About   Help   FAQ
Gene Expression Data
Assay Details
Assay
Reference: J:101679 Deltagen Inc, NIH initiative supporting placement of Deltagen, Inc. mice into public repositories. MGI Direct Data Submission. 2005;
Assay type: In situ reporter (knock in)
MGI Accession ID: MGI:3639157
Gene symbol: Efemp2
Gene name: epidermal growth factor-containing fibulin-like extracellular matrix protein 2
Reporter: lacZ
Direct Detection
Results
Specimen Mouse 139131 - Image 11547931: postnatal day 52; Efemp2tm1Dgen/Efemp2+ (more )
Structure Level Pattern Image Note
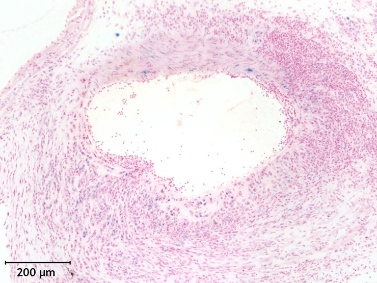
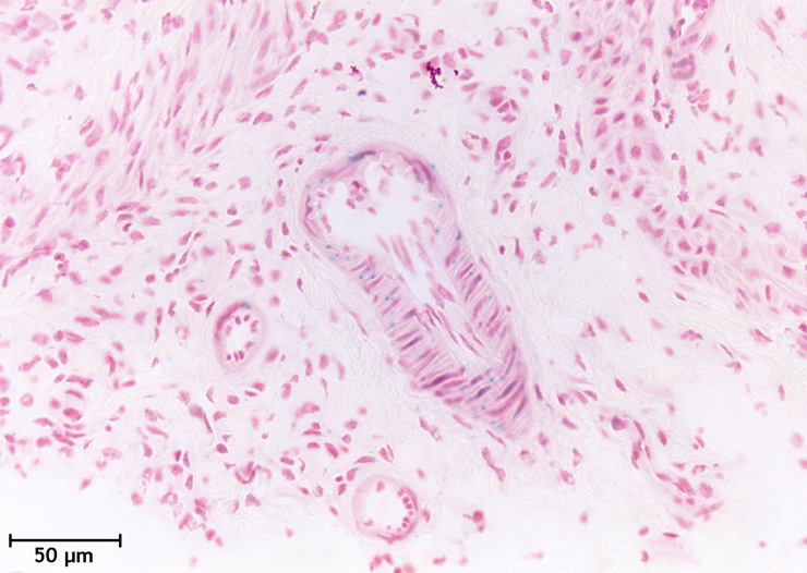
TS28: spinal cord Moderate Regionally restricted 11547931 Expression is frequently seen in the smooth muscle cells of the blood vessels of the spinal cord.
TS28: blood vessel smooth muscle Moderate Regionally restricted 11547931 Expression is frequently seen in the smooth muscle cells of the blood vessels of the spinal cord.

Specimen Mouse 139131 - Image 11547933: postnatal day 52; Efemp2tm1Dgen/Efemp2+ (more )
Structure Level Pattern Image Note
TS28: neurohypophysis pars nervosa Moderate 11547933 There is scattered expression in the pars nervosa.

Specimen Mouse 139131 - Image 11547990: postnatal day 52; Efemp2tm1Dgen/Efemp2+ (more )
Structure Level Pattern Image Note
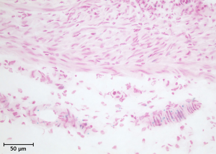
TS28: spinal cord white matter Moderate 11547990 There is occasional staining in the white matter.

Specimen Mouse 139131 - Image 11547992: postnatal day 52; Efemp2tm1Dgen/Efemp2+ (more )
Structure Level Pattern Image Note
TS28: spinal cord dorsal horn Weak 11547992 There is occasional staining in the dorsal horns.

