About   Help   FAQ
Gene Expression Data
Assay Details
Assay
Reference: J:101679 Deltagen Inc, NIH initiative supporting placement of Deltagen, Inc. mice into public repositories. MGI Direct Data Submission. 2005;
Assay type: In situ reporter (knock in)
MGI Accession ID: MGI:3639167
Gene symbol: Rgs4
Gene name: regulator of G-protein signaling 4
Reporter: lacZ
Direct Detection
Results
Specimen Mouse 384254 - Image 99234374: postnatal day 49; Rgs4tm1Dgen/Rgs4+ (more )
Structure Level Pattern Image Note
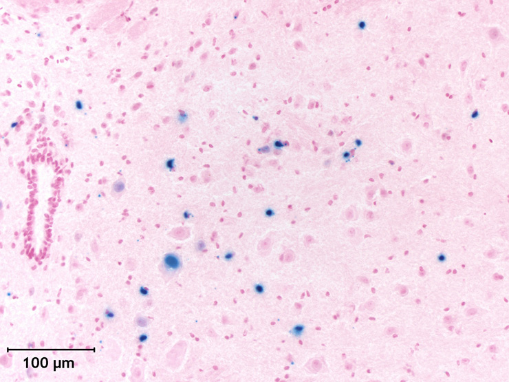
TS28: telencephalon Very strong 99234374 Expression is frequently seen in the cerebrum.

Specimen Mouse 384254 - Image 99234375: postnatal day 49; Rgs4tm1Dgen/Rgs4+ (more )
Structure Level Pattern Image Note
TS28: amygdala Very strong 99234375 There is scattered expression in the amygdala.

Specimen Mouse 384254 - Image 99234376: postnatal day 49; Rgs4tm1Dgen/Rgs4+ (more )
Structure Level Pattern Image Note
TS28: caudate-putamen Strong 99234376 There is scattered expression in the caudate-putamen.

Specimen Mouse 384254 - Image 99234385: postnatal day 49; Rgs4tm1Dgen/Rgs4+ (more )
Structure Level Pattern Image Note
TS28: cerebral cortex Strong 99234385 Expression is frequently seen in the cortex.

Specimen Mouse 384254 - Image 99234386: postnatal day 49; Rgs4tm1Dgen/Rgs4+ (more )
Structure Level Pattern Image Note
TS28: hippocampus Strong 99234386 There is scattered expression in the hippocampus.

Specimen Mouse 384254 - Image 99234387: postnatal day 49; Rgs4tm1Dgen/Rgs4+ (more )
Structure Level Pattern Image Note
TS28: hypothalamus Strong 99234387 There is scattered expression in the hypothalamus.

Specimen Mouse 384254 - Image 99234389: postnatal day 49; Rgs4tm1Dgen/Rgs4+ (more )
Structure Level Pattern Image Note
TS28: thalamus Strong 99234389 Expression is frequently seen in the thalamus.

Specimen Mouse 384254 - Image 99234392: postnatal day 49; Rgs4tm1Dgen/Rgs4+ (more )
Structure Level Pattern Image Note
TS28: telencephalon Very strong Regionally restricted 99234392 Expression is frequently seen in the blood vessels of the cerebrum.
TS28: blood vessel Very strong Regionally restricted 99234392 Expression is frequently seen in the blood vessels of the cerebrum.

Specimen Mouse 384254 - Image 99234396: postnatal day 49; Rgs4tm1Dgen/Rgs4+ (more )
Structure Level Pattern Image Note
TS28: telencephalon Strong Regionally restricted 99234396 Expression is frequently seen in the cerebral meninges.
TS28: meninges Strong Regionally restricted 99234396 Expression is frequently seen in the cerebral meninges.

Specimen Mouse 384254 - Image 99234400: postnatal day 49; Rgs4tm1Dgen/Rgs4+ (more )
Structure Level Pattern Image Note
TS28: cerebellum Very strong 99234400 There is scattered expression in the cerebellum.

Specimen Mouse 384254 - Image 99234403: postnatal day 49; Rgs4tm1Dgen/Rgs4+ (more )
Structure Level Pattern Image Note
TS28: brainstem Strong 99234403 There is scattered expression in the brainstem.

