About   Help   FAQ
Gene Expression Data
Assay Details
Assay
Reference: J:101679 Deltagen Inc, NIH initiative supporting placement of Deltagen, Inc. mice into public repositories. MGI Direct Data Submission. 2005;
Assay type: In situ reporter (knock in)
MGI Accession ID: MGI:3639154
Gene symbol: Gpr19
Gene name: G protein-coupled receptor 19
Reporter: lacZ
Direct Detection
Results
Specimen Mouse 178606 - Image 39180375: postnatal day 54; Gpr19tm1Dgen/Gpr19+ (more )
Structure Level Pattern Image Note
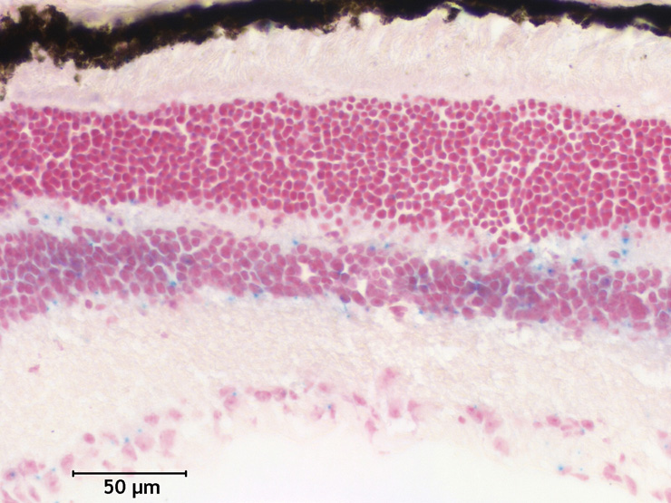
TS28: pigmented retinal epithelium Moderate 39180375 There is scattered expression in the pigment layer.

Specimen Mouse 178606 - Image 39180399: postnatal day 54; Gpr19tm1Dgen/Gpr19+ (more )
Structure Level Pattern Image Note
TS28: Harderian gland Weak 39180399 There is scattered expression in the harderian gland.

Specimen Mouse 178606 - Image 39180457: postnatal day 54; Gpr19tm1Dgen/Gpr19+ (more )
Structure Level Pattern Image Note
TS28: retina inner nuclear layer Moderate 39180457 There is scattered expression in the inner nuclear layer.

Specimen Mouse 178606 - Image 39180538: postnatal day 54; Gpr19tm1Dgen/Gpr19+ (more )
Structure Level Pattern Image Note
TS28: retina ganglion cell layer Moderate 39180538 There is scattered expression in the ganglion cell layer.

Specimen Mouse 178606 - Image 39180573: postnatal day 54; Gpr19tm1Dgen/Gpr19+ (more )
Structure Level Pattern Image Note
TS28: optic nerve Strong 39180573 There is scattered expression in the optic nerve.

Specimen Mouse 178606 - Image 39300264: postnatal day 54; Gpr19tm1Dgen/Gpr19+ (more )
Structure Level Pattern Image Note
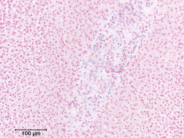
TS28: ovary follicle Weak Regionally restricted 39300264 There is scattered expression in the corpus luteum.

