About   Help   FAQ
Gene Expression Data
Assay Details
Assay
Reference: J:101679 Deltagen Inc, NIH initiative supporting placement of Deltagen, Inc. mice into public repositories. MGI Direct Data Submission. 2005;
Assay type: In situ reporter (knock in)
MGI Accession ID: MGI:3639166
Gene symbol: Rgs2
Gene name: regulator of G-protein signaling 2
Reporter: lacZ
Direct Detection
Results
Specimen Mouse 181364 - Image 19415226: postnatal day 57; Rgs2tm1Dgen/Rgs2+ (more )
Structure Level Pattern Image Note
TS28: brain Strong 19415226 There is scattered expression in the brain.

Specimen Mouse 181364 - Image 19415780: postnatal day 57; Rgs2tm1Dgen/Rgs2+ (more )
Structure Level Pattern Image Note
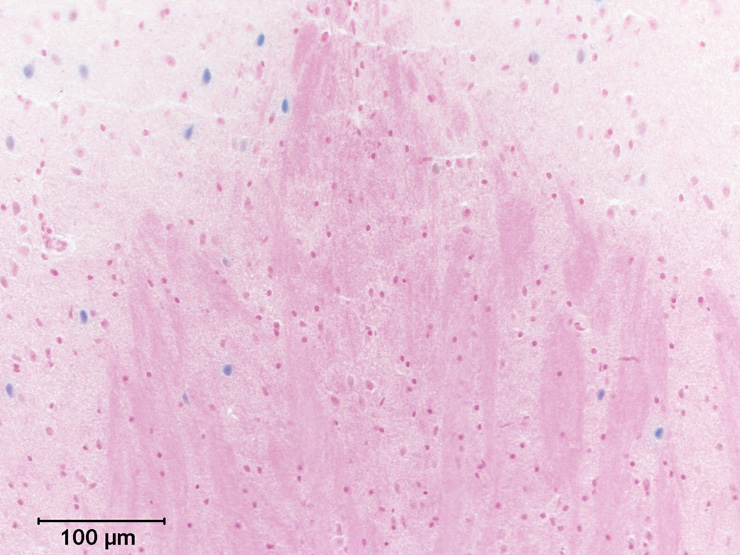
TS28: thalamus Strong 19415780 There is scattered expression in the thalamus.

Specimen Mouse 181364 - Image 19417161: postnatal day 57; Rgs2tm1Dgen/Rgs2+ (more )
Structure Level Pattern Image Note
TS28: cerebellum Strong 19417161 There is scattered expression in the cerebellum.

Specimen Mouse 181364 - Image 19417452: postnatal day 57; Rgs2tm1Dgen/Rgs2+ (more )
Structure Level Pattern Image Note
TS28: cerebellum Strong 19417452 There is scattered expression in the cerebellum.

Specimen Mouse 181364 - Image 19417477: postnatal day 57; Rgs2tm1Dgen/Rgs2+ (more )
Structure Level Pattern Image Note
TS28: brainstem Weak 19417477 There is scattered expression in the brainstem.

Specimen Mouse 181364 - Image 19417478: postnatal day 57; Rgs2tm1Dgen/Rgs2+ (more )
Structure Level Pattern Image Note
TS28: brainstem Weak 19417478 There is scattered expression in the brainstem.

Specimen Mouse 181364 - Image 37217868: postnatal day 57; Rgs2tm1Dgen/Rgs2+ (more )
Structure Level Pattern Image Note
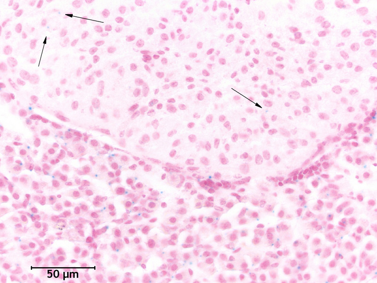
TS28: adenohypophysis pars anterior Trace 37217868 There is scattered expression in the pars distalis.
TS28: adenohypophysis pars intermedia Trace 37217868 There is scattered expression in the pars intermedia.