Specimen Mouse 384254 - Image 99234404: postnatal day 49; Rgs4tm1Dgen/Rgs4+ (more )
Structure Level Pattern Image Note
TS28: cerebellum granule cell layer Very strong 99234404 There is scattered expression in the granule layer.

Specimen Mouse 384254 - Image 99234405: postnatal day 49; Rgs4tm1Dgen/Rgs4+ (more )
Structure Level Pattern Image Note
TS28: cerebellum molecular layer Strong 99234405 There is scattered expression in the molecular layer.

Specimen Mouse 384254 - Image 99234406: postnatal day 49; Rgs4tm1Dgen/Rgs4+ (more )
Structure Level Pattern Image Note
TS28: cerebellum white matter Very strong 99234406 There is scattered expression in the white matter.

Specimen Mouse 384254 - Image 99234407: postnatal day 49; Rgs4tm1Dgen/Rgs4+ (more )
Structure Level Pattern Image Note
TS28: cerebellum Purkinje cell layer Strong 99234407 Expression is frequently seen in the Purkinje layer.

Specimen Mouse 384254 - Image 99234409: postnatal day 49; Rgs4tm1Dgen/Rgs4+ (more )
Structure Level Pattern Image Note
TS28: spinal cord white matter Strong 99234409 There is scattered expression in the white matter.

Specimen Mouse 384254 - Image 99234410: postnatal day 49; Rgs4tm1Dgen/Rgs4+ (more )
Structure Level Pattern Image Note
TS28: spinal cord gray matter Strong 99234410 There is scattered expression in the grey matter.

Specimen Mouse 384254 - Image 99234412: postnatal day 49; Rgs4tm1Dgen/Rgs4+ (more )
Structure Level Pattern Image Note
TS28: adenohypophysis pars anterior Very strong 99234412 There is scattered expression in the pars distalis.

Specimen Mouse 384254 - Image 99234413: postnatal day 49; Rgs4tm1Dgen/Rgs4+ (more )
Structure Level Pattern Image Note
TS28: neurohypophysis pars nervosa Strong 99234413 There is scattered expression in the pars nervosa.

Specimen Mouse 384254 - Image 99234599: postnatal day 49; Rgs4tm1Dgen/Rgs4+ (more )
Structure Level Pattern Image Note
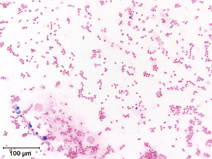
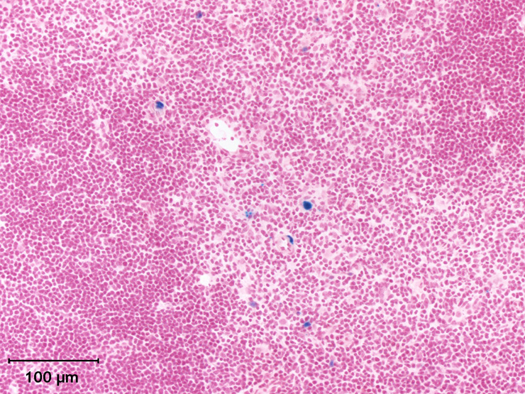
TS28: lymph node Very strong Regionally restricted 99234599 Expression is frequently seen in the blood vessels of the lymph node.
TS28: blood vessel Very strong Regionally restricted 99234599 Expression is frequently seen in the blood vessels of the lymph node.

Specimen Mouse 384254 - Image 99234602: postnatal day 49; Rgs4tm1Dgen/Rgs4+ (more )
Structure Level Pattern Image Note
TS28: pancreas Very strong Regionally restricted 99234602 Expression is frequently seen in the blood vessels of the pancreas.
TS28: blood vessel Very strong Regionally restricted 99234602 Expression is frequently seen in the blood vessels of the pancreas.

Specimen Mouse 384254 - Image 99234603: postnatal day 49; Rgs4tm1Dgen/Rgs4+ (more )
Structure Level Pattern Image Note
TS28: pancreatic acinus Strong 99234603 There is occasional staining in the acini.