Specimen Mouse 178606 - Image 39301872: postnatal day 54; Gpr19tm1Dgen/Gpr19+ (more )
Structure Level Pattern Image Note
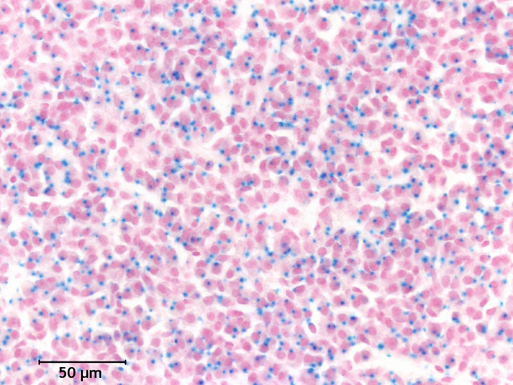
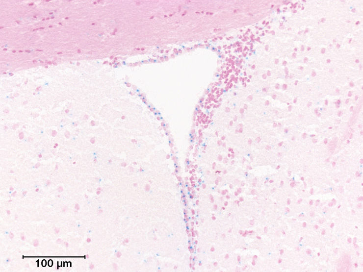
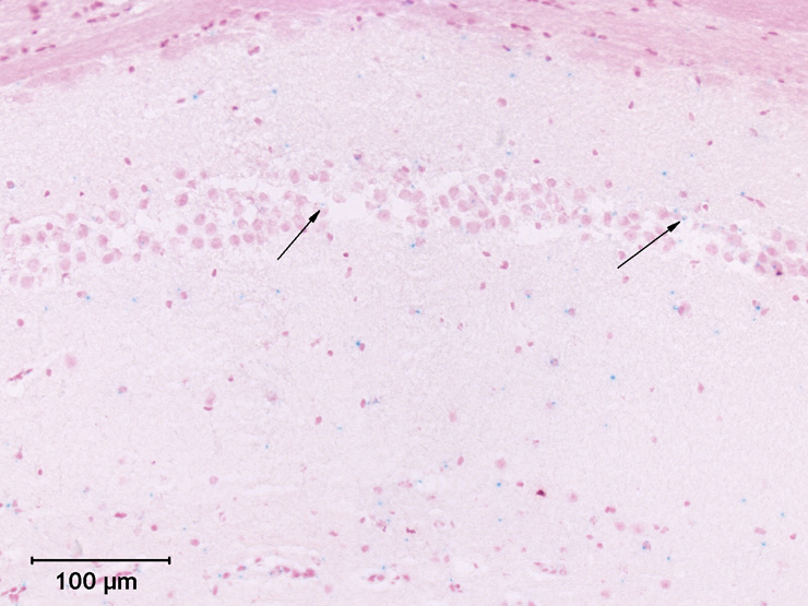
TS28: spinal cord central canal Very strong 39301872 Expression is present in practically all cells of the central canal.

Specimen Mouse 178606 - Image 39302415: postnatal day 54; Gpr19tm1Dgen/Gpr19+ (more )
Structure Level Pattern Image Note
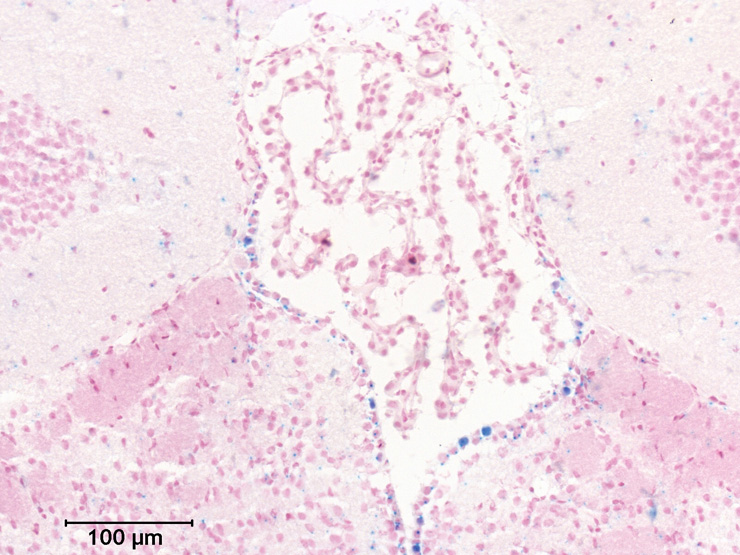
TS28: adenohypophysis pars intermedia Moderate 39302415 There is scattered expression in the pars intermedia.
TS28: neurohypophysis pars nervosa Moderate 39302415 There is scattered expression in the pars nervosa.

Specimen Mouse 178606 - Image 39302475: postnatal day 54; Gpr19tm1Dgen/Gpr19+ (more )
Structure Level Pattern Image Note
TS28: adenohypophysis pars anterior Strong 39302475 Expression is frequently seen in the pars distalis.

Specimen Mouse 178606 - Image 39303497: postnatal day 54; Gpr19tm1Dgen/Gpr19+ (more )
Structure Level Pattern Image Note
TS28: spinal cord white matter Strong 39303497 There is scattered expression in the white matter.

