About   Help   FAQ
Gene Expression Data
Assay Details
Assay
Reference: J:93300 Blackshaw S, et al., Genomic analysis of mouse retinal development. PLoS Biol. 2004 Oct;2(9):E247
Assay type: RNA in situ
MGI Accession ID: MGI:3585996
Gene symbol: Mzt1
Gene name: mitotic spindle organizing protein 1
Probe: UI-M-BH0-air-f-04-0-UI.s1
Probe preparation: Antisense labelled with digoxigenin RNA
Visualized with: Alkaline phosphatase
Assay notes: This data is from Supplemental Table 5, Gene column, row: 38912 2410129H14Rik RIKEN cDNA 2410129H14 gene . After cryosectioning, tissue was fixed for 10' in 4% paraformaldehyde prior to processing.
Results
Specimen E18: embryonic day 18.0 (more )
Structure Level Pattern Image Note
TS26: retina Present Uniform Expression was panretinal.

Specimen P0/1: postnatal day 0-1 (more )
Structure Level Pattern Image Note
TS27: retina Present Uniform Expression was panretinal.

Specimen P2/3: postnatal day 2-3 (more )
Structure Level Pattern Image Note
TS27: retina Present Uniform Submitted Image - 11Dp2.5 , Submitted Image - 11Dp3.5 , Submitted Image - 11Dp2.5B , Submitted Image - 11Dp3.5B , Submitted Image - 11Dp3.5C Expression was panretinal.

Specimen P4/5: postnatal day 4-5 (more )
Structure Level Pattern Image Note
TS28: retina outer nuclear layer Present Submitted Image - 11Dp5.5 , Submitted Image - 11Dp4.5 Expression was detected in the outer neuroblastic layer.
TS28: retina inner nuclear layer Present Regionally restricted Submitted Image - 11Dp4.5 , Submitted Image - 11Dp5.5 Expression was detected in the scleral inner neuroblastic layer.

Specimen P6/7: postnatal day 6-7 (more )
Structure Level Pattern Image Note
TS28: retina outer nuclear layer Present Submitted Image - 11Dp6.5 , Submitted Image - 11Dp7.5 , Submitted Image - 11Dp7.5B , Submitted Image - 11Dp6.5B , Submitted Image - 11Dp7.5C
TS28: retina inner nuclear layer Present Submitted Image - 11Dp7.5C , Submitted Image - 11Dp7.5B , Submitted Image - 11Dp6.5B , Submitted Image - 11Dp6.5 , Submitted Image - 11Dp7.5
TS28: retina layer Present Regionally restricted Submitted Image - 11Dp7.5 , Submitted Image - 11Dp6.5B , Submitted Image - 11Dp6.5 , Submitted Image - 11Dp7.5B , Submitted Image - 11Dp7.5C Expression was detected in amacrine cells.

Specimen P8/10: postnatal day 8-10 (more )
Structure Level Pattern Image Note
TS28: retina layer Present Regionally restricted Submitted Image - 11Dp8.5 , Submitted Image - 11Dp10.5 , Submitted Image - 11Dp10.5B , Submitted Image - 11Dp10.5C Expression was detected in a subset of amacrine cells.

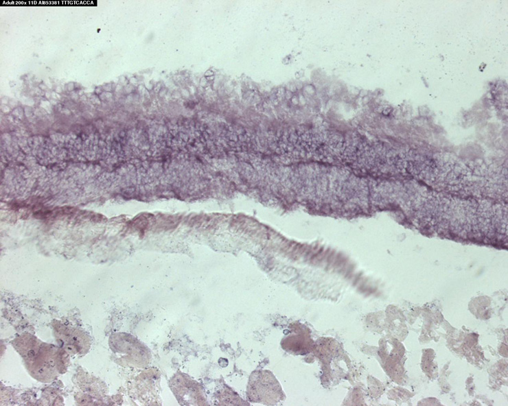
Specimen Adult: postnatal adult (more )
Structure Level Pattern Image Note
TS28: retina Present Uniform Submitted Image - 11DadultB , Submitted Image - 11Dadult Expression was panretinal.

Specimen CNS: postnatal day 6 (more )
Structure Level Pattern Image Note
TS28: central nervous system Present Expression was widespread.

Specimen Embryo: embryonic day 16.0 (more )
Structure Level Pattern Image Note
TS24: embryo Present Expression was widespread.


Contributing Projects:
Mouse Genome Database (MGD), Gene Expression Database (GXD), Mouse Models of Human Cancer database (MMHCdb) (formerly Mouse Tumor Biology (MTB)), Gene Ontology (GO)
Citing These Resources
Funding Information
Warranty Disclaimer, Privacy Notice, Licensing, & Copyright
Send questions and comments to User Support.
last database update
09/30/2025
MGI 6.24
The Jackson Laboratory