Specimen Mouse 384254 - Image 99234604: postnatal day 49; Rgs4tm1Dgen/Rgs4+ (more )
Structure Level Pattern Image Note
TS28: islets of Langerhans Moderate 99234604 There is scattered expression in the islets of Langerhans.

Specimen Mouse 384254 - Image 99234605: postnatal day 49; Rgs4tm1Dgen/Rgs4+ (more )
Structure Level Pattern Image Note
TS28: spleen Very strong Regionally restricted 99234605 There is scattered expression in the blood vessels of the spleen.
TS28: blood vessel Very strong Regionally restricted 99234605 There is scattered expression in the blood vessels of the spleen.

Specimen Mouse 384254 - Image 99234606: postnatal day 49; Rgs4tm1Dgen/Rgs4+ (more )
Structure Level Pattern Image Note
TS28: interstitium of the testis Very strong 99234606 There is scattered expression in the interstitium.

Specimen Mouse 384254 - Image 99234607: postnatal day 49; Rgs4tm1Dgen/Rgs4+ (more )
Structure Level Pattern Image Note
TS28: testis Very strong Regionally restricted 99234607 Expression is frequently seen in the blood vessels of the testis.
TS28: blood vessel Very strong Regionally restricted 99234607 Expression is frequently seen in the blood vessels of the testis.

Specimen Mouse 384254 - Image 99234610: postnatal day 49; Rgs4tm1Dgen/Rgs4+ (more )
Structure Level Pattern Image Note
TS28: prostate gland Strong Regionally restricted 99234610 There is occasional staining in the stroma.

Specimen Mouse 384254 - Image 99234611: postnatal day 49; Rgs4tm1Dgen/Rgs4+ (more )
Structure Level Pattern Image Note
TS28: bladder Very strong Regionally restricted 99234611 Expression is frequently seen in the blood vessels of the urinary bladder.
TS28: blood vessel Very strong Regionally restricted 99234611 Expression is frequently seen in the blood vessels of the urinary bladder.

Specimen Mouse 384254 - Image 99234612: postnatal day 49; Rgs4tm1Dgen/Rgs4+ (more )
Structure Level Pattern Image Note
TS28: lamina propria of bladder Strong 99234612 There is scattered expression in the muscularis.

Specimen Mouse 384254 - Image 99234614: postnatal day 49; Rgs4tm1Dgen/Rgs4+ (more )
Structure Level Pattern Image Note
TS28: lamina propria of bladder Very strong 99234614 There is scattered expression in the lamina propria.

Specimen Mouse 384254 - Image 99234616: postnatal day 49; Rgs4tm1Dgen/Rgs4+ (more )
Structure Level Pattern Image Note
TS28: adrenal medulla Very strong 99234616 Expression is frequently seen in the medulla.

Specimen Mouse 384254 - Image 99234617: postnatal day 49; Rgs4tm1Dgen/Rgs4+ (more )
Structure Level Pattern Image Note
TS28: adrenal cortex Strong 99234617 There is occasional staining in the cortex.

Specimen Mouse 384254 - Image 99234618: postnatal day 49; Rgs4tm1Dgen/Rgs4+ (more )
Structure Level Pattern Image Note
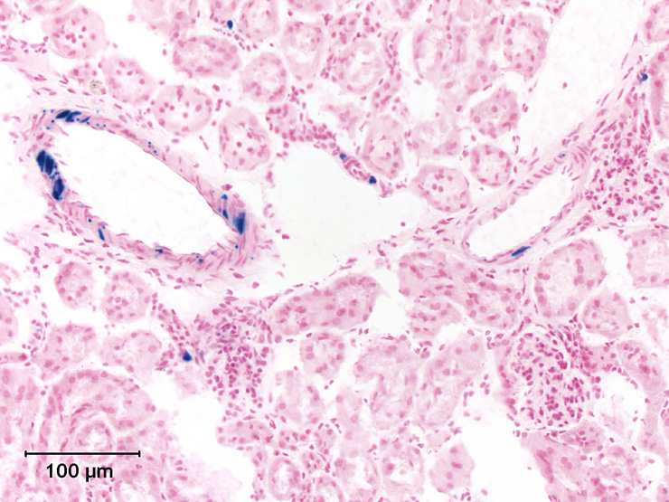
TS28: metanephros Very strong Regionally restricted 99234618 Expression is frequently seen in the blood vessels of the kidney.
TS28: blood vessel Very strong Regionally restricted 99234618 Expression is frequently seen in the blood vessels of the kidney.