Specimen Mouse 139131 - Image 11560618: postnatal day 52; Efemp2tm1Dgen/Efemp2+ (more )
Structure Level Pattern Image Note
TS28: ovary theca Trace 11560618 There is scattered expression in the theca.

Specimen Mouse 139131 - Image 11560619: postnatal day 52; Efemp2tm1Dgen/Efemp2+ (more )
Structure Level Pattern Image Note
TS28: muscle layer of oviduct Weak 11560619 There is scattered expression in the smooth muscle cells.

Specimen Mouse 139131 - Image 11560620: postnatal day 52; Efemp2tm1Dgen/Efemp2+ (more )
Structure Level Pattern Image Note
TS28: ovary follicle Trace Regionally restricted 11560620 There is scattered expression in the corpus luteum.

Specimen Mouse 139131 - Image 11560621: postnatal day 52; Efemp2tm1Dgen/Efemp2+ (more )
Structure Level Pattern Image Note
TS28: oviduct Weak Regionally restricted 11560621 Expression is frequently seen in the blood vessels of the oviduct.
TS28: blood vessel Weak Regionally restricted 11560621 Expression is frequently seen in the blood vessels of the oviduct.

Specimen Mouse 139131 - Image 11594855: postnatal day 52; Efemp2tm1Dgen/Efemp2+ (more )
Structure Level Pattern Image Note
TS28: myometrium Weak 11594855 There is scattered expression in the myocytes.

Specimen Mouse 139131 - Image 11637359: postnatal day 52; Efemp2tm1Dgen/Efemp2+ (more )
Structure Level Pattern Image Note
TS28: vagina Trace 11637359 There is occasional staining in the vagina.

Specimen Mouse 139131 - Image 11637384: postnatal day 52; Efemp2tm1Dgen/Efemp2+ (more )
Structure Level Pattern Image Note
TS28: cervix uteri Trace Regionally restricted 11637384 There is scattered expression in the myocytes.

Specimen Mouse 139131 - Image 11637409: postnatal day 52; Efemp2tm1Dgen/Efemp2+ (more )
Structure Level Pattern Image Note
TS28: lamina propria of bladder Moderate 11637409 Expression is frequently seen in the smooth muscle cells.

Specimen Mouse 139131 - Image 11637434: postnatal day 52; Efemp2tm1Dgen/Efemp2+ (more )
Structure Level Pattern Image Note
TS28: uvea Trace 11637434 There is scattered expression in the uvea.

Specimen Mouse 139131 - Image 11637459: postnatal day 52; Efemp2tm1Dgen/Efemp2+ (more )
Structure Level Pattern Image Note
TS28: Harderian gland Moderate Regionally restricted 11637459 Expression is frequently seen in the smooth muscle cells of the blood vessels of the harderian gland.
TS28: blood vessel smooth muscle Moderate Regionally restricted 11637459 Expression is frequently seen in the smooth muscle cells of the blood vessels of the harderian gland.

Specimen Mouse 139131 - Image 11637743: postnatal day 52; Efemp2tm1Dgen/Efemp2+ (more )
Structure Level Pattern Image Note
TS28: vagina Moderate Regionally restricted 11637743 Expression is frequently seen in the blood vessels of the vagina.
TS28: blood vessel Moderate Regionally restricted 11637743 Expression is frequently seen in the blood vessels of the vagina.

Specimen Mouse 139131 - Image 11637768: postnatal day 52; Efemp2tm1Dgen/Efemp2+ (more )
Structure Level Pattern Image Note
TS28: cervix uteri Weak Regionally restricted 11637768 Expression is frequently seen in the blood vessels of the cervix.
TS28: blood vessel Weak Regionally restricted 11637768 Expression is frequently seen in the blood vessels of the cervix.

Specimen Mouse 139131 - Image 11637793: postnatal day 52; Efemp2tm1Dgen/Efemp2+ (more )
Structure Level Pattern Image Note
TS28: lamina propria of bladder Trace 11637793 There is scattered expression in the lamina propria.