Specimen Mouse 178606 - Image 39303515: postnatal day 54; Gpr19tm1Dgen/Gpr19+ (more )
Structure Level Pattern Image Note
TS28: spinal cord gray matter Strong 39303515 There is scattered expression in the grey matter.

Specimen Mouse 178606 - Image 42077368: postnatal day 54; Gpr19tm1Dgen/Gpr19+ (more )
Structure Level Pattern Image Note
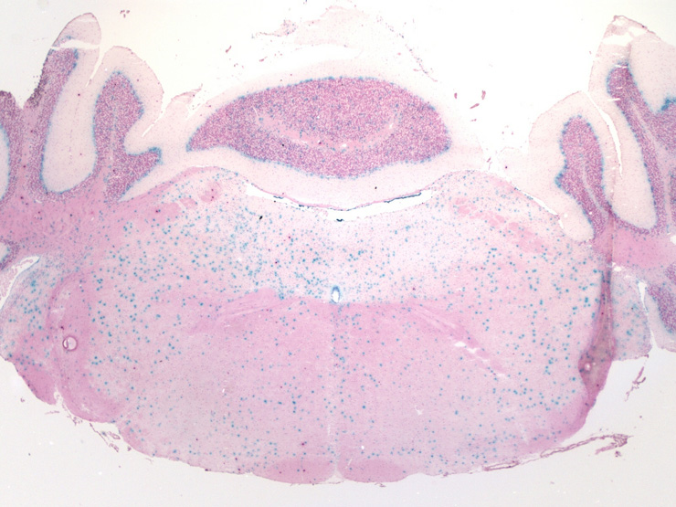
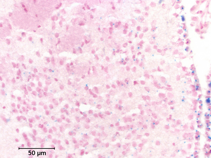
TS28: brain Strong 42077368 Expression is present in practically all cells of the brain.

Specimen Mouse 178606 - Image 42081756: postnatal day 54; Gpr19tm1Dgen/Gpr19+ (more )
Structure Level Pattern Image Note
TS28: brain Very strong 42081756 Expression is present in practically all cells of the brain.

Specimen Mouse 178606 - Image 42089151: postnatal day 54; Gpr19tm1Dgen/Gpr19+ (more )
Structure Level Pattern Image Note
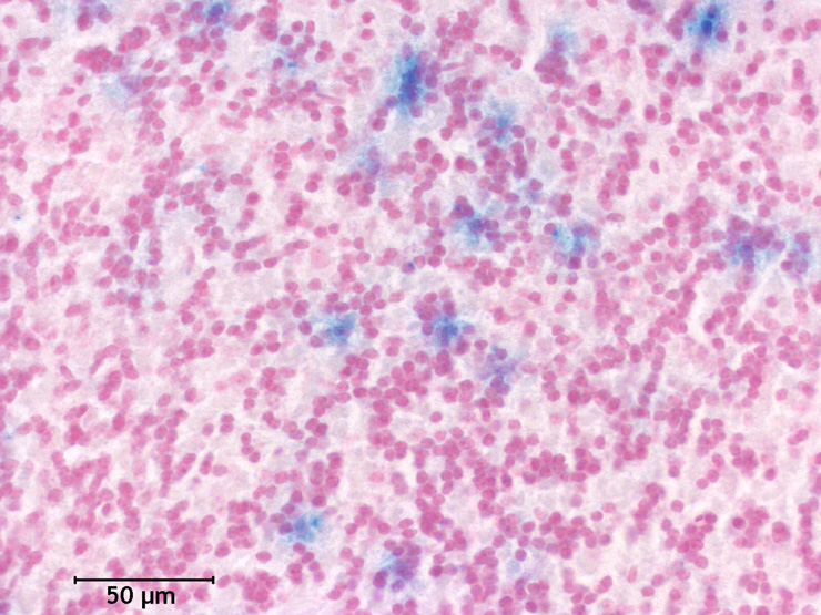
TS28: cerebellum Very strong 42089151 Expression is frequently seen in the cerebellum.