Specimen Mouse 384254 - Image 99234619: postnatal day 49; Rgs4tm1Dgen/Rgs4+ (more )
Structure Level Pattern Image Note
TS28: glomerular tuft Very strong 99234619 There is scattered expression in the glomeruli.

Specimen Mouse 384254 - Image 99234620: postnatal day 49; Rgs4tm1Dgen/Rgs4+ (more )
Structure Level Pattern Image Note
TS28: renal papilla Very strong 99234620 There is scattered expression in the papilla.

Specimen Mouse 384254 - Image 99234653: postnatal day 49; Rgs4tm1Dgen/Rgs4+ (more )
Structure Level Pattern Image Note
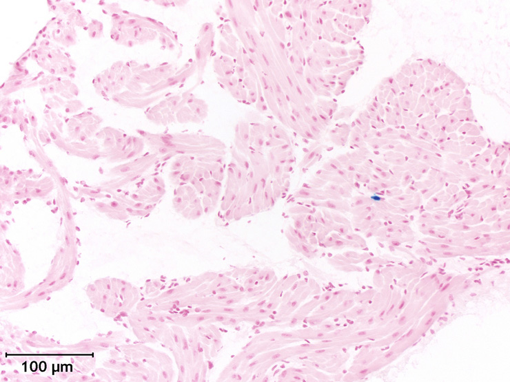
TS28: heart atrium Very strong 99234653 There is occasional staining in the atrium.

Specimen Mouse 384254 - Image 99234654: postnatal day 49; Rgs4tm1Dgen/Rgs4+ (more )
Structure Level Pattern Image Note
TS28: heart ventricle Very strong 99234654 There is scattered expression in the ventricles.

Specimen Mouse 384254 - Image 99234655: postnatal day 49; Rgs4tm1Dgen/Rgs4+ (more )
Structure Level Pattern Image Note
TS28: heart Very strong Regionally restricted 99234655 Expression is frequently seen in the blood vessels of the heart.
TS28: blood vessel Very strong Regionally restricted 99234655 Expression is frequently seen in the blood vessels of the heart.

Specimen Mouse 384254 - Image 99234656: postnatal day 49; Rgs4tm1Dgen/Rgs4+ (more )
Structure Level Pattern Image Note
TS28: bronchiole Very strong Regionally restricted 99234656 Expression is frequently seen in the smooth muscle cells of the bronchioles.

Specimen Mouse 384254 - Image 99234658: postnatal day 49; Rgs4tm1Dgen/Rgs4+ (more )
Structure Level Pattern Image Note
TS28: lung Very strong Regionally restricted 99234658 There is scattered expression in the blood vessels of the lung.
TS28: blood vessel Very strong Regionally restricted 99234658 There is scattered expression in the blood vessels of the lung.

Specimen Mouse 384254 - Image 99234665: postnatal day 49; Rgs4tm1Dgen/Rgs4+ (more )
Structure Level Pattern Image Note
TS28: liver Moderate Regionally restricted 99234665 There is scattered expression in the blood vessels of the liver.
TS28: blood vessel Moderate Regionally restricted 99234665 There is scattered expression in the blood vessels of the liver.

Specimen Mouse 384254 - Image 99234668: postnatal day 49; Rgs4tm1Dgen/Rgs4+ (more )
Structure Level Pattern Image Note
TS28: trachea Very strong 99234668 There is scattered expression in the trachea.

Specimen Mouse 384254 - Image 99234684: postnatal day 49; Rgs4tm1Dgen/Rgs4+ (more )
Structure Level Pattern Image Note
TS28: parathyroid gland Strong 99234684 There is occasional staining in the parathyroid gland.

Specimen Mouse 384254 - Image 99234690: postnatal day 49; Rgs4tm1Dgen/Rgs4+ (more )
Structure Level Pattern Image Note
TS28: thyroid gland Strong 99234690 There is scattered expression in the thyroid gland.