Specimen Mouse 139131 - Image 11637818: postnatal day 52; Efemp2tm1Dgen/Efemp2+ (more )
Structure Level Pattern Image Note
TS28: bladder Moderate Regionally restricted 11637818 Expression is frequently seen in the blood vessels of the urinary bladder.
TS28: blood vessel Moderate Regionally restricted 11637818 Expression is frequently seen in the blood vessels of the urinary bladder.

Specimen Mouse 139131 - Image 11760330: postnatal day 52; Efemp2tm1Dgen/Efemp2+ (more )
Structure Level Pattern Image Note
TS28: telencephalon Trace 11760330 There is scattered expression in the cerebrum.

Specimen Mouse 139131 - Image 11760354: postnatal day 52; Efemp2tm1Dgen/Efemp2+ (more )
Structure Level Pattern Image Note
TS28: telencephalon Trace 11760354 There is scattered expression in the cerebrum.

Specimen Mouse 139131 - Image 11760377: postnatal day 52; Efemp2tm1Dgen/Efemp2+ (more )
Structure Level Pattern Image Note
TS28: cerebellum Trace 11760377 There is scattered expression in the cerebellum.

Specimen Mouse 139131 - Image 11761456: postnatal day 52; Efemp2tm1Dgen/Efemp2+ (more )
Structure Level Pattern Image Note
TS28: cerebellum Trace 11761456 There is scattered expression in the cerebellum.

Specimen Mouse 139131 - Image 11829944: postnatal day 52; Efemp2tm1Dgen/Efemp2+ (more )
Structure Level Pattern Image Note
TS28: telencephalon Trace Regionally restricted 11829944 There is scattered expression in the blood vessels of the cerebrum.
TS28: blood vessel Trace Regionally restricted 11829944 There is scattered expression in the blood vessels of the cerebrum.

Specimen Mouse 139131: postnatal day 52; Efemp2tm1Dgen/Efemp2+ (more )
Structure Level Pattern Image Note
TS28: bone marrow Absent
TS28: thymus Moderate Regionally restricted Expression is frequently seen in the blood vessels of the thymus.
TS28: blood vessel Moderate Regionally restricted Expression is frequently seen in the blood vessels of the thymus.
TS28: brainstem Absent

Specimen Mouse 139145 - Image 11736332: postnatal day 53; Efemp2tm1Dgen/Efemp2+ (more )
Structure Level Pattern Image Note
TS28: telencephalon Moderate Regionally restricted 11736332 Expression is frequently seen in the blood vessels of the cerebrum.
TS28: blood vessel Moderate Regionally restricted 11736332 Expression is frequently seen in the blood vessels of the cerebrum.

Specimen Mouse 139145 - Image 11736334: postnatal day 53; Efemp2tm1Dgen/Efemp2+ (more )
Structure Level Pattern Image Note
TS28: telencephalon Trace 11736334 There is occasional staining in the cerebrum.

Specimen Mouse 139145 - Image 11736336: postnatal day 53; Efemp2tm1Dgen/Efemp2+ (more )
Structure Level Pattern Image Note
TS28: telencephalon Trace Regionally restricted 11736336 There is scattered expression in the choroid plexus of the cerebrum.
TS28: choroid plexus Trace Regionally restricted 11736336 There is scattered expression in the choroid plexus of the cerebrum.

Specimen Mouse 139145 - Image 11736341: postnatal day 53; Efemp2tm1Dgen/Efemp2+ (more )
Structure Level Pattern Image Note
TS28: 4th ventricle choroid plexus Trace 11736341 There is scattered expression in the choroid plexus.

Specimen Mouse 139145 - Image 11736343: postnatal day 53; Efemp2tm1Dgen/Efemp2+ (more )
Structure Level Pattern Image Note
TS28: brainstem Moderate Regionally restricted 11736343 Expression is frequently seen in the blood vessels of the brainstem.
TS28: blood vessel Moderate Regionally restricted 11736343 Expression is frequently seen in the blood vessels of the brainstem.

