
Structure Level Pattern Image Note
TS28: thyroid gland Strong 99225853 There is scattered expression in the thyroid gland.

Specimen Mouse 350886 - Image 99225862: postnatal day 54; Lats2tm1Dgen/Lats2+ (more )
Structure Level Pattern Image Note
TS28: laryngeal cartilage Strong 99225862 Expression is frequently seen in the cartilage.

Specimen Mouse 350886 - Image 99225995: postnatal day 54; Lats2tm1Dgen/Lats2+ (more )
Structure Level Pattern Image Note
TS28: sciatic nerve Strong 99225995 Expression is frequently seen in the sciatic nerve.

Specimen Mouse 350886 - Image 99225996: postnatal day 54; Lats2tm1Dgen/Lats2+ (more )
Structure Level Pattern Image Note
TS28: thyroid gland Strong Regionally restricted 99225996 Expression is frequently seen in the blood vessels in the thyroid gland.
TS28: blood vessel Strong Regionally restricted 99225996 Expression is frequently seen in the blood vessels in the thyroid gland.

Specimen Mouse 350886 - Image 99225999: postnatal day 54; Lats2tm1Dgen/Lats2+ (more )
Structure Level Pattern Image Note
TS28: aorta Strong Regionally restricted 99225999 There is scattered expression in the periaortic adipose tissue.
TS28: adipose tissue Strong Regionally restricted 99225999 There is scattered expression in the periaortic adipose tissue.

Specimen Mouse 350886 - Image 99226001: postnatal day 54; Lats2tm1Dgen/Lats2+ (more )
Structure Level Pattern Image Note
TS28: thymus cortex Strong 99226001 There is scattered expression in the cortex.

Specimen Mouse 350886 - Image 99226002: postnatal day 54; Lats2tm1Dgen/Lats2+ (more )
Structure Level Pattern Image Note
TS28: thymus medullary core Strong 99226002 There is occasional staining in the medulla.

Specimen Mouse 350886 - Image 99226209: postnatal day 54; Lats2tm1Dgen/Lats2+ (more )
Structure Level Pattern Image Note
TS28: aorta Strong 99226209 Expression is present in practically all cells of the aorta.

Specimen Mouse 350886 - Image 99226217: postnatal day 54; Lats2tm1Dgen/Lats2+ (more )
Structure Level Pattern Image Note
TS28: thymus Moderate Regionally restricted 99226217 Expression is frequently seen in the blood vessels in the thymus.
TS28: blood vessel Moderate Regionally restricted 99226217 Expression is frequently seen in the blood vessels in the thymus.

Specimen Mouse 350886 - Image 99226225: postnatal day 54; Lats2tm1Dgen/Lats2+ (more )
Structure Level Pattern Image Note
TS28: lens Strong 99226225 Expression is frequently seen in the lens.

Specimen Mouse 350886 - Image 99226231: postnatal day 54; Lats2tm1Dgen/Lats2+ (more )
Structure Level Pattern Image Note
TS28: ciliary body Strong 99226231 Expression is frequently seen in the ciliary body.

Specimen Mouse 350886 - Image 99226235: postnatal day 54; Lats2tm1Dgen/Lats2+ (more )
Structure Level Pattern Image Note
TS28: cornea Moderate 99226235 There is scattered expression in the cornea.

Specimen Mouse 350886 - Image 99226238: postnatal day 54; Lats2tm1Dgen/Lats2+ (more )
Structure Level Pattern Image Note
TS28: retina outer nuclear layer Strong 99226238 There is occasional staining in the outer nuclear layer.

Specimen Mouse 350886 - Image 99226252: postnatal day 54; Lats2tm1Dgen/Lats2+ (more )
Structure Level Pattern Image Note
TS28: retina inner nuclear layer Strong 99226252 There is scattered expression in the inner nuclear layer.

Specimen Mouse 350886 - Image 99226253: postnatal day 54; Lats2tm1Dgen/Lats2+ (more )
Structure Level Pattern Image Note
TS28: retina ganglion cell layer Strong 99226253 There is scattered expression in the ganglion cell layer.

