About   Help   FAQ
Gene Expression Data
Assay Details
Assay
Reference: J:101679 Deltagen Inc, NIH initiative supporting placement of Deltagen, Inc. mice into public repositories. MGI Direct Data Submission. 2005;
Assay type: In situ reporter (knock in)
MGI Accession ID: MGI:3639165
Gene symbol: Rgs5
Gene name: regulator of G-protein signaling 5
Reporter: lacZ
Direct Detection
Results
Specimen Mouse 213161 - Image 90571302: postnatal day 69; Rgs5tm1Dgen/Rgs5+ (more )
Structure Level Pattern Image Note
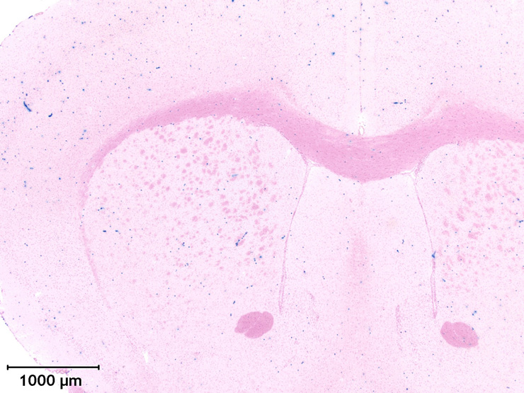
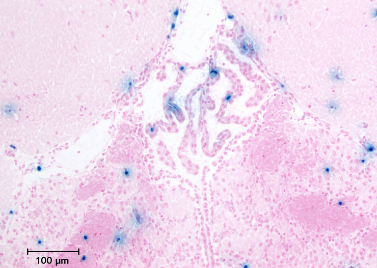
TS28: telencephalon Very strong Regionally restricted 90571302 There is scattered expression in the choroid plexus of the cerebrum.
TS28: choroid plexus Very strong Regionally restricted 90571302 There is scattered expression in the choroid plexus of the cerebrum.

Specimen Mouse 213161 - Image 90571608: postnatal day 69; Rgs5tm1Dgen/Rgs5+ (more )
Structure Level Pattern Image Note
TS28: telencephalon Very strong Regionally restricted 90571608 Expression is frequently seen in the blood vessels of the cerebrum.
TS28: blood vessel Very strong Regionally restricted 90571608 Expression is frequently seen in the blood vessels of the cerebrum.
TS28: cerebral cortex Very strong 90571608 There is scattered expression in the cortex.

Specimen Mouse 213161 - Image 91175677: postnatal day 69; Rgs5tm1Dgen/Rgs5+ (more )
Structure Level Pattern Image Note
TS28: cerebellum Very strong 91175677 There is scattered expression in the cerebellum.

Specimen Mouse 213161 - Image 91177741: postnatal day 69; Rgs5tm1Dgen/Rgs5+ (more )
Structure Level Pattern Image Note
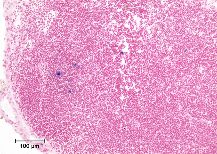
TS28: lymph node Very strong 91177741 There is scattered expression in the lymph nodes.

Specimen Mouse 213161 - Image 91178700: postnatal day 69; Rgs5tm1Dgen/Rgs5+ (more )
Structure Level Pattern Image Note
TS28: adrenal gland Very strong 91178700 There is scattered expression in the adrenal gland.

Specimen Mouse 213161 - Image 91178705: postnatal day 69; Rgs5tm1Dgen/Rgs5+ (more )
Structure Level Pattern Image Note
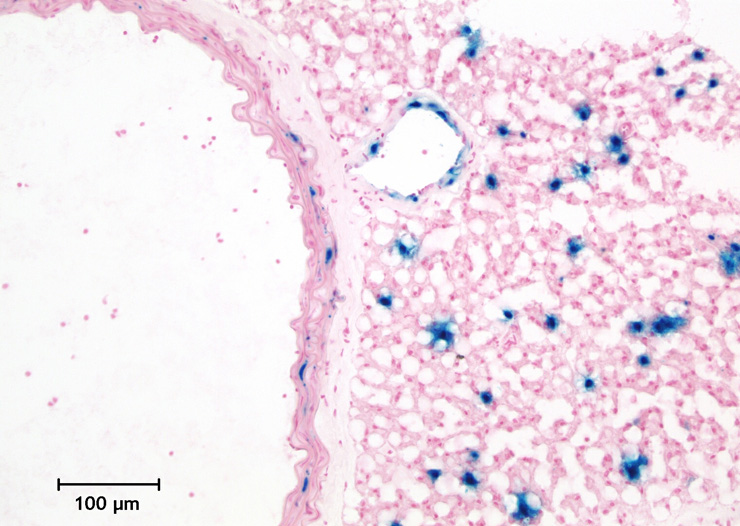
TS28: aorta Very strong 91178705 Expression is frequently seen in the aorta and in adipose tissue of the aorta.
TS28: adipose tissue Very strong Regionally restricted 91178705 Expression is frequently seen in adipose tissue of the aorta.