Specimen Mouse 139145 - Image 11736345: postnatal day 53; Efemp2tm1Dgen/Efemp2+ (more )
Structure Level Pattern Image Note
TS28: spinal cord Moderate Regionally restricted 11736345 Expression is frequently seen in the blood vessels of the spinal cord.
TS28: blood vessel Moderate Regionally restricted 11736345 Expression is frequently seen in the blood vessels of the spinal cord.

Specimen Mouse 139145 - Image 11938897: postnatal day 53; Efemp2tm1Dgen/Efemp2+ (more )
Structure Level Pattern Image Note
TS28: neurohypophysis pars nervosa Strong 11938897 There is scattered expression in the pars nervosa.

Specimen Mouse 139145 - Image 11938898: postnatal day 53; Efemp2tm1Dgen/Efemp2+ (more )
Structure Level Pattern Image Note
TS28: lymph node Moderate Regionally restricted 11938898 Expression is frequently seen in the blood vessels of the lymph node.
TS28: blood vessel Moderate Regionally restricted 11938898 Expression is frequently seen in the blood vessels of the lymph node.

Specimen Mouse 139145 - Image 11938899: postnatal day 53; Efemp2tm1Dgen/Efemp2+ (more )
Structure Level Pattern Image Note
TS28: lymph node Moderate Regionally restricted 11938899 Expression is frequently seen in the blood vessels of the lymph node.
TS28: blood vessel Moderate Regionally restricted 11938899 Expression is frequently seen in the blood vessels of the lymph node.

Specimen Mouse 139145 - Image 11938900: postnatal day 53; Efemp2tm1Dgen/Efemp2+ (more )
Structure Level Pattern Image Note
TS28: salivary gland Moderate Regionally restricted 11938900 Expression is frequently seen in the blood vessels of the salivary gland.
TS28: blood vessel Moderate Regionally restricted 11938900 Expression is frequently seen in the blood vessels of the salivary gland.

Specimen Mouse 139145 - Image 12177416: postnatal day 53; Efemp2tm1Dgen/Efemp2+ (more )
Structure Level Pattern Image Note
TS28: adrenal gland Strong Regionally restricted 12177416 Expression is frequently seen in the capsule.

Specimen Mouse 139145 - Image 12177417: postnatal day 53; Efemp2tm1Dgen/Efemp2+ (more )
Structure Level Pattern Image Note
TS28: adrenal medulla Weak 12177417 There is scattered expression in the medulla.

Specimen Mouse 139145 - Image 12177429: postnatal day 53; Efemp2tm1Dgen/Efemp2+ (more )
Structure Level Pattern Image Note
TS28: aorta Strong Regionally restricted 12177429 Expression is present in practically all cells of the tunica media.

Specimen Mouse 139145 - Image 12177430: postnatal day 53; Efemp2tm1Dgen/Efemp2+ (more )
Structure Level Pattern Image Note
TS28: aorta Strong Regionally restricted 12177430 Expression is present in practically all cells of the tunica media.

Specimen Mouse 139145 - Image 12177431: postnatal day 53; Efemp2tm1Dgen/Efemp2+ (more )
Structure Level Pattern Image Note
TS28: heart Strong Regionally restricted 12177431 Expression is frequently seen in the blood vessels of the heart.
TS28: blood vessel Strong Regionally restricted 12177431 Expression is frequently seen in the blood vessels of the heart.

Specimen Mouse 139145 - Image 12177432: postnatal day 53; Efemp2tm1Dgen/Efemp2+ (more )
Structure Level Pattern Image Note
TS28: heart valve Strong 12177432 Expression is frequently seen in the valves.

