About   Help   FAQ
Gene Expression Data
Assay Details
Assay
Reference: J:103446 McKee AE, et al., A genome-wide in situ hybridization map of RNA-binding proteins reveals anatomically restricted expression in the developing mouse brain. BMC Dev Biol. 2005 Jul 20;5:14
Assay type: RNA in situ
MGI Accession ID: MGI:3617539
Gene symbol: Qki
Gene name: quaking, KH domain containing RNA binding
Probe: Qk cDNA1
Probe preparation: Antisense labelled with digoxigenin RNA
Visualized with: Alkaline phosphatase
Assay notes: The results of this assay were listed in Additional File 3, row Qk.
Results
Specimen E13.5: embryonic day 13.5 (more )
Note: Authors indicate that there was restricted expression in the nervous system with distinguishable expression in non-neural tissue.
Structure Level Pattern Image Note
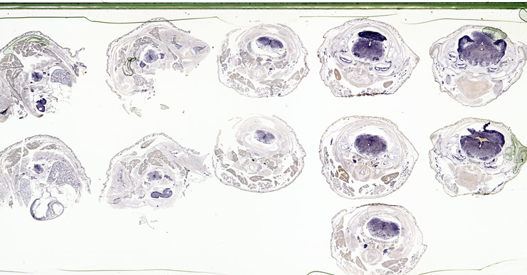
TS21: cerebral cortex Present R0141-11 Expression was detected in precortical tissue.
TS21: brain ventricular layer Present R0141-11
TS21: central nervous system ganglion Present R0141-11
TS21: corpus striatum Present R0141-11
TS21: hindbrain Present R0141-11
TS21: olfactory epithelium Present R0141-11
TS21: retina Present R0141-11
TS21: spinal cord Present R0141-11

Specimen P0: postnatal day 0 (more )
Note: Authors indicate that there was restricted expression in the nervous system with distinguishable expression in non-neural tissue.
Structure Level Pattern Image Note
TS27: cerebral cortex Present R0141-22 , R0141-21
TS27: corpus striatum Present R0141-22 , R0141-21
TS27: hindbrain Present R0141-22 , R0141-21
TS27: hippocampus Present R0141-22 , R0141-21
TS27: hypothalamus Present R0141-22 , R0141-21
TS27: main olfactory bulb Present R0141-22 , R0141-21
TS27: midbrain Present R0141-22 , R0141-21
TS27: retina Present R0141-22 , R0141-21
TS27: spinal cord Present R0141-22 , R0141-21
TS27: thalamus Present R0141-22 , R0141-21
TS27: trigeminal ganglion Present R0141-22 , R0141-21
TS27: olfactory epithelium Ambiguous R0141-22 , R0141-21 Authors indicate that there was either ubiquitous or background expression.


Contributing Projects:
Mouse Genome Database (MGD), Gene Expression Database (GXD), Mouse Models of Human Cancer database (MMHCdb) (formerly Mouse Tumor Biology (MTB)), Gene Ontology (GO)
Citing These Resources
Funding Information
Warranty Disclaimer, Privacy Notice, Licensing, & Copyright
Send questions and comments to User Support.
last database update
04/07/2026
MGI 6.24
The Jackson Laboratory