Specimen Mouse 181364: postnatal day 57; Rgs2tm1Dgen/Rgs2+ (more )
Structure Level Pattern Image Note
TS28: cervix uteri Absent
TS28: ovary Absent
TS28: oviduct Absent
TS28: uterus Absent
TS28: vagina Absent
TS28: bone marrow Absent
TS28: thymus Absent
TS28: Harderian gland Absent
TS28: main olfactory bulb Weak Expression is frequently seen in the olfactory bulb.
TS28: spinal cord Absent
TS28: eye Absent
TS28: bladder Absent

Specimen Mouse 181497 - Image 37175428: postnatal day 98; Rgs2tm1Dgen/Rgs2+ (more )
Structure Level Pattern Image Note
TS28: lateral septal complex Moderate Regionally restricted 37175428 There is scattered expression in the lateral septal nucleus.

Specimen Mouse 181497 - Image 37176157: postnatal day 98; Rgs2tm1Dgen/Rgs2+ (more )
Structure Level Pattern Image Note
TS28: thalamus Moderate 37176157 There is scattered expression in the thalamus.

Specimen Mouse 181497 - Image 37178546: postnatal day 98; Rgs2tm1Dgen/Rgs2+ (more )
Structure Level Pattern Image Note
TS28: adenohypophysis pars anterior Moderate 37178546 There is scattered expression in the pars distalis.

Specimen Mouse 181497 - Image 37179203: postnatal day 98; Rgs2tm1Dgen/Rgs2+ (more )
Structure Level Pattern Image Note
TS28: adenohypophysis pars intermedia Weak 37179203 There is occasional staining in the pars intermedia.

Specimen Mouse 181497 - Image 37180329: postnatal day 98; Rgs2tm1Dgen/Rgs2+ (more )
Structure Level Pattern Image Note
TS28: cochlear nucleus Moderate 37180329 There is scattered expression in the cochlear nucleus.

Specimen Mouse 181497 - Image 37180661: postnatal day 98; Rgs2tm1Dgen/Rgs2+ (more )
Structure Level Pattern Image Note
TS28: brainstem Moderate 37180661 There is scattered expression in the brainstem.

Specimen Mouse 181497 - Image 37181116: postnatal day 98; Rgs2tm1Dgen/Rgs2+ (more )
Structure Level Pattern Image Note
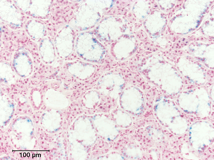
TS28: salivary gland Weak Regionally restricted 37181116 There is scattered expression in the acinar cells.

Specimen Mouse 181497 - Image 37185523: postnatal day 98; Rgs2tm1Dgen/Rgs2+ (more )
Structure Level Pattern Image Note
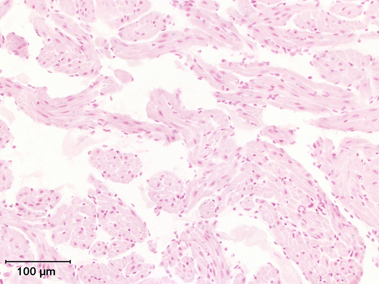
TS28: cardiac muscle tissue Weak 37185523 There is scattered expression in the cardiac myocytes.

Specimen Mouse 181497 - Image 37185538: postnatal day 98; Rgs2tm1Dgen/Rgs2+ (more )
Structure Level Pattern Image Note
TS28: heart atrium Weak 37185538 There is scattered expression in the atrium.

Specimen Mouse 181497 - Image 37186216: postnatal day 98; Rgs2tm1Dgen/Rgs2+ (more )
Structure Level Pattern Image Note
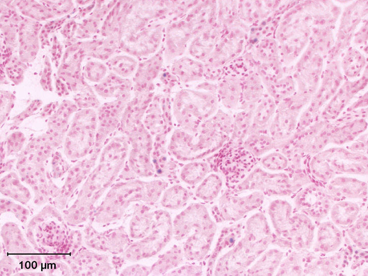
TS28: cortical renal tubule Moderate 37186216 There is scattered expression in the tubule cells.

