About   Help   FAQ
Gene Expression Data
Assay Details
Assay
Reference: J:101679 Deltagen Inc, NIH initiative supporting placement of Deltagen, Inc. mice into public repositories. MGI Direct Data Submission. 2005;
Assay type: In situ reporter (knock in)
MGI Accession ID: MGI:3639160
Gene symbol: Gpr3
Gene name: G-protein coupled receptor 3
Reporter: lacZ
Direct Detection
Results
Specimen Mouse 180263 - Image 37357318: postnatal day 51; Gpr3tm1Dgen/Gpr3+ (more )
Structure Level Pattern Image Note
TS28: telencephalon Strong 37357318 There is scattered expression in the cerebrum.

Specimen Mouse 180263 - Image 37358007: postnatal day 51; Gpr3tm1Dgen/Gpr3+ (more )
Structure Level Pattern Image Note
TS28: telencephalon Strong 37358007 There is scattered expression in the cerebrum.

Specimen Mouse 180263 - Image 37375449: postnatal day 51; Gpr3tm1Dgen/Gpr3+ (more )
Structure Level Pattern Image Note
TS28: habenula Very strong 37375449 Expression is frequently seen in the habenular nuclei.

Specimen Mouse 180263 - Image 37376505: postnatal day 51; Gpr3tm1Dgen/Gpr3+ (more )
Structure Level Pattern Image Note
TS28: dentate gyrus Very strong 37376505 There is scattered expression in the dentate gyrus.
TS28: hippocampus Very strong 37376505 There is scattered expression in the hippocampus.
TS28: cortical layer III Strong 37376505 Expression is frequently seen in the pyramidial cell layer.

Specimen Mouse 180263 - Image 37378467: postnatal day 51; Gpr3tm1Dgen/Gpr3+ (more )
Structure Level Pattern Image Note
TS28: thalamus Very strong 37378467 Expression is frequently seen in the thalamus.

Specimen Mouse 180263 - Image 37381634: postnatal day 51; Gpr3tm1Dgen/Gpr3+ (more )
Structure Level Pattern Image Note
TS28: amygdala Moderate 37381634 There is scattered expression in the amygdala.

Specimen Mouse 180263 - Image 37386577: postnatal day 51; Gpr3tm1Dgen/Gpr3+ (more )
Structure Level Pattern Image Note
TS28: caudate-putamen Very strong 37386577 There is scattered expression in the caudate-putamen.

Specimen Mouse 180263 - Image 37396163: postnatal day 51; Gpr3tm1Dgen/Gpr3+ (more )
Structure Level Pattern Image Note
TS28: telencephalon Moderate Regionally restricted 37396163 Expression is frequently seen in the indusium griseum.

Specimen Mouse 180263 - Image 37777043: postnatal day 51; Gpr3tm1Dgen/Gpr3+ (more )
Structure Level Pattern Image Note
TS28: cerebellum granule cell layer Moderate 37777043 There is occasional staining in the granule layer.

Specimen Mouse 180263 - Image 37777054: postnatal day 51; Gpr3tm1Dgen/Gpr3+ (more )
Structure Level Pattern Image Note
TS28: cerebellum molecular layer Weak 37777054 There is occasional staining in the molecular layer.

Specimen Mouse 180263 - Image 37777125: postnatal day 51; Gpr3tm1Dgen/Gpr3+ (more )
Structure Level Pattern Image Note
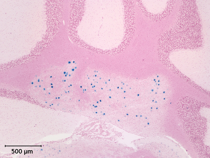
TS28: deep cerebellar nucleus Very strong 37777125 Expression is present in practically all cells of the cerebellar nucleus.

Specimen Mouse 180263 - Image 37777167: postnatal day 51; Gpr3tm1Dgen/Gpr3+ (more )
Structure Level Pattern Image Note
TS28: brainstem Very strong 37777167 There is scattered expression in the brainstem.

Specimen Mouse 180263 - Image 37777199: postnatal day 51; Gpr3tm1Dgen/Gpr3+ (more )
Structure Level Pattern Image Note
TS28: brainstem Very strong 37777199 There is scattered expression in the brainstem.

Specimen Mouse 180263 - Image 37777202: postnatal day 51; Gpr3tm1Dgen/Gpr3+ (more )
Structure Level Pattern Image Note
TS28: spinal cord gray matter Very strong 37777202 Expression is frequently seen in the grey matter.