Specimen Mouse 139145 - Image 12220262: postnatal day 53; Efemp2tm1Dgen/Efemp2+ (more )
Structure Level Pattern Image Note
TS28: heart Strong Regionally restricted 12220262 Expression is frequently seen in the supraaortic valve area.

Specimen Mouse 139145 - Image 12220266: postnatal day 53; Efemp2tm1Dgen/Efemp2+ (more )
Structure Level Pattern Image Note
TS28: heart Strong Regionally restricted 12220266 Expression is frequently seen in the supraaortic valve area.

Specimen Mouse 139145 - Image 12247500: postnatal day 53; Efemp2tm1Dgen/Efemp2+ (more )
Structure Level Pattern Image Note
TS28: bile duct Strong Regionally restricted 12247500 Expression is frequently seen in the smooth muscle cells of the duct.
TS28: liver Strong Regionally restricted 12247500 Expression is frequently seen in the smooth muscle cells of the blood vessels of the liver.
TS28: blood vessel smooth muscle Strong Regionally restricted 12247500 Expression is frequently seen in the smooth muscle cells of the blood vessels of the liver.

Specimen Mouse 139145 - Image 12247501: postnatal day 53; Efemp2tm1Dgen/Efemp2+ (more )
Structure Level Pattern Image Note
TS28: gallbladder smooth muscle Moderate Regionally restricted 12247501 Expression is frequently seen in the smooth muscle of the wall.

Specimen Mouse 139145 - Image 12247502: postnatal day 53; Efemp2tm1Dgen/Efemp2+ (more )
Structure Level Pattern Image Note
TS28: spleen capsule Moderate 12247502 There is scattered expression in the capsule.

Specimen Mouse 139145 - Image 12247503: postnatal day 53; Efemp2tm1Dgen/Efemp2+ (more )
Structure Level Pattern Image Note
TS28: spleen trabeculum Moderate 12247503 There is scattered expression in the trabeculae.

Specimen Mouse 139145 - Image 12247507: postnatal day 53; Efemp2tm1Dgen/Efemp2+ (more )
Structure Level Pattern Image Note
TS28: pancreas Strong Regionally restricted 12247507 Expression is frequently seen in the blood vessels of the pancreas.
TS28: blood vessel Strong Regionally restricted 12247507 Expression is frequently seen in the blood vessels of the pancreas.

Specimen Mouse 139145 - Image 12247508: postnatal day 53; Efemp2tm1Dgen/Efemp2+ (more )
Structure Level Pattern Image Note
TS28: glomerular tuft Very strong 12247508 There is scattered expression in the glomeruli.

Specimen Mouse 139145 - Image 12247509: postnatal day 53; Efemp2tm1Dgen/Efemp2+ (more )
Structure Level Pattern Image Note
TS28: renal papilla Strong 12247509 Expression is frequently seen in the papilla.

Specimen Mouse 139145 - Image 12247510: postnatal day 53; Efemp2tm1Dgen/Efemp2+ (more )
Structure Level Pattern Image Note
TS28: metanephros Strong Regionally restricted 12247510 Expression is frequently seen in the blood vessels of the kidney.
TS28: blood vessel Strong Regionally restricted 12247510 Expression is frequently seen in the blood vessels of the kidney.

Specimen Mouse 139145 - Image 12247511: postnatal day 53; Efemp2tm1Dgen/Efemp2+ (more )
Structure Level Pattern Image Note
TS28: renal pelvis Very strong 12247511 Expression is frequently seen in the kidney pelvis.

Specimen Mouse 139145 - Image 12247512: postnatal day 53; Efemp2tm1Dgen/Efemp2+ (more )
Structure Level Pattern Image Note
TS28: renal medulla Weak 12247512 There is scattered expression in the medulla.

Specimen Mouse 139145 - Image 12247513: postnatal day 53; Efemp2tm1Dgen/Efemp2+ (more )
Structure Level Pattern Image Note
TS28: esophagus submucosa Weak 12247513 There is scattered expression in the submucosa.