Specimen Mouse 350886 - Image 99226254: postnatal day 54; Lats2tm1Dgen/Lats2+ (more )
Structure Level Pattern Image Note
TS28: pigmented retinal epithelium Strong 99226254 Expression is frequently seen in the pigment layer.

Specimen Mouse 350886 - Image 99226255: postnatal day 54; Lats2tm1Dgen/Lats2+ (more )
Structure Level Pattern Image Note
TS28: sclera Strong 99226255 Expression is present in practically all cells of the sclera.

Specimen Mouse 350886 - Image 99226256: postnatal day 54; Lats2tm1Dgen/Lats2+ (more )
Structure Level Pattern Image Note
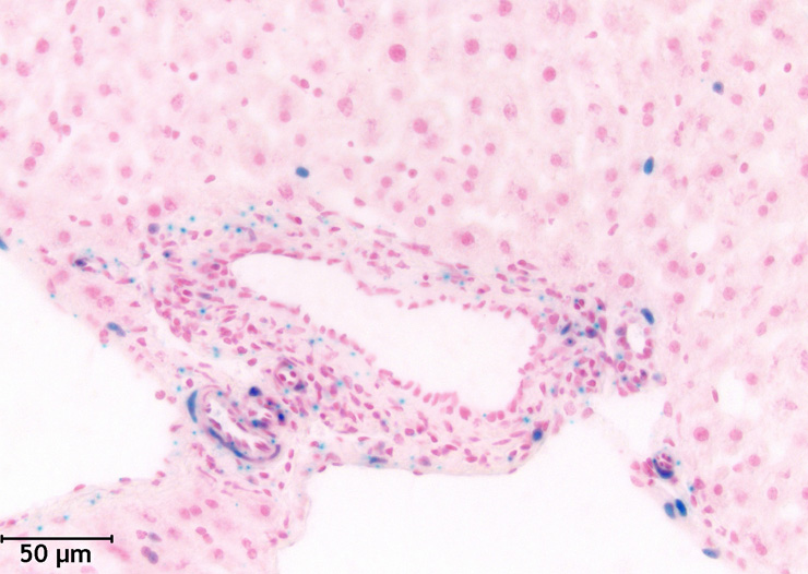
TS28: liver Strong Regionally restricted 99226256 Expression is frequently seen in the blood vessels of the liver.
TS28: blood vessel Strong Regionally restricted 99226256 Expression is frequently seen in the blood vessels of the liver.

Specimen Mouse 350886 - Image 99226257: postnatal day 54; Lats2tm1Dgen/Lats2+ (more )
Structure Level Pattern Image Note
TS28: bile duct Strong 99226257 There is scattered expression in the bile duct.

Specimen Mouse 350886 - Image 99226260: postnatal day 54; Lats2tm1Dgen/Lats2+ (more )
Structure Level Pattern Image Note
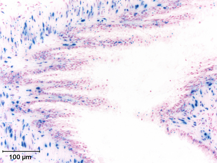
TS28: heart ventricle Very strong 99226260 Expression is present in practically all cells of the ventricles.

Specimen Mouse 350886 - Image 99226262: postnatal day 54; Lats2tm1Dgen/Lats2+ (more )
Structure Level Pattern Image Note
TS28: heart Very strong Regionally restricted 99226262 Expression is frequently seen in the blood vessels of the heart.
TS28: blood vessel Very strong Regionally restricted 99226262 Expression is frequently seen in the blood vessels of the heart.

Specimen Mouse 350886 - Image 99226263: postnatal day 54; Lats2tm1Dgen/Lats2+ (more )
Structure Level Pattern Image Note
TS28: heart atrium Very strong 99226263 Expression is present in practically all cells of the atrium.

Specimen Mouse 350886 - Image 99226273: postnatal day 54; Lats2tm1Dgen/Lats2+ (more )
Structure Level Pattern Image Note
TS28: lung alveolus Strong 99226273 Expression is frequently seen in the alveoli.