Specimen Mouse 180263 - Image 37781136: postnatal day 51; Gpr3tm1Dgen/Gpr3+ (more )
Structure Level Pattern Image Note
TS28: germ cell of testis Moderate 37781136 There is scattered expression in the spermatogenic cells.

Specimen Mouse 180263: postnatal day 51; Gpr3tm1Dgen/Gpr3+ (more )
Structure Level Pattern Image Note
TS28: aorta Absent
TS28: heart Absent
TS28: esophagus Absent
TS28: gallbladder Absent
TS28: liver Absent
TS28: pancreas Absent
TS28: pharynx Absent
TS28: salivary gland Absent
TS28: tongue Absent
TS28: adrenal gland Absent
TS28: parathyroid gland Absent
TS28: pituitary gland Absent
TS28: thyroid gland Absent
TS28: bone marrow Absent
TS28: spleen Absent
TS28: lymph node Absent
TS28: thymus Absent
TS28: ear Absent
TS28: skin Absent
TS28: ampullary gland Absent
TS28: anterior prostate gland Absent
TS28: penis Absent
TS28: prostate gland Absent
TS28: seminal vesicle Absent
TS28: skeletal muscle Absent
TS28: cerebral cortex Very strong There is scattered expression in the cortex.
TS28: sciatic nerve Absent
TS28: spinal cord dorsal horn Very strong There is occasional staining in the dorsal horns.
TS28: spinal cord ventral horn Very strong Regionally restricted Expression is frequently seen in the motor neurons.
TS28: larynx Absent
TS28: lung Absent
TS28: trachea Absent
TS28: metanephros Absent
TS28: bladder Absent

Specimen Mouse 198835 - Image 36706003: postnatal day 51; Gpr3tm1Dgen/Gpr3+ (more )
Structure Level Pattern Image Note
TS28: brain Moderate 36706003 There is scattered expression in the brain.

Specimen Mouse 198835 - Image 36706100: postnatal day 51; Gpr3tm1Dgen/Gpr3+ (more )
Structure Level Pattern Image Note
TS28: brain Moderate 36706100 There is scattered expression in the brain.

Specimen Mouse 198835 - Image 36706449: postnatal day 51; Gpr3tm1Dgen/Gpr3+ (more )
Structure Level Pattern Image Note
TS28: cerebellum Moderate 36706449 There is scattered expression in the cerebellum.

Specimen Mouse 198835 - Image 36706562: postnatal day 51; Gpr3tm1Dgen/Gpr3+ (more )
Structure Level Pattern Image Note
TS28: cerebellum Moderate 36706562 There is scattered expression in the cerebellum.

Specimen Mouse 198835 - Image 36706567: postnatal day 51; Gpr3tm1Dgen/Gpr3+ (more )
Structure Level Pattern Image Note
TS28: brainstem Strong 36706567 There is scattered expression in the brainstem.

Specimen Mouse 198835 - Image 36706990: postnatal day 51; Gpr3tm1Dgen/Gpr3+ (more )
Structure Level Pattern Image Note
TS28: brainstem Strong 36706990 There is scattered expression in the brainstem.

Specimen Mouse 198835 - Image 37777546: postnatal day 51; Gpr3tm1Dgen/Gpr3+ (more )
Structure Level Pattern Image Note
TS28: spinal cord gray matter Very strong 37777546 Expression is frequently seen in the grey matter.

Specimen Mouse 198835 - Image 37777562: postnatal day 51; Gpr3tm1Dgen/Gpr3+ (more )
Structure Level Pattern Image Note
TS28: spinal cord ventral horn Very strong Regionally restricted 37777562 Expression is frequently seen in the motor neurons.

Specimen Mouse 198835 - Image 37777573: postnatal day 51; Gpr3tm1Dgen/Gpr3+ (more )
Structure Level Pattern Image Note
TS28: spinal cord dorsal horn Moderate 37777573 There is occasional staining in the dorsal horns.

Specimen Mouse 198835 - Image 37777668: postnatal day 51; Gpr3tm1Dgen/Gpr3+ (more )
Structure Level Pattern Image Note
TS28: retina ganglion cell layer Moderate 37777668 There is scattered expression in the ganglion cell layer.
TS28: retina inner nuclear layer Moderate 37777668 There is scattered expression in the inner nuclear layer.