Specimen Mouse 139145 - Image 12247514: postnatal day 53; Efemp2tm1Dgen/Efemp2+ (more )
Structure Level Pattern Image Note
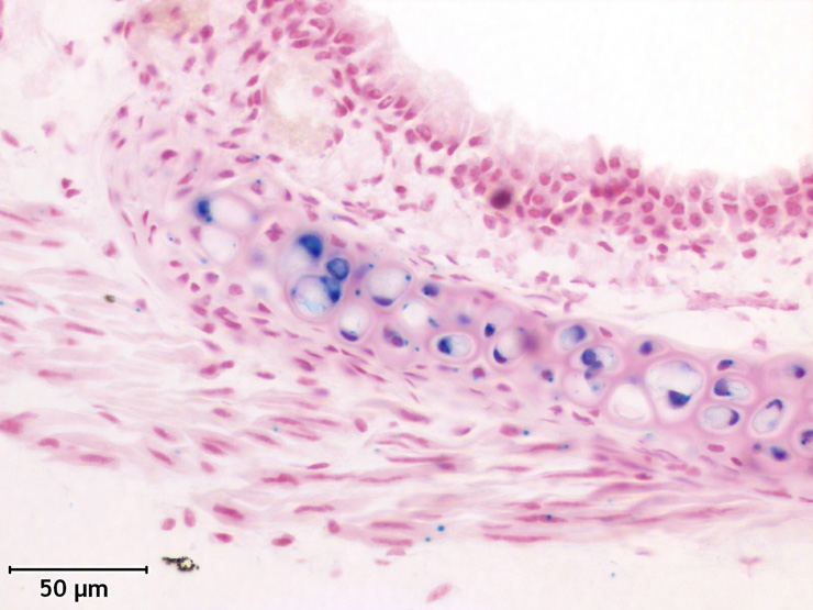
TS28: trachea cartilage Very strong 12247514 Expression is present in practically all cells of the chondrocytes.

Specimen Mouse 139145 - Image 12247515: postnatal day 53; Efemp2tm1Dgen/Efemp2+ (more )
Structure Level Pattern Image Note
TS28: trachea smooth muscle Strong 12247515 There is scattered expression in the trachealis muscle.

Specimen Mouse 139145 - Image 12247518: postnatal day 53; Efemp2tm1Dgen/Efemp2+ (more )
Structure Level Pattern Image Note
TS28: parathyroid gland Strong 12247518 There is scattered expression in the parathyroid gland.

Specimen Mouse 139145 - Image 12247519: postnatal day 53; Efemp2tm1Dgen/Efemp2+ (more )
Structure Level Pattern Image Note
TS28: laryngeal cartilage Strong 12247519 Expression is present in practicaly all chondrocytes.

Specimen Mouse 139145 - Image 12247520: postnatal day 53; Efemp2tm1Dgen/Efemp2+ (more )
Structure Level Pattern Image Note
TS28: tongue Weak Regionally restricted 12247520 There is scattered expression in the lamina propria.

Specimen Mouse 139145 - Image 12247521: postnatal day 53; Efemp2tm1Dgen/Efemp2+ (more )
Structure Level Pattern Image Note
TS28: pinna cartilage Strong 12247521 Expression is present in practically all chondrocytes.

Specimen Mouse 139145 - Image 12247522: postnatal day 53; Efemp2tm1Dgen/Efemp2+ (more )
Structure Level Pattern Image Note
TS28: dermis Moderate 12247522 There is scattered expression in the dermis.

Specimen Mouse 139145 - Image 12250405: postnatal day 53; Efemp2tm1Dgen/Efemp2+ (more )
Structure Level Pattern Image Note
TS28: testis Strong Regionally restricted 12250405 Expression is frequently seen in the smooth muscle cells of the blood vessels of the testis.
TS28: blood vessel smooth muscle Strong Regionally restricted 12250405 Expression is frequently seen in the smooth muscle cells of the blood vessels of the testis.