Specimen Mouse 178606 - Image 42089459: postnatal day 54; Gpr19tm1Dgen/Gpr19+ (more )
Structure Level Pattern Image Note
TS28: cerebellum Very strong 42089459 Expression is frequently seen in the cerebellum.

Specimen Mouse 178606 - Image 42090067: postnatal day 54; Gpr19tm1Dgen/Gpr19+ (more )
Structure Level Pattern Image Note
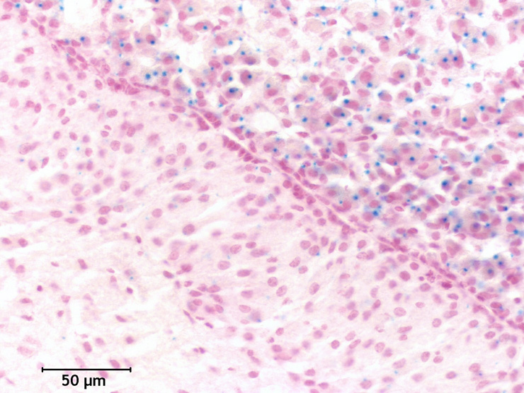
TS28: brainstem Strong 42090067 Expression is present in practically all cells of the brainstem.

Specimen Mouse 178606 - Image 42091315: postnatal day 54; Gpr19tm1Dgen/Gpr19+ (more )
Structure Level Pattern Image Note
TS28: brainstem Strong 42091315 Expression is present in practically all cells of the brainstem.

Specimen Mouse 178606: postnatal day 54; Gpr19tm1Dgen/Gpr19+ (more )
Structure Level Pattern Image Note
TS28: cervix uteri Absent
TS28: oviduct Absent
TS28: uterus Absent
TS28: vagina Absent
TS28: bone marrow Absent
TS28: thymus Absent
TS28: urethra Absent
TS28: bladder Absent

Specimen Mouse 179203 - Image 39311837: postnatal day 52; Gpr19tm1Dgen/Gpr19+ (more )
Structure Level Pattern Image Note
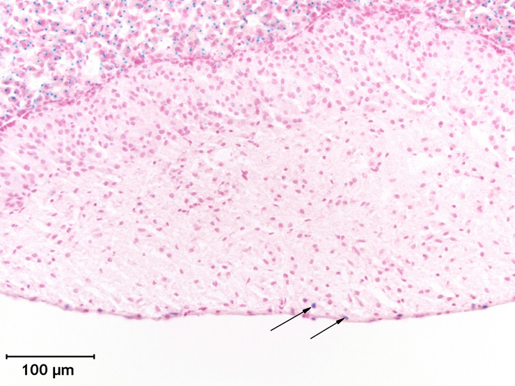
TS28: adrenal medulla Moderate 39311837 Expression is frequently seen in the medulla.

Specimen Mouse 179203 - Image 39431382: postnatal day 52; Gpr19tm1Dgen/Gpr19+ (more )
Structure Level Pattern Image Note
TS28: adenohypophysis pars anterior Strong 39431382 Expression is frequently seen in the pars distalis.
TS28: neurohypophysis pars nervosa Weak 39431382 There is occasional staining in the pars nervosa.

Specimen Mouse 179203 - Image 39431507: postnatal day 52; Gpr19tm1Dgen/Gpr19+ (more )
Structure Level Pattern Image Note
TS28: spinal cord Strong 39431507 There is scattered expression in the spinal cord.

Specimen Mouse 179203 - Image 39431530: postnatal day 52; Gpr19tm1Dgen/Gpr19+ (more )
Structure Level Pattern Image Note
TS28: spinal cord central canal Very strong 39431530 Expression is present in practically all cells of the central canal.

Specimen Mouse 179203 - Image 39431648: postnatal day 52; Gpr19tm1Dgen/Gpr19+ (more )
Structure Level Pattern Image Note
TS28: spinal cord gray matter Strong 39431648 Expression is frequently seen in the grey matter.

Specimen Mouse 179203 - Image 39432048: postnatal day 52; Gpr19tm1Dgen/Gpr19+ (more )
Structure Level Pattern Image Note
TS28: spinal cord white matter Strong 39432048 There is scattered expression in the white matter.