Specimen Mouse 213161 - Image 91179215: postnatal day 69; Rgs5tm1Dgen/Rgs5+ (more )
Structure Level Pattern Image Note
TS28: pancreas Very strong 91179215 There is scattered expression in the pancreas. In addition, expression is frequently seen in the blood vessels of the pancreas.
TS28: blood vessel Very strong Regionally restricted 91179215 Expression is frequently seen in the blood vessels of the pancreas.

Specimen Mouse 213161 - Image 91179294: postnatal day 69; Rgs5tm1Dgen/Rgs5+ (more )
Structure Level Pattern Image Note
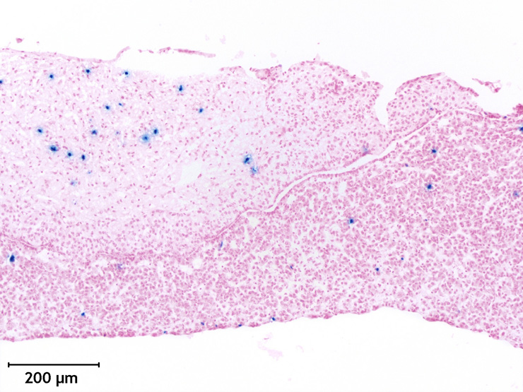
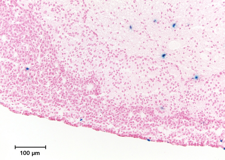
TS28: spleen Very strong 91179294 There is scattered expression in the spleen.

Specimen Mouse 213161 - Image 91182225: postnatal day 69; Rgs5tm1Dgen/Rgs5+ (more )
Structure Level Pattern Image Note
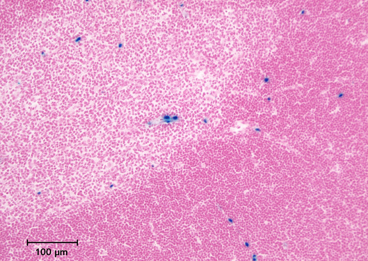
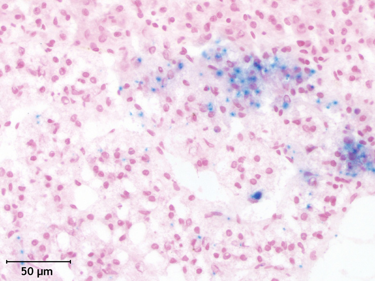
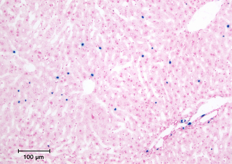
TS28: liver Very strong 91182225 There is scattered expression in the liver. In addition, expression is frequently seen in the blood vessels of the liver.
TS28: blood vessel Very strong Regionally restricted 91182225 Expression is frequently seen in the blood vessels of the liver.

Specimen Mouse 213161 - Image 91186076: postnatal day 69; Rgs5tm1Dgen/Rgs5+ (more )
Structure Level Pattern Image Note
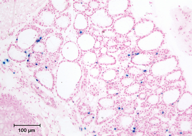
TS28: thyroid gland Very strong 91186076 There is scattered expression in the thyroid gland.

Specimen Mouse 213161 - Image 91188771: postnatal day 69; Rgs5tm1Dgen/Rgs5+ (more )
Structure Level Pattern Image Note
TS28: sciatic nerve Very strong 91188771 There is scattered expression in the sciatic nerve.

Specimen Mouse 213161 - Image 91189096: postnatal day 69; Rgs5tm1Dgen/Rgs5+ (more )
Structure Level Pattern Image Note
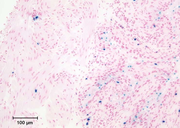
TS28: skeletal muscle Very strong 91189096 There is scattered expression in the skeletal muscle.

Specimen Mouse 213161 - Image 91191472: postnatal day 69; Rgs5tm1Dgen/Rgs5+ (more )
Structure Level Pattern Image Note
TS28: interstitium of the testis Very strong 91191472 There is scattered expression in the interstitium.

Specimen Mouse 213161 - Image 91316682: postnatal day 69; Rgs5tm1Dgen/Rgs5+ (more )
Structure Level Pattern Image Note
TS28: bladder Very strong 91316682 There is scattered expression in the urinary bladder.

Specimen Mouse 213161 - Image 91316686: postnatal day 69; Rgs5tm1Dgen/Rgs5+ (more )
Structure Level Pattern Image Note
TS28: thymus Very strong 91316686 There is scattered expression in the thymus.

