About   Help   FAQ
Gene Expression Data
Assay Details
Assay
Reference: J:101679 Deltagen Inc, NIH initiative supporting placement of Deltagen, Inc. mice into public repositories. MGI Direct Data Submission. 2005;
Assay type: In situ reporter (knock in)
MGI Accession ID: MGI:3639151
Gene symbol: B3galt2
Gene name: UDP-Gal:betaGlcNAc beta 1,3-galactosyltransferase, polypeptide 2
Reporter: lacZ
Direct Detection
Results
Specimen Mouse 100622 - Image 7718502: postnatal day 52; B3galt2tm1Dgen/B3galt2+ (more )
Structure Level Pattern Image Note
TS28: ovary Strong Regionally restricted 7718502 Expression is frequently seen in the smooth muscle cells of the blood vessels of the ovary.
TS28: blood vessel smooth muscle Strong Regionally restricted 7718502 Expression is frequently seen in the smooth muscle cells of the blood vessels of the ovary.

Specimen Mouse 100622 - Image 7737043: postnatal day 52; B3galt2tm1Dgen/B3galt2+ (more )
Structure Level Pattern Image Note
TS28: uterus Very strong Regionally restricted 7737043 Expression is frequently seen in the smooth muscle cells of the blood vessels of the uterus.
TS28: blood vessel smooth muscle Very strong Regionally restricted 7737043 Expression is frequently seen in the smooth muscle cells of the blood vessels of the uterus.

Specimen Mouse 100622 - Image 7737044: postnatal day 52; B3galt2tm1Dgen/B3galt2+ (more )
Structure Level Pattern Image Note
TS28: thymus Very strong Regionally restricted 7737044 There is scattered expression in the adipose tissue of the thymus.
TS28: adipose tissue Very strong Regionally restricted 7737044 There is scattered expression in the adipose tissue of the thymus.

Specimen Mouse 100622 - Image 7737045: postnatal day 52; B3galt2tm1Dgen/B3galt2+ (more )
Structure Level Pattern Image Note
TS28: retina inner nuclear layer Strong 7737045 Expression is frequently seen in the inner nuclear layer.

Specimen Mouse 100622 - Image 7737046: postnatal day 52; B3galt2tm1Dgen/B3galt2+ (more )
Structure Level Pattern Image Note
TS28: retina ganglion cell layer Weak 7737046 There is scattered expression in the ganglion cell layer.

Specimen Mouse 100622 - Image 7737047: postnatal day 52; B3galt2tm1Dgen/B3galt2+ (more )
Structure Level Pattern Image Note
TS28: Harderian gland Strong Regionally restricted 7737047 Expression is frequently seen in the blood vessels of the harderian gland.
TS28: blood vessel Strong Regionally restricted 7737047 Expression is frequently seen in the blood vessels of the harderian gland.

Specimen Mouse 100622 - Image 7794903: postnatal day 52; B3galt2tm1Dgen/B3galt2+ (more )
Structure Level Pattern Image Note
TS28: cerebellum Weak 7794903 There is scattered expression in the cerebellum.
TS28: telencephalon Moderate 7794903 Expression is frequently seen in the cerebrum.
TS28: main olfactory bulb Moderate 7794903 Expression is frequently seen in the olfactory bulb.

Specimen Mouse 100622 - Image 7794907: postnatal day 52; B3galt2tm1Dgen/B3galt2+ (more )
Structure Level Pattern Image Note
TS28: cerebral cortex Weak 7794907 There is scattered expression in the cortex.

Specimen Mouse 100622 - Image 7794908: postnatal day 52; B3galt2tm1Dgen/B3galt2+ (more )
Structure Level Pattern Image Note
TS28: telencephalon Weak 7794908 Expression is frequently seen in the cerebrum.

Specimen Mouse 100622 - Image 8147413: postnatal day 52; B3galt2tm1Dgen/B3galt2+ (more )
Structure Level Pattern Image Note
TS28: spinal cord gray matter Strong 8147413 Expression is frequently seen in the grey matter.

Specimen Mouse 100622 - Image 8147414: postnatal day 52; B3galt2tm1Dgen/B3galt2+ (more )
Structure Level Pattern Image Note
TS28: spinal cord Moderate Regionally restricted 8147414 Expression is frequently seen in the nerves of the spinal cord.
TS28: nerve Moderate Regionally restricted 8147414 Expression is frequently seen in the nerves of the spinal cord.

Specimen Mouse 100622 - Image 8403277: postnatal day 52; B3galt2tm1Dgen/B3galt2+ (more )
Structure Level Pattern Image Note
TS28: eye Strong 8403277 Expression is frequently seen in the eye.

Specimen Mouse 100622 - Image 8403278: postnatal day 52; B3galt2tm1Dgen/B3galt2+ (more )
Structure Level Pattern Image Note
TS28: lens epithelium Moderate 8403278 There is occasional staining in the epithelial cells.

Specimen Mouse 100622: postnatal day 52; B3galt2tm1Dgen/B3galt2+ (more )
Structure Level Pattern Image Note
TS28: cervix uteri Absent
TS28: oviduct Absent
TS28: vagina Absent
TS28: bone marrow Absent
TS28: brainstem Weak There is scattered expression in the brainstem.
TS28: spinal cord gray matter Strong Expression is frequently seen in the grey matter.
TS28: bladder Absent

Specimen Mouse 100631 - Image 7696391: postnatal day 52; B3galt2tm1Dgen/B3galt2+ (more )
Structure Level Pattern Image Note
TS28: spinal cord gray matter Strong 7696391 There is scattered expression in the grey matter.

Specimen Mouse 100631 - Image 7696392: postnatal day 52; B3galt2tm1Dgen/B3galt2+ (more )
Structure Level Pattern Image Note
TS28: adenohypophysis pars anterior Weak 7696392 Expression is frequently seen in the pars distalis.

Specimen Mouse 100631 - Image 7696393: postnatal day 52; B3galt2tm1Dgen/B3galt2+ (more )
Structure Level Pattern Image Note
TS28: lymph node Strong Regionally restricted 7696393 There is scattered expression in the perinodal fat in adipocytes.
TS28: adipose tissue Strong Regionally restricted 7696393 There is scattered expression in the perinodal fat in adipocytes.