Specimen Mouse 179203 - Image 39432197: postnatal day 52; Gpr19tm1Dgen/Gpr19+ (more )
Structure Level Pattern Image Note
TS28: cerebellum Moderate 39432197 Expression is frequently seen in the cerebellum.

Specimen Mouse 179203 - Image 39432245: postnatal day 52; Gpr19tm1Dgen/Gpr19+ (more )
Structure Level Pattern Image Note
TS28: cerebellum Purkinje cell layer Strong 39432245 Expression is frequently seen in the Purkinje layer.

Specimen Mouse 179203 - Image 39432332: postnatal day 52; Gpr19tm1Dgen/Gpr19+ (more )
Structure Level Pattern Image Note
TS28: cerebellum white matter Very strong 39432332 There is scattered expression in the white matter.

Specimen Mouse 179203 - Image 39432394: postnatal day 52; Gpr19tm1Dgen/Gpr19+ (more )
Structure Level Pattern Image Note
TS28: cerebellum granule cell layer Strong 39432394 There is scattered expression in the granule layer.

Specimen Mouse 179203 - Image 39432428: postnatal day 52; Gpr19tm1Dgen/Gpr19+ (more )
Structure Level Pattern Image Note
TS28: cerebellum molecular layer Weak 39432428 There is scattered expression in the molecular layer.

Specimen Mouse 179203 - Image 39433482: postnatal day 52; Gpr19tm1Dgen/Gpr19+ (more )
Structure Level Pattern Image Note
TS28: brainstem Strong 39433482 There is scattered expression in the brainstem.

Specimen Mouse 179203 - Image 39433636: postnatal day 52; Gpr19tm1Dgen/Gpr19+ (more )
Structure Level Pattern Image Note
TS28: telencephalon Moderate 39433636 Expression is frequently seen in the cerebrum.

Specimen Mouse 179203 - Image 39433685: postnatal day 52; Gpr19tm1Dgen/Gpr19+ (more )
Structure Level Pattern Image Note
TS28: lateral ventricle Moderate 39433685 Expression is frequently seen in the lateral ventricle.

Specimen Mouse 179203 - Image 39433822: postnatal day 52; Gpr19tm1Dgen/Gpr19+ (more )
Structure Level Pattern Image Note
TS28: caudate-putamen Moderate 39433822 There is scattered expression in the caudate-putamen.

Specimen Mouse 179203 - Image 39434036: postnatal day 52; Gpr19tm1Dgen/Gpr19+ (more )
Structure Level Pattern Image Note
TS28: corpus callosum Weak 39434036 There is occasional staining in the corpus callosum.

Specimen Mouse 179203 - Image 39434275: postnatal day 52; Gpr19tm1Dgen/Gpr19+ (more )
Structure Level Pattern Image Note
TS28: cerebral cortex Moderate 39434275 There is scattered expression in the cortex.

Specimen Mouse 179203 - Image 39434293: postnatal day 52; Gpr19tm1Dgen/Gpr19+ (more )
Structure Level Pattern Image Note
TS28: anterior commissure Trace 39434293 There is occasional staining in the anterior commissure.

Specimen Mouse 179203 - Image 39434336: postnatal day 52; Gpr19tm1Dgen/Gpr19+ (more )
Structure Level Pattern Image Note
TS28: telencephalon Moderate 39434336 Expression is frequently seen in the cerebrum.

Specimen Mouse 179203 - Image 39434350: postnatal day 52; Gpr19tm1Dgen/Gpr19+ (more )
Structure Level Pattern Image Note
TS28: dentate gyrus Weak 39434350 There is scattered expression in the dentate gyrus.
TS28: hippocampus Weak 39434350 There is scattered expression in the hippocampus.

Specimen Mouse 179203 - Image 39434358: postnatal day 52; Gpr19tm1Dgen/Gpr19+ (more )
Structure Level Pattern Image Note
TS28: 3rd ventricle Moderate 39434358 There is scattered expression in the third ventricle.

