About   Help   FAQ
Gene Expression Data
Assay Details
Assay
Reference: J:101679 Deltagen Inc, NIH initiative supporting placement of Deltagen, Inc. mice into public repositories. MGI Direct Data Submission. 2005;
Assay type: In situ reporter (knock in)
MGI Accession ID: MGI:3639155
Gene symbol: Ccr6
Gene name: C-C motif chemokine receptor 6
Reporter: lacZ
Direct Detection
Results
Specimen Mouse 169060: postnatal day 90; Ccr6tm1Dgen/Ccr6+ (more )
Structure Level Pattern Image Note
TS28: pituitary gland Absent
TS28: cervix uteri Absent
TS28: ovary Absent
TS28: oviduct Absent
TS28: uterus Absent
TS28: vagina Absent
TS28: bone marrow Absent
TS28: thymus Absent
TS28: Harderian gland Absent
TS28: cerebellum Absent
TS28: telencephalon Absent There is no expression in the cerebrum.
TS28: brainstem Absent
TS28: spinal cord Absent
TS28: eye Absent
TS28: bladder Absent

Specimen Mouse 175181 - Image 35739763: postnatal day 70; Ccr6tm1Dgen/Ccr6+ (more )
Structure Level Pattern Image Note
TS28: spleen Moderate 35739763 There is scattered expression in the spleen.

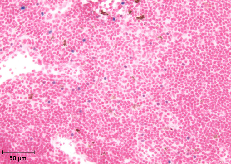
Specimen Mouse 175181 - Image 35739764: postnatal day 70; Ccr6tm1Dgen/Ccr6+ (more )
Structure Level Pattern Image Note
TS28: lymph node Strong 35739764 There is scattered expression in the lymph nodes.

Specimen Mouse 175181 - Image 35739767: postnatal day 70; Ccr6tm1Dgen/Ccr6+ (more )
Structure Level Pattern Image Note
TS28: lymph node Strong 35739767 There is scattered expression in the lymph nodes.

Specimen Mouse 175181: postnatal day 70; Ccr6tm1Dgen/Ccr6+ (more )
Structure Level Pattern Image Note
TS28: aorta Absent
TS28: heart Absent
TS28: esophagus Absent
TS28: gallbladder Absent
TS28: liver Absent
TS28: pancreas Absent
TS28: pharynx Absent
TS28: salivary gland Absent
TS28: tongue Absent
TS28: adrenal gland Absent
TS28: parathyroid gland Absent
TS28: adenohypophysis pars anterior Absent There is no expression in the pars distalis.
TS28: thyroid gland Absent
TS28: bone marrow Absent
TS28: thymus Absent
TS28: ear Absent
TS28: skin Absent
TS28: ampullary gland Absent
TS28: anterior prostate gland Absent
TS28: penis Absent
TS28: prostate gland Absent
TS28: seminal vesicle Absent
TS28: testis Absent
TS28: skeletal muscle Absent
TS28: cerebellum Absent
TS28: telencephalon Absent There is no expression in the cerebrum.
TS28: brainstem Absent
TS28: sciatic nerve Absent
TS28: spinal cord Absent
TS28: larynx Absent
TS28: lung Absent
TS28: trachea Absent
TS28: metanephros Absent
TS28: bladder Absent

Specimen Mouse 175185: postnatal day 106; Ccr6tm1Dgen/Ccr6+ (more )
Structure Level Pattern Image Note
TS28: brain Absent
TS28: cerebellum Absent
TS28: telencephalon Absent There is no expression in the cerebrum.
TS28: brainstem Absent


Contributing Projects:
Mouse Genome Database (MGD), Gene Expression Database (GXD), Mouse Models of Human Cancer database (MMHCdb) (formerly Mouse Tumor Biology (MTB)), Gene Ontology (GO)
Citing These Resources
Funding Information
Warranty Disclaimer, Privacy Notice, Licensing, & Copyright
Send questions and comments to User Support.
last database update
01/20/2026
MGI 6.24
The Jackson Laboratory