Specimen Mouse 139145 - Image 12250407: postnatal day 53; Efemp2tm1Dgen/Efemp2+ (more )
Structure Level Pattern Image Note
TS28: seminiferous tubule Moderate Regionally restricted 12250407 There is scattered expression in the myofibroblasts.

Specimen Mouse 139145 - Image 12250409: postnatal day 53; Efemp2tm1Dgen/Efemp2+ (more )
Structure Level Pattern Image Note
TS28: testis Weak Regionally restricted 12250409 Expression is frequently seen in the tunica albuginea.

Specimen Mouse 139145 - Image 12250411: postnatal day 53; Efemp2tm1Dgen/Efemp2+ (more )
Structure Cell Type Level Pattern Image Note
TS28: Sertoli cell Sertoli cell Strong Regionally restricted 12250411 Expression is frequently seen in the Sertoli cells.

Specimen Mouse 139145 - Image 12250416: postnatal day 53; Efemp2tm1Dgen/Efemp2+ (more )
Structure Level Pattern Image Note
TS28: penis Moderate 12250416 There is scattered expression in the penis.

Specimen Mouse 139145 - Image 12250418: postnatal day 53; Efemp2tm1Dgen/Efemp2+ (more )
Structure Level Pattern Image Note
TS28: penis Moderate Regionally restricted 12250418 There is scattered expression in the body of the penis.

Specimen Mouse 139145 - Image 12250420: postnatal day 53; Efemp2tm1Dgen/Efemp2+ (more )
Structure Level Pattern Image Note
TS28: os penis Moderate Regionally restricted 12250420 There is scattered expression in the fibroblasts.

Specimen Mouse 139145 - Image 12250423: postnatal day 53; Efemp2tm1Dgen/Efemp2+ (more )
Structure Level Pattern Image Note
TS28: seminal vesicle Very strong Regionally restricted 12250423 Expression is frequently seen in the myocytes of the capsule.

Specimen Mouse 139145 - Image 12250426: postnatal day 53; Efemp2tm1Dgen/Efemp2+ (more )
Structure Level Pattern Image Note
TS28: anterior prostate gland Strong Regionally restricted 12250426 Expression is frequently seen in the myocytes of the capsule.

Specimen Mouse 139145 - Image 12250428: postnatal day 53; Efemp2tm1Dgen/Efemp2+ (more )
Structure Level Pattern Image Note
TS28: prostate gland smooth muscle Strong Regionally restricted 12250428 Expression is frequently seen in the myocytes of the capsule.

Specimen Mouse 139145 - Image 12250430: postnatal day 53; Efemp2tm1Dgen/Efemp2+ (more )
Structure Level Pattern Image Note
TS28: ampullary gland Strong Regionally restricted 12250430 There is scattered expression in the myocytes.

Specimen Mouse 139145 - Image 12250438: postnatal day 53; Efemp2tm1Dgen/Efemp2+ (more )
Structure Level Pattern Image Note
TS28: lamina propria of bladder Strong 12250438 Expression is present in practically all the smooth muscle cells.

Specimen Mouse 139145 - Image 12250440: postnatal day 53; Efemp2tm1Dgen/Efemp2+ (more )
Structure Level Pattern Image Note
TS28: lamina propria of bladder Trace 12250440 There is scattered expression in the lamina propria.

Specimen Mouse 139145 - Image 12267271: postnatal day 53; Efemp2tm1Dgen/Efemp2+ (more )
Structure Level Pattern Image Note
TS28: metanephros Very strong Regionally restricted 12267271 Expression is frequently seen in the arterioles of the kidney.
TS28: arteriole Very strong Regionally restricted 12267271 Expression is frequently seen in the arterioles of the kidney.