Specimen Mouse 350886 - Image 99226275: postnatal day 54; Lats2tm1Dgen/Lats2+ (more )
Structure Level Pattern Image Note
TS28: lung Strong Regionally restricted 99226275 Expression is frequently seen in the blood vessels of the lung.
TS28: blood vessel Strong Regionally restricted 99226275 Expression is frequently seen in the blood vessels of the lung.

Specimen Mouse 350886 - Image 99226278: postnatal day 54; Lats2tm1Dgen/Lats2+ (more )
Structure Level Pattern Image Note
TS28: renal papilla Strong 99226278 Expression is present in practically all cells of the papilla.

Specimen Mouse 350886 - Image 99226287: postnatal day 54; Lats2tm1Dgen/Lats2+ (more )
Structure Level Pattern Image Note
TS28: renal medulla Strong 99226287 Expression is frequently seen in the medulla.

Specimen Mouse 350886 - Image 99226306: postnatal day 54; Lats2tm1Dgen/Lats2+ (more )
Structure Level Pattern Image Note
TS28: glomerular tuft Strong 99226306 Expression is frequently seen in the glomeruli.

Specimen Mouse 350886 - Image 99226309: postnatal day 54; Lats2tm1Dgen/Lats2+ (more )
Structure Level Pattern Image Note
TS28: renal tubule Strong 99226309 Expression is frequently seen in the tubules.

Specimen Mouse 350886 - Image 99226658: postnatal day 54; Lats2tm1Dgen/Lats2+ (more )
Structure Level Pattern Image Note
TS28: pancreas Strong Regionally restricted 99226658 Expression is frequently seen in the blood vessels of the pancreas.
TS28: blood vessel Strong Regionally restricted 99226658 Expression is frequently seen in the blood vessels of the pancreas.

Specimen Mouse 350886 - Image 99226668: postnatal day 54; Lats2tm1Dgen/Lats2+ (more )
Structure Level Pattern Image Note
TS28: pancreatic acinus Strong 99226668 There is scattered expression in the acini.

Specimen Mouse 350886 - Image 99226678: postnatal day 54; Lats2tm1Dgen/Lats2+ (more )
Structure Level Pattern Image Note
TS28: spleen white pulp Strong 99226678 There is scattered expression in the white pulp.

Specimen Mouse 350886 - Image 99226681: postnatal day 54; Lats2tm1Dgen/Lats2+ (more )
Structure Level Pattern Image Note
TS28: spleen red pulp Strong 99226681 There is scattered expression in the red pulp.

Specimen Mouse 350886 - Image 99227251: postnatal day 54; Lats2tm1Dgen/Lats2+ (more )
Structure Level Pattern Image Note
TS28: lymph node Strong 99227251 There is scattered expression in the lymph nodes.

Specimen Mouse 350886 - Image 99227255: postnatal day 54; Lats2tm1Dgen/Lats2+ (more )
Structure Level Pattern Image Note
TS28: lymph node capsule Strong 99227255 There is scattered expression in the capsule.

Specimen Mouse 350886 - Image 99227256: postnatal day 54; Lats2tm1Dgen/Lats2+ (more )
Structure Level Pattern Image Note
TS28: lymph node Strong Regionally restricted 99227256 Expression is frequently seen in the blood vessels of the lymph node.
TS28: blood vessel Strong Regionally restricted 99227256 Expression is frequently seen in the blood vessels of the lymph node.

Specimen Mouse 350886 - Image 99227257: postnatal day 54; Lats2tm1Dgen/Lats2+ (more )
Structure Level Pattern Image Note
TS28: testis Strong Regionally restricted 99227257 Expression is frequently seen in the blood vessels in the testis.
TS28: blood vessel Strong Regionally restricted 99227257 Expression is frequently seen in the blood vessels in the testis.

Specimen Mouse 350886 - Image 99227258: postnatal day 54; Lats2tm1Dgen/Lats2+ (more )
Structure Level Pattern Image Note
TS28: interstitium of the testis Strong 99227258 There is scattered expression in the interstitium.

Specimen Mouse 350886 - Image 99227259: postnatal day 54; Lats2tm1Dgen/Lats2+ (more )
Structure Level Pattern Image Note
TS28: seminiferous tubule Strong 99227259 There is scattered expression in the seminiferous tubules.