Specimen Mouse 179203 - Image 39434449: postnatal day 52; Gpr19tm1Dgen/Gpr19+ (more )
Structure Level Pattern Image Note
TS28: habenula Moderate 39434449 There is scattered expression in the habenular nuclei.

Specimen Mouse 179203 - Image 39434535: postnatal day 52; Gpr19tm1Dgen/Gpr19+ (more )
Structure Level Pattern Image Note
TS28: thalamus Weak 39434535 There is scattered expression in the thalamus.

Specimen Mouse 179203 - Image 39434830: postnatal day 52; Gpr19tm1Dgen/Gpr19+ (more )
Structure Level Pattern Image Note
TS28: hypothalamus Weak 39434830 There is scattered expression in the hypothalamus.

Specimen Mouse 179203 - Image 65121423: postnatal day 52; Gpr19tm1Dgen/Gpr19+ (more )
Structure Level Pattern Image Note
TS28: adenohypophysis pars intermedia Moderate 65121423 There is scattered expression in the pars intermedia.

Specimen Mouse 179203 - Image 65123479: postnatal day 52; Gpr19tm1Dgen/Gpr19+ (more )
Structure Level Pattern Image Note
TS28: 4th ventricle Very strong 65123479 Expression is present in practically all cells of the ventricle.

Specimen Mouse 179203 - Image 65124153: postnatal day 52; Gpr19tm1Dgen/Gpr19+ (more )
Structure Level Pattern Image Note
TS28: lateral septal complex Weak Regionally restricted 65124153 There is occasional staining in the lateral septal nucleus.

Specimen Mouse 179203 - Image 65127609: postnatal day 52; Gpr19tm1Dgen/Gpr19+ (more )
Structure Level Pattern Image Note
TS28: telencephalon Weak Regionally restricted 65127609 There is scattered expression in the cerebral meninges.
TS28: meninges Weak Regionally restricted 65127609 There is scattered expression in the cerebral meninges.

Specimen Mouse 179203 - Image 65128679: postnatal day 52; Gpr19tm1Dgen/Gpr19+ (more )
Structure Level Pattern Image Note
TS28: cortical layer III Weak 65128679 There is occasional staining in the pyramidial cell layer.

Specimen Mouse 179203 - Image 65128726: postnatal day 52; Gpr19tm1Dgen/Gpr19+ (more )
Structure Level Pattern Image Note
TS28: hippocampus region Moderate 65128726 There is scattered expression in the CA field.

Specimen Mouse 179203 - Image 65144284: postnatal day 52; Gpr19tm1Dgen/Gpr19+ (more )
Structure Level Pattern Image Note
TS28: amygdala Weak 65144284 There is scattered expression in the amygdala.

Specimen Mouse 179203: postnatal day 52; Gpr19tm1Dgen/Gpr19+ (more )
Structure Level Pattern Image Note
TS28: aorta Absent
TS28: heart Absent
TS28: esophagus Absent
TS28: gallbladder Absent
TS28: liver Absent
TS28: pancreas Absent
TS28: pharynx Absent
TS28: salivary gland Absent
TS28: tongue Absent
TS28: parathyroid gland Absent
TS28: thyroid gland Absent
TS28: bone marrow Absent
TS28: spleen Absent
TS28: lymph node Absent
TS28: thymus Absent
TS28: ear Absent
TS28: skin Absent
TS28: anterior prostate gland Ambiguous Background staining is frequently seen in the tissue.
TS28: penis Absent
TS28: prostate gland Absent
TS28: seminal vesicle Ambiguous There is occasional background staining in the tissue.
TS28: testis Absent
TS28: skeletal muscle Absent
TS28: sciatic nerve Absent
TS28: larynx Absent
TS28: lung Absent
TS28: trachea Absent
TS28: metanephros Absent
TS28: bladder Absent


Contributing Projects:
Mouse Genome Database (MGD), Gene Expression Database (GXD), Mouse Models of Human Cancer database (MMHCdb) (formerly Mouse Tumor Biology (MTB)), Gene Ontology (GO)
Citing These Resources
Funding Information
Warranty Disclaimer, Privacy Notice, Licensing, & Copyright
Send questions and comments to User Support.
last database update
01/28/2026
MGI 6.24
The Jackson Laboratory