Specimen Mouse 213161 - Image 99184953: postnatal day 69; Rgs5tm1Dgen/Rgs5+ (more )
Structure Level Pattern Image Note
TS28: telencephalon Very strong 99184953 There is scattered expression in the cerebrum.

Specimen Mouse 213161 - Image 99184955: postnatal day 69; Rgs5tm1Dgen/Rgs5+ (more )
Structure Level Pattern Image Note
TS28: telencephalon Very strong 99184955 There is scattered expression in the cerebrum.

Specimen Mouse 213161 - Image 99184963: postnatal day 69; Rgs5tm1Dgen/Rgs5+ (more )
Structure Level Pattern Image Note
TS28: telencephalon Very strong 99184963 There is scattered expression in the cerebrum.

Specimen Mouse 213161 - Image 99184966: postnatal day 69; Rgs5tm1Dgen/Rgs5+ (more )
Structure Level Pattern Image Note
TS28: hippocampus Very strong 99184966 There is scattered expression in the hippocampus.

Specimen Mouse 213161 - Image 99184967: postnatal day 69; Rgs5tm1Dgen/Rgs5+ (more )
Structure Level Pattern Image Note
TS28: thalamus Strong 99184967 Expression is frequently seen in the thalamus.

Specimen Mouse 213161 - Image 99184969: postnatal day 69; Rgs5tm1Dgen/Rgs5+ (more )
Structure Level Pattern Image Note
TS28: amygdala Very strong 99184969 There is scattered expression in the amygdala.

Specimen Mouse 213161 - Image 99184973: postnatal day 69; Rgs5tm1Dgen/Rgs5+ (more )
Structure Level Pattern Image Note
TS28: cerebellum Very strong 99184973 There is scattered expression in the cerebellum.

Specimen Mouse 213161 - Image 99184980: postnatal day 69; Rgs5tm1Dgen/Rgs5+ (more )
Structure Level Pattern Image Note
TS28: brainstem Very strong 99184980 There is scattered expression in the brainstem.

Specimen Mouse 213161 - Image 99184985: postnatal day 69; Rgs5tm1Dgen/Rgs5+ (more )
Structure Level Pattern Image Note
TS28: spinal cord Very strong 99184985 There is scattered expression in the spinal cord.

Specimen Mouse 213161 - Image 99184988: postnatal day 69; Rgs5tm1Dgen/Rgs5+ (more )
Structure Level Pattern Image Note
TS28: pituitary gland Very strong 99184988 There is scattered expression in the pituitary gland.

Specimen Mouse 213161 - Image 99185000: postnatal day 69; Rgs5tm1Dgen/Rgs5+ (more )
Structure Level Pattern Image Note
TS28: adrenal medulla Very strong 99185000 There is scattered expression in the medulla.

Specimen Mouse 213161 - Image 99185011: postnatal day 69; Rgs5tm1Dgen/Rgs5+ (more )
Structure Level Pattern Image Note
TS28: heart Very strong 99185011 There is scattered expression in the heart.

Specimen Mouse 213161 - Image 99185014: postnatal day 69; Rgs5tm1Dgen/Rgs5+ (more )
Structure Level Pattern Image Note
TS28: lung Very strong 99185014 Expression is frequently seen in the lung.

Specimen Mouse 213161: postnatal day 69; Rgs5tm1Dgen/Rgs5+ (more )
Structure Level Pattern Image Note
TS28: heart Very strong Regionally restricted Expression is frequently seen in the blood vessels of the heart.
TS28: blood vessel Very strong Regionally restricted Expression is frequently seen in the blood vessels of the heart, thymus, spleen, skin, testis, skeletal muscle, urinary bladder, prostate, cerebellum, brainstem, spinal cord, lung, kidney, and lymph nodes.
TS28: bone marrow Absent
TS28: spleen Very strong Regionally restricted Expression is frequently seen in the blood vessels of the spleen.
TS28: lymph node Very strong Regionally restricted Expression is frequently seen in the blood vessels of the lymph node.
TS28: thymus Very strong Regionally restricted Expression is frequently seen in the blood vessels of the thymus.
TS28: skin Very strong There is scattered expression in the skin. In addition, expression is frequently seen in the blood vessels of the skin.
TS28: prostate gland Very strong There is scattered expression in the prostate gland. In addition, expression is frequently seen in the blood vessels of the prostate gland.
TS28: testis Very strong Regionally restricted Expression is frequently seen in the blood vessels of the testis.
TS28: skeletal muscle Very strong Regionally restricted Expression is frequently seen in the blood vessels of the skeletal muscle.
TS28: cerebellum Very strong Regionally restricted Expression is frequently seen in the blood vessels of the cerebellum.
TS28: 4th ventricle choroid plexus Very strong There is scattered expression in the choroid plexus.
TS28: brainstem Very strong Regionally restricted Expression is frequently seen in the blood vessels of the brainstem.
TS28: spinal cord Very strong Regionally restricted There is scattered expression in the blood vessels of the spinal cord.
TS28: lung Very strong Regionally restricted Expression is frequently seen in the blood vessels of the lung.
TS28: metanephros Very strong There is scattered expression in the kidney. In addition, expression is frequently seen in the blood vessels of the kidney.
TS28: bladder Very strong Regionally restricted Expression is frequently seen in the blood vessels of the urinary bladder.