Specimen Mouse 384254 - Image 99234691: postnatal day 49; Rgs4tm1Dgen/Rgs4+ (more )
Structure Level Pattern Image Note
TS28: thyroid gland Very strong Regionally restricted 99234691 Expression is frequently seen in the blood vessels of the thyroid gland.
TS28: blood vessel Very strong Regionally restricted 99234691 Expression is frequently seen in the blood vessels of the thyroid gland.

Specimen Mouse 384254 - Image 99234697: postnatal day 49; Rgs4tm1Dgen/Rgs4+ (more )
Structure Level Pattern Image Note
TS28: skeletal muscle Strong 99234697 There is scattered expression in the skeletal muscle.

Specimen Mouse 384254 - Image 99234698: postnatal day 49; Rgs4tm1Dgen/Rgs4+ (more )
Structure Level Pattern Image Note
TS28: skeletal muscle Very strong Regionally restricted 99234698 Expression is frequently seen in the blood vessels of the skeletal muscle.
TS28: blood vessel Very strong Regionally restricted 99234698 Expression is frequently seen in the blood vessels of the skeletal muscle.

Specimen Mouse 384254 - Image 99234701: postnatal day 49; Rgs4tm1Dgen/Rgs4+ (more )
Structure Level Pattern Image Note
TS28: sciatic nerve Strong Regionally restricted 99234701 Expression is frequently seen in the blood vessels of the sciatic nerve.
TS28: blood vessel Strong Regionally restricted 99234701 Expression is frequently seen in the blood vessels of the sciatic nerve.

Specimen Mouse 384254 - Image 99234711: postnatal day 49; Rgs4tm1Dgen/Rgs4+ (more )
Structure Level Pattern Image Note
TS28: aorta Very strong 99234711 Expression is frequently seen in the aorta.

Specimen Mouse 384254 - Image 99234714: postnatal day 49; Rgs4tm1Dgen/Rgs4+ (more )
Structure Level Pattern Image Note
TS28: retina Strong 99234714 There is scattered expression in the retina.

Specimen Mouse 384254 - Image 99234715: postnatal day 49; Rgs4tm1Dgen/Rgs4+ (more )
Structure Level Pattern Image Note
TS28: retina ganglion cell layer Strong 99234715 Expression is frequently seen in the ganglion cell layer.

Specimen Mouse 384254 - Image 99234716: postnatal day 49; Rgs4tm1Dgen/Rgs4+ (more )
Structure Level Pattern Image Note
TS28: retina inner nuclear layer Moderate 99234716 There is scattered expression in the inner nuclear layer.

Specimen Mouse 384254 - Image 99234718: postnatal day 49; Rgs4tm1Dgen/Rgs4+ (more )
Structure Level Pattern Image Note
TS28: thymus Very strong Regionally restricted 99234718 Expression is frequently seen in the blood vessels of the thymus.
TS28: blood vessel Very strong Regionally restricted 99234718 Expression is frequently seen in the blood vessels of the thymus.

Specimen Mouse 384254 - Image 99234723: postnatal day 49; Rgs4tm1Dgen/Rgs4+ (more )
Structure Level Pattern Image Note
TS28: pigmented retinal epithelium Strong 99234723 There is scattered expression in the pigment layer.

Specimen Mouse 384254 - Image 99234726: postnatal day 49; Rgs4tm1Dgen/Rgs4+ (more )
Structure Level Pattern Image Note
TS28: sclera Weak 99234726 There is scattered expression in the sclera.

Specimen Mouse 384254 - Image 99234732: postnatal day 49; Rgs4tm1Dgen/Rgs4+ (more )
Structure Level Pattern Image Note
TS28: optic nerve Strong 99234732 There is scattered expression in the optic nerve.

Specimen Mouse 384254 - Image 99234734: postnatal day 49; Rgs4tm1Dgen/Rgs4+ (more )
Structure Level Pattern Image Note
TS28: thymus Moderate 99234734 There is scattered expression in the thymus.

Specimen Mouse 384254 - Image 99234741: postnatal day 49; Rgs4tm1Dgen/Rgs4+ (more )
Structure Level Pattern Image Note
TS28: bone marrow Moderate 99234741 There is occasional staining in the bone marrow.

