About   Help   FAQ
Gene Expression Data
Assay Details
Assay
Reference: J:93300 Blackshaw S, et al., Genomic analysis of mouse retinal development. PLoS Biol. 2004 Oct;2(9):E247
Assay type: RNA in situ
MGI Accession ID: MGI:3586186
Gene symbol: Slc25a5
Gene name: solute carrier family 25 (mitochondrial carrier, adenine nucleotide translocator), member 5
Probe: UI-M-AN1-afc-d-04-0-UI.s1
Probe preparation: Antisense labelled with digoxigenin RNA
Visualized with: Alkaline phosphatase
Assay notes: This data is from Supplemental Table 5, Gene column, row: 658 Adenine nucleotide translocator 2, fibro. After cryosectioning, tissue was fixed for 10' in 4% paraformaldehyde prior to processing.
Results
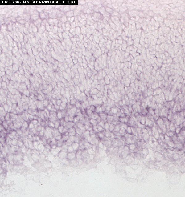
Specimen E16: embryonic day 16.0 (more )
Structure Level Pattern Image Note
TS24: retina nuclear layer Present Regionally restricted Submitted Image - AP25e16.5 Expression was detected in the inner neuroblastic layer and was weak in the outer neuroblastic layer.

Specimen E18: embryonic day 18.0 (more )
Structure Level Pattern Image Note
TS26: retina outer nuclear layer Weak Submitted Image - AP25e18.5 Expression was detected in the outer neuroblastic layer.

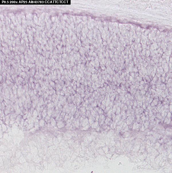
Specimen P0/1: postnatal day 0-1 (more )
Structure Level Pattern Image Note
TS27: retina outer nuclear layer Present Regionally restricted Submitted Image - AP25p0.5 Expression was detected in the vitreal outer neuroblastic layer.

Specimen P2/3: postnatal day 2-3 (more )
Structure Level Pattern Image Note
TS27: retina outer nuclear layer Present Regionally restricted Submitted Image - AP25p2.5 Expression was detected in the vitreal outer neuroblastic layer.

Specimen P6/7: postnatal day 6-7 (more )
Structure Level Pattern Image Note
TS28: retina Absent Submitted Image - AP25p6.5

Specimen P8/10: postnatal day 8-10 (more )
Structure Level Pattern Image Note
TS28: retina outer nuclear layer Present Regionally restricted Expression was detected in the inner segment.
TS28: retina ganglion cell layer Present Regionally restricted Expression was detected in a subset of ganglion cells.

Specimen Adult: postnatal adult (more )
Structure Level Pattern Image Note
TS28: retina outer nuclear layer Present Regionally restricted Submitted Image - AP25adult Expression was detected in the inner segment.

Specimen CNS: postnatal day 6 (more )
Structure Level Pattern Image Note
TS28: hippocampus Present

Specimen Embryo: embryonic day 16.0 (more )
Structure Level Pattern Image Note
TS24: skeletal muscle Present
TS24: liver Present
TS24: intestine Present


Contributing Projects:
Mouse Genome Database (MGD), Gene Expression Database (GXD), Mouse Models of Human Cancer database (MMHCdb) (formerly Mouse Tumor Biology (MTB)), Gene Ontology (GO)
Citing These Resources
Funding Information
Warranty Disclaimer, Privacy Notice, Licensing, & Copyright
Send questions and comments to User Support.
last database update
12/30/2025
MGI 6.24
The Jackson Laboratory