Specimen Mouse 198835: postnatal day 51; Gpr3tm1Dgen/Gpr3+ (more )
Structure Level Pattern Image Note
TS28: pituitary gland Absent
TS28: cervix uteri Absent
TS28: ovary Absent
TS28: oviduct Absent
TS28: uterus Absent
TS28: vagina Absent
TS28: bone marrow Absent
TS28: thymus Absent
TS28: Harderian gland Absent
TS28: bladder Absent

Specimen Mouse 198837 - Image 40837191: postnatal day 64; Gpr3tm1Dgen/Gpr3+ (more )
Structure Level Pattern Image Note
TS28: cortical layer III Strong 40837191 Expression is frequently seen in the pyramidial cell layer.

Specimen Mouse 198837 - Image 40837373: postnatal day 64; Gpr3tm1Dgen/Gpr3+ (more )
Structure Level Pattern Image Note
TS28: caudate-putamen Strong 40837373 There is scattered expression in the caudate-putamen.

Specimen Mouse 198837 - Image 40837436: postnatal day 64; Gpr3tm1Dgen/Gpr3+ (more )
Structure Level Pattern Image Note
TS28: cerebellum Very strong 40837436 Expression is frequently seen in the cerebellum.

Specimen Mouse 198837 - Image 40837464: postnatal day 64; Gpr3tm1Dgen/Gpr3+ (more )
Structure Level Pattern Image Note
TS28: brainstem Very strong 40837464 Expression is frequently seen in the brainstem.

Specimen Mouse 198837 - Image 40837602: postnatal day 64; Gpr3tm1Dgen/Gpr3+ (more )
Structure Level Pattern Image Note
TS28: brainstem Very strong Regionally restricted 40837602 Expression is frequently seen in the vestibular nucleus.

Specimen Mouse 198837 - Image 40837603: postnatal day 64; Gpr3tm1Dgen/Gpr3+ (more )
Structure Level Pattern Image Note
TS28: pons Very strong 40837603 Expression is frequently seen in the pons.

Specimen Mouse 198837 - Image 40837604: postnatal day 64; Gpr3tm1Dgen/Gpr3+ (more )
Structure Level Pattern Image Note
TS28: cochlear nucleus Very strong 40837604 Expression is frequently seen in the cochlear nucleus.

Specimen Mouse 198837 - Image 40837609: postnatal day 64; Gpr3tm1Dgen/Gpr3+ (more )
Structure Level Pattern Image Note
TS28: cerebellum granule cell layer Moderate 40837609 There is occasional staining in the granule layer.

Specimen Mouse 198837 - Image 40837673: postnatal day 64; Gpr3tm1Dgen/Gpr3+ (more )
Structure Level Pattern Image Note
TS28: spinal cord Very strong 40837673 Expression is frequently seen in the spinal cord.

Specimen Mouse 198837 - Image 40837697: postnatal day 64; Gpr3tm1Dgen/Gpr3+ (more )
Structure Level Pattern Image Note
TS28: spinal cord ventral horn Very strong Regionally restricted 40837697 Expression is frequently seen in the motor neurons.

Specimen Mouse 198837: postnatal day 64; Gpr3tm1Dgen/Gpr3+ (more )
Structure Level Pattern Image Note
TS28: aorta Absent
TS28: adrenal gland Absent
TS28: pituitary gland Absent
TS28: deep cerebellar nucleus Very strong Expression is present in practically all cells of the cerebellar nucleus.
TS28: cerebellum molecular layer Weak There is occasional staining in the molecular layer.
TS28: cerebral cortex Weak Expression is frequently seen in the cortex.
TS28: habenula Moderate Expression is frequently seen in the habenular nuclei.
TS28: hippocampus Moderate Expression is frequently seen in the hippocampus.
TS28: thalamus Strong There is scattered expression in the thalamus.
TS28: spinal cord dorsal horn Moderate There is scattered expression in the dorsal horns.


Contributing Projects:
Mouse Genome Database (MGD), Gene Expression Database (GXD), Mouse Models of Human Cancer database (MMHCdb) (formerly Mouse Tumor Biology (MTB)), Gene Ontology (GO)
Citing These Resources
Funding Information
Warranty Disclaimer, Privacy Notice, Licensing, & Copyright
Send questions and comments to User Support.
last database update
03/24/2026
MGI 6.24
The Jackson Laboratory