Specimen Mouse 139145 - Image 12294371: postnatal day 53; Efemp2tm1Dgen/Efemp2+ (more )
Structure Level Pattern Image Note
TS28: lung Strong Regionally restricted 12294371 Expression is frequently seen in the blood vessels of the lung.
TS28: blood vessel Strong Regionally restricted 12294371 Expression is frequently seen in the blood vessels of the lung.

Specimen Mouse 139145 - Image 12294373: postnatal day 53; Efemp2tm1Dgen/Efemp2+ (more )
Structure Level Pattern Image Note
TS28: bronchiole Moderate Regionally restricted 12294373 Expression is frequently seen in the smooth muscle cells of the bronchioles.

Specimen Mouse 139145 - Image 12311278: postnatal day 53; Efemp2tm1Dgen/Efemp2+ (more )
Structure Level Pattern Image Note
TS28: ear skin Trace Regionally restricted 12311278 There is scattered expression in the ear skin dermis.
TS28: dermis Trace Regionally restricted 12311278 There is scattered expression in the ear skin dermis.

Specimen Mouse 139145 - Image 12311279: postnatal day 53; Efemp2tm1Dgen/Efemp2+ (more )
Structure Level Pattern Image Note
TS28: penis Moderate Regionally restricted 12311279 There is scattered expression in the smooth muscle cells.

Specimen Mouse 139145: postnatal day 53; Efemp2tm1Dgen/Efemp2+ (more )
Structure Level Pattern Image Note
TS28: gallbladder Moderate Regionally restricted There is scattered expression in the blood vessels of the gallbladder.
TS28: blood vessel Present Regionally restricted Moderate expression is seen in the adrenal, thyroid, and prostate glands, tongue, cerebellum, larynx, urinary and gall bladder, thymus, spleen, and skeletal muscle. Strong expression is seen in the coagulating gland, penis, and seminal vesicles.
TS28: tongue Moderate Regionally restricted Expression is frequently seen in the blood vessels of the tongue.
TS28: adrenal gland Present Regionally restricted Expression is frequently seen in the blood vessels of the adrenal gland.
TS28: thyroid gland Moderate Regionally restricted Expression is frequently seen in the blood vessels of the thyroid gland.
TS28: bone marrow Absent
TS28: spleen Moderate Regionally restricted There is scattered expression in the blood vessels of the spleen.
TS28: thymus Moderate Regionally restricted Expression is frequently seen in the blood vessels of the thymus.
TS28: anterior prostate gland Strong Regionally restricted Expression is frequently seen in the blood vessels of the coagulating gland.
TS28: penis Strong Regionally restricted Expression is frequently seen in the blood vessels of the penis.
TS28: prostate gland Moderate Regionally restricted Expression is frequently seen in the blood vessels of the prostate gland.
TS28: seminal vesicle Strong Regionally restricted Expression is frequently seen in the blood vessels of the seminal vesicles.
TS28: skeletal muscle Moderate Regionally restricted Expression is frequently seen in the blood vessels of the skeletal muscle.
TS28: cerebellum Moderate Regionally restricted Expression is frequently seen in the blood vessels of the cerebellum.
TS28: sciatic nerve Absent
TS28: larynx Moderate Regionally restricted Expression is frequently seen in the blood vessels of the larynx.
TS28: trachea blood vessel Strong Expression is frequently seen in the blood vessels of the trachea.
TS28: bladder Moderate Regionally restricted Expression is frequently seen in the blood vessels of the urinary bladder.


Contributing Projects:
Mouse Genome Database (MGD), Gene Expression Database (GXD), Mouse Models of Human Cancer database (MMHCdb) (formerly Mouse Tumor Biology (MTB)), Gene Ontology (GO)
Citing These Resources
Funding Information
Warranty Disclaimer, Privacy Notice, Licensing, & Copyright
Send questions and comments to User Support.
last database update
12/30/2025
MGI 6.24
The Jackson Laboratory