Specimen Mouse 100631 - Image 7696394: postnatal day 52; B3galt2tm1Dgen/B3galt2+ (more )
Structure Level Pattern Image Note
TS28: sublingual gland Strong 7696394 There is scattered expression in the sublingual gland.

Specimen Mouse 100631 - Image 7696395: postnatal day 52; B3galt2tm1Dgen/B3galt2+ (more )
Structure Level Pattern Image Note
TS28: adrenal medulla Strong 7696395 Expression is frequently seen in the medulla.

Specimen Mouse 100631 - Image 7696396: postnatal day 52; B3galt2tm1Dgen/B3galt2+ (more )
Structure Level Pattern Image Note
TS28: cardiac muscle tissue Moderate 7696396 Expression is frequently seen in the cardiac myocytes.

Specimen Mouse 100631 - Image 7703647: postnatal day 52; B3galt2tm1Dgen/B3galt2+ (more )
Structure Level Pattern Image Note
TS28: heart atrium Moderate 7703647 There is scattered expression in the atrium.

Specimen Mouse 100631 - Image 7703648: postnatal day 52; B3galt2tm1Dgen/B3galt2+ (more )
Structure Level Pattern Image Note
TS28: bronchus epithelium Strong 7703648 Expression is frequently seen in the epithelial cells.
TS28: bronchus cartilage Weak 7703648 Expression is frequently seen in the chondrocytes.

Specimen Mouse 100631 - Image 7703649: postnatal day 52; B3galt2tm1Dgen/B3galt2+ (more )
Structure Level Pattern Image Note
TS28: lung vascular element Trace Regionally restricted 7703649 There is occasional staining in the smooth muscle cells of the pulmonary vessels.
TS28: blood vessel smooth muscle Trace Regionally restricted 7703649 There is occasional staining in the smooth muscle cells of the pulmonary vessels.

Specimen Mouse 100631 - Image 7703658: postnatal day 52; B3galt2tm1Dgen/B3galt2+ (more )
Structure Level Pattern Image Note
TS28: glomerular tuft Very strong 7703658 Expression is frequently seen in the glomeruli.

Specimen Mouse 100631 - Image 7703660: postnatal day 52; B3galt2tm1Dgen/B3galt2+ (more )
Structure Level Pattern Image Note
TS28: metanephros Strong Regionally restricted 7703660 Expression is frequently seen in the blood vessels of the kidney.
TS28: blood vessel Strong Regionally restricted 7703660 Expression is frequently seen in the blood vessels of the kidney.

Specimen Mouse 100631 - Image 7703663: postnatal day 52; B3galt2tm1Dgen/B3galt2+ (more )
Structure Level Pattern Image Note
TS28: esophagus Moderate 7703663 There is occasional staining in the esophagus.

Specimen Mouse 100631 - Image 7703664: postnatal day 52; B3galt2tm1Dgen/B3galt2+ (more )
Structure Level Pattern Image Note
TS28: trachea epithelium Strong 7703664 Expression is frequently seen in the epithelial cells.

Specimen Mouse 100631 - Image 7703667: postnatal day 52; B3galt2tm1Dgen/B3galt2+ (more )
Structure Level Pattern Image Note
TS28: trachea smooth muscle Weak 7703667 There is scattered expression in the muscle.

Specimen Mouse 100631 - Image 7703668: postnatal day 52; B3galt2tm1Dgen/B3galt2+ (more )
Structure Level Pattern Image Note
TS28: larynx epithelium Very strong 7703668 Expression is frequently seen in the epithelium.

Specimen Mouse 100631 - Image 7703669: postnatal day 52; B3galt2tm1Dgen/B3galt2+ (more )
Structure Level Pattern Image Note
TS28: larynx submucosa gland Strong 7703669 There is scattered expression in the submucosal glands.

Specimen Mouse 100631 - Image 7703671: postnatal day 52; B3galt2tm1Dgen/B3galt2+ (more )
Structure Level Pattern Image Note
TS28: skeletal muscle Strong Regionally restricted 7703671 There is scattered expression in the smooth muscle cells of the blood vessels of the skeletal muscle.
TS28: blood vessel smooth muscle Strong Regionally restricted 7703671 There is scattered expression in the smooth muscle cells of the blood vessels of the skeletal muscle.

Specimen Mouse 100631 - Image 7703672: postnatal day 52; B3galt2tm1Dgen/B3galt2+ (more )
Structure Level Pattern Image Note
TS28: sciatic nerve Moderate Regionally restricted 7703672 There is scattered expression in the Schwann cells.

Specimen Mouse 100631 - Image 7703675: postnatal day 52; B3galt2tm1Dgen/B3galt2+ (more )
Structure Level Pattern Image Note
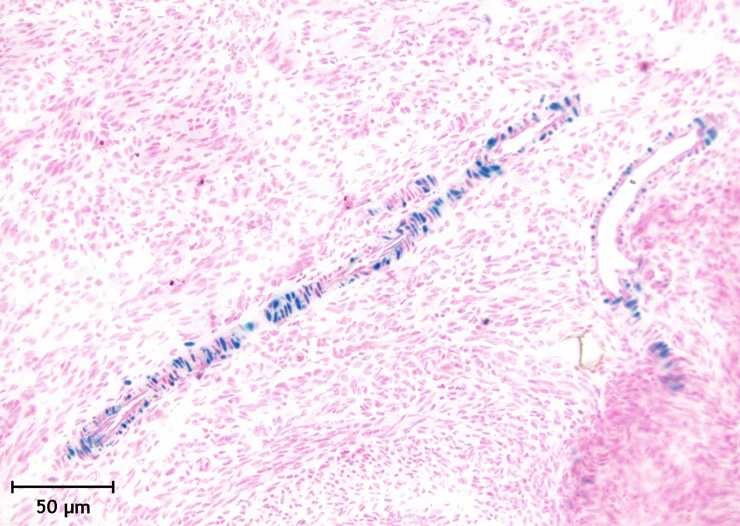
TS28: tongue Strong Regionally restricted 7703675 Expression is frequently seen in the nerves of the tongue.
TS28: nerve Strong Regionally restricted 7703675 Expression is frequently seen in the nerves of the tongue.