Specimen Mouse 384254 - Image 99235961: postnatal day 49; Rgs4tm1Dgen/Rgs4+ (more )
Structure Level Pattern Image Note
TS28: adrenal gland Strong Regionally restricted 99235961 There is occasional staining in the capsule.

Specimen Mouse 384254 - Image 99236905: postnatal day 49; Rgs4tm1Dgen/Rgs4+ (more )
Structure Level Pattern Image Note
TS28: renal medulla Very strong 99236905 There is scattered expression in the medulla.

Specimen Mouse 384254: postnatal day 49; Rgs4tm1Dgen/Rgs4+ (more )
Structure Level Pattern Image Note
TS28: skin Strong Regionally restricted Expression is frequently seen in the blood vessels of the skin.
TS28: blood vessel Present Regionally restricted Strong expression is frequently seen in the blood vessels of the skin. Very strong expression is frequently seen in the blood vessels of the eye.
TS28: eye Very strong Regionally restricted Expression is frequently seen in the blood vessels of the eye.

Specimen Mouse 384260 - Image 99234769: postnatal day 49; Rgs4tm1Dgen/Rgs4+ (more )
Structure Level Pattern Image Note
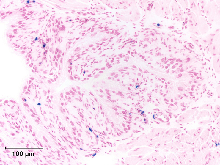
TS28: cervix uteri Very strong Regionally restricted 99234769 Expression is frequently seen in the blood vessels of the cervix.
TS28: blood vessel Very strong Regionally restricted 99234769 Expression is frequently seen in the blood vessels of the cervix.

Specimen Mouse 384260 - Image 99234771: postnatal day 49; Rgs4tm1Dgen/Rgs4+ (more )
Structure Level Pattern Image Note
TS28: ovary Very strong Regionally restricted 99234771 Expression is frequently seen in the blood vessels of the ovary.
TS28: blood vessel Very strong Regionally restricted 99234771 Expression is frequently seen in the blood vessels of the ovary.

Specimen Mouse 384260 - Image 99234772: postnatal day 49; Rgs4tm1Dgen/Rgs4+ (more )
Structure Level Pattern Image Note
TS28: uterus Very strong Regionally restricted 99234772 Expression is frequently seen in the blood vessels of the uterus.
TS28: blood vessel Very strong Regionally restricted 99234772 Expression is frequently seen in the blood vessels of the uterus.

Specimen Mouse 384260 - Image 99234773: postnatal day 49; Rgs4tm1Dgen/Rgs4+ (more )
Structure Level Pattern Image Note
TS28: endometrium stroma Strong 99234773 There is occasional staining in the endometrial stroma.

Specimen Mouse 384260 - Image 99236913: postnatal day 49; Rgs4tm1Dgen/Rgs4+ (more )
Structure Level Pattern Image Note
TS28: bone marrow Strong 99236913 There is occasional staining in the bone marrow.

Specimen Mouse 384262 - Image 99230411: postnatal day 56; Rgs4tm1Dgen/Rgs4+ (more )
Structure Level Pattern Image Note
TS28: brain Very strong 99230411 Expression is frequently seen in the brain.
TS28: telencephalon Very strong 99230411 Expression is frequently seen in the cerebrum.

Specimen Mouse 384262 - Image 99230412: postnatal day 56; Rgs4tm1Dgen/Rgs4+ (more )
Structure Level Pattern Image Note
TS28: cerebellum Very strong 99230412 Expression is frequently seen in the cerebellum.

Specimen Mouse 384262 - Image 99230413: postnatal day 56; Rgs4tm1Dgen/Rgs4+ (more )
Structure Level Pattern Image Note
TS28: brainstem Strong 99230413 Expression is frequently seen in the brainstem.


Contributing Projects:
Mouse Genome Database (MGD), Gene Expression Database (GXD), Mouse Models of Human Cancer database (MMHCdb) (formerly Mouse Tumor Biology (MTB)), Gene Ontology (GO)
Citing These Resources
Funding Information
Warranty Disclaimer, Privacy Notice, Licensing, & Copyright
Send questions and comments to User Support.
last database update
01/20/2026
MGI 6.24
The Jackson Laboratory