About   Help   FAQ
Gene Expression Data
Assay Details
Assay
Reference: J:93300 Blackshaw S, et al., Genomic analysis of mouse retinal development. PLoS Biol. 2004 Oct;2(9):E247
Assay type: RNA in situ
MGI Accession ID: MGI:3586221
Gene symbol: Crocc
Gene name: ciliary rootlet coiled-coil, rootletin
Probe: IMAGE clone 407575
Probe preparation: Antisense labelled with digoxigenin RNA
Visualized with: Alkaline phosphatase
Assay notes: This data is from Supplemental Table 5, Gene column, row: 80685 LOC230872 rootletin . After cryosectioning, tissue was fixed for 10' in 4% paraformaldehyde prior to processing.
Results
Specimen P2/3: postnatal day 2-3 (more )
Structure Level Pattern Image Note
TS27: retina outer nuclear layer Present Submitted Image - K2P2.5 Expression was detected in the outer neuroblastic layer but was higher in the extreme scleral outer neuroblastic layer.

Specimen P4/5: postnatal day 4-5 (more )
Structure Level Pattern Image Note
TS28: retina outer nuclear layer Present Expression was detected in the outer neuroblastic layer but was higher in the extreme scleral outer neuroblastic layer.

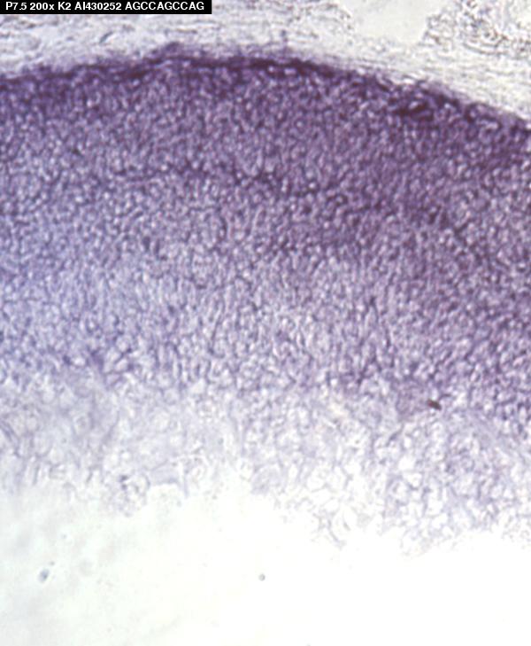
Specimen P6/7: postnatal day 6-7 (more )
Structure Level Pattern Image Note
TS28: retina outer nuclear layer Present Submitted Image - K2P7.5 , Submitted Image - K2P6.5 Expression was detected in the outer nuclear layer but was higher in the extreme outer portion.
TS28: retina inner nuclear layer Present Submitted Image - K2P6.5 , Submitted Image - K2P7.5

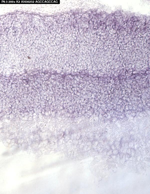
Specimen P8/10: postnatal day 8-10 (more )
Structure Level Pattern Image Note
TS28: retina outer nuclear layer Present Regionally restricted Submitted Image - K2P8.5 , Submitted Image - K2P9.5 Expression was detected in the inner segment.
TS28: retina inner nuclear layer Present Submitted Image - K2P8.5 , Submitted Image - K2P9.5

Specimen Adult: postnatal adult (more )
Structure Level Pattern Image Note
TS28: retina outer nuclear layer Present Regionally restricted Expression was detected in the inner segment.
TS28: retina layer Present Regionally restricted Expression was detected in bipolar cells.

Specimen CNS: postnatal day 6 (more )
Structure Level Pattern Image Note
TS28: brain ventricular layer Present


Contributing Projects:
Mouse Genome Database (MGD), Gene Expression Database (GXD), Mouse Models of Human Cancer database (MMHCdb) (formerly Mouse Tumor Biology (MTB)), Gene Ontology (GO)
Citing These Resources
Funding Information
Warranty Disclaimer, Privacy Notice, Licensing, & Copyright
Send questions and comments to User Support.
last database update
03/24/2026
MGI 6.24
The Jackson Laboratory