Specimen Mouse 100631 - Image 7718486: postnatal day 52; B3galt2tm1Dgen/B3galt2+ (more )
Structure Level Pattern Image Note
TS28: tongue epithelium Moderate 7718486 There is scattered expression in the epithelium.

Specimen Mouse 100631 - Image 7718490: postnatal day 52; B3galt2tm1Dgen/B3galt2+ (more )
Structure Level Pattern Image Note
TS28: tongue muscle Moderate 7718490 There is scattered expression in the muscle.

Specimen Mouse 100631 - Image 7718491: postnatal day 52; B3galt2tm1Dgen/B3galt2+ (more )
Structure Level Pattern Image Note
TS28: tongue Strong Regionally restricted 7718491 Expression is frequently seen in the nerves of the tongue.
TS28: nerve Strong Regionally restricted 7718491 Expression is frequently seen in the nerves of the tongue.

Specimen Mouse 100631 - Image 7718492: postnatal day 52; B3galt2tm1Dgen/B3galt2+ (more )
Structure Level Pattern Image Note
TS28: pinna Moderate 7718492 There is occasional staining in the auricle.

Specimen Mouse 100631 - Image 7718493: postnatal day 52; B3galt2tm1Dgen/B3galt2+ (more )
Structure Level Pattern Image Note
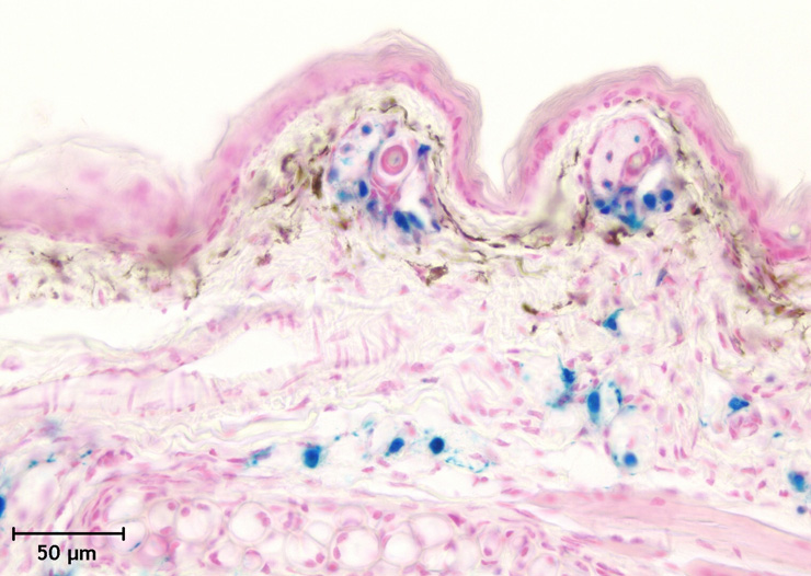
TS28: ear Strong Regionally restricted 7718493 There is scattered expression in the sebaceous glands of the ear.
TS28: sebaceous gland Strong Regionally restricted 7718493 There is scattered expression in the sebaceous glands of the ear.

Specimen Mouse 100631 - Image 7718494: postnatal day 52; B3galt2tm1Dgen/B3galt2+ (more )
Structure Level Pattern Image Note
TS28: dermis Moderate 7718494 There is occasional staining in the dermis.

Specimen Mouse 100631 - Image 7718495: postnatal day 52; B3galt2tm1Dgen/B3galt2+ (more )
Structure Level Pattern Image Note
TS28: germ cell of testis Strong 7718495 There is occasional staining in the spermatogenic cells.

Specimen Mouse 100631 - Image 7718496: postnatal day 52; B3galt2tm1Dgen/B3galt2+ (more )
Structure Level Pattern Image Note
TS28: penis Moderate Regionally restricted 7718496 Expression is frequently seen in the nerves of the penis.
TS28: nerve Moderate Regionally restricted 7718496 Expression is frequently seen in the nerves of the penis.

Specimen Mouse 100631 - Image 7718498: postnatal day 52; B3galt2tm1Dgen/B3galt2+ (more )
Structure Level Pattern Image Note
TS28: penis Moderate Regionally restricted 7718498 There is occasional staining in the fibroblasts.

Specimen Mouse 100631 - Image 7718499: postnatal day 52; B3galt2tm1Dgen/B3galt2+ (more )
Structure Level Pattern Image Note
TS28: anterior prostate gland Moderate Regionally restricted 7718499 There is occasional staining in epithelial cells.

Specimen Mouse 100631 - Image 7718500: postnatal day 52; B3galt2tm1Dgen/B3galt2+ (more )
Structure Level Pattern Image Note
TS28: prostate gland Moderate Regionally restricted 7718500 There is occasional staining in adipose tissue in adipocytes of the prostate gland.
TS28: adipose tissue Moderate Regionally restricted 7718500 There is occasional staining in adipose tissue in adipocytes of the prostate gland.

Specimen Mouse 100631 - Image 7719190: postnatal day 52; B3galt2tm1Dgen/B3galt2+ (more )
Structure Level Pattern Image Note
TS28: hair follicle Strong 7719190 There is scattered expression in the hair follicles.

Specimen Mouse 100631 - Image 7753909: postnatal day 52; B3galt2tm1Dgen/B3galt2+ (more )
Structure Level Pattern Image Note
TS28: hippocampus Moderate 7753909 Expression is frequently seen in the hippocampus.

Specimen Mouse 100631 - Image 7753910: postnatal day 52; B3galt2tm1Dgen/B3galt2+ (more )
Structure Level Pattern Image Note
TS28: thalamus Strong 7753910 There is occasional staining in the thalamus.

Specimen Mouse 100631 - Image 7753911: postnatal day 52; B3galt2tm1Dgen/B3galt2+ (more )
Structure Level Pattern Image Note
TS28: piriform cortex Strong 7753911 There is scattered expression in the piriform cortex.