Specimen Mouse 216209 - Image 99185060: postnatal day 69; Rgs5tm1Dgen/Rgs5+ (more )
Structure Level Pattern Image Note
TS28: brain Strong 99185060 There is scattered expression in the brain.
TS28: telencephalon Strong 99185060 There is scattered expression in the cerebrum.

Specimen Mouse 216209 - Image 99185063: postnatal day 69; Rgs5tm1Dgen/Rgs5+ (more )
Structure Level Pattern Image Note
TS28: cerebellum Strong 99185063 There is scattered expression in the cerebellum.

Specimen Mouse 216209 - Image 99185068: postnatal day 69; Rgs5tm1Dgen/Rgs5+ (more )
Structure Level Pattern Image Note
TS28: brainstem Strong 99185068 There is scattered expression in the brainstem.

Specimen Mouse 216211 - Image 91323724: postnatal day 62; Rgs5tm1Dgen/Rgs5+ (more )
Structure Level Pattern Image Note
TS28: pituitary gland Very strong 91323724 There is scattered expression in the pituitary gland.

Specimen Mouse 216211 - Image 91329201: postnatal day 62; Rgs5tm1Dgen/Rgs5+ (more )
Structure Level Pattern Image Note
TS28: bladder Very strong 91329201 There is scattered expression in the urinary bladder.

Specimen Mouse 216211 - Image 91330962: postnatal day 62; Rgs5tm1Dgen/Rgs5+ (more )
Structure Level Pattern Image Note
TS28: thymus Very strong 91330962 There is scattered expression in the thymus. In addition, expression is frequently seen in the blood vessels of the thymus.
TS28: blood vessel Very strong Regionally restricted 91330962 Expression is frequently seen in the blood vessels of the thymus.

Specimen Mouse 216211 - Image 99185058: postnatal day 62; Rgs5tm1Dgen/Rgs5+ (more )
Structure Level Pattern Image Note
TS28: uterus Strong 99185058 There is scattered expression in the uterus.

Specimen Mouse 216211: postnatal day 62; Rgs5tm1Dgen/Rgs5+ (more )
Structure Level Pattern Image Note
TS28: ovary Very strong There is scattered expression in the ovary. In addition, expression is frequently seen in the blood vessels of the ovary.
TS28: blood vessel Present Regionally restricted Very strong expression is frequently seen in the blood vessels of the ovary, urinary bladder, and spinal cord; strong expression is frequently seen in the blood vessels of the uterus.
TS28: uterus Strong Regionally restricted Expression is frequently seen in the blood vessels of the uterus.
TS28: bone marrow Absent
TS28: brain Strong There is scattered expression in the brain.
TS28: cerebellum Strong There is scattered expression in the cerebellum.
TS28: telencephalon Strong There is scattered expression in the cerebrum.
TS28: brainstem Strong There is scattered expression in the brainstem.
TS28: spinal cord Very strong There is scattered expression in the spinal cord. In addition, expression is frequently seen in the blood vessels of the spinal cord.
TS28: ciliary body Very strong There is scattered expression in the ciliary body.
TS28: extrinsic ocular muscle Very strong There is scattered expression in the extraocular muscles.
TS28: iris Very strong There is scattered expression in the iris.
TS28: optic nerve Strong There is scattered expression in the optic nerve.
TS28: pigmented retinal epithelium Very strong There is scattered expression in the pigment layer.
TS28: retina Very strong There is scattered expression in the retina.
TS28: bladder Very strong Regionally restricted Expression is frequently seen in the blood vessels of the urinary bladder.


Contributing Projects:
Mouse Genome Database (MGD), Gene Expression Database (GXD), Mouse Models of Human Cancer database (MMHCdb) (formerly Mouse Tumor Biology (MTB)), Gene Ontology (GO)
Citing These Resources
Funding Information
Warranty Disclaimer, Privacy Notice, Licensing, & Copyright
Send questions and comments to User Support.
last database update
03/24/2026
MGI 6.24
The Jackson Laboratory