Specimen Mouse 350886 - Image 99227260: postnatal day 54; Lats2tm1Dgen/Lats2+ (more )
Structure Level Pattern Image Note
TS28: testis Strong Regionally restricted 99227260 Expression is frequently seen in the tunica albuginea.

Specimen Mouse 350886 - Image 99227261: postnatal day 54; Lats2tm1Dgen/Lats2+ (more )
Structure Level Pattern Image Note
TS28: lamina propria of bladder Very strong 99227261 Expression is present in practically all cells of the muscularis.

Specimen Mouse 350886 - Image 99227262: postnatal day 54; Lats2tm1Dgen/Lats2+ (more )
Structure Level Pattern Image Note
TS28: urothelium of bladder Moderate Regionally restricted 99227262 There is scattered expression in the epithelium.

Specimen Mouse 350886 - Image 99227263: postnatal day 54; Lats2tm1Dgen/Lats2+ (more )
Structure Level Pattern Image Note
TS28: lamina propria of bladder Strong 99227263 There is scattered expression in the lamina propria.

Specimen Mouse 350886 - Image 99227267: postnatal day 54; Lats2tm1Dgen/Lats2+ (more )
Structure Level Pattern Image Note
TS28: bladder Strong Regionally restricted 99227267 Expression is frequently seen in the blood vessels in the urinary bladder.
TS28: blood vessel Strong Regionally restricted 99227267 Expression is frequently seen in the blood vessels in the urinary bladder.

Specimen Mouse 350886 - Image 99227272: postnatal day 54; Lats2tm1Dgen/Lats2+ (more )
Structure Level Pattern Image Note
TS28: prostate gland Strong Regionally restricted 99227272 There is scattered expression in the stroma.

Specimen Mouse 350886 - Image 99230087: postnatal day 54; Lats2tm1Dgen/Lats2+ (more )
Structure Level Pattern Image Note
TS28: bronchiole Very strong Regionally restricted 99230087 Expression is present in practically all the smooth muscle cells of the bronchioles.

Specimen Mouse 350886 - Image 99230088: postnatal day 54; Lats2tm1Dgen/Lats2+ (more )
Structure Level Pattern Image Note
TS28: bronchiole epithelium Strong 99230088 Expression is frequently seen in the epithelial cells.

Specimen Mouse 350886 - Image 99230089: postnatal day 54; Lats2tm1Dgen/Lats2+ (more )
Structure Level Pattern Image Note
TS28: liver Strong 99230089 There is scattered expression in the liver.

Specimen Mouse 350886 - Image 99230378: postnatal day 54; Lats2tm1Dgen/Lats2+ (more )
Structure Level Pattern Image Note
TS28: larynx Strong 99230378 Expression is frequently seen in the larynx.

Specimen Mouse 350886 - Image 99230381: postnatal day 54; Lats2tm1Dgen/Lats2+ (more )
Structure Level Pattern Image Note
TS28: retina Strong 99230381 There is scattered expression in the retina.

Specimen Mouse 350886 - Image 99230384: postnatal day 54; Lats2tm1Dgen/Lats2+ (more )
Structure Level Pattern Image Note
TS28: skeletal muscle Strong 99230384 There is scattered expression in the skeletal muscle.

Specimen Mouse 350886: postnatal day 54; Lats2tm1Dgen/Lats2+ (more )
Structure Level Pattern Image Note
TS28: skin Strong Regionally restricted There is scattered expression in the blood vessels of the skin.
TS28: blood vessel Strong Regionally restricted There is scattered expression in the blood vessels of the skin and prostate gland. Expression is frequently seen in the blood vessels of the kidney.
TS28: prostate gland Strong Regionally restricted There is scattered expression in the blood vessels of the prostate gland.
TS28: metanephros Strong Regionally restricted Expression is frequently seen in the blood vessels of the kidney.