Specimen Mouse 100631 - Image 7753912: postnatal day 52; B3galt2tm1Dgen/B3galt2+ (more )
Structure Level Pattern Image Note
TS28: hypothalamus Strong 7753912 There is scattered expression in the hypothalamus.

Specimen Mouse 100631 - Image 7753913: postnatal day 52; B3galt2tm1Dgen/B3galt2+ (more )
Structure Level Pattern Image Note
TS28: cerebellum granule cell layer Weak 7753913 There is occasional staining in the granule layer.
TS28: cerebellum Purkinje cell layer Weak 7753913 There is scattered expression in the Purkinje cell layer.

Specimen Mouse 100631 - Image 7753914: postnatal day 52; B3galt2tm1Dgen/B3galt2+ (more )
Structure Level Pattern Image Note
TS28: cerebellum Weak Regionally restricted 7753914 There is scattered expression in the meninges of the cerebellum.
TS28: meninges Weak Regionally restricted 7753914 There is scattered expression in the meninges of the cerebellum.
TS28: cerebellum molecular layer Weak 7753914 There is scattered expression in the molecular layer.

Specimen Mouse 100631 - Image 7753918: postnatal day 52; B3galt2tm1Dgen/B3galt2+ (more )
Structure Level Pattern Image Note
TS28: lateral ventricle Weak 7753918 There is scattered expression in the lateral ventricle.

Specimen Mouse 100631 - Image 7753920: postnatal day 52; B3galt2tm1Dgen/B3galt2+ (more )
Structure Level Pattern Image Note
TS28: telencephalon Strong Regionally restricted 7753920 There is occasional staining in the blood vessels of the cerebrum.
TS28: blood vessel Strong Regionally restricted 7753920 There is occasional staining in the blood vessels of the cerebrum.

Specimen Mouse 100631 - Image 7753922: postnatal day 52; B3galt2tm1Dgen/B3galt2+ (more )
Structure Level Pattern Image Note
TS28: caudate-putamen Weak 7753922 There is occasional staining in the caudate-putamen.

Specimen Mouse 100631 - Image 7753924: postnatal day 52; B3galt2tm1Dgen/B3galt2+ (more )
Structure Level Pattern Image Note
TS28: cerebral cortex Weak 7753924 There is occasional staining in the cortex.

Specimen Mouse 100631 - Image 8147444: postnatal day 52; B3galt2tm1Dgen/B3galt2+ (more )
Structure Level Pattern Image Note
TS28: brainstem Weak Regionally restricted 8147444 There is scattered expression in the blood vessels of the brainstem.
TS28: blood vessel Weak Regionally restricted 8147444 There is scattered expression in the blood vessels of the brainstem.

Specimen Mouse 100631 - Image 8147449: postnatal day 52; B3galt2tm1Dgen/B3galt2+ (more )
Structure Level Pattern Image Note
TS28: brainstem Strong 8147449 There is scattered expression in the brainstem.

Specimen Mouse 100631 - Image 8147451: postnatal day 52; B3galt2tm1Dgen/B3galt2+ (more )
Structure Level Pattern Image Note
TS28: spinal cord Moderate Regionally restricted 8147451 Expression is frequently seen in the nerves of the spinal cord.
TS28: nerve Moderate Regionally restricted 8147451 Expression is frequently seen in the nerves of the spinal cord.

Specimen Mouse 100631 - Image 8168486: postnatal day 52; B3galt2tm1Dgen/B3galt2+ (more )
Structure Level Pattern Image Note
TS28: pons Strong 8168486 Expression is frequently seen in the pons.

Specimen Mouse 100631 - Image 8168487: postnatal day 52; B3galt2tm1Dgen/B3galt2+ (more )
Structure Level Pattern Image Note
TS28: pons Strong Regionally restricted 8168487 There is scattered expression in the caudal pontine reticular region.

Specimen Mouse 100631 - Image 8173006: postnatal day 52; B3galt2tm1Dgen/B3galt2+ (more )
Structure Level Pattern Image Note
TS28: aorta Strong Regionally restricted 8173006 There is scattered expression in the adipose tissue of the aorta.
TS28: adipose tissue Strong Regionally restricted 8173006 There is scattered expression in the adipose tissue of the aorta.

Specimen Mouse 100631 - Image 8173013: postnatal day 52; B3galt2tm1Dgen/B3galt2+ (more )
Structure Level Pattern Image Note
TS28: salivary duct Strong 8173013 There is scattered expression in the duct.

Specimen Mouse 100631 - Image 8173015: postnatal day 52; B3galt2tm1Dgen/B3galt2+ (more )
Structure Level Pattern Image Note
TS28: adrenal medulla Strong 8173015 Expression is frequently seen in the medulla.

Specimen Mouse 100631 - Image 8173017: postnatal day 52; B3galt2tm1Dgen/B3galt2+ (more )
Structure Level Pattern Image Note
TS28: adrenal medulla Strong 8173017 Expression is frequently seen in the medulla.

Specimen Mouse 100631 - Image 8200792: postnatal day 52; B3galt2tm1Dgen/B3galt2+ (more )
Structure Level Pattern Image Note
TS28: lymph node Strong Regionally restricted 8200792 There is scattered expression in the perinodal fat in adipocytes.
TS28: adipose tissue Strong Regionally restricted 8200792 There is scattered expression in the perinodal fat in adipocytes.

Specimen Mouse 100631 - Image 8200796: postnatal day 52; B3galt2tm1Dgen/B3galt2+ (more )
Structure Level Pattern Image Note
TS28: hypothalamus Strong 8200796 There is scattered expression in the hypothalamus.

Specimen Mouse 100631 - Image 8200797: postnatal day 52; B3galt2tm1Dgen/B3galt2+ (more )
Structure Level Pattern Image Note
TS28: dentate gyrus Moderate 8200797 Expression is frequently seen in the dentate gyrus.