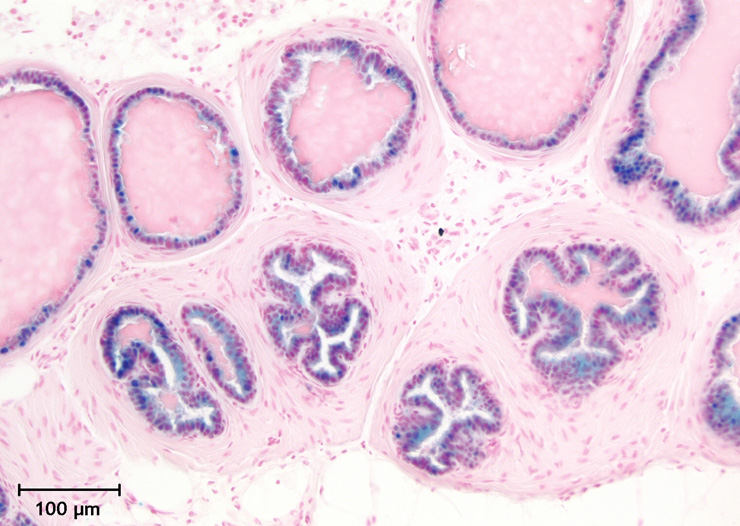
Specimen Mouse 181497 - Image 37195461: postnatal day 98; Rgs2tm1Dgen/Rgs2+ (more )
Structure Level Pattern Image Note
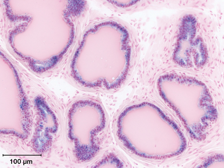
TS28: prostate epithelium Strong 37195461 Expression is frequently seen in the epithelial cells.

Specimen Mouse 181497 - Image 37217280: postnatal day 98; Rgs2tm1Dgen/Rgs2+ (more )
Structure Level Pattern Image Note
TS28: thalamus Moderate 37217280 There is scattered expression in the thalamus.

Specimen Mouse 181497 - Image 37217409: postnatal day 98; Rgs2tm1Dgen/Rgs2+ (more )
Structure Level Pattern Image Note
TS28: larynx submucosa gland Moderate 37217409 Expression is frequently seen in the submucosal glands.

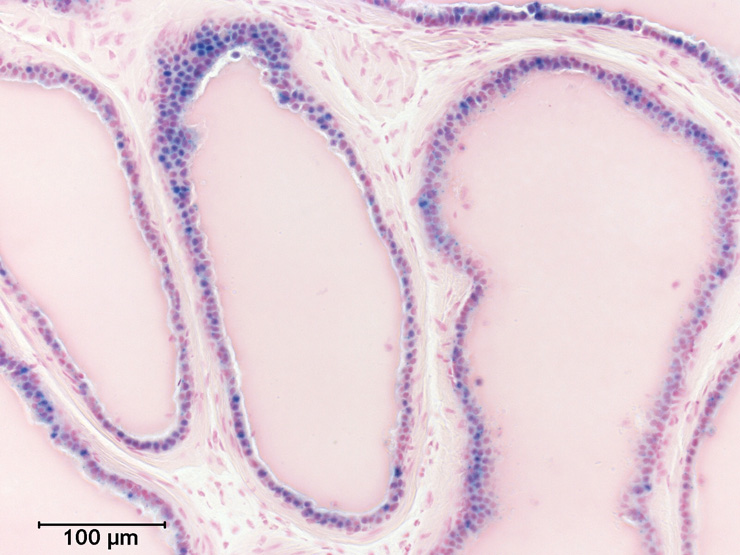
Specimen Mouse 181497 - Image 37217489: postnatal day 98; Rgs2tm1Dgen/Rgs2+ (more )
Structure Level Pattern Image Note
TS28: ampullary gland Strong Regionally restricted 37217489 Expression is frequently seen in the epithelial cells.

Specimen Mouse 181497: postnatal day 98; Rgs2tm1Dgen/Rgs2+ (more )
Structure Level Pattern Image Note
TS28: aorta Absent
TS28: esophagus Absent
TS28: gallbladder Absent
TS28: liver Absent
TS28: pancreas Absent
TS28: pharynx Absent
TS28: tongue Absent
TS28: adrenal gland Absent
TS28: parathyroid gland Absent
TS28: thyroid gland Absent
TS28: bone marrow Absent
TS28: spleen Absent
TS28: lymph node Absent
TS28: thymus Absent
TS28: ear Absent
TS28: skin Absent
TS28: anterior prostate gland Ambiguous There is scattered background staining in the tissue.
TS28: penis Absent
TS28: seminal vesicle Absent
TS28: testis Absent
TS28: skeletal muscle Absent
TS28: cerebellum Absent
TS28: sciatic nerve Absent
TS28: spinal cord Absent
TS28: lung Absent
TS28: trachea Absent
TS28: renal papilla Trace There is occasional staining in the papilla.
TS28: bladder Absent

Specimen Mouse 199961 - Image 37354491: postnatal day 48; Rgs2tm1Dgen/Rgs2+ (more )
Structure Level Pattern Image Note
TS28: heart Trace 37354491 There is scattered expression in the heart.