Specimen Mouse 351633 - Image 99224127: postnatal day 61; Lats2tm1Dgen/Lats2+ (more )
Structure Level Pattern Image Note
TS28: spinal cord white matter Strong 99224127 There is scattered expression in the white matter.

Specimen Mouse 351633 - Image 99227304: postnatal day 61; Lats2tm1Dgen/Lats2+ (more )
Structure Level Pattern Image Note
TS28: neurohypophysis pars nervosa Strong 99227304 Expression is frequently seen in the pars nervosa.

Specimen Mouse 351633 - Image 99227306: postnatal day 61; Lats2tm1Dgen/Lats2+ (more )
Structure Level Pattern Image Note
TS28: adenohypophysis pars anterior Strong 99227306 There is scattered expression in the pars distalis.

Specimen Mouse 351633 - Image 99227307: postnatal day 61; Lats2tm1Dgen/Lats2+ (more )
Structure Level Pattern Image Note
TS28: adenohypophysis pars intermedia Moderate 99227307 There is occasional staining in the pars intermedia.

Specimen Mouse 351633 - Image 99227308: postnatal day 61; Lats2tm1Dgen/Lats2+ (more )
Structure Level Pattern Image Note
TS28: spinal cord Strong 99227308 There is scattered expression in the spinal cord.

Specimen Mouse 351633 - Image 99227309: postnatal day 61; Lats2tm1Dgen/Lats2+ (more )
Structure Level Pattern Image Note
TS28: spinal cord gray matter Strong 99227309 There is scattered expression in the grey matter.

Specimen Mouse 351633 - Image 99227310: postnatal day 61; Lats2tm1Dgen/Lats2+ (more )
Structure Level Pattern Image Note
TS28: spinal cord central canal Very strong 99227310 Expression is present in practically all cells of the central canal.

Specimen Mouse 351633 - Image 99227311: postnatal day 61; Lats2tm1Dgen/Lats2+ (more )
Structure Level Pattern Image Note
TS28: cerebellum Strong 99227311 Expression is frequently seen in the cerebellum.

Specimen Mouse 351633 - Image 99227313: postnatal day 61; Lats2tm1Dgen/Lats2+ (more )
Structure Level Pattern Image Note
TS28: brainstem Strong 99227313 There is scattered expression in the brainstem.

Specimen Mouse 351633 - Image 99227318: postnatal day 61; Lats2tm1Dgen/Lats2+ (more )
Structure Level Pattern Image Note
TS28: brainstem Strong Regionally restricted 99227318 Expression is frequently seen in the blood vessels of the brainstem.
TS28: blood vessel Strong Regionally restricted 99227318 Expression is frequently seen in the blood vessels of the brainstem.

Specimen Mouse 351633 - Image 99227319: postnatal day 61; Lats2tm1Dgen/Lats2+ (more )
Structure Level Pattern Image Note
TS28: cerebellum white matter Very strong 99227319 Expression is frequently seen in the white matter.

Specimen Mouse 351633 - Image 99227321: postnatal day 61; Lats2tm1Dgen/Lats2+ (more )
Structure Level Pattern Image Note
TS28: cerebellum granule cell layer Strong 99227321 There is scattered expression in the granule layer.

Specimen Mouse 351633 - Image 99227323: postnatal day 61; Lats2tm1Dgen/Lats2+ (more )
Structure Level Pattern Image Note
TS28: cerebellum molecular layer Strong 99227323 There is scattered expression in the molecular layer.

Specimen Mouse 351633 - Image 99227327: postnatal day 61; Lats2tm1Dgen/Lats2+ (more )
Structure Level Pattern Image Note
TS28: cerebellum Purkinje cell layer Very strong 99227327 Expression is present in practically all cells of the Purkinje layer.

Specimen Mouse 351633 - Image 99227476: postnatal day 61; Lats2tm1Dgen/Lats2+ (more )
Structure Level Pattern Image Note
TS28: thalamus Strong 99227476 There is scattered expression in the thalamus.

Specimen Mouse 351633 - Image 99227483: postnatal day 61; Lats2tm1Dgen/Lats2+ (more )
Structure Level Pattern Image Note
TS28: hypothalamus Strong 99227483 There is scattered expression in the hypothalamus.