Specimen Mouse 100631 - Image 8200801: postnatal day 52; B3galt2tm1Dgen/B3galt2+ (more )
Structure Level Pattern Image Note
TS28: telencephalon Moderate Regionally restricted 8200801 There is occasional staining in the choroid plexus of the cerebrum.
TS28: choroid plexus Moderate Regionally restricted 8200801 There is occasional staining in the choroid plexus of the cerebrum.

Specimen Mouse 100631 - Image 8200803: postnatal day 52; B3galt2tm1Dgen/B3galt2+ (more )
Structure Level Pattern Image Note
TS28: corpus callosum Trace 8200803 There is scattered expression in the corpus callosum.

Specimen Mouse 100631 - Image 8200805: postnatal day 52; B3galt2tm1Dgen/B3galt2+ (more )
Structure Level Pattern Image Note
TS28: bronchiole Strong 8200805 There is scattered expression in the bronchioles.

Specimen Mouse 100631 - Image 8200810: postnatal day 52; B3galt2tm1Dgen/B3galt2+ (more )
Structure Level Pattern Image Note
TS28: lung vascular element Trace Regionally restricted 8200810 There is occasional staining in the smooth muscle cells of the pulmonary vessels.
TS28: blood vessel smooth muscle Trace Regionally restricted 8200810 There is occasional staining in the smooth muscle cells of the pulmonary vessels.

Specimen Mouse 100631 - Image 8200812: postnatal day 52; B3galt2tm1Dgen/B3galt2+ (more )
Structure Level Pattern Image Note
TS28: heart Moderate Regionally restricted 8200812 Expression is frequently seen in the blood vessels of the heart.
TS28: blood vessel Moderate Regionally restricted 8200812 Expression is frequently seen in the blood vessels of the heart.

Specimen Mouse 100631 - Image 8200813: postnatal day 52; B3galt2tm1Dgen/B3galt2+ (more )
Structure Level Pattern Image Note
TS28: heart Moderate Regionally restricted 8200813 Expression is frequently seen in the smooth muscle cells of the blood vessels of the heart.
TS28: blood vessel smooth muscle Moderate Regionally restricted 8200813 Expression is frequently seen in the smooth muscle cells of the blood vessels of the heart.

Specimen Mouse 100631 - Image 8400038: postnatal day 52; B3galt2tm1Dgen/B3galt2+ (more )
Structure Level Pattern Image Note
TS28: glomerular tuft Very strong 8400038 Expression is frequently seen in the glomeruli.

Specimen Mouse 100631 - Image 8400039: postnatal day 52; B3galt2tm1Dgen/B3galt2+ (more )
Structure Level Pattern Image Note
TS28: metanephros Very strong Regionally restricted 8400039 There is scattered expression in the perinephric fat.
TS28: adipose tissue Very strong Regionally restricted 8400039 There is scattered expression in the perinephric fat.

Specimen Mouse 100631 - Image 8400040: postnatal day 52; B3galt2tm1Dgen/B3galt2+ (more )
Structure Level Pattern Image Note
TS28: metanephros Very strong 8400040 Expression is frequently seen in the kidney.

Specimen Mouse 100631 - Image 8400041: postnatal day 52; B3galt2tm1Dgen/B3galt2+ (more )
Structure Level Pattern Image Note
TS28: metanephros Very strong Regionally restricted 8400041 Expression is frequently seen in the smooth muscle cells of the blood vessels of the kidney.
TS28: blood vessel smooth muscle Very strong Regionally restricted 8400041 Expression is frequently seen in the smooth muscle cells of the blood vessels of the kidney.

Specimen Mouse 100631 - Image 8400042: postnatal day 52; B3galt2tm1Dgen/B3galt2+ (more )
Structure Level Pattern Image Note
TS28: trachea epithelium Strong 8400042 Expression is frequently seen in the epithelial cells.

Specimen Mouse 100631 - Image 8400043: postnatal day 52; B3galt2tm1Dgen/B3galt2+ (more )
Structure Level Pattern Image Note
TS28: trachea Moderate Regionally restricted 8400043 There is scattered expression in the nerves of the trachea.
TS28: nerve Moderate Regionally restricted 8400043 There is scattered expression in the nerves of the trachea.

Specimen Mouse 100631 - Image 8400044: postnatal day 52; B3galt2tm1Dgen/B3galt2+ (more )
Structure Level Pattern Image Note
TS28: trachea Strong Regionally restricted 8400044 There is scattered expression in the peritracheal fat.
TS28: adipose tissue Strong Regionally restricted 8400044 There is scattered expression in the peritracheal fat.

Specimen Mouse 100631 - Image 8400049: postnatal day 52; B3galt2tm1Dgen/B3galt2+ (more )
Structure Level Pattern Image Note
TS28: hair follicle Strong 8400049 There is scattered expression in the hair follicles.

Specimen Mouse 100631 - Image 8400051: postnatal day 52; B3galt2tm1Dgen/B3galt2+ (more )
Structure Level Pattern Image Note
TS28: ear Strong Regionally restricted 8400051 There is scattered expression in the adipose tissue in adipocytes.
TS28: adipose tissue Strong Regionally restricted 8400051 There is scattered expression in the adipose tissue in adipocytes.

Specimen Mouse 100631 - Image 8400053: postnatal day 52; B3galt2tm1Dgen/B3galt2+ (more )
Structure Level Pattern Image Note
TS28: ear Strong Regionally restricted 8400053 Expression is frequently seen in the ear hair follicles.
TS28: hair follicle Strong Regionally restricted 8400053 Expression is frequently seen in the ear hair follicles.

Specimen Mouse 100631 - Image 8400055: postnatal day 52; B3galt2tm1Dgen/B3galt2+ (more )
Structure Level Pattern Image Note
TS28: sebaceous gland Moderate 8400055 There is scattered expression in the sebaceous gland.

Specimen Mouse 100631 - Image 8400057: postnatal day 52; B3galt2tm1Dgen/B3galt2+ (more )
Structure Level Pattern Image Note
TS28: germ cell of testis Strong 8400057 There is occasional staining in the spermatogenic cells.