Specimen Mouse 199961 - Image 37354639: postnatal day 48; Rgs2tm1Dgen/Rgs2+ (more )
Structure Level Pattern Image Note
TS28: heart atrium Weak 37354639 There is scattered expression in the atrium.

Specimen Mouse 199961 - Image 37358006: postnatal day 48; Rgs2tm1Dgen/Rgs2+ (more )
Structure Level Pattern Image Note
TS28: salivary gland Trace Regionally restricted 37358006 There is scattered expression in the acinar cells.

Specimen Mouse 199961 - Image 37358548: postnatal day 48; Rgs2tm1Dgen/Rgs2+ (more )
Structure Level Pattern Image Note
TS28: prostate epithelium Moderate 37358548 There is scattered expression in the epithelial cells.

Specimen Mouse 199961 - Image 37358583: postnatal day 48; Rgs2tm1Dgen/Rgs2+ (more )
Structure Level Pattern Image Note
TS28: ampullary gland Moderate Regionally restricted 37358583 There is scattered expression in the epithelial cells.

Specimen Mouse 199961 - Image 37363749: postnatal day 48; Rgs2tm1Dgen/Rgs2+ (more )
Structure Level Pattern Image Note
TS28: cortical renal tubule Moderate 37363749 There is scattered expression in the tubule cells.

Specimen Mouse 199961 - Image 37365837: postnatal day 48; Rgs2tm1Dgen/Rgs2+ (more )
Structure Level Pattern Image Note
TS28: renal papilla Trace 37365837 There is occasional staining in the papilla.

Specimen Mouse 199961 - Image 37369289: postnatal day 48; Rgs2tm1Dgen/Rgs2+ (more )
Structure Level Pattern Image Note
TS28: larynx submucosa gland Weak Regionally restricted 37369289 There is scattered expression in the acinar cells.

Specimen Mouse 199961 - Image 37376033: postnatal day 48; Rgs2tm1Dgen/Rgs2+ (more )
Structure Level Pattern Image Note
TS28: adenohypophysis pars anterior Weak 37376033 Expression is frequently seen in the pars distalis.

Specimen Mouse 199961 - Image 37382963: postnatal day 48; Rgs2tm1Dgen/Rgs2+ (more )
Structure Level Pattern Image Note
TS28: lateral septal complex Trace Regionally restricted 37382963 There is scattered expression in the lateral septal nucleus.

Specimen Mouse 199961: postnatal day 48; Rgs2tm1Dgen/Rgs2+ (more )
Structure Level Pattern Image Note
TS28: aorta Absent
TS28: esophagus Absent
TS28: gallbladder Absent
TS28: liver Absent
TS28: pancreas Absent
TS28: tongue Absent
TS28: adrenal gland Absent
TS28: parathyroid gland Absent
TS28: thyroid gland Absent
TS28: bone marrow Absent
TS28: spleen Absent
TS28: lymph node Absent
TS28: thymus Absent
TS28: ear Absent
TS28: skin Absent
TS28: anterior prostate gland Absent
TS28: penis Absent
TS28: seminal vesicle Absent
TS28: testis Absent
TS28: skeletal muscle Absent
TS28: cerebellum Absent
TS28: thalamus Trace There is scattered expression in the thalamus.
TS28: brainstem Absent
TS28: sciatic nerve Absent
TS28: spinal cord Absent
TS28: lung Absent
TS28: trachea Absent
TS28: bladder Absent


Contributing Projects:
Mouse Genome Database (MGD), Gene Expression Database (GXD), Mouse Models of Human Cancer database (MMHCdb) (formerly Mouse Tumor Biology (MTB)), Gene Ontology (GO)
Citing These Resources
Funding Information
Warranty Disclaimer, Privacy Notice, Licensing, & Copyright
Send questions and comments to User Support.
last database update
03/24/2026
MGI 6.24
The Jackson Laboratory