Specimen Mouse 351633 - Image 99227486: postnatal day 61; Lats2tm1Dgen/Lats2+ (more )
Structure Level Pattern Image Note
TS28: brain ventricle Very strong Regionally restricted 99227486 Expression is present in practically all cells of a ventricle in the cerebrum.

Specimen Mouse 351633 - Image 99227487: postnatal day 61; Lats2tm1Dgen/Lats2+ (more )
Structure Level Pattern Image Note
TS28: amygdala Strong 99227487 There is scattered expression in the amygdala.

Specimen Mouse 351633 - Image 99227488: postnatal day 61; Lats2tm1Dgen/Lats2+ (more )
Structure Level Pattern Image Note
TS28: telencephalon Strong Regionally restricted 99227488 Expression is frequently seen in the choroid plexus of the cerebrum.
TS28: choroid plexus Strong Regionally restricted 99227488 Expression is frequently seen in the choroid plexus of the cerebrum.

Specimen Mouse 351633 - Image 99227489: postnatal day 61; Lats2tm1Dgen/Lats2+ (more )
Structure Level Pattern Image Note
TS28: cerebral cortex Strong 99227489 There is scattered expression in the cortex.

Specimen Mouse 351633 - Image 99227490: postnatal day 61; Lats2tm1Dgen/Lats2+ (more )
Structure Level Pattern Image Note
TS28: telencephalon Strong Regionally restricted 99227490 Expression is frequently seen in the cerebral meninges.
TS28: meninges Strong Regionally restricted 99227490 Expression is frequently seen in the cerebral meninges.

Specimen Mouse 351633 - Image 99227491: postnatal day 61; Lats2tm1Dgen/Lats2+ (more )
Structure Level Pattern Image Note
TS28: hippocampus Strong 99227491 Expression is frequently seen in the hippocampus.

Specimen Mouse 351633 - Image 99227492: postnatal day 61; Lats2tm1Dgen/Lats2+ (more )
Structure Level Pattern Image Note
TS28: telencephalon Strong Regionally restricted 99227492 Expression is frequently seen in the blood vessels of the cerebrum.
TS28: blood vessel Strong Regionally restricted 99227492 Expression is frequently seen in the blood vessels of the cerebrum.

Specimen Mouse 351633 - Image 99227493: postnatal day 61; Lats2tm1Dgen/Lats2+ (more )
Structure Level Pattern Image Note
TS28: caudate-putamen Strong 99227493 There is scattered expression in the caudate-putamen.

Specimen Mouse 351633 - Image 99230392: postnatal day 61; Lats2tm1Dgen/Lats2+ (more )
Structure Level Pattern Image Note
TS28: telencephalon Strong 99230392 There is scattered expression in the cerebrum.

Specimen Mouse 351633 - Image 99230395: postnatal day 61; Lats2tm1Dgen/Lats2+ (more )
Structure Level Pattern Image Note
TS28: telencephalon Strong 99230395 There is scattered expression in the cerebrum.

Specimen Mouse 351633 - Image 99230396: postnatal day 61; Lats2tm1Dgen/Lats2+ (more )
Structure Level Pattern Image Note
TS28: telencephalon Strong 99230396 There is scattered expression in the cerebrum.

Specimen Mouse 351633: postnatal day 61; Lats2tm1Dgen/Lats2+ (more )
Structure Level Pattern Image Note
TS28: cerebellum Strong Regionally restricted Expression is frequently seen in the blood vessels of the cerebellum.
TS28: blood vessel Strong Regionally restricted Expression is frequently seen in the blood vessels of the cerebellum.


Contributing Projects:
Mouse Genome Database (MGD), Gene Expression Database (GXD), Mouse Models of Human Cancer database (MMHCdb) (formerly Mouse Tumor Biology (MTB)), Gene Ontology (GO)
Citing These Resources
Funding Information
Warranty Disclaimer, Privacy Notice, Licensing, & Copyright
Send questions and comments to User Support.
last database update
01/20/2026
MGI 6.24
The Jackson Laboratory