Specimen Mouse 100631 - Image 8403272: postnatal day 52; B3galt2tm1Dgen/B3galt2+ (more )
Structure Level Pattern Image Note
TS28: ampullary gland Moderate 8403272 There is occasional staining in the ampullary glands.

Specimen Mouse 100631 - Image 8881050: postnatal day 52; B3galt2tm1Dgen/B3galt2+ (more )
Structure Level Pattern Image Note
TS28: submandibular gland Strong Regionally restricted 8881050 There is scattered expression in the acinar cells.

Specimen Mouse 100631: postnatal day 52; B3galt2tm1Dgen/B3galt2+ (more )
Structure Level Pattern Image Note
TS28: gallbladder Absent
TS28: liver Absent
TS28: pancreas Absent
TS28: bone marrow Absent
TS28: spleen Absent
TS28: thymus Absent
TS28: seminal vesicle Absent
TS28: bladder Absent

Specimen Mouse 114878 - Image 8881078: postnatal day 76; B3galt2tm1Dgen/B3galt2+ (more )
Structure Level Pattern Image Note
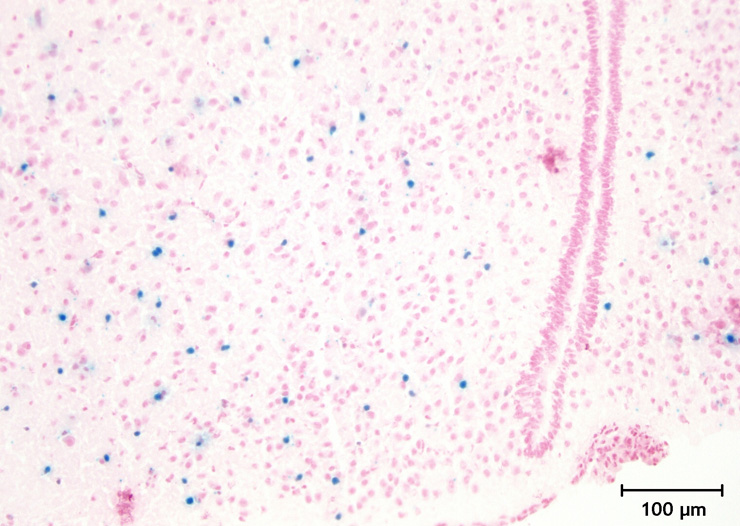
TS28: cerebral cortex Weak 8881078 There is scattered expression in the cortex.

Specimen Mouse 114878 - Image 8881080: postnatal day 76; B3galt2tm1Dgen/B3galt2+ (more )
Structure Level Pattern Image Note
TS28: cerebral cortex Weak 8881080 There is scattered expression in the cortex.

Specimen Mouse 114878 - Image 8881082: postnatal day 76; B3galt2tm1Dgen/B3galt2+ (more )
Structure Level Pattern Image Note
TS28: caudate-putamen Weak 8881082 There is scattered expression in the caudate-putamen.

Specimen Mouse 114878 - Image 8881084: postnatal day 76; B3galt2tm1Dgen/B3galt2+ (more )
Structure Level Pattern Image Note
TS28: telencephalon Strong 8881084 There is scattered expression in the cerebrum.

Specimen Mouse 114878 - Image 8881086: postnatal day 76; B3galt2tm1Dgen/B3galt2+ (more )
Structure Level Pattern Image Note
TS28: telencephalon Weak Regionally restricted 8881086 There is scattered expression in the fornix.

Specimen Mouse 114878 - Image 8881088: postnatal day 76; B3galt2tm1Dgen/B3galt2+ (more )
Structure Level Pattern Image Note
TS28: dentate gyrus Weak 8881088 There is scattered expression in the dentate gyrus.

Specimen Mouse 114878 - Image 8881090: postnatal day 76; B3galt2tm1Dgen/B3galt2+ (more )
Structure Level Pattern Image Note
TS28: hippocampus Weak 8881090 There is scattered expression in the hippocampus.

Specimen Mouse 114878 - Image 8881092: postnatal day 76; B3galt2tm1Dgen/B3galt2+ (more )
Structure Level Pattern Image Note
TS28: hypothalamus Strong 8881092 There is scattered expression in the hypothalamus.

Specimen Mouse 114878 - Image 8881094: postnatal day 76; B3galt2tm1Dgen/B3galt2+ (more )
Structure Level Pattern Image Note
TS28: thalamus Weak 8881094 There is occasional staining in the thalamus.

Specimen Mouse 114878 - Image 8881096: postnatal day 76; B3galt2tm1Dgen/B3galt2+ (more )
Structure Level Pattern Image Note
TS28: telencephalon Moderate Regionally restricted 8881096 Expression is frequently seen in the blood vessels of the cerebrum.
TS28: blood vessel Moderate Regionally restricted 8881096 Expression is frequently seen in the blood vessels of the cerebrum.

Specimen Mouse 114878 - Image 8881098: postnatal day 76; B3galt2tm1Dgen/B3galt2+ (more )
Structure Level Pattern Image Note
TS28: cerebellum Purkinje cell layer Weak 8881098 There is scattered expression in the Purkinje cell layer.

Specimen Mouse 114878 - Image 8881100: postnatal day 76; B3galt2tm1Dgen/B3galt2+ (more )
Structure Level Pattern Image Note
TS28: cerebellum Weak Regionally restricted 8881100 There is scattered expression in the meninges of the cerebellum.
TS28: meninges Weak Regionally restricted 8881100 There is scattered expression in the meninges of the cerebellum.

Specimen Mouse 114878 - Image 8881102: postnatal day 76; B3galt2tm1Dgen/B3galt2+ (more )
Structure Level Pattern Image Note
TS28: cerebellum molecular layer Weak 8881102 There is scattered expression in the molecular layer.

Specimen Mouse 114878 - Image 8881104: postnatal day 76; B3galt2tm1Dgen/B3galt2+ (more )
Structure Level Pattern Image Note
TS28: brainstem Strong 8881104 There is scattered expression in the brainstem.

Specimen Mouse 114878 - Image 8881106: postnatal day 76; B3galt2tm1Dgen/B3galt2+ (more )
Structure Level Pattern Image Note
TS28: pons Strong Regionally restricted 8881106 Expression is frequently seen in the caudal pontine reticular region.

Specimen Mouse 114878 - Image 8881108: postnatal day 76; B3galt2tm1Dgen/B3galt2+ (more )
Structure Level Pattern Image Note
TS28: spinal cord Strong 8881108 Expression is frequently seen in the spinal cord.

Specimen Mouse 114878 - Image 8881110: postnatal day 76; B3galt2tm1Dgen/B3galt2+ (more )
Structure Level Pattern Image Note
TS28: spinal cord gray matter Strong 8881110 Expression is frequently seen in the grey matter.

Specimen Mouse 114878 - Image 8881112: postnatal day 76; B3galt2tm1Dgen/B3galt2+ (more )
Structure Level Pattern Image Note
TS28: adenohypophysis pars anterior Weak 8881112 Expression is frequently seen in the pars distalis.

Specimen Mouse 114878 - Image 8881114: postnatal day 76; B3galt2tm1Dgen/B3galt2+ (more )
Structure Level Pattern Image Note
TS28: spinal cord Strong Regionally restricted 8881114 Expression is frequently seen in the nerves of the spinal cord.
TS28: nerve Strong Regionally restricted 8881114 Expression is frequently seen in the nerves of the spinal cord.

Specimen Mouse 114878 - Image 8881120: postnatal day 76; B3galt2tm1Dgen/B3galt2+ (more )
Structure Level Pattern Image Note
TS28: cardiac muscle tissue Moderate 8881120 There is scattered expression in the cardiac myocytes.

Specimen Mouse 114878 - Image 8881122: postnatal day 76; B3galt2tm1Dgen/B3galt2+ (more )
Structure Level Pattern Image Note
TS28: heart Strong Regionally restricted 8881122 Expression is frequently seen in adipose tissue in adipocytes of the heart.
TS28: adipose tissue Strong Regionally restricted 8881122 Expression is frequently seen in adipose tissue in adipocytes of the heart.

Specimen Mouse 114878 - Image 8881124: postnatal day 76; B3galt2tm1Dgen/B3galt2+ (more )
Structure Level Pattern Image Note
TS28: bronchiole Strong 8881124 There is scattered expression in the bronchioles.

Specimen Mouse 114878 - Image 8960049: postnatal day 76; B3galt2tm1Dgen/B3galt2+ (more )
Structure Level Pattern Image Note
TS28: bronchiole Strong 8960049 There is scattered expression in the bronchioles.

Specimen Mouse 114878 - Image 8960050: postnatal day 76; B3galt2tm1Dgen/B3galt2+ (more )
Structure Level Pattern Image Note
TS28: bronchiole Strong 8960050 There is scattered expression in the bronchioles.

Specimen Mouse 114878 - Image 8960051: postnatal day 76; B3galt2tm1Dgen/B3galt2+ (more )
Structure Level Pattern Image Note
TS28: esophagus mucosa Moderate 8960051 There is scattered expression in the mucosa.

Specimen Mouse 114878 - Image 8960052: postnatal day 76; B3galt2tm1Dgen/B3galt2+ (more )
Structure Level Pattern Image Note
TS28: trachea epithelium Strong 8960052 Expression is frequently seen in the mucosal epithelium.

Specimen Mouse 114878 - Image 8960053: postnatal day 76; B3galt2tm1Dgen/B3galt2+ (more )
Structure Level Pattern Image Note
TS28: trachea Strong 8960053 There is scattered expression in the trachea.

Specimen Mouse 114878 - Image 8960054: postnatal day 76; B3galt2tm1Dgen/B3galt2+ (more )
Structure Level Pattern Image Note
TS28: trachea Very strong Regionally restricted 8960054 Expression is frequently seen in the peritracheal fat.
TS28: adipose tissue Very strong Regionally restricted 8960054 Expression is frequently seen in the peritracheal fat.

Specimen Mouse 114878 - Image 8960055: postnatal day 76; B3galt2tm1Dgen/B3galt2+ (more )
Structure Level Pattern Image Note
TS28: thyroid gland Strong Regionally restricted 8960055 There is scattered expression in the adipose tissue in adipocytes of the thyroid gland.
TS28: adipose tissue Strong Regionally restricted 8960055 There is scattered expression in the adipose tissue in adipocytes of the thyroid gland.

Specimen Mouse 114878 - Image 8960056: postnatal day 76; B3galt2tm1Dgen/B3galt2+ (more )
Structure Level Pattern Image Note
TS28: parathyroid gland Weak 8960056 There is scattered expression in the parathyroid gland.

Specimen Mouse 114878 - Image 8960057: postnatal day 76; B3galt2tm1Dgen/B3galt2+ (more )
Structure Level Pattern Image Note
TS28: larynx Strong 8960057 Expression is frequently seen in the larynx.

Specimen Mouse 114878 - Image 8960058: postnatal day 76; B3galt2tm1Dgen/B3galt2+ (more )
Structure Level Pattern Image Note
TS28: larynx epithelium Very strong 8960058 Expression is present in practically all cells of the epithelium.

Specimen Mouse 114878 - Image 8960059: postnatal day 76; B3galt2tm1Dgen/B3galt2+ (more )
Structure Level Pattern Image Note
TS28: larynx submucosa gland Very strong 8960059 There is scattered expression in the submucosal glands.

Specimen Mouse 114878 - Image 8960060: postnatal day 76; B3galt2tm1Dgen/B3galt2+ (more )
Structure Level Pattern Image Note
TS28: larynx muscle Strong 8960060 There is scattered expression in the muscle layer.

Specimen Mouse 114878 - Image 8960061: postnatal day 76; B3galt2tm1Dgen/B3galt2+ (more )
Structure Level Pattern Image Note
TS28: testis Very strong Regionally restricted 8960061 Expression is frequently seen in the blood vessels of the testis.
TS28: blood vessel Very strong Regionally restricted 8960061 Expression is frequently seen in the blood vessels of the testis.

Specimen Mouse 114878 - Image 8960062: postnatal day 76; B3galt2tm1Dgen/B3galt2+ (more )
Structure Level Pattern Image Note
TS28: seminiferous tubule Weak 8960062 There is occasional staining in the seminiferous tubules.

Specimen Mouse 114878 - Image 8960063: postnatal day 76; B3galt2tm1Dgen/B3galt2+ (more )
Structure Level Pattern Image Note
TS28: os penis Moderate 8960063 There is scattered expression in the os penis.

Specimen Mouse 114878 - Image 8960065: postnatal day 76; B3galt2tm1Dgen/B3galt2+ (more )
Structure Level Pattern Image Note
TS28: anterior prostate gland Moderate 8960065 There is occasional staining in the coagulating gland.

Specimen Mouse 114878 - Image 8960066: postnatal day 76; B3galt2tm1Dgen/B3galt2+ (more )
Structure Level Pattern Image Note
TS28: anterior prostate gland Moderate Regionally restricted 8960066 Expression is frequently seen in the blood vessels of the coagulating gland.
TS28: blood vessel Moderate Regionally restricted 8960066 Expression is frequently seen in the blood vessels of the coagulating gland.

Specimen Mouse 114878 - Image 8960067: postnatal day 76; B3galt2tm1Dgen/B3galt2+ (more )
Structure Level Pattern Image Note
TS28: prostate gland Strong Regionally restricted 8960067 Expression is frequently seen in periprostatic fat in adipocytes.
TS28: adipose tissue Strong Regionally restricted 8960067 Expression is frequently seen in periprostatic fat in adipocytes.

Specimen Mouse 114878 - Image 8960068: postnatal day 76; B3galt2tm1Dgen/B3galt2+ (more )
Structure Level Pattern Image Note
TS28: prostate gland Weak 8960068 There is occasional staining in the prostate gland.

Specimen Mouse 114878 - Image 8960069: postnatal day 76; B3galt2tm1Dgen/B3galt2+ (more )
Structure Level Pattern Image Note
TS28: thymus Very strong Regionally restricted 8960069 Expression is frequently seen in adipose tissue in adipocytes of the thymus.
TS28: adipose tissue Very strong Regionally restricted 8960069 Expression is frequently seen in adipose tissue in adipocytes of the thymus.

Specimen Mouse 114878: postnatal day 76; B3galt2tm1Dgen/B3galt2+ (more )
Structure Level Pattern Image Note
TS28: liver Absent
TS28: ampullary gland Absent
TS28: penis Moderate There is scattered expression in the penis.
TS28: seminal vesicle Absent
TS28: urethra Absent
TS28: bladder Absent

Specimen Mouse 114886 - Image 8400098: postnatal day 61; B3galt2tm1Dgen/B3galt2+ (more )
Structure Level Pattern Image Note
TS28: telencephalon Moderate 8400098 Expression is present in practically all cells of the cerebrum.

Specimen Mouse 114886 - Image 8400099: postnatal day 61; B3galt2tm1Dgen/B3galt2+ (more )
Structure Level Pattern Image Note
TS28: telencephalon Moderate 8400099 Expression is present in practically all cells of the cerebrum.

Specimen Mouse 114886 - Image 8400100: postnatal day 61; B3galt2tm1Dgen/B3galt2+ (more )
Structure Level Pattern Image Note
TS28: telencephalon Moderate 8400100 Expression is present in practically all cells of the cerebrum.

Specimen Mouse 114886 - Image 8400101: postnatal day 61; B3galt2tm1Dgen/B3galt2+ (more )
Structure Level Pattern Image Note
TS28: telencephalon Moderate 8400101 Expression is present in practically all cells of the cerebrum.

Specimen Mouse 114886 - Image 8400102: postnatal day 61; B3galt2tm1Dgen/B3galt2+ (more )
Structure Level Pattern Image Note
TS28: telencephalon Moderate 8400102 There is scattered expression in the cerebrum.

Specimen Mouse 114886 - Image 8400103: postnatal day 61; B3galt2tm1Dgen/B3galt2+ (more )
Structure Level Pattern Image Note
TS28: telencephalon Moderate 8400103 There is scattered expression in the cerebrum.

Specimen Mouse 114886 - Image 8400104: postnatal day 61; B3galt2tm1Dgen/B3galt2+ (more )
Structure Level Pattern Image Note
TS28: telencephalon Moderate 8400104 Expression is present in practically all cells of the cerebrum.

Specimen Mouse 114886 - Image 8403274: postnatal day 61; B3galt2tm1Dgen/B3galt2+ (more )
Structure Level Pattern Image Note
TS28: telencephalon Moderate 8403274 Expression is present in practically all cells of the cerebrum.

Specimen Mouse 114886 - Image 8403275: postnatal day 61; B3galt2tm1Dgen/B3galt2+ (more )
Structure Level Pattern Image Note
TS28: cerebellum Moderate 8403275 Expression is frequently seen in the cerebellum.

Specimen Mouse 114886 - Image 8403276: postnatal day 61; B3galt2tm1Dgen/B3galt2+ (more )
Structure Level Pattern Image Note
TS28: cerebellum Moderate 8403276 Expression is frequently seen in the cerebellum.

Specimen Mouse 114886 - Image 8428932: postnatal day 61; B3galt2tm1Dgen/B3galt2+ (more )
Structure Level Pattern Image Note
TS28: brainstem Moderate 8428932 Expression is frequently seen in the brainstem.

Specimen Mouse 114886 - Image 8428933: postnatal day 61; B3galt2tm1Dgen/B3galt2+ (more )
Structure Level Pattern Image Note
TS28: brainstem Moderate 8428933 Expression is frequently seen in the brainstem.


Contributing Projects:
Mouse Genome Database (MGD), Gene Expression Database (GXD), Mouse Models of Human Cancer database (MMHCdb) (formerly Mouse Tumor Biology (MTB)), Gene Ontology (GO)
Citing These Resources
Funding Information
Warranty Disclaimer, Privacy Notice, Licensing, & Copyright
Send questions and comments to User Support.
last database update
03/24/2026
MGI 6.24
The Jackson Laboratory